Scrigroup - Documente si articole

     

HomeDocumenteUploadResurseAlte limbi doc
Alimentatie nutritieAsistenta socialaCosmetica frumuseteLogopedieRetete culinareSport

Nefropatia diabetica (ND)

sanatate



+ Font mai mare | - Font mai mic



Nefropatia diabetica (ND)

Nefropatia diabetica (ND) este o complicatie cronica a diabetului zaharat (DZ), ce apare atat in DZ tip 1 cat si in DZ tip 2, la 20-40% din cazuri si reprezinta cea mai frecventa cauza a bolii cronice de rinichi Desi ND este considerata o complicatie cronica microangiopatica a DZ, alaturi de retinopatia si neuropatia diabetica, variabilitatea, evolutivitatea si complexitatea deosebita a leziunilor din ND la pacientii cu aceiasi durata a bolii, acelasi grad de echilibru metabolic si aceiasi factori de risc asociati, au impus redefinirea acestei complicatii.



In rinichiul diabetic exista doua mari categori de leziuni:

Leziuni specifice diabetului, cunoscute generic sub denumirea de nefropatie diabetica, reprezentate de glomeruloscleroza diabetica, care reprezinta localizarea microangiopatiei diabetice la nivelul rinichiului. Ele sunt reprezentate de:

glomeruloscleroza nodulara (Kimmelstel Willson) descrisa pentru prima oara in 1930;

glomeruloscleroza difuza (Fahr- Bell);

glomeruloscleroza exudativa (Sphler - Zollinger);

Leziuni nespecifice, similare altor nefropatii, dar cu frecventa mai mare si evolutie particulara, cum ar fi:

Ateroscleroza renala (macroangiopatia renala diabetica): se identifica anatomopatologic la un pacient diabetic din cinci, datorita aterosclerozei accelerate ce apare la pacienti cu DZ.

Arterioloscleroza renala (nefroangioscleroza) - apare mai precoce, este mai severa la pacientii diabetici comparativ cu cei fara DZ, si in DZ tip 2 comparativ cu DZ tip1, deoarece HTA primara este mai frecventa ( >70% din pacientii cu DZ tip 2 au HTA la data diagnosticarii).

Infectiile tractului urinar in diabet apar de 2 ori mai frecvent la pacientii cu DZ, comparativ cu populatia generala si evolueaza mai sever, datorita unor cauze favorizante(prezenta angiopatiei, care scade puterea de aparare locala; staza urinara, ce apare datorita neuropatiei vegetative, cu pareza vezicala; disfunctii leucocitare caracteristice, ce apar in dezechilibrarea metabolica, cu alterarea fagocitozei si a sintezei de anticorpi; infectii genitale de vecinatate; glicozurie; litiaza renala, frecvent asociata).

. Pielonefrita acuta. Este de obicei mai severa la pacientii cu DZ, cu cresterea incidentei pielonefritei emfizematoase si a complicatiilor PNA: septicemie, soc toxico-septic, IRA, recroza papilara, supuratie renala.

Pielonefrita cronica. Nu are particularitati evolutive la pacientii cu DZ.

. Infectia tractului urinar inferior. Se manifestaclinic ca uretrita, determinata de Candida, Trichomonas, Chlamydia, mai ales la pacientii dezechilibrati metabolic. Cistita emfizematoasa apare mai frecvent la pacientii cu DZ.

Bacteriuria asimptomatica Are o frecventa mai mare la pacientii cu DZ si este localizata superior in 50% din cazuri, necesitand totdeauna tratament, datorita riscului crescut de a dezvolta complicatii grave: necroza papilara, sepsis, abces perirenal etc.

. Abcesele intrarenale si perirenale Sunt de regula complicatii ale infectiilor tractului urinar si survin pe un teren tarat.

. Necroza papilara. Este o complicatie foarte grava a infectiilor tractului urinar la pacientii cu DZ. Pe examenele necroptice s-a depistat la 4,45 dintre pacienti, in 60% dintre cazuri fiind bilaterala. Este mai frecventa la femei comparativ cu barbatii, apare in special la femeile cu infectii urinare repetate. De obicei afectarea unilaterala este urmata la cativa ani de aparitia leziunii si la celalalt rinichi. Debutul poate fi acut, cu stare septica si sfarsit letal, sau cronic, cu tablou de colica renala sau infectii urinare repetate.

In urma cu 25-30 de ani, ND se indentifica cu glomeruloscleroza nodulara Kimmelstiel-Willson. Timpul a demonstrat insa ca toate tipurile de leziuni amintite se intrepatrund la fiecare pacient in parte si in functie de predispozitia genetica duc la progresia in timp catre boala cronica de rinichi.

Intrucat numerosi autori asociaza notiunea de ND cu vechea conceptie, se impune tot mai mult adoptarea altei terminologii, cum ar fi aceea de boala renala diabetica (BRD), care sa includa toate modificarile ce apar la nivel renal la un pacient cu DZ. [2, 4, 7, 8, 9]

Incidenta si prevalenta nefropatiei diabetice.

Nefropatia diabetica afecteaza 20-40% dintre toti pacientii cu DZ, indiferent de sex. Numarul pacientilor cu ND este in continua crestere, datorita urmatorilor factori: cresterea duratei medii de viata a populatiei, cresterea prevalentei DZ, in special a DZ tip 2, cresterea sperantei de viata a pacientilor cu DZ si a pacientilor cu DZ si IRC in stadii compensate, liberalizarea politicii de includere in terapia de substitutie a functiei renale (TSFR) a pacientilor cu DZ.

Progresele inregistrate in tratamentul DZ au dus la prelungirea duratei de viata a pacientilor cu DZ, care nu mai sfarsesc prin boli acute (coma cetoacidozica, hiperosmolara, lactica, sau infectii severe), permitand dezvoltarea complicatiilor cronice ale DZ, angiopatia fiind principala expresie a DZ.

In DZ tip 1 incidenta ND creste cu durata DZ, atingand 2-3% pe an la 13-20 de ani de evolutie, iar dupa 20 de ani incidenta acesteia scade din nou, ramanand la valori de 0,5% pe an [2, 5, 10, 13, 14]. ND cu proteinurie apare foarte rar la o durata a DZ sub 10 ani. De asemeni, daca un pacient cu DZ tip 1 nu dezvolta ND dupa mai mult de 35 de ani de evolutie a diabetului, riscul de a mai dezvolta ND este extrem de mic.

Prevalenta cumulativa a ND clinic manifeste creste paralel cu durata DZ, astfel: dupa 15 ani de evolutie a DZ au ND 20% dintre pacientii cu DZ; dupa 20 de ani de evolutie a DZ au ND 25% dintre pacienti; dupa 25 de ani 30%, dupa 40 de ani au ND 35-40% dintre pacienti. Histologic, la microscopia optica, 60% dintre pacientii cu DZ prezinta ingrosarea membranei bazale glomerulare si modificari mezangiale, iar la microscopia electronica 100% dintre pacienti prezinta leziuni histologice [14].

In DZ tip 2 riscul de aparitie al ND este asemanator cu cel al pacientilor cu DZ tip 1. Aproximativ 3% dintre pacientii cu DZ tip 2 prezinta ND clinic manifesta in momentul diagnosticarii DZ. Prevalenta ND in DZ tip 2 este de aproximativ 40%, cu o mare variabilitate a datelor citate de literatura, variabilitate care poate tine de: mostenirea genetica, stilul de viata, anumite grupuri etnice etc. Pacientii africani-americani, mexicani-americani, indieni americani si polinezieni au cel mai mare risc de a dezvolta ND, si prezinta o progresie rapida a ND catre stadiul terminal (5).

In SUA aproximativ jumatate dintre pacientii inclusi in terapii de substitutie a functiilor renale au DZ cu boala renala diabetica in stadiul terminal.

In Heidelberg (Germania) 50% dintre pacientii admisi in TSFR in 1995 au avut DZ, iar 90% dintre ei au avut DZ tip 2.

Istoria naturala a ND. Stadializare.

Exista mai multe similitudini intre ND la pacientii cu DZ tip 1 si DZ tip 2, dar exista si diferente.

La pacientii cu DZ tip 1 evolutia ND este bine definita si caracterizata prin cinci stadii de evolutie, in concordanta cu Morgensen [8]. In DZ tip 2 cursul nefropatiei diabetice este mai putin elucidat, intrucat de multe ori nu se cunoaste data exacta a debultului DZ, sau exista alti factori asociati DZ, care pot accelera progresia ND, cum ar fi: HTA, varsta sau rasa. Pacientii cu ND, in special cei cu DZ tip 2, au risc cardio-vascular foarte crescut si astfel evolutia ND poate fi stopata prin moarte prematura de cauza cardiovasculara, inainte de a ajunge in stadiul terminal al bolii si a beneficia de terapie de substitutie a functiilor renale

In evolutia ND se urmaresc parametrii: rata excretiei de albumina (REA), rata filtrarii glomerulare (RFG), valorile tensiunii arteriale, modificarile anatomo-patologice.

Urmarind acesti parametrii Mogensen [13] a descris cinci stadii evolutive ale ND (Tabelul 5.1). Aceasta stadializare nu este aplicabila bolii renale diabetice,care include si alte tipuri de leziuni renale si nu este superpozabila stadializarii bolii cronice de rinichi. Este impotanta din punct de vedere stiintific si are valoare didactica.

Tabelul 5.1. Stadiile ND la pacientii cu DZ tip 1 (dupa Mogensen modificat)

Stadiul

Denumire

Intervalul de la diagnosticarea DZ (ani)

Modificari fiziopatologice si anatomopatologice sugestive

TA

RFG ml/min

Albuminurie mg/min

Observatii

Stadiul modificarilor functionale precoce

Odata cu instalarea DZ (virtual toti bolnavii cu DZ tip 1 la debut)

- creste presiunea intraglomerulara

- glomeruli hipertrofici

- rinichi hipertrofici

- MBG-N

- mezangiu N

N

150 (crescut cu 20-50%)

(rapid reversibila)

Controlul metabolic prin insulinoterapie duce la disparitia microalbuminuriei si normalizarea RFG

Stadiul modificarilor structurale precoce (silentios)

- ingrosarea MBG

hipertrofie glomerulara

mezangiu expansionat

N

120-150 (crescut cu 20-50%)

Absenta ( in stress)

RFG poate fi scazuta prin control metabolic si tratament cu IEC

Nefropatie diabetica incipienta

6-15 (la 35% dintre pacienti)

- MBG mai ingrosata

- mezangiu mai expansionat

cresterea presiunii intraglomerulare

Creste

-cu 3 mmHg/an (fara tratament)

Albuminuria normala este sub 30 mg/zi

Nefropatie diabetica clinic manifesta sau patenta

10-25 (la 35% din cazuri)

- modificarile std 3, avansate

-cresterea proportiei de glomeruli inchisi

- hiperfiltrare in glomerulii restanti

, creste cu 5 mmHg/an (fara tratament)

¯ cu 10-12 ml/min/an

>200

Reducerea progresiei la TA sub 135-85 mmHg

Insuficienta renala terminala

- inchidere glomerulara extensiva

- MBG ingrosata

- mezangiu expansionat (capsular drop, fibrin cap)

- hialinoza extensiva a arteriolelor aferente si eferente.

- glomeruloscleroza

HTA

<10

Nici trat HTA, nici normalizarea glicemiei nu amelioreaza functia renala

Stadiul I (Stadiul modificarilor functionale precoce).

- In acest stadiu sunt prezente o serie de modificari, reversibile dupa controlul metabolic. Virtual acest stadiu este prezent la 100% dintre cazurile noi de DZ.

- Pacientii cu DZ tip 1 nu prezinta albuminurie, sau pot prezenta albuminurie crescuta, care se normalizeaaza de obicei dupa echilibrarea metabolica cu insulina, intr-un interval de 3-6 luni. REA mai poate creste tranzitor in perioadele de dezechilibru metabolic, efort fizic crescut, ortostatism prelungit, regim alimentar hiperproteic etc. In urmatorii ani excretia urinara de albumina ramane normala.

- Rata filtrarii glomerulare (RFG) este crescuta la debutul DZ tip 1 cu 20-50%. RFG se normalizeaza dupa saptamani sau luni de tratament cu insulina, dar ramane crescuta la 25-40% dintre cazuri, la valori peste 150ml/min/1,73m2. Persistenta hiperfunctiei renale are rol predictiv asupra dezvoltarii ND la acesti pacienti.

- Examenul ecografic evidentiaza de obicei hipertrofie renala.

Optimizarea controlului metabolic este esentiala in acest stadiu, intrucat modificarile pot fi reversibile, stopandu-se progresia catre stadiile urmatoare.

- Valorile TA sunt crescute.

Stadiul II (Stadiul modificarilor structurale precoce, stadiul silentios).

- Este prezent la 50% dintre pacienti, apare la 1-5 ani de la diagnosticarea DZ si poate fi reversibil spontan sau prin interventie terapeutica.

- Acest stadiu poate fi diagnosticat numai prin punctie biopsie renala (neindicata uzual), care evidentiaza: ingrosarea membranei bazale a capilarelor glomerulare si eventual expansiune mezangiala (absente in stadiul I). Hipertrofia glomerulara poate fi observata, dar nu este obligatorie.

- REA este in limite normale, dar poate creste temporar.

- RFG poate fi normala sau crescuta cu 20-50%.

Stadiul III (Nefropatia diabetica incipienta).

Apare la 3-15 ani de la diagnosticarea DZ, la 35% dintre pacienti.

Se caracterizeaza prin valori crescute ale albuminuriei, intre 20-200mg/min sau 30-300mg/24h. Trebuie subliniat ca pentru a depista microalbuminuria vor fi folosite teste speciale, intrucat cele uzuale arata proteinurie negativa. Determinarea microalbuminuriei se face prin tehnica ELISA, prin determinarea radioimunologica (RIA) sau prin imunoturbidimetrie, sau prin imunodifuzia radiala Mancini. REA, inafara interventiei terapeutice, va creste cu 20%/an.

FG este inca normala sau crescuta.

Aproximativ 80% dintre pacientii cu microalbuminurie persistenta vor dezvolta nefropatie diabetica (stadiul IV) in urmatorii 10 ani [9, 10]. Rata cresterii REA este legata evident de controlul glicemic si valorile tensionale. Cu cat microalbuminuria apare mai tarziu (>15 ani) cu atat mai lenta va fi progresia ND.

TA este normala sau crescuta moderat si creste cu 3mmHg/an fara tratament.

Leziuni anatomopatologice: se accentueaza ingrosarea membranei bazale si expansiunea mezangiala, apar primele obstructii glomerulare, insotite si agravate de o presiune intraglomerulara crescuta.

Acest stadiu poate dura mai multi ani. Controlul optim al glicemiei si tratamentul agresiv al HTA poate incetini progresia catre stadiul urmator.

Stadiul IV (Nefropatia diabetica patenta sau nefropatia clinic manifesta)

Apare dupa 15-25 de ani de la debutul DZ, la 35% dintre pacientii cu DZ tip 1.

RFG poate fi normala, , sau scazuta. Apare macroalbuminuria sau proteinuria progresiva de tip glomerular. In contrast cu stadiul microalbuminuric, proteinuria nu mai este selectiva, inafara de albumina se excreta numeroase proteine diferite. Proteinuria nu atinge, de cele mai multe ori, valori nefrotice, care atunci cand apare(10% dintre cazuri) indica un prognostic nefavorabil [11].

Valorile TA sunt aproape constant crescute, in absenta tratamentului antihipertensiv crescand cu 5-7 mmHg/an.

Anatomopatologic: lezinile din stadiul III devin mai severe, adaugand o crestere a proportiei de glomeruli inchisi, cu hiperfiltrare in glomerulii restanti. Stadiul IV al ND evolueaza in trei substadii: precoce, intermediar si avansat. In stadiul precoce filtratul glomerular scade de la 130 spre 100 ml/min, iar albuminuria este peste 200mg/zi (>300mg/zi), cu crestere continua a acesteia. In stadiul intermediar si avansat, RFG scade la 100-70ml/min, respectiv sub 70ml/min. Dupa intrarea in etapa intermediarea a ND, filtratul glomerular scade cu 1ml/min/luna, deci cu aproximativ 12ml/min/an. Progresia ND in acest stadiu poate fi incetinita prin reducerea valorilor tensionale sub 135/85mmHg. In acest stadiu pot aparea semne ale sindromului nefrotic (edeme); retinopatia diabetica este prezenta la 95% dintre cazuri.

Stadiul V

Apare dupa 15-35 de ani de evolutie a DZ tip 1. Daca perioada de la diagnosticarea DZ pana la dezvoltarea ND clinic manifeste (stadiul IV) are o mare variabilitate, progresia ulterioara catre stadiul uremic (stadiul V) este relativ predictibila, desfasurandu-se, in medie, in 5-7 ani. Durata evolutiei acestui stadiu este de ordinul lunilor.

Se caracterizeaza prin leziuni glomerulare avansate, cu obstructie glomerulara aproape totala.

Filtratul glomerular scade sub 10ml/min/1,73m2 si corespunde stadiului 5 (terminal) al bolii cronice de rinichi.

Datorita distructiei nefronilor proteinuria poate sa scada. Excretia de uree urinara scade sub 10g/24 ore.

HTA este constant prezenta. Adeseori, la bolnavii nemonitorizati ND se poate diagnostica in stadiul uremic. Aproape 100% din pacienti prezinta retinopatie diabetica avansata, neuropatie diabetica somatica si vegetativa, astfel incat tabloul clinic in stadiul uremic este agravat de prezenta celorlalte complicatii cronice ale DZ.

Desi la debutul DZ tip 1, toti pacientii prezinta ND stadiul 1, numai 30-40% dintre acestia evolueaza pana in stadiile IV si V ale ND. Stoparea progresiei ND se obtine prin: optimizarea controlului metabolic (HbA1c <7%), TA normala (spontan sau sub tratament, de preferat IEC). Absenta antecedentelor familiale de HTA si de ND progresiva au un rol favorabil in evolutia ND.

Evolutia ND in DZ tip 2 este similara aceleia din DZ tip 1. Totusi, in DZ tip 2 evolutia naturala a ND este dificil de evaluat, datorita dificultatii de a stabilii cu certitudine debutul bolii. In prezent exista suficiente dovezi pentru sustinerea faptului ca riscul de ND este egal in ambele forme de DZ. Este posibil ca un tratament corect si eficient al HTA si al bolii cardiovasculare sa scada mortalitatea de cauza cardiovasculara in DZ tip 2, astfel incat acestia sa aiba o speranta de viata suficient de mare, incat sa dezvolte ND.

Patogeneza nefropatiei diabetice

ND este rezultatul interactiunii a numerosi factori metabolici si hemodinamici la nivelul microcirculatiei renale, [29] avand ca substrat un polimorfism genetic de tip poligenic, care genereaza o susceptibilitate individuala pentru aceasta complicatie.

Rolul factorilor hemodinamici in patogeneza ND

Hipertensiunea arteriala sistemica joaca un rol major in aparitia si progresia NDpredispozitia genetica la hipertensiune poate determina o susceptibilitate individuala pentru dezvoltarea ND [72].

Este evocator, pentru rolul hipertensiunii arteriale sistemice in geneza leziunilor glomerulare, exemplul indienilor Pima cu HTA inainte de diagnosticarea diabetului, care constituie un predictor pentru aparitia ND dupa aparitia diabetului [63].

