| CATEGORII DOCUMENTE |
| Alimentatie nutritie | Asistenta sociala | Cosmetica frumusete | Logopedie | Retete culinare | Sport |
Sarcina ectopicA
Incidenta globala 1 pana la 2,5%, [4]
Etiologie - cresterea prevalentei infectiilor pelvine, folosirea IUD, tratamentele pentru fertilitate.
Localizare : peste 90% din sarcinile ectopice sunt tubare
Fig.nr 51. Sarcina ectopica : localizare (adaptat dupa Breen [2])
Diagnostic : marea majoritate a sarcinilor ectopice se pun in evidenta prin ecografie transvaginala, dar acest lucru depinde mult de experienta examinatorului.
De multe ori nu poate fi diagnosticata o sarcina extrauterina la prima examinare, necesitand a doua sau a treia examinare.
Sarcina ectopica ar trebui suspectata daca nivelul seric al bHCG e mai mare de 300 mIU/ml si nu se gaseste un sac gestational intrauterin[4].Testele urinare de sarcina au valoare relativa si eventual orientativa .
Implicatiile diagnosticului precoce : scade riscurile materne si creste sansa unui tratament conservativ, mai ales in ceea ce priveste prezervarea trompei uterine.[3,5]
Semne directe ecografice
inel trofoblastic cu o cavitate centrala hipoecogena si un embrion (nu depaseste 53% din cazuri aceasta imagine), 30% prezinta sacul lui Yolk, cca 24-27% prezinta si embrion cu activitate cardiaca[4]


Fig nr 52
Langa ovarul drept ( cu sageata lunga ) se observa o formatiune ovalara cu ecou
hipoecogen central, sarcina extrauterina la 5 sapt. si 3 zile de amenoree ( doua sageti )

![]()
Fig nr 53 Aceeasi sarcina extrauterina ca in figura precedenta, se evidentiaza coroana trofoblastica la ecoul doppler color si se schiteaza vezicula vitelina ( cu sageata )

Fig nr 54 In sacul gestational ectopic se evidentiaza vezicula vitelina, ecou discret hiperecogen rotund
Fig nr 55 Langa ovarul stang, o formatiune ovalara ( intre calipere ) de 18 mm, cu ecou hipoecogenic central, la 6 sapt.de amnoree

![]()
Fig nr56 Aceeasi
pacienta,ca in figura precedenta, la
aproape 8 sapt de amenoree, retrouterin cu o formatiune inomogena ( cu sageata
), care intraoperator se dovedeste o sarcina extrauterina necomplicata
pavilionara tubara stg.

Fig nr 57 La exam. Doppler color, formatiunea retrouterina, cu ecou hipoecogen central, are o buna vascularizatie ( aceeasi sarcina tubara pavilionara ca in fig. precedenta )

![]()
Fig nr58
Sac ovular intratubar ampular ( dg. complet doar laparoscopic, aici cu sageata ) cu imagine
caracteristica de coroana trofoblastica bine vascularizata la exam doppler
color . Alaturi se remarca ovarul drept cu corp galben, tot cu ecou hipoecogen
central ( marcat cu doua sageti )

Fig nr 59 Aceeasi sarcina ca in figura precedenta, in sacul ovular marcat cu o linie, se distinge clar sacul lui Yolk, alaturi de corpul galben ovarian drept
Fig nr 60 Sarcina extrauterina tubara (ampulara , dg intraoperator) cu embrion evident de cca 6 sapt( intre calipere)
![]()
Fig nr 61 La
exam doppler color, embionul din sacul extrauterin are activitate cardiaca ( cu
sageata )
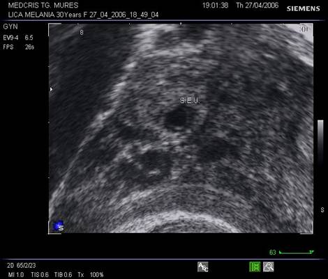
Fig nr 62 Sectiune transversala la nivel corpului uterin , la ecografia transvaginala. Parauterin, in trompa stg., se evidentiaza o formatiune inomogena cu ecou hipoecogen relativ central

![]()
Fig nr 63
Aceeasi sarcina extrauterina oprita in evolutie ca in fig precedenta, marita cu
zoom. Se observa ( cu sageata ) un
embrion pe cale de liza ,situat decliv in sacul gestational .

