| CATEGORII DOCUMENTE |
| Alimentatie nutritie | Asistenta sociala | Cosmetica frumusete | Logopedie | Retete culinare | Sport |
Sarcina de trimestrul I - aspecte patologice
Ecografia transvaginala este indispensabila investigatiei sarcinii anormale, in special in trim. I
Criterii pentru diagnosticul sonografic de sarcina intrauterina incipienta, anormala (adaptat dupa Merz [10]):
Sac gestational peste 12 mm fara sacul lui Yolk vizibil.
Sacul lui Yolk peste 6 mm sau cu structura anormala.
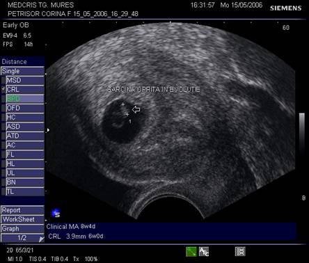
Embrion peste 5 mm CRL, fara activitate cardiaca
Structura embrionica greu de individualizat
Margini neregulate ale sacului gestational
Bradicardia sub 85 batai/min intre 5 si 8 saptamani
Hematom detectat subchorionic sau retroplacentar
Structura placentara cu vacuole
Membrane amniotice separate dupa 14 - 16 saptamani.
Avortul spontan: 2,1% inainte de 35 ani si creste apoi pana la 16,1%[15]. Aproximativ 50 - 60% din avortul de trim. I sunt rezultatul anomaliilor cromozomiale [2]. Cea mai frecventa cauza implicata este aberatia numerica cauzata de un defect de separatie a cromozomilor - nondisjunctia in timpul diviziunii meiotice a gametilor. Doar o mica parte, cca 2%, se datoreaza anomaliilor cromozomiale la parinti fenotipic normali [3]. De aceea, in special in avortul recurent, investigatia cuplului va include atat analiza cromozomiala a produsului de conceptie avortat, cat si cariotipul.
Avorturile spontane mai pot fi cauzate de o placentatie anormala si un defect de conversie a arteriolelor spiralate in vase uteroplacentare.[7,11]
Sangerarea pe cale vaginala este simptomul cardinal in multe cazuri de sarcina anormala, dar cauza trebuie diagnosticata ecografic. In primul trimestru sangerarea apare la cca 25% din sarcini, din care circa jumatate se pierd. [6]
Cauze de sangerare pe cale vaginala, in sarcina incipienta
legate de sarcina
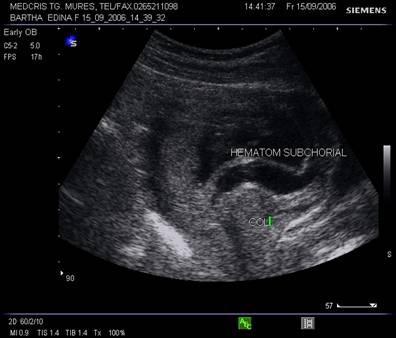
hematom subchorial
hematom retroplacentar
mola hidatiforma
sarcina ectopica
placentatie completa praevia
nelegata de sarcina
colpita
ectopia cervicala
polipul cervical
sarcina cu IUD
cancerul de col uterin
leziuni posttraumatice
1.Amenintarea de avort
Clinic se refera la durere si/sau sangerare de cauza necunoscuta in sarcina incipienta. Ecografic transvaginal se cauta modificari care pot sugera un prognostic al sarcinii.
Hematomul
hematomul mic de sinus marginal (evident ca o decolare anecogena) la polul inferior al sacului gestational are prognostic relativ bun
zona hipoecogena intre peretele uterin si chorion, separata de decidua , indica un hematom subchorionic, cateodata mimeaza o sarcina multipla
hematomul retroplacentar apare ca zona hipoecogena , localizata intre peretele uterin si placenta.
Prognosticul depinde de marimea hematomului, varsta sarcinii si a mamei. [10]
Localizarea hematomului la nivel corporeal sau fundic uterin, reprezinta dupa Kurjak un factor de prognostic prost. [9]
Benett arata ca hematoamele mari subchoriale, varsta mamei peste 35 ani si sangerarea peste 8 saptamani gestationale, cresc rata avorturilor spontane.[1]

