| CATEGORII DOCUMENTE |
| Alimentatie nutritie | Asistenta sociala | Cosmetica frumusete | Logopedie | Retete culinare | Sport |
PARODONTITE MARGINALE CRONICE
n ½ din populatia adulta
n varsta
Tehnici radiologice
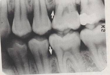
bite-wing - raportul corect intre linia crestei alveolare si linia coletului
radiografia periapicala tehnica paralela - imaginea nedistorsionata
OPT - NU - subestimeaza PMC incipienta si supraestimeaza distructia osoasa in fazele avansate
radiografia periapicala digitala.
Obiectivele examenului radiologic
Ø Nivelul crestei alveolare
Ø Modificari de structura la nivelul crestei alveolare
Ø Interesarea furcatiei
Ø Lungimea si morfologia radacinilor, raportul coroana/radacina
Ø Factori iritativi locali ( tartrul, obturatii neadaptate marginal, carii de colet, incluzii dentare, malpozitii dentare, anomalii dento-alveolare, edentatia)
Ø Consideratii anatomice:
o Pozitia sinusului maxilar
o Dinti inclusi, supranumerari, absenti
Ø Consideratii patologice
o Carii
o Leziuni periapicale
o Resorbtia radacinilor
Factori favorizanti ai bolii parodontale
Ø Trauma ocluzala
o Largirea ligamentului periodontal, ingrosarea laminei dura, hipercementoza, fracturi radiculare, examen ocluzologic
Ø Mobilitate dentara
o Largirea spatiului periodontal, lamina dura slab vizibila
Ø Lipsa punctelor de contact
Ø Factori iritativi locali
Limitele examenului radiologic
Anatomie radiologica
Elemente bine vizibile radiologic: septul interdentar(lamina dura, spongioasa septului), septul interardicular al molarilor inferiori
Elemente dificil de interpretat: corticala alveolara externa V/O, nivelul rebordului alveolar O/V
Septul interdentar: forma (triunghiulara, trepezoidala, bifida), spongioasa septului, integritatea laminei dura
Relatia dintre linia care uneste jonctiunea smalt-dentina a grupului dentar analizat si linia crestelor septurilor interdentare (paralele 1-1,5mm)-tehnica paralela
n Prezenta corticalei osoase la nivelul crestei -- lipsa afectarii osoase
n Gingivita - Rgr normal
n Tineri - usoara largire a aligamentului periodontal in portiunea cervicala
n Densitatea crestei alveolare - nu se coreleaza cu gradul de evolutie a boliii parodontale.
Clasificarea (ROWE)
Acute:
Ø Traumatice
Ø Acuta ulcerativa
Ø Herpetica
Ø Nespecifica
Cronica
Hiperplastica
Descuamativa
n Parodontita
o periodontita adultului: incipienta, moderata, severa
- alte cauze : trauma ocluzala, atrofica, fibromatoza gingivala
- cauze sistemice
Ø o sarcina
Ø o medicamente
Ø o histiocitoza X
Ø o osteosarcom
Ø o metastaze secundare
Ø o DZ
Ø o SD
PARODONTITA
CRONICA MARGINALA a adultului
(Dumitriu
o Superficiala
o Profunda
o fara semne radiologice
o In gingivita acuta ulcerativa cu leziuni inflamatorii distructive - distructia crestei alveolare interdentar
PMC superficiala
n Halistereza marginala
Demineralizare in axul septului interdentar, reversibila
Rgr: radiotransparenta verticala, "in banda" centro-septala, care prezinta ingustari si largiri si contur sters; lamina dura integra
n Demineralizarea crestei septului
Demineralizare a spongioasei septului alveolar - radiotransparenta, largirea spatiilor trabeculare
Subtierea laminei dura si a corticalei ce marcheaza creasta septului
n Triangulatia
Afectarea concomitenta a septului si a extremitatii coronare a spatiului periodontal
Triunghi radiotransparent cu baza la nivelul crestei septului si varful orientat in sens apical spre spatiul periodontal. O latura spre radacina, cu contur net si alta septala, cu contur sters. Inaltimea triunghiului=1-2mm,
Lamina dura subtiata, disparuta
Creasta septului - ascutita


PMC Profunda
Pierderea osoasa este vizibila radiologic dupa 6-8 luni de evolutie
n Moderata
Interproximal - distructia corticalei osoase
Radiotransparenta crescuta a radacinilor
Resorbtie orizontala - margini alveolare inconsistente
Resorbtie verticala
Resorbtie orizontala
o Usoara -1mm
o Moderata - 1mm- ½ radacina
o Severa - >1/2 radacina
o Tablia externa V/O
o Linie ondulata serpuitoare, neregulata, situata la distanta de jonctiunea smalt-cement
o Decalaj intre corticala V si cea O
Resorbtie osoasa verticala
n Craterul septal interproximal
n Defectul septal aproximal
n Defectul hemiseptal interproximal
Intereseaza 1-2 dinti
Craterul septal interproximal
Intre 2 dinti
Cavitate cu profunzime redusa 1-3mm
