| CATEGORII DOCUMENTE |
| Alimentatie nutritie | Asistenta sociala | Cosmetica frumusete | Logopedie | Retete culinare | Sport |
LEGUME SI FRUCTE
Obiective ale cursului:
1. LEGUME
Legumele constituie o categorie de vegetale folosite mult in alimentatie, deoarece cuprind numeroase substante nutritive si pot fi preparate in moduri foarte variate. Spre deosebire de alte categorii de vegetale, legumele ofera - ca parte comestibila - fie una din regiunile lor constitutive (radacina, tulpina, bulb, flori, fructe, seminte, frunze), fie plantele in intregime.
Din punct de vedere al compozitiei lor chimice, legumele contin multa apa (75-95 %), glucide (1-2 %) si cantitati reduse de proteine, precum si de grasimi. In schimb, legumele cuprind proportii importante de vitamine si elemente minerale.
Legumele sunt grupate in 10 clase:
Radacinoase;
Bulbifere;
Tuberculifere;
Varzoase;
Fructoase;
Pastaioase si boabe (leguminoase);
Frunzoase;
Condimentare;
Perene;
Ciuperci comestibile.
Aceste categorii - ilustrate prin exemple - si cu specificarea constituentilor caracteristici sunt prezentate in tabelul 1.
Tabel 1. Principalele categorii de legume folosite in ratia alimentara si constituentii lor caracteristici.
|
Categorie de legume |
Exemple |
Constituenti caracteristici |
Utilizari si actiuni |
|
Radacinoase |
Morcov |
Vitamine: B1, B2 Caroten Elemente minerale: Fe, Cu, Ca, P (fosfat), substante pectice |
Se foloseste in tratamentul colitei |
|
Patrunjel |
Vitamina C Uleiuri volatile, eterice |
Planta condimentara |
|
|
Pastarnac |
Uleiuri volatile, eterice Vitamine: B1, B2, C |
Planta condimentara |
|
|
Telina |
Vitamine: A, complex B, C Saruri de calciu Substante aromate |
Are actiune diuretica (ceai) |
|
|
Ridichi |
Vitamine: B1, B2, C Compusi sulfurati specifici |
Au actiune diuretica |
|
|
Sfecla |
Glucide Vitamine: B1, B2, C Minerale: K, Ca, P Radicali metil liberi |
Constituentii iau parte la diverse biosinteze in organism si procese de detoxifiere in ficat |
|
|
Tuberculifere |
Cartof |
Amidon Asparagina, tuberina (proteina) Vitamina C; Fe |
Aliment de baza (substituient al cerealelor) |
|
Bulbifere |
Ceapa Usturoi Praz |
Glucide Vitamine: complex B, C Uleiuri volatile Elemente minerale: Ca, P |
Vermifug Vermifug Actiune colagoga |
|
Varzoase |
Varza |
Substante tioanogenetice, vitamina C Minerale: Ca |
Impiedica fixarea iodului in tiroida |
|
Gulie Conopida |
Vitamine: complex: B, C, K Minerale: Ca, K | ||
|
Fructoase |
Patlagele vinete Tomate Ardei |
Caroten, vitamine B1, B2, C Minerale: Fe, K, Ca, Mg, P, Cl | |
|
Castraveti |
Ascorbatoxidaza: descompune vitamina C |
Valoare nutritiva redusa |
|
|
Dovlecei |
Minerale | ||
|
Pastaioase si leguminoase |
Fasole, mazare, linte, bame, soia |
Caroten si vitamine B1, B2, C, E, PP Minerale: Ca, K, P, Fe, Mg Proteine, glucide (in formele uscate) si lipide: acizi grasi esentiali | |
|
Frunzoase |
Spanac, salata verde, loboda, macris |
Vitamine: B1, B2, E, K Caroten Minerale: Fe, P, Ca, Cu, K | |
|
Condimentare |
Piper, mustar, boia, usturoi, ceapa, praz, hrean, chimen, cimbru, leustean, marar, tarhon, patrunjel, dafin, scortisoara, vanilie, anason |
Uleiuri eterice cu mirosuri aromate |
Folosite in forma proaspata si uscata la prepararea mancarurilor si produselor zaharoase |
|
Sare de bucatarie |
Cl, Na, Mg, Ca, I | ||
|
Perene |
Sparanghel |
Diuretic |
|
|
Anghinare |
Efect colagog |
||
