| CATEGORII DOCUMENTE |
| Alimentatie nutritie | Asistenta sociala | Cosmetica frumusete | Logopedie | Retete culinare | Sport |
Asistenta Medicala
NURSINGUL PACIENTILOR CU
APENDICITA ACUTA
CUPRINS
Date istorice
PARTEA TEORETICA
1. Notiuni de anatomie si fiziologie a apendicelui vermiform
2. Apendicita acuta
Epidemiologie
Etiopatogenie
Fiziopatologie
Anatomie patologica
Formele edogene
Formele exogene
Simptomatologie
Forma acuta tipica
Semne generale
Examenul general
Examenul paraclinic
Evolutie
Forme clinice dupa gravitate
Forme dupa evolutie
Forme clinice dupa situatie topografica
Incidenta
Diagnostic
Diagnostic pozitiv
Diagnostic diferential
Tratamentul apendicitei acute
Complicatii postoperatorii
Avantajele si dezavantajele apendicectomiei laparoscopice
Diagnostic de nursing
Rolul nursei
PARTEA SPECIALA
Materiale si metoda de lucru
Plan de ingrijire preoperator
Plan de ingrijire postoperator
Cazuistica
Cazul 1
Cazul 2
Cazul 3
Administrarea medicamentatiei (medicamente utilizate)
Concluzii
Studiul statistic
BIBLIOGRAFIE
"Noi fiintele umane, privim la aceeasi luna,
dar nenumarate sunt drumurile prin care putem ajunge pe culmea cea mai apropiata de ea"
Eiji Zoshikawa
Date istorice
Desi inca la sfarsitul erei premergatoare secolului I, in lucrarea De arte medica, Cornelius Celsus a mentionat "suferinte ale regiunii cecale", apendicele nu este cunoscut ca entitate anatomica decat in secolul XVI, cand in lucrarile anatomistului Berangario de Carpi din Bologna, apare citat "apendicele cecal"; in secolul XVIII Morgagni descrie anatomic, complet atat apendicele cat si valvula ileo-cecala; a trebuit sa mai treaca inca un secol pentru a fi izolate din cadrul asa ziselor "supuratii pericecale" sau "peritiflite" inflamatiile proprii apendicelui si sa se intrevada posibilitatea profilaxiei si vindecarii acestora prin extirparea apendicelui.
In anul 1886 chirurgul american Reginald Fitz, bazat pe constatari anatomo-patologice si clinice, statueaza filiatia "inflamatia apendiculara-peritonita localizata si foloseste prima oara pentru definirea acestei leziuni notiunea de apendicita, termen care va fi adoptat de catre toate scolile medicale din lume.
Apendicita cronica, desi mai greu de identificat, sta la baza multor suferinte abdominale pentru care sunt incriminate presupuse alte leziuni ale organelor digestive; asa de pilda intre cauzele care provoaca discutatul "sindrom de dispepsie secundara" alaturi de suferinta veziculei biliare se situeaza si inflamatia cronica apendiculara (Chevalier).
NOTIUNI DE ANATOMIE SI FIZIOLOGIE
ANATOMIE
Apendicele vermiform uman este considerat adesea ca un organ vestigial, fara functie cunoscuta. De fapt este prezent la om, la maimutele antropoide si la iepuri. La fat si nou-nascut apendicele prelungeste distal cecul, asemanandu-se cu o piramida; doar dupa cativa ani cecul devine sacular, dar cu apendicele in varf. Cresterea in continuare inegala a cecului determina situarea postero-mediala a apendicelui la 2-3 cm sub valva ileo-cecala, in pozitia sa definitiva, pe cand baza apendicelui se gaseste la unirea celor trei tenii cecale, iar restul apendicelui poate fi orientat in orice directie.
Lungimea apendicelui este variabila, cu media de 8-9 cm la adult, dar cu extreme de 3-33 cm. Diametrul exterior este de 5-8 mm iar al canalului interior de 1-3 mm. Lumenul apendicular este inegal si comunica cu cecul in mod normal, prin ostiumul apendicular, prevazut cu un pliu mucos, valvula Gerlach.
Structura peretelui apendicular este asemanatoare cu a cecului. in submucoasa apare, la 2 saptamani dupa nastere, tesut limfoid. Numarul foliculilor limfoizi creste treptat pana la aproximativ 200, situatie prezenta la 20-30 ani. Ulterior cu varsta numarul foliculilor limfoizi se reduce. Apendicele este denumit si "amigdala abdominala'. Lumenul apendicular contine mucus clar secretat de glandele sale si uneori fecale aduse de undele antiperistaltice de la cec; normal continutul apendicelui dreneaza spre cec.
Irigatia peretelui apendicular este asigurata de o mica artera apendiculara, care provine din artera ileo-ceco-apendiculara, ramura terminala a arterei mezenterice superioare. Artera apendiculara se gaseste in mezoui apendicelui. Venele apendicelui dreneaza spre vena mezenterica superioara. Drenajul limfei se face spre ganglionii duodeno-pancreatici (conexiuni evidentiate de profesorul timisorean Dan Berceanu) sau ovarului. Topografia apendicelui este variabila in cavitatea abdominala, fiind dependenta in ceea ce priveste baza sa de situatia cecului. Daca baza apendicelui este de obicei in fosa iliaca dreapta, varful poate fi orientat in orice directie ("ca aratatorul pe cadranul ceasului').
Apendicele are probabil rol in maturarea limfocitelor si in productia de imunoglobuline. Apendicele este deci util in anumite situatii; nu este insa un organ indispensabil si prezenta sa este chiar foarte periculoasa cand este inflamat.
Situarea apendicelui

1-Esofag 2-Stomac 3-Duoden(parte fixa a intestinului subtire)
4-Intestin subtire 5- Cec 6-Apendice 7-Colon 8-Rect 9-Anus

APENDICITA ACUTA
Termenul de apendicita a fost propus de R. Fitz, care a sustinut ideea de apendicectomie (articol publicat in 1886).
Frecventa
Apendicita acuta este denumita boala tineretii, deoarece survine cu precadere intre 10-40 ani, perioada de maxima dezvoltare a aparatului limfatic si a bolilor infectioase. Este mai frecvent intalnita la populatia cu alimentatie predominant camata sau exclusiv vegetala. Poate fi prezenta si la batrani sau adulti, dar are o frecventa foarte redusa la nounascuti si sugari. Este cea mai frecventa urgenta abdominala (1/50-60 din locuitori prezinta in timpul vietii apendicita acuta). Nu are predispozitie rasiala. Apendicectomia constituie 1-2% din toate operatiile chirurgicale.
Frecventa pe sexe este considerata egala cel putin in ceea ce priveste numarul de apendicectomii. Se pare ca la pubertate si adolescenta ar predomina sexul feminin, dar de fapt la femei numarul de apendicectomii neconfirmate anatomopatologic este mai mare decat la barbati; astfel incat se pare ca totusi apendicita acuta ar fi ceva mai frecventa la barbati (raportul barbati/ femei este de 1:1 inainte de pubertate, 2:1 la pubertate, 1:1 la adulti).
Etiopatogenie
Cauza determinanta a apendicitei acute este infectia microbiana (teoria infectioasa a lui Aschoff). De la nivelul foliculilor limfatici, infectia se propaga in toate straturile si in formele complicate depaseste peretele apendicelui. in apendicite pot fi identificati anumiti germeni, de obicei cei prezenti in colon, uneori asociati. Escherichia Coli este prezenta aproape constant, asociata uneori cu streptococ, stafilococ sau anaerobi (Clostridium perfringens si Baccilus funduliformis) Mai ales la tinerii sub 15 ani apendicita acuta poate fi cauzata de agentii infectiosi.
Teoria enterogena Microbii provin din lumenul apendicelui, strabat mucoasa lezata si infecteaza peretele. Factorii favorizanti ai difuzarii infectiei sunt cei care ingusteaza sau obstrueaza lumenul apendicelui (cavitatea inchisa Dieulafoy) cuduri, bride, aderente, edem al mucoasei, coproliti prezenti in 30-50% din cazuri, corpi straini (diferiti samburi) prezenti in 20-30%, lungimea excesiva a apendicelui, cicatrici fibroase dupa un puseu anterior de apendicita acuta sau hipertrofia limfoida la tineri, tumori, rareori diverticuli. Acestia favorizeaza prin staza realizata in apendice proliferarea germenilor. Probabil coprolitii si corpii straini au si un efect direct mecanic iritant asupra mucoasei. Uneori enterocolitele, care determina inflamatia intregului intestin, dar se vindea rapid la nivelul intestinului, determina prin edemul mucoasei si exacerbarea dezvoltarii microbilor din lumenul apendicelui, o apendicita acuta. Leziunile mucoasei (ulceratii, edem) reprezinta porti de patrundere ale germenilor spre foliculii limfatici.
Teoria hematogena Microbii ajung la apendice pe cale sangvina de la un focar de infectie. Aceasta ipoteza este valabila mai ales la copii dupa bolile infectioase. Infectia se poate produce si de la focare din apropiere, situatie care survine mai frecvent la femeile cu anexite.
Factorii vasculari de tip ischemic ca si cudura mezoului sau tromboza arterei apendiculare, favorizeaza dezvoltarea infectiei.
Parazitii: in tarile tropicale 0,5 pana la 1% ar fi determinate de amoebii. in SUA 1-3% din apendicectomii au o posibila etiologie oxiurica.
Printre alte etiologii, se cunosc apendicite acute determinate de corpi straini inghititi (publicate 256 cazuri in ultimii 100 ani).
Citomegalovirusul este citat in etiologie la bolnavii cu SIDA. Este comunicat si un caz cu debut dupa colonoscopie.
La copii s-a descris si o apendicopatie oxiurica (Aschoff) determinata de prezenta parazitilor intestinali la acest nivel. Ea explica cele 40% din apendicitele acute la care nu se constata un obstacol evident.
Fiziopatologie
Obstructia segmentara a lumenului apendicelui determina acumularea de mucus in interior. Concomitent creste proportional presiunea intraluminala. Germenii virulenti prolifereaza si transforma mucusul in puroi. Acumularea secretilor si cresterea presiunilor in apendicele inextensibil jeneaza drenajul limfatic si venos cu aparitia edemului; ulterior afecteaza si circulatia arteriala cu instalarea ischemiei parietale, urmata de gangrena parcelara si perforatie, dupa ce presiunea depaseste 100 cm apa (37). Presiunea si inflamatia irita terminatiile nervoase din peretele apendicelui. Influxul se transmite pe caile viscerale care nu localizeaza exact durerea. Astfel se explica durerea difuza, epigastrica sau periombilicala resimtita de multi bolnavi la debutul bolii. Distensia stimuleaza miscarile peristaltice, durerea apendiculara este uneori colicativa ("colica apendiculara') si reflex determina greata, varsaturi. Cand procesul septic depaseste seroasa apendiculara si, prin contact apendicele irita peritoneul parietal, durerea devine intensa si localizata exact in functie de topografia organului. Astfel in faza de stare a bolii durerea are, de obicei, sediul sau maximum de intensitate in fosa iliaca dreapta. Iritatia peritoneului determina aparare si apoi contractura musculara. Compromiterea vascularizatiei apendicelui prin tromboze este urmata de aparitia unor zone ischemice cu infarctizari si necroze. Perforatia apendicelui survine prin detasarea unei zone necrozate de obicei de pe marginea antimezenterica. Germenii microbieni patrund in cavitatea peritoneala. In peritonitele generalizate secundare durerea se extinde si cuprinde intreg abdomenul. Febra, tahicardia si cresterea numarului de leucocite se explica prin actiunea toxinelor bacteriene si rezorbtia tesuturilor necrozate.
Anatomie patologica
Inflamatiile peretelui apendicular se clasifica in forme endogene (localizate la nivelul apendicelui) si exogene (depasesc peretele).
Formele endogene sunt in ordinea gravitatii, urmatoarele trei:
. catarala (congestiva): apendicele si mezoul sau sunt congestionate, tumefiate, cu edem si hipervascularizatie a seroasei. Mucoasa este congestionata. Microscopic, se constata un infiltrat leucocitar si hipertrofia foliculilor limfatici cu invadare de catre polinucleare;

. flegmonoasa (purulenta, supurata, empiem apendicular), apendicele este marit de volum, turgescent si friabil, continand un lichid purulent sub tensiune. Mezoapendicele foarte infiltrat este friabil. Seroasa este acoperita de false membrane de fibrina. Mucoasa prezinta ulceratii si necroze. in cavitatea peritoneala se constata prezenta unui exsudat clar sau tulbure (sero-purulent sau purulent, inodor sau fetid).
Marele epiploon, ileonul si cecul se pot acola prin fibrina la apendice si determina formarea unui bloc. La microscopie se gasesc in peretele apendicelui abcese miliare si infiltrate masive cu polinucleare, unele tromboze vasculare si hemoragii interstitiale;
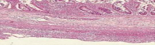
Apendicita acuta flegmonoasa microscopic
. gangrenoasa: leziunea poate fi limitata ca o pata, sau cuprinde apendicele in totalitate (forma hemoragica si necrozanta) realizand aspectul de "frunza vesteda'. Apendicele este tumefiat, cu abcese si zone de necroza a peretelui. La nivelul mucoasei se constata ulceratii intinse. Seroasa este acoperita cu false membrane de fibrina. Vasele apendiculare sunt trombozate. Germenii obisnuiti sunt cei anaerobi, in peritoneu gasindu-se un revarsat abundent purulent, fetid si hiperseptic. In situatia in care lumenul apendicelui este obliterat la baza prin coproliti sau edem, portiunea distala a apendicelui va fi plina de secretie sero-purulenta sub presiune, formand empiemul apendicular.

Formele exogene se caracterizeaza prin propagarea infectiei in afara apendicelui. Diseminarea germenilor in peritoneu se face pe caile limfatice, prin difuziunea transparietala sau prin perforatii vizibile macroscopic.
Perforatia apendiculara rezulta din eliminarea unei placi de necroza. Se realizeaza o zona de efractie parietala cu margini sfacelate. Revarsatul purulent fetid, insotit uneori chiar de gaz sub presiune este prezent in cavitatea peritoneala. Perforatiile survin in fazele de apendicita acuta flegmonoasa sau gangrenoasa.
Revarsarea rapida a germenilor in cavitatea peritoneala determina o peritonita acuta secundara, difuza.Daca evolutia a fost mai lenta, atunci acolarea progresiva a anselor intestinale si a marelui epiploon la apendice prin exsudatul fibrinos determina aderente, initial laxe, apoi stranse, greu de disociat. Rezulta o peritonita localizata (bloc apendicular). Dar este posibila o dehiscenta a organelor aglutinate si evolutia spre o peritonita secundar generalizata in doi sau trei timpi.
Simptomatologie
Tabloul clinic al apendicitei acute este diferit, in functie de sediul topografic al organului, de stadiul evolutiv, de teren si de varsta bolnavului. Descriem initial forma cea mai frecvent intalnita.
Forma acuta tipica
Semne functionale.
Durerea abdominala semnul major al apendicitei acute, survine de obicei in plina sanatate sau pe fondul unui usor disconfort digestiv. Debutul durerii este brusc sau mai insidios, dar creste treptat in intensitate. Debutul brusc ca o durere paroxistica localizata periombilical sau eventual in epigastru poate evoca debutul unui sindrom ocluziv si reprezinta "colica apendiculara'; se datoreste obliterarii lumenului apendicelui prin corp strain. La inlaturarea spontana a obstacolului, durerile se pot remite. Frecvent durerea se manifesta initial in epigastru sau in regiunea periombilicala, apoi se localizeaza dupa cateva ore sau zile in fosa iliaca dreapta. Durerea creste treptat in intensitate si poate cuprinde apoi intreg abdomenul. La multi bolnavi durerea debuteaza direct in fosa iliaca dreapta. Durerea devine ulterior continua. Initial bolnavul este agitat si mereu isi schimba pozitia. Dupa cateva ore, va evita miscarile si mersul, care ii accentueaza durerea. Pozitia antalgica consta in mentinerea coapsei drepte in flexie si usoara abductie; orice miscare determina o crispare dureroasa. Durerea determina prezentarea bolnavului la medic. Efortul, tusea, accentueaza durerile ("semnul tusei').
Inapetenta este un semn foarte precoce si constant, dar nespecific. Greata, varsaturile sunt mai tardive, nu preced durerea! Bolnavul prezinta greturi si varsaturi initial reflexe iritative, alimentare, ulterior bilioase si apoi in peritonite devin fecaloide. In fazele avansate de boala, varsaturile sunt bilioase si survin in cadrul ileusului dinamic prin iritatia peritoneala. In final poate fi si vomito negro.
Tulburarile de tranzit Constipatia este frecventa, uneori chiar pana la oprirea tranzitului. Administrarea de purgative este periculoasa deoarece creste secretia de mucus, creste presiunea din lumenul apendicular si astfel creste riscul de perforatie in apendicitele acute. Diareea survine mai rar si anume in apendicitele pelvine, sau in formele toxice si la copii.
Semne generale.
Temperatura se mentine de obicei sub 38. Tahicardia este proportionala cu gravitatea infectiei si temperatura, fiind marcata in fazele tardive ale bolii. in peritonitele apendiculare avansate apare discordanta caracteristica dintre pulsul tahicardie de amplitudine mica si temperatura redevenita normala sau scazuta. Frisoanele, febra peste 38, sunt semne prezente in perforatia apendicelui.
Examenul obiectiv: bolnavul este linistit, evita orice miscare si mentine flexia antalgica a coapsei drepte pe abdomen, si prezinta crispare dureroasa la miscari. Limba este incarcata, adesea saburala. Halena este fetida.
La inspectie se constata o diminuare a miscarilor respiratorii la nivelul hemiabdomenului drept si chiar un blocaj al miscarii peretelui abdominal in inspir. in formele avansate se constata distensia abdomenului. Daca tuseste bolnavul acuza dureri in fosa iliaca dreapta si, reflex, bolnavul apasa si imobilizeaza cu ambele maini peretele abdominal din regiunea fosei iliace drepte.
Caracteristic pentru apendicita acuta este exacerbarea
durerii din fosa iliaca dreapta la palpare. Palparea se face cu
Extinderea procesului inflamator apendicular determina aparitia semnelor de iritatie peritoneala. Acestea alcatuiesc triada simptomatica, considerata caracteristica pentru apendicita acuta de catre Dieulafoy:
1. durere in fosa iliaca dreapta;
2. hiperestezie cutanata;
3. aparare musculara in fosa iliaca dreapta.
Hiperestezia cutanata de la nivelul fosei iliace drepte se evidentiaza prin excitatii blande (ciupire usoara, atingerea tegumentelor, alunecarea degetelor pe tegumente), care sunt dureroase.
Apararea musculara este proportionala cu severitatea procesului inflamator.
In apendicita acuta muschii peretelui abdominal sunt in stare de contractura tonica permanenta si involuntara. Localizata initial in fosa iliaca dreapta, contractura se intinde in paralel cu procesul de difuziune a infectiei in interiorul peritoneului. In peritonita apendiculara difuza, defensa musculara este generalizata.
Se descriu urmatoarele semne:
. Lanz: diminuarea sau chiar disparitia reflexelor cutanate la nivelul fosei iliace drepte si chiar a hemiabdomenului drept in prezenta unei contracturi musculare subclinice.
. Manevra Blumberg depresiunea brusca a peretelui abdominal, dupa o palpare profunda determina intensificarea brutala a durerii si este caracteristica iritatiei peritoneale.
. Mandelpott (semnul clopotelului sau rezonatorului) percutia superficiala a peretelui abdominal constata ca durerile sunt maxime la nivelul fosei iliace drepte; se utilizeaza cand palparea blanda nu poate localiza sediul maxim al durerii din cauza defensei musculare.
. Manevra psoasului: ridicarea membrului inferior drept intins determina accentuarea durerilor din fosa iliaca dreapta in timpul compresiunii fosei de catre examinator si la bolnavul in decubit dorsal.
Auscultatia releva adesea o rarire sau stingere a zgomotelor intestinale in faza de ileus paralitic
Tuseul rectal sau vaginal permite gasirea unei dureri
pe fata laterala dreapta a rectului sau a fundului de sac vaginal lateral
drept. Se mai pot constata colectii lichidiene in fundul de sac
Examenele paraclinice.
Leucocitoza in jur de 10 000/mmc cu/sau fara polinucleoza (80-90%) si VSH-ul marit sunt caracteristice. Cresterea leucocitelor la 12 000 in prezenta tabloului clinic de apendicita acuta este sugestiva pentru diagnostic.
Perforatia se insoteste de leucocitoze pana la 20 000/mmc. Insa in 20-30% din apendicitele acute, numarul de leucocite este in limite normale sau doar usor crescut. Leucocitoza nu trebuie sa influenteze negativ decizia de interventie chirurgicala la cei cu tablou clinic clar de apendicita acuta (49). Pentru ameliorarea diagnosticului unele studii mentioneaza ca raportul neutrofile/limfocite cu valoare mai mare de 3,5 ar indica si ar fi mai sensibil pentru acuratetea diagnosticului in comparatie cu numarul absolut de leucocite (23). in scop de cercetare si in cazuri speciale s-ar putea utiliza leucocite marcate cu Tc99m care ar evidentia apendicita acuta.
