| CATEGORII DOCUMENTE |
| Alimentatie nutritie | Asistenta sociala | Cosmetica frumusete | Logopedie | Retete culinare | Sport |
Detectarea ecografica a anomaliilor fetale
Incidenta anomaliilor congenitale la nou nascutii vii este intre 1,3% si 4,5%. (Stevenson si colab. 1966[24], Kennedy 1967 [15]). Studii mai recente, care adauga si displazia de sold congenitala ridica acest procent peste 7,3%. (Queisser - Luft si colab. 1998[22]).
Cauze:
boli ereditare 20%,
anomalii cromozomiale 10%
factori de mediu 10%
factori necunoscuti sau multipli 60%
Perioade favorabile detectarii ecografice a anomaliilor fetale
Exista 2 perioade favorabile pentru observarea unor semne sugestive de anomalie fetale: intre 11 si 14 saptamani si intre 18 si 22 saptamani. In ultimii ani tot mai multi autori aduc in discutie si screeningul de la 15 - 16 saptamani (Benacerraf, Ilan Timor Tritsch[3]).
Semnele ecografice ce sugereaza prezenta anomaliilor fetale[1,2,19,23]:
Trim. I - translucenta nuchala ³ 3 mm.
Trim. II si III
lichid amniotic anormal (poli hidramnios, oligohidramnios, anamnios)
tulburari ale cresterii fetale (retard de crestere intrauterina, macrosomia)
disproportii intre diferite parti ale corpului (raport anormal trunchi/cap sau membre/cap),
anormalitati ale suprafetei corporale (semnul lamaiei, etc), defecte, protuzii, etc.
anormalitati ale structurilor interne (lichid in cavitati, imaginea cardiaca in 4 camere atipica, forma anormala a cerebelului - semnul bananei)
aritmii cardiace in special bradiaritmii
miscari atipice fetale (hiperactivitate - hipoactivitate)
cordon ombilical cu doua vase,
structura placentara anormala, vacuolata,
tesut subcutanat al regiunii posterioare a gatului peste 5 mm.
Nu trebuie uitat ca examinarea ecografica nu garanteaza un copil sanatos.
Exista numeroase defecte (cromozomiale, metabolice) care nu au semne ecografice ce pot fi depistate.
Anomalii ale capului
Defectele de tub neural sunt anencefalia, exencefalia, encefalocelul, microencefalia si spina bifida. Incidenta in Europa este de 11,5 la 10000 nascuti (vii, morti sau avortoni) (Eurocat 1991[9]).
Anencefalia (descrisa in prima parte a cartii, la anomalii decelabile in trim I) este definita ca absenta boltii superioare a craniului si a creierului. De cele mai multe ori diagnosticul se pune intre 11 si 14 saptamani, riscul de recurenta este de circa 4% [18].
Exencefalia, dupa unii considerata ca o etapa intre acranie si anencefalie, reprezinta prezenta creierului in absenta boltii craniene, depistata de obicei precoce inaintea trimestrului II. Face parte din secventa acranie,exencefalie, anencefalie.
Cefalocelul - defect al suturii boltii craniene, cu hernierea meningelui (meningocel) sau asociat cu hernierea de substanta cerebrala (encefalomeningocel). Este de obicei localizat occipital (75%).[16]
Poate fi asociat cu:
hidrocefalia,
microcefalia
spina bifida
oligohidramnios
sindromul Meckel Gruber: cefalocel, rinichi polichistic, polidactilie
sindromul Roberts: mielomeningocel fronto-ethmoidal cu retard de crestere intrauterina, deformitati severe ale membrelor, ale buzelor si palatului, etc.
Inencefalia: encefalocel, extensia marcata a capului fetal si rachischiza cervicala. Foarte rar e diagnosticat in trimestrul I.
Anomalii ale sistemului nervos central
Hidrocefalia - acumularea de lichid cerebrospinal( cefalorahidian ) cu expansiunea spatiilor cerebrospinale.
Forme:
interna: dilatatia sistemului ventricular
externa: dilatatia spatiului subarahnoidian
comunicanta: hidrocefalie interna si externa prin comunicarea spatiilor cerebrospinale
Hansmann [12] indica ca manifestare timpurie a hidrocefaliei interne, dilatatia coarnelor anterioare si posterioare ale ventriculilor laterali.
Pilu si colaboratorii [21] recomanda masurarea grosimii cornului anterior, ce are aproximativ 7,6 0,6 mm. Johnson si colab [14] defineste hidrocefalia cand aceasta masuratoare depaseste 1,3 cm.
Probleme de diagnostic ecografic a hidrocefaliei
cortexul hipoecogen mimeaza cateodata hidrocefalia;
daca hidrocefalia este unilaterala, in apropierea transductorului, datorita artefactelor induse de suturile craniene.
Cateodata clarificarea imaginii si diagnosticului necesita folosirea sondei transvaginale.
Asocieri cu alte anomalii [2,16,19]
Tabel VIII Asocierea hidrocefaliei cu alte anomalii
|
Stenoza aqueductului Silvius |
sporadica postinflamatorie forma recesiva X linkata forma autozomal recesiva |
|
Anomalii ale SNC |
sdr. Dandy-Walker Agenezie de corp calos Holoprosencefalie Porencefalie Lisencefalie |
|
Malformatii vasculare |
anevrismul de vena Galen hemoragia intracerebrala |
|
Defect de tub neural |
encefalocel spina bifida sindrom Arnold Chiari disrafie cu defect de inchidere a primelor arcuri post . cervicale,cu hernierea bulbului si cerebelului partial in canalul rahidian |
|
Tumori |
chist arachnoidian neoplasme |
|
Sindroame |
Apert sinostoza precoce craniana, sindactilie si alte anomalii Fragil X Roberts Smith- Lemli-Opitz nanism, encefalopatie, dismorfii cap, membre ,etc. |
|
Anomalii cromozomiale |
Trisomia 13 si 18 |
Tabel VIII ( continuare) Asocierea hidrocefaliei cu alte anomalii.
Prognosticul este legat de marimea cortexului rezidual (prognostic prost daca e sub 1 cm) si de asocieri.
In functie de tipul de defect chistic al creierului se pot diferentia[1,2,6,19]:
Defecte ale liniei de mijloc a creierului:
holoprosencefalia (defect de fuziune a talamusului)
agenezia de corp calos
chist arahnoidian
anevrism al venei Galen
sd. Dandy Walker (absenta cerebelului partiala sau completa cu hidrocefalie si defect de fosa posterioara)
Defecte asimetrice
porencefalia
chist de plex choroid
chist arachnoidian
hidrocefalie unilaterala
tumoare chistica
hemoragie cerebrala

