| CATEGORII DOCUMENTE |
| Alimentatie nutritie | Asistenta sociala | Cosmetica frumusete | Logopedie | Retete culinare | Sport |
Investigatii endoscopice
De la introducerea ei in practica si pana in prezent, cistoscopia a reprezentat si reprezinta examenul fundamental, obligatoriu si indispensabil pentru diagnosticul tumorilor vezicale, indiferent de forma clinica si stadiul lor de dezvoltare. Acest fapt este recunoscut de toti autorii, in toata literatura de specialitate.
In primul rand, cistoscopia apreciaza existenta tumorii, aspectul ei macroscopic (franjurat, vegetant, ulcerat, cu incrustatii sau zone de necroza), modul de insertie parietala, rapoartele cu meatele ureterale si colul vezical, aspectul mucoasei peritumorale si a intregului uroteliu vezical si nu in ultimul rand, numarul tumorilor [179]. In al doilea rand, cistoscopia permite recoltarea de biopsii vezicale, absolut necesare diagnoticului de certitudine, histopatologic.
Cistoscopia se efectueaza sub anestezie pentru a avea relaxare, confort si a putea destinde vezica urinara suficient de mult, utilizand mai multe tipuri de telescoape, cu angulatie diferita, pentru a putea examina o suprafata cat mai completa a campului urotelial.
In prezent exista cistoscoape flexibile care, pe langa faptul ca sunt mai putin traumatizante, ofera o explorare completa endovezicala.
In cazul descoperirii unei tumori, cistoscopia poate fi urmata imediat de rezectia endoscopica a acesteia, fara sa mai fie nevoie de o noua pregatire a pacientului si o alta anestezie.
Erorile si limitele cistoscopiei sunt determinate de:
efectuarea acesteia fara anestezie, cu vezica urinara insuficient destinsa
mediul vezical tulbure
vezica mica, spastica
tumori prostatice mari sau infiltratie masiva a prostatei
prezenta de stricturi uretrale
leziunile cistitice
leziunile mecanice ale mucoasei vezicale (la purtatorii cronici de sonde uretro-vezicale)
corpii straini intravezicali
gradul de infiltratie al tumorii - nu se poate aprecia
tumora in diverticulul vezical cu orificiu ingust
peretele superior vezical deasupra colului.
De asemenea, cistoscopia completata
sau nu cu rezectia endoscopica, permite recoltarea de biopsii
randomizate, din tesut macroscopic sanatos, in vederea
detectiei de leziuni neoplazice microscopice, inclusiv concomitenta
Cis [3].

a. b.
Figura 49. a,b) Aspecte cistoscopice de tumori vezicale. Tumori exofitice inconjurate de epiteliu vezical normal [43].
Cistoscopia permite urmatoarele precizari:
prezenta tumorii vezicale
locul ei de implantare pe peretele endovezical
aprecierea dimensiunilor portiunii exofitice
aspectul franjurilor tumorale
numarul, distributia endovezicala si suprafata interesata in caz de tumori multiple si de asemenea, comparatia macroscopica a acestora
situarea sau raporturile de vecinatate cu meatele ureterale, trigonul si colul vezical
prezenta de eventuale tumori in uretra prostatica
si nu in ultimul rand, aspectul general al mucoasei endovezicale atat peritumoral cat si la distanta.
Daca toate investigatiile prealabile ridica suspiciunea prezentei de formatiuni tumorale endovezicale, cistoscopia este aceea care permite vizualizarea directa a leziunii, iar prin aprecierea aspectului macroscopic ofera un prim diagnostic diferential, de probabilitate, cu leziuni tumorale de alte cauze (de exemplu, inflamatorii). Locul de implantare al tumorii vezicale poate sa aibe valoare prognostica, stiut fiind faptul ca tumorile vezicale situate in vecinatatea sau la nivelul meatelor ureterale ridica suspiciunea prezentei acestora si in cavitatile aparatului urinar superior, cele situate in trigon au prognostic evolutiv mai mare si rata de diseminare crescuta datorita vascularizatiei locale bogate, iar cele situate pe versantul vezical al colului, in zona greu accesibila ablatiei endoscopice, ridica problema acuratetei si radicalitatii rezectiei transuretrale.
De asemenea, prezenta de tumori in uretra prostatica indica un prognostic mult mai slab.
Atunci cand dimensiunile partii exofitice a tumorii vezicale sunt mici, cistoscopia permite inspectia pediculului tumoral si al mucoasei vezicale adiacente, si implicit aprecierea suprafetei ce urmeaza a fi rezecata (fig. 50).
In cazul tumorilor voluminoase a caror portiune exofitica acopera in totalitate pediculul tumoral, acest lucru nu mai este posibil; rezectia endoscopica va fi cea care, dupa indepartarea portiunii libere a tumorii, va evidentia aspectul, grosimea pediculului si suprafata ce urmeaza a fi rezecata in continuare. Studiind aspectul franjurilor tumorale, cistoscopia permite si o prima apreciere, destul de relativa, a agresivitatii tumorii descoperite. Se apreciaza ca, in general, tumorile vezicale cu franjuri lungi sunt mai putin agresive decat cele cu franjuri scurte sau cele fara franjuri, cu aspect cerebriform.
De asemenea, cu cat numarul de tumori vezicale descoperite la cistoscopie este mai mare, iar distributia lor endovezicala intereseaza o arie mai extinsa, cu atat prognosticul este mai slab, crescand rata recidivelor si scurtand intervalul de timp de aparitie a acestora.