Studii prospective efectuate la pacienti cu tip 1 si tip 2 de diabet au relevat prevalenta crescuta a HTA, la aproximativ 40% dintre ei, la diagnosticarea bolii si faptul ca acesti pacienti normoalbuminurici progreseaza spre microalbuminurie [70].

La peste 80% dintre pacientii cu DZ tip 2 s-a observat un profil circadian anormal al presiuni arteriale, scaderea cu <10 - 15% a valorilor presiunii arteriale in cursul noptii ("non dipper") [40]. Pacientii "non dipper" care dezvolta ND au un declin accelerat al RFG [34].

Deasemenea, pacientii diabetici cu valori tensionale bazale normale, prezinta cresteri ale valorilor presiuni arteriale in timpul exercitiului fizic.

Scaderea compliantei peretilor arteriali, la pacientii cu DZ tip 2, determina cresteri ale valorilor presiunii arteriale sistolice si nivele normale ale presiuni arteriale diastolice [45]. Rezulta o hipertensiune arteriala sistolica izolata, care este un puternic predictor ale progresiei bolii si al riscului cardiovascular.

Cresterea presiunii intraglomerulare este efectul alterarii microcirculatiei glomerulare, ca urmare a interventiei unor factori metabolici si hemodinamici, dintre care cei mai importanti sunt: sistemul renina-angiotensina (SRA), oxidul nitric (NO) si stressul mecanic.

Activitatea inadecvata, excesiva a sistemului renina-angiotensina la nivel renal se exercita prin intermediul angiotensinei II (AG II), produsa de catre celulele mezangiale stimulate de hiperglicemie [19].

Angiotensina II actioneaza local (renal) legandu-se de receptorii variatelor tipuri de celule renale, avand ca efect progresia bolii renale, independent de activitatea hemodinamica sistemica [17], prin:

depunerea de matrix in celulele mezangiale si tubulare printr-un mecanism dependent de TGF-b

cresterea permeabilitati capilarelor glomerulare pentru proteine;

vasoconstrictia arteriolei eferente, care genereaza cresterea presiunii intraglomerulare.

Oxidul nitric (NO) rezulta din L-arginina sub actiunea nitric oxid sintetazelor (NOS), care exista in organism, sub trei izoforme genetic distincte [83].

La nivel renal, NOS contribuie la reglarea fluxului sanguin renal, la autoreglarea presiuni capilare intraglomerulare si la modularea activitatii de feed-back glomerulo-tubular.

Principalele efecte benefice (protectoare) renale ale NO in DZ sunt:

antagonizarea efectelor angiotensinei II;

cresterea fluxului capilar;

inhibarea proliferarii mezangiale;

scaderea permeabilitatii endoteliale pentru albumina;

reducerea stresului oxidativ in celulele endoteliale.

In DZ experimental, in fazele initiale, creste sinteza de NO (creste izoforma endoteliala a NOS), al carui accentuat efect vasodilatator pare a fi modulat de factorul endotelial vascular de crestere (VEGF) [59].

In stadiile mai avansate ale DZ scade productia de NO determinand o alterare a raspunsului vasodilatator.

Stresul mecanic este generat de expansiunea elastica a glomerulului, ca urmare a cresterii presiunii intraglomerulare. Efectul stresului mecanic este activarea celulelor glomerulare endoteliale, mezangiale si podocitare, care vor produce factori de crestere, citokine, colagen IV si angiotensina II [57].

Rolul factorilor metabolici in patogeneza nefropatiei diabetice

Hiperglicemia

Prin mecanisme complexe, hiperglicemia poate afecta rinichiul [30]:

glicozilarea non-enzimatica a proteinelor;

activarea caii poliolilor;

acumularea intracelulara crescuta de molecule reactive de oxigen (ROS)

Multi pacienti diabetici nu fac nefropatie diabetica, desi au un slab control glicemic, ceea ce argumenteaza faptul ca hiperglicemia nu este suficienta pentru producerea ND, dar este necesara.

Glicozilarea non-enzimatica

Glicozilarea rezulta din expunerea gruparilor amino terminale ale proteinelor la concentratii crescute ale glucozei, printr-un lant de reactii non-enzimatice ireversibile care genereaza, intr-o prima etapa, produsi ai glicozilarii precoce (early glycation end products), hemoglobina glicozilata si produsi finali de glicozilare avansata (advanced glycation end products - AGE) [78].

AGE pot creste prin autooxidarea glucozei la glyoxal, formare de produsi amadori si descompunerea lor in 3-deoxiglucosone si formarea prin glicoliza de gliceraldehid 3 posfat, care se descompune in methylglioxal.

AGE se acumuleaza in glomeruli si tubii renali doar la pacientii diabetici nu si in rinichii normali sau la pacientii cu glomerulonefrita fara DZ.

La animalele cu diabet, acumularea AGE in rinichi determina in paralel aparitia proteinuriei, proliferarea celulelor mezangiale si ingrosarea membranei bazale glomerulare [56].

AGE actioneaza prin intermediul receptorilor (RAGE), AGE-R1, AGE-R2, AGE-R3, dar si pe cai receptor - independente [79].

Receptorii specifici AGE se gasesc in celulele mezangiale, celulele epiteliale glomerulare si in celulele epiteliului tubular.

In urma interactiunii AGE - RAGE este activata familia serinthreonin kinazelor, protein kinaza C (PKC), care este importanta in transductia multor semnale extracelulare. Mai sunt activate si alte cai importante de transcriptie: NF-KB si protein-kinazele activate mitogen(MAPK) [78].

La nivel celular, interantiunea AGE - RAGE, induce sinteza si eliberarea de citokine (TGF-b1), factorul de crestere derivat plachetar (PDGF), factorul de crestere insulin-like (IGF) si creste productia de colagen (colagen IV), laminina si fibrinectina [78].

Activarea cai poliolilor.

Prin calea poliol glucoza este redusa, sub actiunea aldozo-reductazei la sorbitol. Hiperglicemia genereaza acumularea de sorbitol la nivelul tubilor renali si a glomerulilor, determinand scaderea nivelurilor tisulare ale unor componenti celulari vitali (mioinozitol) si perturbarea mecanismelor de osmoreglare celulara (creste osmolaritatea intracelulara) [36]. Exista o relatie potentiala intre modificarile redox, induse de calea poliol, si trei alte mecanisme biochimice implicate in complicatii: crestera fluxului glucozei prin aceasta cale ar putea creste raportul NADP/NADPH, astfel reducand activitatea glutationreductazei si crescind stresul oxidativ. Crestera sorbitolului pe aceasta cale ar putea, de asemeni, creste raportul NADH/NAD, blocand astfel glicoliza la nivelul triozofosfatului si crescand formarea de alfaglicerol fosfat, un precursor al DAG. Astfel, cresterea concentratiei de triozofosfat ar putea produce o mare parte din cel mai activ precursor AGE, methyilglyoxal.

Inhibitia aldozoreductazei este asociata cu reducerea activarii PKC mediata de glucoza si a productiei de TGF-b1 de catre celulele mezangiale, ceea ce ilustreaza importanta caii poliol in patogeneza ND [49]. Cu toate acestea, activarea caii poliol nu este un mecanism central in patogeneza ND, ci mai degraba un epifenomen.

Acumularea intracelulara crescuta de molecule reactive de oxigen (ROS)

Productia de ROS si activarea PKC sunt induse de interactiunea AGE-RAGE. Blocarea (in vitro) productiei de ROS la nivelul celulelor endoteliale, impiedica activarea PKC indusa de glucoza, formarea de AGE, acumularea de sorbitol si activarea factorilor de transcriptie (NF-KB) [26].

Legatura dintre glicozilare, formarea de ROS si activarea PKC pare a fi bidirectionala [49].

Productia de ROS, acumularea lor intracelulara si stressul oxidativ au un rol major in patogeneza complicatiilor microvasculare ale DZ dar multe aspecte legate de inhibitorii specifici ai acestei cai si markerii specifici trebuie clarificate in viitor.

Alti factori determinanti ai ND

Rolul factorilor de crestere, ca mediatori moleculari, in patogeneza ND

Factorul de crestere si transformare b (TGF-b face parte dintr-o familie de citokine ubiquitare, care au efecte reglatoare asupra unei varietati de procese celulare.

Se cunosc trei izoforme ale TGF-b, TGF-b1, TGF-b2 si TGF-b3, dar cel mai bine cunoscut si definit este TGF-b1 care are si cea mai crescuta expresie la nivel renal.

TGF-b1 este secretat sub forma latenta, de precursor, eliberarea si activarea sa facandu-se sub actiunea unui modulator, trombospondina-1 prin scindare proteolitica.

TGF-b1 este sintetizat de celulele epiteliului glomerular si tubular.

La nivel renal exista ambele tipuri de receptori pentru TGF-b, tipul I si tipul II, care pot lega toate cele trei izoforme ale TGF-b

Rolul TGF-b1 la nivelul celulelor mezangiale, glomerulare si a celulelor epiteliului tubular consta in cresterea sintezei de colagen, laminina si fibronectina, stimuleaza productia de inhibitori ai productiei de metaloproteinaze si inhiba sinteza de colagenaze(in vitro), conducand la reducerea degradarii matricei extracelulare si acumularea (cresterea) ei in timp [90,91]. Aceste efecte celulare ii confera TGF-b1 proprietati prosclerotice importante si numeroase studii au evidentiat rolul sau important in glomeruloscleroza diabetica [51].

Expresia crescuta a TGF-b1 la nivelul celulelor renale este indusa de hiperglicemie, ROS, AGE, stressul mecanic, angiotensina II, lipide si este suprareglata de expresia receptorului tip II a TGF-b

La animalele diabetice, expresia receptorilor tip II a TGF-b este crescuta la nivel renal, sugerand un raspuns exagerat al rinichiului la TGF-b, iar in vitro raspunsul celulelor mezangiale la TGF-b1 este crescut [43,74].

TGF-b1 are rol important in interactiunea dintre caile metabolica si hemodinamica, ca mediator al caii finale comune principale ce conduce la scleroza din ND.

Hormonul de crestere (GH) si factorul de crestere insulin-like

Hormonul de crestere de origine hipofizara si familia celor sase factori de crestere insulin-like constituie un sistem implicat in patogeneza anomaliilor precoce din ND, hiperfiltrarea glomerulara si hipertrofia renala [44].

Efectele renale ale GH, cresterea fluxului plasmatic renal (FPR) si a GFR, sunt mediate de IGF-1 [21].

In DZ recent, concentratia plasmatica si renala a IGF-1 este crescuta iar nivelurile renale sunt mult crescute fata de cele plasmatice, deoarece celulele mezangiale produc IGF-1 printr-un mecanism paracrin, independent de GH [55].

IGF-1 actioneaza prin intermediul receptorilor IGF-1 ce au expresie la nivelul celulelor mezangiale, stimuland productia si acumularea matricei extracelulare si transportul glucozei, contribuind la patogeneza ND [42,77].

Factorul de crestere al testului conjunctiv (CTGF)

CTGF este o citokina a carei expresie crescuta la nivelul celulelor mezangiale este indusa de hiperglicemie, stresul mecanic si TGF-b

CTGF stimuleaza productia matricei extracelulare si procesul de fibroza, avand rol important in patogeneza ND [73].

Factorul de crestere vascular-endotelial (VEGF)

VEGF este o citokina cunoscuta ca factor de permeabilitate vasculara care are expresie in celulele epiteliale glomerulare, tubii distali si tubii colectori iar receptorii sunt localizati in endoteliul vascular [28].

In stadiile precoce ale ND, expresia receptorilor VEGF in rinichi este crescuta [13]. Productia crecuta de VEGF in diabet este indusa de hiperglicemie, stresul mecanic, angiotensina II, TGF-b

VEGF creste permeabilitatea membranei bazale glomerulare pentru proteine si stimuleaza productia de colagen a celulelor mezangiale (hipertrofie mezangiala) contribuind la aparitia glomerulosclerozei [18,30].

Rolul factorilor de transductie in patogeneza ND

Proteinkinaza C (PKC)

Este o familie de serinthreonin kinaze care are 11 izoforme cu rol important in transductia intracelulara a semnelor hormonale ale mediatorilor lipidici si citokinelor.

PKC este activata de diacilglicerol (DAG), a carui concentratie intracelulara este crescuta prin sinteza de novo in DZ, avand ca substrat hiperglicemia.

PKC activata la nivel tisular, inclusiv in glomeruli, regleaza permeabilitatea vasculara, contractilitatea, proliferarea celulara, sinteza membranei bazale, prin mecanisme de transductie intracelulara a semnalelor hormonale si ale citokinelor [53].

Studii recente au evidentiat si cai alternative de activare a PKC, via ROS, AGE-RAGE sau angiotensina II.

PKC este un mediator al VEGF, TGF-b1, angiotensina II si activarea sa excesiva la nivel renal, conduce la cresterea sintezei de colagen IV, proliferare mezangiala [53,88].

Tratamentul cu inhibitori specifici ai PKC-b, previne cresterea matricei extracelulare si diminua hiperfiltrarea glomerulara, conducand la scaderea albuminuriei la sobolanul diabetic [39,48].

Protein kinaze activate - mitogen (MAPK)

MAPK reprezinta o familie a carei componenta principala este kinaza p38 (p38) care structural este legata de caile de transductie a semnalelor extracelulare catre nucleii celulelor.

Activarea MAPK are loc prin fosforilare la threonina si tirozina, dar poate fi activata si de TGF-b1, printr-un mecanism dependent de PKC [39]. In acelasi timp, MAPK activata, mediaza actiunea TGF-b1 de inducere a productiei de fibronectina.

La nivelul celulelor mezangiale MAPK induce productia excesiva a matricei extracelulare si pare a fi un mediator cheie al sclerozei glomerulare [39].

Rolul factorilor de transcriptie in patogeneza ND

Factorul nuclear - kB (NF-kB) - de transcriptie este compus din doua unitati, p50 si p60 si are un rol esential in raspunsul genetic timpuriu prin promovarea transcriptiei diferitelor molecule aderente la celule si citokine [22].

Inductia NF-kB este PKC - dependenta la nivelul celulelor endoteliale, unde hiperglicemia regleaza productia de ROS, iar activarea NF-kB are loc printr-un mecanism RAGE - dependent [64,67]

Rolul NF-kB in patogeneza ND nu este elucidat, dar se pare ca este implicat in procesul de fibroza [6169].

Activator protein-1 (AP-1)

AP-1 este un factor de transcriptie complex, care rezulta din combinarea a doua proteine c-fos si c-jun [32].

In DZ, AP-1 se gaseste la nivel glomerular si are un rol important in productia si depunerea in exces a matricei extracelulare, veriga importanta in patogeneza ND [16,54].

Susceptibilitatea genetica pentru ND

Factori familiali si genetici implicati in aparitia ND

Aparitia ND, dupa multi ani de evolutie a DZ, doar la aproximativ 40% dintre pacientii diabetici a sugerat ideea ca pe langa factorii metabolici si hemodinamici, in initierea si progresia ND exista o predispozitie genetica.

Agregarea familiala a ND in DZ tip 1 a fost evidentiata de studii importante, cum este DCCT, si s-a constatat, de asemenea, importanta HTA familiale in predispozitia pentru ND [60,84].

Pe fondul predispozitiei genetice, interactioneaza numerosi factori in aparitia ND, dar natura genetica a susceptibilitatii pentru ND ramane inca necunoscuta [23].

In DZ tip 2, agregarea familiala a ND a fost bine studiata in familiile indienilor Pima, iar rezultatele au aratat ca rata DZ tip 2 este foarte crescuta si deasemenea, incidenta ND este crescuta. Predispozitia familiala pentru ND la doua generatii de indieni Pima cu DZ tip 2 a fost bine documentata, dar agregarea familiala singura nu este suficienta pentru a dovedi predispozitia genetica [46,66].

La populatia caucaziana cu DZ de tip 2 a fost bine studiat si demonstrat caracterul ereditar al ratei excretiei de albumina si agregarea familiala a hipertensiunii arteriale si a bolii cardiovasculare la pacientii cu proteinurie [33,75].

Rezultatele si observatiile multor studii au condus la ideea implicarii unor gene in susceptibilitatea pentru ND.

Polimorfismul genelor sistemului renina-angiotensina a fost bine studiat si au fost descrise si asociate cu aparitia ND: polimorfismul genei enzimei de conversie a angiotensinei 1, a genei angiotensinogenului si a genei receptorilor tip 1 ai angiotensinei 2 [27,32,35,80,82].

Au mai fost implicate in aparitia nefropatiei diabetice si alte gene, cum ar fi: gena nitric oxid sintetazei endoteliale (eNOS), polimorfismul din interiorul genei insulinei, cele doua alele ale receptorului interleukinei - 1 (IL-1), gena transportorului eritrocitar de sodiu/lithiu, gena sitemului de transport natriu/hidrogen, gena aldolaz reductazei, genele sitemului HLA, genele apolipoproteinei E, genele heparan sulfatului, genele proteinelor podocitare, gena proteinei G [20,24,41,65,68,82,85.87].

Screening pentru depistarea ND

Microalbuminuria-definitie: microalbuminuria este definita ca si cantitatea de albumina eliminata prin urina, care nu poate fi detectata prin metode clasice.

Microalbuminuria persistenta este privita astazi ca fiind primul marker al alterarii functiei renale la pacientii cu DZ tip 1 (nefropatia diabetica incipienta - NDI). La pacientii cu DZ tip 2, care sunt hipertensivi intr-un procent crescut, diagnosticul NDI este dificil, caci microalbuminuria poate fi un marker al bolii macrovasculare generalizate. Astfel, in DZ tip 2 microalbuminuria indica un risc crescut nu numai pentru afectiuni renale, dar si pentru afectiuni cardio-vasculare [113,120].

Exprimarea valorilor microalbuminuriei: depinde de modul de colectare al urinii si/sau de unitatile utilizate pentru exprimarea ei cantitativa.

Clasificarea albuminuriei este redata in tabelul 5.2

Tabelul 5.2. Clasificarea albuminuriei: normo, micro, macroalbuminurie

Normo

Micro

Macro

Rata excretiei de albumina (mg/24 ore)

Rata excretiei de albumina (mg/min)*

Concentratia albuminei (mg/l, la o diureza de 1 500 ml)

4a. Raportul albumina/creatinina (mg/g creatinina)

barbati

femei

4b. Raportul albumina/creatinina (mg/mmol creatinina)

barbati

femei

<30

<20

<20

<20

<30

<2,5

<3,5

>300

>200

>200

>200

>300

>25

>35

*Este necesara ingerarea unei cantitati normale de lichide

Factori ce influenteaza albuminuria (Tabelul 5.3). Intrucat microalbuminuria este variabila, sunt necesare dozari repetate ale acesteia, pentru a se stabili existenta microalbuminuriei persistente. Albuminuria tranzitorie, care dispare dupa inlaturarea cauzei acesteia, trebuie totdeauna exclusa.

Tabelul 5.3. Factori ce influenteaza excretia urinara de albumina

Afectiune

Actiune asupra albuminei

Infectiile urinare

DZ dezechilibrat

Efortul fizic crescut

Valorile tensionale crescute

Insuficienta cardiaca

Infectiile acute febrile sau alte afectiuni acute

Interventiile chirurgicale, anestezia

Menstruatia

Secretiile vaginale

Administrarea de aminoacizi dibazici, gentamicina, doze crescute de insulina

Consumul foarte scazut de lichide

Fumatul

Crestere

Tratamentul cu antiinflamatorii nesteroidiene

Tratamentul cu IECA

Scadere

Care pacienti trebuie scrinati?

