| CATEGORII DOCUMENTE |
| Alimentatie nutritie | Asistenta sociala | Cosmetica frumusete | Logopedie | Retete culinare | Sport |
TESUTURI TARI
Tesuturile tari sunt tesuturi minerale din care fac parte oasele si dintii.
1 Structura oaselor
Oasele se clasifica in:
oase lungi;
oase scurte;
oase cu suprafata plana;
oase cu suprafata neregulata;
1.1 Macrostructura oaselor
Macrostructura oaselor se refera la consistenta acestora, cum ar fi tesutul osos compact (cortical) la periferie, tesutul osos spongios (trabecular) la extremitatile diafizare si la epifize, dispus sub forma de lame - travee sau trabecule. Acestea sunt orientate in sendul solicitarii osului de catre presiune sau rezistenta la oasele lungi sau sub forma de diploe (tesut spongios intre cele doua zone compacte) la oasele late (craniu, stern). Distributia fiecarui os in organismul uman se face dupa amplasarea anatomica a fiecaruia.
Oasele lungi (figura 1), spre exemplu, au forma tubulara. Lungimea acestora este mai mare decat latimea. Unele oase lungi, in realitate pot fi scurte.

Figura 1 Exemplu de os lung - umarul, reprezentand tesut osos spongios, compact, epifiza, diafiza, metafiza si canalul medular
Oasele lungi contin un ax care se mareste la capete, acestea fiind curbate. Axul oaselor contine, un canal medular central prezentand o diafiza (corpul) si doua epifize (extremitatile articuare).
Dintre oasele lungi fac parte:
femurul;
tibia si peroneul;
umarul;
bratul.
Dupa nastere, cresterea longitudinala a oaselor lungi se face in doua regiuni. Prima regiune este epifiza, care se gaseste la extremitati. A doua regiune este metafiza, aflata in regiunea imediat urmatoare diafizei si aproximativ aproape de sfarsitul diafizei. Epifiza si metafiza sunt separate prin cartilagiul plat epifizic care se osifica cand se opreste cresterea.
Oasele scurte (figura 2) au forma cubica si contin un invelis compact, in interior cu miez spongios. Ele se gasesc doar la incheietura mainii si la laba piciorului, care se numesc oasele carpiene si tarsiene.

Figura 2 Oase scurte carpiene
Oasele cu suprafata plana (dreapta) contin doua placi ale oaselor compacte cu tesut spongios intre ele. In general, au forma curba mai degraba decat plata. Oase cu suprafata plana sunt: craniul (partea de sus); sternul; omoplatul; coastele.
Oasele cu suprafata neregulata (figura 3) au forme diferite, iar compozitia lor depinde de os. Dintre oasele cu suprafata neregulata, putem aminti: oasele faciale, vertebrele (oasele sirei spinarii). Contin un invelis compact subtire, inconjurat de miez spongios.

Figura 23 Structura osului neregulat
1.2 Microstructura si compozitia oaselor
Oasele reprezinta o combinatie de faze minerale (69% apa), dintre care majoritatea este fosfat de calciu, de asemenea, mai sunt citrati, carbonati, flourhidrati si ioni de hidroxil; faze organice (22% apa): colagenul (90-96% apa) si componentele celulare; apa (9%).
Cristalele de hidroxiapatita au forma subtire si sunt inutile in matricea fibroasa a colagenului. Mineralele rezultate contin fibre sub forma lamelara in straturi (figura 4).

Figura 4 Reprezentarea organizarii oaselor
Tesutul osos - oasele nu au nevoie, in prealabil, de tesut tare sau cartilagiu. Se gaseste la fetusi si copii sub 4 ani si este localizat la placile in crestere. Functia principala a tesutului osos la adulti este de aparare si refacere a scheletului. Se formeaza cand oasele cresc repede, ca rezultat al unei boli sau traume si mai ales la nevoie, in jurul locului fracturat.
Fibrele de colagen sunt orientate haotic la nivelul tesuturilor si impachetate imprastiat. Impachetarea imprastiata duce, in general, la reducerea densitatii (nu la mineralizarea slaba a fibrelor).
Oase lamelare necesita substraturi in oricare forma: cand oasele sunt tinere, ele nu au o forma bine definita. Lamelele minerale impregneaza fibre de colagen aranjate ca inele circulare imprejurul circumferintei interioare si exterioare a intregului os. Exista trei tipuri de tesut osos compact bazat pe aranjamentul oaselor lamelare (figura5).

Figura 5 Structuri microscopice a tipurilor de oase
Oase lamelare periferice - liniile lamelelor au forma circulara a unui inel imprejurul interiorului si exteriorului suprafetei intregului os.
Oase primare osteonale se formeaza cand, in prealabil, oasele nu exista. Ele sunt compuse din canale vasculare, inconjurate de lamele concentrice si asociate oaselor celulare. Contin peste 20 de colageni si minerale ce au la baza spirale lamelare inconjurate de canale vasculare. Lamelele adiacente canalelor vasculare sunt ca niste spatii de depozitare pentru ionii de calciu.
Oasele secundare osteonale mai sunt numite si oase haversiene. Formele acestora sunt rezultatele resorbtiei oaselor existente si a depozitarii de noi oase. Canalele vasculare sunt largi si au mai multe lamele decat oasele osteonale primare. Fiecare osteon este separat de oasele inconjuratoare osteonale printr-o "linie adeziva", spre doesebire de oasele osteonale primare, care nu au linii adezive. Ele au aproximativ 200300 m in diametru, la oasele adultilor. Elementele lor componente au o organizare ierarhica.
Macrostructura tesutului osos compact este formata din oasele osteonale si lamelele periferice, aliniate, predominant, de-a lungul axelor oaselor lungi si in acord cu aranjarea sarcinii in oase, mai putin axele predominante.
Oasele spongioase mai cunoscute ca oase trabeculare. Matricea structurala osoasa plata este de lonjeron cu maduva in spatiul intermediar (figura 6). Structura lonjeroanelor depinde de locatia lor si de situatia existenta. Lonjeroanele spongioase au, de obicei, 150300 m diametru si forma tridimensionala cu structura reticulara, cu rezistenta optima a raportului de greutate in oasele sanatoase.