Sedimentul urinar este normal in apendicita acuta si ajuta la diferentierea de o afectiune renala. Totusi, un apendice inflamat si situat in contact cu ureterul sau cu vezica urinara poate determina un sediment urinar patologic cu hematii, leucocite si puroi. Prezenta excesiva a hematiilor si piuria masiva este de obicei determinata de o afectiune urologica.
Radiografia abdominala (renala simpla), ecografia rinichilor si urografia sunt utilizate pentru efectuarea diagnosticului diferential cu colica renala. Foarte rar in perforatiile apendiculare este prezent pneumoperitoneul (0-7%). Imagini hidro-aerice apar in complicatiile mecano-inflamatorii ocluzive.
Ecografia permite identificarea cu usurinta a stazei reno-ureterale si deci a litiazei. Recent s-a constatat ca ecografia are rol si in diagnosticul pozitiv al apendicitei acute prin evidentierea apendicelui inflamat ca o structura nedeformabila la compresiunea gradata, cu extremitatea distala inchisa, cu structura tubulara multistratificata si cu un diametru mai mare de 6 mm.
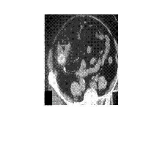
Computertomografia stabileste cu o precizie de 98% diagnosticul de apendicita acuta flegmonoasa.
Evolutie
Repausul, regimul hidric, antibioticele si punga cu gheata pot determina remisiunea temporara a simptomelor, dar cu riscul aparitiei in orice moment a unor complicatii grave. Infectia se extinde in peretele apendicular, ajungand inclusiv la seroasa pe care o depaseste si contamineaza cavitatea peritoneala. Tabloul clinic se agraveaza si se realizeaza diferite forme de apendicita.
A. Plastromul apendicular (blocul apendicular, peritonita localizata cu plastron).
Virulenta mai scazuta a germenilor si/sau reactivitatea imunologica, initial buna a organismului, determina propagarea lenta a infectiei si formarea unui exsudat bogat in fibrina pe suprafata exterioara a apendicelui. Acest plastron apare de obicei la 24-72 ore de la debutul crizei. Dupa tabloul initial clasic de apendicita acuta se constata reducerea contracturii abdominale din fosa iliaca dreapta, care este inlocuita cu o zona de impastare dureroasa, nedepresibila. Se constata pierderea supletei parietale si o rezistenta inegala la palpare. Se deceleaza o tumora inflamatorie cu o sensibilitate dureroasa vie la palpare, cu contur sters, nedepresibila, renitenta la presiune, fixata posterior si uneori aderenta chiar de peretele abdominal anterior. Percutia superficiala evidentiaza submatitate, iar cea profunda sonoritate la nivelul blocului. Bolnavul prezinta semnele generale ale procesului septic cu febra si hiperleucocitoza. Constipatia este frecventa. Polul inferior al blocului poate fi atins la tuseul vaginal sau rectal. Bolnavul trebuie internat si se urmareste evolutia durerii locale, a tranzitului intestinal, diametrul impastarii, febra, pulsul, leucocitoza. Sub tratament medical plastronul se poate remite, sau evolueaza spre abces apendicular si peritonita generalizata (in doi si trei timpi). Rezolutia se obtine prin tratament medical: repaus la pat, regim alimentar hidric, reechilibrare hidro electrolitica si mai ales prin antibioterapie masiva. Local se aplica o punga cu gheata. Se urmareste: starea generala, evolutia durerii abdominale, tranzitul intestinal, diametrul tumorii, febra, pulsul, leucocitoza. in caz de remisiuni se constata scaderea febrei si a leucocitozei, starea generala se amelioreaza, durerile se reduc, se reia tranzitul intestinal. Local, se constata reducerea treptata a diametrului tumorii pana la disparitie. In blocul apendicular tratamentul chirurgical de apendicectomie este indicat la 2-3 luni dupa "racirea' completa obtinuta prin tratament medical.
B. Abcesul apendicular.
Este mai frecvent in localizarile retrocecale si mezoceliace. Portiunea centrala a plastronului se ramoleste si contine puroi. La examenul local se deceleaza la palpare o zona de fluctuenta. Clinic, starea generala se agraveaza in continuare sau dupa o perioada de aparenta remisiune. Ascensionarea curbei febrile a leucocitozei si tahicardiei se insoteste de ileus dinamic cu greturi, varsaturi si reacutizarea durerilor. Limba este saburala, faciesul bolnavului este intoxicat. Abcesul apendicular poate fistuliza la piele (rar) intr-un organ cavitar sau mai frecvent in peritoneu (peritonita in doi si trei timpi). Pana in prezent in literatura au fost comunicate 123 fistule apendiculo-vezicale precum si fistule cu intestinul subtire sau colonul.

C. Peritonita generalizata
Reprezinta o complicatie grava a apendicitei acute. Durerea se exacerbeaza brusc si apoi apar semnele de peritonita. Generalizarea se produce dupa un interval de cateva ore pana la 1-2 zile de la debutul clinic al apendicitei acute. Tranzitul intestinal este oprit. Starea generala este alterata. Este prezenta febra de tip septic si leucocitoza de 15-20 000/mmc cu neutrofile. in formele evoluate bolnavul este socat.
Peritonita acuta, secundar generalizata in 2 timpi. Dupa dureri tipice de apendicita acuta, care constituie primul timp, se poate produce o remisiune spontana sau prin tratament medical. Dupa un interval variabil de ore sau zile, simptomatologia apare generalizata in intreg abdomenul, datorita unei peritonite acute generalizate, care reprezinta timpul al doilea. Tabloul clinic se poate declansa spontan sau, uneori prin administrarea eronata si condamnabila de purgative in apendicita sau prin clisme intempestive.
Peritonita acuta secundara generalizata in 3 timpi Dupa o apendicita acuta urmeaza, in timpul al doilea, plastronul apendicular, care in timpul al treilea fistulizeaza in marea cavitate peritoneala.
Forme clinice dupa gravitate
1. Forma
comuna a
fost descrisa anterior. Este intalnita la tineri. Durerea debuteaza brusc si
este localizata in fosa iliaca dreapta. Este precedata de inapetenta si,
uneori, de
2. Forma toxica a peritonitei septice difuze. Gravitatea apendicitei acute creste odata cu intarzierea diagnosticului si cu instituirea tardiva a tratamentului chirurgical. Infectiile cu germeni foarte virulenti determina apendicite acute grave, cu soc toxic grav de la inceput. Sunt intalnite mai frecvent la copil si la adultii tarati. Debutul este acut si starea generala a bolnavului se agraveaza in cateva ore. Bolnavul este socat, adinamic, cu facies teros. Se produce o deshidratare rapida prin varsaturi abundente chiar sanghinolente si prin scaune diareice frecvente. Pulsul este tahicardie si abia perceptibil, disociat de temperatura (hipotermie). Diagnosticul este dificil datorita simptomatologiei abdominale reduse.
3. Forma subacuta Simptomele clinice prezente sunt mai atenuate decat in apendicita acuta, apar eventual perioade de exacerbare si remisiune a durerilor. Clinic, constatam prezenta durerilor in punctele apendiculare, dar fara aparare musculara. Manevra Rovsing si palparea cu coapsa in hiperextensie (atarnand la marginea patului) produc dureri in fosa iliaca dreapta. Se va repeta examenul obiectiv dupa un scurt interval de timp in care bolnavul nu utilizeaza absolut nici o medicatie analgetica.
4. Peritonita apendiculara primitiva
a) purulenta este o peritonita generalizata, cu debut brutal, cu alterarea starii generale, febra mare, varsaturi, contractura abdominala difuza, dar mai intensa in fosa iliaca dreapta.
b) septica difuza starea generala este alterata: varsaturile sunt mai rar prezente; diareea este frecventa. Abdomenul este usor meteorizat, si in fosa iliaca dreapta se deceleaza defensa musculara.
Forme dupa evolutie
Bolnavii cu apendicita acuta perforata asteapta de 2,5 ori mai mult timp pentru a se prezenta la medic si de aceea sunt in mare parte responsabili de evolutia bolii, mai ales ca sunt de obicei operati foarte repede, imediat dupa internare.
peritonita apendiculara localizata cu plastron (blocul apendicular);
. peritonita apendiculara generalizata secundar poate avea o forma progresiv difuza (dupa dureri si aparare localizata in fosa iliaca dreapta urmeaza contractura abdominala generalizata) sau peritonita in doi si trei timpi la care survine o scurta faza intermediara de liniste urmata de generalizarea durerilor.
Prezentarea tardiva a bolnavului cu apendicita acuta
in fazele complicate si avansate ale bolii ingreuneaza mult diagnosticul.
Peritonita acuta difuza cu debut brusc poate fi determinata si de perforatia
ulceroasa, veziculara sau a unui piosalpinx. Diagnosticul diferential cu
ulcerul perforat este ajutat de anamneza corecta care releva suferinta
ulceroasa veche, sau un puseu recent dureros epigastric, sau debutul unei
dureri epigastrice intense (lovitura de cutit) urmata de coborarea si
generalizarea durerii abdominale, dar predominent in firida parieto-colica
dreapta. Uneori diagnosticul diferential este transat si elucidat de prezenta
pneumoperitoneului, la radiografia abdominala pe gol, care este mult mai
frecvent in ulcerul perforat decat in apendicita perforata. In incertitudinea
de diagnostic etiologic al unei dureri abdominale intense cu aparare
(contractura musculara) se recomanda efectuarea unei interventii de celiotomie
in fosa iliaca dreapta. Prezenta lichidului bilios in peritoneu si a unui
apendic normal sau usor congestionat evoca un ulcer perforat si necesitatea
unei laparotomii mediane; incizia din fosa iliaca dreapta se va utiliza pentru
plasarea unui tub de dren in
Complicatiile generale grave ca septicemia cu bacilus funduliformis, abcesele hepatice multiple urmate de pilefleblita sunt diagnosticate pe baza prezentei hepatomegaliei fara icter, cu hiperleucocitoza si a constatarii la ecografie si scintigrafie a localizarilor hepatice.
Forme clinice dupa situatia topografica
in functie de pozitia apendicelui, tabloul clinic prezinta anumite particularitati
A. Apendicita acuta retrocecala reprezinta 30% din cazuri. Debutul bolii este mai insidios, durerea si semnele clinice de la nivelul peretelui abdominal anterior sunt mai sterse. Sediul durerii este predominant in lomba dreapta sau lombo-abdominal si uneori iradiaza spre perineul anterior. Bolnavul mentine pozitia antalgica cu coapsa flectata (semn important la copii) deoarece permite relaxarea muschiului psoas, care vine in contact cu apendicele inflamat. Deoarece apendicele nu atinge peritoneul parietal anterior adesea lipseste contractura abdominala. La palpare fosa iliaca dreapta este putin sensibila. Se recomanda palparea cu doua maini plasate inter costo-iliac drept, la bolnavul in decubit lateral stang procedeu prin care se evidentiaza durerea si apararea musculara in zona supra- si retro-iliaca Leriche. Manevra psoasului este dureroasa: bolnavul in decubit dorsal ridica membrul inferior drept in timp ce examinatorul comprima fosa iliaca dreapta sau se examineaza pacientul cu membrul inferior drept coborat la marginea patului; prin acest procedeu se comprima apendicele situat inapoia cecului de catre examinator, respectiv de muschiul psoas contractat. Forma frusta a apendicitei retrocecale este destul de frecventa. Uneori este prezent doar un sindrom febril si diagnosticul este dificil. Prezenta unor semne ca disuria si polachiuria orienteaza diagnosticul in mod gresit spre o suferinta urologica. Aceasta forma poate evolua spre un abces si ulterior spre peritonita generalizata.
B.
Apendicita acuta pelvina reprezinta 10% din cazuri. Durerea spontana si la
palpare este situata mai distal, spre hipogastru si perineu. Polachiuria,
disuria, retentia acuta de urina, tenesmele si, uneori la copii, erectiile,
sunt prezente. Scaunele sunt cu aspect de pseudoglere. La tuseul rectal si
vaginal se constata dureri si o formatiune dureroasa in fundul de sac
Manevra obturatorului (rotatia interna a coapsei
flectate pe bazin cu bolnavul in supin) este dureroasa. Abcesul format in
C. Apendicita mezoceliaca ("a promontoriului'). Apendicele poate fi orientat pre sau retroileal. Durerea se localizeaza periombilical. In varianta retroileala diagnosticul este dificil, lipsind contractarea abdominala si apendicita evolueaza insidios spre un plastron situat inapoia anselor intestinale si a mezenterului. Ansele ileale se aglutineaza in jurul apendicelui inflamat. Fiind situat profund, blocul este dificil perceptibil la palparea abdomenului, iar pentru tuseu este prea sus situat ("prea profund pentru a fi palpat si prea sus pentru a fi tusat'). Frecventa este de 20% (din care 15% retroileal). Se poate manifesta ca o "ocluzie febrila', cu sediu enteral.
D. Apendicita subhepatica: durerile sunt localizate sub rebordul costal drept, fiind atribuite unei colecistite acute. Unele apendicite subhepatice sunt insotite chiar de un subicter sau icter conjunctival (semn descris de romanul Poenaru-Caplescu).
E. Apendicita in stanga (0,1%). Durerile din fosa iliaca stanga determina confuzia cu o sigmoidita acuta. Uneori se constata si situs inversus, mezenter comun sau lipsa rotatiei intestinului primitiv.
F. Apendicita herniara: inflamatia apendicelui din sacul herniar este intalnita mai frecvent la batrani. Se confunda usor cu o hernie strangulata.
Forme clinice dupa varsta
1. Apendicita la sugari - rara si grava; diagnosticul este dificil deoarece anamneza este imposibila', iar datele obtinute de la parinti sunt subiective si greu de interpretat.
2. Apendicita la copil sub 2 ani doar 2% din apendicitele la copii; este mai frecventa dupa varsta de 2 ani. La copil este mai frecventa localizarea pelvina si cea subhepatica. Debutul durerilor este brusc. Apendicita survine frecvent dupa o afectiune infecto contagioasa. Forma toxica este obisnuita. Bolnavul prezinta febra, tahicardie, varsaturi abundente. La copil astenia fizica si alterarea starii generale domina tabloul clinic. Durerile sunt frecvent difuze in tot abdomenul cu posibilitatea localizarii in fosa iliaca dreapta. La copii durerile pot ceda usor la aplicarea unei pungi cu gheata, dar atentie ca urmeaza brusc complicatiile. Se deceleaza mai greu contractura musculara deoarece plansul creste tonusul muschilor abdominali. De frica copiii mai mari nu relateaza durerea. De aceea, in timpul examinarii abdomenului se va urmari mimica micului pacient ("ceea ce ascunde cuvantul, tradeaza fata'). Semnele de iritatie peritoneala sunt importante pentru stabilirea diagnosticului. Leucocitoza, cresterea VSH-ului si proteina C reactiva permit diagnosticul corect de apendicita acuta la 96% din apendicitele copiilor.
3. Apendicita la batrani - forma mai rara, deoarece se produce o regresie a foliculilor limfoizi. Totusi bolnavii peste 60 ani reprezinta 1% din apendicectomizati (lacobovici). Reactivitatea varstnicilor este redusa si tabloul clinic este mai estompat la debut. La batrani durata suferintei pana la prezentarea la chirurgie este mai mare. Rareori la interventie se constata apendici normali (48). Diagnosticul se stabileste de obicei in momentul aparitiei complicatiilor. Starea generala a batranului este adesea buna si bolnavul este subfebril. Durerea spontana si la palpare la nivelul fosei iliace drepte este de intensitate redusa. Leucocitele pot fi mult crescute sau normale. Chiar in peritonitele apendiculare starea generala a batranilor poate fi initial relativ buna, iar la examinare lipseste contractura musculaturii abdominale; doar semnul Blumberg pozitiv ne indica prezenta unei peritonite. in final, starea generala se altereaza rapid. La peste 70 de ani se mentioneaza ca jumatate din apendicite sunt perforate, iar acestea au mortalitate de 30%.
La batrani sunt posibile trei forme clinice:
a) ocluzia febrila peritonita prin perforatie apendiculara cu ocluzie mecano-inflamatorie si febra;
b) pseudotumora: plastron, abces apendicular constatat dupa o colica apendiculara atipica sau se deceleaza la examinare direct o tumora in fosa iliaca dreapta. Tumora a prezentat o crestere progresiva, este dureroasa spontan si la palpare si se constata o alterare a starii generale. Frecventa acestei forme este de 5% din apendicitele acute ale varstnicului. Stabilirea diagnosticului diferential cu cancerul de cec si de colon ascendent este dificila. Daca situatia permite, clisma baritata evidentiaza deformarea si compresiunea extrinseca a ceco-ascendentului in plastronl apendicular spre deosebire de imaginea lacunara tipica din cancerul de colon. Diagnosticul de certitudine este uneori stabilit doar intraoperator si se confirma la examinarea intraoperatorie a apendicelui si colonului. Desigur examinarea histopatologica a apendicelui extirpat si uneori doar examinarea zonei ileocecale rezecate poate stabili cu certitudine diagnosticul;
c) apendicita cu peritonita in doi timpi
4. Apendicita si sarcina. Disgravidiile si contractiile uterine cu greturi, varsaturi si dureri abdominale sunt frecvente la gravide. Localizarea durerii spre fosa iliaca dreapta si asocierea cu febra trebuie sa ridice suspiciunea de apendicita. Durerea abdominala este cheia diagnosticului si in apendicitele acute la gravide (30). Boala este intalnita mai ales in lunile 2-5. Dupa luna a 4-a datorita dezvoltarii uterului, durerile din apendicita sunt localizate proximal de zona clasica din fosa iliaca dreapta. De mentionat ca durerile se deceleaza la palparea fosei iliace drepte daca bolnava se aseaza in decubit lateral stang. in aceasta situatie uterul gravid se deplaseaza spre stanga si apendicele este accesibil examinarii. in ultimele luni de sarcina uneori se deceleaza doar o contractura unilaterala dreapta a uterului datorita iritatiei in contact cu apendicele inflamat, iar contractura musculara a peretelui abdominal este absenta.
Apendicectomia este singura solutie terapeutica, prezinta riscul de avort, dar intarzierea operatiei determina instalarea unei peritonite foarte grave, posibil letala pentru mama si fat. Postoperator se vor administra numai medicamente fara risc teratogen. Pentru pastrarea sarcinii se vor administra antispastice si progesteron. in semestrul II de sarcina se poate opera laparoscopic cu rezultate bune.
5. Apendicita si infectia bacilara Se va preciza etiologia prin testare.
6. Apendicita si febra tifoida: exceptional apendicita reprezinta debutul unei febre tifoide.
INCIDENTA
Incidenta maxima a apendicitei acute apare in decadele a doua si a treia de viata. Afectiunea poate fi intalnita in orice perioada a vietii, dar este relativ rara la varste extreme. Barbatii si femeile sunt afectati in mod egal, cu exceptia perioadei dintre pubertate si 25 de ani, cand predomina afectarea barbatilor, in raport de 3/2. Perforatia este relativ mult mai frecventa la copiii mici si la varstnici, perioade in care si mortalitatea este cea mai crescuta
Rata mortalitatii a scazut constant in Europa si Statele Unite, de la 8,1/100 000 de locuitori in 1941, la mai putin de 1/100 000 de locuitori in 1970 si ulterior. Incidenta absoluta a bolii a scazut, de asemenea, cu aproximativ 40% intre 1940 si 1960, dar de atunci a ramas neschimbata. Totusi, diferiti factori, cum ar fi schimbarea obiceiurilor alimentare, alterarea florei intestinale si o alimentatie mai echilibrata, cu aport crescut de vitamine, ar explica incidenta redusa, dar motivele reale nu au fost elucidate. Incidenta globala a apendicitei este mult mai scazuta in tarile subdezvoltate, in special in regiuni ale Africii, si in regiuni cu dezvoltare socio-economica redusa
DIAGNOSTIC
-DIAGNOSTIC POZITIV SI DIFERENTIAL-
Diagnosticul pozitiv se stabileste clinic pe baza triadiei simptomatice: dureri abdominale, varsaturi, stare febrila, si este sustinut de explorarile paraclinice.
Diagnosticul ramane o problema de mare responsabilitate din cauza riscurilor la care expune orice omisiune. Clinic este de mare utilitate ''triada Dieulafoy'' - hiperestenzie cutanata, sensibilitate la presiune si contractura musculara - la bolnavii care se prezinta pentru sindrom dispeptic instalat brusc, dureri abdominale cu intensitate maxima in cadranul inferior drept si sindrom febril. Formele tipice, cu simptomatologie completa, nu constituie dificultati de diagnostic. Acestea incep cu formele incomplete, fruste, cu localizari atipice. Din acest motiv suspiciunea de apendicita acuta trebuie formulata sistematic in prezenta oricarui semn din cele care pot surveni in evolutia bolii, la orice bolnav neapendicectomizat, si uneori chiar la cei operati (apendice dublu, cicatrice cutanata fara apendicectomie). Examenul obiectiv complet, inclusiv tuseul rectal sau vaginal si urmarirea dinamica trebuie sa certifice diagnosticul in primele ore, dupa necesitati, in consult cu chirurgul, ginecologul, infectionistul sau urologul. Totdeauna se impun cateva investigatii simple dar decisive.
