| CATEGORII DOCUMENTE |
| Alimentatie nutritie | Asistenta sociala | Cosmetica frumusete | Logopedie | Retete culinare | Sport |
Metode de fertilizare
Sansele de reusita ale femeilor sub 35 de ani care urmeaza un tratament impotriva infertilitatii sunt cu mult mai mari decat ale celor mai in varsta. De exemplu, rata de succes a fertilizarii in vitro (FIV) la femeile sub 35 de ani este de 35-40%, in timp ce peste 35 de ani aceasta rate scade. Iata insa si o veste buna: peste 30 de ani exista posibilitatea sa faci gemeni sau chiar tripleti! Aceasta sanse creste spre 40 de ani, din cauza ca ovarele tind sa elibereze mai mult de un ovul in timpul ovulatiei. Metodele de fertilizare asistate medical depind de tipul de infertilitate diagnosticat prin investigatiile descrise in cadrul sectiunii, Investigatii, tratament, prevenire.
Stimularea ovariana
Este primul pas in combaterea infertilitatii deja diagnosticate.
Tratamentul modern al anovulatiei include o mare varietate de preparate
medicamentoase si proceduri chirurgicale; folosirea lor cu succes maxim
presupune o investigare complexa a pacientei (examene ecografice repetate in
dinamica, dozari hormonale etc.) care sa permita stabilirea unui diagnostic
corect si a factorilor care determina anovulatia, permitand instituirea
tratamentului cel mai eficient pentru fiecare caz in parte. Preparatele
medicamentoase care stimuleaza ovulatia sunt foarte numeroase; ca prima linie
se foloseste Clomifencitratul, un preparat sintetic antiestrogenic care
stimuleaza secretia hipofizara de gonadotrofine dar care are neajunsul efectului
periferic antiestrogenic, motiv pentru care, desi induce aparitia ovulatiei
intr-un procent de 70% din cazuri, rata sarcinii este de doar 30-40%. Efectele
adverse sunt insa reduse.
Dezvoltarea
noilor tehnologii a confirmat si extins rolul important, deja stabilit, pe care
il detin gonadotropinele in tratamentul infertilitatii de cauza ovariana. Ele
se pot folosi atat pentru inducerea ovulatiei in vederea obtinerii unei sarcini
pe cale naturala cat si pentru obtinerea unei poliovulatii in cadrul programelor
de reproducere asistata (fertilizare in vitro etc), metode folosite din ce in
ce mai des pe plan mondial si in
Schemele
de tratament in vederea FIV includ folosirea gonadotropinelor pentru stimularea
ovulatiei chiar daca motivul pentru care s-a recurs la aceste proceduri este
legat de factorul masculin sau de obstructia trompelor uterine (cea mai
frecventa cauza de sterilitate feminina in
Incidenta sindromului de hiperstimulare si a ratei sarcinii multiple este similara cu al FSH urinar si este redusa in cazul unei monitorizari terapeutice atente. In prezent, Puregon-ul este foarte larg folosit pentru obtinerea unei poliovulatii in cadrul protocoalelor de fertilizare in vitro. In concluzie: aceste preparate moderne aduc un beneficiu major in tratamentul infertilitatii de cauza ovariana si sunt indispensabile schemelor terapeutice folosite in reproducerea asistata, permitand imbunatatirea rezultatelor unor astfel de tehnici si metode terapeutice ce se adreseaza cuplului infertil.
Inseminarea artificiala
Este
cea de-a doua etapa atunci cind stimularea ovariana nu da rezultate favorabile.
Se utilizeaza atunci cand din diferite motive, fizice sau psihologice, ce tin
de partenera sau de partener, este imposibila depozitarea spermei in vagin pe
cale naturala. Insamantarea se poate face cu sperma sotului sau a unui donator
in cazul diminuarii spermatozoizilor (azoospermie). Insamantarea se face dupa o
prealabila testare a permeabilitatii tubare si se sincronizeaza cu ovulatia
femeii. Sperma de slaba calitate, cu spermatozoizi ce prezinta anomalii de
forma, motilitate si numar al spermatozoizilor, reprezinta o indicatie pentru
inseminarea artificiala. In aceste cazuri se utilizeaza mai multe metode, de
separare si imbunatatire a populatiei de spermatozoizi ce urmeaza a fi introdusi
in cavitatea uterina.
IA este o precodura relative simpla care implica injectarea unei mostre de
spermatozoizi special tratate in aparatul reproductive feminine.
Cind spermatozioizii partenerului au motilitate scazuta,calitate slaba sau
anomalii de forma se recurge la donatori.
Este important de stiut ca IA este un termen general - de fapt sint citeva
tipuri diferite de insamintare artificiala si sint numite dupa locul in care
sperma a fost inseminate in corpul femeii.
IA intracervicala este facuta in canalul cervical,IA intrauterine este facuta
in cavitatea uterine,IA intrafoliculara este facuta in foliculul ovarian sau IA
intratubala este facuta in trompele fallopiene.
De aceea insamintarea artificiala trebuie facuta de personal calificat dar nu necesita
spitalizare.
Medicul va recomanda forma de AI care o considera adecvata fiecarui individ in
parte si va aprecia rata de success bazindu-se pe analize de laborator.
Dintre
cele patru metode de IA cea intrauterine este cea mai des folosita.Este
eficienta atunci cind cauza infertilitatii este motilitatea spermei sau mucus
cervical ostil. Motivul pentru care IAI (insamintare artificiala intrauterina)
ajuta la o fecundare este bazat pe cunoasterea faptului ca doar 1% din numarul
total al spermatozoizilor care ajung in vagin prin ejaculare isi gasesc drumul
catre tractul genital superior al femeii.
IAI plaseaza sperma cea mai sanatoasa in tractul genital feminine I mareste
sansa ca aceasta sa fertilizeze un ovul.
IAI este o procedura relative rapida care poate avea loc intr-un cabinet