Figura 6 Structura osului spongios plat la un adult sanatos, respectiv la unul osteoporotic
In microstructura oasele spongioase au forma oaselor lamelare (figura 5), iar macrostructura oaselor spongioase este dependenta de locatia anatomica. In general, se dezvolta ca raspuns la situatia data. Spre exemplu, vertebrele (figura 6) la tineri au forma de oase plate verticale si lonjeroane orizontale, in timp ce la adulti au forma de axe verticale si lonjeroane orizontale. Gatul femurului (figura 7) are forma de banda comprimata si intinsa, orientata de-a lungul traiectoriei fortei obisnuite. La articulatia femur - tibie (calcaiul) trabeculele sunt aliniate de-a lungul directiei oaselor lungi, care sunt legate la lonjeroanele orizontale.

Figura 7 Reprezentarea celor cinci grupuri de trabecule din partea superioara a femurului
Macrostructura trabeculara poate fi definita in termeni cantitativi astfel: predomina orientarea; tesutul osos spongios este separat la mijloc; grosimea este medie; are densitate.
2 Structura dintilor
Dintii au o structura multifazica alcatuita din patru materiale de baza plus gingia si oasele alveolare ale maxilarului (figura 8).

Figura 8 Sectiune intr-un molar
Smaltul - 97% din continutul lui este sare de fosfat de calciu cu cristale mari de hidroxiapatita. Este cea mai dura substanta din organism.
Dentina - are distributie similara cu a colagenului si matrice asemanatoare cu a tesutului osos compact. Proprietatile ei sunt similare cu cele ale tesutului osos compact.
Pulpa - ca substanta este asemanatoare maduvei, iar sangele ce o aprovizioneaza provine din dentina; de asemenea, contine celule nervoase si fibre subtiri de colagen.
Cimentul - tesut osos cu fibre groase, asemanator substantei care nu contine sisteme haversiene sau vase sanguine.
3 Proprietatile fizice ale tesuturilor tari
Tabelul 1 Proprietatile mecanice si fizice ale tesuturilor tari
|
Denumirea osului |
Modulul lui Young (de elasticitate) [GPa] |
Modulul de forfecare (de elasticitate longitudinal) [GPa] |
Rezistenta la compresie [MPa] |
Rezistenta de rupere la tractiune (la intindere) [GPa] |
Rezistenta de rupere la forfecare [MPa] |
Densitatea [g/cm3] |
|
Tesut osos compact | ||||||
|
Tesut osos spongios | ||||||
|
Smaltul |
| |||||
|
Dentina |
* - estimare bazata pe regresia rezistentei contra densitatii structurale
Proprietatile tesuturilor osoase se modifica individual, in functie de locatia anatomica a acestora. Proprietatile fizice sunt puternic afectate de gradul de mineralizare (si prin urmare de densitate) al oaselor.
Densitatea oaselor nu este o proprietate intrinseca si se poate schimba in timp. Depozitele de minerale dintre oase se pot schimba la cererea fiziologica. Procesele patologice pot afecta gradul de mineralizare. In mod normal, la oasele sanatoase, lanturile de oase mineralizate sunt mici.
Tesutul osos compact - este anizotrop. De obicei, se modeleaza ca fiind ortotropice (au elasticitati diferite in plane diferite) sau izotropice transversal. Pe directia longitudinala (de-a lungul axei osteonale) au cele mai ridicate proprietati mecanice. Modulul de elasticitate longitudinal este slab si inferior pe directie radiala si transversala. Tesutul osos compact are tensiune si rezistenta la forfecare scazuta la comprimare.
Tesutul osos spongios - tendinta curenta este ca proprietatile fizice ale acestuia sunt mai mici decat ale celor compacte. Este dificil de a testa individual fiecare tesutul osos spongios pentru a ajunge la o concluzie.
4 Proprietatile structurale ale tesuturilor tari
Proprietatile structurale includ:
Proprietatile mecanice ale tesuturilor osoase;
Densitatea structurala (sau densitatea aparenta), care este egala cu masa materialului osos pe unitatea de volum a tesutului osos (inclusiv maduva sau canalul medular).
Proprietatile structurale si fizice ale blocurilor de tesut osos compact, dentina si smaltul sunt considerate ca formeaza o structura compacta.
Proprietatile structurale si fizice ale tesutului osos spongios difera semnificativ. Astfel, proprietatile fizice sunt definite doar pentru tesutul osos spongios, in timp ce proprietatile structurale sunt definite pentru oase si maduva. Tesutul osos spongios este anizotrop, cu gradul de anizotropie variind in functie de locatia anatomica; proprietatile, in afara de densitate, sunt astfel dependente de directie. Proprietatile se modifica mult de la individ la individ si in functie de amplasarea (locatia) anatomica.
4.1 Proprietatile mecanice ale tesuturilor trabeculare
Masurand proprietatile mecanice pentru tesuturile osoase spongioase, acestea sunt:
Modulul de elasticitate al lui Young;
Rezistenta la compresiune.
Pentru tesuturile osoase spongioase, rezistenta la compresiune a fost gasita ca fiind in raport liniar cu modulul lui Young (Goldstein). Modulul lui Young, pe o directie data, poate fi in raport cu densitatea aparenta (ρa) a materialului la putere - relatie slaba de etalonare de 1 la 3 dependenta de structura trabeculara (Gibson and Ashby):
E = b + mρan
4.2 Contributia elementelor componente la structura de rezistenta a oaselor
Contributia componentelor spongioase si compacte ale tuturor oaselor la structura de rezistenta globala se modifica in functie de amplasarea anatomica. Cantitatea variabila de tesut osos spongios si compact este prezenta in orice situatie.
Tesutul osos spongios de la extremitatile oaselor se presupune ca asigura o parte substantiala din integritatea mecanica a structurii. De exemplu, in gatul femurului, rezistenta la incovoiere este redusa aproximativ cu 40% cand se indeparteaza tesutul osos spongios. In corpurile vertebrate, indepartarea de invelisul compact este determinata de reducerea rezistentei la compresiune cu cca. 10%.
In ambele cazuri, contributia tesutului osos spongios la rezistenta globala este mai mare decat ar fi proportia dintre masa si densitatea minerala.
4.3 Proprietatile vascoelastice ale oaselor
Proprietatile mecanice ale tesuturilor osoase spongioase si compacte se modifica odata cu solicitarea estimata. Modulul lui Young al tesuturilor osoase spongioase este evaluata a avea urmatoarea relatie cu viteza solicitarii:
E = Estatic(de/dt)0.06
In ceea ce priveste tesutul osos compact, s-a aratat, de asemenea, ca cedeaza la fracturi. Testele de laborator caracteristice au condus la o viteza cvasistationara a solicitarii de 0,01 la 0,001 sec-1.
4.4 Modelul vascoelastic al proprietatilor oaselor
Ranirile (caderi, accidente de masina) caracteristice implica o viteza a solicitarii de 10 sec-1. La o viteza a solicitarii mai mare, oasele au o rezistenta extrem de mare, dar fracturile au loc la o solicitare mult mai mica (figura 9).

