| CATEGORII DOCUMENTE |
| Alimentatie nutritie | Asistenta sociala | Cosmetica frumusete | Logopedie | Retete culinare | Sport |
Importanta aplicarii mijloacelor kinetoterapeutice in tratamentul complex al cardiopatiei ischemice
Introducere
Importanta si actualitatea temei
Motivarea alegerii temei
Efectele exercitiului fizic asupra aparatului cardiovascular
Capitolul I - Bazele teoretice ale cercetarii
I.1. Considerente privind fiziologia aparatului cardiovascular relevante pentru procesul de recuperare functionala
I.2. Cardiopatiile ischemice
I.3. Mijloace, metode, procedee si tehnici kinetoterapeutice utilizate in recuperarea functionala a pacientilor afectati de cardiopatie ischemica
Capitolul II - Elementele constitutive ale cercetarii
II.1. Ipotezele cercetarii
II.2. Obiectivele cercetarii
II.3. Metode de cercetare
II.4. Desfasurarea experimentului propriu-zis
II. 5. Prezentarea si interpretarea rezultatelor
Capitolul III
III.1. Concluzii
Anexe
Bibliografie
1. Importanta si actualitatea temei
Patologia contemporana se caracterizeaza, printre altele, prin frecventa mare a unor boli a caror patogenie este conditionata preponderent de modul de viata a omului din zilele noastre, cum sunt bolile cardiovasculare degenerative, bolile de metabolism sau degenerarile functionale ale sistemului nervos si nu numai.
In societatea moderna, lipsa de miscare, suprasolicitarea sistemului nervos, abuzul de substante toxice (nicotina, cofeina, alcoolul) sunt factori de risc pentru sanatatea omului modern.
Frecventa bolilor cardiovasculare a crescut foarte mult indeosebi in tarile industrializate. Mortalitatea produsa de cardiopatiile de origine aterosclerotica a crescut vizibil de la an la an. In majoritatea tarilor europene, bolile cardiovasculare sunt principala cauza a incapacitatii de lucru de lunga durata. In fata acestei situatii, medicii sunt preocupati din ce in ce mai mult de profilaxia bolilor cardiovasculare, de aprecierea corecta a capacitatii de munca a bolnavilor si de recuperarea lor in vederea scurtarii perioadei de incapacitate de munca si asigurarii, in acelasi timp a unei capacitati fizice corespunzatoare cerintelor profesionale (C. Obrascu, 1989).
Recuperarea bolnavilor cardiovasculari, desi are o lunga traditie in Romania, nu a ajuns la dezvoltarea inregistrata de tarile din Europa Occidentala si Statele Unite ale Americii din diferite cauze. Dezvoltarea reabilitarii cardiace a fost impulsionata, insa, de infiintarea unor clinici de profil in marile centre universitare din tara: Targu-Mures, Bucuresti, Cluj-Napoca, Timisoara sau Iasi; aceste centre avand deja o larga experienta dovedita in recuperarea cardiacilor.
Manifestand de peste 50 de ani cauza principala a decesului in randul tuturor grupelor de varsta ale populatiei active (adulte) in Statele Unite ale Americii si Europa bolile cardiovasculare au fost cauza a peste 50% din decese inregistrate in 1990, in Romania, fiind aproape totdeauna urmarea procesului de ateroscleroza care are ca efect direct ingustarea arterelor coronare. Dupa datele statistice colectate de Organizatia Mondiala a Sanatatii din 26 de tari din Europa, America, Australia si Noua Zeelanda, aceasta boala determina moartea la 15% din totalul deceselor inregistrate intre varstele 35-39 de ani si aproximativ la 45%la grupa de varsta intre 50 si 54 de ani. Morbiditatea si mortalitatea coronaropatiilor ischemice la noi in tara se situeaza pe acelasi plan ca si in restul tarilor europene. Acest fapt este confirmat de Moga, Papilian si Vlaicu, pe o statistica din orasul si Regiunea Cluj. Coronaropatiile constituie jumatate din numarul total al cardiopatiilor adultului (F. Mitu, 2002). In 90-95% din cazuri, cardiopatia ischemica este datorata aterosclerozei coronarelor.
S-a estimat ca boala cardiovasculara determina pierderi in economia Uniunii Europene de aproximativ 169 miliarde de euro pe an. Aceasta reprezinta un cost anual pe cap de locuitor de 372 euro. Costurile variaza intre statele membre de la mai putin de 50 euro pe cap de locuitor in Malta, la peste 600 euro pe cap de locuitor in Germania si Marea Britanie. Mai mult decat atat, tarile cu o dezvoltare economica precara au o rata mai crescuta a bolilor cardiovasculare. Pierderile de productie datorate mortalitatii si morbiditatii prin boli cardiovasculare se ridica la peste 35 miliarde de euro in U.E., reprezentand 21% din costurile totale alocate acestor boli - aproximativ 2/3 din aceste costuri se datoreaza deceselor (24,4 miliarde euro) si 1/3 se datoreaza invaliditatii prin boala (10,8 miliarde euro) in randul persoanelor de varsta mijlocie.
Boala coronariana
ischemica este principala cauza de mortalitate din lume, facand
anual mai multe victime decat boli precum cancerul - la fiecare 26 de secunde o
persoana sufera un infarct miocardic, iar la fiecare minut un om
moare din aceasta cauza. In Romania exista peste 1 milion de
oameni care sufera de cardiopatie ischemica, iar in fiecare an sunt
nou-diagnosticati alti 33.000 - acestea sunt rezultatele studiului
"Beautiful", rezultate dezbatute pentru prima data in Romania,
Asadar, bolile cardiovasculare au o frecventa mare in randul populatiei adulte, fiind principala cauza a mortalitatii din intreaga lume.
2. Motivarea alegerii temei
Frecventa mare a bolnavilor coronarieni, si nu numai, datorita conditiilor de mediu, predispozitiilor ereditare, de alimentatie, sau sedentarismului face ca o societate interesata de starea de sanatate a populatiei, numarului de persoane adulte active, integrarea populatiei cu nevoi speciale in piata muncii, sa progreseze in ceea ce priveste modalitatile de profilaxie, tratament si recuperare a acestor afectiuni.
Bolile cardiovasculare sunt frecvent intalnite la populatia adulta, activa sau mai putin activa, incepand chiar cu varsta de 30 de ani.
Rata crescuta a mortalitatii si morbiditatii datorata acestei afectiuni constituie o adevarata problema a societatii, care este tot mai mult interesata de profilaxia acestor afectiuni, dar si de recuperarea pacientilor pentru reintegrarea socio-profesionala.
De asemenea, tratarea acestei afectiuni depaseste cu mult asteptarile, iar pierderile care se inregistreaza datorita incapacitatii bolnavilor cardiovasculari de a-si mentine locurile de munca si de a fi activi socio-profesional aduc dupa sine pierderi substantiale in economia unei societati.
Specialistii in recuperarea cardiaca sunt insuficienti, iar numarul impresionant de bolnavi cardiovasculari face ca aceasta problema sa fie considerata pe cat de actuala, pe atat de grava.
Kinetoterapia, prin mijloacele sale, ajuta la prevenirea, tratarea, dar si recuperarea persoanelor cardiace, facilitand reintegrarea socio-profesionala si prelungind perioada activa a acestora.
3. Efectele exercitiului fizic asupra aparatului cardiovascular
Este un adevar incontestabil faptul ca activitatea fizica indelungata si sistematica determina in organism o serie de modificari care duc la realizarea unui raspuns functional economic in repaus si la efort, a unei perfecte adaptari la efort si a unei reactii avantajoase organismului, atunci cand este supus diverselor solicitari (fizice, psihice, agresiuni chimice, microbiene, etc.) (Dr. S. Marcus, 1997).
Efortul fizic se caracterizeaza din punct de vedere fiziologic printr-o stare de tensiune functionala activa somato-psihica, un stres, care declanseaza reactia generala de adaptare. Acest stres poate fi dirijat, dozat in cadrul programelor de kinetoterapie sau antrenamente (F. Mitu, 2002).
Efortul fizic este necesar pentru mentinerea unei bune functionalitati a organismului. Acesta modifica mult raspunsurile la solicitari, imbunatatind cu aproximativ 20-30% randamentul fiecarui sistem implicat si cu 100%, considerand efectele globale (Dr. S. Marcus, 1997).
Activitatea fizica regulata este esentiala pentru imbunatatirea capacitatii de efort, conditie ce aduce dupa sine cresterea calitatii vietii si a independentei in viata de zi cu zi (D. Gaita, A. Avram, C. Avram, 2007).
Exercitiile fizice reprezinta un procedeu foarte important pentru profilaxia bolilor cardiovasculare si pentru recuperarea bolnavilor cardiovasculari, ceea ce face ca in ultimii 20-30 de ani sa existe o preocupare crescanda a cardiologilor pentru antrenamentul fizic al acestor bolnavi (C. Obrascu, 1989).
Practicarea sistematica si indelungata a exercitiilor fizice duce la instalarea unor importante modificari la nivelul diferitelor functii ale organismului, insotite de cresterea capacitatii de efort.
Efectele asupra circulatiei constau in marirea capacitatii acestei functii si realizarea unui mod de adaptare la efort mai economic, mai eficient.
Una din modificarile cele mai precoce si mai evidente produse de antrenamentul fizic asupra cordului este bradicardia, prezenta in repaus. Si in timpul efortului se constata o frecventa cardiaca mai redusa la persoanele antrenate, fata de cele neantrenate (C. Obrascu, 1989). In comparatie cu sedentarii, persoanele active fizic au tensiunea arteriala si frecventa cardiaca, in repaus si la un efort dat, mai reduse capacitatea de efort mai mare si incidenta tulburarilor de ritm diminuate. Ele au o atitudine pozitiva fata de viata, rezolva conflictele mai eficient si cheltuiesc mai putina energie in repaus si in efort (consumul fiziologic de energie este mai redus) (Dr. S. Marcus, 1997).