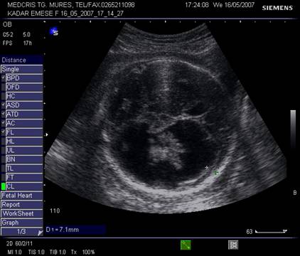
Fig . nr. 248. Chist de plex choroid , unilateral, la o sarcina de 17 sapt.

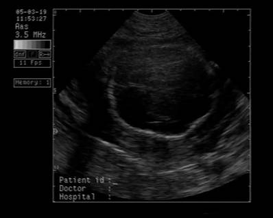
Fig. nr. 249. Hidrocefalie interna unilaterala aparuta la 28 sapt si cu evolutie rapida, postpartum se confirma suspiciunea de diagnostic: hemoragie cerebrala
Anomaliile faciale sunt foarte rare
hipertelorism - cresterea distantei interorbitale
hipotelorism - scaderea distantei interorbitale
microftalmie
ciclopia
arinia: lipsa nasului
proboscis: nas rudimentar, de obicei deschis, protuberant
tumori ale regiunii faciale
lipsa de inchidere a palatului, a buzelor
macroglosia
micrognatia, retrognatia
anomalii ale urechii
Toate acestea se pot asocia cu anomalii cromozomiale si fac parte din sindroame malformative complexe.[16]

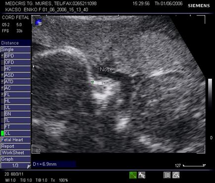
Fig. nr.250. Ciclopie diagnosticata la 17 sapt.

Fig. nr.251 Ciclopia din imaginea precedenta ,cu defect de inchidere pe linia mediana a fetei

Fig. nr.252 Limfangiofibrom orofaringian la 16 sapt,.formatiune in fata oaselor masivului facial.