Pacientii cu diabet zaharat tip 1 dupa varsta de 13 ani si daca au DZ cu o vechime mai mare de 5 ani. Studiile epidemiologice au demonstrat ca foarte rar apare ND inainte de pubertate sau sub 5 ani de la debutul DZ

La pacientii cu DZ tip 2 inca de la diagnosticare.

Avantaje si dezavantaje ale diverselor metode de colectare a urinii:

Colectarea urinii din 24 de ore ar fi ideala, caci permite dozarea microalbuminuriei atat in perioada de activitate, cat si in timpul somnului. Este totusi dificil pentru pacient sa stranga si sa transporte urina din 24 de ore. Actiunea exercitiului fizic asupra microalbuminuriei nu poate fi exclusa. De aceea nu se recomanda ca prim pas in screeningul microalbuminuriei.

Colectarea urinii din timpul noptii este cea mai buna metoda de a determina albuminuria in mg/min. Se exclude astfel eroarea adaugata de exercitiul fizic. Dezavantaje: incomoda pentru bolnav, exista riscul ca pacientul sa nu calculeze exact timpul de colectare a urinii.

Determinarea microalbuminuriei in prima urina de dimineata. Se exprima in mg/l. Avantaje: nu este influentata de exercitiul fizic si ingestia de lichide. Se coreleaza in 90% dintre cazuri cu excretia de albumina din 24 de ore.

Tot din prima urina de dimineata s-a propus calcularea raportului albumina/creatinina, pentru a inlatura erorile date de o urina prea diluata sau prea concentrata.

Urina spontana, obtinuta in timpul consultatiei. Este necesar in acest caz raportul albumina/creatinina, pentru a corecta dilutia sau concentratia crescuta a urinii. Cum efortul fizic nu poate fi exclus, se recomanda renuntarea la dozari din urina spontana.

In figura 9 este redat planul pentru screeningul nefropatiei diabetice. Screeningul este cel mai usor de efectuat utilizand o mostra din prima urina de dimineata, impiedicand astfel variatiile albuminei datorate ortostatismului si efortului fizic. Screeningul se va efectua in perioada de control glicemic stabil si in absenta unei infectii urinare.

Initial se va testa proteinuria, utilizand un test conventional "dip stick".

Daca proteinuria este prezenta, se vor repeta teste de confirmare, nemaifiind necesara determinarea albuminuriei. Bolnavul va fi explorat complex, in colaborare cu nefrologul. Daca proteinuria este absenta, se va determina albuminuria. Datorita marii variabilitati, de la o zi la alta a excretiei urinare de albumina, daca testul initial este pozitiv, fie pentru proteinurie, fie pentru microalbuminurie, vor fi necesare inca 2 alte dozari, in urmatoarele 6 saptamani-6 luni. Daca 2 teste din 3 vor fi pozitive, atunci se considera ca acestea sunt pozitive si va fi necesara continuarea explorarilor. Daca testul screening este negativ, el va trebui repetat dupa 1 an.

Creatinina serica ar trebui determinata, anual daca albuminuria este normala, si la fiecare vizita, daca albuminuria este crescuta.

RFG este foarte utila pentru practica clinica, in special atunci cand creatinina incepe sa creasca si permite o monitorizare riguroasa a evolutiei ND.

Metode de dozare a microalbuminuriei

Pentru depistarea microalbuminuriei se utilizeaza tehnici de depistare sau de screening semicantitative si tehnici de dozare cantitativa

Tehnici rapide utilizate in screening

Micral test II (grup Roche), in USA Chemstrip Micral. Este o metoda de evaluare semicantitativa a albuminuriei. Bandeletele contin o scara de reactivi imunologici (anticorpi marcati cu enzime). Ele se introduc in urina pana la zona marcata, timp de 5 secunde pentru a capta suficient lichid pentru cromatografie. Dupa 1 minut se compara culoarea din zona cu reactivi cu scala de culori de pe flacon, pentru negativ, 20, 50 si 100mg/l. Este considerata a fi cea mai sensibila metoda. Specificitatea metodei este de 71-93%.

Albustix (Bayer Diagnostics), are o eroare relativ crescuta pentru rezultate fals negative

Micro- Bumintest (Trademark of Bayer AG, Germany). Reactivul este continut intr-o tableta, impreuna cu un indicator de culoare. Se pune o picatura de urina pe tableta test. Culoarea acesteia se schimba de la galben (negativ) la albastru-verde (urme, +, ++, +++). Indica valori ale albuminei peste 15-30 mg/l. specificitatea variaza intre 35-95%, si depide de compozitia si pH-ul urinei.

Rapitex - Albumin (Trademark of Behringwerke AG, Germany)

Albusure (Trademark of Cambridge Life Science, UK)

Teste de dozare cantitativa a microalbuminuriei. Exista metode extrem de sensibile, cum ar fi:

ELISA, RIA sunt tehnici foarte sensibile dar si foarte costisitoare, necesita o aparatura sofisticata

Imunonefelometria si imunoturbidimetria pot oferi rezultate in 30-60 minute.

Imunodifuzia radiala permite citirea rezultatelor dupa 24 de ore.

Diagnosticul nefropatiei diabetice

I. Diagnosticul clinic al nefropatiei diabetice.

Riscul de a dezvolta ND este mai mare la pacientii care au rude cu DZ tip 1 sau tip 2, cu complicatii renale. De asemeni, istoricul familial de HTA esentiala sau de boli cardiovasculare, ar creste riscul complicatilor renale. Fumatul, HTA, dislipidemia, sunt factori ce favorizeaza aparitia si grabesc progresia ND.

Nefropatia diabetica necesita depistare activa, intrucat poate evolua silentios, uneori chiar pana la stadiul uremic.

Prezenta valorilor tensionale crescute, a edemelor, cu existenta concomitenta a altor leziuni microangiopatice, cum ar fi retinopatia diabetica, sugereaza existenta nefropatiei diabetice. Valorile tensionale crescute determina: ameteli, cefalee, acufene, fosfene. La pacientii cu DZ tip 1, HTA este de obicei secundara ND si apare odata cu instalarea microalbuminuriei. Prevalenta HTA, inafara microalbuminuriei, este egala cu cea din populatia generala. Odata cu aparitia microalbuminuriei, tensiunea arteriala incepe sa creasca, dar initial ramane in limite normale. Cand apare macroalbuminuria, 60-70% dintre pacienti au HTA, iar odata cu aparitia retentiei azotate, practic toti pacienii au HTA. La pacientii cu DZ tip 2 HTA este prezenta, in momentul diagnosticarii (>70%), la majoritatea pacientilor, fiind de 1,5-3 ori mai frecventa decat la persoanele fara DZ.

Coexistenta intolerantei la glucoza, HTA, cresterea trigliceridelor si reducerea HDL colesterolului, obezitatea si susceptibilitatea pentru boli cardiovasculare, sustin ipoteza unui mecanism comun al acestora, cum ar fi insulinorezistenta, si acest complex este denumit Sindromul X sau Sindromul metabolic. HTA in DZ tip 2 mai poate sa apara corelata cu ND, poate fi primara, sau poate fi secundara a numeroase cauze, cum ar fi ateroscleroza arterelor renale. In general, HTA la pacientii cu ambele tipuri de DZ se asociaza cu cresterea volumului plasmatic, cresterea rezistentei vasculare periferice, si activitate reninica scazuta. Atat HTA sistolica cat si diastolica accelereaza marcat progresia ND, impunand un management antihipertensiv agresiv, care sa incetineasca scaderea ratei filtrarii glomerulare. La pacientii cu DZ tip 1 si tip 2 este necesara monitorizarea valorilor tensionale timp de 24 de ore (ABPM), pentru a depista pacientii la care valorile TA sistolice si diastolice nu scad in cursul noptii- "non dipper", "Non dipper" se defineste ca o reducere relativa a TA nocturne cu mai putin de 10% fata de valoarea zilei, atat pentru TA sistolica cat si pentru cea diastolica. Numeroase studii au aratat ca "non dipper" este asociat cu cresterea nivelului albuminei excretate in urina de 24 de ore, in ambele tipuri de DZ [2, 11, 17, 22]. Aproape 80-90% din pacientii cu macroalbuminurie prezinta acest fenomen, in timp ce el a fost detectat numai la 30-50% dintre pacientii cu excretie normala de albumina.

Poulsen si col. au demonstrat ca "non dipper" se asociaza cu manifestari de retinopatie la pacientii cu DZ tip 1 normoalbuminurici [112,119].

Bolile cardiovasculare reprezinta principala cauza de deces, atat la pacientii cu DZ tip1, cat si la pacientii cu DZ tip 2. Deosebirea intre cele doua tipuri de diabet consta in faptul ca in timp ce in DZ tip 2 afectiunile cardiovasculare pot preceda debutul DZ, ele insotindu-se foarte frecvent de microalbuminurie, inafara oricarei leziuni renale, in DZ tip 1 incidenta bolilor cardiovasculare creste rapid, odata cu aparitia proteinuriei. Astfel, bolnavii cu DZ tip 1 nu mai sfarsesc stadiul terminal, uremic, intrucat majoritatea lor sunt preluati in tratamente de substitutie a functiilor renale, dar sfarsesc prin boli cardiovasculare. Datorita unor factori inca necunoscuti, incidenta cardiopatiei ischemice incepe sa creasca la foarte scurt timp dupa dezvoltarea macroproteinuriei, in DZ tip 1. In timp ce microalbuminuria prezice macroalbuminuria la 80% dintre pacientii cu DZ tip 1, numai 20% dintre pacientii microalbuminurici cu DZ tip 2 vor progresa catre nefropatie clinic manifesta [120,121]. Studii bioptice renale, ale unor pacienti cu microalbuminurie si DZ tip 2 au aratat ca numai 30% au modificari glomerulare tipice pentru ND, in timp ce 30% au modificari renale nespecifice, iar restul au structura renala normala [106,110]. La majoritatea pacientilor cu DZ tip 2 microalbuminuria este marker-ul disfunctiei endoteliale si reprezinta un predictor puternic pentru mortalitatea cardiovasculara in DZ tip 2.

Tulburarile de ritm sunt mai frecvente la pacientii cu ND si pot cauza adeseori moarte subita. Printre cauzele ce duc la aceste tulburari se numara: alungirea intervalului QT(in neuropatia diabetica, frecvent asociata), tratamentele cu diuretice, IECA (ce pot induce tulburari electrolitice), alterarile celulelor miocardice, hipoglicemiile severe ce pot aparea dupa instalarea retentiei azotate, antidiabeticele orale, cum ar fi sulfonilureicele, cu proprietati de blocare a canalelor ATP s.a [94,103,120,122].

Prezenta anemiei explica paloarea, astenia fizica.

Scaderea apetitului, sughitul, greata, varsaturile pot fi semne ale uremiei dar pot fi si manifestari ale neuropatiei vegetative, care adeseori agraveaza evolutia nefropatiei diabetice.

Cresterea numarului de hipoglicemii nejustificate, scaderea necesarului de insulina la pacientii tratati cu insulina impun explorarea renala la pacientii diabetici.

Prezenta concomitenta a simptomelor si semnelor celorlalte complicatii microvasculare, cum ar fi retinopatia diabetica si neuropatia diabetica, sustin diagnosticul de ND. Pirart [111] a propus termenul de "diabetic triopathy", pentru a prezenta global cele trei complicatii microvasculare mai importante ale DZ. Legaturile dintre aceste complicatii sunt totusi mai complicate. In timp ce virtual toti pacientii cu nefropatie au retinopatie [111,113], in forma ei proliferativa , aproximativ o treime din pacientii cu leziuni de retinopatie proliferativa nu au microalbuminurie [25]. La pacientii cu DZ tip 1 retinopatia diabetica este prezenta la 85-99% din cazurile cu proteinurie persistenta, si numai la 47-63% dintre cazurile cu DZ tip 2, sugerand ca aproximativ 30% dintre pacientii cu DZ tip 2 au proteinurie de alta cauza decat afectarea renala diabetica. O consecinta practica ar fi aceea ca la pacientii cu proteinurie fara retinopatie diabetica este necesara biopsia renala, pentru a se stabili etiologoa afectiunii renale. Sindromul nefrotic se poate insoti sau nu de edeme si este asociat cu HTA, retinopatie diabetica, neuropatie diabetica. Nu exista o relatie intre aspectul histologic si tabloul clinic. Diagnosticul precoce al nefropatiei diabetice inca din stadiile preclinice precum si diagnosticul stadial al acesteia impune efectuarea unor explorari paraclinice.

II. Explorari paraclinice in nefropatia diabetica

1. Explorarea functiei renale

Rata filtrarii glomerulare (RFG).

RFG este cel mai corect evaluata prin clearance-ul inulinic. Se mai poate folosi clearance-ul EDTA marcat cu crom radioactiv (51Cr-EDTA) si clearance-ul la creatinina. Valorile normale oscileaza intre 105 - 115ml/min/1,73m2. Clearance-ul la creatinina endogena supraestimeaza RFG comparativ cu cea determinata prin clearance- ul inulinei. RFG este valoroasa doar daca se executa in dinamica, corelata cu prezenta microalbuminuriei. Valorile RFG sunt influentate de gradul echilibrului metabolic. Cresterea RFG cu peste 30% fata de valorile normale la debutul DZ, cu mentinerea crescuta a valorilor si dupa echilibrarea metabolica este un element predictiv de dezvoltare a microalbuminuriei. La bolnavii cu ND, in absenta tratamentului antihipertensiv, RFG scade in medie cu 10 ml/min /an.

Ureea, creatinina, acidul uric sunt normale initial si cresc pe masura ce ND evolueaza. Acidul uric poate fi crescut izolat in caz de hiperuricemie.Declinul functiei renale poate fi accelerat si de alte cauze, cum ar fi: infectii urinare cu necroza papilara, staza urinara datorita neuropatiei autonome, folosirea unor substante de contrast pentru diverse explorari, insuficienta cardiaca congestiva, HTA necontrolata, reactii adverse la IECA, antiinflamatorii, deshidratarea ce poate sa apara dupa tratamentul intempestiv cu diuretice, sau dupa varsaturile repetate din gastropatia diabetica, sau dupa diaree prelungita, in cadrul neuropatiei autonome.

2. Eliminarea urinara de proteine

Albuminuria este cel mai precoce si mai sensibil semn al nefropatiei

diabetice, constituind in acelasi timp un factor predictiv pentru instalarea insuficientei renale si afectarea cardio-vasculara. Valorile normale ale albuminuriei sunt sub 20g/min sau sub 30mg/zi. Proteinuria este de origine glomerulara, 2 microglobulina, care este de origine tubulara fiind absenta. La baza producerii proteinuriei stau patru factori principali:

a. Cresterea permeabilitatii membranei bazale glomerulare, prin modificarea structurii acesteia, indusa de diabet.

b. Reducerea incarcarii anionice a peretelui capilar.

c. Cresterea presiunii de filtrare glomerulara determinata de angiotensina II, renina, catecolamine.

d. Marimea moleculelor proteice.

Microalbuminuria se defineste prin valori ale albuminuriei de 20 - 200g/min sau de 30 - 300mg/zi. Se discuta tot mai des necesitatea reevaluarii valorilor normale, sub cele actuale.

Macroalbuminuria se defineste prin valori ale albuminei ce depasesc 200g/min si 300mg/zi.

Pentru a preciza existenta microalbuminuriei sunt necesare cel putin doua probe pozitive din trei, efectuate in interval de sase saptamani - 6 luni. Trebuie semnalat totusi ca microalbuminuria mai poate sa apara in situatii ca: dezechilibru metabolic important, exercitii fizice, insuficienta cardiaca, HTA, ortostatism prelungit, infectii urinare etc.

Aparitia microalbuminuriei se coreleaza strans cu gradul leziunilor renale care sunt reversibile in acest stadiu. Optimizarea controlului metabolic si tensional pot insa intarzia progresia nefropatiei diabetice.

Microalbuminuria este element predictiv pentru aparitia proteinuriei clinice.

La aproximativ 30% dintre pacientii cu diabet zaharat de tip 2 albuminuria poate avea o alta cauza (infectii ale tractului urinar, insuficienta cardiaca, nefropatie glomerulara, HTA esentiala).

Proteinuria clinica depaseste 0,5g/zi si se poate doza prin tehnicile clasice de determinare a proteinelor urinare.

Din momentul aparitiei macroalbuminuriei functia renala se degradeaza progresiv, procesul fiind ireversibil. Echilibrarea optima metabolica nu mai poate incetini progresia nefropatiei diabetice, acest efect obtinandu-se numai prin controlul valorilor tensionale. Consumul excesiv de proteine si valorile tensionale crescute agraveaza leziunile renale. Odata cu aparitia proteinuriei creste riscul aparitiei retinopatiei diabetice proliferante si a mortalitatii cardiovasculare. Proteinuria poate atinge uneori valori de 5-10 grame/24 de ore, cu sau fara edeme, cu modificarile corespunzatoare ale lipidelor si proteinelor. In aceste situatii tabloul de sindrom nefrotic domina tabloul clinic.

3. Raportul albumina/creatinina (RAC) urinara este un criteriu de estimare a ratei excretiei de albumina, aparut datorita dificultatii in a evalua corect diureza. Are avantajul ca se poate efectua oricand in cursul zilei.

Un raport albumina/creatinina < 2,5mg/mmol la barbati si < 3,5mg/mmol la femei este normal. Se recomanda repetarea anuala a acestui raport [28].

Un raport albumina/creatinina ≥ 2,5mg/mmol la barbati si ≥ 3,5mg/mmol la femei impune repetarea lui in urmatoarele 6 luni de 2 ori, pentru confirmarea microalbuminuriei persistente.

4. Examenul sumar de urina Proteinuria se insoteste de hematurie si cilindrurie minime, in schimb leucocituria este frecventa. Glicozuria este in general scazuta raportat la glicemie, datorita cresterii pragului renal la glucoza peste valorile normale. De aceea la bolnavii cu nefropatie diabetica glicozuria nu mai este un marker al controlului metabolic, neputand fi luata in calcul la stabilirea tratamentului antihiperglicemic.

5. Uroculturi repetate prezenta infectiei urinare la un pacient cu proteinurie, impune tratamentul infectiei si repetarea proteinuriei, care poate diminua sau poate sa dispara.

6. Hemoleucograma anemia se instaleaza odata cu scaderea RFG sub 60 ml/min/1,73m2. Date relativ recente arata ca anemia poate sa preceada instalarea insuficientei renale. Leucocitele pot fi crescute in caz de infectii urinare.

7. Electroforeza poate fi modificata, mai ales atunci cand apar semnele sindromului nefrotic: scad albuminele, cresc si beta globulinele. Gama globulinele pot fi normale sau usor crescute.

. VSH este constant crescut.