Figura 9 Variatia tensiunii functie de deformatie a tesutului osos compact
Proprietatile vascoelastice ale oaselor sunt foarte probabil sa fie combinatii (figura 10).

Figura 10 Reprezentarea modelului vascoelasticitatii
Modelul simplificat se indreapta la al treilea element al modelului de amortizare/ elasticitate. Astfel, oasele se comporta in urmatoarele maniere (cu viteza de solicitare relativ scazuta):
initial, sufera deformatii imediate sub aplicarea unei solicitari;
deformatia va continua ca o limita asimptotica daca solicitarea continua;
cand solicitarea se indeparteaza, deformatia initiala revine (intre limitele elastice) si deformatia vascoasa suplimentara isi va reveni treptat (figura 11).

Figura 11 Variatia deformatiei functie de timp a modelului vascoelasticitatii
A) Oasele considerate ca materiale compozite - modelul 1
Oasele sunt considerate ca fiind un amestec de substanta (compus de lamele/tije) cu conditii de izosolicitare. Oasele consolideaza lamelele cu matrice de colagen si le orienteaza ca fibre de hidroxiapatita. In oasele mineralizate normal, hidroxiapatita si colagenul ocupa o cantitate egala in volum. Similar, se solidifica si osatura.
Daca componentele se supun aceleasi solicitari, atunci o parte din sarcina sustinuta de fiecare, cand fibrele sunt aliniate pe directia sarcinilor, poate fi exprimata prin sarcina totala, care este suma sarcinilor pe fiecare componenta:
Pt = Pm + Pc
s = P/A = E e
unde:
A - aria sectiunii transversale;
E - modulul de elasticitate.
Pm = AmEmem si Pc = AcEcec
em = ecPc = Pm(AcEc/AmEm)
→Pm = PtAmEm/(AmEm + AcEc ) si
Pc = PtAcEc/(AmEm + AcEc)
Acest model supraestimeaza probabil sarcina sustinuta de fibrele sau cristalele de hidroxiapatita.
B) Oasele considerate ca materiale compozite - modelul 2
In faza a doua a modelului oasele actioneaza similar unei compozitii de fibre de sticla. Acest tip de material are un modul de elasticitate intermediar la doua componente, dar o rezistenta mai mare decat oricare componenta testata separat. Fractura va avea loc declansata printr-o pocnitura (fisurare) cu cel mai mare modul de elasticitate al materialului, care este capabil sa se propage si sa treaca prin intreaga structura.
Cristalele de hidroxiapatita sunt atat de mici, incat raspandirea aleatorie a curgerii este de asemenea mica.
Cand fisurarea are loc, intra repede faze de colagen flexibile si energia este disipata in locul deformatiei la fisura propagata. Calcularea sarcinii sustinute pentru fiecare faza este foarte complicata, iar acest model face ca posibilitatea orientarilor multiple a fibrelor de colagen sau cristalelor de hidroxiapatita sa fie un amestec de substante.
5 Comportarea la oboseala a oaselor
Degradarile minore datorate oboselii au loc in oase tocmai cum are loc si la celelalte materiale, sub o sarcina ciclica. Oasele sufera incarcari ciclice pe durata vietii, cu frecventa, durata si sarcina care se modifica in timp si difera de la individ la individ.
Degradarile minore datorate oboselii reduc modulul de elasticitate al oaselor.
Castigul oaselor ca o structura in viata este acela ca ele pot repara degradarile minore inainte ca acestea sa progreseze la o fractura.
Unele procese patologice pot interactiona cu mecanismul de reparatie, care poate fi cauza cresterii producerii fracturilor. Solicitarea fracturii este dintre cele mai comune la indivizii sanatosi, in cazul cresterii de sarcina si a cresterii numarului de cicluri peste utilizarea normala si este o chestiune de ore, ca de exemplu, marsul fortat in ghete.
6 Ruperea oaselor
In general, fracturile se datoreaza unei sarcini de tractiune (intindere sau de forfecare) (figura 12).