Astfel, la o persoana neantrenata, intre 20-30 ani gama frecventei cardiace se intinde de la 70 batai pe minut in repaus, la 180-190 batai pe minut la efort maxim, la persoanele antrenate fiind de la 40-50 batai pe minut la 210-230 batai pe minut. Revenirea frecventei cardiace si a tensiunii arteriale dupa efort maxim, la valorile de repaus, este mai rapida la antrenat decat la neantrenat.
Prin urmare, antrenatul are o rezerva coronariana mai buna decat cel neantrenat, deci posibilitati mai mari de raspuns la un efort mai intens (Dr. S. Marcus, 1997).
Antrenamentul duce, de asemenea, la temperarea activitatii
simpatoadrenergice, insotite de micsorarea eliberarii de
catecolamine, care, alaturi de bradicardie, are drept efect scaderea
consumului de oxigen al cordului. In timp ce cordul neantrenat consuma in
repaus 30-50 ml oxigen/minut, cel antrenat consuma numai 20-35 ml.
Datorita adaptarii sale mai economice, consumul de oxigen este mai
redus la cordul antrenat si in timpul efortului (C. Obrascu, 1989).
In cursul eforturilor fizice debitul coronarian ajunge pana la 1200
ml/min, iar consumul de oxigen de la 8 cm/min, in repaus, creste la 50
cm/min, pentru
Circulatia arteriala a inimii este direct dependenta de cerintele oxigenarii miocardului si de tensiunea arteriala. S-a constat ca, in comparatie cu celelalte tesuturi si organe, in cazul vaselor coronare coeficientul de extractie al oxigenului din sangele arterial este aproape dublu. (V. T. Mogos, 1990).
Capilarizarea cordului se imbunatateste dupa antrenament. Se produce o crestere in lungime si in diametru a capilarelor, si are loc o marire a numarului lor. In cordul antrenat se deschid mai multe capilare in timpul travaliului intens decat in cordul neantrenat. Inima neantrenata nu foloseste toate capilarele disponibile (C. Obrascu, 1989). Asadar, circulatia coronariana (cea care asigura irigatia muschiului inimii) este mai eficienta, apar anastomoze si capilare noi, crescand patul vascular, iar muschiul inimii devine mai rezistent la hipoxie (Dr. S. Marcus, 1997).
In timpul efortului fizic viteza sangelui creste peste un anumit nivel si apare un mecanism adaptativ caracterizat prin reducerea tonusului peretelui arterial si aparitia consecutiva a vasodilatatiei. Perturbarile de scurta durata ale stresurilor hemodinamice se insotesc doar de modificari arteriale functionale. Daca aceste perturbari sunt de lunga durata, atunci peretele arterial raspunde prin dilatatii parietale sau ingrosari ale stratului intern al acestuia (V. T. Mogos, 1990).
Volumul cordului creste dupa antrenament prin hipertrofia moderata a miocardului si prin dilatatia reglatorie, fenomene care au drept urmare o marire a fortei de contractie si a economiei functionale a cordului. Functia ventriculara se imbunatateste. Inima omului antrenat are o capacitate functionala mai mare, care se desfasoara intr-un mod economic, cu un randament mai mare (C. Obrascu, 1989).
Asadar, adaptarea la efort a organismului sanatos se realizeaza prin cresterea debitului cardiac si a ventilatiei alveolare, cresterea intoarcerii venoase. Determinantii functiei de pompa care asigura adaptarea debitului cardiac la efort si exprima indirect consumul de oxigen al miocardului sunt frecventa cardiaca, tensiunea arteriala sistolica, grosimea peretelui ventricular, contractilitatea miocardica (D. Gaita, A. Avram, C. Avram, 2007).
I.1. Considerente privind fiziologia aparatului cardiovascular relevante pentru procesul de recuperare functionala
Aparatul cardiovascular asigura circulatia sangelui si a limfei in organism. Prin aceasta se indeplinesc doua functii majore:
1. distribuirea substantelor nutritive si a oxigenului tuturor celulelor din organism;
2. colectarea produsilor tisulari de catabolism pentru a fi excretati. Forta motrice a acestui sistem este inima, in timp ce arterele reprezinta conductele de distributie, venele, rezervoarele de sange, asigurand intoarcerea acestuia la inima, iar microcirculatia (arteriole, metaarteriorele, capilare, venule), teritoriul vascular la nivelul caruia au loc schimburile de substante si gaze.
Ventriculul stang al inimii pompeaza sangele spre vasele sanguine arteriale ale circulatiei sistemice catre capilare tisulare (marea circulatie). Sangele se intoarce la inima, in atriul sau drept, pe cale venoasa sistemica, fiind pompat apoi, de catre ventriculul drept, in plamani, de unde se intoarce la cord, si anume in atriul stang (mica circulatie). Acest fapt este posibil datorita celei mai importante functii a inimii: cea de pompa (C. Busneag, 2006).
Rolul fundamental al inimii este acela de a pompa sange. Ea poate fi considerata ca fiind o pompa aspiratoare-respingatoare, alcatuita din doua pompe dispuse in serie (pompa stanga si pompa dreapta), conectate prin circulatiile pulmonara si sistemica.
Circulatia coronariana are sarcina dificila de a asigura aportul de oxigen si de substante nutritive unui organ care duce o activitate neintrerupta de-a lungul vietii. In afara de aceasta particularitate, inima este pusa in situatia de a-si mari, in anumite situatii, munca, la un nivel care poate atinge de zece ori intensitatea obisnuita de lucru. Din aceste considerente inima este extrem de vulnerabila la un aport insuficient de sange, aceasta si datorita faptului ca sangele venos coronarian este desaturat aproape de limita inferioara (saturatia oxihemoglobinei in sangele venos coronarian este de circa 25%). Asa incat, orice crestere a solicitarii energetice a miocardului trebuie compensata printr-o crestere corespunzatoare a debitului coronarian, deoarece o extragere mai buna de oxigen, pe unitatea de debit, nu este posibila, intr-o masura care sa conteze substantial. Experimental, s-a putut constata o scadere considerabila a fortei de contractie a inimii, dupa realizarea unui baraj coronarian de scurta durata, chiar numai dupa cateva batai (Dr. H. Cionca, Dr. M. Ghita, Dr. M. Ifraim, 1966).
Arterele sunt vase prin care sangele iese din inima si au urmatoarele proprietati functionale:
elasticitatea este proprietatea arterelor mari de a se lasa destinse cand creste presiunea sangelui si de a reveni la calibrul initial cand presiunea a scazut la valori mai mici. In timpul sistolei ventriculare, in artere este pompat un volum de 75 ml de sange peste cel continut in aceste vase. Datorita elasticitatii, unda de soc sistolica este amortizata. Are loc inmagazinarea unei parti a energiei sistolice sub forma de energie elastica a peretilor arteriali. Aceasta energie este retrocedata coloanei de sange, in timpul diastolei. Prin aceste variatii pasive ale calibrului vaselor mari, se pro-duce transformarea ejectiei sacadate a sangelui din inima in curgere continua a acestuia prin artere.
contractilitatea este proprietatea vaselor de a-si modifica marcat diametrul lumenului prin contractarea / relaxarea muschilor netezi din peretele lor. Acest fapt permite un control fin al distributiei debitului cardiac catre diferite organe si tesuturi. Tonusul musculaturii netede depinde de activitatea nervilor simpatici, de presiunea arteriala, de concentratia locala a unor metaboliti si de activitatea unor mediatori.
Suprafata totala de sectiune a arborelui circulator creste semnificativ pe masura ce avansam spre periferie. Viteza de curgere va fi invers proportionala cu suprafata de sectiune.
Circulatia sangelui prin artere se apreciaza masurand presiunea arteriala, debitul sangvin si rezistenta la curgere a sangelui (rezistenta periferica).
presiunea arteriala - sangele circula in vase sub o anumita presiune, care depaseste presiunea atmosferica cu 120 mmHg in timpul sistolei ventriculare stangi (presiune arteriala maxima sau sistolica) si cu 80 mmHg in timpul diastolei (presiune arteriala minima sau diastolica). In practica medicala curenta, la om, presiunea sangelui se apreciaza indirect, prin masurarea tensiunii arteriale. Aceasta se determina masurand contrapresiunea necesara a fi aplicata la exteriorul arterei, pentru a egala presiunea sangelui din interior.
Reglarea nervoasa a circulatiei sangvine. Sistemul nervos afecteaza in special functiile globale, ca, de exemplu, redistributia sangvina in diverse teritorii ale organismului, cresterea activitatii pompei cardiace, si asigura in special controlul rapid al presiunii arteriale. Sistemul nervos controleaza circulatia exclusiv prin intermediul sistemului nervos vegetativ, mai ales prin sistemul nervos simpatic; sistemul nervos parasimpatic este important in reglarea functiilor cordului.
Nervii simpatici contin un numar foarte mare de fibre vasoconstrictoare si doar putine fibre vasodilatatoare. Fibrele vasoconstrictoare sunt distribuite tuturor segmentelor aparatului circulator, gasindu-se in numar mai mare in unele tesuturi (rinichi, intestin, splina si piele).
In substanta reticulata bulbara si in treimea inferioara a puntii, bilateral, se afla centrul vasomotor. Acest centru transmite impulsuri eferente prin maduva spinarii si, de aici, prin fibre simpatice vasoconstrictoare, la aproape toate vasele sangvine, care prezinta o zona vasoconstrictoare si o zona vasodilatatoare.
In esenta, circulatia coronariana trebuie sa fie capabila sa-si mareasca debitul sanguin in raport cu consumul energetic realizat de miocard, pentru ca inima nu-si poate spori decat nesemnificativ extractia de oxigen pe unitate de debit si nu poate contracta o datorie de oxigen din cauza activitatii sale continue, in special. De aici rezulta importanta cunoasterii factorilor care modifica metabolismul miocardic si in special a acelor factori care cresc consumul de oxigen al inimii, alaturi de cunoasterea datelor de hemodinamica a circulatiei coronariene.