Diagnosticul diferential
Diagnosticul diferential poate include intreaga patologie abdominala si cu deosebire toate varietatile de abdomen acut.
Afectiuni medicale. Afectiunile respiratorii cu junghi toracic drept (pneumonii, pleurezii bazale) sunt usor de diferentiat clinic si radiologie de apendicita. La copil, in pneumonii, se poate constata si un punct dureros in fosa iliaca dreapta. Gastroenteritele acute, febra tifoida, dizenteria, tifosul exantematic, debutul unei hepatite epidemice prin dureri abdominale, virozele cu manifestari digestive trebuie recunoscute deoarece interventia chirurgicala este contraindicata.
Limfadenita mezenterica se caracterizeaza prin discrepanta dintre simptomele generale alarmante (cefalee, tuse, febra, dureri musculare difuze) si suferinta redusa din fosa iliaca dreapta; numarul de leucocite este normal sau chiar scazut. In incertitudinea diagnosticului de limfadenita la interventie se constata un apendic normal si ganglionii mezenterici inflamati. Unele forme de pancreatita acuta, mai ales edematoasa, pot fi confundate cu apendicita. Infectiile cu Yersinia (enterocolitica sau pseudotuberculosis determina sindroame clinice diferite de adenita mezenterica, ileita, colite si apendicita acuta. Infectia poate fi limitata sau generalizata. La suspiciunea acestui diagnostic interventia nu trebuie amanata daca durerile sunt in fosa iliaca dreapta, deoarece diferentierea de alte apendicite nu se poate face clinic. Recent, in sindromul dureros al fosei iliace drepte, de etiologie neprecizata, se recurge la interventii laparoscopice, care precizeaza diagnosticul si permit la nevoie sanctiunea chirurgicala pe cale laparoscopica sau prin conversiune la operatia clasica.
Boala Crohn prin dureri, febra, aparare musculara poate fi confundata cu o apendicita
Unele afectiuni medicale, mai rare, ca purpura abdominala Schonlein Henoch, colica saturnina, crizele tabetice, porfirinuria, reactii anafilactice abdominale pot determina tablouri clinice de fals abdomen acut si se pot confunda cu o apendicita.
Afectiuni urologice. in colica renala dreapta, durerile debuteaza in regiunea lombara dreapta si iradierea este specifica; prezenta tulburarilor urinare si manevra Giordano pozitiva in dreapta, sunt caracteristice. Diagnosticul clinic este mai dificil in situatia unui calcul ureloral pelvin. Radiografia renala simpla si examenul sumar de urina furnizeaza date utile diagnosticului diferential. Cistopielita si pielonefrita au o simptomatologie clinica usor de diferentiat de apendicita acuta. Ecografia este foarte utila pentru diagnosticul diferential Se cunosc pacienti litiazici care au antecedente de eliminare a numerosi calculi din dreapta, dar la care o noua durere, eventual usor modificata fata de cele anterioare, a fost determinata de o apendicita acuta si sub tratament antispastic diagnosticul corect a fost stabilit tardiv in faza de peritonita cu evolutie uneori chiar infausta ("colica, colica dar sa nu perforeze').
Afectiuni ginecologice acute utero-anexiale: se vor diferentia prin tuseu vaginal. Confuzia cu un piosalpinx, rupt sau nu, cu o anexita acuta dreapta, cu un chist de ovar eventual torsionat, cu ruptura unui folicul De Graaf sau cu o sarcina extrauterina dreapta, nu este grava deoarece au indicatie chirurgicala; durerile sunt prezente si la jumatatea ciclului (Mittelschmerz din a 14-a zi de ciclu al autorilor germani) sau in flirt apendiculo-anexial (Pozzi). Greata si varsaturile fara simptome abdominale clare la o femeie tanara pot fi prezente in cadrul disgravidiei din primele luni de sarcina, dar anamneza si examenul ginecologic clarifica diagnosticul.
Afectiuni chirurgicale. in colecistita acuta durerile sunt localizate in hipocondrul drept si iradiaza spre umarul drept; apendicitele acute retrocecale subhepatice pot fi confundate cu o colica biliara sau o colecistita. Inflamatiile diverticulului Meckel se deosebesc de apendicita prin sediul centro-abdominal al durerilor; recunoasterea se face de obicei doar in cursul operatiei. in ulcerul perforat pot fi prezente dureri in fosa iliaca dreapta determinate de scurgerea continutului digestiv prin firida parieto-colica dreapta; in ulcerul perforat durerile au debut brusc ("lovitura de cutit') cu sediul epigastric insotite de contractura abdominala, la un bolnav initial afebril, care adesea are antecedente de ulcer.
Peritonita apendiculara trebuie diferentiata de celelalte tipuri de peritonite si in primul rand de ulcerul perforat. Formele neglijate cu ileus paralitic trebuie deosebite de ocluziile intestinale. Alte afectiuni chirurgicale care trebuie excluse sunt infarctul entero-mezenteric, pancreatita acuta si ocluzia intestinala
Plastronul apendicular trebuie diferentiat de neoplasmele de cec sau colon, de tuberculoza ileo-cecala, de ileita terminala si localizarile ileale si colice ale bolii Crohn, de invaginatiile ileocecale, de chisturile de ovar drept torsionate, de tumorile retroperitoneale, de volvulus intestinal sau cecal, de ptoza renala dreapta, abces de psoas, torsiune de epiploon, epiploite etc.
Anamneza atenta, mai ales la varstnici, permite decelarea unor pseudo-apendicite proximal de un neoplasm de colon. Prezenta inapetentei, a scaderii ponderale si a tulburarilor de tranzit in ultimele luni atrage atentia asupra posibilitatii cancerului de colon. La radiografia abdominala pe gol se deceleaza nivele hidro-aerice situate mai frecvent la unghiurile colonului. In prezenta acestui context clinic interventia chirurgicala efectuata in urgenta, mai ales in situatia unui sindrom ocluziv impune laparotomia mediana, care permite explorarea corecta a cavitatii peritoneale si sanctiunea chirurgicala adecvata.
Diagnosticul diferential al apendicitei acute se va face in functie de forma topografica.
Apendicitele retrocecale trebuie deosebite mai ales de afectiunile urologice. Apendicitele descendente (pelvine) la femei trebuie diferentiate de afectiunile ginecologice. Formele subhepatice pot mima o colecistita acuta sau un hidrops vezicular. Apendicitele mezoceliace, retroileale sunt dificil de diagnosticat, deoarece predomina ileusul si durerile centroabdominale. Apendicita acuta in stanga este rara si greu de diagnosticat; daca nu se deceleaza un situs inversus diagnosticul este orientat de obicei catre colita, sigmoidita sau diverticulita.
La copil se impune diagnostic diferential cu peritonita primitiva pneumococica la care febra este inalta de la inceput, iar la examenul clinic se constata un focar primitiv pulmonar sau pleural si examenul de laborator evidentiaza o nefroza. Incertitudinea diagnosticului poate impune o mica laparotomie prin care se verifica aspectul apendicelui, se recolteaza lichidul sau puroiul din cavitatea peritoneala si se decide daca trebuie efectuata sau nu apendicectomia.
Apendicectomiile
abuzive studii recente au evidentiat apendicectomii pe
apendici indemni la examenul histopatologic. Procentul acestora depinde de legislatia
sanitara, de nivelul economic din teritoriul respectiv. Procentajul acestor
apendicectomii abuzive este diferit. Statistica finlandeza - 12%, statistica
Tratamentul apendicitei acute
Gravitatea si frecventa crescuta a complicatiilor posibile din apendicita acuta neoperata contrasteaza cu evolutia favorabila a bolnavilor dupa interventia efectuata in timp util. Terapia medicala cu antibiotice, antispasticele si punga cu gheata la nivelul fosei iliace drepte nu asigura vindecarea apendicitei acute; frecvent dupa o scurta perioada de ameliorare urmeaza etapa complicatiilor cu risc major si interventii chirurgicale mult mai dificile (50% din bolnavii ameliorati recidiveaza, iar la 10% din acestia survine perforatia apendicitei acute in intervalul pana la un an). (19) in acest context se accepta astazi practicarea ablatiei chirurgicale a apendicelui in urgenta ca metoda optima de tratament. Se recomanda tratamentul chirurgical radical in toate cazurile de apendicite acuta. Tratamentul chirurgical profilactic, adica apendicectomia la toti copiii, incercat de chirurgii americani intr-o anumita perioada a fost abandonat datorita riscurilor si complicatiei unei apendicectomii pe un apendice absolut indemn. In aceasta situatie in prezent indicatiile apendicectomiei profilactice se fac doar la:
persoane care stau izolate un timp indelungat: marinari, exploratori, astronauti;
persoane in care se investesc fonduri mari pentru un anumit moment: sportivi de mare performanta, care se pregatesc pentru marile concursuri internationale.
Expectativa sub tratament medical nu este acceptata in apendicitele acute cu exceptia blocului apendicular. Clismele evacuatorii si administrarea de purgative si analgetice majore sunt contraindicate in situatia cand suspicionam o posibila apendicita acuta. Diagnosticarea apendicitei acute in primele 48 de ore de la debut impune de urgenta apendicectomia, la care se asociaza, cand e indicat, drenajul cavitatii peritoneale. in peritonita apendiculara difuza interventia chirurgicala se amana cateva ore, in functie de starea bolnavului pentru instituirea terapiei de reechilibrare hidro-electrolitica si volemica. Aceste dezechilibre sunt rezultatul acumularii de lichide intraperitoneal si in ansele intestinale.
Anestezia
Anestezia pentru apendicectomia clasica deschisa poate fi generala cu intubatie oro-traheala, rahidiana, peridurala sau locala
Incizia
Aperidicectomia clasica este o interventie simpla din punct de vedere tehnic, rapida si practicabila in conditii foarte bune printr-o incizie relativ mica si acceptabila pentru estetica pacientului. In formele grave de apendicita sa nu uitam insa ca este preferabila o incizie mai mare care sa permita interventia chirurgicala la vedere in conditii optime, ceea ce favorizeaza o evolutie postoperatorie buna, fara complicatii, mai ales supuratii ale plagii. A nu se uita unele recomandari de tipul "chirurg mare, incizie mare', chiar daca pacientii solicita o miniincizie neadecvata leziunilor lor apendiculare daca preoperator tabloul clinic pledeaza pentru leziuni apendiculare avansate.
Inciziile pentru apendicectomie pot fi:
oblice: Mc Burney (1889), Roux, Sonnenburg, Finney, Morris. Aceste incizii nu sacrifica musculatura, inervatia sau vascularizatia peretelui;
verticale: pararectala (Jalaguier - se incizeaza foita anterioara si posterioara a tecii muschiului drept abdominal din dreapta si se tractioneaza acest muschi catre linia mediana), transrectala (prin dreptul abdominal), mediana - verticala;
transversale (Chaput, Delageniere);
unghiulare (Willy-Meyer, Fowler, Edebols).
Incizia obisnuita pentru apendicectomie (Mc Burney - 1889) este situata la 3 cm (aproximativ 2 laturi de degete) de spina iliaca antero-superioara dreapta, perpendicular pe linia de unire cu ombilicul si cu lungimea de 12 cm (4 cm deasupra, si 8 cm sub aceasta linie, dupa Mc Burney), care in prezent a fost desigur mult diminuata. Dupa incizia tegumentelor si tesutului celular se sectioneaza fascia oblicului mare si se disociaza muschiul oblic mic si transvers abdominal. Nu se sectioneaza muschii, nu se sacrifica vase si nervi. Incizia Mc Burney se poate prelungi la nevoie la nivelul tecii dreptului abdominal proximal sau distal in functie de necesitate; in aceasta situatie trebuie o atentie deosebita la refacerea peretelui abdominal, datorita caracterului unghiular al inciziei bransate in situatia extinderii laparotomiei. Se prinde peritoneul cu pense anatomice, apoi se sectioneaza peritoneul si se patrunde in cavitatea peritoneala.
Explorarea cavitatii peritoneale evidentiaza prezenta lichidului seros, purulent (inodor sau foarte fetid in peritonite), care se poate preleva si pentru antibiograma.
Cautarea si exteriorizarea apendicelui
Orientandu-se dupa tenii se recunoaste cecul care se exterioreaza; la unirea celor 3 tenii se afla baza apendicelui. Se repereaza si se exterioreaza apendicele in plaga.
Exereza apendicelui
Apendicectomia poate fi efectuata prin tehnica
directa, retrograda sau prin decorticare subseroasa. Se leaga mezoul
apendicelui care contine artera apendiculara. Se plaseaza pe cec o bursa cu fir
neresorbabil, se zdrobeste apendicele in apropierea bazei cu o pensa si apoi se
leaga la acest nivel cu un fir resorbabil (catgut, Vierii). Se sectioneaza
apendicele imediat distal de ligatura cu un bisturiu cu iod si se dezinfecteaza
transa prin badijonare cu iod. Se infunda bontul apendicular legandu-se bursa.
Se poate aplica o a doua bursa sau un fir in "Z'. Zona infundarii se poate
acoperi cu mezoapendicele, ceea ce constituie mezoplastia. in peritonitele
apendiculare este indicata toaleta peritoneului si spalarea cavitatii
peritoneale; este obligator drenajul in focar, eventual si in
Refacerea peretelui
in continuare se inchide peretele pe straturi anatomice.
in unele apendicite congestive se poate utiliza daca este posibila tehnica de infundare a apendicelui ca un deget de manusa in cec cu ajutorul unui fir in bursa dupa ce initial s-a legat mezoul si s-a triturat baza apendicelui cu o pensa (procedeul A. Tassos). Acest procedeu este imposibil la apendicele care prezinta zone de stenoza sau in lungimi excesive ale apendicului, respectiv, in inflamatii cu peretele friabil.
Bontul apendicular se infunda de obicei, dar in situatia in care cecul este cartonos si bursa ar putea leza peretele la tentativa de strangere, se lasa atunci bontul neinfundat. in astfel de situatii ligatura apendicelui se face cu fir neresorbabil si evolutia este adesea foarte buna. in apendicectomiile obisnuite bontul se poate infunda cu una, doua burse - de obicei suficient, respectiv fir in "Z'. Exceptional se pun trei burse.
Evolutia bolnavului apendicectomizat este de regula benigna. In peritonitele apendiculare este necesara postoperator reechilibrarea corecta hidroelectrolitica. Antibioterapia energica se instituie preoperator sau intraoperator si este absolut necesara in apendicitele gangrenoase si peritonite.
Incidentele intraoperatorii sunt relativ rare. Mentionam posibilitatea de a surveni:
lezarea anselor intestinale sau a cecului la izolarea apendicelui in blocul apendicular;
hemoragia prin deraparea ligaturii de pe mezoapendice;
hemoragie la plasarea firului de bursa pe cec si lezarea arteriolelor cecului.
Complicatiile postoperatorii
Sunt rare la bolnavii operati la timp si frecvente, grave, la cei operati tardiv (10% la apendicitele neperforate si 20% la apendicitele perforate). Pot surveni:
infectii: abcesul peretelui (preaponevrotic, subaponevrotic); abcese reziduale intraabdominale, peritonite generalizate;
hemoragii: in situatia deraparii ligaturii de pe artera apendiculara rezulta un hemoperitoneu sau un hematom voluminos, impunand reinterventia de urgenta;
ocluzii: precoce mecano-inflamatorii (dupa 5-6 zile) sau tardive prin bride si aderente; se impune diferentierea ileusului paralitic de ocluzie mecanica;
fistule digestive: cecale, ileale. La nivelul plagii apar secretii fetide specifice. Fistulele sunt rezultatul deraparii ligaturii si dezunirii bontului apendicular, al leziunii intraoperatorii la nivelul cecului sau ileonului in blocul apendicular disecat intempestiv, sau leziuni de decubit realizate de tuburi de dren compresive. Fistula stercorala postapendicectomie se trateaza initial conservator deoarece inchiderea spontana survine adesea. in esecul tratamentului conservator se impune reinterventia, care realizeaza inchiderea fistulei la nivelul intestinului si plasarea unor drenaje in apropiere;
peritonite localizate sau difuze;
corpi straini (uitati intraperitoneal: tampoane, comprese);
apendicitele "reziduale' dupa drenajul blocului apendicular sau dupa o extirpare partiala a apendicelui;
complicatii medicale: pneumonie, tromboflebite, embolii pulmonare.
Mortalitatea postapendicectomie, inclusiv in complicatii este de 0,2% in statisticele recente. Morbiditatea prin complicatii dupa apendicectomie este de pana la 20%.
In plastromul apendicular mai vechi de 5 zile si in lipsa semnelor de reactie peritoneala se interneaza pacientul la spital la chirurgie si se urmareste atent si continuu evolutia sub tratament medical. Terapia consta in repaus la pat, regim hidric, antibiotice cu spectrul larg si in doze mari, analgezice, reechilibrare hidro-electrolitica si comprese reci (de obicei punga cu gheata) la nivelul fosei iliace drepte. Daca sub tratament medical semnele obiective indica remisiunea, se temporizeaza interventia si se continua tratamentul medical pana la disparitia blocului.
Semnele remisiunii sunt:
reducerea progresiva a diametrului pana la disparitia tumorii;
ameliorarea starii generale si reluarea tranzitului intestinal;
remisiunea febrei;
normalizarea progresiva a rezultatelor investigatiilor paraclinice.
Semnele evolutiei nefavorabile sunt:
alterarea progresiva a starii generale a bolnavului;
febra de tip supurativ;
cresterea leucocitelor spre 20 000/mmc;
persistenta, cresterea diametrului plastronului si mai ales ramolirea sa centrala, deci constituirea abcesului.
La 2-3 luni dupa stingerea fenomenelor inflamatorii acute prin tratament medical se recomanda efectuarea interventiei radicale, adica apendicectomia. in cazul evolutiei spre plastron abcedat, simptomele devin alarmante si se recomanda interventia chirurgicala de drenaj spre exterior a abcesului. In situatia blocului apendicular operatia de apendicectomie este riscanta datorita aderentelor la nivelul viscerelor. De aceea apendicectomia va fi efectuata daca apendicele se ofera extirparii si se renunta daca recunoasterea elementelor anatomice si disectia este dificila si cu riscul lezarii anselor intestinale. Evidentierea riscanta si dificila este frecventa. De aceea se recomanda sa se limiteze interventia la evacuarea abcesului si plasarea unui tub de dren in focar. in situatia lasarii apendicelui pe loc se va interveni dupa 6 luni si se efectueaza apendicectomia. Adesea se gaseste doar un rest de apendice, portiunea sa distala fiind amputata spontan in procesul de abcedare a plastronului. Se recomanda apendicectomia bontului apendicular deoarece astfel se previne o noua apendicita cu evolutie frecvent grava.
Apendicectomia "clasica', "deschisa' este o interventie realizabila in anestezie rahidiana sau locala, simpla din punct de vedere tehnic, rapida si practicabila in conditii foarte bune chiar printr o incizie mica si acceptabila pentru estetica pacientului, in ultimii ani a fost introdusa tehnica de apendicectomie laparoscopica [Semm (1983)]. Aceasta tehnica este inca dezbatuta si are o raspandire redusa in prezent in comparatie cu acordul unanim asupra colecistectomiei laparoscopice.
Avantajele apendicectomiei laparoscopice sunt:
evolutie postoperatorie mai buna;
reinsertia profesionala si sociala mai rapida;
prevenirea aderentelor postoperatorii.
Dezavantajele apendicectomiei laparoscopice ar fi:
necesitatea, respectiv, imobilizarea si uzarea instrumentarului si echipamentului complex de laparoscopie (argument in tarile cu posibilitate economica limitata);
necesitatea unei echipe antrenate in chirurgia laparoscopica;
necesitatea anesteziei generale;
durata crescuta a operatiei;
dificultatile tehnice;
riscurile diseminarii infectiei (procentul mai mare de abcese intraperitoneale).
Indicarea apendicectomiei laparoscopice se justifica in sindromul dureros de cadran abdominal inferior drept la femeie, la obezi si eventual pentru unele considerente estetice. in prezent nu exista un consens pentru indicarea interventiei laparoscopice in apendicita certa. Se cunosc statistici cu apendicectomii laparoscopice in ambulator.
Apendicectomie laparoscopica este in perioada de testare si dezvoltare eficace; datele asupra fezabilitatii si sigurantei de executie provin deocamdata din centre de referinta, supraantrenate in chirurgia laparoscopica si deci nu sunt inca un standard. Se dezbat diferitele atitudini posibile. S-a testat laparoscopia pentru stabilirea diagnosticului corect si in situatia prezentei leziunilor apendiculare se continua cu apendicectomie laparoscopica. Infirmarea diagnosticului si renuntarea la interventie chirurgicala este reprezentata de aproape 20% din cazuri.