Fig. nr.253 Limfangiofibrom orofaringian diagnosticat prin ecografia transvaginala ( acelasi caz ca in figura precedenta ). Inaintea fetei se evidentiaza o formatiune aparent chistica.
Fig. nr.254 Imaginea corespunzatoare a avortonului de 16 sapt din figurile anterioare
Anomalii ale gatului sunt rare
Higroma chistic: anomalie a sistemului limfatic ce apare ecografic ca o formatiune chistica cu perete subtire uniloculara sau multiloculara. Incidenta este de 0,3 - 2% din feti si aproximativ 50-80% se asociaza cu anomalii cromozomiale (in special Turner)[2,19]
Alte anomalii sunt rare:
gusa tiroidiana
teratoame
hemangioame
tumori maligne
chist al ductului thyreoglos
atrezie esofagiana, laringiana.
Semnele sugestive pentru anomalii ale regiunii gatului sunt:
polihidramnios
hiperextensia capului fetal
stomac mic sau neevidentiat
ascita si/sau hidrops
Spina bifida
Spina bifida este un defect combinat de dezvoltare a canalului spinal cu absenta partiala sau completa a arcurilor vertebrale:
completa - rahischizis
partiala - mielocelul
- meningocel, mielomeningocel
Poate fi deschisa sau acoperita de tegument si poate fi anterioara, mai rara sau posterioara mai frecventa, in functie de canalul spinal.
Este considerata cea mai frecventa anomalie fetala, dupa unii, intre
0,17 si 0,5 % din nasterile cu feti vii [2,19]
Etiologie:
deletii ale unor gene
administrare de ac. valproic si carbamazepin
deficienta de vitamine - in special acid folic
Majoritatea (80%) survin in regiunea lombo-sacrata.
Perioada favorabila
la ecografia transvaginala incepand de la 10 saptamani
cea mai buna ecografie abdominala intre 16 si 20 saptamani
Planurile de ecografie , pentru explorarea corecta a coloanei , sunt sagitale si transversale, vertebra cu vertebra.
Semne ecografice ce sugereaza spina bifida
scaderea diametrului biparietal fata de normal in trimestrul II
semnul lamaiei prin deformarea conturului cranian la nivelul oaselor frontale ce se apropie
semnul bananei - prin deformarea cerebelului ce este impins in canalul spinal
anomalii ale picioarelor
angulatia coloanei
cresterea diametrului ventriculilor laterali.
Prognosticul este in functie de marimea defectului si asocierea parezei.
Riscul de recurenta este de circa 4%. Profilaxia - administrare de 4 mg acid folic zilnic, inainte de conceptie si in primul trimestru .[20]
Fig. nr.255
Reprezentarea disrafiilor spinale , schematic, de
sus in jos, spina bifida oculta cu lipom, mielocel, meningocel si
mielomeningocel . (adaptat dupa Merz )

Fig. nr.256. Semnul lamiiei, la o sarcina cu mielomeningocel si hidrocefalie interna .

Fig. nr.257 Mielomeningocel occipital sarcina 22 sapt..

Fig. nr. 258. Defectul de inchidere a arcurilor vertebrale din figura anterioara, prezentat in sectiune transversala.( Sageta )
Anomalii toracice
Hipoplazia pulmonara: deficienta dezvoltarii pulmonare, cu reducerea marimii acestora si a numarului de acini.
Dupa 16 saptamani gestationale, arborele bronchial este complet si incepe dezvoltarea pulmonara.
Factori care induc hipoplazia:
membrane rupte prematur
displazia scheletala cu modificari toracice
anomalii renale cu oligohidramnios
hernie diafragmatica
hidrotorax, chylotorax,
cardiomegalie
malformatie pulmonara adenomatoida-chistica
anomalii cromozomiale: trisomia 13, 18, 21
sindromul Pena-Shokeir artrogripoza multiplex congenitala combinata cu hipoplazia pulmonara
Aspecte ecografice
cateodata e vorba de un torace deformat in sageata - displazie scheletala,
masurand diametrul toracic transversal, in planul celor 4 camere cardiace, se poate pune diagnosticul
cel mai bine pus in evidenta acest diagnostic este prin raportul intre diametrul pulmonar si circumferinta toracica.
Prognosticul este foarte prost, mortalitatea este de 80 - 100%, in caz de oligohidramnios se poate recurge la amnioinfuzie.[2,19]
Alte anomalii toracice sunt mai rare:
hidrotorax - dat de infectii, hidrops, insuficienta cardiaca sau anomalii cromozomiale
chylotorax - dat de malformatii ale ductului toracic sau obstructii ale cailor limfatice, asociat si cu anomalii cromozomiale uneori.
Malformatia congenitala adenomatoida chistica de obicei unilaterala consta in cresterea exagerata a ductului si arborelui bronsic. Are trei variante in functie de diametrul chistic.
chistele bronhogene izolate
sechestrul bronhogenic: o anomalie de dezvoltare pulmonara, in care o portiune este separata de restul arborelui bronsic si primeste sange direct din artera sau din ramuri ale acesteia. Se poate asocia cu alte anomalii: fistula traheo-esofagiana, diverticul esofagian, chistul esofagian bronhogenic, hernia diafragmatica, displazia scheletala, defecte cardiace, anomalii renale, hidrocefalie, hidrops.[16,19]
Hernia diafragmatica - defect uni sau bilateral diafragmatic, urmat de hernierea viscerelor in torace; incidenta 1 la 2500 de nasteri cu feti vii .[19]
Ecografic - evidentierea stomacului sau anselor anecogene in cavitatea toracica, la sectiunea longitudinala si la cea transversala, alaturi de inima in 4 camere, deplasarea spre dreapta sau stanga a cordului, in functie de asocierea hernierii ficatului.
Anomalii asociate: hidrocefalie, spina bifida, defecte cardiace, omfalocel, anomalii renale, anomalii cromozomiale, polihidramnios, insuficienta cardiaca.
Nu este asociata cu risc de recurenta.
Diagnosticul in utero va dirija nasterea spre un centru perinatal dotat cu chirurgie pediatrica.
Pentalogia Cantrell: ectopia cordis, omfalocel, defect diafragmatic anterior, defect al sternului, defect al pericardului. Este rara si formele complete sunt cu prognostic prost.