Fig nr 64.
Endometru ingrosat (marcat cu sageata, de fapt decidualizat ) fara sac gestational intrauterin, la pacienta cu
embrion cu activitate cardiaca situat intratubar.
Semne indirecte ecografice
uter marit in volum (globulos) cu :
a. endometru cu diametru mare
b. sac pseudogestational central
c. lichid liber in sacul lui Douglas (eventual hematom retrouterin)la sarcina complicata cu hemoragie interna
d. formatiune anexiala cu margini neregulate si inomogena (hematom peritubar, tot dupa sangerare intraperitoneala). [1,3,4,5]
Sarcina tubara
Sarcina tubara intacta si la debut
daca implantatia are loc in segmentul proximal, sarcina se va regasi aproape de uter; sectiunea transversala a corpului uterin va putea fi alaturata de o formatiune evidenta eco cu suspiciunea de sarcina ectopica
daca implantatia va avea loc in celelalte zone ale trompei, formatiunea susceptibila de a fi sarcina ectopica va fi aproape de ovar sau situata in Douglas.
cateodata un corp galben cu zona rotunda inelara, hipoecogena in structura sa imita sarcina ectopica cu localizare ovariana (dg. diferential) [4,5]
Avortul tubar
formatiune parauterina cu hematom peritubar, partial inomogen, partial anecogen, ascunde de multe ori inelul trofoblastic ectopic. Diagnosticul diferential trebuie facut cu corpul galben chistic, chistul endometriozic, anse intestinale destinse, cazuri rare de abces tuboovarian.
Ruptura tubara:
clinic are semne de abdomen acut si mult lichid liber anecogen in fundul de sac Douglas.
Daca sangerarea este proaspata, retrouterin apare doar o zona hipoecogena, eventual cu fine ecouri interne. Daca ruptura este mai veche, cu organizarea unui hematom, apar si zone hiperecogene si inomogene. Cand hemoragia interna este mai mare, ecografia abdominala va evidentia lichid liber si paraombilical sau supraombilical.
Forme rare de sarcina ectopica:
interstitiala: sacul gestational localizat in miometru este greu de diferentiat de sarcina incipienta intrauterina sau de cea intr-un corn uterin la uterul bicorn. Se complica cu hemoragie interna masiva.
cervicala (sub 1% din sarcinile ectopice[4]). Uter normal, endometru cu diametru marit (ingrosat) si in zona cervicala apare inel trofoblastic evident la Doppler color. Tratamentul aplicat in aceste cazuri este Methotrexatul, chiuretajul cervical fiind apoi asociat cu hemoragie mai redusa.
ovariana (intre 1-6% din toate sarcinile ectopice[4]). Rezulta de obicei din fertilizarea unui ovul in folicul de Graaf la care nu s-a produs ovulatia sau prin implant secundar langa locul ovulatiei. Se identifica prin demonstrarea unui inel trofoblastic in regiunea ovariana eventual cu embrion sau sac Yolk. Diagnosticul diferential se face cu corpul galben.
abdominala: implantatia se poate produce oriunde in cavitatea abdominala si au fost descrise sarcini in ficat, diafragm, splina, pe mezenter, peretele abdominal anterior sau peritoneal in apropierea uterului. Diagnosticul sarcinii abdominale este dificil prin ecografie transvaginala. Poate fi diagnosticat astfel doar in localizarea pelvina, cand un uter "gol" cu endometru ingrosat si anexe aparent normale, se gasesc alaturi de un inel trofoblastic anecogen. [1]
Diagnostic diferential Sarcina abdominala avansata va fi foarte greu de distins de sarcina intrauterina, doar un extrem de subtire perete uterin, in special in aria placentara, va sugera o sarcina ectopica. Ecografia intravaginala va arata un uter normal, impins in pelvis.
Tratamentul sarcinii ectopice incipiente , medicamentos, dupa diagnostic precoce ecografic transvaginal s-a practicat cu Methotrexat, prostaglandine, solutie hiperosmolara de glucoza, NaCl si Mifepristone (RU-486).
Instilatia transvaginala de Methotrexat in sacul gestational ectopic este mai avantajoasa decat administrarea sistemica, in special datorita dozelor mult scazute (10 mg). Tratamentul este fezabil, doar cand sacul ectopic a fost identificat. Cele mai bune rezultate s-au obtinut la instilatia cu Methotrexat a sacului gestational cu diametrul trofoblastic sub 1,5 cm.[4]
Bibliografie
Badea R.I.,Dudea S. M., Mircea P. A.,Stamatian F.,Tratat de Ultrasonografie Clinica, Editura Medicala - Bucuresti 2000, pag 588-589
Breen J.L., A 21 year survey of 654 ectopic pregnancies . Am. J. Obst. Gynecol.106 ( 1970) 1004 - 1016.
Kurjak A., Bajo Arenas J., Donald School Textbook of Transvaginal Sonography, Jaypee Brothers Medical Publisher 2005, pag. 272-288.
Merz E., Ultrasound in Obstetrics and Gynecology, Second Edition , Georg Thieme Verlag 2005 , vol 1 pag 73-75
Rumack C. M. , Wilson S.R., Charboneau W., Johnson J.A.M.,Diagnostic Ultrasound, third edition , Elsevier Mosby vol 2 pag 1102
|
Politica de confidentialitate | Termeni si conditii de utilizare |
Vizualizari: 8623
Importanta: ![]()
Termeni si conditii de utilizare | Contact
© SCRIGROUP 2025 . All rights reserved