|
Hrean |
Glucide Vitamina C Enzime (peroxidaza) Minerale: K, Ca, Mg, Fe | ||
|
Ciuperci comestibile |
Diverse varietati |
Apa Minerale: K, P, Fe, Ca, Mg, Cu, Na Vitamine: A, B1, B2, C, D Proteine Lipide | |
|
Drojdie de bere |
Foarte bogata in vitamine din complexul B |
2. FRUCTE
Fructele sunt alimente de origine vegetala care au o valoare energetica aproape dubla fata de cea a legumelor. Aceasta proprietate este datorata continutului lor bogat in glucide: zaharuri simple (glucoza, fructoza), zaharoza si amidon in fructele tropicale (banane). Fructele contin si multe vitamine, precum si elemente minerale. Proteinele si lipidele nu intra decat in cantitati foarte mici in compozitia fructelor. Insa, unele fructe (nuci, masline) contin multe lipide si, de aceea, sunt folosite pentru extragerea uleiurilor respective.
Cu exceptia vitaminelor, in tabelul 2 sunt mentionati constituentii principali ai unor fructe folosite curent in alimentatia omului.
Tabel 2. Principiile nutritive din constitutia unor fructe.
|
Fructe |
Apa |
Proteine |
Lipide |
Glucide |
Substante minerale |
|
|
Fara celuloza |
Celuloza |
|||||
|
Mere | ||||||
|
Pere | ||||||
|
Prune | ||||||
|
Visine | ||||||
|
Struguri | ||||||
|
Portocale | ||||||
|
Pepene verde | ||||||
|
Pepene galben | ||||||
|
Capsuni | ||||||
|
Zmeura | ||||||
*Valorile consemnate in tabel reprezinta procente din produsul analizat.
Datorita compozitiei lor bogate in elemente nutritive fructele trebuie sa fie nelipsite in ratia alimentara, completa, a omului. Eficienta maxima o are consumul de fructe proaspete, caci oricare ar fi formele de conservare, acestea contribuie la pierderea unora din principiile lor nutritive. Cu privire la consumul fructelor proaspete este preferabil sa se manance cele bine coapte, caci contin proportii mai mari de zaharuri simple, asimilabile usor, fata de fructele necoapte (verzi). Daca din cauza unor afectiuni este indicat numai consumul fructelor sub forma de compot, fierberea trebuie sa fie rapida, evitandu-se pierderile de substante nutritive.
3. DESCRIERE SI IDENTIFICARE ALE PARTII PLANTEI
SI A CONTRIBUTIEI SALE LA FRUCTE SI LEGUME
Fructe, legume si alte tesuturi vegetale, fie direct sau indirect, furnizeaza alimente pentru toti oamenii. Exista un numar estimat de 270.000 specii de plante. Numarul de specii de plante care sunt consumate de catre om este, probabil, intre 1.000 si 2.000 de specii. Circa 100 pana la 200 de specii sunt de importanta majora in comertul mondial, 15 specii furnizeaza grosul recoltelor alimentare din lumea intreaga, cum ar fi orez, grau, soia, arahide, nuca de cocos si banane.
Cand se discuta compozitia fructelor si legumelor, de interes sunt atat structura tesutului, cat si componentele care realizeaza aceasta structura. Una din componentele structurale majore ale fructelor si legumelor este celuloza. Celuloza este un polimer al glucozei si este principalul component structural. Celuloza nu este singurul material structural; totusi, tipul fundamental de celule sunt celulele parenchimatice. Exista cateva tipuri de tesuturi. Toate celulele au un perete celular. Peretele celulei consta intr-un prim perete celular foarte subtire si intr-o membrana care contine hidroxiprolina. Acest perete celular contine multa celuloza. In plus, exista alti polimeri, cum ar fi substante pectice, lignina si, uneori, chiar leucoantociani (pigmenti).
