| CATEGORII DOCUMENTE |
| Alimentatie nutritie | Asistenta sociala | Cosmetica frumusete | Logopedie | Retete culinare | Sport |
DCIS - Carcinomul ductal in situ. Este cancerul mamar detectat cel mai devreme (prima faza), stadiul 0. Se limiteaza la ducte. Toate femeile cu cancer in acest stadiu se pot vindeca. Cea mai buna metoda pentru a depista DCIS este mamografia.

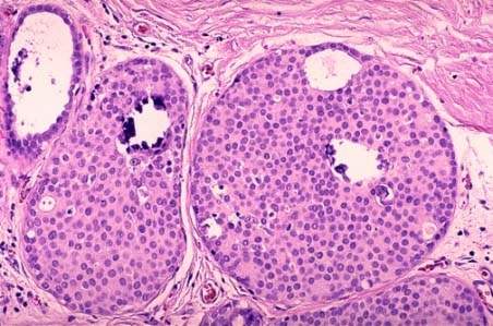
Fig. 2. Carcinom intraductal (aspect microscopic).
IDC - Carcinomul ductal infiltrativ (invaziv). Acest cancer se dezvolta pe traseul laptelui in duct, sparge peretele ductului si invadeaza tesutul gras al sanului. De aici se poate intinde si in alte parti ale corpului (poate metastaza). IDC este cel mai comun tip de cancer, aparand la aproximativ 80% din cazuri.
LCIS - Carcinomul lobular in situ. O tumora care nu s-a imprastiat mai departe de aria in care s-a dezvoltat se numeste in situ. Desi nu este un cancer efectiv, LCIS creste riscul de imbolnavire de cancer mai tarziu. Din aceasta cauza, este important pentru o femeie cu LCIS sa faca un examen fizic de doua sau trei ori pe an. La fel de importanta este si realizarea unei mamografii in fiecare an.
ILC - Carcinomul lobular infiltrativ (invaziv). Acest cancer se dezvolta in lobul. El poate metastaza catre alte parti ale corpului. Doar 10-15% din cancere sunt de acest tip.
Mai sunt si alte forme, mai putin comune, de cancer, pe care nu le-am descris in acest capitol. Daca aveti unul dintre acestea, va puteti adresa pentru informatii la Liga Romana de Cancer.
Vizualizari: 1729
Importanta: ![]()
Termeni si conditii de utilizare | Contact
© SCRIGROUP 2025 . All rights reserved