9. Glicemia

a. Adeseori poate sa apara, in boala cronica de rinichi, aflata in stadii avansate(4,5), inafara DZ, valori glicemice crescute(pseudodiabetul uremic), cauzat de:

scaderea sensibilitatii tesuturilor periferice la insulina;

blocarea actiunii insulinei in periferie de catre toxinele uremice, cu normalizarea tolerantei la glucoza dupa inceperea dializei;

b. Hipoglicemia apare frecvent, la bolnavii cu DZ tratati cu insulina, odata cu instalarea ND, impunand scaderea progresiva a dozelor de insulina, pana la intreruperea acesteia, in stadiul 5. Explicatii posibile:

- scaderea degradarii si eliminarii insulinei pe cale renala, stiut fiind ca insulina este degradata si/sau eliminata pe cale renala si hepatica;

- efectul hipoglicemiant al unor metaboliti retinuti in cursul uremiei;

- aportul glucidic redus datorita anorexiei;

- cresterea penetrarii glucozei in celulele musculare si adipoase, independent de insulina, datorita cresterii permeabilitatii capilarelor si membranelor celulare;

- favorizarea sintetizarii si eliberarii de insulina de catre pancreasul restant;

- anularea efectului antiinsulinic al unor antagonisti insulinici preexistenti;

10. Determinarea lipidelor sanguine

- In diabetul zaharat de tip 1 apar modificari lipidice caracteristice numai in perioadele de dezechilibru metabolic: hipertrigliceridemie, hiper VLDL, scaderea HDL-colesterolului. Insulinoterapia activeaza LP-lipaza si amelioreaza aceste modificari.

- In diabetul zaharat de tip 2 insa exista frecvent dislipidemie, numita dislipidemie aterogena, neameliorata de echilibrarea metabolica. Caracteristica este cresterea trigliceridelor, scaderea HDL-colesterolului, cresterea LDL mici si dense, care se oxideaza si glicozileaza, favorizand aterogeneza. Concomitent creste apolipoproteina B serica totala, fiecare dintre aceste particule avand rol aterogen independent. Cand DZ este dezechilibrat apare hiperchilomicronemie, cresterea AGL, post prandial in special. In studii experimentale, pe animale, s-a constatat ca hiperlipidemia cauzeaza leziuni renale directe. Particulele LDL, modificate prin glicozilare, cresc legarea de glicozaminoglicanii membranei bazale glomerulare, cauzand cresterea permeabilitatii membranei bazale. Depozitarea particulelor de LDL modificate in mezangiu, poate induce semnale chemotactice pentru macrofage si stimuleaza proliferarea celulelor mezangiale. LDL modificate sunt preluate de monocite/macrofage, cu formarea de celule spumoase mezangiale si glomerulare.

11. Examinarea fundului de ochi, angiofluorografie, pentru diagnosticarea RD.

12. Aprecierea functiei sistemului nervos autonom: hipotensiune ortostatica, tahicardie rezistenta la manevrele vagale, cistopatie diabetica(ecografie pentru vezica urinara)

13. ECG de repaus si de efort, coronarografie, ecocardiografie pentru depistarea anomaliilor regionale ale contractilitatii, ventriculografie izotopica.

14. Explorarea circulatiei cerebrale si periferice.

15 Examenl ecografic evidentiaza nefromegalie la pacientii cu ND, sau rinichi subdimensionati, inegali, cu contur boselat, datorita coexistentei pielonefritei cronice, alaturi de leziunile specifice diabetului zaharat.

16. Modificari anatomopatologice in nefropatia diabetica

Modificari macroscopice ale rinichiului diabetic: in ND rinichii sunt mariti de volum, nu numai in faza de debut a bolii ci si in stadii mai avansate. Nefromegalia (marirea globala a rinichiului) apare precoce, atat in DZ experimental, cat si in DZ la om [98,114,122]. Cei mai multi pacienti cu DZ de tip 1 au rinichii mari in momentul diagnosticarii. La animale nefromegalia apare in timp de 4 zile de la debutul diabetului zaharat. Contributia glomerulilor la hipertrofia renala este nesemnificativa, pentru ca ei reprezinta numai 1% din volumul renal total. Marirea de volum este data in principal de combinatia dintre hipertrofia tubulara, hiperplazia si expansiunea interstitiala, si reprezinta, probabil, un raspuns la cresterea filtrarii de lichide si glucoza, si reabsorbtia lor activa. Cicatricele renale si necroza papilara sunt frecvente la pacientii diabetici, in special femei si pot sa fie rezultatul cresterii prevalentei infectiilor de tract urinar. Stenoza aterosclerotica a arterelor renale a fost descrisa, mai ales la pacientii cu DZ de tip 2. Suprafata ramane neteda mult timp, uneori prezinta granulatii fine, spre deosebire de rinichiul cu arterioscleroza nediabetica, care este mai mic decat in mod normal si prezinta o granularitate evidenta[124] . Conturul renal boselat indica prezenta concomitenta a pielonefritei cronice. In unele situatii(in special in DZ tip 2), stenoza concomitenta a arterei renale, boala vasculara difuza, sau infectiile de tract urinar superior pot contribui la reducerea volumului renal. Marimea rinichilor este normala sau crescuta la 50% dintre pacientii cu DZ si insuficienta renala. La ceilalti pacienti rinichii sunt mici.

Modificari microscopice in rinichiul diabetic

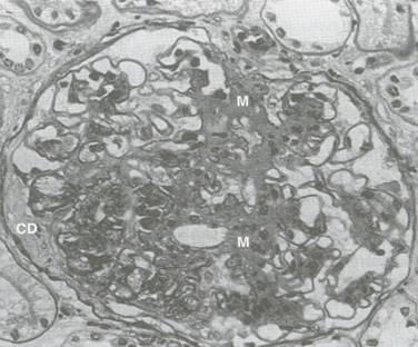
In cea mai mare parte modificarile patologice ale rinichiului diabetic sunt similare in DZ tip 1 si DZ tip 2. Glomerulopatia diabetica se caracterizeaza in principal prin ingrosarea membranei bazale glomerulare si cresterea volumului mezangial [99,109]. Ingrosarea membranei bazale poate fi detectata in primii doi ani de la diagnosticarea DZ [99,110] si pana la 10 ani majoritatea pacientilor prezinta o crestere progresiva a ingrosarii membranei bazale. Expansiunea mezangiului se coreleaza strans cu declinul functiei renale si dezvoltarea proteinuriei [99,103]. Expansiunea mezangiului se datoreaza atat cresterii productiei cat si scaderii degradarii proteinelor din matricea extracelulara, cum ar fi colagenul de tip I si IV, laminina si fibronectina [99,100,105,118]. Spre deosebire de ingrosarea membranei bazale, care apare precoce, mezangiul poate fi normal si dupa 25 de ani de boala, dar el este afectat totdeuna odata cu aparitia nefropatiei clinic manifeste [99,104].

In microscopia optica si electronica se descriu urmatoarele leziuni:

. Leziuni glomerulare

a). Leziunile nodulare - descrise de Kimmelstiel Wilson (Figura 5.10), au fost considerate

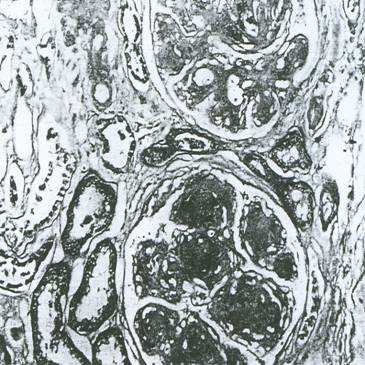
mult timp ca fiind caracteristice nefropatiei diabetice. Mecanismele de formare a acestor noduli nu sunt elucidate. Se incrimineaza atat procesele de mezangioliza focala [117] cat si cele de necroza fibrinoida [32]. Se caracterizeaza prin aparitia de noduli hialini acelulari, cu aspect fibrilar. Nodulii sunt bine demarcati, eozinofili, localizati in regiunile centrale ale lobulilor glomerulari. Ei sunt frecvent incercuiti de celule spumoase. Sunt relativ omogeni la coloratia cu hematoxilina si au o structura laminata dupa coloratia cu acid-Schiff periodic. Caracteristicile acestui tip de leziuni sunt: neregularitatea marimii si distributiei in si intre glomeruli si localizarea lor departe de hil. Probabil locul lor de origine este mezangiul. Distrugerea mezangiala si liza centrului lobular este corelata cu dilatarea capilara microanevrismala, urmata de reorganizarea laminara a ramasitelor mezangiale. Formarea nodulilor este inalt specifica pentru glomerulopatia diabetica, dar alte boli renale, cum ar fi glomerulonefrita mezangiocapilara, nefropatia amiloida, boala lanturilor usoare s.a., pot fi asociate cu anormalitati nodulare. Microscopia electronica si studiile in imunofluorescenta aduc elemente distincte in nefropatia diabetica [96]. Este general acceptat ca nodulii nu sunt prezenti in absenta leziunilor difuze si apar numai dupa o lunga perioada de boala (aproximativ 14 ani). Nodulii Kimmelstiel Wilson nu sunt totdeauna prezenti in nefropatia diabetica. Prevalenta lor variaza considerabil, intre 12 - 55%.


Figura 5.10. Glomeruloscleroza nodulara (Kimmelstiel Wilson)

b). Leziunile difuze glomerulare (Bell si Fahr) par sa fie cele mai obisnuite leziuni din ND (Figura 5.11). Are loc acumularea de material PAS pozitiv in peretii capilarelor glomerulare, care devin mai grosi. Principala modificare o constituie ingrosarea membranei bazale, care poate atinge 5000-8000 . Ele apar prin cresterea ariei mezangiale si ingrosarea peretelui capilar, cu extinderea matricei mezangiale, incluzand capilarele. In stadiile initiale este dificil de a distinge expansiunea mezangiala minora de modificarile care apar odata cu imbatranirea sau alta patologie glomerulara. In cazuri mai severe, peretele capilar ingrosat si expansiunea mezangiala conduc la ingustare capilara si eventual hialinizare completa. Fibroza periglomerulara este adeseori prezenta in stadiile avansate. Aceste leziuni nu sunt specifice, ele mai apar si la persoanele fara diabet: varstnici, hipertensivi.

Figura 5.11. Leziuni difuze glomerulare si exudative (microscopie optica)

c). Leziunile exudative (Sphler si Zollinger) nu sunt specifice. Ele contin proteine diverse si adeseori material lipidic. Exista leziuni similare in multe alte afectiuni renale. Aceste leziuni sunt intens eozinofile. In functie de forma si localizare au fost descrise: dopurile fibrinoide (fibrin cap), picaturile capsulare (capsular drops) si hialinoza arteriolara (arteriolar hialinosis).

- Dopurile de fibrila au forma semilunara, sunt localizate in glomeruli, la nivelul peretelui capilar, intre membrana bazala si endoteliu (Heptinstall 1983).

- Picaturile capsulare sunt situate pe versantul intern al capsulei Bowman, proeminand spre spatiul urinar, intre celulele epiteliale si membrana bazala.

- Hialinoza arteriala poate fi prima modificare detectabila de catre microscopul optic in rinichiul diabetic. Materialele hialine se observa atat in arteriolele aferente glomerulare, cat si in cele eferente, depozitele fiind localizate subintimal in principal, cu extindere in grosimea mediei, adeseori producand inlocuirea intregului perete. Cu ajutorul microscopului electronic se observa ca principala cauza de exprimare a mezanginului se datoreaza acumularii de material amorf. Pe de alta parte compozitia acestei materii amorfe difera de normal, continand mai mult colagen tip VI si mai putini proteoglicani, in special heparansulfat. In plus, acumularea matrixului distruge structura microfibrilara, alterand natura poroasa a mezangiului si slabind atasamentul acestuia la endoteliu si membrana bazala glomerulara. Studiile experimentale au demonstrat ca aceste modificari pot fi induse prin cresterea glucozei in ambient, a factorilor de crestere, cum ar fi TGF-B [116] a prostanoizilor, cum ar fi tromboxamul [97], si a produsilor finali ai glicozilarii avansate. Acumularea de matrice mezangiala poate fi prevenita si ea poate fi reversibila la animalele de experienta, la care se instituie tratament cu insulina sau transplant de insule Langerhans.

Ingrosarea membranei bazale capilare este o alta modificare evidenta care apare in glomerulopatia diabetica. In mod normal, membrana bazala este formata dintr-o portiune centrala electrondensa (lamina densa), marginita de doua zone mai putin dense (lamina rara interna si lamina rara externa). Cel mai important proteoglican din compozitia sa este heparansulfatul, in special perlecanul. Lanturile de colagen tip IV sunt aranjate intr-o relatie stransa, lasand un numar mic de pori functionali, de aproximativ 60Å. Cea mai mare parte din permselectivitatea macromoleculelor circulante este dependenta de aceasta structura. Pacientii cu proteinurie tind sa aiba membrane mai groase [101]. Ingrosarea membranei bazale poate fi prevenita, dar rezolutia este mult mai inceata. Produsii finali ai glicozilarii avansate cresc marimea porilor membranei bazale tubulare, putand duce astfel la cresterea permeabilitatii la proteine. In stadiul avansat al nefropatiei diabetice se inregistreaza un spectru larg al leziunilor, de la glomeruli normali pana la glomeruli complet sclerozati. Glomerulii normali sunt adeseori hipertrofiati compensator. Scleroza sau ocluzia glomerulara globala cauzata de expansiunea mezangiului sau ischemia secundara blocarii arteriolelor aferente, duc la reducerea filtrarii glomerulare. Blocarea arteriolara poate conduce la o situatie comparabila cu cea din retinopatia diabetica[99]

cu destabilizarea peretelui vascular si aparitia vaselor de neoformatie.

. Modificari interstitiale si tubulare

Asemanator altor tipuri de boala renala progresiva, in DZ apar o varietate de modificari nespecifice: acumularea de glicogen in celulele tubulare ale regiunii corticomedulare (Armeni - Ebstein); fibroza interstitiala, ce creste paralel cu cresterea valorilor tensionale si expansiunea mezangiului (Maner et al 1992). Leziunile tubulo-interstitiale sunt un factor important in evolutia ND si un predictor al disfunctiei renale. Modificarile patologice includ: ingrosarea membranei bazale tubulare, atrofie tubulara, fibroza interstitiala si arterioscleroza. Expansiunea interstitiala se coreleaza strans cu disfunctia renala, albuminuria si expansiunea mezangiala. Cresterea filtrarii glomerulare a proteinelor in diabet conduce la acumularea de proteine in citoplasma celulelor din tubii proximali, cauzand reactie inflamatorie, si leziuni tubulointerstitiale. Aceste leziuni apar strans corelate cu leziunile glomerulare [95,99]. Membrana bazala tubulara are aceeasi compozitie si structura ca membrana bazala glomerulara, dar este de doua ori mai groasa. Pacientii diabetici dezvolta ingrosarea membranei bazale tubulare, de aproximativ doua pana la trei ori mai mare decat valoarea ei la nediabetici [103].

. Leziuni arteriale si arteriolare

La nivelul arterelor interlobulare si arcuate se pot depista leziuni de arterioscleroza, mai marcate in DZ comparativ cu alte afectiuni. Leziunile arteriosclerotice afecteaza mai frecvent arteriolele aferente si eferente, antrenand formarea de depozite hialine subendoteliale, PAS pozitive.

Indicatiile biopsiei renale la pacientii diabetici

Desi la majoritatea pacientilor diabetici nu este necesara biopsia renala pentru a diagnostica nefropatia diabetica, la anumite categorii biopsia este indicata:

a)    Absenta retinopatiei. Retinopatia este aproape invariabil prezenta la

pacientii cu proteinurie de origine diabetica.

b)   Hematuria macroscopica ar putea sugera o boala renala non diabetica.

c)    Durata diabetului zaharat tip 1 sub 10 ani, la debutul proteinuriei.

d)   Evidente clinice sau biochimice a unei perturbari multisistemice.

e)    Degradarea rapida a functiei renale si instalarea brusca a unui sindrom nefrotic.

f)     Azotemie, in absenta proteinuriei.

Probleme particulare in nefropatia diabetica

Sarcina la femeia cu DZ si nefropatie diabetica

Sarcina la femeia cu DZ fara complicatii cronice majore este, mai ales in ultimii ani, un succes.

Sarcina la femeia cu ND implica anumite riscuri, legate de stadiul ND, riscuri care tin atat de mama (pe permen scurt si lung), cat si de copil (intrauterin, perinatal, pe termen lung).

In astfel de situatii, sunt necesare echipe complexe de urmarire: diabetolog, ginecolog, nefrolog, pediatru, asistent medical educator.

Modificari renale in sarcina normala, necomplicata, la femeia cu DZ

Dilatarea sistemului colector renal, care incepe in trimestrul I de sarcina si apare la 90% dintre femei, atat la cele cu DZ, cat si la cele fara DZ [126,140].

RFG si fluxul plasmatic renal (FPR) cresc semnificativ in timpul sarcinii. RFG creste in prima luna de sarcina cu 25%, atinge un peak de 20-80% deasupra valorilor inafara sarcinii, la sfarsitul trimestrul I si descreste catre normal la sfarsitul sarcinii.

FPR creste cu 80% in trimestrrul II de sarcina si ramane crescut, cu 60% mai mare, pana la sfarsitul sarcinii [126,127].

- Cresterea RFG este raspunzatoare in parte de dublarea excretiei de proteine la gravida nediabetica, de la 100 la 180 mg/zi, pornind de la primul la al treilea trimestru de sarcina.

In timpul sarcini creste retentia de Na cu 2-6 mmol/zi, conducand la o acumulare de Na de 900 mmoli in timpul sarcinii. Apare astfel o expansiune de volum de 7l, din care 1 - 1,5l intravascular. Cand expansiunea de volum este sub valorile normale apare incetinirea cresterii fatului.

Toate componentele sitemului renina, angiotensina/aldosteron cresc in sarcina. Acestea ar putea explica in parte expansiunea de volum.

In preclampsie apare o asociere intre contractia de volum si vasoconstrictie. Renina, A II si aldosteronul sunt scazute comparativ cu sarcina normala [126].

Actiunea sarcinii asupra gravidei cu nefropatie diabetica

La femeia cu ND pot sa apara erori in masurarea clearance - ului la creatinina, in special prin blocarea urinii in "spatiul mort", creat de dilatarea sistemului colector renal. Hiperfiltrarea este considerata de unii autori ca fiind cauza centrala a bolii renale in DZ. Astfel, in sarcina, s-ar accelera procesul de glomeruloscleroza, contribuind la declinul functiei renale [126,130].

Infectia de tract urinar este mult mai frecventa la femeia cu DZ, comparativ cu cea fara DZ, dilatarea sistemului colector putand creste riscul de pielonefrita

Datele referitoare la prezenta micro si macroalbuminuriei la gravida diabetica si corelatii cu preeclampsia, efecte asupra fatului, progresia leziunii renale sunt foarte controversate, adeseori discordante, posibil datorita numarului relativ mic de gravide diabetice analizate de fiecare grup. Mogensen [126,137] sugereaza efectul negativ asupra fatului determinat de cresterea excretiei de albumina.

Cresterea proteinuriei in timpul sarcinii este aproape regula in ND, crescand de 2-4 ori, cu revenire la valorile anterioare in perioada post partum, in majoritatea cazurilor. Kimmerlie si col. [7] au observat o crestere a proteinuriei de 2.1-5g din primul trimestru in trimestrul trei. Purdy si col [139] sustin ca proteinuria peste 3g/24 ore aparuta in primul trimestru prezice descresterea RFG, in timp ce excretia unor cantitati similare de proteine in ultimul trimestru este mai benigna.

Tensiunea arteriala creste odata cu sarcina si excretia de proteine, jucand un rol cheie atat in privinta datei nasterii, cat si asupra functiei renale materne.