a) b)
Figura 12 Fortele asimetrice ce actioneaza asupra femurului, producand tensiune de incovoiere (a); Fractura in spirala (b)
Exista intotdeauna un moment de incovoiere a oaselor incarcate provocand psihologic forta de compresiune si de tractiune. Fractura provocata de solicitarea la incovoiere incepe pe suprafata intinsa a osului. Ruperea are ca rezultat forfecarea fracturii in spirala a oaselor. Exceptie fac fracturile sfaramate (vertebrele). Ruperea este un rezultat succesiv al fracturilor produse prin incovoierea tesutului osos spongios si in final incovoierea invelisului compact.
Ruperile oaselor sub impact sunt, de asemenea, dependente de energia absorbita de tesutul moale inconjurator.
7 Remodelarea oaselor (teoria lui Wolf)
Osul este un tesut viu care, constant, sufera modelari si remodelari. In 1892, Wolf a prezentat prima marturie ca oasele se remodeleaza ca raspuns la fortele mecanice ce actioneaza asupra lor. Structura tesutului osos spongios al gatului femurului urmeaza traiectoria principala a efortului (figura 13). Oasele care se remodeleaza sunt dependente de solicitare.

Figura 13 Sectiune frontala la capului femurului (a); Structura reticulara (b); Structura gatuita (c)
Osul poate fi considerat "pierdut"ca rezultat al imobilizarii extinse sau a timpului in care este expus intr-un mediu fara gravitatie. Experimentele cu centrifugarea si supergravitatea pe sobolani au dus la rezultate de crestere a masei oaselor. Un os grefat, cum ar fi tibia, folosita la inlocuirea unui metacarpian, se remodeleaza asemanator cu structura osului original. Tesutul osos din zona anterioara si posterioara a femurului este slab si mai putin compact decat in zona mediana si laterala. Acesta corespunde cantitatii de sarcina a fiecarei zone la incovoierea naturala. Spre exemplu, la porci, cresterea sarcinii pe radius este mare, dupa indepartare a fost redusa treptat la nivelurile normale de o crestere radiala in diametru.
Este o continua dezbatere in doua domenii generale ale acestui fenomen:
Care este forta ce sta in spatele remodelarii?
Care este mecanismul prin care informatiile mecanice sunt transferate la celulele osului care produc remodelarea?
o Media in timp a solicitarii globale a valorii de prag actioneaza ca niste stimuli pentru remodelarea oaselor cu scopul de a mentine un nivel ideal al sarcinii in fiecare zona;
o Ruperea canelelor de comunicatie intre periosteu si osteocitele interioare duc la hipertofierea oaselor;
o Oboseala induce microfisurarea si este necesara declansarea remodelarii oricarui os, proces care duce la schimbarea masei osului;
o Cresterea vitezei solicitarii, care adesea este comparabila cu nivelele solicitarii, este un stimul inaintea cresterii degradarii osului.
o Osul este un material piezoelectric care genereaza semnale electrice ca raspuns la incarcatura mecanica; aceste semnale electrice declanseaza celulele osului in controlarea remodelarii;
o Deformatiile mecanice au ca rezultat schimbari in curgerea fluidului prin canalele osului si pori; curgerea fluidului stimuleaza celulele osului (osteocitele sau osteoblastele) astfel:
schimbarile din fluid induc tensiunea de forfecare resimtita de celule;
schimbarile presiunii hidrostatice sunt resimtite de celule;
schimbarile deformatiei celulelor sunt cauzate de curgerea fluidului peste celule;
fenomenul electrocinetic (potentialul de scurgere) produce dupa curgerea fluidului, schimbari de suprafata ale osului si celulelor osoase.
o Acest mecanism poate actiona individual sau, cel mai adesea, in cooperare pentru a induce raspunduri la remodelarea celulelor osoase
Teoriile fenomenologice generale in ceea ce priveste remodelarea oaselor sunt:
