| CATEGORII DOCUMENTE |
| Alimentatie nutritie | Asistenta sociala | Cosmetica frumusete | Logopedie | Retete culinare | Sport |
PERICARDITE ACUTE SI CRONICE
1. Pericardul - structura anatomica
Pericardul este un sac fibroelastic seros inchis care se afla posterior fata de stern in dreptul coastelor II-VI si anterior fata de vertebrele V-VIII. In cursul dezvoltarii embrionare, cordul invagineaza acest sac pana la nivelul pediculului vaselor mari (aorta, vene cave si artera pulmonara). Stratul de contact intim cu miocardul este pericardul visceral sau epicardul (seroasa subtire, fara strat fibros) si acopera intreg cordul in afara unei arii posterioare a AS dintre venele pulmonare numita sinus oblic; zona dintre vasele mari in care epicardul se reflecta asupra sa insasi pentru a forma pericardul parietal se numeste sinus transvers.
Pericardul parietal are conventional doua straturi intim
aderente, unul extern si unul intern; cel extern este compus din multiple
straturi de fibre de colagen aliniate in diverse directii si
interconectate cu fibre de elastina. Stratul fibros fixeaza cordul
prin ligamente atasate de tendonul central al diafragmului (inferior), de stern prin ligamente sterno-pericardice
anterioare si inferioare si de pleura (lateral). Stratul intern
al pericardului parietal este o membana mezoteliala seroasa cu
microvili care secreta lichidul pericardic hipoproteic cu multa
albumina (ultrafiltrat plasmatic) aflat fiziologic intr-o cantitate de
15-50 ml.
Inervatie: ramuri din C4-C5 pe calea nervului frenic.
2. Functiile pericardului
mecanice:
globale: lubrifiere pentru minimalizarea frictiunii, egalizare a fortelor gravitationale, hidrostatice si inertiale, bariera impotriva infectiilor.
legate de cavitatile cardiace: limitare a dilatarii camerale, facilitare a interactiunii si cuplarii mecanice a cavitatilor, mentinere a geometriei VS, prezervare a relatiei presiune-volum.
modulatorii pentru expresia genica, structura si functia miocitelor cardiace;
diverse: imunologice, vasomotorii si fibrinolitice;
cale de acces pentru medicamente si terapie genica.
3. Elemente de microfiziologie pericardica
inervatie pericardica bogata:
receptori vagali si simpatici care monitorizeaza volumul si tensiunea parietala cardiaca;
chemoreceptori si mecanoreceptori ce transmit durerea.
mezoteliu metabolic activ:
productie de PgE2, PgI2 si alti eicosanoizi care moduleaza neurotransmisia simpatica, tonusul coronarian epicardic si contractilitatea miocardica;
productie de factori de crestere angiogenica (VEGF, bFGF) in angina pectorala instabila;
secretie de BNP - indicator mai sensibil al relatiei alterate presiune-volum ventriculare in ICC;
hiperproductie de 8-iso-PgF2a (marker de stres oxidativ) in directa relatie cu severitatea ICC.
4. Pericardite - Entitati nosologice
Modificarea acuta a morfologiei pericardice si/sau ale volumului si compozitiei lichidului pericardic constituie pericardita acuta cu variantele fibrinoasa (uscata) si lichidiana (exsudativa, purulenta, hemoragica sau chiloasa). Evolutia lenta in timp a acelorasi procese constituie pericardita cronica. Acumularea de lichid in pericard in cantitate mare sau in mod brusc ori disparitia elasticitatii pericardice genereaza unul din cele trei sindroame compresive:
tamponada cardiaca acuta sau subacuta,
pericardita constrictiva (formele manifesta, oculta si elastica),
pericardita constrictiv-lichidiana (sau epansamentul pericardic constrictiv).