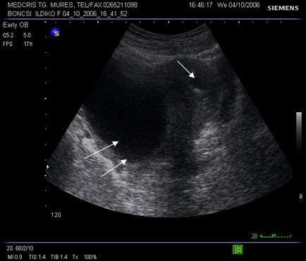
Fig nr 6 Decolare de pol inferior ( cu sageata ) la o sarcina de 7 sapt

Fig. nr. 66. Aceeasi sarcina, ca in figura precedenta, la 12 saptamani , fara imagini patologice la polul inferior ovular, marcat cu sageata

Fig nr. 67 Decolare de pol inferior ovular, situat in continuarea canalului cervical
( sageata) la ecografia transvaginala

Fig nr 68 Decolare de pol inferior la ecografia abdominala ( sageata )

Fig nr. 69. Hematom
subchorial de dimensiune mare, langa orificiul cervical intern (cu sageata)

Fig nr. 70 Aceeasi sarcina ca in figura precedenta,la eco Doppler se observa lipsa fluxului sangvin in hematomul subchorial ( sageata)
Fig nr. 71. Decolare de pol inferior recenta, la o pacienta cu metroragie si prezenta fluxului sangvin la eco Doppler ( sageata )

Fig nr 72 Hematom subchorial organizat , la o sarcina oprita in evolutie
(cu sageata, zona cu ecogenitate medie )

Fig. nr. 73 Hematom organizat subchorial ( sageata , iar cu linie e marcat sacul ovular, se remarca diferenta de ecogenitate atat dintre cele doua, cat si fata de peretele uterin )

Fig. nr. 74 Hematom retroplacentar ( intre calipere ) la o sarcina de 10 saptamani
Fig. nr. 7 La nivelul hematomului retroplacentar se observa intreruperea circulatiei sangvine uteroplacentare ( sageata). Fluxul sangvin la Doppler, prin cordon ombilical, indica o sarcina in evolutie
Ecografiile seriate a hematoamelor indica cresterea sau descresterea acestora sau schimbarile structurale in cresterea ecogenitatii in hematoamele organizate. Uneori hematoamele organizate nu pot fi distinse de placenta.[16]
Importanta practica a decelarii ecografice ale hematoamelor: pacientele cu hematoame au o rata dubla de contractii uterine premature si de nastere prematura. [ 17 ]
Alte semne de prognostic infaust al sarcinii mici, mai rare (in afara celor 9 enumerate la inceputul capitolului):
discordanta dezvoltarii unui sac ovular prea mare fata de embrion
sacul lui Yolk prea mic, deformat sau calcificat (sub 3,5 mm)
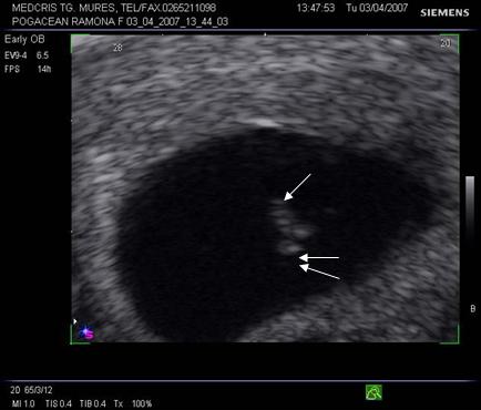
Fig nr. 76 Vezicula vitelina hiperecogena ( cu sageata ) la o sarcina gemelara ulterior oprita in evolutie

Fig nr. 77 Vezicula vitelina mica, sub 3 mm, deformata ( intre calipere)

Fig. nr.78.
Vezicula vitelina mare ( intre calipere ) cu embrion prea mic (sageata)
2. Avortul iminent
- Colul este dilatat evident ecografic si sacul gestational deformat este in partea de jos a cavitatii uterine.