Tehnica laparoscopica este contraindicata in situatiile unei dotari cu echipament neadecvat sau de experienta insuficienta a echipei de chirurgie laparoscopica si in mucocelul apendicular.
Tehnica apendicectomiei laparoscopice consta in realizarea insuflatiei peritoneului cu ajutorul acului Veress, in introducerea a trei trocare pentru telescop si instrumentele chirurgicale. Initial, operatorul va examina obligatoriu scopic cavitatea peritoneala si va aprecia pe baza bilantului lezional daca este indicata si daca se poate extirpa laparoscopic apendicele. in situatiile mai dificile se identifica in special cecul si ileonul, apoi se repereaza apendicele in apropierea jonctiunii acesteia. Localizarile retrocecale necesita mobilizarea cecului si a colonului ascendent. in abcesele apendiculare si perforatiile apendiculare debridarea se face cu blandete iar puroiul se spala prin irigatii abundente cu ser fiziologic, urmate de aspiratie; pozitionarea bolnavului in Trendelenburg risca sa contamineze spatiile subfrenice si sa favorizeze ulterior dezvoltarea abceselor subfrenice.
Mezoapendicele se diseca si se sectioneaza cu electrocauterul, iar pe artera apendiculara se plaseaza clipuri hemostatice. Pe apendice se aplica o ansa cu catgut si apoi se sectioneaza apendicele. La nevoie se poate drena peritoneul.
Conversia operatiei laparoscopice la tehnica deschisa (peste 10%) este impusa de:
pozitia anormala a apendicelui;
imposibilitatea identificarii apendicelui;
apendicita perforata cu peritonita generalizata grava;
aderente extinse in fosa iliaca dreapta;
abcesele periapendiculare;
tumori apendiculare, mai ales mucocel cu risc de rupere;
accidente hemoragice sau alte complicatii operatorii care nu pot fi rezolvate laparoscopic.
Apendicita acuta, boala foarte cunoscuta si frecventa, determina inca decese si vina nu este intotdeauna a bolnavului prin neprezentare la medic sau a destinului. Intarzierea interventiei chirurgicale si dezvoltarea peritonitei apendiculare creste mult riscurile si mortalitatea care ajunge la 3%.
In apendicita acuta greselile de diagnostic sau complicatiile interventiilor au intotdeauna un rasunet amplu. Boala si operatia sunt considerate simple si in principiu fara riscuri de catre familie si pacient. Chirurgul trebuie sa abordeze cu o deosebita atentie si aceasta afectiune care face parte din abdomenul acut, deoarece surprizele intraoperatorii sunt frecvente si uneori dificil de rezolvat pentru chirurgul incepator sau cu experienta operatorie medie. Atentie deosebita necesita infundarea bondului apendicular in necrozele apendiculare propagate la cec, care pot impune chiar o ileohemicolectomie in urgenta. Viitorul poate aduce inca surprize in apendicita acuta. Dezvoltarea aparaturii medicale permite azi efectuarea de microlaparoscopii diagnostice cu tuburi cu diametrul sub 2 mm si stabilirea astfel cu certitudine a diagnosticului. Prin colonoscopie retrograda s-a intubat orificiul apendicelui si s-a aspirat puroiul obtinandu-se remisiunea clinica; insa dupa cinci luni, cand s-a efectuat apendicectomia, la respectivul pacient considerat asimptomatic, examenul anatomopatologic a constatat pe langa portiuni fibrozate si leziuni ulcero-flegmonoase ale apendicelui (40). De asemenea, nu este inca stabilit locul interventiei laparoscopice in tratamentul apendicitei acute.
DIAGNOSTICUL DE NURSING
Pornind de la informatiile culese si de la departajarea manifestarilor de dependenta, asistenta poate sa defineasca problemele pacientului si sa puna un diagnostic de ingrijire (de nursing).
DEFINITIE: Diagnosticul de nursing reprezinta enuntul unei judecati clinice asupra reactiilor la problemele de sanatate prezente sau existentiale, la evenimente de viata ale unei persoane, familii sau unei colectivitati, altfel spus diagnosticul de ingrijire reprezinta o forma simpla si precisa care descrie raspunsul (reactia) persoanei (grupului) la o problema de sanatate.
Diagnosticul de nursing este format din
Ø problema de dependenta a persoanei
Ø cauza problemei de dependenta
Ø semne si simptome
Sau formula PES:
Ø probleme de dependenta
Ø etiologie (cauza);
Ø semne, simptome.
Diagnosticul de ingrijire este de trei tipuri
Ø diagnostic actual- manifestarile de dependenta sunt prezente si observabile
Ø diagnostic potential- poate surveni o problema daca nu se previne aparitia ei
Ø diagnostic posibil- descrie o problema a carei prezenta nu este sigura (personalul atentionat poate infirma sau confirma diagnosticul).
Formularea diagnosticului de nursing se face pornind de la informatiile culese, analiza si interpretarea lor de nursa si exprima problema pacientului, cauza acestei probleme si semnele prin care se manifesta.
ROLUL NURSEI IN INGRIJIREA BOLNAVIILOR CU APENDICITA ACUTA
Rolul nursei este important si priveste toate masurile necesare pentru diagnostic si tratament. Bolnavii trebuie supravegheati permanent si orice semn nou aparut (varsaturi, hemoragii, convulsii etc.) va fi semnalat medicului. O mare atentie trebuie acordata igienei: spalarea bolnavului, schimbarea lenjeriei de corp si de pat, supravegherea si notarea deranjelor operatorii, urmarirea si notarea zilnica in grafic, a functiilor vitale (TA, puls, temperatura, respiratie, diureza, tranzit intestinal pentru gaze si materii fecale si efectuarea zilnica a bilantului hidric).
Nursa instituieste si urmareste respectarea recomandarilor dietetice pre si postoperatorii.
Nursa trebuie sa obtina consimtamantul scris al pacientului pentru efectuarea:
Ø investigatiile clinice si paraclinice (pentru stabilirea diagnosticului);
Ø pregatire preoperatorii (in vederea efectuarii investigatiei chirurgicale);
Ø sa pregateasca documentele medicale (fisa de consultatii, foaia de observatie clinica, rezultatele examinarii);
Ø administrarea tratamentului medicamentos si a tuturor masurilor terapeutice ce au drept scop vindecarea/ameliorarea afectiunii pentru care pacientul s-a internat.
Ø sa pregateasca materialele si instrumentele necesare interventie chirurgicale;
Ø nursa trebuie sa
specifice educatia sanitara.
Materiale si metoda de lucru
Efectuarea pansamentului
Pansamentul este actul chirurgical prin care se aseptizeaza, se trateaza si se protejeaza o plaga cu scopul de a-I favoriza vindecarea, cicatrizarea.
Cerintele unui bun pansament sunt:
Ø sa izoleze bine plaga de mediul exterior;
Ø sa fie executat cu materiale sterile si in conditii de perfecta asepsie;
Ø sa fie in functie de plaga: hemostatic in plagile sangerande, absorbant in plagile supurante, protector;
Ø sa nu fie dureros;
Ø sa fie bine fixat;
Ø sa nu fie prea strans sa nu impiedice circulatia.
Materiale necesare pentru efectuarea unui pansament;
Ø pense anatomice si chirurgicale;
Ø pense hemostatice Pean si Kocher;
Ø foarfece chirurgicale;
Ø sonda canelata;
Ø suflet butonat;
Ø bisturiu;
Ø chiureta;
Ø port-ac;
Ø ace pentru sutura;
Ø pensa de pus si scos agrafe Michel;
Ø materiale pentru drenaj: tuburi de cauciuc, lame de cauciuc;
Ø materiale pentru sutura: ata chirurgicala de diferite grosimi, cadgut, agrafe Michel;
Ø materiale moi, sterile in casolete: comprese tifon de diferite marimi, tampoane de vata, mese, vata.
Solutii degresante: benzina iodata, eter, bromocet.
Solutii antiseptice: apa oxigenata, alcool medicinal, alcool iodat, tinctura de iod, solutie de nitrat de argint 1%, 3% solutie de permanganat de potasiu 1/5000, 1/6000, solutie Dakin, solutie de cloramina, rivanol, ser fiziologie, nitrat de argint sub forma de cristale sau creion, pulberi de sulfamide, acid boric.
Unguente: oxid de zinc, cu sulfamida, antibiotice, vaselina.
Spray-uri: Bioxiteracol.
Materiale si solutii de lipit: Galifix, leucoplast, Mastisol.
Alte materiale: manusi sterile, degete de manusi, ace de siguranta, tavita renala, fesi de diferite marimi, spirtiera, chibrituri. Se mai pot adauga si alte materiale si instrumente in functie de specificul sectiei.
Tehnica de executare
Pansamentele se fac in sala de pansamente. In fiecare sectie de chirurgie trebuie sa existe o sala pentru pansamente aseptice si o sala pentru pansamente septice. Numai in cazuri cu totul exceptionale pansamentele se vor efectua la pat (bolnavi cu contraindicatie neta de transport). Sala de pansamente ofera, fata de salonul bolnavului, conditii optime de lucru. Aici plaga operatorie poate fi curatata fara riscul de a se murdari lenjeria de pat, se pot face manevrele necesare unui pansament corect, iar ceilalti pacienti bolnavi sunt feriti de traumatisme psihice inutile. Deplasarea bolnavului in sala de pansamente, mai ales pe propriile picioare, este un factor ajutator insanatosirii lui: de aceea si din acest motiv este recomandabil ca pansamentele sa se efectueze in sala de pansamente. In cazul in care bolnavul nu poate sa mearga la sala de pansamente , el va fi transportat pe brancarda sau pe un scaun cu rotile. Medicul si asistenta medicala vor avea insa grija sa nu lase bolnavii sa astepte la usa salii de pansamente in conditii incomode, ci ii vor programa in asa fel, incat atunci cand acestia sosesc (intotdeauna adusi din camera lor de catre un cadru mediu sau auxiliar), sa fie introdusi imediat in sala de pansamente.
Tot pentru a feri bolnavii de traumatisme psihice inutile, in sala de pansamente bolnavii vor fi introdusi unul cate unul. Trebuie sa se tina seama ca bolnavii in genere au o jena fireasca atunci cand altii din jurul lor asista la efectuarea pansamentelor lor.
In timpul efectuarii pansamentului, bolnavul va sta culcat pe masa de pansamente, si nu pe scaun, chiar atunci cand este vorba de o plaga de minima importanta deoarece adeseori, bolnavii cu un tonus nervos aparent bun, pot face stari lipotimice si pot cadea de pe scaunul pe care sunt asezati. Cu atat mai mult ei trebuie sa stea in picioare.
Pansamentele se vor efectua numai cu ajutorul penselor si totdeauna cu doua pense. Este absolut contraindicata ridicarea pansamentelor cu mana. Mai mult chiar, este indicat, indeosebi pentru plagile infectate, cu pansamentele sa fie executate cu manusi sterile.
In timpul executarii pansamentului, asistenta medicala care efectueaza sau ajuta medicul la executarea pansamentului trebuie sa dea dovada de foarte multa intelegere fata de bolnav, mai ales pentru cei carora li se fac pansamente ce provoaca dureri. In timpul unui pansament manevrele trebuie sa fie extrem de blande si sa se incerce a se indeparta atentia bolnavului de la actul care se executa. Nu rareori medicul poate sa indice ca unele pansamente - mai ales cele care se executa la bolnavii cu plagi intinse sau arsuri - sa se faca sub anestezie generala sau dupa efectuarea prealabila a unei injectii cu mialgin sau cu algolcamin , sau fortral. Pentru aceasta, asistenta medicala trebuie sa aiba pregatire cele necesare, sau sa se asigure ca injectia calmanta s-a administrat cu circa 30 de minute inainte de efectuarea pansamentului.
Pentru executare pansamentului se va proceda astfel:
Ø se desface fasa aplicata peste pansament, cu multa blandete. Este preferabil ca aceasta fasa sa fie taiata cu o foarfeca butonata pe partea opusa plagii, in loc de a fi desfasurata. Daca pentru fixarea pansamentului nu s-a folosit fasa, ci o compresa lipita cu mastisol, se va dizolva mastisolul cu un tampon inmuiat in benzina sau eter.
Daca pansamentul a fost lipit cu leucoplast, desfacem cu blandete banda de leucoplast de pe piele. Nu folosim benzina, pentru ca aceasta face ca stratul aderent al leucoplastului sa ramana pe piele si curatirea acestuia este foarte anevoioasa.
Ø se ridica vata si compresele care acopera plaga. Pentru desprinderea compreselor de pe plaga atunci cand acestea sunt aderente, se foloseste, fie o imbibare puternica cu ser fiziologic sau apa oxigenata, care se toarna pe plaga (dupa cateva minute de asteptare serul sau apa oxigenata desfac compresele de pe plaga), fie o baie calduta, indelungata, intr-un vas steril, in care s-a pus o solutie foarte diluata de permanganatde potasiu sau un detergent slab. In aceasta baie se introduce segmentul de corp pe care exista plaga;
Ø dezinfectarea plagii si a zonelor din jurul plagii se va face conform unei tehnice extrem de stricte. Astfel, imediat dupa ce fost ridicat pansamentul, se face o curatire sumara a plagii daca ea este prea murdara, dupa care sunt sterse bine tegumentele cu un tampon inbibat in neofalina sau eter pornind circular si centrifug, din apropierea plagii catre exterior. Nu se va proceda invers, deoarece exista riscul de a se infecta plaga cu germenii de pe piele, care sunt adusi in plaga. Apoi, se aseptizeaza tegumentele din jurul plagii cu tinctura de iod diluata cu alcool, executandu-se badijonarea, de asemenea, dinspre plaga spre exterior. Se revine apoi la plaga, care este tratata in functie de caracterul ei, folosindu-se solutiile antiseptice sau alte preparate, in functie de necesitati si indicatii.
Plaga care se panseaza trebuie lasata la sfarsitul pansamentului pe cat posibil curata, fara secretii. Pentru acesta, se va face curatirea cu tampoane uscate sau imbibate in solutii antiseptice. La nevoie se va folosi spalarea plagii cu un curent de solutie calduta de permanganat de potasiu si se vor extirpa sfacelurile cu foarfecele.
In caz ca plaga este drenata, se va controla daca tuburile de dren functioneaza in perfecte conditii ( sunt plasate in locul indicat, nu sunt astupate si au un calibru suficient, daca pe ele se scurg secretii).
Se acopera plaga cu comprese. Compresele cu care acoperim plaga trebuie sa depaseasca plaga in toate directiile cu cel putin 5-6 cm. In orele sau zilele care urmeaza dupa pansament, trebuie sa existe grija ca aceasta sa nu se miste de pe plaga.
Pansamentul sa fie facut cu material suficient (comprese si vata), pentru a retine toate secretiile si a nu risca sa se imbibe rufaria bolnavului sau cea de pat cu germeni patogeni.
Pansamentul, o data aplicat pe plaga, se fixeaza cu mastisol, leucoplast sau fasa.
Mastisolul se aplica pe piele, de jur imprejurul materialelor (comprese, vata) cu care s-a facut pansamentul, foarte aproape de aceste comprese, intr-o pelicula fina si pe o latime de circa 3 cm. Pielea trebuie sa fie lipsita de par, astfel compresa nu adera. Aplicarea se face cu ajutorul unui tampon de vata care se inmoaie in mastisol. Nu se va utiliza acelasi tampon la mai multi bolnavi, pentru a se evita transmiterea de germeni infectiosi. Dupa aplicarea mastisolului se asteapta 20-30 secunde, pentru a se evapora cea mai mare parte din solventul (benzenul) in care este dizolvata substanta adeziva (colofoniul), dupa care se aplica o compresa de tifon suficient de larga ca sa acopere tot pansamentul aplicat pe plaga si toata zona pe care s-a dat pelicula de mastisol. Excesul de tifon se taie cu un foarfece special, care evita ranirea pielii bolnavului.
Unii bolnavi au o sensibilitate speciala la mastisol. De cate ori se observa reactii de intoleranta, se va renunta la acesta.
Benzile de leucoplast se lipesc usor de piele, cu conditia ca aceasta sa fie lipsita de par.
Ori de cate ori exista cea mai mica banuiala ca plaga va secreta atat de mult incat secretia sa depaseasca pansamentul si totdeauna cand plaga este drenata, peste pansament se va aplica un cearceaf mic (o aleza), indoit in patru. Asistenta medicala va reveni frecvent la astfel de bolnavi si va cerceta daca pansamentul s-a imbibat mult, daca da, pansamentul se va reface. In toate aceste cazuri se va aseza peste cearsaful care acopera salteaua bolnavului o musama cauciucata, sau o foaie din material plastic, peste care se va asterne transversal un cearsaf- aleza. Aceasta masura de precautie fereste salteaua de a se imbiba cu secretii purulente, sange.
Materialele cu care s-au facut pansamentele si care se ridica de pe plaga, se arunca intr-un recipient special, corect inchis, sau intr-un sac din material plastic care se inchide la gura, pe care infirmiera il transporta la crematoriu, unde materialele sunt arse. In timpul manevrarii recipientului cu pansamente folosite, infiermiera va purta manusi de cauciuc. Nu este permisa aruncarea materialelor cu care s-au facut pansamentele la intamplare prin sala de pansamente, in recipiente de gunoi, pe Sali, sau in curtea spitalului.
In cazul cand executarea pansamentului face dificila intoarcerea pe jos a bolnavului la pat (bolnavul a fost sub narcoza sau este intr-o fizica precara), asistenta medicala se va ingriji ca el sa fie transportat cu brancardul. Bolnavii care au secretii purulente trebuie spitalizati separat de ceilalti bolnavi, operati sau neoperati inca. Daca in cursul spitalizarii se constata ca plaga unui bolnav devine purulenta, el va fi mutata intr-un salon cu plagi septice.
Perfuzie intravenoasa
Calea intravenoasa: administrarea se face prin perfuzie rapida, prin injectii masive de lichide si prin perfuzie lenta si continua picatura cu picatura.
Scopul:
Ø hidratarea si mineralizarea organismului;
Ø administrarea medicamentelor la care se urmareste un efect prelungit;
Ø scop depurativ (diluand si favorizand eliminarea din organism a produsilor toxici);
Ø completarea proteinelor sau a altor componente sangvine;
Ø alimentarea pe cale parenterala;
Pregatirea materialelor.
Se vor pregati pe o masa sau o tava medicala:
Ø perfuzor ambalat, steril, cu integritate, valabilitate si diametrul acelor potrivite, solutia de perfuzat, un stativ, alcool iodat sau spirt pentru aseptizare, seringi si ace de unica folosinta, tampoane de vata, musama, romplast, pensa hemostatica sterila foarfece, garou, comprese sterile, manusi de cauciuc.
Se face pregatirea fizica si psihica a bolnavului.
Bolnavul va sta in decubit dorsal cu bratul si antebratul relaxate, sprijinite la marginea patului, perfuzia facandu-se in una din venele vizibile si proeminente de la plica cotului, iar in stari de soc cand venele sunt colabate, perfuzia se poate face in zona subclaviculara sau se descopera o vena pe cale chirurgicala.
Aparatul de perfuzie montat si incarcat cu solutia de perfuzat, cu aerul evacuat de pe tub se ataseaza la bolnav dupa punctionarea venei cu un ac steril.
Se fixeaza acul cu banda de romplast.
Se stabileste ritmul de administrare si dupa consumarea cantitatii de lichide prescrisa de medic, se intrerupe perfuzia inainte ca rezervorul sa se goleasca complet pentru a impiedica patrunderea aerului in vena.
Accidente, incidente, complicatii:
Ø introducerea unor cantitati bruste de lichide in circulatie poate supraincarca inima, dand semne de insuficienta circulatorie ca: dispnee, dureri precordiale, situatii in care se intrerupe perfuzia si se continua mai lent dupa ce au trecut fenomenele supraincarcarii, ceea ce numim hiperhidratare; pe toata durata perfuziei, se verifica tensiunea arteriala;
Ø patrunderea aerului in curentul circulator provoaca embolie gazoaza insotita de sincopa cardiaca;
Ø manuierea nesterila a aparatului si lichidului de perfuzat sau folosirea unor solutii cu substante pirctogene, pot provoca frisoane si stari febrile;
Ø revarsarea lichidului de perfuzat in tesuturile perivenoase poate da nastere la flebite sau chiar necroze (in aceasta situatie se infiltreaza zona de jur imprejur cu ser fiziologic);
Ø coagularea sangelui pe ac, canula, se previne prin perfuzarea lichidului cu solutie de heparina.
Sursele de contaminare a perfuziei sunt: inainte de montarea sau adaptarea la vena, contaminarea se face prin manevre necorespunzatoare, in timpul perfuziei se face prin schimbarea flaconului, datorita substantelor aditionale, prin aer poluat sau prin infectii complementare.
Clisma evacuatoare.
Clisma evacuatoare simpla se face pentru a provoca scaun sau pentru a pregati bolnavul in vederea unor interventii chirurgicale sau pentru anumite examinari (rectoscopia).
