| CATEGORII DOCUMENTE |
| Alimentatie nutritie | Asistenta sociala | Cosmetica frumusete | Logopedie | Retete culinare | Sport |
Moartea fetala intrauterina
Dupa Vlker[7], care a studiat 487 de morti fetale intrauterine, aproximativ ½ au cauza placentara, un sfert cauza fetala si 1/8 cauza combinata placento-fetala, in circa 13,7% din cazuri nu poate fi stabilita etiologia.
Cauzele fetale includ anomaliile de cordon ombilical: noduri adevarate, circulare stranse si anomalii fetale.
Cauzele placentare rezulta dintr-o insuficienta cronica prin maturarea accelerata placentara, endoarterita obliteranta a vaselor mari. De cele mai multe ori aria insertiei placentare sau greutatea placentara sunt prea mici. Schimbarile obliterative placentare sunt compensate un timp si sunt asociate cu o placenta mica. Dezlipirea prematura de placenta normal inserata este o alta cauza.
Cauze materne:
hipertensiunea indusa de sarcina
disfunctii metabolice: diabet zaharat, boli tiroidiene
incompatibilitate de grup sanguin
infectii intrauterine (citomegalovirus, listeria)
Diagnosticul ecografic
absenta activitatii cardiace fetale
in cazul mortii fetale de cateva zile,apar si alte semne.
Semnele descrise prima data la rntgen[1,3,6], se pot pune in evidenta si ecografic:
deformarea si incalecarea oaselor craniului sau semnul Spalding
semnul haloului - scalpul fetal inconjoara la distanta oasele craniene datorita edemului de maceratie - semnul Deuel.
angularea coloanei vertebrale si a trunchiului fetal (pozitia de Budha)
aparitia de bule gazoase intracardiac, intraperitoneal, intraintestinal prin putrefactie - semnul Roberts.
Fig. nr. 237. Incalecarea oaselor craniului la un fat mort macerat , 34 sapt.
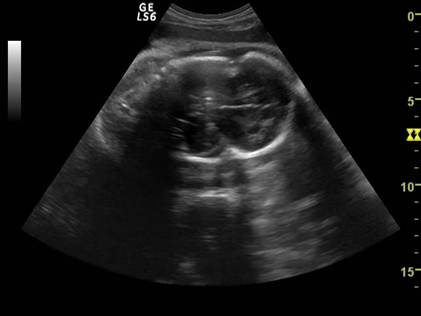
Fig. nr.238. Deformarea craniului la fat mort intrauterin
( aceeasi sarcina ca in figura precedenta )

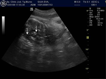
Fig. nr. 239 Aparitia de bule in cavitatile toracica si abdominala ( sageti ), dupa maceratie la fatul mort intrauterin , la 34 sapt.
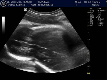
Fig nr. 240.
Edem tegumentar al coapsei ( sageata ) aparut la maceratie, aceeasi sarcina ca
in figurile anterioare
Varsta gestationala a sarcinii cu moarte
fetala in uter, se poate dificil stabili prin biometrie, doar cea a oaselor
lungi fiind de ajutor, cand fatul este macerat. Daca moartea a survenit dupa o
hipotrofie fetala severa, nici masurarea femurului nu poate fi de folos.
Maceratia - semnele grd. II de maceratie, cu separatia tegumentelor de cap sau trunchi, cu imagini de bule pe suprafata fetala, apar doar dupa 23 saptamani gestationale.[3]
Determinarea cauzei prin ecografie, in cazul sarcinii cu fat mort se poate face identificand:
hematomul retroplacentar,
nodul de cordon ombilical (mult mai dificil)
anomalie severa fetala
hidropsul fetal
Moartea fetala intrauterina la sarcinile multiple
Dupa Litschgi si Stucki[2], moartea fetala intrauterina a unui fat, cu dezvoltarea unui fat papiraceu, apare in 1,5% din sarcinile gemelare. Riscul de moarte fetala intrauterina este de 3 ori mai mare in cazul placentatiei monochorionice fata de cea dichorionica.
Cauze - cea mai frecventa la gemenii monochorionici monoamniotici este circulara de cordon ombilical.
La gemenii monochorionici - diamniotici, cauza cea mai frecventa este sindromul transfuzor - transfuzat.
Evolutia sarcinii gemelare cu un fat mort intrauterin
Moartea fetala a unuia dintre gemeni, in trimestrul II sau III nu este urmata in mod necesar de nastere prematura. Litschgi si Stucki[2], Merz[3] relateaza intervale de continuare a sarcinii, dupa moartea fetala in utero a unui fat si pana la nastere, de ore pana la 20 sapt.
Mumificarea. Pe masura ce sarcina progreseaza, fatul mort intrauterin este presat pe peretele uterin sau placenta de catre cel care este viu si creste, rezultand fatul papiraceu.
Urmarirea sarcinii cu fat mort intrauterin
Dupa Pritchard si Ratnoff [5], scaderea factorilor de coagulare, cu hipofibrinogenemie, nu apare inainte de 5 sapt. dupa moartea intrauterina. Autorii recomanda inducerea travaliului, daca fibrinogenul scade sub 150 mg/dl in cazul sarcinilor oprite in evolutie.
In practica inducerea travaliului se prefera inainte de perturbarea factorilor de coagulare.
Riscul de recurenta. Pacienta cu o astfel de sarcina, cu fat mort in antecedente, va necesita la urmatoarea sarcina o urmarire ecografica suplimentara, cu biometrie si Doppler seriate, cu atat mai mult, cu cat daca a fost o cauza placentara riscul de recurenta este mare (dupa Monnier cca 13% [4]).
Bibliografie
|
Politica de confidentialitate | Termeni si conditii de utilizare |
Vizualizari: 5431
Importanta: ![]()
Termeni si conditii de utilizare | Contact
© SCRIGROUP 2025 . All rights reserved