Retinopatia poate progresa in timpul sarcinii [132]. Femeile cu nefropatie pot fi la risc foarte crescut de retinopatie proliferativa, existand riscul pierderii vederii. De aceea se impune examen oftalmologic repetat, cu instituirea laser terapiei in caz de nevoie.

Analizand efectul sarcini asupra functiei renale, pe termen lung, se constata ca: 25% dintre toate femeile cu DZ care au nascut, vor incepe in urmatorii 3 ani terapia de substitutie a functiilor renalae, 5% dintre femei mor in primi 3 ani dupa nastere [17]; 20% dintre copiii nascuti din mame cu ND isi pierd mama pana la varsta de 10 ani [128]. Miodovnik si col [12] estimeaza ca riscul dezvoltarii BCR- stadiul terminal la femeile cu ND in sarcina este de 16% dupa 5 ani, 30% dupa 10 ani si 45% dupa 12 ani de la debutul ND. Din 490 de sarcini citate de EDTA Registry la femeile pe terapie de substitutie a functiilor renale [126], 11,2% faceau hemodializa si numai 0,4% CAPD. Majoritatea sarcinilor descrise la femeile aflate in tratament hemodialitic sunt in primul an de hemodializa, dar 20% din sarcini sunt la femei cu peste 10 ani de hemodializa [129].

Intrucat s-a raportat o rata crescuta a rejectului de grefa renala dupa o sarcina, se recomanda sa se astepte cel putin 2 ani dupa transplant, inainte de a se permite o sarcina. Nu exista date care sa confirme, fara dubiu, daca sarcina compromite functia renala pe termen lung [125,142].

e diabe

Supravietiuirea perinatala la copiii din mama cu DZ tip 1 este comparabila cu aceea a copiilor nascuti de mame fara DZ [133].

La copiii nascuti din mame cu ND procentul de supravietuire perinatala este mai scazut, la un clearance al creatininei <75ml/min supravietiuesc numai 40% dintre copii [126].

Anomaliile congenitale apar la 4-14,3% din nou nascuti, in functie de stadiul clinic al ND [2].

15% dintre copiii mamelor cu ND au greutatea la nastere redusa (definita ca fiind cu 10% sub greutatea varstei la gestatie). Procentul acestora creste cu cat ND este mai avansata, atingand 30% dintre copii cand clearance - ul la creatinina scade sub 80ml/min, date comparabile cu cele intalnite in bolile renale la nediabetici.

In 20-30% din cazuri se inregistreaza nasterea prematura, inainte de 34 de saptamani, cu aproximativ 5 saptamani mai devreme la femeile cu BCR decat la cele care au numai proteinurie [135].

Sindromul de detresa respiratorie apare la 50% dintre copiii mamelor cu ND si retentie azotata, fata de 15% la cele cu ND fara retentie azotata [131].

Datele despre evolutia pe termen lung a copiilor nascuti din mame cu ND sunt relativ limitate. Kimmerle R [131] prezinta rezultatele unui lot de copii urmariti timp de 11 ani: 25% au avut grade variate de retardare psihomotorie, 11% severe.

Supravegherea si tratamentul gravidei cu ND

Desi este deja cunoscut riscul crescut, adeseori imprevizibil, al unei sarcini in progresia ND, multe familii isi asuma acest risc. Cand exista alterare renala severa (creatinina > 2,5 mg%) se insista pentru amanarea sarcinii dupa transplantul renal. Femeia diabetica gravida va fi atent supravegheata, de o echipa medicala complexa, care va monitoriza evolutia sarcinii, echilibrul metabolic, complicatiile cronice ale DZ, dezvoltarea fatului [126].

In preconceptie:

Optimizarea controlului metabolic: eventual pompa de insulina.

Optimizarea valorilor tensionale:120-130/80-85mmHg/stop IECA*.

Explorarea functiei renale:

Creatinina serica,

Clearance-ul la creatinina, eventual RFG cu izotopi,

Proteinuria din 24 ore.

Excluderea altor complicatii micro si macrovasculare, prin:

Examen fund de ochi, angiofluorografie,

EKG,

Teste pentru diagnosticarea neuropatiei vegetative,

Ecografie vezicala - pentru depistarea rezidiului post mictional.

Informare asupra posibilelor complicatii legate de mama si de fat.

Ingrijire in timpul sarcinii:

- Vizita de luare in evidenta a sarcinii:

Explorarile din preconceptie, daca nu s-au efectuat recent,

Functia renala: creatinina serica, clearance - ul la creatinina,

Proteinuria in 24 ore,

Profil glicemic, HbA1c, adaptarea schemei de tratament,

Uroculturi.

- La fiecare vizita:

TA,

HbA1c,

Proteinuria - dipstick,

Creatinina serica,

Studierea monitorizarii glicemiei,

- In fiecare trimestru:

Fundul de ochi,

Clearance - ul la creatinina,

Proteinuria din 24 ore.

Supravegherea fatului:

In primele saptamani: ex. ecografic, pentru confirmarea viabilitatii,

18-20 saptamani - scanare pentru anomalii congenitale,

28 saptamani - ex. ecografic pentru studierea cresterii fetale,

Miscarile fetale.

Frecventa vizitelor:

pana la 28 saptamani - lunar;

28- 32 saptamani - la 2 saptamani;

dupa 32 saptamani - saptamanal.

Post-partum:

Mama:

Functia renala: creatinina serica, clearance - ul la creatinina,

Proteinuria din 24 ore,

Tratamentul HTA,

Contraceptie.

Hipoglicemie, hiperbilirubinemie, detresa respiratorie,

Supravegherea dezvoltarii psihomotorii.

*IECA sunt contraindicati in sarcina (pot da malformatii craniene, hipoplazie pulmonara cand se folosesc in primul trimestru de sarcina, sau pot duce la oligohidramnios, insuficienta renala necontrolata si anemie, daca se administreza tarziu in sarcina).

Diagnostul diferential al nefropatiei diabetice

Nu exista date coerente asupra acestui subiect. Datele publicate depind de specialitatea autorilor si de obicei sunt rezultatul biopsiei renale si al angiografiei. Se ia in calcul alta patologie renala atunci cand lipsesc caracteristicile ND (retinopatia diabetica asociata, nefromegalia, calcificarile vasculare difuze) sau evolutia clinica este particulara.

Cand lipsesc elementele caracteristice ale nefropatiei diabetice se face diagnostic diferntial cu orice alta nefropatie primara sau secundara, al caror diagnostic este facilitat de contextual clinic.

Evolutie, prognostic

Fara interventie terapeutica si daca nu intervin factori agravanti, evolutia este aceea prezentata la istoria naturala a nefropatiei diabetice. Odata instalata ND in stadiul terminal, prognosticul este mai sever comparativ cu al pacientilor cu BRC in stadiul terminal nondiabetici, indiferent de metoda de tratament de substitutie a functiilor renale utilizata: la 10 ani supravietuiesc 10% dintre bolnavii hemodializati, supravietuire rara in dializa peritoneala si 20- 25% la bolnavii transplantati. De aceea se impune , ca inca de la depistarea DZ, sa se trateze agresiv toti factorii de risc ce ar putea duce la aparitia ND sau i-ar putea grabi progresia.

Preventia si tratamentul nefropatiei diabetice

Patologia pacientului cu diabet zaharat, in special de tip 2, este complexa, cumuleaza adesea numerosi factori de risc si alte comorbiditati, ce contribuie la progresia DZ si a complicatiilor sale cronice. Pacientul diabetic cu microalbuminurie si proteinurie prezinta foarte frecvent si alte complicatii cronice ale DZ. De aceea astfel de pacienti vor fi abordati holistic, cu screening regulat si tratament al celorlalte complicatii ale DZ sau boli asociate.

1. Preventia primara

Se adreseaza oricarui pacient cu DZ normoalbuminuric la risc si include modalitati terapeutice specifice.

Doua tipuri de strategii au fost evaluate: medicamentele antihipertensive si optimizarea controlului glicemic.

Optimizarea controlului glicemic

Mai multe trialuri importante din ultimii 10 ani au dovedit clar efectul important al controlului glicemic in prevenirea aparitiei ND la pacientii cu DZ tip 1 si tip 2 .

In studiul DCCT (Diabetes Control and Complications Trial), intensificarea terapiei la pacientii cu DZ tip 1 a determinat reducerea aparitiei microalbuminuriei cu 39% si cu 54% riscul evolutiei spre macroproteinurie (overt diabetic nephropathy).

Studiul DCCT evidentiaza faptul ca sunt necesare si alte modalitati aditionale de tratament pentru a reduce sau a evita aparitia nefropatiei diabetice.

In Studiul UKPDS efectuat pe un grup de peste 4000 de pacienti cu DZ tip 2 timp de 15 ani, valoarea HbA1c la grupul cu tratament intensiv a fost cu 0,9% mai scazuta, comparativ cu lotul de control, pe perioada studiului, ceea ce a condus la o scadere semnificativa a riscului aparitiei microalbuminuriei cu 24% dupa 9 ani de tratament intensiv si cu 33% dupa 12 ani. Nu s-a observat nici o diferenta cu privire la tipul de tratament utilizat, antidiabetice orale sau insulina.

Reducerea presiunii arteriale

In stadiul incipient al ND, hipertensiunea intraglomerulara este factorul principal care determina cresterea ratei de excretie a albuminei (aparitia microalbuminuriei) si declinul ratei filtrarii glomerulare (RFG). Hipertensiunea intraglomerulara se datoreaza in primul rand cresterii rezistentei vasculare postglomerulare (vasoconstrictia arteriolelor eferente) si in al doilea rand cresterii valorilor presiunii arteriale sistemice si a fluxului plasmatic renal. Reducerea rezistentei vasculare postglomerulare si a valorilor presiunii arteriale sistemice determina scaderea REA si incetineste declinul RFG cu 5 - 6ml/min./an la pacientii diabetici hipertensivi.

REA este un marker fidel al renoprotectiei exercitate de terapia antihipertensiva, existand o corespondenta intre valorile presiunii arteriale si REA, chiar la valori normale ale presiunii arteriale. Valorile tinta ale presiunii arteriale sunt sub 130/85mmHg pentru toti pacientii diabetici, optime pentru pacientii tineri sub 120/70-75mmHg iar pentru pacientii varstnici sub 125-130/80-85mmHg.

- IECA scad suficient presiunea intraglomerulara si au efect benefic renoprotector similar blocantelor canalelor de calciu si b-blocantelor selective.

- In concluzie, este esentiala instituirea terapiei precoce de reducere a valorilor presiunii arteriale la toti pacientii diabetici hipertensivi normoalbuminurici si terapia renoprotectoare la pacientii diabetici, cu risc crescut, normotensivi si normoalbuminurici. 

2. Preventia secundara

Cuprinde tratamentul administrat pacientilor cu DZ tip 1 si tip 2 pentru modificarea mai multor factori de risc si markeri ai progresiei de la microalbuminurie (nefropatie incipienta) la macroalbuminurie (ND clinic manifesta):

  • Rata excretiei urinare a albuminei,
  • Controlul glicemic (HbA1c),
  • Hipertensiunea arteriala,
  • Dislipidemia,
  • Obezitatea.

Optimizarea controlului glicemic, alaturi de terapia antihipertensiva, este un obiectiv crucial in preventia secundara a nefropatiei diabetice:

- La valori ale HbA1c mai mari de 7,5% se impune intensificarea terapiei hipoglicemiante, indeosebi a insulinoterapiei, pana la obtinerea unor valori ale glicemiei cat mai aproapiate de normal, cu tot riscul episoadelor hipoglicemice (uneori severe).

Importante studii prospective au dovedit efectele benefice ale unui bun control glicemic asupra RFG si a REA, atat la pacientii cu DZ tip 1 cat si la pacientii cu DZ tip 2.

Rezultatele studiilor Steno 1 si 2 sunt concludente in acest sens:

a) la lotul de pacienti cu DZ tip 1 cu insulinoterapie conventionala, declinul RFG a fost cu 3,7ml/min/an iar progresia microalbuminuriei la macroalbuminurie (nefropatie clinic manifesta) a fost de 100%;

b) la lotul de pacienti ce a beneficiat de intensificarea terapiei cu insulina, declinul RFG a fost de 1ml/min/an, iar progresia nefropatiei a fost de numai 22%.

Studiul multicentric DCCT confirma reducerea riscului progresiei ND incipiente la nefropatie clinic manifesta cu 54% in urma intensificarii insulinoterapiei si a obtinerii unei valori a HbA1c < 7.5%.

Efectele imbunatatirii controlului glicemic la pacientii cu DZ tip 2 au fost dovedite de UKPDS, care a evidentiat o reducere a riscului de progresie a microalbuminuriei la macroalbuminurie cu 25% in conditiile asocierii la terapia hipoglicemianta a terapiei antihipertensive.

Tratamentul dislipidemiei, la valori ale trigliceridelor de peste 150mg/dl si ale LDL - col. de peste 100mg/dl, cu inhibitori ai HMG - CoA reductazei, are efecte renoprotective evidente si reprezinta un obiectiv important al preventiei secundare.

Reducerea greutatii corporale prin exercitii fizice, indeosebi pentru pacientii cu DZ tip 2 este un alt obiectiv, atat al preventiei primare, cat si al celei secundare.

Fumatul este de asemenea un factor de risc pentru progresia ND si creste de 2 - 3 ori mortalitatea cardiovasculara, impunandu-se stoparea sa.

Reducerea aportului dietetic de sodiu, in special la pacientii cu DZ tip 2, care asociaza frecvent HTA, este necesara chiar in stadiul incipient al nefropatiei.

Restrictia de proteine sub 0,8g/kgc/zi, la pacientii diabetici cu microalbuminurie determina o reducere a RFG si a REA independente de valorile presiunii arteriale si nivelurile glicemiei.

Este necesara o educatie specifica dietetica pentru un consum de 0,8g/kgc/zi de proteine, dar acest aport este dificil de mentinut timp indelungat de catre pacientii diabetici.

Tratamentul HTA.

Numeroase studii efectuate la pacientii diabetici cu ND incipienta au dovedit efectul benefic, de reducere a microalbuminuriei si a declinului RFG la valori ale presiunii arteriale sub 130/70mmHg.

- La pacientii diabetici cu ND si HTA se recomanda ca prima optiune terapeutica antihipertensiva IECA, atat pentru efectul antiproteinuric cat si pentru efectul de reducere a declinului RFG (datorat scaderii valorilor presiunii arteriale).

- Blocanti ai canalelor de calciu dihidropiridinici, cu actiune prelungita (felodipina, amlodipina) au efecte similare IECA in ceea ce priveste reducerea RFG la pacientii diabetici hipertensivi cu microalbuminurie si intarzie aparitia macroalbuminuriei la pacientii normotensivi cu diabet tip 1 si microalbuminurie persistenta. Aceste efecte justifica administrarea dihidropiridonelor in asociere cu IECA sau ca prima optiune terapeutica atunci cand exista contraindicatie pentru IECA.

Mogensen a sugerat ca progresia microalbuminuriei la macroalbuminurie este mai lenta la pacientii cu DZ tip 2 comparativ cu DZ tip 1. Toate studiile prospective au dovedit insa ca rata progresiei microalbuminuriei la macroalbuminurie este cuprinsa intre 4% si 9% pe an si este aceiasi pentru pacientii cu DZ tip 1 si tip 2.

- Studii recente au evaluat efectele dublei blocari a sistemului renina - angiotensina la pacientii cu DZ tip 2 hipertensivi, microalbuminurici dar si efectele blocantilor de receptori 1 ai angiotensinei II (sartani) la aceiasi categorie de pacienti. Asocierea dintre lisinopril si candesartan a fost mai eficienta decat monoterapia pentru reducerea presiunii arteriale si a ratei excretiei urinare a albuminei.

Un studiu pe 2 ani (incheiat in noiembrie 2000) a evaluat efectele inhibitorilor de receptori 1 ai angiotensinei II la pacientii cu DZ tip 2 hipertensivi cu microalbuminurie si a dovedit efecte benefice renoprotectoare si cardioprotectoare.

Nu exista date sau trialuri care sa fi stabilit efecte clinice benefice certe pentru a justifica utilizarea preferentiala a blocantilor de receptori 1 ai angiotensinei II la aceasta categorie de pacienti.

3. Preventia tertiara

Cuprinde tratamentul nefropatiei diabetice clinic manifeste, pentru a preveni sau intarzia aparitia ND in stadiul terminal (uremic).

Factorii de risc importanti pentru declinul progresiv al RFG in ND sunt: HTA, proteinuria si glicemia necontrolata, in timp ce aportul proteic pare a juca un rol minor.

Reducerea valorilor TA creste speranta de viata si calitatea vietii pacientilor diabetici cu ND, prin reducerea declinului functiei renale si intarzierea progresiei ND. La pacientii cu DZ tip 1 si ND, declicul RFG este cu aproximativ 10ml/min/an iar scaderea valorilor TA poate reduce la jumatate scaderea RFG (aproximativ 5ml/min/an). Chiar daca aparitia ND in stadiul terminal nu poate fi adesea prevenita, necesitatea terapiei de substitutie a functiilor renale (hemodializa, dializa peritoneala) poate fi considerabil intarziata, comparativ cu evolutia naturala a nefropatiei diabetice.

- Inainte de inceperea terapiei antihipertensive se recomanda evaluarea complicatiilor cardiovasculare ale pacientului cu DZ, in special ischemia miocardica silentioasa, sindromul de ischemie cronica periferica si stenoza de artera carotida (eco - Doppler).

- Terapia antihipertensiva se adreseaza in aceeasi masura pacientilor cu DZ tip 1 si tip 2 chiar daca istoria naturala difera la cele doua categorii de pacienti si "scorul de comorbiditate" este diferit, iar incidenta mai mare a DZ tip 2 determina o morbiditate crescuta prin ND fata de DZ tip 1.

- Aparitia ND clinic manifeste are loc dupa o evolutie indelungata a DZ tip 1, in general peste 15 ani, in timp ce in DZ tip 2, HTA primara si complicatiile aterosclerotice sistemice (inclusiv renale) pot sa fie prezente inca din momentul diagnosticarii diabetului.

- Numeroase studii au evaluat efectele diverselor clase de antihipertensive si eficacitatea lor la pacientii diabetici cu ND atat in monoterapie cat si in diverse combinatii.

Majoritatea studiilor recomanda ca prima alegere pentru terapia antihipertensiva la pacientii diabetici cu ND inhibitorii enzimei de conversie a angiotensinei (IECA), ale caror efecte antiproteinurice au fost bine documentate. De asemenea, efectele cardioprotectoare ale IECA constituie un puternic argument pentru utilizarea lor ca prim agent terapeutic la aceasta categorie de pacienti cu risc inalt cardiovascular.

- Aproximativ 60% dintre pacientii diabetici hipertensivi cu ND necesita asocierea la IECA a unui blocant al canalelor de calciu, dihidropiridina cu actiune prelungita (amlodipina, felodipina) si a unui diuretic de ansa (furosemid, torasemid) in doza moderata. Pentru atingerea valorilor tina ale presiunii arteriale este, uneori, necesara asocierea unui b- blocant selectiv sau a unui vasodilatator (hidralazina).

Pentru a obtine maximum de beneficiu terapeutic si a amana progresia ND catre stadiul terminal, cat de mult timp posibil, este esential ca terapia antihipertensiva cu IECA sa fie initiata in stadiile incipiente ale nefropatiei si sa fie agresiva, pentru a atinge valoarea tinta a presiunii arteriale, care asigura maximum de renoprotectie si cardioprotectie a pacientilor.