Fig. nr.259. Reprezentarea schematica a diferitelor boli pulmonare (adaptat dupa Merz [19])stinga aspect normal, dreapta hidrotorax,

Fig. nr. 260. Reprezentare schematica a diferitelor boli pulmonare (adaptat dupa Merz[19] ).Dela stanga la dreapta:
Malf. adenomatoida pulmonara chistica, Sechestrul extralobar , Hernie diafragmatica, Chist bronchogenic
Fig.nr. 261. Imagine anecogena bilaterala in torace la 24 sapt, hidrotorace, sarcina oprita in evolutie dupa 24 de ore.

Fig. nr.262. Aceeasi sarcina ca in figura precedenta, se remarca intratoracic imaginea de inima si plamani inconjurati de lichid.
Anomalii cardiace
Indicatiile de ecocardiografie si factorii de risc pentru anomalii au fost discutati la aspecte normale ale cordului fetal. Incidenta anomaliilor cardiace este 5 la 1000 de nasteri. [8].
Tabel IX.Puncte cheie ale anormalitatii la fiecare evaluare ecografica (adaptat dupa Callen si Chaoui [2,8])
|
Sectiunea ecografica |
Structura tinta |
Anormalitati |
|
Sectiunea transversa abdominala superioara |
Lobul mare hepatic Stomac Aorta abdominala (Ao) Vena cava inferioara (VCI) |
Pozitie anormala a stomacului si ficatului Splina absenta sau multipla Ao si VCI de aceeasi parte a coloanei Intreruperea VCI |
|
Sectiunea cardiaca 4 camere |
pozitia, marimea si axul inimii marimea simetrica a camerelor si vaselor venele pulmonare valvele atrioventriculare ca insertie si miscare banda moderatoare a ventriculului stang integritatea septului ventricular |
malpozitie cardiaca deplasare cardiaca ax anormal cardiac conexiune atrioventriculara anormala cardiomegalie camere sau valve asimetrice defect septal ventricular sau complex inversia valvei tricuspide apicala conexiuni venoase pulmonare anormale |
|
Sectiunea celor 3 vase |
numarul vaselor, aliniere si marime, pozitie si marime a arcului aortic trahea si bronhiile |
dilatatia aortei, a trunchiului pulmonar sau VCS discrepanta intre marimea vaselor mari alinierea anormala a vaselor sau aranjare anormala fereastra aortopulmonara doua vase in loc de trei vase mai multe aorta descendenta pe partea dreapta artera pulmonara cu origine anormala timus mic sau absent |
|
Incrucisarea marilor vase |
incrucisarea normala la nivelul trunchiurilor arteriale, integritatea septala diametrul vaselor si valvelor semilunare |
conexiuni ventriculo-arteriale anormale, trnspozitie, iesire dubla din ventriculi, trunchi arterial comun sept interventricular cu defect aorta sau truchiul pulmonar calare dimensiuni anormale ale vaselor sau valvelor |
|
Axul scurt al inimii |
crista supraventriculara trunchiul pulmonar cu bifurcatia marimea aortei si a valvei aortice |
defectul septal interventricular dimensiune mica a valvei aortice ingustarea trunchiului pulmonar, absenta bifurcatiei |
|
Ductul aortic si aorta |
pozitie, contururi si marime a arcului aortic si a aortei pasajul sanguin la arcul aortic ramurile arcului |
aorta ascendenta mai mica fata de aorta descendenta ingustarea arcului aortic intreruperea arcului aortic arc aortic drept, dublu vase in spatele traheei. |
Tabel IX (continuare).Puncte cheie ale anormalitatii la fiecare evaluare ecografica (adaptat dupa Callen si Chaoui [2,8])
Recent se atrage atentia asupra regiunii din jurul cordului fetal , pentru diagnosticul malformatiilor de cord.( Berg. si colab 2007[4] )