Materiale necesare: irigator Esmarch cu tub de cauciu lung de 1,5 m cu robinet sau clema, 1-2 canule rectale sterile, o plosca acoperita, vata, hartie absorbanta, musama si traversa invelitoare pentru bolnav, substanta lubrefianta, tavita renala, compresa sterile, manusi de cauciuc, stativ pentru suspendarea irigatorului.
Lichide folosite: apa fiarta si racita la temperatura de 35-37ºC in cantitate de 500-1000 ml pentru adult, 250 ml pentru adolescenti, 150 ml pentru copil; in apa se poate adauga 1-2 lingurite de sapun ras dizolvat sau 2-3 linguri de glicerina sau 3-4 lingurite de ulei sau 1 lingurita de sare de bucatarie dizolvata si filtrata; apa destinde colonul si provoaca senzatia de scaun, sapunul are actiune dizolvanta asupra fecalelor, uleiuri si glicerina lubrefiaza caile de eliminare.
Se umple irigatorul cu cantitatea de apa pregatita si se suspenda pe un stativ la o inaltime de aproximativ jumatate de metru deasupra nivelului patului. La tubul irigatorului se fixeaza canula la robinet inchis si se suspenda pe stativ astfel incat sa nu se atinga de obiectele din jur.
Nu este permisa introducerea canulei in irigator.
In functie de starea pacientului, se poate face intr-o incapere sau in salon, izoland patul cu un paravan.
I se face pregatirea psihica corespunzatoare.
Il asezam in decubit lateral stang cu membrele inferioare flectate pe abdomen, se izoleaza patul cu musama si aleza, acoperim bolnavul cu o invelitoare lasand descoperita regiunea care ne intereseaza. Se unge canula cu o substanta lubrefianta, se elimina aerul si apa rece de pe tubul irigatorului.
Persoana care executa, imbraca manusi de cauciuc sau foloseste comprese de tifon, cu mana stanga indeparteaza fesele, cu mana dreapta introduce canula prin anus in rect, la inceput cativa cm pe o linie imaginara care uneste anusul cu ombilicul, dandu-I apoi directia catre spate introducand cativa cm.
Se deschide robinetul canulei, irigatorul se ridica ceva mai sus, timp in care apa patrunde in rect, apoi prin ansa sigmoida in intestinul gros.
Daca irigatorul este ridicat la o inaltime prea mare, apa patrunde in jet puternic, mareste peristaltismul intestinal si este evacuata. Dupa introducere este ridicat la o inaltime prea mare, apa patrunde in jet puternic, mareste peristaltismul intestinal si este evacuata. Dupa introducerea apei, nu se lasa sa patrunda aer si se inchide robinetul. Se inchide robinetul, se scoate canula si se pune in tavita renala.
Recomandam pacientului sa retina apa 10-15 minute timp in care ii vom schimba pozitia in decubit dorsal, apoi in decubit lateral drept, ceea ce favorizeaza patrunderea lichidului cat mai in profunzime; cand bolnavul sesizeaza senzatia de scaun va fi condus la toaleta, daca nu se poate deplasa I se aseaza sub bazin plosca, se face toaleta regiunii anale, plosca acoperita va fi indepartata din salon.
Se reorganizeaza locul de munca, se aeriseste incaperea. Persoana care a facut clisma se spala si noteaza in foaia de observatie tehnic executata.
Cazuistica
Lotul studiat
Pentru realizarea studiului am folosit un numar de 10 pacienti internati in Sectia de Chirurgie a Spitalului de Pediatrie Pitesti.
S.D.- varsta de 4 ani; diagnostic la internare: apendicita acuta cu reactie peritoneala.
P.M.- varsta de 5 ani; diagnostic la internare: apendicita acuta cu reactie peritoneala.
G.C.- varsta 10 ani; diagnostic de internare: colica apendiculara.
C.I.- varsta 13 ani; diagnostic la internare: apendicita acuta cu reactie peritoneala, apendicita acuta gangrenoasa.
E.S.- varsta 8 ani; diagnostic de internare: apendicita acuta cu reactie peritoneala.
D.E.- varsta 6 ani; diagnostic la internare: apendicita acuta gangrenoasa.
B.P.- varsta 12 ani; diagnostic la internare: apendicita acuta cu reactie peritoneala.
A.E.- varsta 7 ani; diagnostic la internare: apendicita acuta gangrenoasa.
F.I.- varsta 4 ani; diagnostic la internare: apendicita acuta cu reactie peritoneala, apendicita acuta gangrenoasa.
L.E.- varsta 9 ani; diagnostic la internare: apendicita acuta cu reactie peritoneala.
Din acestia, am ales pentru efectuarea planului de nursing si a evolutiei pe zile, urmatorii pacienti:
P.M.- 5 ani: apendicita acuta cu reactie peritoneala;
G.C.- 10 ani: colica apendiculara;
C.I.- 13 ani: apendicita acuta cu reactie peritoneala, apendicita acuta gangrenoasa.
CAZUL I
CULEGEREA INFORMATIILOR
A. INFORMATII SOCIALE
NUME: P
PRENUME: M
VARSTA: 5 ANI
DOMICILIU: Pitesti, jud. Arges
OCUPATIE: prescolar Gradinita nr.10 Pitesti
NATIONALITATEA: romana
RELIGIE: ortodoxa
DATA INTERNARII: 05.04.2010
ORA INTERNARII: 11¹º
MOTIVELE INTERNARII:
Ø durere in fosa iliaca dreapta, greturi si scaune moi.
ISTORICUL BOLII:
Ø simptomatologia a debutat in urma cu cateva zile, cu dureri in fosa iliaca dreapta, greturi si scaune moi; simptomatologia se accentueaza, motiv pentru care se interneaza in sectia de Chirurgie a Spitalului de Pediatrie - Pitesti
DIAGNOSTICUL LA INTERNARE:
Ø apendicita acuta cu reactie peritoneala.
MEDICUL CARE INGRIJESTE: Dr. Ionescu Emanuel Medic Primar Chirurgie si Ortopedie Pediatrica
B. EXAMEN CLINIC GENERAL
GREUTATE: 16 kg
INALTIME: 1,10 m
STARE GENERALA: modificata
STARE DE CONSTIINTA: prezenta
FACIES: incercanat
TEGUMENTE: palide
MUCOASE: clinic normale
TESUT CONJUNCTIV ADIPOS: normal reprezentat
SISTEM GANGLIONAR: nepalpabil
SISTEM MUSCULAR: normocinetic
SISTEM OSTEOARTICULAR: integru
SISTEM RESPIRATOR:
Ø torace cu aspect normal;
Ø sonoritate pulmonara normala;
Ø murmur vezicular fiziologic.
APARAT CARDIOVASCULAR:
Ø TA - 110/60 mmHg;
Ø AV - 80 pulsatii/minut;
Ø soc apexian in spatiu V intercostal stang.
APARAT DIGESTIV:
Ø abdomenul este suplu, mobil, cu miscari respiratorii, dureros spontan si la palpare in fosa iliaca dreapta;
Ø tranzit intestinal fiziologic;
Ø scaune moi;
Ø varsaturi prezente;
Ø ficat si splina in limite normale.
APARAT URO-GENITAL:
Ø mictiuni fiziologice;
Ø urini de aspect normal;
Ø loje renale nedureroase.
SISTEM NERVOS:
Ø reflexe osteotendinoase, orientat temporo-spatial.
ANTECEDENTE PERSONALE: nesemnificative.
ANTECEDENTE HEREDOCOLATERALE: nesemnificative.
CNDITII DE VIATA SI MUNCA: igienice.
ALERGII: nu prezinta.
C. NEVOI FUNDAMENTALE AFECTATE
PACIENT: P.M., 5 ani
DIAGNOSTIC: apendicita acuta cu reactie peritoneala
SALON: 2
1. NEVOIA DE A COMUNICA
P: comunicare ineficace la nivel afectiv;
E: neadaptarea la rolul de bolnav;
S: teama.
2. NEVOIA DE A EVITA PERICOLELE
P: durere;
E: inflamatia apendicului;
S: durere in fosa iliaca dreapta.
3. NEVOIA DE A ELIMINA
P: eliminare inadecvata a materiilor fecale;
E: proces inflamator;
S: scaune moi.
4. NEVOIA DE A BEA SI A MANCA
P: alterarea digestiei;
E: apendicita acuta;
S: greturi.
5. NEVOIA DE A SE MISCA SI A AVEA O BUNA POSTURA
P: postura inadecvata;
E: durere in fosa iliaca dreapta;
S: pozitie inadecvata.
6. NEVOIA DE A DORMI SI A SE ODIHNI
P: dificultatea de a se odihni;
E: durere in fosa iliaca dreapta;
S: ore insuficiente de somn (5h).
7. NEVOIA DE A FI CURAT, INGRIJIT, DE A-SI PROTEJA TEGUMENTELE SI MUCUOASELE
P: dificultatea de a-si efectua ingrijirile igienice;
E: durere;
S: lipsa ingrijirilor igienice.
8. NEVOIA DE A SE IMBRACA SI DEZBRACA
P: dificultatea in a se imbraca si dezbraca;
E: durere;
S: imbracare lenta.
CAZUL I PLAN DE NURSING PRE/POSTOPERATOR
PACIENT: P.M.
SALON: 2
DIAGNOSTIC CLINIC: apendicita acuta cu reactie peritoneala
|
DATA |
CULEGEREA INFORMATIILOR |
DIAGNOSTIC DE INGRIJIRE |
OBIECTIVE |
INTERVENTII |
EVALUARE |
|
|
AUTONOME |
DELEGATE |
|||||
|
05.04.2010 |
- durere in fosa iliaca dreapta; - greturi; - scaune moi; - dificultate in a se imbraca; - pozitie inadecvata; - TA=110/60 mHg; - AV= 80 pulsatii/min celer, volum normal; - R=17 respiratii/min; - respiratie superficiala ritmica, tip costal inferior, miscari simetrice. |
1. NEVOIA DE A COMUNICA P: comunicare ineficace la nivel afectiv; E: neadaptarea la rolul de bolnav; S: teama. |
- pacientul sa se adapteze la rolul de bolnav si sa comunice cu echipa de ingrijire in urmatoarele 8h. |
- explic pacientului necesitatea internarii si importanta comunicarii cu echipa de ingrijire. |
|
- pacientul comunica eficient cu echipa de ingrijire. |
|
2. NEVOIA DE A EVITA PERICOLELE P: durere; E: inflamatie apendiculara; S: durere in fosa iliaca dreapta. |
- pacientul sa exprime diminuarea durerii in urmatoarele 12h. |
- asez pacientul la pat, ii recomand sa se linisteasca si sa se aseze intr-o pozitie comoda. |
- administrez Piafen 1 fiola (5ml) i.m. (analgezic). |
- durerea s-a diminuat |
||
|
3. NEVOIA DE A ELIMINA P: eliminarea inadecvata a materiilor fecale; E: proces inflamator; S: scaune moi, |
- pacientul sa-si imbunatateasca eliminarea in urmatoarele 12h. |
- ii dau pacientului sa consume lichide. |
- administrez Furazolidon 1 capsula (2mg), oral Antidiareic. |
- pacientul si-a imbunatatit eliminarea. |
||
|
DATA |
CULEGEREA INFORMATIILOR |
DIAGNOSTIC DE INGRIJIRE |
OBIECTIVE |
INTERVENTII |
EVALUARE |
|
|
AUTONOME |
DELEGATE |
|||||
|
|
|
4. NEVOIA DE A BEA SI A MANCA P: alterarea digestiei; E: apendicita acuta; S: greturi. |
- pacientul sa nu mai prezinte greturi in termen de 8h. |
- invat pacientul sa inspire profund pentru reducerea senzatiilor de greata. |
- administrez Metoclopramid 1 comprimat, oral (antiemetic). |
- pacientul nu mai prezinta greturi. |
|
5. NEVOIA DE A SE MISCA, SI A AVEA O BUNA POSTURA P: postura inadecvata; E: durere in fosa iliaca dreapta; S: pozitie inadecvata. |
- pacientul sa prezinte o pozitie adecvata in termen de 10h. |
- instalez pacientul in pat, asezandu-l in pozitia de decubit dorsal. |
|
- pacientul si-a imbunatatit postura. |
||
|
6. NEVOIA DE A DORMI SI A SE ODIHNI P: dificultatea de a se odihni; E: durere in fosa iliaca dreapta; S: ore insuficiente de somn (5h). |
- pacientul sa beneficieze de somn corespunzator cantitativ in termen de 24h. |
- invat pacientul tehnici de relaxare care sa le practice inainte de somn; - creez conditii optime pentru odihna. |
- administrez Fenobarbital ½ comprimat oral, seara (sedativ). |
- pacientul nu s-a odihnit corespunzator din punct de vedere cantitativ (6h). |
||
|
7. NEVOIA DE A FI CURAT, INGRIJIT, DE A-SI PROTEJA TEGUMENTELE SI MUCUOASELE P: dificultatea de a-si efectua ingrijirile igienice; E: durere; S: lipsa ingrijirilor igienice. |
- pacientul sa-si faca ingrijiri igienice singur in 24h. |
- ajut pacientul sa faca dus; - ii ofer asternuturi de pat si pijama. |
|
- pacientul si-a efectuat cu ajutor ingrijirile igienice. |
||
|
DATA |
CULEGEREA INFORMATIILOR |
DIAGNOSTIC DE INGRIJIRE |
OBIECTIVE |
INTERVENTII |
EVALUARE |
|
|
AUTONOME |
DELEGATE |
|||||
|
|
|
8. NEVOIA DE A SE IMBRACA SI DEZBRACA P: dificultatea in a se imbraca si dezbraca; E: durere; S: imbracare lenta. |
- pacientul sa poata sa se imbrace si dezbrace singur in termen de 24h. |
- ajut pacientul sa se imbrace si dezbrace. Incurajez pacientul sa se imbrace in ritmul sau. |
|
- pacientul s-a imbracat si dezbracat cu ajutor. |
|
06.04. |
- dureri in fosa iliaca dreapta; TA=110/70mmHg; AV=78 pulsatii/min - puls ritmic, celer, vol. normal; R=18 respiratii/min; - respiratie superficiala, ritmica, tip costal inferior, miscari simetrice; T=36,5ºC. |
1. NEVOIA DE A EVITA PERICOLELE P: durere; E: apendicita acuta; S: durere in fosa iliaca dreapta. |
- pacientul sa-si exprime diminuarea durerii in termen de 12h. |
- recomand pacientului sa stea linistit la pat. |
- efectuez clisma evacuatoare; - administrez Piafen ½ fiola i.m. |
- durerile s-au ameliorat |
|
2. NEVOIA DE A SE MISCA SI A AVEA O BUNA POSTURA P: postura inadecvata; E: durere in fosa iliaca dreapta; S:pozitie inadecvata. |
- pacientul sa aibe o pozitie adecvata in termen de 12h. |
- recomand pacientului sa se aseze in pat in pozitia de decubit dorsal. |
- pregatire preoperatorie; - testare la xilina=neg. - testare la penicilina=negativa. - det. timp de sangerare=2' - det.timp coagulare=6' 30'' |
- pacientul si-a imbunatatit postura |
||
|
DATA |
CULEGEREA INFORMATIILOR |
DIAGNOSTIC DE INGRIJIRE |
OBIECTIVE |
INTERVENTII |
EVALUARE |
|
|
AUTONOME |
DELEGATE |
|||||
|
|
|
3. NEVOIA DE A DORMI SI A SE ODIHNI P: somn perturbat; E: durere; S: ore insuficiente de somn. |
- pacientul sa se odihneasca corespunzator in termen de 12h. |
- creez conditii pentru odihna pacientului. |
- administrez Fenobarbital ½ comprimat oral: Diazepam ½ comprimat oral; - recoltez sange pentru: hemoleucograma glicemie VDRL. |
- pacientul s-a odihnit mai bine. |
|
4. NEVOIA DE A FI CURAT P: dificultatea de a-si acorda ingrijiri igenice. |
- pacientul sa-si efectueze singur ingrijirile igenice in 24h. |
- ajut pacientul sa-si efectueze igiena corporala. |
- recoltez urina pentru examenul sumar de urina; - insotesc bolnavul la radiologie pentru efectuarea radioscopiei pulmonare. |
- pacientul isi face igiena corporala cu ajutor. |
||
|
5. NEVOIA DE A SE IMBRACA SI DEZBRACA SINGUR P: dificultatea de a se imbraca si dezbraca singur; E: durere; S: imbracarea se face lent. |
- pacientul sa se imbrace si dezbrace singur in 24h. |
- ajut pacientul sa se imbrace. |
|
- pacientul se poate imbraca singur. |
||
|
DATA |
CULEGEREA INFORMATIILOR |
DIAGNOSTIC DE INGRIJIRE |
OBIECTIVE |
INTERVENTII |
EVALUARE |
|
|
AUTONOME |
DELEGATE |
|||||
|
07.04. |
INTERVENTIA CHIRURGICALA - dureri postoperatorii; TA=120/80mmHg; AV=80 pulsatii/min - puls ritmic, celer, vol. normal; R=18 respiratii/min; - respiratie superficiala, ritmica, tip costal inferior, miscari simetrice; T=36,8ºC |
1. NEVOIA DE A EVITA PERICOLELE P: durere; E: interventie chirurgicala; S: dureri postoperatorii. |
- pacientul sa-si exprime diminuarea durerii in 24h. |
- recomand pacientului sa se aseze intr-o pozitie comoda si sa nu faca miscari bruste. |
- administrez Piafen i.m ½ fiola. |
- pacientul prezinta dureri ameliorate. |
|
2. NEVOIA DE A-SI PROTEJA TEGUMENTELE SI MUCOASELE P: alterarea integritati; E: interventie chirurgicala; S: cicatrice postoperatorie. |
- pacientul sa prezinte cicatrice postoperatorie cu evolutie buna, neinfectata in termen de 24h. |
- sfatuiesc pacientul sa-si mentina pansamentul intact si curat. |
|
- pacientul prezinta pansament curat. |
||
|
3. NEVOIA DE A BEA SI A MANCA P: alimentatie insuficienta; E: apendicectomie; S: regim hidric. |
- pacientul sa consume lichide suficiente in termen de 8h. |
- ii dau pacientului sa consume lichide. |
- perfuzie intravenoasa, ser fiziologic 500ml; - pacientul a consumat 1200 ml lichide si a eliminat 400ml. |
- pacientul a consumat lichide. |
||
|
DATA |
CULEGEREA INFORMATIILOR |
DIAGNOSTIC DE INGRIJIRE |
OBIECTIVE |
INTERVENTII |
EVALUARE |
|
|
AUTONOME |
DELEGATE |
|||||
|
|
|
4. NEVOIA DE A ELIMINA P: eliminare urinara inadecvata; E: interventie chirurgicala; S: cantitate scazuta 400ml. |
- pacientul sa prezinte o eliminare adecvata din punct de vedere cantitativ in 12h. |
- servesc pacientul cu un urinar; - recomand pacientului sa consume lichide. |
|
- pacientul si-a imbunatatit eliminarea urinara; - a urinat spontan. |
|
5. NEVOIA DE A DORMI SI A SE ODIHNI P: somn perturbat; E: durere postoperatorie; S: ore insuficiente de somn. |
- pacientul sa se odihneasca corespunzator in 12h. |
- linistesc pacientul si elimin toate sursele de zgomot. |
- administrez Fenobarbital ½ comprimat, oral, seara. |
- pacientul nu s-a odihnit corezpunzator. |
||
|
6. NEVOIA DE A SE MISCA SI A AVEA O BUNA POSTURA P: incapacitatea de a se misca ; E: dureri; S: imobilitate. |
- pacientul sa se poata mobiliza in termen de 24h. |
- ajut pacientul sa se ridice la marginea patului si sa stea in pozitie sezut. |
- efectuez ingrijiri postoperatorii; - supraveghez functiile vitale (TA, pulsul, respiratia, temperatura); - supraveghez pansamentul (daca se imbina anunt medicul); - supraveghez tegumentele si mucoasele. |
- pacientul a inceput mobilizarea. |
||
|
DATA |
CULEGEREA INFORMATIILOR |
DIAGNOSTIC DE INGRIJIRE |
OBIECTIVE |
INTERVENTII |
EVALUARE |
|
|
AUTONOME |
DELEGATE |
|||||
|
08.04. |
- dureri postoperatorii; TA=110/70mmHg AV=76 pulsatii/min - puls ritmic, celer, volum normal; R=16 respiratii/min; - respiratii superficiale, ritmice, T=36,5ºC. |
1. NEVOIA DE A EVITA PERICOLELE P: durere; E: interventie chirurgicala; S: durere postoperatorie. |
- pacientul sa-si exprime diminuarea durerilor in termen de 12h. |
- invat pacientul tehnici de relaxare; - sfatuiesc pacientul sa nu faca miscari bruste. |
- administrez Piafen ½ fiola i.m. (analgezic). |
- pacientul prezinta dureri ameliorate. |
|
2. NEVOIA, DE A-SI PROTEJA TEGUMENTELE P: alterarea integritatii tegumentelor; E: interventie chirurgicala; S: plaga chirurgicala. |
- pacientul sa prezinte plaga chirurgicala neinfectata. |
- invat pacientul sa-si mentina pansamentul curat. |
|
- pacientul prezinta pansament curat; - plaga are evolutie buna. |
||
|
3. NEVOIA DE A BEA SI A MANCA P: alimentatie insuficienta; E: apendicectomie; S: anorexie. |
- pacientul sa se alimenteze corespunzator in 12h. |
- ofer pacientului supa strecurata si lichide pentru a preveni deshidratarea. |
- administrez prin perfuzii intravenoase ser glucozat 5%-500ml. |
- pacientul consuma lichide. |
||
|
4. NEVOIA DE A DORMI SI A SE ODIHNI P: dificultatea de a se odihni; E: durere in fosa iliaca dreapta; S: ore insuficiente de somn (5h). |
- pacientul sa se odihneasca corespunzator in termen de 12h. |
- indepartez toate sursele care ar putea perturba somnul pacientului. |
- administrez Diazepam ½ comprimat oral, seara. |
- pacientul s-a odhnit corespunzator. |
||
|
DATA |
CULEGEREA INFORMATIILOR |
DIAGNOSTIC DE INGRIJIRE |
OBIECTIVE |
INTERVENTII |
EVALUARE |
|
|
AUTONOME |
DELEGATE |
|||||
|
09.04. |
- dureri postoperatorii; TA=110/70mmHg AV=74 pulsatii/min - puls ritmic, celer, volum normal; R=17 respiratii/min; - respiratie superficiala, ritmica, tip costal inferior. T=36,8ºC. |
1. NEVOIA DE A EVITA PERICOLELE P: durere; E: apendicectomie; S: dureri postoperatorii. |
- pacientul sa-si exprime diminuarea durerii in termen de 12h. |
- invat pacientul tehnici de relaxare. |
- administrez Piafen i.m ½ fiola. |
- durerea s-a diminuat |
|
2. NEVOIA DE A-SI PROTEJA TEGUMENTELE P: integritatea tegumentelor; E: interventie chirurgicala; S: plaga chirurgicala. |
- pacientul sa nu prezinte risc de infectie si plaga sa evolueze spre vindecare. |
- ii recomand pacientului sa-si mentina pansamentul curat. |
- efectuez pansament cu Betadine (alcool iodat). |
- plaga operatorie are evolutie buna. |
||
|
10.04. |
- dureri diminuate; TA=110/70mmHg AV=73 pulsatii/min - puls ritmic, celer, volum normal; R=17 respiratii/min; - respiratie superficiala, ritmica, miscari simetrice, tip costal inferior. T=36,6ºC. |
1. NEVOIA DE A EVITA PERICOLELE P: durere; E: interventie chirurgicala; S: dureri postapendicectomie. |
- pacientul sa-si exprime diminuarea durerii in termen de 12h. |
- invat pacientul tehnici de relaxare care sa-i diminueze durerea. |
- administrez Piafen ½ fiola i.m. |
- durerea s-a ameliorat. |
|
2. NEVOIA DE A-SI PROTEJA TEGUMENTELE P: alterarea tegumentelor; E: apendicectomie; S: cicatrice postoperatorie. |
- pacientul sa-si mentina cicatricea postoperatorie neinfectata. |
- invat pacientul sa-si mentina pansamentul curat si intact. |
|
- pansamentul este curat, cicatricea postoperatorie prezinta evolutie buna. |
||
EPICRIZA
Pacientul se interneaza in sectia de chirurgie cu dureri in fosa iliaca dreapta, greturi si scaune moi.