I.2. Cardiopatiile ischemice
Patologia cardiovasculara constituie o problema majora de sanatate publica in majoritatea tarilor lumii, fiind una din cauzele principale de invaliditate, morbiditate si mortalitate. In literatura de specialitate exista numeroase definitii ale cardiopatiei ischemice date de diferiti specialisti.(1)
Prin termenul de cardiopatie ischemica (sau boala cardiaca ischemica) se desemneaza afectiuni care au in comun o suferinta cardiaca de origine ischemica, fiind produse de un dezechilibru intre necesitatile si aportul de oxigen la nivelul miocardului (Dr. L. Lazar, Dr. D-M. Farcas, 1999).
O alta definitie caracterizeaza cardiopatia ischemica prin incapacitatea inimii, acuta sau cronica, provenita din reducerea sau oprirea fluxului sanguin spre miocard, in asociere cu un proces patologic in sistemul arterial coronar; modificarile in circulatia coronariana determina un dezechilibru intre fluxul sanguin coronarian si necesitatile miocardului pentru activitatile in conditiile de repaus sau efort (C. Busneag, 2006).
Cardiopatia ischemica este caracterizata prin ingustarea lumenului arterelor coronare, care aprovizioneaza miocardul cu oxigen si substante nutritive. Ingustarea lumenului se datoreaza stenozarii arterelor prin procesul de ateroscleroza. In unele cazuri, lumenul acestora poate fi micsorat si prin aparitia spasmului (C. Obrascu, 1989).
a)
b)
c)
d)
Figura 1.a), b), c), d) arterele coronare - piese anatomice;
Cardiopatia ischemica este o afectiune care afecteaza arterele ce hranesc inima - arterele coronare - care isi micsoreaza calibrul, avand drept consecinta scaderea cantitatii de sange ce iriga muschiul inimii - miocardul - pus astfel, in imposibilitatea de a-si satisface necesarul de oxigen, acizi grasi, glucoza. Fenomenul de reducere a fluxului de sange prin arterele coronare a fost numit in limbaj medical cu termenul de ischemie. Modificarile cardiace produse de ischemie sunt desemnate de termenul cardiopatie (V. Marcu, M. Dan, 2006).
Cardiopatia ischemica (boala coronariana) se defineste ca o suferinta miocardica consecutiva unui dezechilibru intre fluxul sanguin coronarian care asigura oxigenul si substantele energetice si plastice necesare unei activitati normale a muschiului inimii, pe de o parte si de nevoile miocardice pe de alta parte (Dr. R. R. Mateescu, 2005).
Cardiopatia ischemica reprezinta una dintre afectiunile cardiovasculare cele mai raspandite in masa populatiei si una din problemele importante de sanatate publica in tarile dezvoltate. Este bine cunoscut faptul ca cardiopatia ischemica are drept consecinta dizabilitati substantiale si micsorarea productivitatii si contribuie substantial la cresterea costurilor medicale.
Cea mai folosita clasificare a fost cea clinica recomandata de Organizatia Mondiala a Sanatatii, in 1962, care se bazeaza pe prezenta sau absenta durerii coronariene:
a) cardiopatia ischemica dureroasa, cu urmatoarele entitati clinice:
angina pectorala, cu diversele sale variante clinice;
infarctul miocardic acut;
angina pectorala instabila;
b) cardiopatia ischemica nedureroasa, care include:
moartea subita coronariana;
tulburarile de ritm si de conducere, de origine ischemica;
insuficienta cardiaca de origine ischemica.
O clasificare mai recenta a cardiopatiilor ischemice a fost elaborata de un grup de experti ai Societatii Internationala de Cardiologie si ai Federatiei de Cardiologie:
1) stopul cardiac primar;
2) angina pectorala:
- angina de efort (stabila, agravata);
- angina spontana;
3) infarctul miocardic;
- infarctul miocardic acut (definit, posibil);
- infarctul miocardic sechelar;
4) insuficienta cardiaca in cardiopatia ischemica;
5) aritmiile cardiace (prezumate sau dovedite de origine ischemica).
Ne vom referi, in aceasta lucrare, la cardiopatia ischemica nedureroasa, dezvoltand si argumentand procesul dar si manifestarile acesteia.
Ischemia silentioasa este o forma de ischemie miocardica tranzitorie fara durere care poate insoti oricare dintre formele clinice de cardiopatie ischemica. Cardiomiopatia ischemica reprezinta o forma de disfunctie miocardica predominant sistolica ce apare ca urmare a unei ischemii miocardice cronice si care evolueaza fara durere coronariana ( Dr. L. Lazar, Dr. D-M. Farcas, 1999).
Aceasta este definita ca o alterare tranzitorie a perfuziei, functiei sau activitatii electrice a miocardului in absenta durerii precordiale sau a altor echivalente anginoase (dispnee, palpitatii). Se incadreaza in doua forme: prima, mai rara, desemnata ca ischemie silentioasa de tip I survine la pacienti cu cardiopatie ischemica care nu au prezentat niciodata angina; cea de-a doua forma, mai frecventa, este ischemia silentioasa de tip II ce survine la pacienti cu diferite forme de angina pectorala (stabila, instabila,).
Absenta durerii anginoase poate fi atribuita reducerii sensibilitatii dureroase numai la pacientii cu prag dureros ridicat. In cazul subiectilor cu prag dureros normal, trebuie luate in considerare si alte mecanisme.
La pacientii care prezinta atat episoade dureroase cat si nedureroase, ischemia miocardica are o anumita durata si severitate, desi acesti doi parametri nu sunt suficienti pentru a prezenta stimuli durerosi adecvati (C. Luca, S. Bradisteanu, C. Sterian, 1996).
Bolile cardiovasculare sunt responsabile de peste jumatate din decesele anuale la nivel european si al / din decesele inregistrate anual in Romania. Consecintele lor nu mai sunt demult principalul motiv de ingrijorare doar pentru sistemele de sanatate din tarile puternic industrializate deoarece spectrul complicatiilor cardiovasculare a cuprins intr-un mod alarmant, continuu crescator toate tarile, inclusiv pe cele cu economie in tranzitie.
Determinismul multifactorial, complexitatea manifestarilor si dificultatea diagnosticului in formele clinice incipiente, ani de zile asimptomatice, ingreuneaza managementul bolilor aterosclerotice.
Incidenta bolilor cardiovasculare este strans legata de stilul de viata si de factorii de risc a caror modificare a demonstrat incontestabil reducerea mortalitatii si a complicatiilor cardiovasculare. Aceste observatii au condus la definirea unor standarde de asistenta medicala dincolo de terapia medicamentoasa (C. Luca, S. Bradisteanu, C. Sterian, 1996).
Rezultatele cercetarilor din ultimele patru decenii au demonstrat o legatura clara intre activitatea fizica si aparitia bolilor cardiovasculare. Exercitiul fizic are efecte benefice la pacientii cardiovasculari, precum si in alte afectiuni cronice. Chiar si numai cresteri moderate a activitatii fizice, prin diferite activitati recreationale, determina scaderea mortalitatii generale si cardiovasculare (D. Gaita, A. Avram, C. Avram, 2007).
Incidenta cazurilor de ischemie miocardica silentioasa creste la pacienti cu diabet zaharat tip II, fata de nediabetici si la fumatorii coronarieni, acestia din urma prezentand tulburari de perfuzie miocardica regionala.
Cardiopatia ischemica este cauza majora de morbiditate in tarile industrializate, constituind circa 49%. Mortalitatea prin cardiopatie ischemica reprezinta aproximativ 25% din mortalitatea totala la adulti peste 35 ani. 1/2 din mortile coronariene (indiferent de varsta) se produc subit.(9)
Prevalenta cardiopatiei ischemice in multe tari este in continua ascensiune. Reducerea mortalitatii cardiovasculare in tarile economic dezvoltate coincide cu reducerea factorilor de risc majori si scaderea incidentei acestui tip de afectiune, precum si, nu in ultimul rand, cresterea efortului de preventie secundara.
In 31 din 35 tari ale Americii de Nord si Americii de Sud, pentru care sunt accesibile statistica deceselor, bolile cardiovasculare sunt cauza principala a mortii. Asa, de exemplu, in anul 1990 in America Latina circa 25% din toate decesele sau aproximativ 800.000 decese erau datorate acestei afectiuni. In Canada, au provocat 40,1% din toate decesele, comparativ cu 43,4% in SUA. In anul 1994, au generat in Romania 60,6% din totalul deceselor, iar in Republica Moldova decesele cardiovasculare se mentin la cota procentuala de circa 50% (Dr. H. Cionca, Dr. M. Ghita, Dr. M. Ifraim, 1966).
Cardiopatia ischemica este una din cele mai studiate afectiuni din punct de vedere epidemiologic. Acest fapt se datoreaza raspandirii sale extensive in populatie, mai ales dupa al doilea razboi mondial. Au devenit clasice The Framingham Study, The Seven Countries Study, The North Karelia Project, The 8 MONICA Study etc., care si-au propus obiective multiple, inclusiv evaluarea incidentei, prevalentei si mortalitatii prin cardiopatie ischemica, studiul evolutiei naturale si a factorilor care contribuie la instalarea acestei boli.
Prevalenta cardiopatiei ischemice este de 2,9% din populatie in Statele Unite ale Americii, dar ea creste la 8,6% la barbatii intre 45-64 ani si la 16,8% la varsta de peste 65 ani. In Romania o ancheta de sanatate la persoanele adulte a aratat o prevalenta a cardiopatiei ischemice de 10,9%.
Printre 15.000 persoane participante la un screening in Cluj-Napoca prevalenta cardiopatiei ischemice a constituit 5,86%.