Fig. nr. 263.
Lichid pericardic (SAGEATA) , fat cu anamnios si retard major de
crestere
intrauterina RCIU,cu suspiciunea de sindrom genetic
![]()
Fig. nr.264. Trunchi arterial comun la un fat cu sdr. polimalformativ 23 sapt. (sageta indica vasul unic ce porneste deasupra septului interventricular )

Fig. nr. 265. Defect septal larg interventricular si interatrial, la 38 sapt si malformatie cardiaca complexa.
Fig. nr. 266. Alaturarea paralela a celor doua vase mari, cu origine comuna in ventriculul drept,, cu hipotrofia ventriculului stg, la acelasi fat ca in figura precedenta
Aritmiile cardiace apar intre 0,2 si 2% din feti.[8,19] Aritmia tranzitorie fetala apare la circa 10% din sarcinile evaluate prin auscultatie, CTG sau ecografic, si este foarte rar asociata (sub 5%) cu anomalii cardiace, cu exceptia fetilor cu bloc atrioventricular.[8] Rabdomiomul reprezinta cea mai frecventa tumora cardiaca fetala, ecografic apare rotunda, hiperecogenica,omogena, in ventriculi sau multiple puncte in ventriculi si sept.(Chao si colab. 2008[7])
Anomalii ale tractului gastrointestinal si a peretelui abdominal
Atrezia esofagiana - inchiderea anormala a esofagului, asociata sau nu cu fistula traheoesofagiana.
Incidenta intre 1:1500 si 1:5000 nou nascuti vii.[2,19]
Semne ecografice: polihidramnios si nevizualizarea stomacului sunt semne sugestive, dar prezenta imaginii anecogene a stomacului nu exclude o fistula joasa traheoesofagiana. In cateva cazuri, apare semnul saculetului la nivelul gatului.[16] Dg. nu este pus decat intre 12,2% si 42% din cazuri [26].
Anomalii asociate - polihidramniosul (nu apare inainte de 24 saptamani), anomalii gastroeintestinale, de cord, urogenitale, scheletale, de SNC.
Prognosticul - in functie de anomalii asociate si greutatea la nastere
Alte anomalii sunt mai rare.[16,19]
atrezia intestinala - evidenta doar dupa 20 sapt. ecografic apar numeroase mase chistice intraabdominale, eventual polihidramnios.
atrezia duodenala - semnul evident "double bubble" asociat in 53% din cazuri cu polihidramnios.
atrezia jejunala si ileala - mase chistice multiple in abdomenul fetal, ce au peristaltica (imaginea de tuburi de orga). De obicei este un diagnostic de trim III.
atrezia de colon - dilatatie marcata cu anse mari in abdomen. Wrobleski si Wessel Hoeft au descris megacolonul congenital din cadrul bolii Hirschprung in 1979.[27]
atrezie anala - ecografia indica cateodata anse dilatate sau meconiu hiperecogen, calcificat, intraluminal: uneori nu exista semne ecografice anormale.
ileusul meconial - ileon dilatat cu ecouri interne dense. Diferentierea trebuie facuta cu ansele ileale hiperecogene din trisomia 21 sau infectiile virale cu citomegalovirus, herpes, varicela, parvovirus B12. Cea mai frecventa cauza a ileusului este mucoviscedoza.
peritonita meconiala este o raritate.
Defectele de perete abdominal[17]
Ø omfalocelul
Ø hernia ombilicala
Ø gastroschizis
Ø eventratia
Omfalocelul - sac hernial ce contine anse si/sau ficat
Hernia ombilicala - apare mai tarziu decat omfalocelul, contine doar anse.
Gastroschizis - defect de perete abdominal fara sac hernial, situat la dreapta insertiei cordonului ombilical.Peste 90 % din fetii diagnosticati antenatal cu gastroschisis supravietuiesc nasterii, mortalitatea neonatala fiind de circa 11 %. [10]
Eventratia - defect mare abdominal, cu protuzia viscerelor abdominale.
Toate aceste defecte de perete abdominal au ca imagine ecografica anse ileale in afara cavitatii abdominale, insotite sau nu si de alte organe inomogene (ficat), ce pot "flota" in lichidul amniotic. Sectiunile transversale obligatorii ce cauta intrarea cordonului ombilical in peretele abdominal fetal, pun in evidenta defectul de perete.