5. Cauze de afectare pericardica:
idiopatice (impreuna cu cele virale ~ 85% din cazuri);
infectioase
virale: coxsackie, echo, adenovirusuri, varicela, gripa, virus citomegalic, hepatita B, HIV.
bacteriene: pneumococ, streptococ, stafilococ, Haemophilus, bacili Gram negativ.
micobacteriene: Mycoplasma tuberculosis, Mycoplasma avium;
fungice: Histoplasma, Coccidioidomyces, Candida, Blastomyces, Nocardia, Actinomyces;
protozoale: Toxoplasma, Taenia echinococus, Amoeba
neoplazice
primare: mezoteliom, fibrosarcom;
secundare: pulmonare, de san, limfoame, leucemii;
imunologice sau inflamatorii
boli ale tesutului conjunctiv: poliartrita reumatoida, LES, sclerodermie, RAA, dermatomiozita.
arterite: temporala, PAN, boala Takayashu
sindroame post-agresiune cardiaca: IMA, sindrom Dressler, post-cardiotomie, traume nepenetrante;
iatrogene
interventionale: perforatii prin catetere sau sonde, resuscitare cardio-pulmonara, iradiere toracica;
medicamentoase: hidralazina, procainamida, izoniazida, doxorubicina, trombofibrinolitice, anticoagulante i.v. sau orale, cromoglicat disodic, metisergid, ciclosporina, peniciline, fenilbutazona, dantrolen, mesalazina, minoxidil;
diverse
trombembolism pulmonar acut;
hipotiroidism (mixedem);
purpura trombocitopenica idiopatica
amiloidoza
anevrism disecant de aorta (hemopericard)
chilopericard
azbestoza
insuficienta renala cronica in stadiul uremic (forme avansate, preterminale, dializate;
plagi taiate penetrante in pericard;
pseudo-anevrism de VS;
intepatura de peste-scorpion (la scufundatorii din apele oceanice tropicale).
A. Pericardita acuta
Pericardita acuta se defineste ca inflamatia ambelor foite pericardice produsa de o multitudine de cauze care pot sa nu aiba neaparat expresie clinica. Studii necroptice au relevat prezenta relativ frecventa de pericardita in absenta diagnosticului clinic. Histopatologia pericarditei acute depinde de cauza, dar trasaturile generale constau in hiperemie sau crestere a microvascularizatiei, infiltrate leucocitare (mai ales polimorfonucleare) si depuneri de fibrina cu aderente intre straturi sau intre pericard si structurile adiacente (pleura, mediastin).
Prezentarea clinica a pericarditei acute este practic identica la toate formele (uscata, lichidiana):
durere toracica anterioara, clar dependenta postural (mai intensa in clinostatism), accentuata de miscarile respiratorii, tuse, deglutitie sau sughit, cu instalare progresiva pe parcursul catorva ore. Iradierile durerii sunt spre umarul stang, gat - ceafa (DD relativ dificil cu durerea de cauza coronariana);
durerea este insotita de subfebrilitate sau de febra moderata (febra mare insoteste pericardita acuta purulenta); febra lipseste in caz de hemopericard dat de invaziile neoplazice sau de efractiile de structuri cardiace ori vasculare;
semn clinic patognomonic: frecatura pericardica.
6. Frecatura pericardica este un zgomot aspru caracteristic de frecare 'piele-pe-piele' ca de 'du-te - vino', aparand clasic in tripla cadenta in cele trei momente ale miscarii ventriculare rapide pe pericard: sistola ventriculara, umplerea ventriculara rapida si sistola atriala: in circa o treime din cazuri este in doi timpi, iar la numai circa 10% este intr-un singur timp.
Frecatura pericardica se aude in pana la 85% din cazuri, mai bine pe marginea stanga a sternului, cu membrana stetoscopului bine apasata pe torace. In evolutie, frecatura poate disparea si reaparea pe parcursul catorva zile in functie de evolutia cantitatii de lichid pericardic si de procesul de vindecare.
7. ECG in pericardita acuta - are evolutie in 4 stadii (date de inflamatia epicardului deoarece pericardul propriu-zis este inert electric):
segment ST supradenivelat, cu concavitatea in sus, in aproape toate derivatiile (cu exceptia aVR si V1-V3); raport de amplitudine ST/T in V6 > 0,24; si cu pattern de tip 'concordant' in I-III (spre deosebire de IMA); segment PR subdenivelat in II, III, aVL, aVF si supradenivelat in aVR;
ECG normala, dar cu unde T aplatizate difuz si, eventual, cu supradenivelare ST non-diagnostica;
unde T discret negative cu non-denivelare ST, mai ales in derivatiile precordiale stangi
ECG perfect normala (vindecare) sau persistenta a modificarilor difuze de unda T (pericardita cronica).