Un studiu recent a evaluat comparativ efectele antiproteinurice si antihipertensive ale IECA (enalapril) si ale blocantilor de receptori I ai angiotensinei II (losartan) la pacienti cu DZ tip 1. Studiul a aratat capacitatea losartanului de a reduce proteinuria si presiunea arteriala similara cu cea a IECA. S-a demonstrat ca doza optima de losartan pentru renoprotectie si scaderea valorilor presiunii arteriale este de 100mg zilnic.

Optimizarea controlului glicemic: studii riguroase prospective efectuate la pacientii cu DZ tip 1 si tip 2 si ND, au aratat ca un bun control glicemic (glicemie cat mai aproape de normal) este capabil sa previna sau sa intarzie progresia ND catre stadiul terminal. Nu a fost insa evidentiat un nivel-prag glicemic pentru progresia ND.

Intensificarea terapiei cu insulina pentru obtinerea unui bun control glicemic, la pacientii cu ND clinic manifesta este greu de realizat, deoarece creste riscul hipoglicemiilor severe (timpul de actiune al insulinei creste). Odata cu progresia ND, controlul glicemic devine mai putin important cu privire la efectul asupra nefropatiei insesi.

Cu toate acestea, rezultatele indica in prezent ca un bun control glicemic (HbA1c<7%) trebuie sa fie obiectivul-tinta pentru pacientii diabetici cu nefropatie avansata. In stadiile avansate ale ND, intensificarea tratamentului multifactorial este absolut necesara, deoarece progresia nefropatiei este determinata de factori multipli.

Tratamentul dislipidemiei se impune atunci cand LDL-C este peste 100mg/dl iar trigliceridele peste 150mg/dl.

Reducerea aportului proteic la pacientii diabetici cu nefropatie diabetica este controversata si are importanta mai redusa pentru progresia nefropatiei.

In practica medicala este greu de realizat o dieta hipoproteica la pacientii diabetici, datorita compliantei reduse a acestora si riscului crescut pentru aparitia malnutritiei protein - calorice.

In baza probelor evidente ale EDPG (European Diabetes Policy Group) se recomanda in prezent o restrictie proteica de 0,8g/Kg/zi dar nu sub 0,6g/Kg/zi, pentru pacientii cu ND si o rata crescuta a excretiei urinare de albumina.

Educatia dietetica specifica este necesara pentru un aport proteic de 0,8g/Kg/zi, deoarece este dificil pentru pacientii cu ND sa mentina o dieta hipoproteica pentru o perioada lunga de timp.

4. Terapia de substitutie a functiilor renale la pacientii cu diabet zaharat:

Alegerea modalitatii de substitutie a functiilor renale si momentul initierii acesteia la pacientul cu DZ si nefropatie diabetica stadiul V creeaza reale probleme in practica medicala nefrologica, din cel putin doua motive:

prezentarea tardiva la nefrolog a pacientilor, in general, cand clearance-ul creatininei endogene are valori sub 10ml/min;

lipsa de complianta a pacientilor diabetici, in special pentru dializa peritoneala.

Se recomanda ca moment optim pentru initierea terapiei de substitutie renala cronica (Dialisys Outcome Quality Initiative si International Society of Nephrology) la pacientii diabetici o valoare a clearance-ului creatininei (Clcr) in jur de 15ml/min. (15 - 20ml/min).

Acest obiectiv este greu de atins, deoarece pacientii se prezinta tardiv la nefrolog, cand deja Clcr. a scazut sub 10ml/min. si functia renala reziduala este foarte redusa, scazand mult durata supravietuirii si calitatea vietii acestor pacienti.

Prezenta comorbiditatilor severe (scor de comorbiditate ridicat), indeosebi cardiovasculare, ar inclina balanta in favoarea dializei peritoneale ca modalitate de substitutie pentru pacientii varstnici cu risc cardio-vascular crescut.

Dializa peritoneala continua ambulatorie (DPCA) este preferata la pacientii diabetici si datorita problemelor de abord vascular, necesar tratamentului hemodialitic.

DPCA creeaza probleme in legatura cu mentinerea statusului nutritional si a controlului metabolic datorita:

  • pierderii a 5 - 15g de proteine pe zi si cresterii pierderilor in timpul episoadelor de peritonita, crescand riscul malnutritiei protein-calorice;
  • pierderii vitaminelor hidrosolubile prin dializa si acumularii vitaminelor liposolubile;
  • absorbtiei de aproximativ 200g/zi de glucoza din cavitatea peritoneala, in jurul a 800Kcal/zi, reprezentand 12-34% din necesarul zilnic de calorii, crescand riscul hiperglicemiei si inhiband apetitul;
  • prezentei dializatului in cavitatea peritoneala si evacuarii gastrice lente (gastropareza) ce dau pacientului senzatia de distensie si plenitudine a abdomenului, conducand la diminuarea apetitului;
  • concentratiei serice crescute a leptinei, care induce senzatia de satietate (via hipotalamus);
  • persistentei acidozei metabolice moderate, care intensifica degradarea proteinelor si oxidarea aminoacizilor;
  • DPCA asigura un bun control cardio-vascular si reduce riscul si severitatea episoadelor hipoglicemice.
  • DPCA conserva functia renala reziduala, spre deosebire de hemodializa, care o deterioreaza;

Hemodializa (HD) este mai usor acceptata de catre pacientii diabetici, dar este grevata de doua mari probleme

  • accesul vascular (fistula arterio-venoasa- FAV) dificil de realizat si de mentinut timp indelungat, datorita calitatii vaselor pacientilor diabetici;
  • lipsa unui bun control cardiovascular, ce conduce la complicatii cardio-vasculare severe, hipotensiune intradialitica, insuficienta cardiaca, pericardita, tulburari de ritm, accidente coronariene.

Tabel 5.7. Avantajele si dezavantajele metodelor de substitutie a functiilor renale cronica la pacientii diabetici cu IRC terminala (dupa Friedman E. A, modificat).

Parametrii

HD

DPCA

Transplant

(rinichi + pancreas)

Varsta

fara limita

fara limita

< 45 ani (arbitrar ?)

Supravietuire la 1 an

> 90%

Supravietuire la 3 ani

in DZ tip2

- 85% cu grefa renala de la donator viu, inrudit.

- 68% grefa renala + pancreatica ( infectii)

Supravietuire la 10 ani

<10%

rara

Mortalitate

relativ crescuta

mult crescuta

aproape identica cu HD

Co - morbiditate

neuropatie severa

fara limita

risc cardio-vascular crescut

Reabilitare completa

rara

aproape exclusa

frecventa

Progresia complicatiilor DZ

incetinita

agravarea dislipidemiei

vindeca IRC,

normalizeaza metabolismul glicemic

Avantaje

eficienta buna, urmarire medicala frecventa, nu se pierd proteine in dializant

ambulator, normalizeaza echilibrul hidric (TA), bine tolerata de cardiaci, nu necesita FAV. Control bun al potasemiei, crize hipoglicemice rare si mai putin severe. Insulina poate fi administrata intraperitoneal.

terapie optima

Dezavantaje

Abordare vasculara dificila, datorita arteriosclerozei si calcificarilor arteriale, complicatii cardio -

vasculare majore, risc de amputatie la membrul cu fistula, necesita interventii chirurgicale repetate pentru fistule(67% raman functionale dupa 1 an), risc de hipotensiune, rar-progresie rapida a retinopatiei

hiperglicemie, pierdere de proteine in dializant, obezitate, peritonite si infectii la nivelul cateterului, cresterea presiunii intraabdominale, cu risc de hernie, pierdere dializant, anorexie

terapie imuno-supresoare

Costuri

cele mai ridicate

cele mai reduse

ridicate in primul an

Pe langa criteriile strict medicale, in alegerea terapiei de substitutie a functiilor renale la pacientul diabetic, sunt extrem de importante complianta pacientului si suportul familial.

Din acest punct de vedere diminuarea acuitatii vizuale pana la cecitate nu limiteaza si nu influenteaza alegerea metodei de substitutie renala cronica, existand pacienti diabetici cu cecitate bilaterala in tratament prin DPCA care isi efectueaza singuri, in siguranta, schimburile peritoneale.

Transplantul renal si transplantul de rinichi si de pancreas la pacientii diabetici.

Terapia optima a ND in stadiul terminal (uremic) la pacientii diabetici, in special tineri fara afectare vasculara periferica severa, este reprezentata de transplantul renal si transplantul de rinichi si pancreas, simultan sau succesiv (gold - standard).

Datele relevate de un studiu retrospectiv efectuat pe 500 pacienti care au primit simultan o grefa reno - pancreatica (Zaier M, Ritz E - Nephrol. Dial Transplant, 2002) sunt incurajatoare.

Pe termen lung, supravietuirea pacientilor diabetici cu transplant simultan de rinichi si pancreas este superioara celor cu transplant doar de rinichi. Evolutia pacientilor cu transplant simultan de rinichi si pancreas este grevata de complicatii infectioase locale, dar previne recidiva nefropatiei diabetice.

La pacientii diabetici cu transplant renal, recidiva nefropatiei diabetice reduce durata supravietuirii grefei renale.

Administrarea medicamentelor bolnavilor diabetici aflati in tratament de substitutie iterativa a functiilor renale cronica.

Prin hemodializa eliminarea unui medicament este influentata de particularitatile medicamentului si de particularitatile tratamentului prin hemodializa.

Medicamentele cu greutate moleculara mai mica de 500Da, hidrosolubile, cu volum de distributie mai mare, se elimina semnificativ prin hemodializa (dializeaza). In functie de dializanta, unele medicamente se administreaza dupa sedinta de hemodializa iar altele necesita suplimentarea dozei dupa sedinta de dializa.

Desi majoritatea medicamentelor pot traversa membrana peritoneala, eliminarea lor prin dializa peritoneala este de 4 - 8 ori mai mica decat prin hemodializa.

Medicamente al caror efect este optim daca se administreaza dupa sedinta de hemodializa:

antibiotice

antiaritmice

aminoacizi

azatioprina

barbiturice

beta - blocanti hidrofili

ciclofosfamida

desferioxamina

fier

salicilati

steroizi

vitamine

5 - Fluorouracil

Tabel 5.8. Eliminarea prin dializa a medicamentelor

Dializeaza

Dializeaza putin

Nu dializeaza

HEMODIALIZA

Acyclovir

Gentamicina

Amantadina

Meticilina

Acebutolol

Allopurinol

Izoniazida

Ciprofloxacina

Metoprolol

Acid valproic

Amikacina

Litiu

Co-trimoxazol

Metotrexat

Amfotericina

Amoxicilina

Mecilinam

Enalapril

Miconazol

Bretilium

Ampicilina

Metronizadol

Eritromicina

Oxazepam

Ciclosporina

Atenolol

Moxalactam

Etambutol

Petidina

Clonidina

Aztreonam

Netilmicina

Etosuximid

Prednison

Clorochina

Carbenicilina

Penicilina

Lorazepam

Procainamida

Diazoxid

Cefalexin

Ranitidina

Metilprednisolon

Propoxifen

Digoxin

Cefotaxim

Streptomicina

Nadolol

Propranolol

Disopiramida

Cefradin

Teofilina

Procainamida

Vancomicina

Fenitoin

Ceftazidim

Ticarcilina

Tetraciclina

Warfarina

Flecainida

Cefuroxim

Tobramicina

Glutetimida

Flucitozina

Trimetoprim

Heparina

DIALIZA PERITONEALA

Aztreonam

Galamina

Aminoglicozide

Flucitozina

Chinidina

Ceftazidim

Ranitidina

Aspirina

Litium

Fenobarbital

Etambutol

Cefalexina

Izoniazida

Teofilina

IV. Tratamentul celorlalte complicatii si boli asociate nefropatiei diabetice,presupune:

1. Supravegherea permanenta a fundului de ochi, cu aplicarea tratamentului lasser in timp util.

2. Depistarea neuropatiei vegetative, in special a cistopatiei diabetice, cu stabilirea unor ore de urinat, cu exercitarea unei presiuni abdominale pentru a se indeparta rezidiul vezical.

3. Depistarea si trtamentul sustinut al infectiilor urinare.

4. Tratament cu aspirina, doze mic(75-100mg/zi), ca antiagregant plachetar, pentru a preveni complicatiile vasculare sau evenimentele acute. Depistarea clinica sau prin investigatii a diverselor complicatii macrovasculare, cu instituirea tratamentului medical sau chirurgical adecvat.

5. Tratamentul piciorului diabetic etc.

V. Sperante terapeutice in nefropatia diabetica

Modalitati terapeutice potentiale pentru prevenirea si tratamentul nefropatiei diabetice dau sperante medicilor curanti si pacientilor diabetici. Aceste noi modalitati terapeutice includ:

- inhibitorii glicozilarii -aminoguanidina, reduce formarea AGE.

- oligonucleotide antisens, impotriva TGF.

- decorina- leaga TGF, inactivandu-l.

- receptori solubili pentru TGF-

- inhibitorii protein-kinazei C.

- antagonistii a numerosi factori de crestere, cum ar fi: IGF1, TGF- si VEGF.

- terapia antioxidanta.

- terapia cu glycozaminoglicani.

- inhibitia cyclooxigenazei-2.

- C peptidul are efecte renoprotecroare.

- terapia cu thiazolidindione influenteaza functia celulelor musculare netede, a celulelor mezangiale.

- blocarea receptorilor vasopresinei.

- inhibitorii aldozoreductazei (Sorbinil)- scad nivelurile produsilor finali ai caii poliolilor, si consecutiv incidenta complicatiilor DZ.

Multi dintre acesti agenti au fost bine investigati in vitro si pe animale de experienta dar exista putine studii si pe termen scurt pe om.

La om au fost bine evaluate in trialuri clinice randomizate doar inhibitorii glicozilarii si terapia cu glycozaminoglicani.

Cand nefropatia diabetica a ajuns in stadiul V(uremic), singura modalitate de tratament este terapia de substitutie iterativa a functiilor renale.

VI. Educatia medicala terapeutica la pacientii cu complicatii microvasculare

Educatia medicala specifica a pacientilor cu DZ reprezinta o metoda terapeutica extrem de importanta, continua si de lunga durata [214,215]. Conform raportului OMS (1998), educatia terapeutica este astfel conceputa incat sa formeze pacientilor deprinderea auto-controlului, a adaptarii managementului clinic la particularitatile personale si ale patologiei. Este considerata esentiala pentru eficientizarea managementului clinic, pentru calitatea ingrijirii si pentru reducerea costurilor [203,214,215]. Rolul fundamental al educatiei specifice a persoanelor cu DZ este cel de asigurare a suportului teoretic si practic, care sa motiveze si sa permita acestora implicarea activa in controlul bolii. Se urmareste astfel prevenirea complicatiilor, cresterea sperantei de viata si a calitatii vietii. Din echipa medicala de ingrijire va face parte pacientul (rol central), medici diabetologi, nefrologi, asistente medicale de educatie, dieteticiene, kiropodist, psiholog, oftalmolog, neurolog etc. Conceptul actual al educatiei terapeutice in DZ, prevede implicarea pacientului in conducerea propriului tratament, dupa investirea lui cu cunostinte, deprinderi, atitudini, care sa ii permita adoptarea de decizii terapeutice, adaptarea la diverse situatii, auto-control, auto-observare (patient empowerment) [201,202,203,207,212,213,214]. Acest transfer al responsabilitatii majore a ingrijirii diabetului de la echipa medicala spre pacient, antrenarea pacientului in aplicarea practica a cunostintelor teoretice, se realizeaza doar printr-o educatie bine structurata, individualizata pe cat posibil si continua.

Complexitatea cadrului de ingrijire a DZ impune echipei medicale o interventie multidisciplinara si specializata in domeniul modalitatilor terapeutice, a interventiilor nutritionale, comportamentale, a tehnicilor de predare si invatare si deprinderi de consiliere. Din punct de vedere al implementarii in practica, programul educational, se structureaza in doua etape [214,215]:

Educatia initiala, consecutiva diagnosticului, ce are drept scop:

- informarea persoanei asupra DZ (semnificatie, evolutie, riscul general al acestuia),  - instruirea bazala referitoare la obiectivele si programul terapeutic, - inducerea motivatiei si aderentei la managementul clinic.

  1. Educatia continua:

asigura suportul teoretic, practic si psihologic pentru modificarile comportamentale si actiunile de control ale diabetului,

- mentine si intareste aderenta terapeutica,

- asigura reactualizarea cunostintelor teoretice si practice,

- faciliteaza adaptarea la situatii concrete, in momentul aparitiei complicatiilor

cronice. Continutul si ritmul de desfasurare al programului educational se adapteaza in functie de necesitatile persoanelor cu diabet in etapa de preventie secundara sau tertiara.

Momentul oportun de abordare, in cadrul programelor educationale, a problematicii complicatiilor cronice, cu tot ce presupune aceasta, trebuie adaptat persoanei in cauza. Opinia majoritara situeaza acest moment dupa faza de acceptare a bolii, in cadrul programului de educatie continua, cand exista dovezi ale implicarii persoanei in auto-control si a asumarii responsabilitatii acestuia. Prezentarea datelor referitoare la complicatiile cronice (cauze, evolutie, modalitati de preventie si control ale acestora), trebuie sa fie facuta intr-o maniera realista si practica, care sa ofere posibilitatea persoanelor cu diabet sa ia decizii informate referitoare la propria ingrijire, evitand inducerea unor situatii de stres sau frustare. O evaluare anterioara a cunostintelor pe care persoana cu diabet le are despre complicatiile cronice, este utila. Prezenta complicatiilor impune din partea echipei medicale un suport psihologic si educational suplimentar [204,214].

In prezenta nefropatiei diabetice, programul educational trebuie sa ofere cunostinte si solutii practice referitoare la [205]:

- Structura si functia rinichiului,

- Semnificatia si evolutia clinica a nefropatiei diabetice,

- Semnificatia microalbuminuriei sau proteinuriei,

- Asigurarea controlului glicemic, tensional si lipidic,

- Riscul crescut de hipoglicemie, cauze, modalitati de prevenire,

- Obiectivele terapeutice glicemice, tensionale, lipidice,

- Optimizarea stilului de viata: renuntarea la fumat, adaptarea regimului alimentar in functie de stadiul evolutiv al complicatiei renale si in functie de patologia asociata. Activitatea fizica va fi supravegheata, cu evitarea eforturilor fizice intense,

- Aderenta la medicatia antihipertensiva,

- Insulinoterapie,

- Necesitatea monitorizarii functiei renale conform programului stabilit de specialistul nefrolog sau diabetolog,

- Posibilitatea si semnificatia dializei si a transplantului renal sau renal si pancreatic concomitent. Avantaje si dezavantaje ale fiecarei metode terapeutice,

- Elemente speciale in tehnicile de substitutie a functiilor renale: ingrijirea suntului si a fistulei arerio-venoase, dializa si locul de munca, dializanta anumitor medicamente etc.

- Instruire pentru noile norme ce trebuiesc respectate dupa initierea dializei sau instruirea pacientului pentru preluarea la domiciliu a dializei peritoneale.

Bibliografie

Brenner BM, Cooper ME, De Zeeuv D et al Effects of losartan on renal and cardiovascular outocomes in patients with type 2 diabetes and nephropathy. N. Engl J Med 2001; 345(12): 870-8.