Fig. nr. 267. Clasificarea anomaliilor abdominale , inclusiv cele de perete , schematic (adaptat dupa Kurjak, Chervenak , Carrera[16] )
Anomalii ale rinichiului si tractului urinar
Incidenta [16,19]
1,8% in trim I
0,65% trim II si III
0,3 - 1 % la nastere
0,3% la adult
Formatiuni chistice ovariene sunt rare si reprezinta doar 14% din toate tumorile nou-nascutilor .Peste 40 % din anomaliile decelate antenatal sunt cele ale aparatului urogenital, din acestea 12% au anomalii cromozomiale asociate [11,19].
Semne ecografice - dupa Holzgrene - 1996[13] , ce trebuiesc cautate pentru excluderea anomaliilor de tract urinar:
determinarea cantitatii de lichid amniotic, prezenta oligohidramniosului va duce la diagnosticul diferential cu ruptura de membrane si cu retardul de crestere intrauterina
cautarea dilatatiilor pielonului sau ureterului
dilatatia de peste 5 mm in trim II si peste 10 mm in trim III este patologica (limitele variaza dupa diferiti autori intre 5 si 10 mm). Dilatatia moderata 6 - 9 mm, in special bilaterala este asociata cu cresterea incidentelor de anomalii cromozomiale si este necesara reevaluarea dilatatiei la 2 saptamani
dilatatia odata instalata, se va evalua extensia si localizarea, eventualul chist renal se va exclude
marimea, pozitia, ecogenitatea ambilor rinichi va fi apreciata
cautarea si masurarea vezicii, in general sub 5 cm diametru maxim este normal
prezenta anomaliilor renale va conduce la cautarea unor alte anomalii, eventual la definirea cariotipului fetal.
Semnele ecografice ale ageneziei sau aplaziei renale bilaterale
(secventa clasica a sd. Potter)
oligohidramnios sau anamnios in trimestrul II
nevizualizarea vezicii, chiar dupa amnioinfuzie
nevizualizarea rinichilor (a nu se confunda cu glandele suprarenale)
semne de hipoplazie renala (torace deformat)
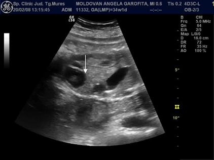
deformitati ale membrelor.
Riscul de recurenta a sd. Potter (anomalie renala bilaterala descrisa, hipoplazie pulmonara, dismorfie faciala, deformitati ale membrelor) este de cca 3 - 4 %. Prognosticul acestor feti este grav.[2,16,19]
Semne ecografice ale bolii polichistice renale autozomal recesive [2,19]:
Ø oligohidramnios sau anamnios in trim II
Ø nevizualizarea vezicii urinare chiar dupa amnioinfuzie
Ø ambii rinichi mari si hiperecogeni cu multiple chiste mici ("rinichi spongiosi")
Ø semne de hipoplazie pulmonara fetala
Ø deformitati ale membrelor
Prognosticul acestor boli este grav, iar riscul de recurenta este de cca 25%.
Semne ecografice de uropatie obstructiva[16,19]
Ø lichid amniotic normal sau redus (inainte de 24 de saptamani prognostic grav)
Ø dilatatie variabila a sistemului pielocaliceal, uretere, vezica urinara
Ø pierderea diferentierii corticomedulare: prognostic prost
Ø chiste in parenchimul renal - prognostic prost
Ø hiperecogenitati in parenchimul renale - prognostic prost
Prognosticul este in functie de locul leziunii si gradul de afectare renala.Sindromul de valva uretrala posterioara este cea mai comuna cauza, circa 9 % din uropatiile fetale. [11]
Diagnosticul diferential al tumorilor abdominale la nou- nascut [16, 19 ]
boli renale: hidronefroza, rinichi polichistic, rinichi ectopic sau "in potcoava"
tumori renale - Wilms, nefrom mezoblastic
tromboza renovasculara
boli ale glandelor suprarenale: neuroblastom, hemoragii, adenoame.
tumori hepatice,
teratoame
duplicatii ale tractului digestiv
sechestru pulmonar subdioafragmatic
chist de pancreas sau tract biliar
chist ovarian
chist mezenteric

