| CATEGORII DOCUMENTE |
| Alimentatie nutritie | Asistenta sociala | Cosmetica frumusete | Logopedie | Retete culinare | Sport |
NOTIUNI DE ECOGRAFIE MAMARA
Prima ecografie cu diagnostic de tumora de san s-a practicat in anii 1950 . Avantajul major al ultrasunetului fata de radiografie (mamografie) este abilitatea de a patrunde in tesutul glandular dens al sanului tanar. Cu noile ecografe ce folosesc rezolutie mare, astazi este posibil sa fie detectate tumori mai mici de 1 cm si chiar leziuni ale canalelor galactofore.
Daca mamografic si in special mamografia cu rezonanta magnetica, a fost descrisa ca avand cea mai buna rata de detectie a cancerului de san multifocal [2], exista studii ce indica aceeasi rata de detectie cu ecografe de inalta rezolutie [3,4].
Exista 2 nivele de examinare a sanului.[1,4,5]
examinare de baza:
evaluarea leziunilor palpabile clinic
evaluarea densitatilor puse in evidenta mamografic
diferentierea intre leziuni chistice si solide
biopsia percutana ghidata ecografic
examinare specializata:
diferentierea tumorala de amanuntime
detectarea leziunilor multifocale
examenul pacientelor cu risc inalt, pentru depistarea tumorilor oculte
depistarea unor anormalitati timpurii
Tehnica examinarii sanului
Pacienta in decubit dorsal, cu ambele brate sub cap, cu degetele incrucisate sub gat. Aceasta pozitie usureaza si accesul la axila.Sonda este de obicei liniara si cu frecventa de 7 - 10 Mhz.
Sonda ecografica va fi mutata pas cu pas in sectiuni sagitale, cu 3 sau 4 pasi in sens orizontal, se va acoperi intreg sanul. Sonda trebuie tinuta perpendicular pe tegument.[3]
Apasarea exagerata va cauza durere si disloca parenchimul glandular. Lipsa de fermitate va putea lasa in afara ariei de examinare tumori.
Tehnica compresiei reprezinta un adjuvant in identificarea tumorilor. Cea mai frecventa problema a incepatorilor in ecografia mamara, este diferentierea intre infiltratia tesutului grasos si neoplasmul adevarat, deoarece ambele apar ca leziuni hipoecogene in san.

Fig. Nr.337. Schema examinarii pas cu pas a sanului.(adaptat dupa Madjar[3,4])

Fig. Nr.338. Sonda liniara ecografica folosita pentru explorarea sanului
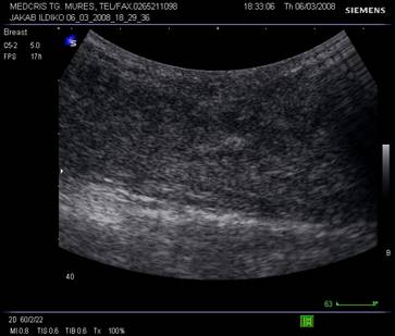
Fig. Nr.339. San cu ecostructura normala , la o pacienta de 27 de ani
Tesutul grasos este usor si isi schimba forma la apasare. Prin diferentiere, cancerele adevarate (altele decat lipoame, adenoame lipomatoase si fibrolipoamele) sunt ferme si isi schimba foarte putin sau deloc forma la compresiune.
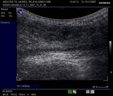
Criterii ecografice pentru chistul mamar
forma rotunda/ovalara
margini bine delimitate, netede
omogenitatea
anecogenitate sau hipoecogenitate
aparitia fenomenului de intarire acustica posterioara
Fig, nr. 340. Chist al sanului
Boala inflamatorie a sanului
Inflamatia difuza se caracterizeaza printr-o simpla crestere a parenchimului cu o scadere usoara in ecogenitate.
Formarea de abcese se caracterizeaza prin distorsiunea arhitecturii tisulare. Leziunea hipoecogena este iregulara, cu margini bine delimitate si cu ecouri interne omogene, cu ecogenitate scazuta. Lichefierea duce la formarea unui chist bine circumscris.
Fibroadenoamele
Aparitia comuna intre pubertate si 30 ani . Cresc adesea datorita stimularii hormonale in telarha sau sarcina. Majoritatea se opresc in crestere la 1 - 2 cm.
Criterii sonografice pentru fibroadenom
forme: rotunde, ovale sau lobulate
margini - bine delimitate
omogene, rar inomogene
hipoecogene, rar hiperecogene
aparitia fenomenului de umbra la marginea laterala
Cicatricele mamare
Dupa operatiile pe san, defectele arhitecturale sunt prezente 3 - 6 luni pana la 1 an. Acestea creeaza absorbtia ultrasunetelor in regiunile afectate, ce apar ca leziuni hipoecogene focale cu fenomenul de umbra acustica posterioara. Aplicarea unei presiuni pe zona respectiva, creste penetrarea ultrasunetului si defectul poate fi pus in evidenta.
Carcinomul
Tumorile maligne de san au o mare diversitate si constituie o problema de diagnostic diferential.
Criterii de malignitate a formatiunilor tumorale de san
forma variabila, neregulata
adancimea leziunii mai mare ca latimea
marginile prost delimitate, chiar nedefinite
inomogene
hipoecogene pana la anecogene
umbra centrala
necompresibila
margine ecogenica - reactie perifocala
distorsiune arhitecturala
retractia ligamentului Cooper
calcificari mici
cresterea nodulilor limfatici cu schimbari ale ecogenitatii
dilatarea ductelor galactofore
tegument stralucitor
Bibliografie
Callen P.W., Ultrasonography in Obstetrics and Gynecology , Fifth Edition , Saunders Elsevier 2008, pag 1077- 1097.
Kaiser W.A., Zeitler E.: MR imaging of the breast : fast imaging sequences with and whitout Gd- DTPA. Preliminary observations . Radiology 170, 1989, pag. 681-686 .
Madjar H., Ladner H.A. , Sauerbrei W., Oberstein A., Prmpeler H., Pfleiderer A. : Preoperative staging of breast cancer by palpation, mammography and high- resolution ultrasound. Ultrasound Obstet Gynecol 1993, 3, pag 185-190.
Merz E., Ultrasound in Obstetrics and Gynecology, second edition , Georg Thieme Verlag 2007 , vol 2, pag 251-264.
Rumack C. M. , Wilson S.R., Charboneau W., Johnson J.A.M.,Diagnostic Ultrasound, third edition , Elsevier Mosby vol 1 pag 795
Wild J.J., Reid J.M. : Echographic visualization of lesions of the living intact human breast. Cancer Res 1954, 14, pag.277-282.
|
Politica de confidentialitate | Termeni si conditii de utilizare |
Vizualizari: 4516
Importanta: ![]()
Termeni si conditii de utilizare | Contact
© SCRIGROUP 2025 . All rights reserved