Diagnostic diferential ECG
Cu infarctul miocardic acut (IMA) in care:
supradenivelarea ST este cu concavitatea in jos, relativ mare (in pericardita depaseste rar 5 mm) si discordanta in I-III;
coexista la un moment dat al evolutiei un segment ST supradenivelat cu unda T negativa;
unde T ample si ascutite de tip 'hiperacut' apar in IMA numai la debut, in mod extrem de pasager;
apar rarisim modificari de PR (IMA atrial);
poate aparea alungire de interval QT;
Cu varianta normala de repolarizare precoce in care:
ST supradenivelat nu apare decat in precordiale;
raportul ST/T in V6 este intotdeauna < 0,24.
Alte elemente de explorare
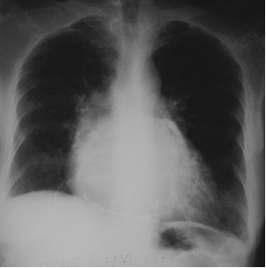
Radiologice (de obicei nerelevante, dependente de cantitatea de lichid din pericard).
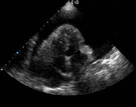
Ecocardiografice
clivare de spatiu pericardic sau spatiu transsonic (lichid) de diverse grosimi si localizari;
ingrosare de pericard cu eventuale depozite de fibrina (uneori libere in lichid).
Date de laborator
cresterea nivelului seric de troponine T sau I (la niveluri
detectabile la circa 50% dintre pacienti si la niveluri > 1,5
ng/mL la peste 20%);
teste nespecifice de inflamatie pozitive;
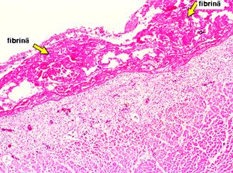
adenozin-deaminaza in lichidul pericardic (TBC). Ex. histologic de pericardita fibrinoasa →
8. Protocol de atitudine generala
Faza I: evaluare generala: anamneza, examen clinic, ECG, Rx. cord-pulmon, ecoCG si explorari uzuale de laborator plus teste etiologice (exsudat faringian, IDR la PPD, teste virologice, teste HIV, factor reumatoid).
Faza II: pericardocenteza (la cei cu lichid pericardic mult, persistenta peste 7 zile sub tratament cu AINS sau suspiciune de pericardita purulenta) cu analiza a lichidului extras (ex. cito-bacteriologic, culturi pentru b. Koch, Brucella s.a.) si teste pentru LES.
Faza III: biopsie pericardica in absenta unei etiologii aparente sau la persistenta peste 3 saptamani.
Faza IV: cauza inca neclara cu persistenta lichidului in pericard: terapie anti-tuberculoasa empirica.
9. Aspectul si compozitia lichidului pericardic
date generale:
dozare glucoza - valori mai mici decat cele serice in TBC, boli inflamatorii generale (LES, PR)
examen citologic: limfocitoza majora - argument pentru etiologia TBC dar si virala
adenozin-deaminaza crescuta in lichidul pericardic (argument pentru TBC)
sero-citrin ( tulbure, fibrinos):
foarte frecvent dar nu exclusiv in etiologia (in ordine) idiopatica, virala, TBC, inflamatorie
hemoragic ( sero-):
etiologie neoplazica sau TBC, rar altele
alte aspecte (purulent, chilos, colesterolic)
Aspect ECG in pericardita acuta


Rezultatele explorarilor clinico-paraclinice in conditiile uzuale de explorare, etiologia se poate stabili numai in 14-22% din cazuri (HIV exclus). Forme ecocardiografice in functie de spatiul de clivaj pericardic (exclusiv cazurile de tamponada): 40% fibrinoase, 20% cu lichid in cantitate mica, 40% cu lichid in cantitate medie.
Nu orice epansament pericardic este pericardita:
boli ce duc la acumularea de sange in pericard (efractii de structuri cardiace sau vasculare, invazii neoplazice, plagi taiate, traumatisme acute);
boli ce determina acumularea de lichid pericardic neinflamator (hipotiroidie, insuficienta renala, ICC
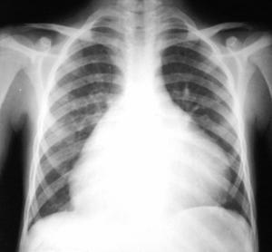
Imagine Rx de pericardita acuta
Tratamentul pericarditei acute
Antalgice - antiinflamatorii:
aspirina sau un antiinflamator nesteroidian (nu si in pericardita din IMA - impiedica cicatrizarea
corticosteroizi (prednison) - numai in cazurile clare de rezistenta la 7-10 zile de tratament cu AINS;
colchicina la cei cu pericardita acuta recidivanta;
rareori in episodul acut: opiacee.