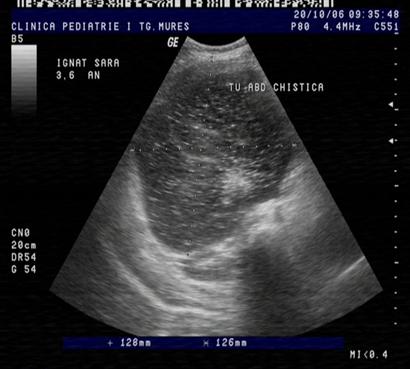
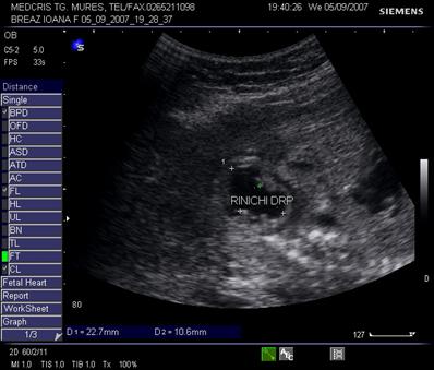
Fig. nr. 268. Formatiune anecogena abdominala fetala independenta de rinichi, la 28 sapt,ulterior in crestere la copilul de 3 ani

Fig. nr. 269. La peste 3 ani de la diagnosticul intrauterin, formatiunea tumorala abdominala ajunge la dimensiunea de 12 cm diametru si cu o structura inomogena cu mici hiperecogenitati sugestive ptr un teratom
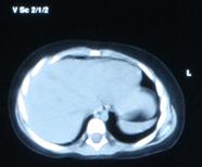
Fig. nr. 270. Formatiunea tumorala explorata echo in figura anteorioara, acum la computer tomografie, in raport cu ficatul. Intraoperator s-a gasit un teratom retroperitoneal.

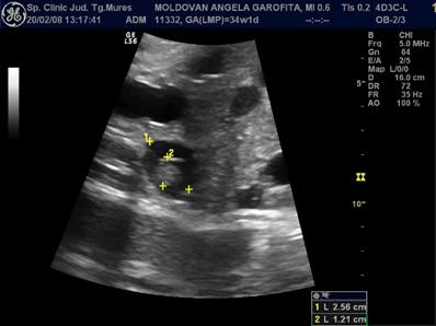
Fig. nr. 271. Formatiune abdominala fetala , la o sarcina de 34 sapt, sex feminin, sugestiva pentru un teratom ovarian.

Fig. nr. 272.
Acelasi fat din figura precedenta, se remarca formatiunea anecogena
intraabdominala, bine delimitata, ce contine o zona ecogena, sugestiva pentru
un teratom. Cu sageata , vezica urinara.

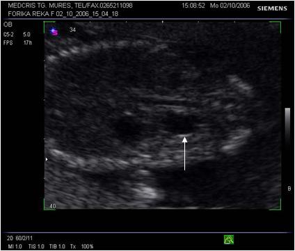
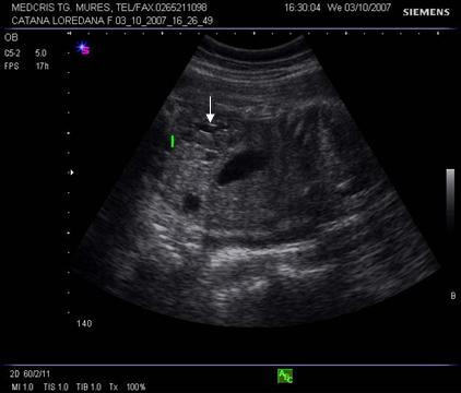
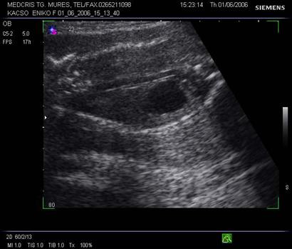
Fig. nr. 273. Dilatatie pielocaliceala renala fetala, unilaterala, la 16 sapt.( sageata)
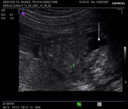
Fig. nr. 274. Sectiune transversala fetala la nivel lombar, 23 sapt., linia verde indica rinichiul fara dilatatie, cu sageata se remarca dilatatia pielocaliceala evidenta controlaterala

Fig. nr. 275. Dilatatia pielocaliceala din figura precedenta , intr-o sectiune parasagitala fetala, cu axul lung renal.

Fig. nr. 276. Megaureter, la 23 sapt la acelasi fat din figurile precedente.

