| CATEGORII DOCUMENTE |
| Alimentatie nutritie | Asistenta sociala | Cosmetica frumusete | Logopedie | Retete culinare | Sport |
SEMIOLOGIE ECOGRAFICA
Ecografia foloseste notiuni semiologice bine definite care incearca sa explice modificarile produse de traversarea ultrasunetelor prin tesuturi cu densitati diferite.
Informatia ecografica nu este cuantificabila (spre deosebire de computer-tomografie), ca urmare redactarea unui buletin ecografic trebuie sa utilizeze termeni specifici.
Explorarea ecografica nu poate furniza termeni cantitativi in evaluarea aspectului normal sau patologic. Caracterul calitativ al explorarii ii confera o nota subiectiva. De aceea, rezultatul examinarii trebuie sa urmeze reguli cat mai precise pentru a permite o buna interpretare de catre medicul clinician.
}n descrierea unei leziuni descoperite la examinarea ultrasonografica se vor urmari:
NOTIUNEA DE INTERFATA
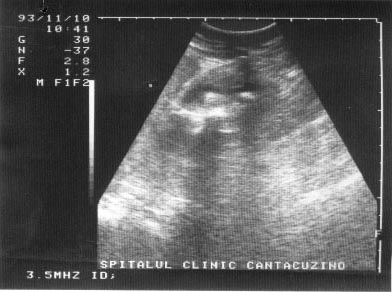
Spatiul fizic de separare dintre structuri sau tesuturi cu densitati diferite (respectiv impedante acustice diferite) se numeste interfata. Interfata este cu atat mai evidenta cu cat diferenta dintre densitatea tisulara este mai mare. De exemplu, limita de separatie intre chiste si tesuturile solide invecinate este foarte evidenta; de aceea chisturile din interiorul unui parenchim sunt vizibile ecografic chiar la dimensiuni mici. Foto I 62 (chist).
Cu cat diferenta dintre densitatea tesuturilor este mai mica, cu atat interfata dintre acestea apare mai putin distinct pe ecranul ecografului. De exemplu, un nodul parenchimatos cu densitate identica cu aceea ce inaparent ecografic chiar la dimensiuni mari. Fig 83 b, pag. 72 Badea.
Membranele, capsulele, peretii organelor cavitare constituie interfete. Limitele fizice de separatie de la nivelultraveelor conjunctivale ce alcatuiesc tesutul de sustinere a organelor parenchimatoase reprezinta tot interfete. Aceste interfete au dimensiuni foarte mici (apropiate de lungimea de unda a ultrasunetelor) si de aceea nu sunt vizibile in mod distinct. Prin "sumare" ele contribuie la realizarea aspectului ecografic tipic al structurii tisulare (ecostructura).
ECOGENITATEA
Ultrasunetele se propaga prin diferite medii in functie de consistenta acestora. Astfel, un mediu mai dens decat apa, returneaza ultrasunetele sub forma de ecouri, intensitatea ecourilor fiind direct proportionala cu densitatea mediului strabatut. Pe monitor, tesuturile reflectate vor fi reprezentate pe o scara de nuante de gri (exista o relatie directa intre nuanta de gri care codifica ecoul si densitatea mediului strabatut de ultrasunete). Cu cat intensitatea ecourilor este mai mare, cu atat culoarea rezultata pe monitorul ecografului va fi mai apropiata de alb si invers.
Notiunea de reflectogen (ecogen) se refera la tesuturi cu consistenta crescuta care se opun traversarii ultrasunetelor, reflectand o parte din ele.
In examinarea ecografica, o structura ecogena este echivalenta consistentei de tip solid sau parenchimatos (os, tesut grasos, travee conjunctivale).
Exista o exceptie si anume aerul (la nivelul structurilor gazoase apar particularitati de propagare si accelerari peste vitezele medii intalnite in mediile biologice). Rezultatul il constituie un aspect foarte ecogen al aerului care se comporta din punct de vedere ecografic intr-un mod similar cu structurile solide.
Structuri solide:
parenchimele;
osul;
aerul;
grasimea.
N.B! Ecografia este o modalitate calitativa de evaluare a consistentei tisulare.
Aprecierea intensitatii ecourilor se face prin raportare la un aspect normal sau la structurile anatomice invecinate, care, de regula, avand o consistenta diferita, au o ecogenitate diferita.
Imaginea transsonica
Structurile lichidiene (sangele, bila, secretiile digestive, continutul chistelor, ascita, colectia pleurala) sunt strabatute de catre ultrasunete in totalitate, fara a exista nici un fel de reflexii pe traseul acestora. Imaginea ecografica, fiind expresia unei "lipse de ecouri", va avea aspectul opus structurilor ecogene, respectiv culoarea neagra. O structura lichidiana este definita in ecografie prin termenul de transsonic.
Exemple:
structuri transsonice normale: colecist, vezica urinara, lumen vascular;
structuri transsonice patologice: chistul, continutul necrozat al unui abces sau al unei tumori maligne.