In populatia din nordul Indiei prevalenta cardiopatiei ischemice, determinate in baza diagnosticului clinic si datelor electrocardiogramei, este de 9,0% in mediul urban si de 3,3% in mediul rural.
Acest indicator este statistic semnificativ mai mare printre barbati, comparativ cu femeile, atat in populatia urbana (11,0% si 6,9%), cat si in populatia rurala (3,9% si 2,6%).
Prevalenta aterosclerozei coronariene si a cardiopatiei ischemice difera si la diferite grupuri etnice.
Printre 1123 persoane adulte mai mari de 20 ani din India, cardiopatia ischemica a fost diagnosticata la 6,18% barbati si 10,12% femei.
Analiza prevalentei cardiopatiei ischemice in functie de venit a constatat predominarea statistic semnificativa a prevalentei acesteia din clasele sociale 1 si 2 (cu venit inalt si mediu), comparativ cu grupurile sociale 3 si 4 cu venit mic. Analiza de regresie cu ajustarea dupa varste a determinat relatii pozitive ale claselor sociale 1 si 2 cu cardiopatie ischemica (sanse in proportie de 0,83 pentru barbati si 0,61 pentru femei), cu indicele de masa corporala (0,91 pentru barbati si 0,93 pentru femei).
Studiile privind mortalitatea, exprima cel mai fidel problemele cardiopatiei ischemice la nivel populational. Proportia deceselor prin boli cardiovasculare a marcat o crestere constanta si alarmanta in tarile din America Centrala, Europa Centrala si de Est. Acest element este in discordanta cu ceea ce se inregistreaza in majoritatea tarilor industrializate (SUA, Australia, Finlanda, Suedia), unde din anii `60 rata mortalitatii cardiovasculare inregistreaza o scadere semnificativa - cu circa 3-4% pe an.
Principalii factori de risc care determina prezenta unei asemenea afectiuni sunt :
colesterolul - valorile de 220-250 mg colesterol in sange s-au dovedit a fi niste valori cu risc crescut pentru boli coronariene, iar infarctul miocardic sunt obisnuite la asemenea categorii de persoane. Expertii sustin ca o valoare mai scazuta de 200 mg este optim ;
diabetul - este un factor de risc pentru dezvoltarea bolilor cardiace coronare, acesta provocand o crestere a colesterolului, deteriorari ale arterelor coronare, vaselor renale, dar si a celor de la nivelul membrelor inferioare ;
alcoolul - este un deprimant al sistemului nervos central si al muschiului inimii, provocand: ritmuri cardiace anormale, deteriorarea directa a muschiului cardiac, cresteri ale tensiunii arteriale, etc.
fumatul - determina aritmii, cresterea tensiunii arteriale si a ritmului cardiac - punand cordul la o munca suplimentara, care are nevoie de mai mult oxigen, determina cresteri ale frecventei si duratei durerilor precordiale la cei cu angina pectorala, creste riscul de ateroscleroza, ceea ce poate determina constituirea unui infarct miocardic.
Daca fumatul ar fi eliminat, aproximativ un sfert de milion de vieti care se pierd ar putea fi salvate.
hipertensiune arteriala - un alt factor de risc al bolilor coronare, determina efectuarea unui lucru mecanic sustinut si un stres suplimentar pentru vasele de sange. Deteriorarea peretilor arteriali este datorata cresterii tensiunii arteriale, peretele arterial raspunzand la acest stres prin ingrosarea lui, ceea ce determina o insuficienta cardiaca crescuta;
obezitatea - cresterea greutatii peste media admisa nu este un factor de risc in sine, dar in combinatie cu alti factori de risc (fumatul, diabetul, colesterolul, HTA), aceasta poate reprezenta o cauza importanta in constituirea si agravarea bolilor cardiace. Obezitatea determina miocardul sa pompeze mai mult sange, asadar pune inima la un lucru suplimentar si la un stres crescut.
stresul - o alta cauza determinanta in cadrul bolilor cardiace care produce o crestere a tensiunii arteriale, ceea ce determina o crestere a adezivitatea plachetelor (trombocitelor). Stresul provoaca descarcarea de adrenalina si noradrenalina care duce la cresterea tensiunii arteriale si a ritmului cardiac.
Moartea subita este frecventa si nu trebuie exclusa posibilitatea ca un stres acut sever sa determine moartea (Mogos T.V. , 1990).
Cauza cea mai frecventa a cardiopatiei ischemice este ateroscleroza ce duce la ingustarea importanta a lumenului coronarian. Manifestarile clinice apar atunci cand ateroscleroza are stadii avansate de evolutie, cel putin 75% din calibrul arterial fiind obstruat. Numai cand fluxul coronarian scade la 20-25% fata de cel normal se produce ischemia acuta miocardica (G. Ocheana, 2006).
Cauzele obstructiei coronarelor au fost analizate si de Blumgart care a constatat pe 6800 de autopsii a constatat in 43% din cazuri tromboze aterosclerotice, in 41% stenoze ocluzive si hemoragii intramurale in 8%. In restul de 8 % ocluzia coronariana nu a fost de origine aterosclerotica. Intre acestea figureaza coronaritele infectioasa sau infectioase alergice, cum ar fi cele de origine reumatismala, alergica, rickettsiana sau poliarterita nodoasa. De remarcat ca leziunile din aceste cazuri sunt localizate in ramurile mici ale arterelor coronariene, spre deosebire de ateroscleroza, care afecteaza ramurile mari coronariene.
Cazurile rare ale cardiopatiilor ischemice sunt si unele anomalii ale coronarelor, congenitale sau dobandite, cum ar fi: originea unei artere coronare din artera pulmonara, anevrismul sau fistula arteriovenoasa coronariana, traumatismul sau embolia coronariana.
Ca factori extracoronarieni, in determinarea cardiopatiilor ischemice, sunt legati de scaderea fluxului coronarian si de cresterea consumului energetic al miocardului.
O micsorare a fluxului coronarian survine in ingustarea ostium-ului coronarian de origine luetica, in unele leziuni valvulare, ca stenoza si insuficienta aortica, stenoza mitrala si stenoza pulmonara.
O crestere a consumului energetic al miocardului se produce in conditiile unui sindrom hiperkinetic cardiac.
Dupa cum am demonstrat, in 90-95% din cazurile de cardiopatie ischemice, substratul anatomopatologic este constituit de ateroscleroza coronariana, care prin intinderea si complicatiile ei, determina expresia si gravitatea tabloului clinic.
La bolnavii de cardiopatie ischemica aportul de O2 in sange scade, ca urmare a reducerii debitului (fluxului) coronarian. Consecinta va fi o "insuficienta coronariana", adica un dezechilibru intre necesitatea in O2 si aportul in O2 (intre cerere si oferta), cu vicierea metabolismului cardiac, care determina :
Orice obstacol aparut pe una din ramurile principale coronariene duce la fenomene de ischemie segmentara, pana la necroza. Miocardul supus unui proces de insuficienta coronariana cronica devine mai sensibil la actiunea catecolaminelor si la lipsa de oxigen, de aceea, efortul, tahicardiile si orice alte conditii, chiar aparent banale, dar care sunt capabile sa stimuleze adrenergic si sa mareasca lucrul inimii declanseaza un puseu sau un atac de insuficienta coronariana acuta.
O buna circulatie colaterala a zonei ischemizate reduce disfunctia ventriculara sistolica, care este determinata de diminuarea fluxului coronarian. Ischemia miocardica creste initial, iar mai apoi scade complianta miocardica (C. Busneag, 2006).
Stabilirea diagnosticului de cardiopatie ischemica oligosimptomatica este destul de dificila, dar datele ultimelor cercetari arata ca incidenta anuala a acesteia este in continua crestere.
Pacientii cu ischemie miocardica silentioasa prezinta un risc considerabil pentru moarte subita, de aceea metodele de detectare a acesteia prezinta o importanta practica deosebita. In prezent se considera ca detectarea pacientilor cu ischemie miocardica este mai ales fortuita. Este bine cunoscut faptul ca un screening exhaustiv a intregii populatii este foarte costisitor si grevat de un procent ridicat de rezultate fals pozitive.
Intr-un studiul norvegian bazat pe un chestionar si electrocardiograma de repaus si de efort efectuate la peste 2000 de barbati asimptomatici (presupusi sanatosi) cu varsta intre 40-50 de ani (au fost exclusi pacienti cu hipertensiune arteriala, diabet zaharat sau alte cardiopatii), 105 au avut indicatie de coronarografie, din care numai 20 pe baza studiului screening. Dintre acestia la doua treimi s-a confirmat ateromatoza coronariana cu obstructie de 75% a unei coronare sau mai multe, reprezentand 4% din populatia studiata. Reiese ca multi pacienti cu ischemie miocardica silentioasa au fost supusi coronarografiei pe baza testelor de efort pozitive asimptomatice.
Examenul fizic este, de obicei, in limitele normei. Prezenta manifestarilor de insuficienta cardiaca sau de instabilitate hemodinamica poate ajuta diagnosticarea cardiopatiei ischemice.
Odata diagnosticata aceasta afectiune, pe baza tabloului clinic si prin investigatii fie invazive, fie noninvazive, cum sunt angiografia, ultrasonografia, Doppler, scintiografia, tomografia trebuie sa ne gandim la modalitatile de tratament si inlaturarea sau macar reducerea activitatii factorilor de risc (Dr. R. R. Mateescu, 2005).

Figura 2. Imagini PET (tomografie cu emisie de pozitroni) care indica perfuzia si metabolismul.
Modalitatea de diagnostic de prima linie este electrocardiograma. Electrocardiograma reprezinta metoda cea mai pretioasa de investigare a bolnavului anginos. Pe electrocardiograma se pot identifica anumite unde si segmente: unda P, complexul QRS, unda T, segmentele PQ si ST (Dr. R. R. Mateescu, 2005).