Fig. nr.277. Dilatatie bilaterala bazinetala renala la 28 sapt, sectiune transversala lombara, fat cu sindrom de valva uretrala posterioara

Fig. nr.278. Sindrom de valva uretrala posterioara, la fatul de 28 sapt. sex masculin, se remarca dilatatia bilaterala bazinetala moderata, vezica urinara destinsa,

Fig. nr .279. Sarcina de 32 sapt., cu bazinet renal minim dilatat. ( cu linia rinichiul pol inferior,cu sageata pielonul )
Fig. nr. 280. Formatiune anecogena intrabdominala, posibil hidronefroza , la un fat cu anamnios, retard major de crestere intrauterina RCIU si presupus sindrom genetic

Fig. nr. 281. Acelasi fat cu anamnios si RCIU, cu os nazal relativ scurt
Anomalii genitale
Masculine
Ø hidrocel testicular - fluid acumulat in scrot, comun in cazul hidropsului fetal nonimun.
Ecografic apare ca fluid hipoecogen cu testicule ecogene in interior. Descensul testicular are loc intre 28 si 34 saptamani. In caz contrar se pune diagnosticul de criptorhidie.[19]
Alte malformatii ca micropenis sau hermafroditismul sunt rare.
Feminine
Ø chistul ovarian - formatiune bine circumscrisa in partea inferioara a abdomenului fetal, greu de diferentiat de chistul mezenteric sau de rinichiul hidronefrotic ectopic.[2,16]
Alte malformatii ca hipertrofia de clitoris, sunt rare.
Teratomul sacrococcigian - tumora disontogenica germinativa, caracterizata printr-un amestec de zone chistice si solide, inclusiv zone inomogene si eventual cu hiperecogenitati. Hidropsul fetal asociat este datorat hemoragiei tumorale cu anemie secundara, sunturilor arteriovenoase intratumorale, transudatiei tumorale.
Majoritatea acestor teratoame se situeaza in regiunea saccrococigiana si se asociaza cu polihidramnios in majoritatea cazurilor .[16,19]
Alte semne ecografice sunt modificarea pozitiei vezicii si posibile obstructii de tract urinar.
Prognosticul depinde de tipul matur sau imatur de teratom, cel imatur este mai grav, cu recurenta loco-regionala.
Marimea tumorii ridica probleme la nasterea pe cale vaginala.
Anomalii de membre
De obicei cu anamneza familiala pozitiva, necesita timp si experienta pentru diagnostic. Incidenta este rara.[2,16,19]
Lipsa completa a membrului se defineste ca amelie. Atasarea unei maini sau picior direct la umar sau sold, poarta numele de phocomelie.Lipsa miinii sau piciorului, cu prezenta restului membrului, se defineste ca peromelie.Mana sau piciorul rudimentar, atasat la restul membrului normal, poarta numele de ectromelie.
Fig. nr.282. Clasificarea lui Stevenson a defectelor izolate de membre .De la aspect normal ( stanga sus primul si al doilea rand) la variate forme de meromelie(adaptat dupa[25]).
Piciorul stramb (equinovar) incidenta 3: 1000, asociat altor sindroame doar in proportie de 20%[19].La examinarea piciorului, evidentierea degetelor este in acelasi plan cu gamba .
Anomalii scheletale - 1 la 4100 nou-nascuti, in Italia 1978 - 1981 [5] includ:
displazia
thanatofora- craniu mare, torace ingustat, rizomelie( oasele lungi proximale
sunt scurte )
acondroplazia
- rizomelie disproportionata, lordoza, cap mare
acondrogenesis
- micromelie ( oasele lungi proximale si distale sunt egal scurtate),
macrocefalie, trunchi scurt
osteogenesis
inperfecta - oase extrem de fragile.
Scurtarea oaselor sau dwarfism , poate fi observata, rizomelia si micromelia au fost descrise mai sus, se mai adauga ca termen mesomelia adica scurtarea oaselor lungi distale si acromelia ce reprezinta scurtarea segmentelor distale mana, picior.[1,2,16,19]
Anomalii se regasesc ecografic doar la o atenta examinare a capului, coloanei, oaselor toracelui si membrelor.
Bibliografie
1. Badea R.I.,Dudea S. M., Mircea P. A.,Stamatian F.,Tratat de Ultrasonografie Clinica, Editura Medicala - Bucuresti 2000, pag 624-663.
2. Callen P.W., Ultrasonography in Obstetrics and Gynecology , Fifth Edition , Saunders Elsevier 2008, pag 363-675.
|
Politica de confidentialitate | Termeni si conditii de utilizare |
Vizualizari: 16048
Importanta: ![]()
Termeni si conditii de utilizare | Contact
© SCRIGROUP 2025 . All rights reserved