Fig. nr. 79. Ou clar situat decliv ( cu sageata ) in avortul iminent
3.Avortul complet - de obicei doar pana la 8 saptamani gestationale. La ecografie nu se poate evidentia sac gestational sau embrion, doar o reactie deciduala hiperecogena in cavitatea uterina ce are diametru redus. Doppler-ul color indica cresterea fluxului sanguin uterin,iar anamneza si testele de sarcina pozitive sunt sugestive pentru avort. Chiuretajul nu este necesar, doar o reevaluare ecografica la 2-3 saptamani.[10]

Fig. nr. 80. Cavitate uterina goala dupa avort complet si imagine hiperecogena de decidua subtire (cu sageata)
4.Avortul incomplet - imagini neregulate de ecogenitate variata intrauterina, unele hiperecogene ,de dimensiuni suficient de mari pentru a nu trece neobservate. Unele resturi necesita diagnostic diferential fata de sarcina cervicala.
Fig nr. 81 Avort incomplet: in cavitatea uterina imagini cu ecogenitati variate
( intre calipere )
Oul clar este definit ca o sarcina anembrionata si fara sac Yolk (cca 1/3 din avorturile spontane) [10].
Incidenta anomaliilor cromozomiale este mai mare decat la avorturile cu embrion prezent, in special a trisomiilor. Ecografia transvaginala va indica un sac gestational gol, a carui marime este corespunzatoare relativ la durata amenoreei, eventual cu usor contur neregulat.
Pentru a nu face o eroare de diagnostic in prezenta unui sac gestational prea mic , posibil al unei sarcini incipiente, o reevaluare la o saptamana va fi necesara.
Fig. nr. 82 Ou clar la ecografia transvaginala
6.Sarcina oprita in evolutie - incidenta la sarcinile monofetale este de cca 2% intre 10 si 14 saptamani, mai mare la sarcina gemelara. [13]
Semnele ecografice
embrion prea mic pentru varsta gestationala, eventual situat decliv
sacul lui Yolk absent sau mic, rudimentar
embrion/fat fara miscari sau activitate cardiaca (atentie la pulsatilitatea vaselor materne de sange ce pot imprima o miscare gresit interpretata ca activitate cardiaca a embrionului; cateodata o miscare de impingere a uterului cu sonda vaginala imprima o miscare embrionului, care este si mai bine evaluat ca inert);
reevaluarea sarcinii indica lipsa cresterii sacului amniotic sau a embrionului, in schimb sacul chorionic continua sa creasca. Aceasta discrepanta face ca embrionul sa para prea mic fata de relativa cavitate corionica mare.
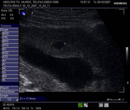
Fig nr.83 Discrepanta dintre lungimea cranio caudala embrionara (CRL intre calipere) ce corespunde la 8 saptamani si amenoreea de 12 saptamani, se remarca absenta veziculei viteline

Fig nr. 84. Discrepanta intre CRL (crown rump lenght sau lungimea craniocaudala)
si amenoree, la o sarcina oprita in evolutie
Fi
g nr 8 Cavitate chorionica (anecogena) prea mare, fata de un embrion si vezicula vitelina mici ( hiperecogene, cu una respectiv doua sageti ), la o sarcina oprita in evolutie