Figura 3. Elementele morfologice ale unei electrocardiograme.
Unda P reprezinta depolarizarea atriilor, initiata in atriul drept si propagata apoi in atrii de sus in jos si de la dreapta spre stanga. Durata este in mod normal de 0.08-0.10 sec. Amplitudinea nu depaseste in mod normal 0.25-0.30 mV in derivatia unde unda P se inscrie cea mai ampla.
Segmental PQ reprezinta intarzierea stimulului electric la nivelul jonctiunii atrioventriculare. Durata normala este cuprinsa intre 0.02-0.12 secunde (in medie 0.07 secunde), pozitia sa fiind izoelectrica.
Intervalul PQ reprezinta timpul necesar conducerii impulsului electric de la nodulul sinusal la ventriculi. Durata este in mod normal cuprinsa intre 0.12-0.21 secunde. Variaza fiziologic in functie de varsta (mai scazuta la tineri) si frecventa cardiaca (scade in tahicardie) (Van der Graaff Human Anathomy).
Complexul QRS reprezinta depolarizarea ventriculara, care incepe cu portiunea stanga a septului interventricular si apoi se propaga in ventriculi de la varfuri spre baze si de la endocard spre epicard. Durata se masoara la nivelul liniei izoelectrice, fiind normala sub 0.12 sec. Forma complexului QRS este in mod normal cu varfuri ascutite, fiind format din mai multe unde, pozitive sau negative marcate prin literele Q,R,S (Anathomy and Physiology - the Unity form and Function).
Segmental ST reprezinta prima faza a repolarizarii ventriculare (repolarizarea lenta). Durata segmentului ST este lipsita de importanta practica, iar pozitia sa este in mod normal izoelectrica. Patologia segmentului ST cuprinde deviatiile acestuia (sub- sau supradenivelari), ele fiind in general expresia unor tulburari severe ale circulatiei coronariene.
Reprezinta faza finala a repolarizarii ventriculare (repolarizarea rapida). Durata este de 0.12-0.30 sec (fara importanta practica). Forma este rotunjita si asimetrica, avand partea descendenta mai rapida. In mod normal unda T este pozitiva in toate derivatiile. Patologia undei T este caracteristica tulburarilor de circulatie coronariana, modificarile fiind desemnate cu termenul electrocardiogarfic de 'ischemie'. Ele cuprind fie cresterea in amplitudine, fie dimpotriva, scaderea amplitudinii sau chiar negativarea undei T, ea devenind in mod caracteristic simetrica.
Intervalul QT reprezinta sistola electrica ventriculara care se masoara de la inceputul undei Q pana la sfarsitul undei T. Durata normala depinde de frecventa cardiaca, fiind calculata pe baza unor formule sau tabele.
Unda U reprezinta o mica deflexiune care urmeaza undei T, care este generata
de postpotentiale dezvoltate in anumite regiuni ale miocardului
ventricular. Durata normala
este intre 0.15 si 0.25 sec, iar amplitudinea
este sub
Electrocardiograma trebuie efectuata imediat la prezentarea pacientului cu monitorizare ulterioara regulata. Modificarile segmentului ST si cele ale undei T sunt indicii unei cardiopatii ischemice, aceasta se coreleaza cu hipoperfuzia miocardica regionala. Numarul derivatiilor si gradul subdenivelarii segmentului ST corespunde extinderii si gradului de severitate a ischemiei si coreleaza cu un pronostic nefast la distanta. (13)
Pentru a fi relevante aceste modificari cardiopatiei ischemice se recomanda probe de efort in scop diagnostic. Se foloseste fie un test de efort limitat de simptome, fie un test de efort submaximal, care poate aduce urmatoarele modificari electrocardiografice: supra sau subdenivelarea segmentului ST; modificari ale undei T; aparitia tulburarilor de ritm sau conducere cardiaca (G. Ocheana, 2006).

Figura 4. Trei tipuri de denivelare a segmentului ST: A) Ascendent, B) Orizontal, C) Descendent.
Extinderea monitorizarii ambulatorii a electrocardiogramei a dus la largirea considerabila a posibilitatilor de detectare a ischemiei miocardice silentioase. O expresie mai frecventa a ischemiei miocardice o reprezinta tulburarile hemodinamice. Pe de alta parte acest tip de monitorizare a demonstrat ca, atat formele dureroase cat si cele silentioase, pot surveni fara cresterea frecventei cardiace si a presiunii arteriale sistolice si ca urmare se poate considera in aceste cazuri ca hipoperfuzia miocardica prin obstructie mecanica sau dinamica si nu cresterea solicitarii de oxigen sunt implicate in mecanismul ischemiei.
Analiza electrocardiogramei ambulatorie la pacientii cardiaci demonstreaza ca majoritatea episoadelor ischemice sunt silentioase, iar denivelarile segmentelor ST sunt atat simptomatice cat si silentioase sunt mai frecvente in cursul diminetii. Denivelarea nocturna a segmentului ST se coreleaza cu interesarea a doua sau trei coronare sau stenoza coronarei principale stangi (C. Luca, S. Bradisteanu, C. Sterian, 1996).
Investigatiile radioizotopice calitative si cantitative permit evaluarea zonelor ischemice si necrozelor miocardice. In acest scop se utilizeaza, in mod uzual, scintigrafia de perfuzie si cea de echilibru. Zonele ischemice in timpul efortului pot fi identificate si cuantificate datorita scaderii cantitatii de izotopi fixate (C. Luca, S. Bradisteanu, C. Sterian, 1996).

Figura 5. Arterele coronare - piese anatomice injectate cu substanta de contrast si radiografiate: a) in vitro; b) la cadavru
Examenul coronaroangiografic permite vizualizarea vaselor coronariene si prezinta informatii exclusive asupra prezentei, localizarii si severitatii leziunilor aterosclerotice. Coronarografia se executa indeosebi pentru diagnosticul diferential as cardiopatiei ischemice fata de alte cardiomiopatii. Diagnosticul diferential al cardiopatiei ischemice se face cu toate cauzele sindromului miocardic.
a)
b)
c)
d)
Figura
a)
b)
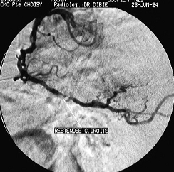
Figura 7. Coronarografie stanga a), dreapta b) stenoze multiple ateromatoase
Angiografia coronariana cu substanta de contrast efectuata la intervale de timp va arata gradul de evolutivitate al obstructiei coronariene si modul de dezvoltare a circulatiei colaterale (Dr. R. R. Mateescu, 2005).
a)
b)
Figura 8. angiografie coronariana: a) artera coronara normala; b) artera coronara cu ischemie.
Evolutia naturala a cardiopatiei ischemice este variabila, depinzand in buna masura de aparitia unor complicatii: insuficienta cardiaca, tulburarile de ritm si conducere, ponderea factorilor de risc, de disciplina bolnavului, etc. (R. Vlaicu, F. Marin, 1996).
In unele cazuri, dupa o perioada initiala de excese, semnele clinice pot disparea complet pentru o perioada de timp variabila in conditii de activitate normala. In alte cazuri, evolutia este cronica cu remisiuni si agravari care apar dupa oboseala fizica sau traume psihice. Alteori accesele sunt mai frecvente, apar la repaus total sau eforturi mici, au o durata mare si comporta un risc mare de moarte subita sau infarct miocardic.
Prognosticul este greu de formulat deoarece niciun criteriu electrocardiografic sau clinic nu permite o previziune sigura asupra viitorului apropiat sau indepartat al bolnavului (R. Vlaicu, F. Marin, 1996).
Dintre complicatiile cardiopatiei ischemice silentioase, cele mai importante sunt: insuficienta cardiaca mergand pana la socul cardiogen in care vor trebui urmariti urmatorii parametrii: frecventa cardiaca, debitul sistolic, presiunea in capilarul pulmonar, presiunea din ventriculul stang la finalul diastolei; blocurile sinoatrial, atrioventricular, intraventricular; tahicardiile supraventriculare inclusiv fibrilatia si flutter-ul atrial; tulburarile de ritm ventricular dintre care fibrilatia ventriculara este cea mai grava sfarsind de regula prin oprirea batailor inimii care este de regula fatala; tromboembolii in care se formeaza cheaguri in cavitatile inimii, iar fragmente din aceste cheaguri sunt preluate de circulatia sanguina fixandu-se ulterior in vase din diferite teritorii anatomice cum ar fi arterele cerebrale, renale, arterele membrelor inferioare in cazul trombilor formati in cavitatile stangi ale inimii si in vasele pulmonare cu producerea tromboembolismului pulmonar in cazul trombilor formati in cavitatile drepte (Dr. R. R. Mateescu, 2005).
In sfarsit complicatia cea mai de temut este moartea subita care se poate instala, dupa Gallavardin, "dupa 30 de secunde sau dupa 30 de ani din momentul aparitiei primelor simptome".
I. 3. Mijloace, metode, procedee, si tehnici kinetoterapeutice utilizate in recuperarea functionala a pacientilor cu cardiopatie ischemica
Recuperarea sau reabilitarea cardiacilor a fost definita de Organizatia Mondiala a Sanatatii drept un ansamblu de masuri ce au ca obiectiv sa redea sau sa amelioreze capacitatea fizica si mentala a pacientilor, permitandu-le sa ocupe prin mijloace proprii un loc cat mai normal posibil in societate.
Pe de o parte, inactivitatea fizica si intelectuala poate duce la degradarea starii fizice si intelectuale indiferent de natura si severitatea bolii cardiace.
Pe de alta parte activitatea fizica este benefica daca este controlata si progresiva, supravegheata, diferentiata, in functie de gradul severitatii bolii.
Restantul functional cardiac trebuie exploatat la maximum, lucru care se poate realiza prin programe de recuperare fizica (C. Busneag, 2006).