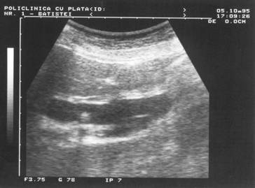
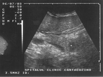
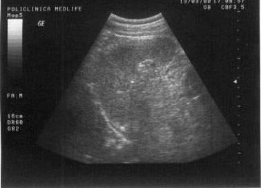
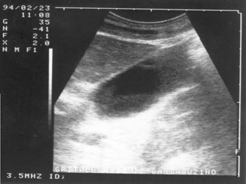
Figura 1. Vezica urinara
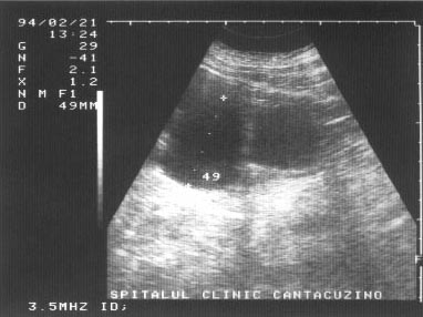
Figura 2. Chist renal stang situat in treimea medie

Figura 3. Chist ovar drept

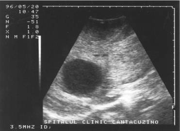
Figura 4. Chist hepatic
Imaginea hiperecogena
Atunci cand reflectarea ultrasunetelor este foarte intensa, pe ecran nuantele de culoare vor fi aproape de alb. Exprimarea semiologica va fi corespunzatoare unei structuri accentuat ecogene sau hiperecogene. Imaginea hiperecogena este data de bogatia continutului in tesut fibros, conjunctiv si grasime a structurii respective.
Exemple:
structuri dense, dure, impenetrabile pentru fasciculul ultrasonor care va fi in intregime reflectat (calculi);
steatoza hepatica;
hemangiomul hepatic

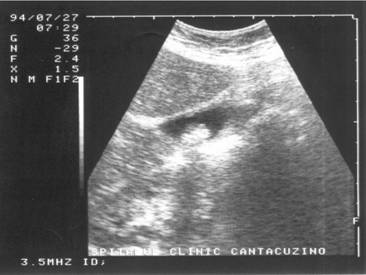
Figura 5. Hemangiom hepatic lobul stang

Figura 6. Hemangiom renal - la nivelul treimii medii a
rinichiului drept, mica zona hiperecogena, rotunda, care deformeaza conturul
renal.

Figura 7. Litiaza biliara

Figura 8. Litiaza coledociana
Imaginea hipoecogena
Invers, o structura care este mai putin reflectanta in comparatie cu mediul inconjurator se exprima, prin comparatie cu acesta sub forma unei structuri hipoecogene.
Imaginea hipoecogena apare mai neagra pe monitor decat structura cu care este comparata, fara sa fie complet transsonica.
Exemple:
rinichiul este mai hipoecogen fata de ficat;
abcese hepatice;
unele tumori hepatice.

Figura 9. In mod normal, parenchimul renal este mai hipoecogen decat perenchimul hepatic.