Fig. nr. 86.
Sarcina oprita in evolutie cu embrion( intre calipere) situat decliv si putin
lichid amniotic( sageata)
Tabel II ,rezumativ al diferitelor forme de avorturi si semnele ecografice: (adaptat dupa Merz [10])
Amenintarea de avort
embrion cu activitate cardiaca
hematom posibil subchorionic sau retroplacentar
Avortul incipient
sac gestational deformat sau decliv
embrion cu sau fara activitate cardiaca
dilatatie cervicala
Avort complet:
cavitate uterina goala cu decidua hiperecogena subtire,reactie deciduala
Avort incomplet
uter marit, globulos
structuri variate ecogenic intracavitare
Ou clar:
sac gestational gol, fara semne de sac Yolk sau embrion
Sarcina oprita in evolutie
embrion fara activitate cardiaca, situat de obicei decliv
embrion mic (CRL prea mic pentru varsta gestationala)
7.Sarcina molara
Aspectul molei hidatiforme la ecografia transvaginala depinde de varsta gestationala si totodata daca mola este partiala sau completa.
Clasica "furtuna de zapada" , descrisa de Donald la ecografia abdominala, nu mai este valabila la ecografia transvaginala cu inalta rezolutie.[10]
Folosind sonda vaginala se observa grosimi diferite a placentei cu vacuole mici, hipoecogene depinzand de varsta gestationala (degenerarea hidropica a trofoblastului).

Fig nr 87. Aspect caracteristic de placentatie cu vacuole hipoecogene(cu sageata) , in sarcina molara ( prin amabilitatea dr. Molnar V. Claudiu )
Cateodata sacul gestational nici nu poate fi detectat ecografic - mola completa mai ales, alteori aspectul vacuolar descris mai sus se regaseste langa un sac si/sau embrion.
Deoarece mola este asociata cu poliploidia si in special triploidia, produsul de avort cu suspiciunea de mola trebuie analizat cromozomial. S-au citat si cazuri de mola care au ajuns la termen.[10]
Unele dintre mole se asociaza cu formatiuni chistice ovariene bilaterale - luteinice, iar nivelele bhCG sunt ridicate si se mentin astfel in mola persistenta ( de aceea este necesara monitorizarea molei dupa golirea uterului).
Mola invaziva se caracterizeaza printr-o crestere agresiva a trofoblastului in miometru.
Ecografia vaginala indica o structura hiperecogena miometriala in care apar zone bine definite hipoecogene reprezentand locul necrozei hemoragice.
Aspectul Doppler color este de flux sanguin puternic.
Ecografia nu poate distinge mola invaziva de choriocarcinom - caracterizat printr-o structura foarte inomogena, partial anecogena, partial hiperecogena.
Fig. nr. 88.Ecografie transvaginala a molei invazive

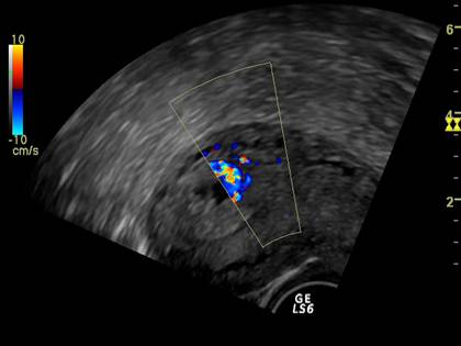
Fig. nr. 89. Flux sangvin la Doppler , cu vascularizatie puternica , dupa chiuretajul molei invazive si persistente
8.Sarcina si dispozitivul intrauterin
Pacienta purtatoare de IUD va fi examinata pentru a stabili locul dispozitivului in cavitatea uterina. Daca acesta a fost evacuat sarcina va continua fara risc. Daca IUD este inca intracavitar, va trebui decis daca trebuie extras in functie de pozitie si de varsta sarcinii.
Ecografic, dispozitivul apare ca o structura ecogena cu forma variabila, localizat alaturi deasupra sau sub sacul gestational, eventual in canalul cervical.
Daca dispozitivul intrauterin prin pozitia sa nu poate fi extras, continuarea sarcinii poate fi grevata de cresterea riscului de avort, infectii, perforatii, nasteri premature. Prezenta asocierii IUD cu sarcina nu constituie indicatie de avort si nu creste riscul de anomalii fetale.
La pacientele cu teste pozitive si IUD prezent se va cerceta cu grija regiunea anexiala bilateral pentru a exclude o sarcina ectopica.