In mod traditional, recuperarea cardiaca este indicata pacientilor cu boala coronariana cu risc scazut. Recent, unele categorii de pacienti cu risc crescut, beneficiaza de programe de recuperare, adaptate de limitele impuse de alterarea functionala mai putin severa sau mai severa a miocardului.
Recuperarea cardiaca are atat scopuri pe termen scurt cat si scopuri pe termen lung. Cele pe termen scurt includ:
reabilitarea fizica suficienta pentru reluarea activitatii obisnuite;
suportul psihologic pe durata fazei precoce de recuperare a bolii;
educatia pacientilor si a familiei cu privire la procesul bolii;
Scopurile pe termen lung, includ:
identificarea si tratarea factorilor de risc care influenteaza progresia afectiunii;
invatarea si consolidarea obiceiurilor sanatoase de viata care optimizeaza conditia fizica a pacientilor si imbunatatesc prognosticul;
reluarea activitatilor ocupationale si vocationale uzuale.
Recuperarea cardiaca trebuie sa reprezinte pe de o parte, un proces complex (multilateral, complet, amplu), dar, pe de alta parte, trebuie sa fie adaptata si individualizata pacientilor respectivi.
Cei mai importanti factori, demni de luat in considerare sunt: severitatea bolii, factorii de risc, conditia fizica a pacientilor, terapia medicala si chirurgicala, statusul vocational si emotional (Dr. L. Lazar, Dr. D-M. Farcas, 1999).
Cel mai frecvent, aceasta metodologie s-a aplicat in cardiopatia ischemica cronica. Sunt necesare cateva precizari importante:
in afara recuperarii fizice se face si recuperare psihologica;
starea psihica a bolnavilor este aceea care face diferenta intre bolnavi (considerand ca deficitele cardiace functionale sunt comparabile) pentru o capacitate de efort cat mai normala si reintegrare socioprofesionala;
sunt necesare si masuri educationale:
pentru cresterea compliantei la tratament;
pentru profilaxia secundara a bolilor cardiovasculare;
medicina moderna a ajuns astazi la niste performante extraordinare, considera tehnicile de revascularizare miocardica (by-pass-ul aortocoronarian, angioplastia transluminala percutana ) ca masuri importante de recuperare;
astazi, boli precum cardiomiopatia dilatativa sau insuficienta cardiaca sunt indicate pentru recuperare fizica;
la ora actuala exista o bogata literatura e specialitate, astfel incat oricine se poate documenta in aceasta privinta (C. Busneag, 2006).
Antrenamentul fizic consta in prestarea efortului fizic repetitiv cu scopul de a creste capacitatea fizica a bolnavului, el trebuie sa aiba un consum energetic considerabil, corespunzator nivelului individual de conditie fizica a pacientului si sa fie executat in mod regulat pe o perioada extinsa de timp. Recuperarea cardiovasculara implica antrenamentul fizic care imbunatateste capacitatea functionala cardiovasculara, precum si rezistenta. Antrenamentul fizic implica patru principii e baza:
principiul suprasarcinii: un exercitiu, pentru a fi eficace in ameliorarea conditiei fizice, trebuie sa fie executat la un nivel de efort superior celui care este executat in mod uzual de catre individ. Aceasta poate fi realizata manevrand intensitatea, durata si frecventa efortului, dintre care intensitatea reprezinta componenta cea mai importanta.
principiul variatiei individuale: antrenamentul va fi individualizat in functie de capacitatile si necesitatile pacientului.
principiul specificitatii: fiecare tip de exercitiu, efort aduce o adaptare specifica metabolica si fiziologica, rezultand un efect special de antrenament.
Antrenamentul intens, utilizand exercitii izometrice va determina o crestere in forta. Antrenamentul aerobic este tipul de efort care conduce la cresterea rezistentei si daca el include exercitii ale unor mase mari musculare, acesta va putea imbunatatii capacitatea functionala cardiovasculara. Toate aceste tipuri de antrenament sunt importante in recuperare pentru ameliorarea ADL-urilor si performantelor legate de procesul muncii.
4. principiul reversibilitatii: efectele benefice ale antrenamentului nu sunt permanente. Imbunatatirile realizate incep sa dispara la numai doua saptamani de la intreruperea tratamentului, iar jumatate din beneficiu se poate pierde in numai cinci saptamani. Elementul de baza al recuperarii fizice il reprezinta sedinta de antrenament fizic. Sedinta de antrenament este constituita dintr-o perioada de incalzire, o perioada de antrenament propriu-zisa si o perioada de revenire (C. Busneag, 2006).
Majoritatea specialistilor considera ca mecanismele prin care se obtin efectele favorabile ale antrenamentului fizic in bolile cardiovasculare sunt complexe, multiple.
Economisirea functiei cardiace prin marirea economiei functionale a aparatului locomotor este unul dintre mecanismele cele mai evidente prin care se imbunatateste capacitatea de efort a bolnavilor dupa antrenamentul fizic. Ea se datoreaza imbunatatirii fortei musculare si coordonarii motrice si are drept efect micsorarea necesitatii de oxigen in musculatura scheletica, si in consecinta, solicitarea mai mica, crutarea cordului. Adeseori, pentru un sedentar lipsit de forta si abilitate, eforturi uzuale, ca ridicarea din pat, intrarea sau iesirea din automobil constituie un efort mare, caracterizat prin numeroase contractii musculare inutile si blocare a respiratiei, care solicita excesiv activitatea cordului.
Efectul cel mai scontat si cel mai evident al antrenamentului fizic exercitat direct asupra cordului, cu un pregnant potential profilactic, consta in economia de oxigen a miocardului (micsorarea necesitatii sale de oxigen) prin influentarea reglarii neurovegetative a functiei sale contractile si a metabolismului sau oxidativ.
O mare parte dintre bolnavii cardiovasculari au o circulatie hiperkinetica, determinata de o exacerbare a activitatii simpatoadrenergice: frecventa cardiaca si debit cardiac exagerate in repaus si mai ales in efort, alaturi de o diferenta arteriovenoasa a oxigenului mica, deci un coeficient de utilizare a oxigenului in muschii scheletici scazut. Este o circulatie neeconomica, o circulatie cu eficienta redusa.
La bolnavii cu cardiopatie ischemica, asocierea dintre consumul de oxigen crescut si fluxul sanguin redus prin coronarele sclerozate, face sa creasca disproportia dintre necesitatea si aportul de oxigen in miocard si sa se accentueze ischemia.
Marirea extractiei de oxigen (a coeficientului de utilizare a oxigenului) in musculatura scheletica dupa o perioada de antrenament fizic are ca drept efect solicitarea unui debit circulator mai mic in efort, ceea ce duce la o solicitare mai mica a cordului, la crutarea lui. Marirea extractiei de oxigen in muschiul antrenat se realizeaza prin cresterea numarului de capilare, cresterea numarului de mitocondrii si a capacitatii enzimelor oxidative.
Cordul uman dispune de numeroase anstomoze interarteriale, care nu functioneaza in mod normal, dar se pot deschide la necesitate, sau dupa stimulare. Ele asigura suplimentarea debitului sanguin redus din teritoriile tributare trunchiurilor coronariene sclerozate. Tehnicile moderne de investigatie pun in evidenta prezenta circulatiei colaterale in 70% din cazurile in care stenoza reduce cu peste 75% lumenul unui trunchi coronarian. Deschiderea colateralelor este o modalitate foarte importanta de compensare a sclerozei coronariene.
Exista factori fizici (cresterea gradientului de presiune dintre extremitatile colateralelor - acesta creste in teritoriul coronarelor stenozate) si biochimici (hipoxia locala - rezultata din discrepanta intre necesitatea si aportul de oxigen in miocardul ischemiat) care favorizeaza dezvoltarea circulatiei colaterale.
Efortul fizic, marind necesitatea de oxigen, mareste, e asemenea, hipoxia locala in teritoriile tributare coronarelor stenozate, acest fapt fiind folosit ca stimul pentru dezvoltarea circulatiei colaterale.
Este de remarcat, de asemenea, ca in timpul efortului fizic creste si presiunea de perfuzie in coronare, fenomen care se insoteste de cresterea gradientului de presiune de o parte si de alta a zonei stenozate. Marirea dozata a hipoxiei, a presiunii de perfuzie si a gradientului de presiune produsa de antrenamentul fizic, face ca el sa contribuie la intensificarea procesului de dezvoltare a colateralelor.
O serie de date stiintifice dovedesc influenta antrenamentului fizic asupra procesului complex al coagularii. El contribuie la mentinerea in limitele normale a coagulabilitatii, la evitarea cresterii sale si a tendintei de tromboza.
Antrenamentul fizic are, de asemenea, un rol reglator asupra metabolismului lipidic si glucidic, tulburarea acestuia dezvoltand ateroscleroza si localizarea sa pe arterele coronare (C. Obrascu, 1989).
Antrenamentul trebuie sa respecte anumite legitati pentru obtinerea rezultatelor propuse:
a) obtinerea unei adaptari maxime la o schema data - aceasta urmareste recapatarea sau imbunatatirea unei functii indispensabile, putand fi considerata si abordata ca o metoda de tratament globala;
b) gradarea antrenamentului se va face urmand curba clasica a efortului, in cursul unei sedinte, dar si in timp, fiind impartita in trei parti esentiale (partea introductiva, partea fundamentala si cea de revenire sau incheiere);
c) evitarea oboselii, insemnand controlul frecvent al functiilor vitale (puls, tensiune arteriala, frecventa respiratorie, capacitate vitala, etc.) pentru a verifica adaptarea pacientului la efort, dar si pentru a preveni oboseala si eventuala decompensare;
d) evitarea durerii - actul kinetoterapeutic, pasiv sau activ, nu trebuie sa provoace durere. Aceasta perturba buna desfasurare a programului kinetoterapeutic, dar si colaborarea bolnavului (N. Robanescu, 2001).
