| CATEGORII DOCUMENTE |
| Alimentatie nutritie | Asistenta sociala | Cosmetica frumusete | Logopedie | Retete culinare | Sport |
Radiografii pentru membrele inferioare
Radiografia articulatiei coxo-femurale - A-P
Pacientul in DD; membrele inferioare in extensie si lipite; calcaiele departate, varfurile apropiate.
RC perpendiculara pe caseta, intra la doua laturi de deget sub mijlocul liniei care uneste spina iliaca antero-superioara cu pubisul. Film de 24x30 cm, in lung; marginea proximala a casetei la un lat de deget deasupra spinei iliace antero-superioare; marginea laterala depaseste cu trei laturi de deget partile moi.
Distanta F-F = 1m; cu Bk.

Radiografia articulatiei coxo-femurale - lateral (a)
Pacientul in DL cu usoara inclinatie inainte; coapsa din partea de examinat in usoara flexie; cealalta mult flectata, se reazema cu genunchiul pe un sac de nisip.
RC perpendiculara pe caseta; intra prin fesa din partea de examinat; iese la nivelul marelui trohanter. Film de 24x30 cm, in lung; marginea proximala a casetei la doua laturi de deget deasupra crestei iliace, cea posterioara depaseste cu doua laturi de deget partile moi.
Distanta F-F = 1m; cu Bk.
Radiografia articulatiei coxo-femurale - lateral (b)
Pacientul in decubit semilateral; axul transversal al bazinului face cu planul mesei un unghi deschis inapoi de 45-500 ; coapsa din partea de radiografiat in abductie si flectata pana la unghi drept cu bazinul, se reazema cu genunchiul pe planul mesei; gamba flectata pe coapsa, membrul celalalt in extensie.
RC perpendiculara pe caseta; intra pe fata interna a coapsei, aproape de mijlocul plicii inghinale. Film de 24x30 cm, in lung; marginea proximala a casetei la doua laturi de deget deasupra spinei iliace antero-superioare; marginea anterioara depaseste partile moi cu trei laturi de deget.
Distanta F-F = 1m; cu Bk.
Radiografia femurului - A-P
Pacientul in DD membrele inferioare in extensie cu genunchii lipiti.
RC perpendiculara pe caseta, cade pe mijlocul coapsei (a femurului). Film de 15x40 cm, in lung; marginea proximala a casetei depaseste marele trohanter cu trei laturi de deget; marginea laterala si cea mediala la egala distanta de partile moi.
Distanta F-F = 1m; cu Bk.

Radiografia femurului A-P (2/3 superioare)
Radiografia femurului - lateral
Pacientul in DL; gamba usor flectata, astfel ca genunchiul sa fie lipit de caseta; genunchiul sanatos, in flexie, este trecut inaintea membrului examinat si se reazema pe un sac de nisip.
RC perpendiculara pe caseta, cade pe mijlocul fetei interne a coapsei. Film de 15x40 cm, in lung, marginea proximala a casetei depaseste marele trohanter cu doua laturi de deget; marginea anterioara si cea posterioara la egala distanta de partile moi.
Distanta F-F = 1m, cu Bk.
Radiografia genunchiului - A-P
Pacientul in DD; gamba in extensie piciorul perpendicular pe masa.
RC perpendiculara pe caseta; intra la un lat de deget sub varful rotulei. Film de 18x24 cm, in lung; marginea proximala a casetei la un lat de mana deasupra rotulei; marginea mediala si cea laterala la egala distanta de partile moi.
Distanta F-F = 1m, fara Bk.

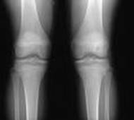
Radiografia genunchi bilateral A-P
Radiografia genunchiului - lateral
Pacientul in DL; fata laterala a genunchiului de radiografiat se reazema pe caseta; genunchiul sanatos, in flexie, este trecut inaintea membrului examinat.
RC perpendiculara pe caseta; intra la partea anterioara a interliniei articulare. Film de 18x24 cm, in lung, marginea proximala a casetei la un lat de mana deasupra nivelului rotulei; marginea anterioara la doua laturi de deget de fata anterioara a rotulei.
Distanta F-F = 1m; fara Bk.

Radiografia genunchiului lateral si A-P
Radiografia rotulei - P-A oblica
Pacientul in DV; genunchiul usor flectat; calcaiul rotit inauntru; rotula se reazema pe caseta prin jumatatea mediala a fetei sale anterioare. Membrul inferior sanatos este dat inainte.
RC perpendiculara pe caseta; intra la nivelul rotulei. Film de 13x18 cm, in lung; rotula pe mijlocul casetei.
Distanta F-F = 1m; fara Bk.
Radiografia rotulei - axial
Pacientul in DD; genunchiul flectat; planta pe masa; caseta tinuta cu o mana de pacient pe coapsa; membrul celalalt in extensie pe masa.
RC inclinata caudo-cranial; trece in intervalul cuprins intre condilii femurali si fata posterioara a rotulei. Film de 13x18 cm, in lung; marginea distala a casetei cu trei laturi de deget inaintea genunchiului; marginea mediala si cea laterala la egala distanta de partile moi.
Distanta F-F = 1m; fara Bk.

Rotula - axial
|
Politica de confidentialitate | Termeni si conditii de utilizare |
Vizualizari: 4262
Importanta: ![]()
Termeni si conditii de utilizare | Contact
© SCRIGROUP 2025 . All rights reserved