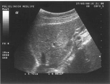
Figura 10. Imagine hipoecogena la limita corp-coada pancreas

Figura 11. Imagine hipoecogena la nivelul tiroidei

Figura 12. Imagine hipoecogena la nivelul sanului
Imaginea "in cocarda"
Imaginea "in cocarda" este o imagine rotunda, are centrul hiper/izoecogen, inconjurat de o arie circulara hipoecogena.
Exemplu:
tumorile maligne hepatice primitive sau metastatice (haloul periferic hipoecogen este generat de necrozele tumorale).
Imaginea mixta
Imaginea mixta, neomogena este generata de alternanta de arii hipo si hiperecogene.
Exemple:
necroza sau hemoragia intratumorala;
abcesul hepatic.
Figura
13. Ovarul st`ng este ]nlocuit de o formaiune complex[, transsonic[ =i
solid[. Partea solid[ ]n proporie de 40%, cu ecostructura hiperecogen[
este dispus[ sub forma de prelungiri papilifere cu contur neregulat =i
prezint[ ]n interior c`teva mici zone transsonice (posibil arii de
necroz[). Aspectul sugereaz[ chistadenocarcinom ovarian.

ECOSTRUCTURA
Ecostructura este o caracteristica individuala fiecarui organ si reprezinta totalitatea ecourilor returnate de un tesut parenchimatos. Ecostructura reprezinta o intrepatrundere de elemente cu ecogenitati variabile. Organele parenchimatoase au un aspect ecografic reticular, cu ecogenitate evident mai mare decat cea a apei, asemanator cu o plasa cu ochiuri foarte fine. Ecostructura este rezultatul returnarii ecourilor de la nivelulul traveelor conjunctivale.
Organele parenchimatoase normale (tiroida, ficatul, splina, pancreasul) se caracterizeaza prin omogenitate.
Ecostructura omogena este definita prin uniformitatea ecourilor recoltate din structura sau parenchimul examinat, indiferent de planul de sectiune care este efectuat. In majoritatea cazurilor, ecostructura parenchimelor normale este asemanatoare, elementul de diferentiere fiind reprezentat de catre intensitatea ecourilor returnate. Astfel, in mod normal, ecogenitatea parenchimului hepatic este mai mare decat cea a parenchimului renal, iar pancreasul este mai ecogen decat ficatul.

Figura
14. Mas[ gigant[ care ocup[ micul bazin =i abdomenul mediu, de aproximativ
30 cm diametru, cu structur[ complex[ 80% lichidian[, restul solid[. Partea
solid[ este dispus[ sub form[ de septuri. Aspectul sugereaz[ histademom cu
apartenen[ ovarian[.
In caz de suferinta, un organ parenchimatos poate prezenta o crestere sau o scadere a ecogenitatii.
Exemplu:
Ecogenitatea este crescuta in cazul in care exista o abundenta de tesut fibros in interiorul organului examinat;
Scaderea ecogenitatii apare, de exemplu, in cazul edemului, secundar acumularii de lichide in tesuturi;
Un proces patologic caracterizat prin infiltratie celulara (ex. limfoame) conduce la o reducere a numarului de interfete prin diminuarea diferentelor de densitate din interiorul organului respectiv. Rezultatul il constituie o scadere a ecogenitatii.

Figura 15. Parenchim splenic
Ecostructura neomogena
Este rezultatul modificarii arhitecturii tisulare a unui parenchim. De exemplu, nodulii regenerativi au, frecvent, o densitate diferita de cea a parenchimului normal si returnarea ecourilor de la acest nivel este crescuta. Imaginea de ansamblu a planurilor de sectiune se caracterizeaza prin neomogenitate.
INTARIREA ACUSTICA

Peretele ce
separa o structura lichidiana de o structura solida constituie o interfata.
Deoarece diferenta de densitate dintre cele doua structuri este mare, interfata
este foarte evidenta; la acest nivel producandu-se o reflectare masiva de
ecouri. Interfata ce separa mediul solid de cel lichidian devine astfel foarte
ecogena. Aceasta ecogenitate se propaga pe distante mici, distal de structura
lichidiana in mediul urmator. Cu cat aceasta propagare distala a ecogenitatii
interfetei este mai mare, cu atat este mai mare diferenta de densitate dintre
mediul strabatut (lichidian) si cel ce urmeaza (solid).
Figura 16. Intarire acustica posterioara la nivelul vezicii urinare.