Toate aceste elemente prezentate vor fi utilizate ca drept obiective de tratament si recuperare functionala a pacientilor cu cardiopatie ischemica (crutarea cordului prin marirea economiei functionale a aparatului locomotor, micsorarea necesitatii de oxigen a miocardului, marirea extractiei de oxigen in musculatura scheletica, dezvoltarea circulatiei colaterale, modificarea coagulabilitatii sangelui, reglarea metabolismului lipidic si glucidic).
In recuperarea pacientilor cardiovasculari se utilizeaza si o serie de mijloace si tehnici specifice kinetoterapiei, particularizate si adaptate afectiunilor cardiovasculare. Dintre acestea vom analiza urmatoarele: lucrul la bicicleta ergometrica, mobilizari ale principalelor articulatii, tehnici de relaxare neuropsihica (tehnici inductive imaginative) si masajul relaxator.
Antrenamentul la bicicleta ergometrica este tipul clasic de antrenament si ea aduce avantajul interesarii in timpul antrenamentului a unui numar mare de grupe musculare. Aceste grupe musculare apartin, aproape in totalitate, membrelor inferioare, desi, intr-o mica masura este interesata musculatura torsului sau chiar musculatura membrelor superioare. Frecventa cardiaca, tensiunea arteriala se controleaza in timpul lucrului la cicloergometru, fiind de multe ori necesara si inregistrarea electrocardiogramei. Intensitatea antrenamentului poate fi usor reglata, prin variatia incarcaturii. Viteza de pedalare recomandata in cursul antrenamentului variaza, dar, de obicei va fi de minimum 45 de turatii, sau mai bine de 60 de turatii pe minut.
Ca si dezavantaje, cicloergometrul este neindicat persoanelor care au afectiuni osteoarticulare, de asemenea bolnavii coronarieni care prezinta adesea ateroscleroza periferica concomitenta, ceea ce duce la limitarea efortului pe care-l pot presta sub forma pedalarii la bicicleta, prin aparitia precoce a claudicatiei intermitente, inainte de a atinge frecventa cardiaca tinta, necesara pentru obtinerea efectului de antrenament. Un alt dezavantaj il constituie monotonia antrenamentului, care plictiseste rapid pe bolnav si il face sa se concentreze asupra respiratiei si asupra senzatiei de oboseala, acre poate fi perceputa la niveluri mai joase ale efortului (C. Busneag, 2006).
Exista tehnici de relaxare care pot contribui la recuperarea functionala a bolnavului cardiac. Cele mai cunoscute sunt metoda autotrainingului la lui Schultz si a lui Edmond Jacobson, I. Parow, Maccagno, care au la baza relaxarea progresiva pe baza principiului de identificare chinestezica a starii de tensiune plus contractie musculara, prin antiteza cu lipsa de contractie - relaxare. Pe langa aceste doua metode relaxarea se poate obtine prin gimnastica relaxanta colectiva care presupune executarea unor miscari absolut libere, neimpusa, un fel de dezordine in miscari sau prin repaus nemiscat in pat 20 de minute, timp in care bolnavul nu isi urmareste decat miscarea libera de respiratie (G. Ocheana, 2006).
Metoda de relaxare progresiva a lui Edmund Jacobson se bazeaza pe constientizarea contractiei musculare, respectiv luarea la cunostinta a acestui act fiziologic in scopul de a cauta prin contrast, tonusul normal si prin antiteza, cu lipsa contractiei - relaxarea (G. Ocheana, 2006). Aceasta foloseste exercitii minutioase conditionate progresiv chinestezic si tonic, in vederea relaxarii musculare in principal ( N. Robanescu, 2001).
Metoda de relaxare autogena a lui J. Schultz este o "autohipnoza" cu ajutorul careia se poate obtine controlul unor functii ale anumitor organe si in plus relaxarea asteptata, este o metoda de autodetectare concentrativa, deci subiectul isi creeaza prin concentrare o stare hipnotica. Doua elemente materializeaza eficienta deconexiunii obtinuta prin starea hipnoida:
starea de greutate;
senzatia de caldura;
La inceput metoda s-a bazat pe trei idei fundamentale:
sunt calm;
bratele si picioarele imi sunt grele;
bratele si picioarele mele sunt calde;
Metoda poate fi aplicata individual, in grup, in colectivitati mici sau mai mari, ca si metoda de autorelaxare, asadar fara specialist, daca este nevoie.
Aceasta actioneaza pe ansamblul sistemului neuro-vegetativ, cu efecte asupra: musculaturii, vaselor sanguine, inimii, respiratiei, organelor abdominale si a capului (N. Robanescu, 2001).
Antrenamentul autogen, metoda Schultz se practica cu foarte bune rezultate ca metoda de profilaxie, dar si de tratament recuperator in diferite spitale, clinici, centre de recuperare, etc. este indicata in cardiopatie ischemica, hipertensiune arteriala, infarct miocardic, nevroze, etc.
Pronuntarea aceleiasi fraze de mai multe ori ajuta la permeabilizarea receptarii ei bine, dand timpul necesar obtinerii efectului dorit.
Mobilizarea articulara trebuie sa respecte sase principii generale:
a) sa se faca in axul si planurile fiziologice ale articulatiei respective. Aceasta presupune cunoasterea perfecta de catre kinetoterapeut a anatomiei si biomecanicii articulatiilor;
b) mobilizarea articulatiei pe intreaga amplitudine a miscarii;
c) sa nu se provoace durere;
d) mobilizarea va fi dozata: ca ritm, ca forta si durata.
Mobilizarea articulara mai recunoaste:
mobilizarea prin atarnare, in care articulatia isi mareste amplitudinea datorata segmentului distal;
miscarea articulara maxima, in care articulatia este fortata in amplitudinea maxima posibila;
miscarea de stimulare.
Mobilizarea articulara pasiva foloseste:
a) gravitatia;
b) mobilizarea articulara auto-pasiva este executata de pacientul insusi, fie: - prin mobilizarea activa a articulatiilor invecinate;
prin mobilizarea manuala;
prin folosirea unui sistem instrumental, cum ar fi acela al unor scripeti;
c) mobilizarea articulara de catre kinetoterapeut;
d) mobilizarea articulara pasiva instrumentala (N. Robanescu, 2001, D. Flora, 2002).
Masajul reprezinta o grupare sistematica si stiintifica de manipulari executate manual asupra tesuturilor corpului uman, cu scopul de a influenta tesutul nervos si muscular si circulatia generala (E. Zamora, D-D. Craciun, 2007).
Dupa importanta efectelor, procedeele de masaj manual clasic, au fost impartite in doua grupe:
♦ procedee principale de masaj (efleuraj, frictiuni, petrisaj, tapotament);
♦ procedee secundare de masaj (cernut, rulat, presiuni, tractiuni, scuturari, ciupituri, pensari, etc) (L. Lidell, 2002).
Efectele masajului se clasifica in:
efecte locale - generate de factorul mecanic - hiperemia produsa duce la o mai buna irigare a pielii si a tesuturilor subiacente, favorizand si nutritia tisulara. Prin masaj se deschid multe capilare, care ajung la 2500/mm, fata de cele 200 deschise in mod obisnuit.
Acesta modifica presiune intratisulara, favorizand procesele de difuziune prin membranele celulare.
Dupa masaj se observa o mai buna utilizare a O la nivel tisular si o epurare mai energetica a catabolitilor locali.
efectele generale - au la baza mecanismul reflex, care se declanseaza prin stimularea exteroceptorilor din tegumente si a proprioceptorilor din muschi, tendoane, capsule articulare. Acestea sunt:
. stimularea functiilor aparatelor cardiovascular si respirator;
. cresterea metabolismului bazal;
. efecte favorabile asupra starii generale de sanatate a bolnavului;
. influentarea functiilor organelor interne afectate care se manifesta prin senzatii dureroase ale peretelui toracic sau abdominal.
Exista si efecte imediate si tardive, sau efecte excitante sau relaxante, calmante (E. Zamora, D-D. Craciun, 2007).
Masajul contribuie la activarea circulatiei in intregul corp, prin efectele care le produce:
ajuta la golirea venelor si a capilarelor, a limfaticelor si a spatiilor intracelulare;
diminueaza staza si tensiunea din tesuturi;
usureaza circulatia sangelui in artere, scazand efortul cordului;
influenteaza circulatia arteriala si arteriolara: fluxul sanguin creste ca urmare a cresterii debitului sistolic, secundara activarii circulatiei de retur;
masajul profund si cel lent, centripet are ca efect scaderea tensiunii arteriale, pe cand cel viguros are efecte hipertensive;
manevrele de masaj efectuate centripet, in sensul circulatiei de intoarcere, usureaza travaliul "inimii stangi", dar supraincarca usor "inima dreapta" si circulatia pulmonara.
Influenta masajului asupra circulatiei este datorata in primul rand actiunii mecanice, sangele din vase si limfa fiind impins spre inima. Efectele de durata ale masajului se datoreaza insa unor mecanisme reflexe si umorale. Aceste reactii, pe langa efectele hiperemice locale, pot contribui, prin efecte derivate, la reparatia si a reglarea circulatiei sangelui in organism. Masajul poate interveni in mecanismele de echilibrare dintre circulatia periferica si cea profunda a corpului.
Masajul general duce la cresterea numarului de hematii si leucocite, la cresterea cantitatii de hemoglobina, prin stimularea organelor hematopoetice si prin mobilizarea rezervelor de sange din organism.
Aceste tehnici de lucru se vor regasi in programul de recuperare al fiecarui subiect, particularizate si individualizate in functie de specificul lor si manifestarile cardiopatiei ischemice.
II. Elementele constitutive ale cercetarii
II.1. Ipotezele cercetarii
Dat fiind faptul ca bolile coronariene, in societatea noastra au o frecventa foarte mare, iar mortalitatea si morbiditatea produse de aceasta depasesc cu mult asteptarile, dar si progresul inregistrat de medicina, mi-am organizat cercetarea spre aceasta afectiune care mi s-a parut pe cat de actuala, pe atat de importanta.
