| CATEGORII DOCUMENTE |
| Alimentatie nutritie | Asistenta sociala | Cosmetica frumusete | Logopedie | Retete culinare | Sport |
Sanul are doua tipuri de tesuturi - glandular si stromal (de suport).
Tesutul glandular include lobulii si ductele. In lactatie, celulele lobulilor produc laptele, care este transportat prin ducte (canale) catre mamelon.
Tesutul stromal este alcatuit din tesut gras si fibroconjunctiv (ligamente care sustin sanul).
Oricare dintre aceste structuri pot sa prezinte schimbari care sa determine aparitia de semne si simptome de boala. Cele doua mari grupuri de modificari ale sanului sunt tumorile benigne si cancerele sanului.
Cele mai frecvente leziuni benigne ale sanului sunt modificarile fibrochistice, tumorile benigne ale sanului si inflamatiile sanului.
Modificarile benigne ale sanului sunt foarte frecvente. Daca tesuturile sanului ar fi examinate sub microscop, aceste leziuni ar fi gasite la 9 din 10 femei.
Spre deosebire de cancere, leziunile benigne nu ameninta viata, dar pot da o simptomatologie neplacuta, iar cateva dintre acestea se asociaza cu un risc tardiv de dezvoltare a cancerului.
Aceste modificari produc tumori sau zone sensibile si dureroase pe care le gaseste femeia la autoexaminarea sanului sau medicul la examenul clinic al sanilor. Durerea, scurgerile anormale - altele decat laptele - la nivelul mameloanelor pot fi caracteristice modificarilor benigne. Unele leziuni pot sa nu produca simptomatologie si sa fie descoperite intamplator la mamografie.
Modificarile fibrochistice
Acestea cuprind cele doua componente ale sanului - glandulara si stromala. In trecut erau denumite 'boala fibrochistica'. Deoarece aceste modificari afecteaza cel putin jumatate din toata populatia feminina, este mai corect sa fie denumite modificari, schimbari, decat boala. Afectiunile fibrochistice sunt comune femeilor tinere, dar ele pot aparea la orice varsta.
Diagnosticul, pus pe baza simptomatologiei, distinge chisturi, tumefactii, arii de ingrosare, sensibilitate sau durere. Acestea devin mai accentuate premenstrual, fiind influentate hormonal. Cateodata aceste leziuni sunt in mod particular mai ferme, crescand posibilitatea de a ascunde un cancer.
Microscopic, aceste modificari reflecta modul in care tesuturile sanului raspund lunar la modificarile hormonale, modificari care pot sa indice cresterea moderata sau rapida a riscului de a dezvolta un cancer. Modificarile descrise sunt:
Fibroza - se refera la predominenta tesutului fibros, acelasi cu tesutul din ligamente si din tesutul cicatricial. Aria de fibroza are la palpare o consistenta ferma si dura. Fibroza nu are impact asupra riscului de cancer si nu necesita un tratament special.
Chisturile sunt spatiile pline cu lichid, tapetate de celule glandulare. Acumularile crescute de lichid determina aparitia macrochisturilor. Ele pot cauza durere, iar la examenul clinic leziunea este rotunda, elastica, mobila, ultrasonografia confirmand existenta chistului. Inlaturarea fluidului prin aspiratie reduce durerea si tensiunea. Prezenta chisturilor nu creste riscul de cancer.
Hiperplazia epiteliala (boala proliferativa a sanului) este o crestere a celulelor care tapeteaza ductele si lobulii. Cand hiperplazia afecteaza ductele este numita hiperplazie ductala, iar cand afecteaza lobulii, hiperplazie lobulara. In functie de examenul microscopic, hiperplazia este uzuala (fara atipii celulare) sau atipica.
Hiperplazia uzuala creste foarte usor riscul pentru cancerul de san (1,5-2 ori - fata de riscul femeilor din intreaga populatie), in timp ce hiperplazia atipica indica o crestere moderata (4-5 ori). Aproximativ 10% (1 din 10) din femeile cu hiperplazie ductala atipica vor dezvolta un carcinom invaziv in 10 ani de la biopsie. Aproximativ 70% din biopsiile facute pentru conditii benigne nu contin elemente de hiperplazie; 26% au hiperplazie uzuala si numai 4% hiperplazie atipica.
Examenul microscopic se face prin biopsie chirurgicala sau punctie aspirativa cu acul.
Un diagnostic de hiperplazie si in mod particular de hiperplazie atipica necesita urmarirea atenta (examen clinic, mamografie) - mai frecventa decat cea recomandata in general.
Adenoza - se refera la largirea lobulilor care contin mai multe glande decat uzual. Daca mai multi lobuli se gasesc unul langa altul, aceasta colectie de lobuli cu adenoza poate fi suficient de mare pentru a fi simtita.
Sunt mai multe denumiri pentru aceasta conditie de precancer, ce includ agregate adenomatoase sau adenoza tumorala. Chiar daca este folosit cuvantul tumora, aceasta leziune este complet benigna. Adenoza scleroasa este o alta forma in care exista distorsiuni ale lobulilor prin tesut fibros. Calcificarile (depozitele de material mineral) pot sa apara in adenoza, in adenoza scleroasa, dar si in cancere.
Biopsia aspirativa cu ac fin, dar mai ales cea efectuata pe cale chirurgicala sunt necesare. Adenoza creste riscul pentru cancer de 1,5-2 ori.
Tratamentul. Desi s-au obtinut rezultate considerabile in recu-noasterea diferitelor tipuri de modificari fibrochistice care pot creste riscul pentru cancer, nu s-au facut progrese in intelegerea motivelor pentru care unele dintre aceste conditii produc simptome la anumite femei si nici in tratamentul acestei simptomatologii.