Intelegerea structurii unei anumite celule vegetale este importanta nu numai pentru elucidarea texturii, ci si pentru elucidarea culorii si a aromei.
4. IDENTIFICARE A CELULEI VEGETALE SI A
COMPONENTELOR SALE
Atunci cand sunt luate in discutie plantele, atat structura tesuturilor, cat si a componentelor care realizeaza aceasta structura sunt importante pentru intelegerea acestora. Unul din principalele componente ale fructelor si legumelor este celuloza. Celuloza este un polimer al glucozei si este principalul component de structura. Toate celulele au un perete celular. Peretele celular consta intr-un prim perete celular foarte subtire si o membrana care contine hidroxiprolina. Acest perete celular contine multa celuloza. In plus, exista alti polimeri, cum ar fi substante pectice, lignina si, uneori, chiar leucoantociani (pigmenti).
Intelegerea structurii unei anumite celule de planta este importanta nu numai pentru elucidarea texturii. Ea prezinta importanta si pentru culoare si aroma.
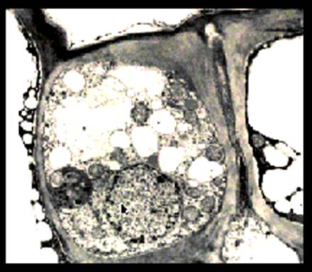
Perete celular
Cloroplaste
Cromoplaste
Citoplasma - aceasta este partea vie a celulei. In general, este plasata imediat in interiorul peretelui celular. Plastidele, nucleul si mitocondriile sunt localizate in interiorul citoplasmei.
Leucoplaste/amiloplaste
Substante pectice
Membrana plasmatica
Lamela mijlocie
Nucleu
Vacuola

Figura 1. Reprezentarea electronica a unei celule vegetale.
Asa cum se poate vedea in reprezentarea electronica de mai-sus, dincolo de peretele celular exista citoplasma, care este coloidul gelatinos al materiei vii. In aceasta citoplasma sunt plastide, mitocondrii si un nucleu. Plastidele constau in cloroplaste, cromoplaste si leucoplaste. De asemenea, in celula sunt mitocondriile si nucleul, care sunt unitatile metabolice de organizare predominante ale celulei. Celula contine, de asemenea, o vacuola, care este, in esenta, depozitul celulei pentru substante deseu, care contin compusi ca zaharuri, acizi si pigmenti solubili si taninuri. In plus la celulele parenchimatice, exista tesuturi ale dermei (prezente in frunza de varza) si tesuturi vasculare. Tesutul parenchimatic este produs din abundenta in cartof.
4.1. CELULA
Structura celulei vegetale depinde de rolul si de functia celulei. Indiferent de functia celulei, exista un numar de asemanari intre celule diferite. Peretele celular consta intr-un prim perete si intr-un al doilea perete. Primii pereti a doua celule sunt uniti de catre un strat comun denumit lamela mijlocie. Componentele cheie ale primului perete si ale lamelei mijlocii sunt celuloza, hemiceluloza si substante pectice. Substantele pectice din lamela mijlocie sunt hidrolizate dintr-o macromolecula insolubila in substante pectice mai mici, in timpul procesului de maturizare si de coacere.
Substante pectice, macromolecule mari de acid D-galacturonic legat alfa-1,4, sunt substante de cimentare ale celulelor vegetale. Polimerii sunt localizati in peretele celular sau in lamela mijlocie. Aceste macromolecule poligalacturonice se gasesc atat intre celule, cat si in interiorul celulozei, hemicelulozei si matricei de lignina a peretelui celular. In timpul maturizarii plantei cel mai mare dintre polimeri, protopectina, este hidrolizata de catre pectinaza la polimeri mai mici. Un exemplu al unei asemenea schimbari, determinata prin schimbari de textura, este observata in timpul coacerii unui mar. Marul necopt, care este in general tare, are substanta pectica de cimentare, dominant protopectina. Pe masura ce marul se coace, pectinazele hidrolizeaza protopectina la substante pectinice care predomina intr-un mar copt si la acizi pectici, care predomina intr-un mar supracopt.