Beneficiaza de urmatoarele investigatii paraclinice:
Ø Hemoleucograma
Ø Hemoglobina= 16,16%
Ø Hematocrit= 46%
Ø Leucocite= 6900/mm³
Ø Forma leucocitara
Ø Neutrofile= 67%
Ø Bazofile= 0%
Ø Eozinofile= 2%
Ø Mezofile= 4%
Ø Glicemie 74,2mg/dl
Ø Examen urina; normal
Ø Radioscopie pulmonara
Ø Reactie VDRL= negativa
Ø Pacientul a suferit interventie chirurgicala
Ø Anestezie IOT generala
Descrierea interventiei operatorie
Ø apendicectomie cu infundare; incizie M. Burney; la descrierea cavitatii peritoneale se gaseste un apendic de aproximativ 8-10 cm, flegmonos, situat laterocecal; dupa ligaturarea nervului se practica apendicectomie cu infundare; control diverticul Mechel negativ.
Se externeaza cu evolutie postoperatorie buna.
Recomandari medicale
Ø evitarea eforturilor fizice timp de 30 zile;
Ø evitarea alimentelor si bauturilor care provoaca gaze intestinale.
CAZUL II
CULEGEREA INFORMATIILOR
A. INFORMATII SOCIALE
NUME: G.
PRENUME: C.
VARSTA: 10 ANI
DOMICILIU: Pitesti, jud. Arges
OCUPATIE: elev clasa a IV- a, Scoala Generala nr.13 Pitesti
NATIONALITATEA: romana
RELIGIE: ortodoxa
DATA INTERNARII: 14.02.2010.
ORA INTERNARII: 19³º
MOTIVELE INTERNARII:
Ø durere in fosa iliaca dreapta.
Ø senzatie de voma, febra.
ISTORICUL BOLII:
Ø pacientul acuza de circa o saptamana dureri in fosa iliaca dreapta, insotite de circa doua zile de febra si senzatie de voma.
DIAGNOSTICUL LA INTERNARE:
Ø colica apendiculara.
MEDICUL CARE INGRIJESTE: Dr. Ionescu Emanuel Medic Primar Chirurgie si Ortopedie Pediatrica
B. EXAMEN CLINIC GENERAL
GREUTATE: 28 kg
INALTIME: 1,20 m
STARE GENERALA: modificata
STARE DE CONSTIINTA: prezenta
FACIES: palid, incercanat
TEGUMENTE: normal colorate
MUCOASE: normal colorate
SISTEM GANGLIONAR: nedureros la palpare
SISTEM MUSCULAR: normoton
SISTEM OSTEOARTICULAR: integru morfofunctional
SISTEM RESPIRATOR:
Ø torace cu aspect normal;
Ø sonoritate pulmonara normala;
Ø murmur vezicular fiziologic.
APARAT CARDIOVASCULAR:
Ø TA - 105/60 mmHg;
Ø AV - 80 pulsatii/minut;
Ø soc apexian in spatiu V intercostal stang;
Ø zgomote cardiace ritmice; suflu sistolic gradul I-II mitro-aortic.
APARAT DIGESTIV:
Ø abdomen suplu, mobil, dureros spontan si la palpare in fosa iliaca dreapta;
Ø tranzit intestinal fiziologic;
Ø senzatie de voma;
Ø ficat, cai biliare: la limita superioara, spatiu V intercostal drept; limita inferioara la rebord;
Ø splina nepalpabila.
APARAT URO-GENITAL:
Ø mictiuni fiziologice;
Ø urini de aspect normal;
Ø loje renale nedureroase.
SISTEM NERVOS:
Ø orientat temporo-spatial.
ANTECEDENTE PERSONALE: nesemnificative.
ANTECEDENTE HEREDOCOLATERALE: parotidita epidemica in urma cu 2 luni.
CNDITII DE VIATA SI MUNCA: igienice.
ALERGII: nu prezinta.
C. NEVOI FUNDAMENTALE AFECTATE
PACIENT: G.C., 10 ani
DIAGNOSTIC: colica apendiculara
SALON: 2
1. NEVOIA DE A COMUNICA
P: comunicare ineficace la nivel afectiv;
E: neadaptarea la rolul de bolnav;
S: frica.
2. NEVOIA DE A EVITA PERICOLELE
P: durere in fosa iliaca dreapta;
E: apendicita acuta;
S: durere in fosa iliaca dreapta.
3. NEVOIA DE A BEA SI A MANCA
P: digestie alterata;
E: proces inflamator;
S: senzatie de voma si greturi.
4. NEVOIA DE A SE MISCA SI A AVEA O BUNA POSTURA
P: postura inadecvata;
E: durere in fosa iliaca dreapta;
S: pozitie atalgica.
5. NEVOIA DE A DORMI SI A SE ODIHNI
P: somn perturbat;
E: durere;
S: ore insuficiente de somn (6h).
6. NEVOIA DE A SE IMBRACA SI DEZBRACA
P: dificultatea in a se imbraca;
E: durere in fosa iliaca dreapta;
S: imbracare lenta.
CAZUL I I PLAN DE NURSING
PACIENT: G.C.
SALON: 2
DIAGNOSTIC CLINIC: colica apendiculara
|
DATA |
CULEGEREA INFORMATIILOR |
DIAGNOSTIC DE INGRIJIRE |
OBIECTIVE |
INTERVENTII |
EVALUARE |
|
|
AUTONOME |
DELEGATE |
|||||
|
14.02.2010 |
- durere in fosa iliaca dreapta; - greturi; - scaune moi; - dificultate in a se imbraca; - pozitie inadecvata; - TA=110/60 mHg; - AV= 80 pulsatii/min celer, volum normal; - R=17 respiratii/min; - respiratie superficiala ritmica, tip costal inferior, miscari simetrice. |
1.NEVOIA DE A COMUNICA P: comunicare ineficace la nivel afectiv; E:neadaptarea la rolul de bolnav; S: teama. |
- pacientul sa comunice cu echipa de ingrijire in urmatoarele 12h. |
- explic pacientului necesitatea internarii si importanta comunicarii cu echipa de ingrijire. |
|
- pacientul comunica eficient cu echipa de ingrijire. |
|
2. NEVOIA DE A EVITA PERICOLELE P: durere; E: inflamatie apendiculara; S: durere in fosa iliaca dreapta. |
- pacientul sa exprime diminuarea durerii in urmatoarele 24h. |
- asez pacientul la pat, ii recomand sa se linisteasca si sa se aseze intr-o pozitie comoda. |
- administrez Piafen3 fiole(5ml) i.m. (analgezic), Movalis fiola. |
- durerea s-a ameliorat. |
||
|
3 NEVOIA DE A BEA SI A MANCA P: digestie alterata; E: apendicita acuta; S: senzatie de voma si greturi. |
- pacientul sa nu mai prezinte senzatia de greturi si voma in 10h. |
- invat pacientul sa inspire profund pentru reducerea senzatiei de voma si a greturilor; - servesc pacientul cu tavita renala in caz de varsaturi. |
- administrez Metoclopramid 1 capsula (10mg) oral Antiemetic. |
- pacientul nu mai prezinta greturi si senzatie de voma. |
||
|
DATA |
CULEGEREA INFORMATIILOR |
DIAGNOSTIC DE INGRIJIRE |
OBIECTIVE |
INTERVENTII |
EVALUARE |
|
|
AUTONOME |
DELEGATE |
|||||
|
|
|
4. NEVOIA DE A SE MISCA SI A AVEA O BUNA POSTURA P: postura inadecvata; E: durere in fosa iliaca dreapta; S: pozitie inadecvata. |
- pacientul sa prezinte o postura corespunzatoare in termen de 24h. |
- recomand pacientului sa stea linistit in pat in pozitie de decubit dorsal. |
|
- pacientul si-a imbunatatit postura. |
|
5. NEVOIA DE A DORMI SI A SE ODIHNI P: somn perturbat; E: durere in fosa iliaca dreapta; S: ore insuficiente de somn. |
- pacientul sa se odihneasca corespunzator in termen de 24h.. |
- creez conditii optime pentru odihna; - invat pacientul tehnici de relaxare care sa le practice inainte de somn. |
- administrez Diazepam 1 comprimat (10mg), seara la culcare, oral. |
- pacientul si-a imbunatatit somnul. |
||
|
6. NEVOIA DE A SE IMBRACA SI DEZBRACA P: dificultatea de a se imbraca; E: durere in fosa iliaca dreapta; S: se imbraca singur. |
- pacientul sa se imbrace si dezbrace singur in 24h. |
- ajut pacientul sa se imbrace si sa se dezbrace. |
|
- pacientul se poate imbraca si dezbraca singur. |
||
|
DATA |
CULEGEREA INFORMATIILOR |
DIAGNOSTIC DE INGRIJIRE |
OBIECTIVE |
INTERVENTII |
EVALUARE |
|
|
AUTONOME |
DELEGATE |
|||||
|
15.02. |
- dureri in fosa iliaca dreapta; TA= 110/60 mmHg; AV= 80 pulsatii/min; - puls ritmic, celer, volum normal; R= 15 respiratii/min; - respiratie superficiala, ritmica, tip costal inferior, miscari simetrice; T=36,9ºC. |
1. NEVOIA DE A EVITA PERICOLELE P: durere; E: apendicita acuta; S: dureri in fosa iliaca dreapta. |
- pacientul sa-si exprime diminuarea durerii in urmatoarele 6h. |
- asez pacientul intr-o pozitie comoda si efectuez tehnici de relaxare. |
- recoltez sange pentru Hemoleucograma, Calcemie, Eree, Creatina, Proteine totale TGO, TGP, Glicemie; - recoltez urina pentru examen de urina; - insotesc pacientul la radiologie pentru radioscopie pulmonara; - pregatire preoperatorie Testare xilina= neg. Testare penicilina= neg. Efectuez clisma evacuatoare; - masor TA= 110/70 mmHg; - administrez Diazepam 1 comprimat (10mg) Fenobarbital 1 comprimat (15mg), oral. |
- durerea s-a diminuat. |
|
2. NEVOIA DE A DORMI SI A SE ODIHNI P: dificultatea de a se odihni; E: durere; S: ore insuficiente de somn (6h). |
- pacientul sa se odihneasca corespunzator in termen de 12h. |
- indepartez toate sursele care ar putea perturba somnul pacientului; - ii spun sa efectueze tehnicile de relaxare invatate. |
- pacientul s-a odihnit mai bine. |
|||
|
DATA |
CULEGEREA INFORMATIILOR |
DIAGNOSTIC DE INGRIJIRE |
OBIECTIVE |
INTERVENTII |
EVALUARE |
|
|
AUTONOME |
DELEGATE |
|||||
|
16.02. |
INTERVENTIA CHIRURGICALA - dureri postapendicectomie TA=110/60 mmHg AV= 78 pulsatii/min; - puls ritmic, celer, volum normal; R= 16 respiratii/min; - respiratie superficiala, ritmica, tip costal superior, miscari simetrice T= 36,5ºC. |
1. NEVOIA DE A EVITA PERICOLELE P: durere; E: interventie chirurgicala; S: cicatrice postoperatorie. |
- pacientul sa-si exprime diminuarea durerii in termen de 24h. |
- linistesc pacientul si ii recomand sa nu faca miscari inutile. |
- administrez Algocalmin 3 fiole (1 fiola 2ml)/zi, i.m. |
- pacientul si-a exprimat diminuarea durerii. |
|
2. NEVOIA DE A-SI PROTEJA TEGUMENTELE P: alterarea integritatii; E: interventie chirurgicala; S: cicatrice postoperatorie. |
- pacientul sa prezinte plaga operatorie cu evolutie buna. |
- invat pacientul sa-si pastreze pansamentul curat si intact. |
|
- cicatrice postoperatorie cu evolutie buna. |
||
|
3. NEVOIA DE A ELIMINA P: eliminare insuficienta cantitativ; E: apendicectomie; S: cantitate mica de urina. |
- pacientul sa prezinte o eliminare urinara adecvata in termen de 24h. |
- ii dau pacientului sa consume multe lichide pentru a favoriza eliminarea. |
|
- pacientul a urinat spontan (600ml). |
||
|
4. NEVOIA DE A BEA SI A MANCA P: alimentatie inadecvata cantitativ si calitativ; E: interventie chirurgicala; S: regim hidric. |
- pacientul sa consume lichide pentru a preveni deshidratarea. |
- ofer pacientului sa consume lichide neindulcite. |
|
- pacientul a consumat lichidele oferite. |
||
|
5. NEVOIA DE A DORMI SI A SE ODIHNI P: somn perturbat; E: dureri postoperatorii; S: ore insuficiente de somn. |
. - pacientul sa se odihneasca corespunzator. |
- linistesc pacientul si ii creez conditii optime de odihna. |
- administrez Diazepam 1 comprimat (10mh) oral, seara. |
- pacientul nu s-a odihnit corespunzator. |
||
|
DATA |
CULEGEREA INFORMATIILOR |
DIAGNOSTIC DE INGRIJIRE |
OBIECTIVE |
INTERVENTII |
EVALUARE |
|
|
AUTONOME |
DELEGATE |
|||||
|
19.02. |
- dureri postoperatorii; TA=110/70mmhg. AV=76 pulsatii/min. - puls ritmic, celer, volum normal; R= 16 respiratii/min; - respiratie superficiala, ritmica, tip costal superior,T=36,7ºC. |
1. NEVOIA DE A EVITA PERICOLELE P: durere; E: apendicectomie; S: durere postoperatorie. |
- pacientul sa-si exprime diminuarea durerii in 12h. |
- ii spun pacientului sa se mobilizeze cu grija. |
- administrez Algocalmin 3 fiole/zi, i.m. |
- durerea s-a diminuat. |
|
2. NEVOIA DE A-SI PROTEJA TEGUMENTELE P: alterarea tegumentelor; E: apendicectomie; S: plaga chirurgicala. |
- pacientul sa aibe o plaga chirurgicala cu evolutie buna. |
- invat pacientul sa-si pastreze pansamentul curat pentru a nu se infecta. |
- efectuez pansament cu Betadine iodat in conditii perfecte de asepsie. |
- plaga chirurgicala cu evolutie buna. |
||
|
3. NEVOIA DE A DORMI SI A SE ODIHNI P: dificultatea de a se odihni; E: dureri postoperatorii; S: ore insuficiente de somn. |
- pacientul sa se odihneasca suficient in termen de 12h. |
- recomand pacientului sa efectueze tehnici de relaxare inainte de culcare; - indepartez posibilitatea factorilor perturbatori. |
- administrez Diazepam 1 comprimat oral, seara. |
- pacientul s-a odihnit corespunzator. |
||
|
DATA |
CULEGEREA INFORMATIILOR |
DIAGNOSTIC DE INGRIJIRE |
OBIECTIVE |
INTERVENTII |
EVALUARE |
|
|
AUTONOME |
DELEGATE |
|||||
|
22.02. |
- dureri postoperatorii; TA= 110/60 mmHg AV= 73 batai/min R= 16 respiratii/min T=36,8ºC. |
1. NEVOIA DE A EVITA PERICOLELE P: durere; E: apendicectomie; S: dureri postapendicectomie. |
- pacientul sa-si exprime diminuarea durerii. |
- recomand pacientului sa se mobilizeze cu atentie. |
- administrez Algocalmin 3 fiole/zi, i.m. |
- durerea s-a diminuat. |
|
2. NEVOIA DE A-SI PROTEJA TEGUMENTELE P: alterarea integritatii; E: apendicectomie; S: cicatrice postoperatorie. |
- pacientul sa prezinte o evolutie buna a plagii postoperatorii. |
- recomand pacientului sa mentina pansamentul curat si nedesfacut. |
|
- cicatricea postoperatorie are evolutie buna. |
||
|
DATA |
CULEGEREA INFORMATIILOR |
DIAGNOSTIC DE INGRIJIRE |
OBIECTIVE |
INTERVENTII |
EVALUARE |
|
|
AUTONOME |
DELEGATE |
|||||
|
23.02. |
- dureri postoperatorii; TA=110/70mmHg. AV=75 pulsatii/min; R= 15 respiratii/min; T= 36,7ºc - pacientul se externeaza. |
1. NEVOIA DE A EVITA PERICOLELE P: durere; E: interventie chirurgicala; S: dureri postoperatorii. |
- pacientul sa-si exprime diminuarea durerii. |
- ajut pacientul pentru indeplinirea nevoilor; - ii recomand tehnici de relaxare. |
- administrez Algocalmin 3 fiole/zi. |
- durerea s-a diminuat. |
|
2. NEVOIA DE A-SI PROTEJA TEGUMENTELE P: alterarea tegumentelor; E: interventie chirurgicala; S: cicatrice postoperatorie. |
- pacientul sa prezinte cicatrice postoperatorie neinfectata cu evolutie buna. |
- invat pacientul cum sa previna infectia plagii. |
- efectuez scoaterea atelor in conditii de plina asepsie si cu grija. |
- cicatrice postoperatorie cu evolutie buna. |
||
EPICRIZA
Pacientul se interneaza in sectia de chirurgie, acuzand dureri in fosa iliaca dreapta, vechi de o saptamana, insotite de circa 2 zile de febra si senzatia de voma.
I s-au efectuat urmatoarele analize de laborator:
Ø Hemoleucograma
Ø Hemoglobina= 13,6%
Ø Hematocrit=41%
Ø Leucocite= 4500/mm³ sange
Ø Forma leucocitara
Ø Neutrofile= 67%
Ø Bazofile= 0%
Ø Eozinofile= 2%
Ø Monocite= 4%
Ø Limfocite= 27%
Ø VSH= 13mm
Ø
Examen urina
Ø culoare galbena
Ø pH acid
Ø albumina: absenta
Ø glucoza: absenta
Ø acetona: absenta
Ø sange: absent
Ø pigmenti biliari: absenti
Ø urobilina: limite normale.