Astfel, sunt paciente la care durerea cedeaza dupa aspiratia chistului sau dupa ingestia de cafeina si metilxantina, ce se gasesc in cafea, ceai, ciocolata si unele bauturi nealcoolizate, fapt nedovedit stiintific.
Tinand cont de modificarile hormonale, unii medici mai recomanda scaderea consumului de sare, diuretice sau cresterea consumului de vitamine, dar acestea nu aduc rezultate pozitive certe.
Tratamentul cu hormoni steroizi (de exemplu contraceptive) de asemenea nu aduce un beneficiu net.
Doar doua medicamente administrate sub prescriptie medicala - bromocriptina si danazolul - sunt recomandabile pentru femeile cu simptomatologie severa, dar ele pot afecta metabolismul hormonal si au efecte adverse serioase.
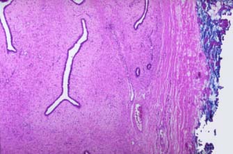
Fibroadenomul este o tumora benigna care se dezvolta din tesut glandular si stromal. Este foarte frecventa la femeia tanara (20-30 de ani), insa poate aparea la orice varsta.
Unele fibroadenoame sunt de dimensiuni mici, dar altele pot avea dimensiuni mari - cu tendinta la rotunjire - si sunt bine delimitate. Pot fi unice sau multiple si foarte usor diagnosticat mamografic sau prin biopsie.
Majoritatea medicilor recomanda inlaturarea lor chirurgicala. Cateodata este posibil ca unul sau mai multe fibroadenoame sa creasca dupa inlaturarea chirurgicala a altora.

Fig. 3. Fibroadenom (aspect microscopic)..
Tumora Phyllodes este un tip mai rar, care se dezvolta, la fel ca fibroadenomul, din tesut stromal si glandular, diferenta dintre ea si fibroadenom rezultand din cresterea accelerata a partii fibroconjunctive, celulele care formeaza acest tesut putand avea aspecte anormale microscopic. In functie de aspectul acestor celule, ele pot fi benigne, maligne sau cu potential de malignizare.
Tumora benigna se trateaza cu succes chirurgical, prin inlaturarea ei impreuna cu tesut sanatos de 2 cm de jur imprejur. Tumora maligna se trateaza tot chirurgical, dar cu verificarea marginilor sau prin mamectomie, daca este necesar. Aceste tumori maligne nu raspund la tratamentul hormonal, dar raspund la chimio si radioterapie.
Papilomul intraductal este determinat de cresterea tesutului glandular, dar si fibrovascular (fibros si al vaselor sangvine). Papiloamele sunt caracterizate prin ducte foarte largi in apropierea mamelonului, ceea ce determina secretii sangvinolente la nivelul mamelonului. Ele se pot afla si la distanta de mamelon, in ductele mici, dar insotite de hiperplazie epiteliala. Tratamentul este chirurgical - inlaturarea papilomului si a segmentului unde se afla situat.
Tumora cu celule granulare apare rar in san si mai frecvent pe piele si in gura. In majoritatea cazurilor leziunea este benigna, de consistenta dura si dimensiuni de 1-2 cm. Fermitatea ridica suspiciunea de cancer, dar biopsia sau punctia poate sa faca distinctia. Aceasta leziune se trateaza chirurgical prin inlaturarea leziunii impreuna cu margini cu structura normala, verificate histologic, din tesut sanatos, iar tratamentul este curativ si fara risc pentru cancerul de san.
Necroza grasa apare atunci cand tesutul gras al sanului sufera modificari datorita unor injurii - de exemplu interventie chirurgicala sau radioterapie. Leziunea devine ferma si, deoarece cancerul de san este ferm, aceasta nu poate fi diferentiata clinic de cancer. In acest caz, numai biopsia sau excizia chirurgicala pun diagnosticul.
Mastitele sunt infectii care afecteaza in general sanul femeii care alapteaza. Infectia bacteriana se face de la nivelul pielii, determinand atractia celulelor inflamatorii. Celulele inflamatorii elibereaza substante care lupta impotriva infectiei. Acestea dau sanului un aspect edematiat (umflat), rosu. Sanul este dureros si cald. Mastita se trateaza cu antibiotice. Anumite cazuri de mastite sunt insotite de abcese care trebuie tratate chirurgical.
Ectazia ductala este conditia comuna care tinde sa afecteze femeile in deceniul al patrulea si al cincilea de viata. Cel mai comun simptom este scurgerea verde sau gri, anormala, la nivelul mamelonului, care devine dureros si rosu. Cateodata tesuturile inconjuratoare ductelor capata un aspect dur, ceea ce duce la confuzii cu cancerul. Aceste conditii pot disparea cu tratament antibiotic, iar daca simptomatologia persista, este necesara indepartatea chirurgicala.
Cancerul mamar este cel mai frecvent cancer la femei, la noi in
In SUA, ACS (American Cancer Society) arata ca in anul 2000 aproximativ 183 000 de femei se vor imbolnavi de cancer de san invaziv si alte 41 000 vor deceda de aceasta boala.
In Uniunea Europeana, 250 000 de femei vor fi diagnosticate anual cu cancer de san.
Din nefericire, in tara noastra, peste 60% din pacientele diag-nosticate cu cancer de san sunt in stadii avansate, III si IV, sansele lor de supravietuire fiind scazute, iar costul tratamentului, ridicat.
Spre deosebire de tarile cu programe sustinute de diagnostic precoce, unde
rata deceselor a scazut semnificativ, la noi in
Un procent foarte mic din numarul pacientilor diagnosticati, tratatati si decedati cu acest diagnostic este reprezentat de barbati.
Vizualizari: 1862
Importanta: ![]()
Termeni si conditii de utilizare | Contact
© SCRIGROUP 2025 . All rights reserved