Obiectivul remodelarii osului cu schimbari in masa acestuia este de a minimiza deformarea la incovoiere a oaselor prin deplasarea in masa osului catre concavitatea creata de incovoiere (vezi figura 12).
Incarcarile ciclice necesita inducerea solicitarii osului - pentru a mentine si creste masa osului.
Numarul teoriilor despre remodelarea oaselor a fost inclus in modelele elementelor finite intr-o incercare de a vedea care produce cele mai naturale tipuri de remodelare. Este foarte posibila combinatia unui mecanism care rezulta in comportamentul remodelarii globale a osului ca un raspuns la sarcinile mecanice.
Nivelul ideal al tensiunii sau deformatiei trebuie sa aiba o pozitie dependenta care sa permita de fapt minimizarea incarcarii oaselor, cum este crestetul capului sau osul urechii interioare pentru a nu se atrofia.
In orice caz, este necesara mentinerea deformatiei osului astfel:
o Mentinerea a 1000 - 3000 de microdeformatii (e = 0,001 pana la 0,003);
o Solicitarea osului cu microdeformatii > 3000 (e > 0,003).
8 Patologia tesuturilor dure
Osul este un tesut viu si din acest motiv este predispus spre imbolnaviri. Procesul de imbolnavire poate afecta orice componenta din structura osului, astfel:
celulele - cancer osos;
fazele minerale - rahitismul;
structura osului - osteoporoza;
Multe interventii bioingineresti implica tratamente sau reparatii ca rezultat al proceselor patologice. Astfel, inlocuirile articulatiilor au loc in urma fracturarii osteoporotice, grefarile oaselor au loc in urma rezectiei tumorale, indreptarea osului la oasele curbate rezultate in urma rahitismului.
Pentru cea mai buna intampinare a nevoilor in aceasta situatie este necesar de inteles cum afecteaza patologia proprietatile variate ale interesului din punctul de vedere al biomaterialelor.
a) Osteoporoza
Osteoporoza reprezinta caracterizarea generala a rezultatelor bolilor in pierderea masei osului pe unitatea de volum (densitatea) fara a reduce proportia de minerale a fazelor organice ale osului, adica pierderea globala a osului, nu demineralizarea structurii osoase.
Osteoporoza mai poate fi definita ca pierderea osului insotita de fractura (trauma usoara).
Pierderea osului fara fractura se numeste osteopenie.
Cauza generala a osteoporozei este cresterea in proportie a resorbtiei osului.
Pierderea osoasa are loc la toti adultii dupa ce masa osului a atins valoarea maxima, in jurul varstei de 35 de ani.
Cumularea pierderii oaselor conduce la clasicarea cauzelor osteoporozei:
schimbarea hormonilor dupa menopauza la femei;
imobilizarea produce pierderea, exact ca si efectul lui Wolf;
folosirea medicamentelor pentru tratarea altor boli, cum ar fi prelungirea utilizarii steroizilor antiinflamatori.
Initial, afectat este tesutul osos spongios, urmat de tesutul osos compact. Este o boala globala, afectand toate oasele si are ca rezultat pierderea preferentiala a trabeculelor in regiuni diferite.
Efectele structurale asupra tesutului osos spongios - vertebrele:
Conectarea lonjeroanelor orizontale perforate si resorbite (figura 14); odata cu remodelarea osului rezulta deconectarea completa a trabeculului, nu se naste nici o sarcina, de aceea lonjeronul si trabeculul sunt resorbite, dupa cum arata Wolf;

Figura 14 Structura tridimensionala a tesutului osos spongios
Astfel, numarul de lonjeroane orizontale se reduce, matricea trabeculara este compusa dintr-un volum mare al axelor lungi, subtiri, care foarte probabil se curbeaza prin compresiune, care este scurtata de existenta legaturii lonjeroanelor;
Tesuturile osoase spongioase slabesc si multe sarcini se nasc in invelisul compact.
Efectul structural asupra tesutului osos spongios - femurul:
Prelungirea pierderii trabeculelor de catre/din benzile de tractiune si compresiune, care pot fi utilizate ca un studiu progresiv pentru osteoporoza (figura 15);