Diagnosticul clinic la internare: colica apendiculara.
Diagnosticul postoperator: apendicita acuta gangrenoasa perforata, peritonita generalizata.
Apendicectomia se efectueaza cu anestezie IOT generala.
Descrierea interventiei operatorii:
Ø apendicectomie cu infundare in cecal; drenaj peritoneal; incizie M. Burney; la descrierea cavitatii peritoneale se gaseste o cantitate mica de puroi si un apendic gangrenos la varf, acoperit de false membrane lungi de circa 9 cm; se efectueaza toaleta cavitatii peritoneale si drenaj Douglas.
Control diventricul Mechel negativ.
Evolutie postoperatorie favorabila.
Recomandari medicale
Ø scutit de sport 30 de zile de la externare;
Ø evitarea efortului fizic mediu si intens 30 de zile;
Ø a se evita consumarea bauturilor si alimentelor care provoaca gaze intestinale timp de 30 de zile.
CAZUL III
CULEGEREA INFORMATIILOR
A. INFORMATII SOCIALE
NUME: C.
PRENUME: I.
VARSTA: 13 ani
DOMICILIU: Arges, jud. Arges
OCUPATIE: elev clasa a VI-a Scoala Generala Liviu Rebreanu, Mioveni
NATIONALITATEA: romana
RELIGIE: ortodoxa
DATA INTERNARII: 23.06.2010.
ORA INTERNARII: 11³º
MOTIVELE INTERNARII:
Ø durere in fosa iliaca dreapta, senzatie de voma, varsaturi si subfebrilitate.
ISTORICUL BOLII:
Ø bolnavul acuza de circa 2 saptamani dureri in fosa iliaca dreapta si in urma cu 24 ore, senzatie de voma si varsaturi, motiv pentru care s-a prezentat la spital.
DIAGNOSTICUL LA INTERNARE:
Ø apendicita acuta cu reactia peritoneala, apendicita acuta gangrenoasa.
MEDICUL CARE INGRIJESTE: Dr. Ionescu Emanuel Medic Primar Chirurgie si Ortopedie Pediatrica
B. EXAMEN CLINIC GENERAL
GREUTATE: 35 kg
INALTIME: 1,50 m
STARE GENERALA: modificata
STARE DE CONSTIINTA: prezenta
FACIES: normal colorat
TEGUMENTE: normal colorat
MUCOASE: umectate si normal colorate
TESUT CONJUNCTIV ADIPOS: normal reprezentat
SISTEM GANGLIONAR: nedureros la palpare
SISTEM MUSCULAR: normoton, normokinetic
SISTEM OSTEOARTICULAR: integru morfofunctional
SISTEM RESPIRATOR:
Ø torace cu aspect normal;
Ø sonoritate pulmonara normala;
Ø murmur vezicular fiziologic.
APARAT CARDIOVASCULAR:
Ø TA - 120/80 mmHg;
Ø AV - 72 pulsatii/minut;
Ø soc apexian in spatiu V intercostal stang.
APARAT DIGESTIV:
Ø abdomenul este suplu, mobil, cu miscari respiratorii, dureros, spontan si la palpare in fosa iliaca dreapta;
Ø tranzit intestinal fiziologic;
Ø varsaturi absente;
Ø ficat si splina in limite normale.
APARAT URO-GENITAL:
Ø mictiuni fiziologice;
Ø urini de aspect normal;
Ø loje renale nedureroase.
SISTEM NERVOS:
Ø reflexe osteotendinoase, orientat temporo-spatial.
ANTECEDENTE PERSONALE: varicela in urma cu 30 zile.
ANTECEDENTE HEREDOCOLATERALE: nesemnificative.
CNDITII DE VIATA SI MUNCA: igienice.
ALERGII: nu prezinta.
C. NEVOI FUNDAMENTALE AFECTATE
PACIENT: C.I., 13 ani
DIAGNOSTIC: apendicita acuta
SALON: 6
1. NEVOIA DE A COMUNICA
P: comunicare ineficace la nivel afectiv;
E: spitalizare;
S: teama.
2. NEVOIA DE A EVITA PERICOLELE
P: durere;
E: apendicita acuta;
S: durere in fosa iliaca dreapta.
3. NEVOIA DE A MENTINE TEMPERATURA CORPULUI IN LIMITE NORMALE
P: hipertemie;
E: proces inflamator;
S: subfebrilitate (37,5ºC).
4. NEVOIA DE A BEA SI A MANCA
P: alterarea digestiei;
E: apendicita acuta;
S: greturi.
5. NEVOIA DE A SE MISCA SI A AVEA O BUNA POSTURA
P: postura inadecvata;
E: durere in fosa iliaca dreapta;
S: pozitie inadecvata.
6. NEVOIA DE A DORMI SI A SE ODIHNI
P: dificultatea de a se odihni;
E: durere in fosa iliaca dreapta;
S: ore insuficiente de somn (5h).
7. NEVOIA DE A FI CURAT, INGRIJIT, DE A-SI PROTEJA TEGUMENTELE SI MUCUOASELE
P: dificultatea de a-si efectua ingrijirile igienice;
E: durere;
S: lipsa ingrijirilor igienice.
8. NEVOIA DE A SE IMBRACA SI DEZBRACA
P: dificultatea in a se imbraca si dezbraca;
E: durere;
S: imbracare lenta.
CAZUL III PLAN DE NURSING PRE/POSTOPERATOR
PACIENT: C.I.
SALON: 6
DIAGNOSTIC CLINIC: apendicita acuta cu reactie peritoneala
|
DATA |
CULEGEREA INFORMATIILOR |
DIAGNOSTIC DE INGRIJIRE |
OBIECTIVE |
INTERVENTII |
EVALUARE |
|
|
AUTONOME |
DELEGATE |
|||||
|
23.06.2010 |
- durere in fosa iliaca dreapta; - greturi; - scaune moi; - dificultate in a se imbraca; - pozitie inadecvata; - TA=110/60 mHg; - AV= 80 pulsatii/min celer, volum normal; - R=17 respiratii/min; - respiratie superficiala ritmica, tip costal inferior, miscari simetrice. |
1.NEVOIA DE A COMUNICA P:comunicare ineficace la nivel afectiv; E:neadaptarea la rolul de bolnav; S: teama. |
- pacientul sa se adapteze la rolul de bolnav si sa comunice cu echipa de ingrijire in urmatoarele 12h. |
- explic pacientului necesitatea internarii. |
|
- pacientul comunica eficient cu echipa de ingrijire. |
|
2. NEVOIA DE A EVITA PERICOLELE P: durere; E: inflamatie apendiculara; S: durere in fosa iliaca dreapta. |
- pacientul sa exprime diminuarea durerii in urmatoarele 24h. |
- asez pacientul la pat, - ii recomand sa se linisteasca si sa se aseze intr-o pozitie comoda. |
- administrez Piafen 1 fiola (5ml) i.m. (analgezic). |
- durerea s-a ameliorat. |
||
|
3. NEVOIA DE A ELIMINA P: eliminarea inadecvata a materiilor fecale; E: proces inflamator; S: scaune moi, |
- pacientul sa-si imbunatateasca eliminarea in urmatoarele 12h. |
- ii dau pacientului sa consume lichide. |
- administrez Algocalmin 1 capsula (2mg), oral Antidiareic. |
- temperatura a scazut. |
||
|
DATA |
CULEGEREA INFORMATIILOR |
DIAGNOSTIC DE INGRIJIRE |
OBIECTIVE |
INTERVENTII |
EVALUARE |
|
|
AUTONOME |
DELEGATE |
|||||
|
|
|
4. NEVOIA DE A BEA SI A MANCA P: alterarea digestiei; E: apendicita acuta; S: greturi. |
- pacientul sa nu mai prezinte greturi in termen de 12h. |
- invat pacientul sa inspire profund pentru reducerea senzatiilor de greata. |
- administrez Metoclopramid 1 comprimat, oral (antiemetic). |
- pacientul nu mai prezinta greturi. |
|
5. NEVOIA DE A SE MISCA, SI A AVEA O BUNA POSTURA P: postura inadecvata; E: durere in fosa iliaca dreapta; S: pozitie inadecvata. |
- pacientul sa prezinte o pozitie adecvata in termen de 10h. |
- instalez pacientul in pat, asezandu-l in pozitia de decubit dorsal. |
|
- pacientul si-a imbunatatit postura. |
||
|
6. NEVOIA DE A DORMI SI A SE ODIHNI P: dificultatea de a se odihni; E: durere; S: ore insuficiente de somn (5h). |
- pacientul sa beneficieze de somn corespunzator cantitativ in termen de 24h. |
- invat pacientul tehnici de relaxare care sa le practice inainte de somn - creez conditii optime pentru odihna. |
- administrez Fenobarbital 1 comprimat (15mg), oral, seara (sedativ). |
- pacientul nu s-a odihnit corespunzator din punct de vedere cantitativ (6h). |
||
|
DATA |
CULEGEREA INFORMATIILOR |
DIAGNOSTIC DE INGRIJIRE |
OBIECTIVE |
INTERVENTII |
EVALUARE |
|
|
AUTONOME |
DELEGATE |
|||||
|
|
|
7. NEVOIA DE A FI CURAT, INGRIJIT, DE A-SI PROTEJA TEGUMENTELE SI MUCUOASELE P: dificultatea de a-si efectua ingrijirile igienice; E: durere in fosa iliaca dreapta; S: lipsa ingrijirilor igienice. |
- pacientul sa-si faca ingrijiri igienice singur in termen de 12h. |
- ajut pacientul sa faca dus; - ii ofer asternuturi de pat si pijama. |
|
- pacientul si-a efectuat cu ajutor ingrijirile igienice |
|
8. NEVOIA DE A SE IMBRACA SI DEZBRACA P: dificultatea in a se imbraca si dezbraca; E: durere apendiculara; S: imbricare lenta. |
- pacientul sa poata sa se imbrace si dezbrace singur in termen de 24h. |
- ajut pacientul sa se imbrace si dezbrace. - incurajez pacientul sa se imbrace in ritmul sau. |
|
- pacientul s-a imbracat si dezbricat cu ajutor. |
||
|
DATA |
CULEGEREA INFORMATIILOR |
DIAGNOSTIC DE INGRIJIRE |
OBIECTIVE |
INTERVENTII |
EVALUARE |
|
|
AUTONOME |
DELEGATE |
|||||
|
24.06. |
- dureri in fosa iliaca dreapta; TA=110/70mmHg; AV=78 pulsatii/min - puls ritmic, celer, vol. normal; R=18 respiratii/min; - respiratie superficiala, ritmica, tip costal inferior, miscari simetrice; T=36,5ºC. |
1. NEVOIA DE A EVITA PERICOLELE P: durere; E: apendicita acuta; S: durere in fosa iliaca dreapta. |
- pacientul sa-si exprime diminuarea durerii in termen de 12h. |
- recomand pacientului sa stea linistit la pat. |
- efectuez clisma evacuatoare; - administrez Piafen 1 fiola (5ml)i.m. 3 fiole/zi. |
- durerile s-au ameliorat |
|
2. NEVOIA DE A SE MISCA SI A AVEA O BUNA POSTURA P: postura inadecvata; E: durere in fosa iliaca dreapta; S:pozitie inadecvata. |
- pacientul sa aibe o pozitie adecvata in termen de 12h. |
- recomand pacientului sa se aseze in pat in pozitia de decubit dorsal. |
- pregatire preoperatorie; - testare la xilina=neg. - testare la penicilina=neg. - det. timp de sangerare=2' - det.timp coagulare=6' 30'' |
- pacientul si-a imbunatatit postura |
||
|
DATA |
CULEGEREA INFORMATIILOR |
DIAGNOSTIC DE INGRIJIRE |
OBIECTIVE |
INTERVENTII |
EVALUARE |
|
|
AUTONOME |
DELEGATE |
|||||
|
|
|
3. NEVOIA DE A DORMI SI A SE ODIHNI P: somn perturbat; E: durere; S:ore insuficiente de somn. |
- pacientul sa se odihneasca corespunzator in termen de 12h. |
- creez conditii pentru odihna pacientului. |
- administrez Fenobarbital 1 comprimat (15mg), oral; Diazepam 1 comprimat (2mg), oral; - recoltez sange pentru: hemoleucogra ma glicemie, VDRL. - recoltez urina pentru examenul sumar de urina; - insotesc bolnavul la radiologie pentru efectuarea radioscopiei pulmonare. |
- pacientul s-a odihnit mai bine. |
|
4. NEVOIA DE A FI CURAT P: dificultatea de a-si acorda ingrijiri igenice. |
- pacientul sa-si efectueze singur ingrijirile igenice in termen de 24h. |
- ajut pacientul sa-si efectueze igiena corporala. |
- pacientul isi face igiena corporala cu ajutor. |
|||
|
5. NEVOIA DE A SE IMBRACA SI DEZBRACA SINGUR P: dificultatea de a se imbraca si dezbraca singur; E: durere; S: imbracarea se face lent. |
- pacientul sa se imbrace si dezbrace singur in termen de 24h. |
- ajut pacientul sa se imbrace. |
- pacientul se poate imbraca singur. |
|||
|
DATA |
CULEGEREA INFORMATIILOR |
DIAGNOSTIC DE INGRIJIRE |
OBIECTIVE |
INTERVENTII |
EVALUARE |
|
|
AUTONOME |
DELEGATE |
|||||
|
25.06. |
INTERVENTIA CHIRURGICALA - dureri postoperatorii; TA=120/80 mmHg; AV=80 pulsatii/min - puls ritmic, celer, vol. normal; R=18 respiratii/min; - respiratie superficiala, ritmica, tip costal inferior, miscari simetrice; T=36,8ºC. |
1. NEVOIA DE A EVITA PERICOLELE P: durere; E: interventie chirurgicala; S: dureri postoperatorii. |
- pacientul sa-si exprime diminuarea durerii in termen de 24h. |
- recomand pacientului sa se aseze intr-o pozitie comoda si sa nu faca miscari bruste. |
- administrez Piafen 3 fiole pe zi, i.m, 1 fiola (5ml). |
- pacientul prezinta dureri ameliorate. |
|
2. NEVOIA DE A-SI PROTEJA TEGUMENTELE SI MUCOASELE P: alterarea integritatii; E: interventie chirurgicala; S: cicatrice postoperatorie. |
- pacientul sa prezinte cicatrice postoperatorie cu evolutie buna, neinfectata in termen de 24h. |
- sfatuiesc pacientul sa-si mentina pansamentul intact si curat. |
|
- pacientul prezinta pansament curat. |
||
|
3. NEVOIA DE A BEA SI A MANCA P: alimentatie insuficienta; E: apendicectomie; S: regim hidric. |
- pacientul sa consume lichide suficiente in termen de 8h. |
- ii dau pacientului sa consume lichide. |
- perfuzie intravenoasa, ser fiziologic 500ml; - pacientul a consumat 1200 ml lichide si a eliminat 400ml. |
- pacientul a consumat lichide. |
||
|
DATA |
CULEGEREA INFORMATIILOR |
DIAGNOSTIC DE INGRIJIRE |
OBIECTIVE |
INTERVENTII |
EVALUARE |
|
|
AUTONOME |
DELEGATE |
|||||
|
|
|
4. NEVOIA DE A ELIMINA P: eliminare urinara inadecvata; E: interventie chirurgicala; S: cantitate scazuta 400ml. |
- pacientul sa prezinte o eliminare adecvata din punct de vedere cantitativ in termen de 12h. |
- servesc pacientul cu un urinar; - recomand pacientului sa consume lichide. |
- administrez Fenobarbital 1 comprimat (15mg) oral, seara. |
- pacientul si-a imbunatatit eliminarea urinara; - a urinat spontan. |
|
5. NEVOIA DE A DORMI SI A SE ODIHNI P: somn perturbat; E: durere postoperatorie; S: ore insuficiente de somn. |
- pacientul sa se odihneasca corespunzator in termen de 12h. |
- linistesc pacientul si elimin toate sursele de zgomot. |
|
- pacientul nu s-a odihnit corezpunzator. |
||
|
6. NEVOIA DE A SE MISCA SI A AVEA O BUNA POSTURA P: incapacitatea de a se misca ; E: dureri; S: imobilitate. |
- pacientul sa se poata mobiliza in termen de 24h. |
- ajut pacientul sa se ridice la marginea patului si sa stea in pozitie sezut. |
- efectuez ingrijiri postoperatorii; - supraveghez functiile vitale (TA, pulsul, respiratia, temperatura); - supraveghez pansamentul (daca se imbina anunt medicul); - supraveghez tegumentele si mucoasele. |
- pacientul a inceput mobilizarea. |
||
|
DATA |
CULEGEREA INFORMATIILOR |
DIAGNOSTIC DE INGRIJIRE |
OBIECTIVE |
INTERVENTII |
EVALUARE |
|
|
AUTONOME |
DELEGATE |
|||||
|
26.06. |
- dureri postoperatorii; TA=116/70 mmHg AV=76 pulsatii/min - puls ritmic, celer, volum normal; R=16 respiratii/min; - respiratii superficiale, ritmice, T=36,5ºC. |
1. NEVOIA DE A EVITA PERICOLELE P: durere; E: interventie chirurgicala; S: durere postoperatorie. |
- pacientul sa-si exprime diminuarea durerilor in termen de 12h. |
- invat pacientul tehnici de relaxare; - sfatuiesc pacientul sa nu faca miscari bruste. |
- administrez Piafen 3 fiole (5ml), i.m. (analgezic). |
- pacientul prezinta dureri ameliorate. |
|
2. NEVOIA, DE A-SI PROTEJA TEGUMENTELE P: alterarea integritatii tegumentelor; E: interventie chirurgicala; S: plaga chirurgicala. |
- pacientul sa prezinte plaga chirurgicala neinfectata. |
- invat pacientul sa-si mentina pansamentul curat. |
|
- pacientul prezinta pansament curat; - plaga are evolutie buna. |
||
|
3. NEVOIA DE A BEA SI A MANCA P: alimentatie insuficienta; E: apendicectomie; S: anorexie. |
- pacientul sa se alimenteze corespunzator in termen de 12h. |
- ofer pacientului supa strecurata si lichide pentru a preveni deshidratarea. |
- administrez prin perfuzii intravenoase ser glucozat 5%-500ml. |
- pacientul consuma lichide. |
||
|
4. NEVOIA DE A DORMI SI A SE ODIHNI P: dificultatea de a se odihni; E: dureri postoperatorii; S: ore insuficiente de somn. |
- pacientul sa se odihneasca corespunzator in termen de 12h. |
- indepartez toate sursele care ar putea perturba somnul pacientului. |
- administrez Diazepam 1 comprimat (2mg) oral, seara. |
- pacientul s-a odhnit corespunzator. |
||
|
DATA |
CULEGEREA INFORMATIILOR |
DIAGNOSTIC DE INGRIJIRE |
OBIECTIVE |
INTERVENTII |
EVALUARE |
|
|
AUTONOME |
DELEGATE |
|||||
|
27.06 |
- dureri postoperatorii; TA=110/70 mmHg AV=74 pulsatii/min - puls ritmic, celer, volum normal; R=17 respiratii/min; - respiratie superficiala, ritmica, tip costal inferior. T=36,8ºC. |
1. NEVOIA DE A EVITA PERICOLELE P: durere; E: apendicectomie; S: dureri postoperatorii. |
- pacientul sa-si exprime diminuarea durerii in termen de 12h. |
- invat pacientul tehnici de relaxare. |
- administrez Piafen 3 fiole/zi (5ml) i.m. |
- durerea s-a diminuat |
|
2. NEVOIA DE A-SI PROTEJA TEGUMENTELE P: integritatea tegumentelor; E: interventie chirurgicala; S: plaga chirurgicala. |
- pacientul sa nu prezinte risc de infectie si plaga sa evolueze spre vindecare. |
- ii recomand pacientului sa-si mentina pansamentul curat. |
- efectuez pansament cu Betadine (alcool iodat). |
- plaga operatorie are evolutie buna. |
||
|
28.06. |
- dureri diminuate; TA=110/70 mmHg AV=73 pulsatii/min - puls ritmic, celer, volum normal; R=17 respiratii/min; - respiratie superficiala, ritmica, miscari simetrice, tip costal inferior. T=36,6ºC. |
1. NEVOIA DE A EVITA PERICOLELE P: durere; E: interventie chirurgicala; S: dureri postapendicectomie. |
- pacientul sa-si exprime diminuarea durerii in termen de 12h. |
- invat pacientul tehnici de relaxare care sa-i diminueze durerea. |
- administrez Piafen 3 fiole/zi, i.m. |
- durerea s-a ameliorat. |
|
2. NEVOIA DE A-SI PROTEJA TEGUMENTELE P: alterarea tegumentelor; E: apendicectomie; S: cicatrice postoperatorie. |
- pacientul sa-si mentina cicatricea postoperatorie neinfectata. |
- invat pacientul sa-si mentina pansamentul curat si intact. |
|
- pansamentul este curat, cicatricea postoperatorie prezinta evolutie buna. |
||
|
DATA |
CULEGEREA INFORMATIILOR |
DIAGNOSTIC DE INGRIJIRE |
OBIECTIVE |
INTERVENTII |
EVALUARE |
|
|
AUTONOME |
DELEGATE |
|||||
|
30.06. |
EXTERNAREA - dureri postoperatorii; TA= 110/70 mmhg. AV= 73 pulsatii/min. - puls ritmic, celer, volum normal; R= 15 respiratii/min; - respiratie superficiala, ritmica tip costal. |
1. NEVOIA DE A EVITA PERICOLELE P: durere; E: apendicectomie; S: durere postoperatorie. |
- pacientul sa-si exprime diminuarea durerii in urmatoarele 6h. |
- recomand pacientului sa nu faca eforturi fizice mari. |
- administrez Algocalmin 3 comprimate pe zi, oral; - 1 comprimat (500mg) Analgezic. |
- durerea s-a diminuat. |
|
2. NEVOIA DE A-SI PROTEJA TEGUMENTELE P: alterarea tegumentelor; E: apendicectomie; S: cicatrice postoperatorie. |
- pacientul sa prezinte cicatrice postoperatorie neinfectata cu evolutie buna. |
- invat pacientul cum sa-si efectueze ingrijirile igienice fara a afecta cicatricea postoperatorie. |
- scot firele pacientului cu grija si in conditii perfecte de asepsie. |
- cicatrice postoperatorie cu evolutie buna. |
||
EPICRIZA
Pacientul se interneaza in sectia de chirurgie cu dureri in fosa iliaca dreapta, greturi si scaune moi.