Tratament etiologic (in cazul identificarii cauzei).
In afectarea pericardica neoplazica:
administrare intrapericardica de antineoplazice;
inducere deliberata de aderente pericardice (prin administrare intrapericardica de tetraciclina);
tratamente chirurgicale locale.
10. Tamponada cardiaca (pericardica) - cresterea cantitatii de lichid intrapericardic la volume foarte mari sau in mod brusc determina o crestere a presiunii exercitate asupra cordului producind:
o reducere dramatica a umplerii ventriculare in diastola (pana la colaps al cavitatilor drepte), cu scaderea consecutiva a debitului sistolic VD si VS;
congestie venoasa in fata cordului drept (staza jugulara, hepatomegalie, edeme ale membrelor si eventual ascita) cu presiuni pulmonare normale;
interdependenta ventriculara (cresterea presiunii din
VD in inspir determina bombarea septului IV spre VS cu reducerea
suplimentara a debitului sistolic ejectat in aorta - scaderea
PAs cu peste 10 mm Hg duce la aparitia pulsului paradoxal).
Clinica tamponadei cardiace
Tabloul clinic depinde de rapiditatea acumularii de lichid pericardic si de volumul acestuia
La acumulare rapida - foarte rapida:
dispnee intensa, tahicardie,
congestie venoasa retrograda rapid instalata (turgescenta jugulara, hepatomegalie),
colaps vascular periferic,
simptome si semne obiective ale bolii cauzale,
La acumulare cu viteza medie - lenta:
fenomene congestive drepte (ca de ICC),
hipotensiune arteriala cu puls paradoxal,
simptome si semne ale bolii cauzale putine sau absente.
Date paraclinice:
Semne ECG:
microvoltaj relativ (in derivatiile periferice amplitudine totala QRS < 5 mm), dar si absolut,
tahicardie sinusala alternanta electrica QRS.
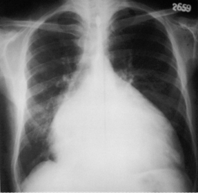
Semne radiologice cardiopulmonare:
cardiomegalie importanta cu contururi net trasate, stergerea arcuatiei normale, cord 'in carafa',
circulatie pulmonara normala.
Semne hemodinamice:
jugulograma (si curbe presionale AD) cu unda x relativ normala si unda y aplatizata,
Doppler venos hepatic cu unda S (sistolica) ampla si unda D (diastolica) mult diminuata.
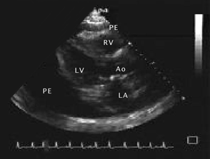
Semne ecocardiografice:
lichid pericardic in cantitate mare (evidentiaza si dispunerea topografica a acestuia),
reducere a amplitudinii excursiei DE si pantei EF a valvei mitrale la prima diastola din inspir,
variatie inspir-expir > 40% a amplitudinii excursiei DE a valvei tricuspide,
colaps AD, VD (protodiastolic) si AS,
congestie 'fixa' a VCI (scadere < 50% in diametru proximal la inspir profund).
Explorare RMN - utila pentru diagnosticul cauzal si pentru deosebirea de hemopericard ori de compresii externe prin hematoame sau alte colectii.
Hemodinamica in tamponada cardiaca

ECG in tamponada cardiaca



Tratamentul tamponadei cardiace
Punctie pericardica evacuatoare (< 1000 ml pentru evitarea dilatatiei cardiace acute):
punctie pericardica subxifoidiana
punctie pericardica cu alte aborduri (sub control ecocardiografic al spatiului convenabil)
pericardotomie percutana cu balonas
Tratamente chirurgicale:
incizie pericardica subxifoidiana
fereastra pleuro-pericardica de drenaj
Tratamente post-urgenta:
tratamentul bolii cauzale
tratamentul conventional al pericarditei acute
EcoCG in tamponada cardiaca

B. Pericardita constrictiva
Pericardita constrictiva (PC) apare ca urmare a unui proces de fibrozare ( calcificare) a ambelor straturi pericardice care se transforma intr-o 'cusca' rigida pe parcursul unei evolutii de lunga durata (ani sau, mai rar, luni) dupa variate momente cauzale - episod definit (sau nu) de pericardita acuta infectioasa in general dar mai ales TBC, iradiere, diverse interventii chirurgicale cardiace.