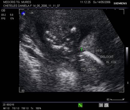
Fig nr. 90. Dispozitiv intrauterin dislocat in col, la o sarcina de 17 saptamani
9.Sarcina si fibromul uterin
Cea mai comuna tumora uterina - leiomiomul - poate fi detectata si masurata inca de la inceputul sarcinii. Fibromul poate complica sarcina in functie de marime si pozitie. Nodulul subseros pediculat foarte rar se poate complica, in schimb nodulul submucos sau intramural creste riscul de avort spontan sau nastere prematura, dar peste 75% din aceste paciente duc sarcina la termen. Cea mai frecventa complicatie a fibromului in sarcina este necroza aseptica (25%) de obicei moderata, ea poate aparea si in lauzie. Cresterea fibromului in sarcina a fost notata in circa 22% dintre fibroame.[12]
Fibromul apare de obicei hipoecogen in uterul gravid, trebuind masurat si observat pe parcursul sarcinii.
Ocazional o contractie uterina mimeaza un fibrom submucos, imagine care nu poate fi reprodusa ulterior.
Fig nr. 91. Nodul fibromatos submucos si sarcina

Fig. nr. 92. Nodul fibromatos intramural hipoecogen,
alaturi de sarcina de 12 saptamani
Fig nr. 93. Nodul fibromatos subseros si intramural cu degenescenta calcara
( sageata) la o sarcina de 7 saptamani
10.SARCINA SI Tumorile maligne in sarcina sunt foarte rare.
Cancerul de col uterin va fi suspectat cand tumora destinde colul ca o structura inomogena.
11.sarcina si Tumorile anexiale
Cea mai frecventa formatiune anexiala este corpul galben fiziologic. El apare ca o umbra bine circumscrisa, anecogena initial, apoi formatiunea adiacenta uterului regreseaza, spre deosebire de alte formatiuni chistice ovariene. Regresia schimba aspectul ecografic spre o formatiune inomogena cu ecou anecogen central.[4,8]
Chistele ovariene pot aparea cu hemoragie sau cresterea in diametru si schimbarile morfologiei ecografice pot indica necesitatea interventiei chirurgicale, in special in trimestrul II de sarcina.
Tumorile anexiale maligne sunt foarte rare, una la 18000 - 25000 sarcini. [5,13] Suspiciunea ecografica se pune pe modificarile peretelui chistic cu proliferare papilara, iar Dopplerul color indica flux sanguin bine reprezentat si cu indici scazuti de rezistenta.Tumorile anexiale trebuie diferentiate de cele ale altor organe - intestin subtire, sigma, colon, rinichi pelvin ectopic, etc.

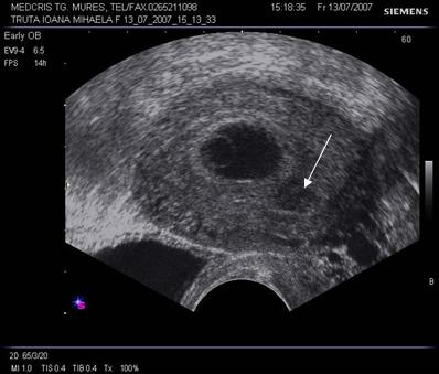
Fig. nr. 94. Corp galben gestational
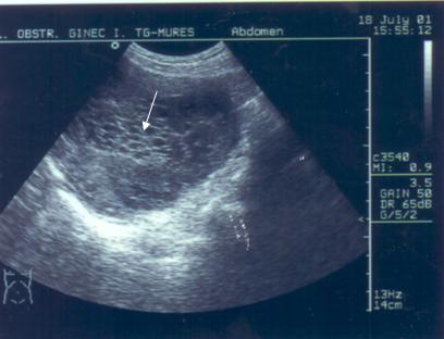
Fig. nr. 9 Sarcina de 5 saptamani la ecografia abdominala.( sacul ovular marcat cu o sageata ) Se remarca retrouterin o formatiune anecogena de peste 5 cm ( chist ovarian marcat cu doua sageti )