Figura 17.}ntarire acustica posterioara la nivelul V.B.
ATENUAREA
Propagarea ultrasunetelor in mediile solide se caracterizeaza prin fenomenul de "scadere" progresiva a intensitatii ecourilor, sau prin fenomenul de atenuare.
Totalitatea fenomenelor (transformare termica, refractii, difractii, reverberatii, reflexie, etc) care conduc la scaderea progresiva a intensitatii ultrasunetelor pe masura ce ele strabat o distanta data dintr-un mediu biologic se numeste atenuare. Ca urmare a acestui fenomen, ecourile rezultate din structuri aflate in imediata vecinatate a transductorului sunt intense, in timp ce ecourile care provin din tesuturile indepartate de transductor sunt slabe.
Atenuarea este o masura a:
Densitatii unui tesut (cu cat densitatea unui tesut este mai mare, cu cat atenuarea la acest nivel este mai mare)
Numarului de interfete din interiorul unei structuri (cu cat acestea sunt mai numeroase, cu atat cantitatea de ultrasunete ramasa pentru a se deplasa in continuare este mai mica)
Distantei strabatute de catre ultrasunete (cu cat distanta este mai mare, cu atat atenuarea este mai mare - structurile mai indepartate de transductor se vad mai slab si invers).
Corectarea atenuarii este posibila de la nivelul tastaturii si consta din scaderea intensitatii ecourilor provenite din structurile superficiale (din vecinatatea transductorului) si din cresterea intensitatii ecourilor profunde (aflate la distanta de transductor). Corectarea atenuarii ultrasunetelor este modalitatea principala si obligatorie prin care se regleaza functionarea echipamentului ecografic.
Atenuarea "patologica"este un fenomen care trebuie interpretat cu discernamant, putand sa apara in situatii de densitate tisulara crescuta a organelor, precum si in situatii de organomegalie.
UMBRA ACUSTICA (CONUL DE UMBRA)
Este expresia unei atenuari si a unei reflectari maximale si apare in toate situatiile in care fasciculul de ultrasunete intalneste o structura foarte densa cum ar fi osul sau calculii. Distal de acesta nu mai exista ultrasunete, aspectul final fiind acela al unei "non imagini"; lipsa de ecouri se prezinta ca o structura liniara, de culoare neagra, denumita "con de umbra posterior".

Figura 18. Con de umbra in litiaza renala

Figura 19. Con de umbra posterioara in litiaza biliara
CONTURUL
Reprezinta modalitatea de demarcatie dintre diverse organe, avand ca substrat interfata dintre organe. Modalitatea de delimitare a organelor este cel mai adesea neta, clara, fiind realizata de catre capsula fibroasa a organului si, respectiv, de catre tesutul grasos inconjurator.
Atunci cand in procesul patologic al organului respectiv domina inflamatia, delimitarea organelor este mai slaba si mai imprecisa. Un alt exemplu de delimitare imprecisa este in cazul neoplasmelor care invadeaza organele invecinate.
|
|
|
|||
|
Figura 20. Delimitare neta intre ficat si rinichi. |
Figura 21. Scleroza renala - rinichiul drept prezinta contur neregulat si este imprecis delimitat. |
Organele si structurile parenchimatoase au un aspect definit prin delimitare si ecostructura. Organele parenchimatoase au contur regulat, delimitare neta si capsula.
Formatiunile tumorale care au structura de parenchim au delimitare mai slaba sau chiar absenta (invazie tumorala extrema).

Figura 22. Parenchim hepatic.
Organe si structuri tubulo-cavitare au un aspect definit prin delimitare neta, ecogena si prin lumen sau continut hipoecogen sau transsonic.

Figura 23. Vena cava inferioar si aorta - sectiune transversala.
Formatiunile tumorale reprezinta structuri care au caracter de proces inlocuitor de spatiu, cu ecostructura diferita de cea a organelor inconjuratoare sau a parenchimului in care se afla. Pot fi solide sau lichidiene.

Figura 24. Polip in vezica biliara

Figura 25. Tumora tiroida
Colectiile sunt reprezentate de catre arii sau zone hipoecogene sau transsonice situate intre organe sau in interiorul acestora. Delimitarea colectiilor este imprecisa, neincapsulata.
|
Politica de confidentialitate | Termeni si conditii de utilizare |
Vizualizari: 19738
Importanta: ![]()
Termeni si conditii de utilizare | Contact
© SCRIGROUP 2025 . All rights reserved