Figura 2. Celula vegetala.
Vacuola este continuta in interiorul celulelor vegetale. Marimea sa este dependenta, intr-o oarecare masura, de functia celulelor. Vacuola este compusa din apa cu substante solubile dizolvate in ea. Acestea pot include zaharuri, acizi, esteri volatili, aldehide, cetone si pigmenti solubili in apa, in functie de tipul anume de fruct sau leguma.
Conversia energiei in celula este realizata de catre cloroplaste si mitocondrii. Leucoplastele stocheaza amidonul care este folosit pentru energie. Mitocondriile sunt sfere mici, baghete sau filamente, care produc energie pentru celula prin respiratie celulara. Ele contin grasimi, proteine si enzime.
Nucleul celulei este incorporat in interiorul citoplasmei. Acesta este centrul nervos al celulei. El controleaza reproducerea si sinteza proteinelor. Atat nucleul, cat si mitocondriile sunt necesare pentru viata continua a celulei.
5. IMPORTANTA A PIGMENTILOR VEGETALI,
LOCALIZAREA LOR IN CELULA, SOLUBILITATE SI
CULOARE IN RELATIE CU PROPRIETATILE
ALIMENTELOR
Tipul de pigment influenteaza colorantul vegetal. Culorile plantei nu sunt dependente in intregime numai de pigmentul vegetal singur. Multi factori influenteaza culoarea pigmentului. In plus, fata de interactia pigmentului si prezenta acizilor, bazelor si sarurilor, maturitatea unui aliment este un factor important care-si aduce contributia.
Culoarea fructelor si legumelor este data de pigmenti solubili, fie in grasimi, fie in apa. Totusi, multi dintre ceilalti constituenti ai plantei au impact asupra culorii rezultate a pigmentilor.
Tabel 3. Tipuri de pigmenti.
|
Pigmenti solubili in grasimi |
Pigmenti solubili in apa |
|
Clorofila |
Flavonoide - antociani |
|
Carotenoizi |
Flavonoide - antoxantine |
|
Flavonoide - substante fenolice sau taninuri |
|
|
Leucoantociani |
|
|
Betaine |
Tabel 4. Pigmenti si solubilitatea lor.
|
Grup pigment |
Solubilitate |
|
Clorofila |
Grasime si apa |
|
Carotenoizi |
Grasime |
|
Antociani |
Apa |
|
Antoxantine |
Apa |
|
Leucoantociani |
Apa |
|
Substante fenolice |
Apa |
|
Betaine |
Apa |
Clorofilele si carotenoizii sunt pigmenti solubili in grasimi si, in mod uzual, sunt considerati ca doua categorii complet separate. O categorie cu adevarat larga de pigmenti solubili in apa sunt flavonoidele. Flavonoide constau din antociani, antoxantine si, apoi, clasa mare a compusilor fenolici, denumiti, uneori, taninuri. Acesti pigmenti solubili in apa nu sunt localizati in plastide, dar difuzeaza mai degraba in vacuola celulei.
In plus fata de structura pigmentului, exista alti factori care influenteaza culoarea plantei. Maturitatea si culoarea pot avea impact asupra acesteia. Totusi, nu este suficient sa consideri pigmentii ca fiind fie clorofila, fie carotenoizi sau o alta clasa de pigmenti. Aceste structuri chimice relativ complexe pot avea o varietate de derivati, asa cum se poate vedea din tabelul de mai jos.