Figura 15 Evolutia osteoporozei de la faza incipienta la faza finala in femur
Cand trabeculele s-au pierdut, rezistenta globala a gatului femurului se reduce.
Fracturile caracteristice au loc in regiunile inalte ale trabeculelor, cum ar fi: coloana vertebrala, gatul femurului, incheietura mainii.
La barbati, unele compensatii geometrice legate de varsta se inrudesc cu pierderea oaselor astfel:
Aria sectiunii transversale a coloanei vertebrale creste odata cu varsta si contracareaza pierderea rezistentei materialului;
Integritatea structurala este maximizata de calitatea oaselor disponibile.
Important de retinut: in osteoporoza, oasele se pierd, dar ce ramane este normal.
b) Rahitismul si osteomaladia
Rahitismul este termenul pentru boala care apare la copii, iar osteomaladia este termenul pentru boala care apare la adulti. Boala apare cand mineralizarea matricei organice a scheletului este incompleta, adica deteriorata. In general, este cauzata de problema metabolismului cu calciul sau vitamina D sau de o anumita toxicitate.
Adesea, este insotita de pierderea tesutului osos spongios si de fluidificarea (diluarea) celui compact. Fracturile au loc odata cu suprimarea sarcinilor si sunt netraumatizante.
c) Osteopetrificarea
Se mai numeste si "boala de marmura a oaselor". Se caracterizeaza printr-un defect genetic in resorbtia oaselor, rezultand o densitate ridicata, care dezorganizeaza osul.
Efectele asupra proprietatilor oaselor sunt:
"Tubulatia" oaselor lungi sau dezvoltarea cavitatii medulare care, adesea, intarzie sau este absenta;
Regiunea tesutului osos compact se ingroasa si distinctia dintre tesutul osos compact si cel spongios adesea nu mai poate fi facuta;
Sunt prezente multe arii ale cresterii densitatii oaselor;
Fracturile se produc foarte usor, exact in structura dezorganizata a tesutului osos.
d) Osteosarcomul
In cazul osteosarcomului, osul este treptat inlocuit de tumoarea celulelor, care poate fi partial calcifiata, avand o dezorganizare generala.
Efectele aupra proprietatilor oaselor sunt:
Ariile afectate de tumoare vor reduce mult proprietatile mecanice;
Tumorile pot penetra complet regiunea tesutului osos compact a oaselor afectate si invada tesutul moale cu numai un invelis subtire periostal, separand tumoarea si inconjurand tesutul;
Fracturile vor avea loc la un nivel minim si la timpul zero trauma este doar in pozitia tumorii.
e) Boala gromului sau boala lui Paget
Este cauzata de cresterea de 10 pana la 100 ori a remodelarii oaselor prin resorbtie si solicitare. Rezulta astfel o structura de o calitate slaba:
aranjarea "salbatica" a trabeculelor;
are loc dezorganizarea lamelelor si a tesuturilor primitive ale oaselor in regiunea tesutului osos compact.
Gromul poate fi inchis intr-un singur os in organism, rezultand dureri, pierderea functiei osului si fractura.
Rahitismul - curburile rezultate ale oaselor moi sunt, in general, contrarii cu inclinarile spuse de Wolf: curburile vor determina o crestere a sarcinilor competente ale oaselor si ale incheieturilor. Interventiile corective pot avea loc dupa ce tratamentul de revenire la normal a nivelului de mineralizare al oaselor a fost aplicat cu succes: corectand curburile, oasele vor fi normale.
Osteosarcomul - dupa rezectia tumorii, fara ca membrul respectiv sa fie amputat si dupa executia unei grefari a osului, este important ca grefarea materialului sa se stabileasca singura atata timp cat osul este viu, mentinandu-si comenzile pentru rezistenta mecanica si trebuie sa devina parte integrala a structurii inconjuratoare.
9 Metode de incercare a oaselor
Cele mai precise metode de incercare solicita vidul (pentru taierea/extiparea osului). In aceste cazuri, incercarile mecanice directe se fac astfel:
Incercarea la tractiune - este folosita la oasele corticale si in rare cazuri pentru oasele trabeculare individuale si a tesutului trabecular;
Incercarea la compresiune - se foloseste la toate oasele intregi, la oasele corticale si predomina metoda verificarii tesutului;
Incercarea la torsiune - se foloseste pentru a simula fracturile elicoidale/in spirala ale oaselor intregi si verificarea oaselor corticale;
Incercarea la incovoiere - se foloseste la oasele intregi si anumite oase corticale.
Aceste incercari implica masurarea directa a densitatii, precum si masurarea histologica a structurii prin implantarea in os si sectionarea lui, iar pentru a reda imaginea de la suprafata osului se folosesc: microscopul electronic cu baleiaj si microscopul optic (pentru structurile trabeculare).
9.1 Incercarile mecanice in vitro ale oaselor
Incercarile se pot folosi pentru a determina:
a) Proprietatile structurale ale:
oaselor intregi;
tesuturilor corticale;
tesuturilor trabeculare.
b)Proprietatile fizice ale:
oaselor corticale;
oaselor trabeculare.
In toate cazurile, masuratorile se expima prin:
rezistenta;
modulul de elasticitate;
energia absorbita;
proprietatile de oboseala.
In timp ce masuratorile in vitro (in vid) ale oaselor asigura cele mai precise rezultate, conditiile incercarilor trebuie sa fie luate in considerare cu grija, cu erori minime.
Spre deosebire de ingineria traditionala a materialelor, surplusul de oase este limitat si marimea esantioanelor de oase este dictata de anatomie.
Alegerea marimi esantioanelor de tesuturi este destul de larga pentru a asigura aplicarea continua a principiilor astfel incat proprietatile reale ale tesuturilor sunt delimitate.
Efectele asupra marimii esantioanelor si a configuratiilor lor sunt:
Normele ASTM au intocmit standardele pentru incercarile la tractiune (intindere), compresiune, torsiune, incovoiere (deformare) pentru diferite marimi;
Adesea, este dificil, dar nu imposibil de a obtine tipuri de oase corticale sau trabeculare care indeplinesc aceste criterii;
Oasele intregi au forme neregulate si complica calculele din standardele de incercare. De exemplu, pentru oasele intregi incarcate la compresiune, se utilizeaza aria sectiunii transversale a esantionului. Oasele curbate natural au calcule mai complicate pentru analiza incercarilor de incovoiere.
Efectul asupra tipurilor de marimi a fost cel mai temeinic examinat pe oasele trabeculare sub o forta de compresiune. Astfel, esantioanele scurte au fost gasite ca produc reducerea valorilor rigiditatii cand sunt incercate. Oasele trabeculare, ca celelalte celule solide, nu au suportat pana la sfarsit suprafata esantionului (figura 16). Deformatia de la sfarsit, sub o sarcina, va rezulta, cu o supraestimare a deformatiei pentru forta data, rezultand o subestimare a rigiditatii. Lungimea cea mai buna a proportiei esantionului a ocupat, la sfarsit, cea mai buna subestimare a rigiditatii esantionului.

