| CATEGORII DOCUMENTE |
| Alimentatie nutritie | Asistenta sociala | Cosmetica frumusete | Logopedie | Retete culinare | Sport |
TUMORI BENIGNE
mixomul - la nivelul endocardului din tesutul conjunctiv lax
rabdomiomul - din fibrele miocardice
fibromul - in miocard din tesutul conjunctiv interstitial
lipomul - miocard si pericard
hemangiomul - miocard
Fig 7 Mixom atrial
Fig 8 Mixom atrial
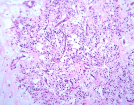
Fig 9 Mixom atrial. HE, x40.
Fig 10 Rabdomiom AS + VS.
Fig 11 Rabdomiom VS
Fig 12 Rabdomiom. HE, x20
9.2. TUMORILE MALIGNE
a) Primitive - sunt exceptionale si pot fi: sarcoame
b) Secundare (metastazele cardiace) - mai frecvente decat tumorile maligne primitive, dar sunt rare. Insamantarea este prin contiguitate (plaman, esofag, mediastin)

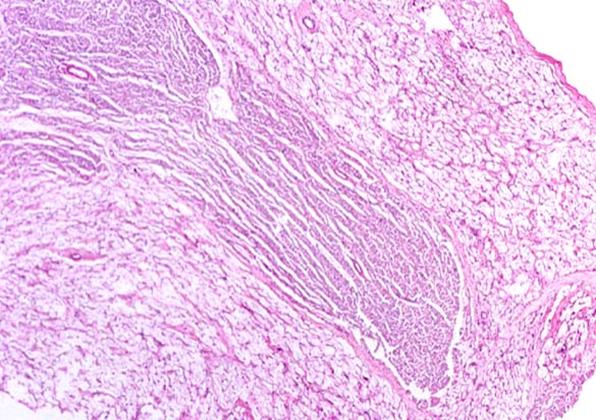
Fig 13 Cord normal sectionat
Fig 14 Angiosarcom AD + VD

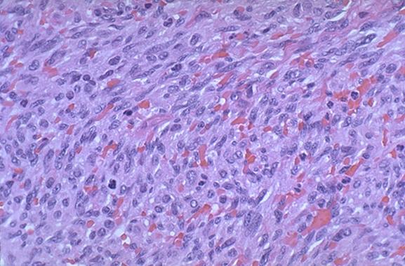
Fig 15 Angiosarcom. HE, x200

Fig 16 Metastaze epicardice
|
Politica de confidentialitate | Termeni si conditii de utilizare |
Vizualizari: 2526
Importanta: ![]()
Termeni si conditii de utilizare | Contact
© SCRIGROUP 2025 . All rights reserved