Tabel 5. Lista pigmentilor naturali caracteristici.
|
Grup pigment |
Numar de compusi* |
|
Clorofile | |
|
Carotenoizi | |
|
Antoxantine | |
|
Antociani | |
|
Flavonoide | |
|
Leucoantociani | |
|
Taninuri | |
|
Betaine | |
|
Chinone | |
|
Xantone |
*Aproximativ
6. EVALUARE PROCEDURI DE PRODUCTIE,
PROCESARE SI PREPARARE SI CULOARE OPTIMA
A PIGMENTULUI
Tabelul de mai jos prezinta efectele caldurii, acidului si alcaliilor asupra culorii in timpul incalzirii unui fruct si/sau legume. Este indicata stabilitatea fiecarui pigment.
Tabel 6. Efectele caldurii, acidului si alcaliilor asupra culorii pigmentilor.
|
Nume pigment |
Culoare |
Solubilitate |
Efect acid |
Efect alcalie |
Incalzire prelungita |
|
Clorofile |
Verde |
Usoara |
Schimbari la verde masliniu (phaeophytin) |
Intensifica verdele (clorofilina) |
Verde masliniu (pheophytin si pyropheophytin) |
|
Galben si portocaliu |
Usoara |
Culoare mai putin intensa |
Efect mic |
Culoarea poate fi mai putin intensa |
|
|
Carotenoizi |
Rosu sau roz | ||||
|
Antociani |
Rosu, purpuriu si albastru |
Foarte solubil |
Rosu |
Purpuriu sau albastru |
Efect mic |
|
Betaine |
Rosu purpuriu |
Foarte solubil |
Efect mic |
Efect mic |
Pal daca pigmentul iese din tesut |
|
Galben | |||||
|
Alb sau fara culoare |
Foarte solubil in apa |
Alb |
Galben |
Inchis daca este in exces |
|
|
Antoxantine |
Inainte ca pigmentii de mai sus din planta sa fie preparati si sa fie supusi acestor actiuni, exista un numar de alte procese care influenteaza planta si culoarea posibila. Anotimpul este unul din determinantii importanti. Disponibilitatea unei varietati de fructe proaspete de calitate si legume nu mai este complet dependenta de anotimpul de crestere. Sistemul curent de distributie pe piata, in lumea intreaga, a scazut impactul disponibilitatii legate de anotimp; totusi, anotimpul are, inca, impact asupra costurilor si, uneori, aleg produse foarte perisabile. Fiecare varietate sau soi nu are numai conditii de cultivare sau sol optime, dar trebuie sa aiba zile prescrise genetic pentru a se maturiza. Aceste zile de maturitate trebuie sa coincida cu temperaturile corecte pentru formarea fructului si pentru coacerea fructului si maturitatea legumelor.
Prezinta interes cunoasterea temperaturii optime de pastrare pentru fructe si legume. Unele fructe se pastreaza mai bine inainte de coacere la temperatura de refrigerare, altele se pastreaza mai bine la temperatura camerei. Cu siguranta, anotimpul de dezvoltare si zilele de maturitate sunt importante. Totusi, ar trebui sa fim constienti ca exista o tehnica horticola, care se aplica pentru a proteja plantele contra stresului inconjurator. Exista un numar de plante care au proteine care le fac capabile sa tolereze vremea rece. Exista alte plante cu proteine care le protejeaza impotriva deshidratarii si zbarcirii, prin umplerea spatiului dintre membrana celulara a plantei si peretele sau celular dur.
Irigarea si/sau prezenta apei in alimente pot influenta dramatic calitatea unui fruct sau leguma. De exemplu, continutul de apa si respiratia reprezinta moduri prin care cartoful isi pastreaza temperatura scazuta. S-a aratat ca "stresul la caldura" din cauza ca apa nu este disponibila in cantitate suficienta pentru cartof va provoca dezvoltarea cartofului, care se deformeaza si conduce la un tip de cartof denumit cartof cu continut mare de zahar.
Cartoful cu zahar are un continut inalt de zahar. Adeseori, aspectul cartofului insusi va indica acest defect. Cartoful se va deforma si, adeseori, se va ascuti spre varf. In mod normal, acesta ar putea fi absorbit si transformat in amidon; totusi, cu acest cartof nu se intampla asa.