Figura 16 Efectul incercarilor asupra oaselor trabeculare
Cresterea ariei sectiunii transversale a esantionului este in raport puternic cu cresterea masurata a rigiditatii materialului. Frecarea este indusa cand osul incearca sa se dilate lateral, ca un raspuns la forta de compresiune. Rezultatele frecarii cu o solicitare neomogena a esantionului, cu cea mai buna solicitare la sfarsitul suprafetei, decat in regiunea centrala a probei. Aceasta solicitare neomogena are rezultate de supraestimare a modulului de elasticitate.
Marimea esantionului de os trabecular caracteristica este de 510 mm (lungimea muchiei cubului, diametrul cilindrului). Teoretic, aspectul ideal al raportului pentru esantioanele de oase supuse compresiunii este de 2:1 pentru a minimiza inceputul si sfarsitul frecarii.
Efectele asupra coeficientului sarcinii sunt relevante asupra structurii vascoelastice a osului, unde coeficientul de sarcina va avea un impact in masurarea modulului de elasticitate, a rezistentei, care au tendinte de crestere odata cu cresterea coeficientului sarcinii in os, in oasele trabeculare raportul sarcinii se exprima prin ecuatia:
E = C(de/dt)0.06
(Rezultatele incercarilor statice conduse in laborator nu pot fi direct aplicate aupra situatiilor de soc ca in cazul caderilor sau accidentelor de masina.)
Rezultatele incercarilor statice au aplicabilitate mai mare in evaluarea fracturilor netraumatice si a situatiilor aplicarii sarcinilor.
Metodele ultrasonice pentru estimarea proprietatilor mecanice pot fi folosite pentru a arata masurile proprietatilor dinamice ale coeficientului sarcinii asociat cu aceste tehnici (frecventa caracteristica este de 501000 kHz).
Fixarea tesutului osos in forma liniara a fost demonstrat ca provoaca reduceri semnificative a rezistentei la compresiune a oaselor peste tesutul nestabilizat, dar are un efect mic asupra masurilor modulului lui Young.
Conservarea esantioanelor de oase se face fie inghetandu-le (la -20 oC), fie depozitandu-le in solutie de etanol - sare, produce degradari nesemnificative ale proprietatilor mecanice intr-o perioada de timp rezonabila. Etanolul are rezultate asupra unelor deshidratari, asa ca esantioanele trebuie rehidratate in solutie de sare, avand prioritate cand se efectuaza incercarile.
Efectul incercarilor asupra oaselor deshidratate (figura 17) are consecinte de maniera urmatoare:
Retentia maduvei in oasele trabeculare poate reduce efectul de deshidratare provocat de aerul din mediul ambiant si mentine proprietatile mecanice pentru o lunga perioada de timp.
Capacitatea rehidratarii a unei repuneri in functiune totale ale proprietatilor oaselor complet deshidratate este necunoscuta.

Figura 17 Comparatia curbelor de tensiune si deformatie obtinute prin incercarea oaselor umede si uscate
A) Incercarile de densitate in vitro (in vid)
Sunt patru tipuri de masuratori pentru densitate care pot fi aplicate tesuturilor osoase (particularizate pe oasele trabeculare):
Densitatea efectiva ρ - reprezinta masa tesutului (incluzand toate componentele) pe unitatea de volum a tesutului;
Densitatea aparenta ρa - reprezinta masa osului doar pe unitatea de volum a tesutului;
Densitatea reala ρr - reprezinta masa osului pe unitatea de volum, exluzand spatiul poros;
Densitatea cenusii ρm - reprezinta masa componentelor minerale ale osului pe unitatea de volum a tesutului (sau volumul osului).
Relatiile dintre masurile densitatii pentru oasele corticale si trabeculare sunt:
Pentru oasele corticale:
ρa vs.
ρr vs.
ρm vs. ρr
ρm vs. ρa
Pentru oasele trabeculare:
ρa vs.
ρr vs. ρ
ρm rs. ρr
ρm vs. ρa
B) Incercarile structurale in vitro
De obicei, conduc la implantarea (intrepatrunderea) esantionului si sectionarea pe suprafata imaginii (figura 18).

Figura 18 Sectiune a osului trabecular - calcaneul
Masuratorile caracteristice sunt.
Prozitatea:
oaselor corticale sau trabeculare;
procentul de volum al spatiului poros (sau procentul ariei);
volumul (aria) fracturii osului = 1 - porozitatea.
Valoarea medie a zonei de separatie a placilor trabeculare (MTPS - Mean Trabecular Plate Separation):
valoarea medie a lungimii segmentului ce intersecteaza spatiul maduvei;
poate fi masurata fie pe o directie specificata (de exemplu: perpendicular pe orientarea preferata de trabecule), fie ca o valoare medie generala a tuturor unghiurilor posibile.
Valoarea medie a grosimii placilor trabeculare (MTPT - Mean Trabecular Plate Thickness):
valoarea medie a grosimii trabeculelor;
se poate determina folosind metoda liniei taiate sau masurile ariei si perimetrului osului:
MTPT = Aria/(1/2Perimetrul)
Tesutul conjunctiv sau scheletul:
Masura cantitativa a interconexiunii trabeculelor in tesuturi;
Poate fi determinat de o elipsa, un tensor sau un singur numar;
Exista cai multiple de masurare.
9.2 Incercarile oaselor in vivo
Unele metode in vitro au fost explicate pentru evaluarea proprietatilor oaselor si au doua scopuri generale:
Obtinerea masurilor reale ale proprietatilor prin punerea problemei;
Estimarea riscului fracturii sau a conditiilor indirecte ale oaselor.
Masurarile se pot face asupra densitatii si asupra structurii.
A) Incercarile de densitate
Prima metoda se face prin absorbirea de doua raze X (DEXA - Dual X-ray Absorptiometry). Aceasta metoda asigura masurarea densitatii ariei de-a lungul osului incluzand cele doua componente corticala si trabeculara (figura 19). Se poate masura pe orice locatie anatomica, dar implica anumite doze de radiatii. Se aplica, cu precadere, la riscul de fracturare al soldului si sirei spinarii. Masurarile densitatii se folosesc la estimarea modulului lui Young sau a rezistentei.