Fig. nr. 96. Aceeasi sarcina ca in figura precedenta, retrouterin chist ovarian evident la ecografia transvaginala
Bibliografie
Benett G.l., Bromley B., Lieberman E., Benacerraf B.R., Subchorionic hemorrage in first - trimester pregnancies prediction of pregnancy outcome with sonography. Radiology 200 ( 1996 ) pag.803- 806.
Boue J., Bou A., Lazar P., Retrospective and prospective epidemiological studies of 1500 karyotyped spontaneus abortions. Teratology 12 ( 1975 ) pag.11 - 26.
Brackertz M., Schindler D., Indikationstellung zur Chromosomenanalyse bei der dignostischen Abklarung wiederholter Aborte. Z. Geburtsh. U. Perinat.189 ( 1985 ) pag. 249 -254.
Callen P.W., Ultrasonography in Obstetrics and Gynecology , Fifth Edition , Saunders Elsevier 2008, pag 13-14 .
Chung A., Birnbaum S.J.: Ovarian cancer associated with pregnancy, Obstet. Gynecol. 1, (1997), 211 - 216.
Ewerett C., Incidence and outcome of bleeding before the 20th week of pregnancy prospective study from general practice. BMJ 315 ( 1997 )pag. 32 -34.
Hustin J., Schaaps J.P.,Jauniaux E.: Histological study of the materno-embryonic interface in spontaneus abortion. Placenta 11 ( 1990) pag 477-486.
Kurjak A., Chevernak F.A., Carrera J. M., Atlas of Fetal Anomalies Donald School , Jaypee Brothers Medical Publishers 2007, pag. 3
Kurjak A., Schulman H., Zudenigo D., Kupesic ., Kos M., Goldberg M., Subchorionic hematomas in early pregnancy clinical outcome and blood flow patterns.J. Matern. Fetal Med. 5 ( 1996 ) pag. 41 -44.
Merz E., Ultrasound in Obstetrics and Gynecology, Second Edition , Georg Thieme Verlag( 2005) , vol 1 pag 32-51.
Michel M.Z., Khong T.Y., Clark D.A., et al., A morphological and immunological study of human placental bed biopsies in miscarriage.Brit. J. Obstetr. Gynaecolog. 97( 1990 ) pag. 984-988.
Monnier J.C., Bernardi C., Lanciaux B., Vinatier D., Lefebre C: L'association fibom et grossesse. A propos de 51 observations relvees d'avril 1976 a decembre 1984, Rev. F. Gznecol. Obstet., 81, (1986), 99 - 104.
Munnell E.W.: Primary ovarian tumors in pregnancy., Clin. Obstet. Gynecol. 6, (1963), 983.
Sebire N. J., Thomton .S, Hughes et al., The prevalence and consequences of missed abortion in twin pregnancies at 10 to 14 weeks of gestation.Brit. J. Obstetric. Gynaecol . 104 ( 1997 ) pag. 847-848.
Smith K.E.,Buyalos R.P., The profound impact of patient age on pregnancy outcome after early detection of fetal cardiac activity. Fertil. Steril. 65 ( 1996 ) 35 - 40
Stabile I., Campbell S., Grudzinskas J.G., Ultrasound and circulation placental protein measurements in complications of early pregnancy., Br. J. Obstet. Gynecol., 96, (1989), 1182 - 1191
Weigel M., Friese K., Schmitt W., Inthraphuvasak J., Melchert F.: Die prognostische Bedeutung intrauteriner Hamatome des I und II Trimenons fur die Scwangeschafts und Geburtsverlauf, Geburtsh u. Frauenheilk. 51, (1991), 876 - 881.
|
Politica de confidentialitate | Termeni si conditii de utilizare |
Vizualizari: 47321
Importanta: ![]()
Termeni si conditii de utilizare | Contact
© SCRIGROUP 2025 . All rights reserved