Pastrarea are impact asupra calitatii alimentelor aduse in bucatarie pentru preparare. Cerintele de pastrare ale recoltelor depind de leguma sau fruct.
Tabel 7. Domeniul de temperatura si Q10 pentru leguma si fruct.
|
Domeniu de temperatura optim |
Valori Q10 |
Exista multi factori si interactii care influenteaza coacerea, la fel cum si maturizarea influenteaza coacerea. Efectul coacerii asupra diferitelor fructe si modul in care pot fi corectate fie temperatura, timpul sau gazul adaugat sunt de real interes. Fiecare fruct pare sa functioneze diferit, in particular in legatura cu factorii care provoaca culoarea.
In cele ce urmeaza sunt prezentate schimbarile in timpul coacerii unui fruct:
dezvoltare culoare;
degradare a clorofilei;
cresterile acumulate de beta-caroten si licopen in granule osmiofilice in plastide;
schimbare in "taninuri";
schimbari in solide "solubile";
schimbari in solide "insolubile";
schimbari in aciditate;
schimbari in componenti de aroma;
schimbari in textura.
Un aspect al coacerii este productia de etilena (C2H4), care semnalizeaza si defineste etapele de crestere ale fructelor si florilor pentru senescenta. De fapt, planta percepe cu protein kinaza acest compus. Acesta, in replica, activeaza coacerea fructului.
7. PARTI ALE PLANTEI CARE AU CONTINUT MARE DE
SULF SI COMPONENTI CU MIROS DE FRUCTE SI
ALTE AROME, PRECUM SI CONTRIBUTIA LOR LA
CALITATE
Aromele in fructe si legume sunt datorate unei varietati de compusi care actioneaza impreuna pentru a da caracteristici unice si distinctive. Desi fiecare fruct sau leguma are un gust unic, multi compusi vin din aldehide, alcooli, cetone, acizi organici, esteri, compusi cu sulf si urme ale altor structuri chimice.
Astringenta in fructe si legume se datoreaza, in primul rand, pigmentilor flavonoidici, clasificati ca taninuri sau compusi fenolici. Acesti compusi de aroma vor face gura punga.
Aroma de fructe (fructuozitate) este extrem de complexa si nu poate fi atribuita unui compus specific. Aroma de fructe poate fi atribuita, in general, unei combinatii de esteri, alcooli, aldehide, cetone si unor compusi in cantitate mica.
Aroma acida din fructe si legume este formata de multi acizi diferiti. Desi acizii malic si citric sunt cei mai obisnuiti acizi, o serie de alti acizi poate fi gasita in alimente vegetale selectionate. De exemplu, strugurii au cantitati considerabile de acid tartric si acid oxalic (revent) si acid benzoic (prune, merisor). Acesti acizi, la randul lor dau un domeniu de valori de pH. Familia verzei si a cepei dau arome si mirosuri datorate unei varietati de compusi cu sulf. In plus fata de contributia la aroma, se considera ca unul dintre compusii care contin sulf din familia verzei, sulforafanul, protejeaza impotriva cancerului.
Familia verzei, care include brocoli, varza de Bruxelles, varza, conopida, nap, gulie, mustar si nap turcesc, este uneori cunoscuta ca familia Cruciferae. Desi este relativ slaba cand este materie prima, gatirea va dezvolta arome puternice datorate hidrogenului sulfurat si altor compusi cu sulf volatili. O parte a acestei arome puternice dezvoltate in timpul gatirii este datorata degradarii sulfoxidului S-metil-L-cisteina in disulfura de dimetil. Din pacate, acizii naturali din planta pot accelera acest proces. Din acest motiv, metoda recomandata de gatire este aceeasi cu cea pentru legumele verzi.
Varza poate dezvolta o aroma puternica daca este sfasiata sau taiata. Sinigrina, un compus cu sulf prezent in varza, este degradata de mirozinaza pentru a produce un ulei de mustar denumit alil izotiocianat, o aroma intepatoare, picanta. Procesul de degradare al sinigrinei poate fi urmarit la preparea salatei de varza taiata. Cand varza taiata este lasata sa stea, ea dezvolta o aroma distincta tot mai puternica.