Figura 19 Schema masuratorilor absorbtiei unui singur foton
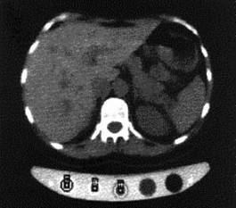
Tomografia computerizata cantitativa (QCT - Quantitative Computed Tomography) permite sectionarea osului de catre computer si selectarea regiunii ce prezinta interes (ROI's - regions of interest), in timp ce se determina densitatea (figura 20). Prevede masurarea densitatii volumetrice reale (stiindu-se aria regiunii de interes si grosimea bucatii). Se foloseste "fantoma" densitatii stiute pentru a calibra imaginea in nuante de gri. Masurile caracteristice se fac in sira spinarii sau in sold. Metoda implica o anumita doza de radiatii si se utilizeaza pentru a se distinge pacientii normali de cei osteoporotici.

Figura 20 Imaginea sirei spinarii prin QCT
B) Incercarile structurale
Biopsia trabecularelor - de obicei, sunt indepartate de catre creasta iliaca (pelvis) (figura 21) si se permite luarea de esanioane mici pentru masuratori directe ale structurii trabeculare in aceasta zona. De asemenea, sunt permise studii histologice (celulare) pentru a determina natura (structura) exacta a bolii. Agresivitatea tehnicii mareste riscul de infectii. Esantioanele mici pot sa nu reflecte complet statutul structurii osului, mai precis neomogenitatea osului trabecular.

Figura 21 Schema biopsiei osului transiliac
Aplatizarea cu raze X se foloseste pentru a determina geometria globala si in unele cazuri structura generala a trabeculelor. Masurile grosimii corticale in unele zone au fost folosite pentru a deosebi pacientii normali de cei osteoporotici. Adesea, problema controlului calitatii in comparatia cantitativa se regaseste in radiografii diferite, cauzate de efectul asupra sursei de raze X; tehnica developarii, iar expunerea implica o doza substantiala de radiatii.
Tomografia computerizata cantitativa (QCT - Quantitative Computed Tomography) poate fi folosita pentru a determina geometria globala a oaselor in trei dimensiuni folosind scanarea (explorarea) adiacenta a acestora. Rezolutia ridicata a scanarii poate reflecta imaginea structurii trabeculare - experimentele curente s-au putut face cu o rezolutie suficienta doar pentru regiuni mici ale osului. Implica o doza substantiala de radiatii.
Redarea imaginii prin rezonanta magnetica (MRI - Magnetic Resonance Imaging) permite sectionarea osului si selectia regiunii ce prezinta interes (ROI). Masuratorile de baza se fac in raport cu geometria spatiala si densitatea retelei trabeculare. Incercarile cu rezolutii ridicate permit redarea imaginii trabeculelor individuale pentru masuratorile structurale - microscopul NMR. Radiatiile nu sunt ionice.
Atenuarea cu ulrasunete - a fost aratat raportul dintre parametrii structurali ai oaselor trabeculare - datele empirice, cantitatea teoretica nu a fost stabilita. Masuratorile din calcai (calcaneu) s-au folosit pentru estimarea schimbarilor structurale in alte regiuni trabeculare. Metoda se foloseste pentru deosebirea dintre pacientii osteoporotici si cei normali; oasele osteoporotice au o atenuare mai slaba decat cele sanatoase. Expunerea este fara radiatii ionice si s-a experimentat recent.
C) Incercarile mecanice
De obicei, se estimeaza prin masurarea densitatii osului si se bazeaza pe relatia dintre modulul lui Young si densitate:
E = b + mρn
Metoda masuratorilor cu ultasunete - modulul lui Young si rezistenta oaselor trabeculare au fost gasite in raport cu masurarea vitezei prin ultrasunete si atenuare. Comparatia reala a vitezei (c) si modulului lui Young (constanta elastica ototropica Cii) de-a lungul ecuatiei de control a esantioanelor in vitro:
Cii = p cii
Relatiile empirice au fost gasite intre masuratorile cu ultrasunete in vivo (viteza si atenuarea, separate sau combinate) si modulul lui Young in oasele trabeculare.
|
Politica de confidentialitate | Termeni si conditii de utilizare |
Vizualizari: 5522
Importanta: ![]()
Termeni si conditii de utilizare | Contact
© SCRIGROUP 2025 . All rights reserved