Breyer Julia Diabetic Nephropathy. Primer on Kidney Diseases. Second edition. National Kidney Foundation, 1998: 215-220.

Christensen Ck, Mogensen Ce The course of incipient diabetic nephropathy: studies of albumin excretion and blood pressure. Diabet Med 1985; 2: 95-102.

Gae De P, Vedel P, Larsen N et al. Multifactorial intervention and cardiovascular disease in patient with type 2 diabetes. N Engl. J Med .2003: 348: 383-393.

Ionescu Tirgoviste C. Diabetologie moderna. Ed. Tehnica. Bucuresti 1997: 285-293.

Martin Ac, Sanders Ra,Watchins Jb. Diabetes, Oxidative stress, and antioxidants: a review J Biochem Mol Toxicol. 2003; 17: 24-38.

Mogensen CE, Christensen CE Predicting diabetic nephropathy in insulin dependent patients. N. Engl. J Med 1984; 311: 89-9.

Molitch ME, De Fronzo RA et al. Diabetic Nefropathy. Diabetes Care 2003; 26(Suppl 1): S94-S98.

Morgensen CE, Christensen CK, Vittinghus E The stage in diabetic renal disease with emphasis on the stage of incipient diabetic nephropathy. Diabetes 1983; 28: 6-11.

Mota Maria Microangiopatia diabetica. Ed. Didactica si Pedagogica Bucuresti, 2003: 91-132.

Rolf Robkins. Diabetic Nephropathy.Clin. Cornerstone. Excerpta medica 5(2), 2003: 1-11.

Schrnthaner G. Management priorities in type 2 diabetes mellitus:preventing long term vascular complications. Medicographia, 2004; 26(1): 35-44.

Serafinceanu C Boala renala diabetica. Ed. Morosanu, 2002: 1-245.

Ursea N Tratat de nefrologie. Ed. Artiprint 1994: 1127-1144. 

Us Renal Data System Excerpts from the United States Renal Data System 2001. Annual Data Report Atlas of End-Stage Renal Disease in the United Status. Am J Kidney Dis 2001; 38: S1-S248.

Akai Y, Homma T, Burns KD et al. Mechanical stretch/relaxation of cultured rat mesangial cells induces protooncogenes and cyclooxygenase. Am J Physiol 1994; 267: C 482-C490.

Allen TJ, Cao Z, Youssef S, Hulthen UL, Cooper ME The role of angiotensin II and bradykinin in experimental diabetic nephropathy: functional and structural studies. Diabetes 1997; 46: 1612-1618.

Amemiya T, Sasamura H, Mifune M et al. Vascular endothelial growth factor activates MAP kinase and enhances collagen synthesis in human mesangial cells. Kidney Int 1999; 56: 2055-63.

Anderson S, Jung FF, Ingelfinger Jr Renal renin-angiotensin system in diabetes: functional immunohistochemical and molecular biological correlations. Am J Physiol. 1993; 265: F477-86.

Asakimori Y, Yorioka N, Yamamoto I et al. Endothelial nitric oxide synthase intron 4 polymorphism influences the progression of renal disease. Nephron 2001; 89: 219-23.

Bacci S, DE Cosmo S, Garuba M et al. Role of insulin-like growth factor (IGF)-1 in the modulation of renal hemodynamics in Type 1 diabetic patients. Diabetologia 2000; 43: 922-6.

Barnes PJ, Karin M Nuclear factor-kappa B: a pivotal transcription factor in chronic inflammatory disease. N Engl J Med 1997; 336: 1066-71.

Barzilay J, Warram JH, Bak M et al. Predisposition to hypertension. Risc factor for nephropathy and hypertension in IDDM. Kidney Int 1992; 41: 723-30.

Blakemore AI, Cox A, Gonzalez AM et al. Interleukin-1 receptor antagonist allele (IL1RN*2) associated with nephropathy in diabetes mellitus. Hum Genet

Border WA, Noble NA Transforming growth factor beta in tissue fibrosis. N Engl J Med 1994; 331:1286-92.

Chen HC, Guh YJ, Shin SJ et al. Reactive oxygen species enhances endothelin-1 production in diabetic rat glomeruli in vitro and in vivo. J Lab Clin Med

Chowdhury TA, Dronsfield MJ, Kumar S et al. Examination of two genetic polymorphsims within the renin-angiotensin system: no evidence for an association with nephropathy in IDDM. Diabetologia 1996; 39: 1108-14.

Cooper ME, Vranes D, Youssef S et al. Increased renal expression of vascular endothelial growth factor (VEGF) and its receptor VEGFR-2 in experimental diabetes. Diabetes 1999; 48: 2229-39.

Cooper ME Pathogenesis, prevention and treatment of diabetic nephropathy. Lancet 1998; 352: 213-219.

Danne T, Spiro MJ, Spiro RG Effect of high glucose on type IV collagen production by cultured glomerular epithelial and mezangial cells. Diabetes, 1993; 42: 170-177.

De Vriese AS, Tilton RG, Elger M et al. Antibodies against vascular endothelial growth factor improve early renal dysfunction in experimental diabetes. J Am Soc Nephrol 2001; 12: 993-1000.

Demaine A, Hibberd M, Millward A Insertion/deletion polymorphism in the angiotensin-I-converting enzyme gene. Diabetologia 1995; 38: 1495-6.

Fagerudd JA, Pettersson-Fernholm KJ, Gronhagen-Riska C, Groop PH The impact of family history of Type II (non-insulin-dependent) diabetes mellitus on the risk of diabetic nephropathy in patients with type I (insulin-dependent) diabetes mellitus. Diabetologia 1999; 42: 519-26.

Farmer CK, Goldsmith DJ, Quinn JD et al. Progression of diabetic nephropathy - is the blood pressure rhytm as important as absolute blood pressure level 2. Nephrol. Dial. Transplant 1998; 13: 635-639.

Fogarty DG, Harron JC, Hughes AE et al. A molecular variant of angiotensinogen is associated with diabetic nephropathy in IDDM. Diabetes 1996; 45: 1204-8.

Goldfarb S, Ziyadeh FN, Kern EF, Simons DA Effects of polyol-pathway inhibition and dietary myoinositol on glomerular hemodynamic function in experimental diabetes mellitus in rats. Diabetes 1991; 40: 465-71.

Gruden G, Thomas S, Burt D et al. Interaction of angiotensin II and mechanical stretch on vascular endothelial growth factor production by human mesangial cells. J Am Soc Nephrol 1999; 10: 730-7.

Gruden G, Thomas SM, Burt D et al. Mechanical stretch induces VEGF expression in human mesangial cells: mechanism of signal transduction. Proc Natl Acad Sci USA 1997; 94: 12112-6.

Gruden G, Zonca S, Hayward A et al. Mechanical stretch induced fibronectin and transforming growth factor-beta 1 production in human mesangial cells is p38 mitogen - activated protein kinase - dependent. Diabetes 2000; 49: 655-61.

Hansen KW, Paulsen PL, Christiansen JS et al. Determinants of 24-h blood pressure in IDDM patients. Diabetes Care 1995; 18: 309-317.

Heesom AE, Hibberd ML, Millward A, Demanie AG Polymorphysm in the 5¢-end of the aldose reductase gene is strongly associated with the development of diabetic nephropathy in type I diabetes. Diabetes 1997; 46: 287-91.

Heiling CW, Liu Y, England RL et al. D-glucose stimulates mesangial cell Glut 1 expression and basal and IGF-I-sensitive glucose uptake in rat mesangial cell. Diabetes 1997; 46:1030-9.

Hill C, Flyvbjerg A, Gronbaek H et al. The renal expresion of transforming growth factor-beta isoforms and their receptors in acute and chronic experimental diabetes in rats. Endocrinology 2000; 141: 1196-208.

Hischberg R, Brunori G, Kopple JD, Guler HP Effects of insulin-like growth factor I on renal function in normal men. Kidney Int 1993; 43: 387-97.

Hypertension In Diabetes Study (HDS) Prevlence of hypertension in newly presenting type 2 diabetic patients and the association with risk factors for cardiovascular and diabetic complications. J. Hypertens, 1993; 11: 309-317.

Imperatore G, Knowler WC, Pettitt DJ et al. Segregation analysis of diabetic nephropathy in Pima Indians. Diabetes 2000; 49: 1049-56.

Ingram AJ, Scholey JW Protooncogene expression and diabetic kidney injury. Kidney Int 1997; 60 (Suppl): S70-6.

Ishii H, Jirousek MR, Koya D et al. Amelioration of vascular dysfunctions in diabetic rats by an oral PKC beta inhibitor. Science 1996; 272: 728-31.

Ishii H, Tada H, Isogai S An aldose reductase inhibitor prevents glucose-induced increase in transforming growth-factor-beta and protein kinase C activity in cultured mesangial cells. Diabeteologia, 1998; 41: 362-4.

Kim NH, Jung HH, Cha DR, Choi DS Expression of vascular endothelial growth factor in response to high glucose in rat mesangial cells. J Endocrinol 2000; 165: 617-24.

Kopp JB, Factor VM, Mozes M et al. Transgenic mice with increased plasma levels of TGF-beta 1 develop progrssive renal disease. Lab Invest 1996; 74: 991-1003.

Koya D, Haneda M, Nakagawa H et al. Amelioration of accelerated diabetic mesangial expansion by treatment with a PKC beta inhibitor in diabetic db/db mice, a rodent model for type 2 diabetes. FASEB J 2000; 14: 439-47.

Koya D, King GL Protein kinase C activation and the development of diabetic complications. Diabetes 1998; 47: 859-66.

Kreisberg JI, Kreisberg SH. High glucose activates protein kinase C and stimulates fibronectin gene expression by enchancing a cAMP response element. Kidney Int 1995; 51 (Suppl): S3-11.

Landau D, Chin E, Bondy C et al. Expression of insulin-like growth factor binding proteins in the rat kidney: effects of long-term diabetes. Endocrinology 1995; 136: 1835-42.

Lee HB, Cha MK, Song Kik et al. Pathogenic role of advanced glycosylation end products in diabetic nephropathy. Kidney Int. 1997 60(suppl); S60-S65.

Lee LK, Mayer TW, Pollok AS et al. Endotelial cell injury initials glomerular sclerosis in the rat remnant kidney. J Clin Invest 1995; 96: 953-964.

Li YM, Mitsuhashi T, Wojciechowicz D et al. Molecular identity and cellular distribution of advanced glycation end product receptors: relationship of p 60 to OST-48 and p90-80K-H membrane proteins. Proc Natl Acad Sci USA 1996; 93: 11047-52.

Mattar AL, Fujihara CK, Riberio MO et al. Renal effects of acute and chronic nitric oxyde inhibition in experimental diabetes. Nephron, 1996; 74: 136-143.

Mogensen CE, Osterby R, Gundersen HJ Early functional and morphologic vascular renal consequences of the diabetic state. Diabetologia 1979; 17: 71-6.

Muller DN, Dechend R, Mervaala EM et al. NF-kappaB inhibition ameliorates angiotensin II-induced inflamatory damage in rats. Hypertension 2000; 35: 193-201.

Neeper M, Schmidt AM, Brett J et al. Cloning and expression of a cell surface receptor for advanced glycosylation end products of proteins. J Biol Chem 1992; 267: 1498-5004.

Nelson RG, Pettitt Dj, Baird HR et al. Pre-diabetic blood pressure predicts urinary albumin excretion after the onset of type 2 (non-insulin-dependent) diabetes mellitus in Pima Indians. Diabetologia 1993; 36: 998-1001.

Nischikawa T, Edelstein D, Du XL et al. Normalizing mitochondrial superoxide production blocks three pathways of hyperglycaemic damage. Nature 2000; 404: 787-90.

Patel A, Ratanachaiyavong S, Millward Ba, Demanie AG Polymorphism of the aldose reductase locus (ALR2) and susceptibility to diabetic microvascular complications. Adv Exp Med 1993; 328: 325-32.

Pettitt DJ, Saad Mf, Bennett PH, Nelson RG, Knowler WC Familial predisposition to renal disease in two generations of Pima Indians with type 2 (non-insulin-dependent) diabetes mellitus. Diabetologia 1990; 33: 438-43.

Pieper GM, Raiz UH Activation of nuclear factor-kappa B in cultured endothelial cells by increased glucose concentration: prevention by calphostin C. J Cardiovasc Pharmacol 1997; 30: 528-32.

Raffel LJ, Vadheim CM, Roth MP et al. The 5¢ insulin gene polymorphism and the genetics of vascular complications type 1 (insulin-dependent) diabetes mellitus. Diabetologia 1991; 34: 680-3.

Rangan GK, Wang Y, Tay YC, Harris DC Inhibition of nuclear factor-kappa B activation reduces cortical tubulointerstitial injury in proteinuric rats. Kidney Int 1999; 56: 118-34.

Ravid M, Brosh D, Ravid-Safran D, Levy Z, Rachmani R Main risc factors for nephropathy in type 2 diabetes mellitus are plasma cholesterol levels, mean blood pressure and hyperglycemia. Arch Intern Med 1998; 158: 998-1004.

Riser BL, Cortes P, Heiling C et al. Cyclic stretching force selectively up-regulates transforming growth factor-beta isoforms in cultured rat mesangial cells. Am J Pathol 1996; 148: 1915-23.

Riser BL, Cortes P Pressure induced and metabolic alterations in the glomerulus: role in cytokine activity and progressive sclerosis. The kidney and Hypertension in diabetes mellitus, edit: Morgensen CE, Kluwer Academic publishers, Dordrecht, The Netherlands, 2000.

Riser BL, Denichilo M, Cortes P et al. Regulation of connective tissue growth factor activity in cultured rat mesangial cells and its expression in experimental diabetic glomerulosclerosis. J Am Soc Nephrol 2000; 11: 25-38.

Riser BL, Ladson-Wofford S, Sharba A et al. TGF-beta receptor expression and binding in rat mesangial cells: modulation by glucose and cyclic mechanical strain. Kidney Int 1999; 56: 428-39.

Ritz E, Tarng DC Renal disease in type 2 diabetes. Nephrol Dial Transplant 2001; 16 (Suppl. 5): 11-18.

Ronald C. Kahn Atlas of Diabetes. Science Press Limited. 2000.

Schreiber BD, Hughes ML, Groggel GC Insulin-like growth factor-1 stimulates production of mesangial cell matrix components. Clin Nephrol 1995; 43: 368-74.

Soulis A, Thallas V, Youseff S et al. Advances glycation end products and the receptor for advanced glycation end products co-localise in the organs susceptibile to diabetic microvascular injury: immunohistochemical studies. Diabetologia, 1997; 40: 619-628.

Tanji N, Mancowitz GS, Fu C et al. Expression of advanced glycation end-products and their cellular receptor RAGE in diabetic nephropathy and nondiabetic renal disease. J Am Soc Nephrol 2000; 11: 1656-66.

Tarnow L, Cambien F, Rossing P et al. Angiotensin-II type 1 receptor gene polymorphism and diabetic microangiopathy. Nephrol Dial Transplant 1996; 11: 1019-23.

Tarnow L, Cambien F, Rossing P et al. Lack of relationship between an insertion/deletion polymorphism in the angiotensin I-converting enzyme gene and diabetic nephropathy and proliferative retinopathy in IDDM patients. Diabetes 1995; 44: 489-94.

Tarnow L, Pociot F, Hansen PM et al. Polymorphisms in the interleukin-1 gene cluster do not contribute to the genetic susceptibility of diabetic nephropathy in Caucasian patients with IDDM. Diabetes 1997; 46: 1075-6.

Veelken R, Hilgers KF, Hartner A et al. Nitric oxyde synthase isoforms and glomerular hyperfiltration in early diabetic nephropathy. J Am Soc Nephrol

Viberti GC, Keen H, Wiseman MJ Raised arterial pressure in parents of proteinuric insulin-dependent diabetics. BMJ 1987; 295: 515-7.

Vrabete M, Gaman A, Agresiunea oxidativa in Modificari ale adaptabilitatii in sistemul biologic uman.Fiziopatologie clinica. Ed. Sitech, Craiova 2000: 88-90.

Watts GF, Harris R, Shaw KM The determinants of early nephropathy in insulin-dependent diabetes mellitus: a prospective study based on the urinary excretion of albumin. QJ Med 1991; 79: 365-78.

Watts GF, Taub N, Gant V, Wilson I, Shaw KM The immunogenetics of early nephropathy in insulin-dependent diabetes mellitus: association between the ALA-A2 antigen and albuminuria. QJ Med 1992; 83: 461-71.

Weiss RH, Ramirez A. TGF-beta- and angiotensin -II- induced mesangial matrix protein secretion is mediated by protein kinase C. Nephrol Dial Transplant 1998; 13: 2804-13.

Wrana JL, Attisano L, Wieser R, Ventura F, Massague J. Machanism of activation of the TGF-beta receptor. Nature 1994; 370: 341-7.

Ziyadeh FN, Han DC. Involvment of transforming growth factor-beta and its receptors in the pathogenesis of diabetic nephrology. Kidney Int 1997; 60 (Suppl.): S7-11.

Ziyadeh FN. The extracellular matrix in diabetic nephropathy. Am J Kidney Dis 1993; 22: 736-44.

Brenner BM, Cooper ME, DE Zeeuv D et al. Effects of losartan on renal and cardiovascular outocomes in patients with type 2 diabetes and nephropathy. N. Engl J Med 2001; 345(12): 870-8.

Breyer Julia Diabetic Nephropathy. Primer on Kidney Diseases. Second edition. National Kidney Foundation, 1998: 215-220.

Christensen CK, Mogensen CE The course of incipient diabetic nephropathy: studies of albumin excretion and blood pressure. Diabet Med 1985; 2: 95-102.

Clarke CF et al. Autonome nerve function in adolescents with type 1 diabetes mellitus: relation to microalbuminuria. Diabet Med 1999; 16: 550-54.

Dennis Barnes et al. The patient with diabetes mellitus. Oxford Textbook of Clinical Nephrology second edition. 1998, vol. 2: 723-777.

Derubertis FR, Craven PA Eicosanoide in the pathogenesis of the functional and structural alterations of the kidney in diabetes. Am I Kidney Disease 1993; 22: 727-735.

Cristoph Hasslacher. Diabetic Nephropathy, edited by Ed Wiley 2001: 1-309.

Equiluz-Bruck S, Schnack C, Kopp HP, Schernthaner G Non dipping of nocturnal blood pressure in related to urinary albumin excretion rate in patients with type 2 diabetes mellitus. Am J Hypertens 1996; 9: 1139-43.

Fioreto P, Maner M, Brocco E et al. Patterns of renal injury in DIDDM patients with microalbuminuria. Diabetologia 1996; 35: 1569-76.

Fioreto P, Steffer MW, Maner SM Glomerular structure in non proteinuric IDDM patients with various levels of microalbuminuria. Diabetes 1994; 43: 1358-64.

Ionescu Tirgoviste C Diabetologie moderna. Ed. Tehnica. Bucuresti 1997: 285-293.

Mogensen CE, Christensen CE Predicting diabetic nephropathy in insulin dependent patients. N. Engl. J Med

Mogensen CE. Microalbuminuria as a predictor for clinical diabetic nephropathy. Kidney Int

Molgaard H et al. Eearly recognition of autonomic dysfunction in microalbuminuria: significance for cardiovascular mortality in diabetes mellitus? Diabetologia 1994; 37: 788-96.