Ceapa, usturoiul si prazul (specii comestibile de Allium) au aroma lor tipica, in primul rand datorita degradarii aliinei sau unui derivat, de catre enzima alinaza, la alicina (sau un derivat) si acid piruvic si amoniac. Taierea cepei va elibera enzima si va conduce la reactia de mai-sus. In timpul prepararii, aroma de ceapa mai slaba se mentine prin prepararea intr-un volum mare de apa.
Dulceata fructelor si legumelor reprezinta gustul mereu cautat. Unele plante, cum ar fi trestia de zahar si sfecla de zahar sunt cultivate pentru componentul lor dulce, zaharoza. Alte alimente sunt consumate pentru o combinatie de zaharuri si pentru interactiuni ale altor componente de aroma. De asemenea, se gasesc glucoza, fructoza, maltoza, xiloza si zaharuri mai putin obisnuite. Tipurile de zaharuri din plante variaza in mod considerabil. Exista, de asemenea, surse vegetale de tipuri care nu sunt zahar in acceptiunea obisnuita. Glicirizina din lemn dulce este unul din indulcitorii utilizati pe scara larga.
8. IMPLEMENTARE A METODEI OPTIME DE PASTRARE
A FRUCTELOR SI LEGUMELOR SI PREPARARE
PENTRU CULOARE, TEXTURA SI AROMA ALE
ALIMENTELOR
Valoarea adaugata sau cresterea valorii produsului o data cu procesarea fructelor si legumelor va schimba asteptarile legate de calitate. O descoperire recenta a adaugat valoare prin decojire, taiere, tocare sau amestecarea produsului proaspat si, apoi, ambalare, cu utilizarea avantajelor conferite de tehnologiile de ambalare. Cele mai vechi si/sau traditionale metode de procesare sunt fermentatia, deshidratarea, incalzirea si congelarea. Toate aceste procese au loc pentru a reduce deteriorarea calitatii, datorita actiunii enzimei sau dezvoltarii microbiene.
Aceste metode traditionale au fost modificate si combinate pentru a mari calitatea fructelor si legumelor. De exemplu, capsunile pot fi congelate, plasate in vid, ceea ce permite ca apa sa sublimeze, si devin uscate prin congelare, pastrand forma si aroma de proaspat.
Radiatia de ionizare este o metoda total noua de conservare a alimentelor. Acum, radiatia de ionizare este utilizata pentru a pasteuriza fructe si legume. Astfel, calitatea este mentinuta prin scaderea activitatii enzimatice si a fungilor. Este folosita, in primul rand, la cartofi si la alte tuberifere pentru a reduce incoltirea.
Deshidratarea prunelor si obtinerea prunelor uscate este o veche metoda de preparat. Aceasta a fost actualizata obtinandu-se prune uscate cu umiditate medie.
Un exemplu de metoda de pastrare si procesare il reprezinta obtinerea de felii de capsune uscate prin congelare si compararea acestora cu felii proaspete si felii deshidratate. Feliile uscate prin congelare au avut nu doar o culoare mai deschisa, dar si o aroma proaspata. Uscarea prin congelare s-a facut simplu, prin congelarea feliilor de capsuna, plasarea lor intr-o camera cu vid si incalzirea la aproximativ 30C in vid. Gheata din capsuni a sublimat, lasand intacta structura celulei. Feliile deshidratate au fost plasate intr-un dispozitiv de deshidratare in forma bruta, fiind aplicata o temperatura de -4,5C. Cu siguranta, capsunile proaspete au fost produsele "mai proaspete".
BIBLIOGRAFIE
|
Politica de confidentialitate | Termeni si conditii de utilizare |
Vizualizari: 3556
Importanta: ![]()
Termeni si conditii de utilizare | Contact
© SCRIGROUP 2025 . All rights reserved