medical autorizat. Se face cu ajutorul unui cateter steril ,care contine
sperma, prin cervix si in cavitatea uterina.Sperma este astfel injectata direct
in uter.De obicei,inseminarea creeaza putin discomfort. Dupa procedura va
trebui sa ramineti in pozitie culcata cu fesele ridicate pentru 45 de minute.
Desi IAI este relative necomplicata si mai putin invaziva decit FIV,marele dezavantaj
este ca nu permite medicului sa evalueze daca fertilizarea poate avea loc sau
nu.
Cu procedura FIV (fertilizarea in vitro) fertilizarea poate fi confirmata inca
din laborator la analize. IAI insa are loc in corp ,fiind asematoare unui ciclu
natural.
Desi IAI este o procedura mai naturala ,nu se stie cu siguranta daca sperma
chiar va fertiliza ovulul pentru a produce un embrion.
De aceea ,in cazul repetarii IAI cu rezultat negative va trebui luat in
considerare optiunea FIV,procedura ce trebuie facuta de catre un specialist si
sub asistenta medicala spitaliceasca.
Rata de success a IAI este de 15-20% /ciclu cind procedura este correct
efectuata.
Daca toate conditiile ce afecteaza fertilitatea sint considerate normale sau in
limite,atunci 6 luni de incercari IAI vor trebui efectuate.
Daca la finalul celor 6 cicluri lunare inca nu a aparut sarcina,va trebui sa
discutati cu medical pentru a revizui alte optiuni si tratamente.
Fertilizarea in vitro
Este
ultimul pas catre redresarea infertilitatii,inainte de a considera o mama
surogat sau adoptia.
Este metoda de concepere a unui bebelus prin care fecundarea se realizeaza in
afara corpului mamei. Metoda consta in recoltarea unor ovule din ovarul mamei,
dupa o etapa prealabila de stimulare ovariana. Femeia este tratata cu
gonadotrofine pentru a produce foliculi ovarieni mari, ce contin ovociti. Cand
acestia ating un nivel optim de maturare, care se evalueaza ecografic, se pun
in contact cu spermatozoizii partenerului pregatiti in conditii speciale. Dupa
2-3 zile de incubare are loc transferul embrionului din eprubeta in cavitatea
uterina. Problema cea mai serioasa a acestui procedeu o constituie incidenta
mare de sarcini multiple si costul ridicat al procedurii.
Fertilizarea in vitro si procedurile urmatoare, "high tech", sint
referite ca tehnologie de reproducere asistata. (TRA).
Toate aceste proceduri implica colectarea de ovocite si plasarea lor direct in
sperma.
impreuna ,formeaza un adevarat alphabet al TRA : FIV,TIFG,TIFZ,IICS si TEF.
In termini simpli si des intilniti, fertilizarea in vitro (FIV) este procedura
care uneste ovulele cu sperma intr-un mediu neutru,in vitro,in laborator.
Subsecvent,embrionii rezultati sint transferati apoi in uter, prin cervix, si
astfel este posibila o sarcina.
FIV a fost prima dintre tehnologiile TRA care au fost dezvoltate. Prima nastere
in urma unei fertilizari in vitro a avut loc in Londra ,in 1978. Procedura a
fost initiate de medicii/profesori Steptoe si Edwards.
TIFG (transfer intrafallopian de gameti),este procedura imediat urmatoare ca
folosinta.
Aceasta procedura necesuta laparascopie si o anestezie generala.Conform
recentelor rapoarte FIV si TIFG au aceeasi rata de success,dar pentru ca FIV nu
necesita operatie este mult mai ceruta.
Procedura TIFZ (transfer intrafallopian de zigoti) implica FIV si apoi o
laparoscopie pentru a transfera embrioanele in trompele fallopiene.Deoarece
transferarea embrioanelor prin cervix prin metoda FIV are aceeasi rata ca si
ZIFT sin u necesita operatie,multe cupluri aleg tot metoda FIV.
Pe masura ce anii trec,FIV,datorita simplicitatii,eficacitatii si lipsei de
invaziune, a devenit tehnologia predominanta in clasa TRA.
Un ciclu tipic de FIV incepe cu "inchiderea" ovarelor. Aceasta se face cu un
medicament cunoscut ca agonist GnRH. Cel mai des medicament folosit este
Lupron. Acesta este administrat pentru aproximativ 2 saptamini dupa care
ovarele devin temporar inactive.
Faza urmatoare consta in stimularea ovarelor cu medicatie specifica,de multe
ori sub forma injectabila,medicatie care trebuie luata timp de 10 zile. Cind
ovulele sint formate si gata de recoltat,hCG este administrat pentru a le ajuta
la maturizare. Apoi ovulele sint culese prin tehnica numita ecografie de
colectare ghidata vaginala. Sub anestezie si cu ghidare ecografica,un ac
subtire este introdus in ovare si ovulele sint aspirate din foliculi.
In mod normal,in jur de 5-15 ovule sint colectate. Pentru a fertiliza
ovulele,circa 100.000 de spermatozoizi de buna calitate si motilitate sint
adaugati fiecarui ovul.
Daca totusi sperma nu fertilizeaza ovulele in mod natural,se va trece la
procedura IICS (injectare intracitoplasmica de sperma ).
Aceasta procedura consta in punctarea directa a ovulului sub microscop si
injectarea spermei in acesta.In zilele urmatoare (3-6 zile ) colectarii si
combinarii gametilor,fertilizarea va fi monitorizata sub microscop si
documentata. In mod current 3-4 embrioni sint plasati in cateter si transferati
prin cervix in uter.TEF (tranferul embrionilor fertili) Este o procedura
relativ asemanatoare testului Papanicolau.
In mod current ,embrionii sint transferati in uter in a treia zi ,embrion care
este deja in stagiul de 6-8 celule.
Este posibil de asemenea transferal de embrion blastocist. Acest embrion este
mai rezistent si necesita o cantitate mai mica de transfer.
Dezvoltarea embrionului
Ziua recoltarii ovulelor
Sperma este recoltata prin procedura IFV sau ICSI.
Un numar de celule incojoara ovulul care in prealabil a fost aspirat dintr-un
folicul matur.