Morgensen CE, Christensen CK, Vittinghus E The stage in diabetic renal disease with emphasis on the stage of incipient diabetic nephropathy. Diabetes 1983; 28: 6-11.

Mota Maria Microangiopatia diabetica. Ed. Didactica si Pedagogica Bucuresti, 2003: 91-132.

Mota Maria Complicatiile diabetului zaharat. Compendiu de diabet zaharat Nutritie Boli Metabolice. Ed. Medicala Universitara Craiova 2001: 95-136.

Poulsen OL, et al. 24 hour pressure and autonomic function is related to albumin excretion with in the normoalbuminuric range in IDDM patients. Diabetologia 1997; 40: 718-25.

Poulsen PL et al. 24-h anbulatory blood pressure and retinopathy in normoalbuminuric IDDM patient. Diabetologia 1998; 41: 105-110.

Ritz E, Orth SR Nephropathy in Patients with Type 2 Diabetes Mellitus. The New England Journal of Medicine, vol 341, 15; 1127-31; 1999.

Ronald C. Kahn. Atlas of Diabetes. Science Press Limited. 2000.

Schmitz A, Vaeth M Microalbuminuria: a major risk factor in non insulin dependent diabetes. A 10 year follow-up study of 503 patients. Diabet Med 1988; 5: 126-134.

Serafinceanu C Boala renala diabetica. Ed. Morosanu2002: 1-245.

Seyer Hansen K, Gundersen HJG. Renal hypertrophy in experimental diabetes. A morphometric study. Diabetologia 1980, 18: 501-505.

Sharma K, Ziyadeh FN Hyperglicaemia and diabetic kidney disease. The case for transforming growth factor β as a key mediator. Diabetes 1995; 44: 1139-46.

Stout LC, Kumar S, Whaston EB. Focal mesangiolysis and the pathogenesis of the Kimmelstiel-Wilson nodules in the glomeruli, Diabetes, 1992, 41: 952-955.

Tentolouris N, Katsilombros N et al. Corrected QT interval in relation to the severity of diabetic autonomic neuropathy. Eur J Clin Invest 1997; 27: 1949-54.

Ursea N si col. Manual de nefrologie. Fundatia Romana a Rinichiului. 2001:  973-992.

Ursea N Tratat de nefrologie. Ed. Artiprint 1994: 1127-1144.

Us Renal Data System Excerpts from the United States Renal Data System 2001. Annual Data Report Atlas of End-Stage Renal Disease in the United Status. Am J Kidney Dis 2001; 38: S1-S248.

Watkins PJ, Beainey JD, Brewer DB et all. The natural history of diabetic renal disease. QJ Med 1972; 164: 437-56.

Yafumi S, Hiroshi K, Shin-Ych T et al. Mesangiolysis in the glomeruli. His role in the formation of the nodular lesions, Kidney Int, 1988, 34: 389-396.

Zosin C. Nefrologie clinica Ed. Medicala Bucuresti 1979: 265-273.

Davison JM Dialisis, transplantation and pregnancy. Am J Kidney Dis 1991; 27: 127-32.

Diabetic nephropathy, edited by Cristoph Hasslacher. Ed Wiley 2001.

Dunlop W Serial Changes in renal haemodinamics during normal human pregnancy. Br J Obstet Gynecol 1981; 88: 1-9.

Han JW, White P Pregnancy in diabetes complicated by vascular disease. Diabetes 1977; 26: 953-5.

Hon SH Frequency and outcome in women on dialysis. Am J Kidney Dis 1994; 23: 60-63.

Hosteter HT, Renuke HG, Brenner BM The case for intrarenal hypertension in the initiation and progression of diabetic and other glomerulopathies. Am J Kidney Dis 1994; 23: 60-63.

Kimmerle R, Zass R-R, Cupisti S et al. Pregnancies in women with diabetic nephropathy: long-term outcome for mother and child. Diabetologia 1995; 38: 227-35.

Klein BE et al. Effect of pregnancy on progression of diabetic retinopathy. Diabetic Care 1990; 13: 34-40.

Landon MB Diabetes mellitus and other endocrine diseases. Normal and problem Pregnancies 2nd edn, Gabbe SG, Niebyl JR, Simpson JL (eds). New York: Churchil Livingstone, 1991; 1097-36.

Lindheimer MD et al. Renal physiology and disease in pregnancy. The Kidney: phisiology and pathophysiology, 2nd edn. Seldin DW, Giebisch G (eds9. New York: Reaven 1992; 3371-431.

Mackie ADR et al. Outcome of pregnancy in patients with insulin-dependent diabetes mellitus and nephropathy with moderate renal impairment. Diabet Med 1996; 13: 90-96.

Miodovnik M, Rosenn BM et al. Does pregnancy increase the risk for development and progression of diabetic nephropathy? Am J Obstet Gynecol 1996; 174: 1180-91.

Mogensen CE, Klebe JG. Microalbuminuria and diabetic pregnancy. In the Kidney and Hipertension in Diabetes Mellitus, Morgensen CE (ed) Kluwer Academic: Boston, 1994; 381-8.

Mota Maria. Complicatiile diabetului zaharat. Compendiu de diabet zaharat Nutritie Boli Metabolice. Ed. Medicala Universitara Craiova 2001: 95-136.

Purdy LP et al. Effect of pregnancy of renal function in patients with moderate to severe diabetic renal insufficiency. Diabet Care 1996; 19: 1067-74.

Rasmusen PE, Niersen FR. Hydronefhrosis during pregnancy: a literature survey. Eur J Obstet Gynecol Reprod Biol 1988; 27: 249-59.

Reece EA et al. Pregnancy performance and outcomes associated with diabetic nephropathy. Am J Perinatal 1998; 15: 413-21.

Rizzoni G, Ehrich JHH, Broyer M et al. Successful pregnancies in women on renal replacement therapy: Report from the EDTA Registry. Nephrol Dialysis Transpl 1992; 7: 279-87.

Amair P, Yang C, Hughes GC et al: Continuous ambulatory peritoneal dialysis in diabetics with end stage renal disease, N. Engl. J. Med., 306,1982: 625-30.

American Diabetes Association. Diabetic Nephropathy. Diabetes Care, vol 25, Suppl 1, 2002: 585-9.

Andersson S, Tarnaw L, Rassing P et al: Renoprotective effects of angiotensin II receptor blockade in type 1 diabetic patients with diabetic nephropathy, Kidney Int, 57, 2000: 6001-6.

Aranz-Pacheco C, Parrott MA, Raschin P. Treatment of hypertension in adult with diabetes mellitus. Diabetes Care, 2003; 26 (Suppl 1): S80-S82.

Bacanu Gh si colab. Cordul diabetic. Ed. Infomedica 2001; 117-28 Barbosa J, Steffes MW, Connet J et al: Effects of glycaemic control on early diabetic renal lesions, JAMA, 1994: 600-6.

Bolich DT, Hatley ME et al. Lisofillina, a Novel Antiinflamatory Compound, Protects Mesangial Cells from Hyperglycemia - and Angiotensin II - Mediated Extracelular Matrix Deposition. Endocrinology, 2003; 144(12): 5227 - 5231.

Bremer BM, Coope ME, Se Zeeuw D et al: Effects of losartan on renal and cardiovascular autocomes in patients with type 2 diabetes and nephropathy, N. Engl. J. Med. 345, 2001: 861-9.

Colhann HM, Lee ET, Bennett PH et al: Risk factors for renal failure: The WHO Multinational Study of Vascular Disease in Diabetes, Diabetologia, 44, Supl. 2, 2001: S46-S53.

Covic A, Galdsmith DJ, Cavic M Reduced blood pressure diurnal variability as a risk factor left ventricular dilatation in haemodialzsis patients, Am. J. Kidney.Dis, 35, 2000: 617-23.

Deckert T, Yakoyama H, Mathiesen ER et al: Cohort study of predictive value of minary albumin excretion for atherosclerotic vascular disease in patients with insulin dependent diabetes, BMJ, 312, 1996: 871-74.

Feldt - Rasmussen B, Jensen JS, Borch - Johnsen K Value of screening for microalbuminuria in people with diabetes as wellas in the general population: The Kidney and Hypertension in Diabetes Mellitus, edit. Mogensen CE, Kluwer Academic Publishers, Dordrecht, The Netherlands, 2000, P: 55-69.

Flyvbjerg A, Denner L et al. Long term renal Effect of a Neutraliying. RAGE Antibody in Obese Type 2 Diabetic Mice. Diabetes, 2004; 53(1): 166-172.

Forbes JH, LTL YEE et al. Advanced Glycation End Product Interventions Reduce Diabetes Accelerated Atherosclerosis. Diabetes

Frank O. Baker H Am. J. Clin Nutr. 1980; 33: 221-226.

Gae de P, Vedel P, Larsen N et al. Multifactorial intervention with type 2 diabetes. N Engl J Med 2003; 348: 383-393.

Galland R, Traeger J, Arkouche W et all: Shart daily hemodialysis and nutritional status, Am. J. Kid. Dis, 37, 2001, Suppl 2: S95-S98.

Gilks Wr, Bradley Ba, Gore Sm et all: Substantial benefits of tissue matching in renal transplantation, Transplantation, 43, 1987: 669-72.

Giordano M, Matsuda M, De Fronzo RA, et all: Effects of angiotensin-converting enzyme inhibitors, calcium channel blokers and alpha-adrenergic blockers an glucose and lipid metabolism in NIDDM patients with hypertension, Diabetes, 44, 1995: 665-71.

Hamdy NAT The need to treat predialysis patients, Nephrol. Dial. Transplant, 10, Suppl. 4, 1995: 19-22.

Hancu Nicolae Farmacoterapia diabetului zaharat. Ed. Echinox Cluj Napoca, 2002.

Hasslacher CH in: Diabetic Nephropathy, edit. Hasslacher Ch, John Wiley and SONS, LTD, 2001, P: 221-227.

Keller C, Rtiz E, Pommer W et al: The quality of the treatment of diabetes in kidney failure in Germany, Dtsch. Med. Wochenshrift, 125, 2000: 240-4.

Krolewski AS, Warram JH, Canessa M, et al: Predisposition to hypertension and susceptibility to renal disease in insulin-dependent diabetes mellitus, N. Engl. J. Med, 318, 1988: 140-5.

Locatelli F, Marcelli D, Conte F et al: Comparison of mortality in ESRD patients on conective and diffusive axtracorporeal treatments, Kidney. Int. 55, 1999: 286-93.

Maham L, Kathleen, Stump-Escott Sylvia Krause's Food Nutrition and Diet Therapy 10th Edition 2000: 110-257; 742-81; 833-67.

Management of the Renal Patient: Expert Recommendations and Clinical Algorithms on Cardiovascular Risc Factors, edit. Jutta Passlick-Deetjen, Ritz E, Pabst Science Publishers 2000, P: 166-171.

Mathiesen ER, Feldt - Rasmussen B, Hammel E et al: Stable glomerular, filtration rate, in normotensive IDDM patients with stable microalbuminuria: a 5 - year prospective study, Diabetes Care, 20, 1997: 286-89.

Mogensen CE, Chachati A, CK et al: Microalbuminuria: an early marker of renal involvement in diabetes, Uremia Invest. 9, 1986: 85-95.

Mogensen CE, Christensen CK, Wittinghus E The stages in diabetes renal disease. With emphasis on the stage of incipient diabetic nephropathy., Diabetes, 32, 1983: Suppl. 2, 64-68.

Mogensen CE, Keane WF, Bennett PH et al: Prevention of diabetic renal disease with special reference to microalbuminuria, Lancet, 346,1995: 1080.

Mogensen CE Definition of diabetic renal disease in insulin dependent diabetes mellitus based an renal function tests, in: The Kidney and Hypertension in Diabetes Mellitus, edit: Mogensen CE, Kluwer Academic Publisher, 2000, P: 13-29.

Mogensen CE Microalbuminuria predicts clinical proteinuria and early mortality in maturity onset diabetes, N. Engl. J. Med., 310, 1984: 356-60.

Mogensen CE Microalbuminuria, blood pressure and diabetic renal disease: origin and development of ideas. Diabetologia, 42 (1999): 263-85.

Mogos T Alimentatia in bolile de nutritie si metabolism Vol. I. Ed. Didactica si pedagogica, R. A.- Bucuresti 1997 : 106-108; 525-526.

Monica Toeller, Anette Buyken Dietary Modifications in Patients with Diabetic Nephropathy, Diabetic Nephropathy Ed. Wiley 2001: 265-274.

Mortensen HB Microalbuminuria in young patients with type 1 diabetes in: The Kidney

and Hypertension in Diabetes mellitus, edit. Mogensen CE, Kluwer Academic Publishers Dordrecht, The Netherlands, 2000, P: 363-79.

Mota Maria Microangiopatia diabetica. Ed. Didactica si Pedagogica Bucuresti, 2003: 91-132.

Nyberg G, Bolhma G, Nordern G Impact of metabolic control in progression of clinical diabetic nephropathy. Diabeteologia 1987; 30: 82-6.

Parving H-H, Oxenboll B, Christiansen JS et al: Early detection of patients at risk of developing diabetic nephropathy, Acta Endocrinol. 100, 1982: 550-5.

Parving H-H, Hammel E, Mathiesen ER et al: Prevalence of microalbuminuria, arterial hypertension, retinopathy and neuropathy in patients with insulin dependent diabetes, BMJ, 296, 1988: 157-60.

Pedrini M.T., Levey A.S. Lau J. The effect of dietary protein restriction on the progression of diabetic and nondiabetic renal diseas : a metaanalysis. Ann Intern Med 1996; 124: 627-630.

Rudberg S, Osterby R, Bangstad H-J et al: Effect of angiotensine converting enzyme inhibitor or beta blocker an glomerular structural changes in young microalbuminuric patients with type 1 (insulindependent) diabetes mellitus, Diabetologia, 42,1999: 589-95.

Schmidt S, Ritz E The angiotensin-I converting enzyme gene polymorphism, and diabetic nephropathy in type 2 diabetes, Nephrol. Dial. Transplant, 12, 1997, Suppl. 2: 27-40.

Seltzen HS. Drug induced hypoglycemia. A review based on 473 cases. Diabetes 1972;21: 9555-66.

Serafinceanu C Boala renala diabetica, Ed. Morosan Bucuresti 2002:101-191.

Serafinceanu C Nefropatia diabetica corelatii clinico-patogenice. Medicina Interna, 1997

The DCCD Research Group. The absence of a glycemic threshold for the development of long term complications: the perspective of the diabetes control and complication trial. Diabetes 1996; 45: 1289-98.

The Diabetes Control And Complications Trial Research Group. The effect of intensive treatment of diabetes of the development and progression of long term complications in insulin-dependent diabetes mellitus. N Engl J Med 1993; 329: 977-86.

Ursea N Actualitati in Nefrologie Ed. Fundatia Romana a Rinichiului - Bucuresti 1997, 942-972.

Ursea N Tratat de Nefrologie, Ed. ArtPrint, Bucuresti 1994

Ursea N Manual de Nefrologie, Ed. Fundatia Romana a Rinichiului, Bucuresti 2001: 973-992.

Ursea N Tratat de nefrologie. Ed. Artprint 1994: 1627-1628.

Valderabano F, Berthaux FC, Jones EH, Mehls O Report of management of renal failure in Europe XXV, 1994. End-stage renal disease and dialisys report, Nephrol. Dial. Transplant, 11, 1996, Suppl. 1: 2-21.

Wu CC, Wu MS, Wu CH et al: Predialysis glycemic control is an independent predictor of clinical autcome in type II diabetics patients on continuous ambulatory peritoneal dialysis, Perit. Dial. Int. 17, 1997: 262-8.

Yudkin JS, Philips DI, Stanner S Proteinuria and progresive renal disease: birth weight and microalbuminuria, Nephrol. Dial. Transplant, 12 Suppl 2, 1997: 10-

Zaier M, Ritz E Preparation of dialysis patient for transplantation, Nephrol. Dial. Transplant, 17, 2002: 552-6.

Zucchelli P, Santoro A, Sturani A, et al: Effects of hemodialysis and hemofiltration on the autonomic control of circulation, Int. J. Artif. Org. 17, 1994: 163-7.

American Diabetes Association. Clinical Practice Recommendations 2003. Standards of Medical Care for Patients with Diabetes Mellitus. Diabetes Care, 2003, 26, supl. 1: S33-S51, S94-S99.

Anderson B., Funnell M. The Art of Empowerment - Stories and Strategies for Diabetes Educators. American Diabetes Association, 2000.

Anderson R.M. Patient empowerment and the traditional medical model. In Phoebe Weiland (Editor) Lowering the price of ignorance: A world view on diabetes education, International Diabetes Federation, pag. 22-26.

Assal J. PH. New trends in patient education. In J. Ph. Assal, A. Golay, A. Ph. Vissev (Editori), Excerpta Medica - International Congress series, 1995: 1076.

Cradock S., Tier A., Wood J. Nursing Perspectives on Diabetic Complications. In K.M. Shaw (editor) Diabetic Complications, Wiley, 1996: 207-223.

Diabetic nephropathy, edited by Cristoph Hasslacher. Ed Wiley 2001.

Emslie-Smith A. Barriers to achieving the goals. EASD Congress. Ierusalim, 2000.

Feste C. A practical look at patients empowerment. Diabetes Care, 1992, 15 (7): 922-930.

Green L.W. What can we generalize from research on patient education and clinical health promotion to physician counseling on diet? Europ. J. Clin. Nutrition. 1999, 53, supl. 2: S9-S18.

Hancu N. Managementul clinic: obiectivele si strategia generala. In N. Hancu si I.A. Veresiu (editori) Diabetul zaharat, Nutritia, Bolile metabolice. Editura National, 1999: 322-325.

Lacroix A., Assal J.PH. Therapeutic Education of Patients - New approaches to chronic illness. Editura Vigot, Paris, 2000.

Mensing C., Boucher J., Cypress M., Weinger K., Mulcahy K., Barta P., Hoseyg., Kopher W., Lasichak A., Lamb B., Mangan M., Norman J., Tnaja J., Yauk L., Wisdom K., Adams C. National Standards for Diabetes Self-Management Education. Diabetes Care, 2003, 26: S149-S156.

Nicolluci O., Cavaliere D., Scorpiglione N., Carinci F., Capani F., Tognoni G., Benedetti MM. A comprehensive assessment of the avoidability of long-term complications of diabetes. Diabetes Care, 1996, 19: 927-933.

Report Of Who Working Group - Therapeutic Patient Education. Continuing education programmes for healthcare providers in the field of prevention of chronic diseases, 1998.

Roman G. Educatia specifica la pacientii cu complicatii microvasculare. In Mota Maria editor, Microangiopatia diabetica. Ed. Didactica si Pedagogica Bucuresti, 2003: 91-132.

Roman G. Educatia specifica in diabetul zaharat. In N. Hancu si I.A. Veresiu (editori) Diabetul zaharat, Nutritia, Bolile metabolice. Editura National, 1999, pag. 373-383.



Politica de confidentialitate | Termeni si conditii de utilizare



DISTRIBUIE DOCUMENTUL

Comentarii


Vizualizari: 5202
Importanta: rank

Comenteaza documentul:

Te rugam sa te autentifici sau sa iti faci cont pentru a putea comenta

Creaza cont nou

Termeni si conditii de utilizare | Contact
© SCRIGROUP 2025 . All rights reserved