4 pereti: corticala alveolara externa orala si vestibulara si doi pereti aproximali- cementul radicular al celor doi dinti vecini
Disparitia spongioasei si a laminei dura a septului
RGR: radiotransparenta extremitatii cervicale a septului, coborarea liniei ce marcheaza septele interdentare fata de jonctiunea smalt-cement; fundul cavitatii are contur sters (zona de trecere intre spongioasa normala si cea distrusa)
Dg# halistereza axiala septala
Defect septal proximal
Defect hemiseptal interproximal
Are profunzime mai mare
Unul dintre peretii corticali poate uneori lipsi
Proximal-cementul radicular si spongioasa septala
PMC profunda - faza avansata
Distructia septului interradicular
Mai frecventa la molarii maxilari dar mai vizibila radiologic la cei mandibulari
Rgr. Radiotransparenta hemieliptica cu o margine convexa , net delimitata de conturul dintelui si o margine rectilinie, cu contur sters-spongioasa interradiculara
Parodontita marginala totala
PC juvenila
Resorbtie verticala a osului alveolar la nivelul M1 si/sau I
Resorbtia are contur concav
Cateodata pierderea osoasa este mai generalizata
Migrarea incisivilor cu diastema
Pierdere osoasa rapida
Regenerarea tisulara ghidata:
n examinari periodice in cursul tratamentului - densificare osoasa
n Resorbtie orizontala se pastreaza dar clinic fara semne inflamatorii
Radiografie baseline
Suprapunerea unei grile - masurare cantitativa a resorbtiei osoase
Radiografia digitala prin substractie
Diagnosticul diferential PMC
n Carcinoamele
n Histiocitoza
Traumatismele dento-parodontale
Examenul radiologic:
Rgr periapicale retroalveolare
Rgr cu film ocluzal
Rgr cu film extraoral
Dificil de efectuat
clasificare
1. Contuzia dentara
Suprasolicitarea sistemului ligamentar dento-alveolar cu rupereea unor fibre ligamentare sau a unor insertii dento-alveolare
Edem al spatiului periodontal
Dintele integru cu pastrarea pozitiei in alveola
Rgr: discreta largire a spatiului periodontal apical
deplasarea mm a dintelui in sens ocluzal
In timp - pierderea vitalitatii dintelui
2. Luxatia incompleta
Disparitia spatiului periapical si fractura plaseului foselor nazale sau a sinusurilor maxilare in intruzie
Denivelarea planului ocluzal
Luxatia dentara completa (avulsia)
n Expulzarea dintelui din alveola
n Radiotransparenta omogena care inlocuieste radacina dintelui, bine delimitata prin lamina dura
3. Fracturile dentare
a.Coronare
Fisuri in smalt sau in smalt si dentina - bite wing, rgr. Periapicale
Parcelare: fara interesarea camerei pulpare (nepenetranta); imagine lacunara la periferia coroanei, contur zimtat
Totale: cu ineresarea camerei pulpare (penetrante), leziuni parodontale apicale sau marginale coexistente
b. Fracturi corono-radiculare
Oblice
Verticale
Paraaxiale
Axiale: masticarea unor corpi duri, dispozitive endodontice, carii profunde
c.Fracturi radiculare
n Cervicala
n In 1/3 medie
n In 1/3 apicala
n Transversale
n oblice
n Pot fi inaparente radiologic in primele zile
Aspecte radiologice posttraumatice
n Modificari pulpare - condensarea camerei pulpare si canalelor radiculare
n Modificari radiculare
Ale apexului dentar
Spongiozarea dentinei
Modificari latero-radiculare
Resorbtii radiculare interne
n Leziuni traumatice alveolare
n Apexul dentar:
Aspect "retezat"
Disparitia canalului radicular
Lamina dura periapicala resorbita
n Spongiozarea dentinei
Aspect scurtat al radacinii
lipsa spatiului periodontal apical
Spongioasa se continua nemijlocit cu dentina radiculara
n Modificari latero-radiculare
Resorbtia parcelara a dentinei si cementului radicular - spatiul periodontal are aspect ondulat
Resorbtii intinse cu spongiozarea dentinei - anchiloza dento-alveolara
n Resorbtii radiculare interne
Imagine ovalara, radiotransparenta cu contur sters la nivelul can radicular (dg# cu granulomul intern Palazzi)
n La copii - oprirea in crestere a dintilor
Fracturile alveolare
n Fracturile septului interdentar:
oblice, orizontale, smulgeri
Angulatii sau inclinari ale dintilor
n Fracturile tabliilor V/O
Insotite de avulsii dentare
La dintii frontali
Fracturi orizontale, creasta alveolara cu contur neregulat, coborata
|
Politica de confidentialitate | Termeni si conditii de utilizare |
Vizualizari: 5573
Importanta: ![]()
Termeni si conditii de utilizare | Contact
© SCRIGROUP 2025 . All rights reserved