| CATEGORII DOCUMENTE |
| Alimentatie nutritie | Asistenta sociala | Cosmetica frumusete | Logopedie | Retete culinare | Sport |
Sarcina Multipla
Definitie: dezvoltarea simultana a doi sau mai multi feti in cavitatea uterina (gemelari, tripleti, etc.).
Sarcina gemelara are o frecventa de 1 la 85 de nasteri.
Poate fi:
dizigotica (75%) - rezulta in urma fecundarii a doua ovule distincte (fenomenul de poliovulatie simultana) de catre doi spermatozoizi diferiti.
monozigotica (25%) - apare in urma fecundarii unui singur ovul de catre un singur spermatozoid.
Dizigotismul: 2 saci amniotici si doua placente. Uneori masa placentara pare unica, voluminoasa. Fata fetala a placentei prezinta un sept despartitor si abesnta anastomozelor vasculare intre cele doua circulatii. Peretele care separa cele doua cavitati amniotice este format din 4 membrane, doua amniotice si doua choriale. Sarcina gemelara dizigotica este intotdeauna biamniotica si bichoriala.fig nr 35 a
Monozigotismul: diviziunea ovulului fecundat, in diverse momente precoce ale dezvoltarii sale, determina 4 varietati anatomoclinice de sarcina gemelara monozigotica.
Fig. 35 c. diviziunea apare in primele 72 ore de la fecundatie, rezulta o sarcina gemelara monozigotica dichorionica, diamniotica.
Fig.35 d. diviziunea intre a 4-a si a 8-a zi din momentul fecundatiei, rezulta o sarcina gemelara monozigotica, monochoriala, biamniotica. Exista o singura placenta, doua cavitati amniotice.
Fig. 35 e. Daca diviziunea oului are loc dupa a opta zi de la fecundatie, apare sarcina gemelara monozigotica monochoriala si monoamniotica.
Daca diviziunea se produce dupa 14 zile din momentul fecundatiei, in stadiul de disc embrionar, clivarea acestuia este incompleta, rezultand gemeni malformati sau conjugati.

Fig. nr.35.Chorionicitatea si amnionicitatea sarcinii gemelare ( adaptat dupa Sadler [6])
Semnele sugestive ecografice pentru diferentierea sarcinii dichorionice de cea monochorionica se obtin optim la 10 - 14 saptamani.
Semnul lambda: triunghi ecogenic localizat la locul fuziunii a doua placente, cu varful proiectat intre cei doi saci amniotici.[1,2,3,4]
"Half twin peak" - descris de Wood: Doua placentatii evidente, separate, asociate cu un triunghi mai slab schitat si "retezat".[4]
Semnul "T": sarcinile fara semnele descrise mai sus, dar cu o membrana despartitoare in forma de "T" la intalnirea cu placentatia.[1,4]
Sarcina dichorionica se caracterizeaza prin doua placente si membrane despartitoare (half twin peak) sau evidentierea unei placente cu o membrana despartitoare plus semnul "l
Sarcina monochorionica - diamniotica se caracterizeaza prin evidentierea unei placente si a unei membrane despartitoare plus semnul "T".
Sarcina monochorionica - monoamniotica - se evidentiaza o singura placenta cu o singura cavitate amniotica, fara membrana despartitoare sau semnul "T".[4]
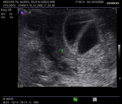
Fig nr 36 Sarcina gemelara biamniotica, 6 sapt, cu 2
saci amniotici si 2 embrioni (cu sageata )

Fig nr 37. Aceeasi sarcina gemelara de 6 sapt., sectiune fara embrioni,cu sacii amniotici caracteristic dispusi in ochi de bufnita

![]()
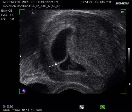
Fig nr 38. Sarcina biamniotica bichoriala 6 sapt . dupa
inseminare intrauterina cu stimulare ovariana, cele doua sageti marcheaza zona
de nidatie, respectiv placentatie, iar sacii amniotici sunt evident separati,
cu cate un embrion
Fig nr 39
Prezinta aceeasi sarcina biamniotica bichoriala,ca in figura precedenta, cu
semnul lambda marcat cu sageata

![]()
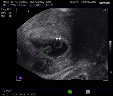
Fig nr 40 .
Sarcina 5 sapt monoamniotica, cu doua vezicule viteline si un embrion (cu o
sageata ). Vezicula vitelina normala ca marime ( cu linie ) apartine embrionului vizibil. Vezicula
vitelina anormal de mare ( cu doua sageti ) si fara embrion indica o sarcina
gemelara , cu lipsa dezvoltarii unui
embrion

Fig nr 41 Sarcina 12 sapt. biamniotica bichoriala, cu doua placentatii pe peretele anterior, respectiv posterior uterin ( cate o sageata ).Cele doua sageti alaturate indica semnul descris de Wood ca half twin peak

Fig nr 42 Sarcina
12 sapt. biamniotica bichoriala, semnul lambda ( cu sageata )

![]()
Fig nr 43 Cu sageata , semnul lambda la o sarcina de 9 sapt.
Fig nr 44
Semnul T la o sarcina biamniotica
monochoriala de 13 sapt
(marcat cu sageata )