Anomalia hemodinamica principala din PC consta in umplerea cardiaca limitata din cauza pericardului fix si rigid care si izoleaza cordul de variatiile presionale respiratorii; in acelasi timp exista si interdependenta ventriculara la fel ca in tamponada cardiaca.
B.1. Diagnostic
clinic: clic pericardic (), semne ca de ICC dar fara elemente clare de suferinta cardiaca,
radiologic: cord de dimensiuni normale cu contur net trasat, eventual cu calcificari pericardice si circulatie pulmonara normala,
ecocardiografic: semne de umplere ventriculara limitata si de interdependenta ventriculara,
jugulograma (si curbe presionale AD) cu unda x cvasinormala si unda y ampla si de scurta durata (deseori aspect 'in W'),
curbe presionale cu egalizare de valori in diastola, aspect de 'dip-and-plateau' ('radical') VS si VD
B.2. Tratament: exclusiv chirurgical (pericardectomie).
B.3. Comparatie tamponada - constrictie
In tamponada: gradientul de presiune dintre spatiul pericardic si cavitatile cardiace este pozitiv in cursul diastolei (reducere marcata a umplerii ventriculare) si usor negativ in cursul sistolei (retur venos posibil, cu pattern unimodal). In inspir, reducerea presiunii din torace se transmite in pericard si duce la cresterea returului venos spre VD cu bombarea septului IV in VS si aparitia pulsului paradoxal.
In constrictie: oprirea returului venos se produce numai atunci cand volumul cardiac nu mai poate creste peste volumul fix stabilit de pericardul rigid (in mezotelediastola). In inspir, reducerea presiunii din torace nu se transmite in pericard si scade presiunea numai din venele pulmonare (scade umplerea VS).
Argumente clinice: APP de pericardita sau de boala sistemica ce afecteaza pericardul (TBC, neoplazii, LES) vs. boala infiltrativa (amiloidoza); ex. obiectiv este irelevant; ECG: modificari QRS (pentru CMR); Rx: numai calcificarile pericardice sunt diagnostice.
Argumente ecocardiografice
atrii mult mai mari in CMR decat in PC,
velocitate de flux A-V telediastolic diminuata in CMR (atrii distensibile sau ineficiente),
variatii respiratorii in viteza maxima a fluxului de umplere a VS: > 15% in PC, < 10% in CMR,
gradient de velocitate miocardica (Doppler tisular) semnificativ mai mic in CMR.
Argumente presionale
presiunea diastolica VS cu > 5 mm Hg mai mare decat in VD (favorizeaza CMR; date inconstante in repaus); masurarea se poate sensibiliza prin: efort fizic, incarcare volemica, studiu de presiuni post-extrasistolice,
fluxul sanguin coronarian diastolic (diminuat in ambele boli, atat ca rezerva de flux cat si ca viteza maxima) prezinta accelerari si decelerari mult mai rapide in PC decat in CMR (flux cu semi-timpul de accelerare pana la valoarea maxima < 260 ms, semnificativ mai scurt fata de CMR - 260-380 ms - sau normali → 380 ms).
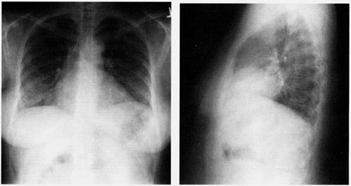
Calcificari pericardice Rx

B.4. Alte sindroame constrictive pericardice
B.3.a) Pericardita constrictiva oculta: bolnavi cu dureri toracice nesistematizate, dispnee de efort si astenie, cu antecedente de pericardita acuta, avind frecvent modificari ECG nespecifice de ST-T, pericard gros la CT si (rar) calcificari pericardice la Rx, fara alterari ale functiei de pompa cardiaca. Incarcarea volemica acuta (cu ser fiziologic) produce aspecte presionale tipice de PC.
Tratament: pericardectomie.
B.3.b) Pericardita constrictiv-lichidiana: acumularea de lichid asociata cu rigiditatea pericardica; relevata prin pericardocenteza care nu modifica presiunile din AD sau celelalte cavitati. Frecatura pericardica si pulsul paradoxal lipsesc, unda y este mai mica decat era de asteptat.
Tratament: pericardectomie viscerala.
|
Politica de confidentialitate | Termeni si conditii de utilizare |
Vizualizari: 8022
Importanta: ![]()
Termeni si conditii de utilizare | Contact
© SCRIGROUP 2025 . All rights reserved