b
Figura 50. Imagini cistoscopice de tumori vezicale superficiale cu aspect papilar
- pediculate/sesile evaluate cistoscopic Ta-T1.
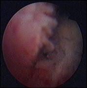
Tumorile cu grad mare de anaplazie sunt, de regula, mai mari si sesile, cu baze largi de implantare, franjuri scurte si rigide ('inghetate'), solide (fig.51).



Figura 51. Tumori vezicale infiltrative - aspecte cistoscopice.
Inspectia aspectului uroteliului endovezical la distanta de tumora poate oferi date despre "starea de sanatate" a acestuia. Uroteliul de aspect normal, integru, uniform, cu luciul pastrat, a aratat un prognostic in timp, mult mai bun decat la cazurile cu uroteliu modificat la distanta de tumora, cu zone de edem, zone de iritatie a mucoasei, dilatatii ale venelor din submucoasa, retea vasculara submucoasa bogat reprezentata sau zone petesiale diseminate pe o arie extinsa a endovezicii.
La lotul de pacienti studiat, in 36 de cazuri (21%) am intalnit uroteliu modificat la distanta de tumora vezicala, ceea ce a condus la recoltarea de biopsii vezicale din aceste zone. In toate cazurile examenul histopatologic a aratat tesut inflamator.
In perioada postoperatorie, cistoscopia a facut parte din protocolul obligatoriu de urmarire a pacientilor, la termenele prezentate anterior, sau ori de cate ori a fost nevoie, in caz de suspiciune de recidiva tumorala.
Inspectia vezicii urinare a fost efectuata cu anestezie intravenoasa, ceea ce a asigurat atat un grad bun de confort al examinarii, cat si o buna toleranta a pacientului, fara internare si cu reintegrare in viata sociala in aceeasi zi.
Anterior efectuarii cistoscopiei periodice de control, s-a recomandat pacientului un tratament scurt cu sulfamide, inceput cu 2 zile inaintea examinarii si continuat inca 3 zile dupa aceea. In acest fel am incercat micsorarea cat de mult posibil a riscului infectiei urinare dupa manevra.
Biopsia vezicala
Examenul histopatologic al tesutului vezical recoltat fie prin cistoscopie, fie prin rezectie transuretrala, este cel care pune diagnosticul de certitudine.
Oricat ni s-ar parea de clara sau de patognomonica leziunea recoltata, numai examenul la microscop, analizand celulele din tesutul recoltat, poate oferi atat diagnosticul de neoplasm, cat si stadierea acestuia.
|
Politica de confidentialitate | Termeni si conditii de utilizare |
Vizualizari: 2806
Importanta: ![]()
Termeni si conditii de utilizare | Contact
© SCRIGROUP 2025 . All rights reserved