![]()
![]()
Fig nr 45.
Aceeasi pacienta ca in figura precedenta, se observa alaturi de semnul T ( o
sageata ) , lipsa de acolare a membranelor ( doua sageti )
![]()
![]()
![]()
![]()
Fig.nr 46 . Separatie
placentara (trei sageti) in continuarea membranei despartitoare amniotice (cu o
sageata) , cu semnal Doppler la ambele placentatii
Dg. diferential:
Sarcina unica cu hematom intrauterin adiacent ,trebuie diferentiata de sarcina gemelara. Doua arii hipoecogene, adiacente, intrauterine, nu inseamna totdeauna sarcina gemelara.
Sarcina gemelara, cu doi saci amniotici, cu oprirea in evolutie si resorbtia unui embrion - wanishing twin, trebuie recunoscuta, in opozitie cu sarcina unica cu hematom subchorial.
Anomalii decelabile la sarcina gemelara:
Trim I
A. - anomalii grosiere
diferente mari intre sacii gestationali prevestesc oprirea in evolutie
gemeni conjugati
anencefalia
omfalocelul
B. - anomalii cromozomiale
diferente de crestere intre feti
edemul nuchal poate fi nu numai semn pentru anomalii cromozomiale ci si pentru o anomalie cardiaca sau chiar pentru sindrom transfuzor - transfuzat.
Trim II
Cresterea discordanta a celor doi feti trebuie investigata comparativ prin Doppler, in prezenta unei singure placente, retardul de crestere intrauterina se datoreaza sindromului transfuzor- transfuzat. In prezenta a doua placente, cauza posibila ar fi infarctele sau decolarile placentare limitate sau o placenta de la inceput mai mica.
Sindromul transfuzor- transfuzat :
de obicei la sarcina monochorionica, diamniotica
diferenta de greutate estimata intre feti e mai mare de 20% (o diferenta de peste 20 mm la circumferinta abdominala)[4]
un fat are vezica urinara destinsa si polihidramnios, iar al doilea are o vezica mica sau neevidentiabila si oligohidramnios.
Cordonul ombilical este mult mai mare la fatul acceptor decat la cel donor.
Insuficienta cardiaca si hidrops. Incarcarea volemica duce la hipertrofie cardiaca, insuficienta cardiaca si ulterior hidrops. La fatul hipovolemic scaderea intoarcerii venoase duce la insuficienta cardiaca.
Aspectul de fat "strivit de perete" - polihidramniosul masiv impinge fatul donor catre peretele uterin prin membrana subtire despartitoare.
Indicele Doppler S/D va arata diferente de peste 0,4 intre cei doi feti in arterele ombilicale ; e posibila uneori identificarea anastomozelor vasculare in placa choriala.

Fig.nr.47Dezvoltarea sindromului transfuzor -transfuzat schematic, adaptat dupa Plath si Hansmann[5]
Geaman donor Geaman receptor
![]()
Hipovolemie Hipervolemie
Hipotensiune, Hipertensiune
![]()
Scaderea intoarcerii
venoase Cresterea intoarcerii venoase
Retardarea cresterii,
anemie Hipertrofie miocardica, fat pletoric
![]()
Insuficienta cardiaca Insuficienta cardiaca
![]()
![]()
![]()
Hidrops Hidrops
Moarte intrauterina Moarte intrauterina
Fig.nr.48 Fiziopatologia sindromului transfuzor-transfuzat , adaptat dupa Merz[4]

Fig nr 49. Sarcina 19 sapt. ,cu tripleti , biamniotica bichoriala, cu sindrom transfuzor transfuzat la fetii monoamniotici, cu retard de crestere intrauterina si cordon ombilical cu diam . pe jumatate la transfuzor ( intre cele doua calipere ) fata de transfuzat ( fig urmatoare )

Fig nr 50. Cordonul ombilical al fatului transfuzat , dublu fata de cel al transfuzorului, in diametru ( intre calipere )
Parametrii ecografici importanti de evaluat la sarcina multipla
Trim I :
detectarea tuturor embrionilor
determinarea varstei gestationale
compararea marimii embrionare (CRL)
detectarea anomaliilor grosiere
determinarea amnionicitatii si chorionicitatii
detectarea vanishing twin
Trim II:
biometria
detectarea anomaliilor
evaluarea cantitatii de lichid amniotic
recunoasterea sindromului transfuzor - transfuzat
examenul Doppler la gemeni monochorionici sau la cresterea discordanta fetala, este obligatoriu
Trim III :
biometria
cantitatea de lichid amniotic
pozitia fetala
pozitia placentei
La nastere :
pozitia fetala
pozitia celui de-al doilea fat intrauterin, dupa nasterea vaginala a primului
Dupa 20 saptamni se recomanda urmarirea la cca 3 sapt interval in sarcina diamniotica - dichorionica si la 2 saptamani pentru sarcina monochorionica-diamniotica.[1,3,4]
Bibliografie
Callen P.W., Ultrasonography in Obstetrics and Gynecology , Fifth Edition , Saunders Elsevier 2008, pag 266 - 296 .
Kurjak A., Bajo Arenas J., Donald School Textbook of Transvaginal Sonography, Jaypee Brothers Medical Publisher 2005, pag. 195-216.
Kurjak A., Chervenak F. A., Donaid School Textbook of Ultrasound in Obstetrics and Gynecology , Jaypee Brothers Medical Publisher, 2004, pag 365-371.
Merz E., Ultrasound in Obstetrics and Gynecology, Second Edition , Georg Thieme Verlag 2005 , vol 1 pag 416-435
Plath H., Hansmann M, Diagnostik und Therapie zwillingsspezifischer Anomalien. Gynkologe 31( 1998) 229 -244
Sadler, T. W., Medizinische Embriologie.9.Aufl.Stuttgart : Thieme 1998
|
Politica de confidentialitate | Termeni si conditii de utilizare |
Vizualizari: 10316
Importanta: ![]()
Termeni si conditii de utilizare | Contact
© SCRIGROUP 2025 . All rights reserved