Beneficiaza de urmatoarele investigatii paraclinice:
Ø Hemoleucograma
Ø Hemoglobina= 16,33%
Ø Hematocrit= 50%
Ø Leucocite= 4800/mm³
Ø Forma leucocitara
Ø Neutrofile= 61%
Ø Bazofile= 0%
Ø Eozinofile= 2%
Ø Glicemie 32mg/dl
Ø Examen urina; normal
Ø Radioscopie pulmonara
Ø Reactie VDRL= negativa
Ø Pacientul a suferit interventie chirurgicala
Descrierea interventiei operatorie:
Ø anestezie iot generala; incizie M. Burney; dupa deschiderea cavitatii peritoneale, in plaga apare secretie purulenta abundenta, din care se recolteaza probe pentru analize; ansele din jurul cecului sunt aderente de acestea si fixate; dupa desfacerea acestora se evidentiaza apendicului cu aspect de ,,frunza vesteda"; se practica apendicectomie cu infundare; evacuarea puroiului prin tamponare; drenaj Douglas prin fosa iliaca dreapta; pansament.
Pacientul are o evolutie postoperatorie buna.
Recomandari medicale
Ø evitarea eforturilor fizice timp de 30 zile;
Ø evitarea alimentelor si bauturilor care provoaca gaze intestinale.
ADMINISTRAREA MEDICAMENTATIEI
Medicamente utilizate
|
ALGOCALMIN |
|
|
COMPOZITIE |
Metamizol sodic Ø Comprimate: 500 mg; Ø Fiole de 2 ml a lg (50%); |
|
ACTIUNE FARMACEUTICA |
Analgezic de doua ori mai intens decat aminofenazona si antipiretic cu actiune intensa la administrare i.v.; slab antiinflamator; antispastic, puternic miotrop. |
|
INDICATII |
Alergii de diverse cauze: nevralgii, dureri dentare si de sfera O.R.L., dureri artrozice, artrice, din poliartrita cronica evolutiva, mialgii; sindrom febril. |
|
CONTRAINDICATII |
Alergie la derivati pirazolonici, leucopenie, granulocito-penie, afectiuni hepatice, afectiuni renale, porfirie, deficitde glucoza-6-fosfat dehidrogenaza. |
|
POSOLOGIE SI MOD DE ADMINISTRARE |
Adulti: pana la 1-2 comprimate de 2-3 ori/zi sau 1-2 fiole in injectie i.m. profunda; Ø 1 comprimat sau 1 fiola la nevoie; Ø copii peste 15 ani: 1 comprimat de 2-3 ori/zi sau la nevoie comprimatele se administreaza cu un pahar mare de apa. |
|
DIAZEPAM |
|
|
COMPOZITIE |
Diazepam, comprimate a 2mg. Un comprimat contine diazepam a 2 mg si excipienti: lactoza, stearat de magneziu, dioxid de siliciu coloidal, celuloza microcristalina. |
|
ACTIUNE FARMACEUTICA |
Tranchilizant: miorelaxant si anticonvulsivant. Antispastic uterin. |
|
INDICATII |
Diazepamul are urmatoarele indicatii terapeutice anxietate, convulsii, starea de rau epileptic, contracturi musculare, tetanos. Se mai poate utiliza in tratamentul insomniei, sevrajului alcoolic (inclusiv delerium tremens) pregatirea preanestezica si ingrijirea postoperatorie in cazul interventiilor chirurgicale. |
|
CONTRAINDICATII |
Hipersensibilitate la diazepam sau la oricare dintre componentii produsului. Glaucomul acut sau cu unghi inchis. Intoxicatie cu alcool sau cu alte deprimante ale sistemului nervos central. Insuficienta hepatica severa. Miastenia gravis. Copii sub 6 luni. |
|
PRECAUTIUNI |
Administrarea prelungita sau in doze mari a benzodiazepinelor poate determina dezvoltarea dependentei psihice si fizice. Se recomanda administrarea cu prudenta la pacientii cu antecedente de alcoolism sau dependenta medicamentoasa. |
|
DOZE SI MOD DE ADMINISTRARE |
Adulti: 2-10 mg de 2-3 ori/zi, in functie de severitatea simptomelor. Varstnici: initial 2-2,5 mg de 1-2 ori/zi; la nevoie, doza poate fi crescuta treptat in functie de toleranta clinica a pacientului. Copii peste 6 luni: tratamentul se incepe cu doze mici, 1-2,5 mg de 3-4 ori/zi; la nevoie doza poate fi crescuta treptat in functie de raspunsul terapeutic. In general se recomanda ca durata tratamentului sa nu depaseasca cateva saptamani, iar in cazul intreruperii medicatiei dozele trebuie reduse treptat. |
|
FENOBARBITAL |
|
|
COMPOZITIE |
Fiole continand solutie 10% (200 mg) si a 4 % (40 mg) fenobarbital in propilenglicol Comprimate continand 100 mg si 15 mg fenobarbital. |
|
ACTIUNE FARMACEUTICA |
Sedativ, hipnotic cu actiune prelungita, anticonvulsivant. |
|
INDICATII |
Sedativ in diferite stari de hiperexcitabilitate, afectiuni medicale sau chirurgicale care necesita sedare, insomnii, epilepsie, convulsii la sugari, copii si adulti, medicatie prenarcotica, adjuvant al fototerapiei in icterul neo-natal. |
|
CONTRAINDICATII |
Stari precomatoase si comatoase, parkinsonism, intoleranta la fenobarbital, insuficienta renala, cardiopulmonara si hepatica grava, diabet, porfirie latenta. |
|
MOD DE ADMINISTRARE |
Adulti ca sedativ, cate un comprimat de 15 mg la 4 ore; hipnotic 1 comprimat de 100 mg seara la culcare; in boala Basedow ½ comprimat de 100 mg/zi; anticolvulsivant, in intoxicatiile cu stricnina, in tetanos 2-3 fiole/zi i.m; in epilepsie se incepe cu ½ comprimat de 100 mg de 2-3 ori/zi continuandu-se cu 200-300 mg/zi fractionat pana la disparitia convulsiilor. Doza unica maxima de 300 mg; doza zilnica maxima 600mg. Copii - sedativ 6mg/kg corp/zi in 3 prize oral sau i.m. anticonvulsionat 3-5 mg/kg corp/doza oral sau i.m. Se poate repeta pana la maximum 300mg. |
|
METOCLOPRAMID |
|
|
COMPOZITIE |
Un comprimat contine clorhidrat de metaclopramida 10 mg si excipienti: lactoza, dioxid de siliciu coloidal, stearat de magneziu, celuloza microcristalina. Un ml solutie injectabila contine clorhidrat de metaclopramida 5 mg si excipienti: clorura de sodiu, metabisulfit de sodiu, fosfat disodic, acid citric, apa distilata pentru preparatele injectabile. |
|
ACTIUNE TERAPEUTICA |
Propulsiv si antivomitiv. Metoclopramida stimuleaza motilitatea tractului gastrointestinal, creste tonusul si amplitudinea contractiilor gastrice, creste tonusul sfincterului esofagian inferior, relateaza sfincterul piloric si bulbul duodenal, creste peristaltismul duodenului si jejunului; accelereaza golirea stomacului si tranzitului intestinal. De asemenea are proprietati antiemetice. |
|
INDICATII TERAPEUTICE |
Esofagita de reflux. Sindrom de hipomotilitate gastrica. Greturi si varsaturi de diferite cauze. Sughit persistent. In cazul anumitor procedee diagnostice intubare duodenala, examen radiologic. |
|
CONTRAINDICATII |
Hemoragii gastrointestinale, obstructii mecanice si perforatii ale tractului gastrointestinal, feocromocitom, hipersensibilitate cunoscuta sau intoleranta la unul din componentii produsului, epilepsie. |
|
DOZE SI MOD DE ADMINISTRARE |
Sindrom de hipomobilitate gastrica: oral 10 mg cu 30 minute inainte de fiecare masa si seara la culcare. Daca sunt prezente simptome severe este recomandata administrarea parenterala a metoclopramidei in doze de 10 mg intramuscular sau intravenos, de 3-4 ori/zi. Esofagita de reflux: oral 10-15 mg cu 30 minute inainte de fiecare masa si seara la culcare (10-15 mg de 4ori/zi). Sughit; oral 10-15 mg de 4 ori/zi, timp de 7 zile. Daca este necesar, prima doza se poate administra parenteral (10 mg i.m.). Antiemetic: oral 5-10 mg de 3 ori/zi sau cu ½ h inaintea efectului dorit. Intravenos in perfuzie 2 mg/kg repetand la nevoie dupa 2 ore, cel mult 3-5 doze. La copii 5-14 ani: oral 2,5-5 mg de 3 ori/zi, cu 30 minute inainte de masa si la culcare. Perfuzie intravenoasa 1mg/kg ca doza unica. Se poate repeta inca o data dupa 60 minute. |
|
PIAFEN |
|
|
COMPOZITIE |
Noraminofenazona: 500 mg (comprimate), 2,5000 g (fiole). Clorhidrat de pitofenona: 5 mg (comprimate), 0,0100 g (fiole). Bromometilat de fenpipramida: 0,1 mg (comprimate), 0,0001 g (fiole). Excipienti pana la 690 mg, apa distilata pentru preparare injectabile pana la 5 ml. |
|
ACTIUNE TERAPEUTICA |
Actiune analgezica puternica, efecte antispastice directe asupra fibrei musculare netede, efecte antipiretice. |
|
INDICATII |
Forma injectabila este indicata, in special, in sindroamele algice severe (colica nefretica, colica biliara, pancreatita cronica), de asemenea, in interventiile abdominale pe abdomen si pe micul bazin si in unele manevre de explorare instrumentala. Comprimatele sunt destinate pentru tratamentulunor algii mai putin acute (cefalee, migrene, odontologii, dischinezii hepatobiliare, colite, cistalgii, dismenoree, dureri postoperatorii si posttraumatice). |
|
CONTRAINDICATII |
Alergie la metamizol si alti pirazoli; antecedente de agranulocitoza toxica; deficit de G-6 PD; porfirie hepatica acuta; glaucom cu unghi inchis; adenom de prostata cu tendinta la retentie urinara; colaps; insuficienta cardiaca grava; angina pectorala; infarct miocardic acut; tahicardie; obstructie mecanica a tubului digestiv; megacolon. Prudenta in asocierea cu amantadina chinidina, antidepresive triciclice (cresc efectele atropinice). |
|
MOD DE ADMINISTRARE |
Injectii i.m. sau i.v. lent (1-1,5 ml/minut), 1-3 fiole/zi; Oral, cate 2 comprimate de 1-3 ori/zi. |
|
PARACETAMOL |
|
|
COMPOZITIE |
Paracetamol. |
|
ACTIUNE TERAPEUTICA |
Substanta cu actiune analgezica asemanatoare cu a fenacetinei si cu efect antipiretic apropiat de al salicilatilor. Efect analgezic are, de asemenea un mecanism central, fiind influentate durerile de intensitate medie. Nu are actiune antiinflamatoare-antireumatica. |
|
INDICATII TERAPEUTICE |
Combaterea simptomatica a febrei (peste 38ºC) de cauza infectioasa; combaterea simptomatica a durerilor medii (cefalee, nevralgii dentare, sciatice), artralgii nereumatismele, dismenoree, dureri dupa unele interventii chirurgicale, entorse, fracturi, luxatii). In cadrul acestor indicatii, beneficiaza de preparat in special persoanele cu intoleranta digestiva la salicilati sau cu sensibilizare la derivati pirazolonici. |
|
CONTRAINDICATII |
Durerile intense in special cele de origine viscerala, durerile reumatice. Nu se administreaza la copii sub 3 ani. |
|
MOD DE ADMINISTRARE |
Ø adulti si copii peste 12 ani, cate 3-4 comprimate/zi. Nu se va depasi doza zilnica de 2,5 g (5 comprimate). Ø Copii intre 7 si 12 ani cate 0,250 g (½ comprimat) la 6 ore; la copii intre 3 si 7 ani este preferabil sa se utilizeze supozitoarele a 250 mg. |
|
PENICILINA G |
|
|
ACTIUNE TERAPEUTICA |
Ø bacteriostatica; Ø bactericida; Ø germenul de electie in afectiunile cu stafilococ neproducator de penicilinoza cu streptococ β hemolitic sau cu pneumococ. |
|
INDICATII TERAPEUTICE |
Ø infectii locale, regionale sau generale cu germeni sensibili; Ø infectii respiratorii, cutanate, venerice, biliare si urinare; Ø meningite, septicemii, endocardite. |
|
MOD DE ADMINISTRARE |
Ø IM; Ø IV (perfuzie continua in solutie glucozata 5%). |
|
GENTAMICINA |
|
|
ACTIUNE TERAPEUTICA |
Ø asupra germenilor gram-pozitiv si gram-negativ (bacilul coli, stafilococul auriu). |
|
INDICATII TERAPEUTICE |
Ø infectii generale cu stafilococ sau bacili gram-negativ; Ø infectii urinare. |
|
MOD DE ADMINISTRARE |
Ø IM. |
|
AMPICILINA |
|
|
ACTIUNE TERAPEUTICA |
Ø cu spectru larg; Ø concentrare biliara inalta (antibiotic, biliar); Ø infectii cu enterococ si bacil tific. |
|
INDICATII TERAPEUTICE |
Ø infectii pulmonare, biliare, urinare, digestive si generalizate (septicemii, endocardite, meningite). |
|
MOD DE ADMINISTRARE |
Ø oral; Ø parenteral (IM). |
CONCLUZII
O concluzie deosebit de importanta este aceea ca rolul nursei vizavi de aceasta afectiune nu se rezuma numai la tratarea ei ci si in preventia acestei boli.
Asa cum spuneam la inceputul lucrarii boala este descoperita uneori intamplator datorita faptului ca desi pacientii acuza dureri la nivelul abdomenului din pudoarea fals inteleasa sau pur si simplu din lipsa de educatie sanitara, acestia nu se prezinta la medic.Tocmai aici intervine misiunea nursei de promovare a sanatatii care printr-o activitate bine coordonata poate descoperi afectiunea din stadii incipiente si astfel tratamentul sau are rezultatele scondate.Rolul nursei in educatia sanitara mai ales a tinerelor mame este deosebit de importanta prin a le determina pe acestea de a se prezenta cu copii sau orice persoana de alta de varsta diferita la medic imediat ce se observa dureri ale abdomenului datorita faptului ca unul din factorii favorizanti al este temperatura ridicata
Am studiat cu real interes si curiozitate, atat teoretic cat si practic, chirurgia apendicelui cecal si am aflat informatii utile pentru instruirea mea profesionala
Apendicita acuta este o afectiune grava cu un prognostic in general sumbru.
Etiologia apendicitei acute este infectia microbiana (teoria infectioasa a lui Aschoff)., cunoscandu-se doar o serie de factori de risc.
Manifestarile clinice ale apendicitei acute sunt cunoscute dat fiind simptomatologia bogata, ignoranta si sentimentul de vina
De obicei apendicita acuta se descopera cu ocazia manifestarilor altor semne decat cele specifice si atunci, de regula afectiunea se afla intr-un stadiu avansat sau mai putin.
Impactul emotional al descoperirii afectiunii este in mare dat fiind de varsta tanara a pacientilor, intre 10-40 ani, perioada de maxima dezvoltare a aparatului limfatic si a bolilor infectioase Este mai frecvent intalnita la populatia cu alimentatie predominant camata sau exclusiv vegetala.
Prognosticul destul de grav al majoritatii formelor de apendicita necesita o atenta observare a tuturor formatiunilor si o evaluare rapida si corecta a afectiunii, pentru a putea lua cat mai repede masurile necesare aplicarii formelor actuale de tratament de specialitate.
Rolul nursei in ingrijirea pacientilor cu apendicita acuta este important si priveste toate masurile necesare pentru diagnostic si tratament.
Bolnavii trebuie supravegheati cu atentie si orice semn nou aparut trebuie raportat medicului.
Deoarece, pacientii vor avea de suportat o interventie chirurgicala, nursa va face tot ce-i sta in putinta pentru a le oferi suportul fizic si psihic de care au nevoie la un nivel calitativ si cantitativ cat mai ridicat.
De asemenea, este foarte important ca pacientul si familia sa inteleaga ce reprezinta aceasta afectiune si mai ales faptul ca prognosticul initial poate fi modificat respectand indicatiile terapeutice, care au fost radical imbunatatite datorita ultimelor descoperiri din domeniul medicinei.
Crearea unor conditii ambientale cat mai bine si asigurarea unui sprijin moral neconditionat pot avea un rol important in desfasurarea optima a actiunilor ce le vom desfasura pentru o cat mai buna rezolvare a problemelor de dependenta ale pacientului.
STUDIUL STATISTIC
Tabel cu repartizarea pacientilor in functie de mediul de provenienta pe sectii si procentul de incidenta al apendicitei acute pe mediul de provenienta
|
Mediul de provenienta al pacientilor |
Chirurgie cazuri |
Chirurgie sectie |
Cazuri pe mediu |
Procent de incidenta |
|
URBAN |
|
|
|
|
|
RURAL |
|
|
|
|
|
TOTAL |
|
|
|
|
Graficul cazurilor pe mediul de provenienta al pacientilor
|
|
|
|||
|
|
|
|||
|
|
|
|||
|
|
|
|||
|
|
|
|||
|
|
|
|||
|
|
|
|||
|
|
|
|||
|
|
|
|||
|
|
|
|||
|
|
Chirurgie |
Chirurgie sectie |
Cazuri pe mediu |
|
URBAN
![]()
RURAL
Tabel cu incidenta de aparitie a apendicitei acute intervale de sex si varsta si procentul de incidenta
|
varsta |
sex |
Raport cazuri |
Total cazuri |
Procent de aparitie apendicita acuta |
|
inainte de pubertate |
Barbati |
|
|
|
|
Femei |
|
|
|
|
|
la pubertate |
Barbati |
|
|
|
|
Femei |
|
|
|
|
|
la adulti |
Barbati |
|
|
|
|
Femei |
|
|
|
|
|
Total |
|
|
|
|
|
|
|
||||
|
|
|
||||
|
|
|
||||
|
|
|
||||
|
|
|
||||
|
|
|
||||
|
|
|
||||
|
|
|
||||
|
|
|
||||
|
|
|
||||
|
|
Inainte de pubertate |
La pubertate |
La adulti |
|
|
Barbat
![]()
Femei
Rezistenta la medicamente

Factori favorizanti aparitiei apendicitei acute
BIBLIOGRAFIE
E.Proca - Tratat de patologie chirurgicala, Editura Medicala, Bucuresti vol VI 1986
Angelescu N., - Patologie chirurgicala, - Ed. Celsius, Bucuresti 1997
D.Burlui - Chirurgie generala
Dragomirescu C, Popescu I., - Actualitati in chirurgie, Ed. Celsius 1998
Lucretia Titirica - Ghid de nursing, Editura Viata Medicala Romaneasca, 1998
Lucretia Titirica - Manual de ingrijiri speciale acordate bolnavilor de asistenti medicali, Editura Viata Medicala Romaneasca, Bucuresti, 1998
Ghid de practica medicala - vol. I 2002
R. Carmaciu, C. TH. Niculescu, Leila Torsan - Anatomia si fiziologia omului, 1983
Gonzalez Moreno S., Shmookler B.M., Sugarbaker P.H. - Appendiceal mucocele. Contraindication to laparoscopic appendectomy
L.M.Popescu, N.Ionescu, D.Onicescu 1996 - Atlas de histologie
Vizualizari: 33328
Importanta: ![]()
Termeni si conditii de utilizare | Contact
© SCRIGROUP 2025 . All rights reserved