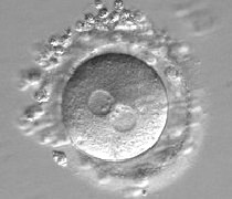
Ziua 1
Cei 2 pronuclei vizibili in centrul ovulului indica o fertilizare normala.

Ziua 2
O dezvoltare normala progresiva a embroinului ne va arata o celula divizata in
4.Aceasta celula divizata in 4 se poate observa deasupra planului focal in
centrul embrionului.

Ziua 3
O dezvoltare progresiva normala a embrionului ne va arata o celula deja
divizata in 8 parti,dar numarul poate varia intre 5-12 celule.

Ziua 4
Celulele stagiului Morula sunt compacte si nu mai sunt distincte asa cum erau
in ziua 3.

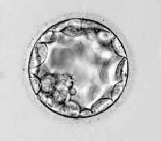
Ziua 5
Embrionul va deveni un blastocist prin formarea unei cavitati umplute cu
lichid.In acest stagiu,celulele se vor diferentia intre ele.Unele vor deveni
cele destinate formarii fatului(celule din interior,vazute ca un mic palc in
dreptul orei 7)si cele ce vor deveni placenta si membranele
amniotice.(tropectoderma si celulele perimetrice).

Ziua 6
Blastocitul va migra din zona pelucida pentru a se implanta in uter.Aceasta se
va intampla dupa ce embrionul a fost transferat in uter.

La doua saptamini dupa transferal intrauterine un test de sarcina
poate fi efectuat. La inca alte 2 saptamini,ecografia va stabili succesul sau
inssucesul procedurii.
Daca au fost generate mai multe embrioane,crioprezervarea lor poate fi facuta
la cerere.
De-a lungul anilor,procedura FIV s-a imbunatatit considerabil. Astazi este,fara
doar si poate,cea mai efectiva tehnica pentru tratarea infertilitatii in
comparative cu alte metode de tratament lunare.
Are totusi si efecte negative.
Primul
dintre ele ar fi costul ridicat al procedurii (poate atinge cote de 6000-7000
$/sedinta de fertilizare). Sint sanse sa nu mearga din primul ciclu.Pot rezulta
sarcini multiple. Rata de succes este situata intre 20-60%.
Riscul sarcinilor multiple poate varia in functie de virsta. Pacientele mai
tinere au nevoie de mai putini embrioni inlocuiti iar cele mai in virsta de mai
multi.
Cel mai rau lucru care se poate intimpla in procedura FIV este concurenta
centrelor de fertilizare care vor sa primeze in cursa de "cine produce mai
multi embrioni" fara a da atentia cuvenita riscului crescut de sarcini
multiple.
Trebuie luat in calcul si atent discutat cu medical faptul ca sistemul imunitar
al fiecarui individ joaca un rol extern de important in reproductia
umana.Celule inflamatorii si secretiile lor sint implicate in procesul de
ovulatie si de pregatire al endometrului pentru implantarea ovulelor
fertilizate.Disfunctia sistemului imunitar poate interfera cu procesul de
reproducere si poate cauza infertilitate
Vizualizari: 2995
Importanta: ![]()
Termeni si conditii de utilizare | Contact
© SCRIGROUP 2025 . All rights reserved