Recuperarea si reintegrarea socio-profesionala este in interesul bolnavilor cardiovasculari, este si o problema a medicilor, kinetoterapeutilor, dar si a intregii societati.
In acest scop, cercetarea pe care am efectuat-o a pornit de la ipotezele consemnate in continuare.
Daca schema de tratament propusa este bine tolerata de pacienti si daca se imbunatateste simptomatologia clinica a subiectilor cardiovasculari.
Daca prin aplicarea programelor de recuperare se poate obtine o imbunatatire a parametrilor cardio-vasculari ai subiectior luati in cercetare;
Daca integrarea intr-un sistem organizat de terapie prin miscare poate combate efectele cardiopatiei ischemice asupra calitatii vietii subiectilor.
II.2. Obiectivele cercetarii
Pentru a face posibile organizarea eficienta a activitatii de cercetare, precum si verificarea ipotezelor, am stabilit urmatoarele obiective:
consultarea literaturii de specialitate pentru stabilirea gradului de actualitate a temei la nivelul la care aceasta este cercetata;
documentarea temeinica asupra mijloacelor si metodelor kinetoterapeutice aplicate in procesul de recuperare a pacientilor cu cardiopatie ischemica;
colaborarea cu medicul specialist, in vederea efectuarii testarilor si a urmaririi subiectilor pe parcursul desfasurarii experimentului;
depistarea si selectarea unor cazuri reprezentative;
selectarea celor mai adecvate procedee si tehnici de kinetoterapie, in vederea elaborarii unor programe de recuperare;
organizarea si desfasurarea procesului recuperator intr-o succesiune logica si etapizata, conform principiilor individualizarii si a dozarii atente a efortului, in functie de scopul urmarit, de particularitatile fiecarui subiect si de toleranta la efort;
observarea permanenta a parametrilor de diagnostic pentru a evidentia dinamica evolutiei subiectilor inclusi in cercetare;
punerea accentului, pe tot parcursul activitatii de recuperare, pe constientizarea de catre subiecti a propriilor limite legate de posibilitatile de miscare si utilizarea acestor informatii pentru prevenirea / combaterea unor leziuni;
finalizarea cercetarii, prin redactarea unei lucrari care sa constituie un ghid atat pentru actiunile profilactice, cat si pentru activitatea de recuperare;
evaluarea cat mai obiectiva, a rezultatelor si pe baza acestora - extragerea unor concluzii, care sa ofere argumente pentru continuarea si extinderea acestei cercetari;
evidentierea necesitatii de formare a unor deprinderi de folosire a unor exercitii simple si eficiente, de catre pacienti, in cadrul activitatii independente, la domiciliu.
II.3. Metode de cercetare
II.3.1. Metoda documentarii
Cercetarea stiintifica este un proces care vizeaza descoperirea noului pornind de la cunoasterea cat mai deplina a realului existent si a experientei anterioare.
Documentarea teoretica a constat in consultarea literaturii de specialitate, in scopul cunoasterii actualitatii temei, a cercetarilor efectuate in domeniu, a modalitatilor de aplicare in practica terapeutica a terapiilor energetice. Consultand bibliografia anexata am urmarit decelarea unor posibilitati de corelare a cunostintelor teoretice, deja cunoscute si aplicate in domeniu, cu cele inca neexploatate, dar validate de specialisti, acest lucru reflectandu-se in formularea ipotezelor cercetarii.
In studierea surselor bibliografice m-am informat asupra elementelor de patologie specifice cardiopatiilor ischemice (etiologie, manifestari, tipuri, evolutie si pronostic); asupra caracteristicilor evolutive (factori de risc, manifestari normale si patologice, modalitati de abordare a pacientilor, reactie la exercitiul fizic); precum si asupra fundamentarii stiintifice a utilizarii metodelor de tratament specifice kinetoterapiei asupra organismului persoanelor coronariene, dar si a celor sanatoase.
II.3.2. Metoda anchetei
Metoda anchetei face parte din cadrul metodelor de cercetare complexe, ocupand un loc important in obtinerea datelor, informatiilor necesare pentru cunoasterea subiectilor in dinamica evolutiei lor, a conditiilor care au generat afectiunea si sechelele aferente acesteia, pentru cunoasterea acelor elemente care pot crea un tablou cat mai complex asupra aspectelor obiective si subiective legate de subiecti si perspectiva evolutiei acestora in timp. Aceasta metoda a stat la baza culegerii informatiilor pentru intocmirea anamnezei si a fiselor de evaluare si urmarire a pacientilor.
Anamneza am realizat-o printr-un interviu individual cu fiecare pacient, avand ca principale directii urmatoarele:
identificarea datelor personale (nume si prenume, data nasterii, diagnosticul clinic);
aspecte patologice (antecedente, istoricul bolii, alte afectiuni, semne si simptome);
tratament recuperator (medicamentos, fizical, kinetoterapeutic);
rezistenta la efortul fizic si psihic.
II.3.3. Metoda observatiei
Observatia reprezinta contemplarea intentionata a unui obiect, fenomen, document sau proces. Aplicarea metodei observatiei pe parcursul lucrarii a stat la baza investigatiilor functionale pentru a stabili ceea ce s-a considerat a fi important de consemnat in fisele individuale ale subiectilor. De asemenea, a fost utilizata si pentru a stabili cauzele ce au produs modificari fata de parametrii cunoscuti si , in plus, a dus la formarea unor obiective pentru etapele urmatoare ale programelor de tratament.
Metoda observatiei mi-a oferit datele necesare pentru utilizarea optima a procedeelor si tehnicilor kinetoterapeutice folosite, pentru aprecierea corecta a intensitatii si progresiei efortului, a decelarii parametrilor cardiovasculari in repaus si in efort, a tipului de interventie necesar in timpul sedintei.
II.3.4. Metoda experimentului
Metoda experimentala consta dintr-un sistem complex de cunoastere a realitatii, caracterizat prin utilizarea "rationamentului experimental", care prelucreaza atat fapte provenite din observatii, cat si din experimente, testari si masuratori.
Experimentul a presupus o stare activa a subiectului, implicand o activitate metodica orientata spre un scop precis de verificare a unei ipoteze. A fost o activitate empirico-teoretica complexa cu caracter premeditat pe baza unui rationament logic, care a urmarit producerea unui fenomen/unui raspuns in conditiile dorite de cercetator. Am utilizat urmatoarele tipuri de experiment:
experimentul de verificare/confirmare - tipul fundamental, avand ca scop verificarea ipotezelor formulate la inceputul cercetarii;
experimentul natural a fost efectuat in conditii normale si firesti ale activitatii.
II.3.5. Metode de masurare (explorare si evaluare)
In cadrul procesului recuperator, masurarea este un proces ce atribuie valori (cifre, numere), proprietatilor subiectilor dupa mai multe reguli, astfel incat relatiile numerice sa reprezinte relatiile relevante dintre acestea.
Metoda de explorare si evaluare a urmarit obtinerea unor date exacte asupra dezechilibrelor prezente la nivelul parametrilor cardio-vasculari, dar si a altor modificari asociate provocate de cardiopatia ischemica.
In examinarea pacientului, in vederea aplicarii tratamentului, am utilizat: convorbirea, examinarea vizuala si instrumentele specifice. Aceasta metoda nu s-a folosit in scop diagnostic , ci ca o testare care sa serveasca in permanenta ca punct de referinta pentru a corect starea pacientului pe masura derularii programului de tratament. Inventarul semnelor descoperite a fost consemnat in fisele individuale ale pacientilor. Am efectuat examinarea parametrilor cardio-vasculari (tensiune arteriala, puls, frecventa respiratorie), dar si a tegumentului. Inregistrarea parametrilor cardiovasculari a fost efectuata inaintea, in timpul si dupa efortul prestat.
II.3.6. Metoda inregistrarii, prelucrarii si reprezentarii grafice
Datele obtinute in urma aplicarii testarilor au fost intabelate si inregistrate in fisele individuale ale pacientilor, in vederea centralizarii, prelucrarii si compararii ulterioare.
Am folosit, de asemenea, inregistrarea pe pelicula fotografica a unor aspecte de pe parcursul activitatii experimentale, in scopul asigurarii unui suport intuitiv pentru prezentarea metodelor terapeutice folosite.
Prezentarea rezultatelor a fost insotita de reprezentare grafica, in scopul facilitarii intelegerii si evidentierii mai clare a diferentelor dintre rezultatele obtinute de pacientii din grupa experimentala si cei din grupa martor.
II.4. Organizarea cercetarii
II.4.1. Locul de desfasurare a cercetarii si conditiile de baza materiala
Acest studiu l-am desfasurat pe un lot de patru subiecti, dintre care trei de sex masculin si un subiect de sex feminin. Varsta medie a subiectilor a fost de 52 de ani.
Activitatea de recuperare functionala s-a desfasurat la cabinetul de kinetoterapie "Kinetoterra" din Falticeni, strada Maior Ioan, numarul 1A.
Am beneficiat de dotarea acestei unitati in cadrul activitatii de cercetare si recuperare, dar si de colaborarea cadrelor specializate in domeniu.
Conditiile de baza materiala au fost cele specifice urmaririi si investigarii constantelor biologice, precum si aparatele si mijloacele specifice de testare si aplicare practica a programelor de tratament:
un cronometru electronic pentru inregistrarea frecventei cardiace si a frecventei respiratorii, in cele trei faze ale exercitiului;
un tensiometru manual pentru inregistrarea tensiunii arteriale pe tot parcursul sedintei de recuperare, atat in efort cat si in repaus;
pulsoximetru;
o bicicleta ergometrica (Ketler, model Wing) cu afisaj electronic;
canapea pentru aplicarea tehnicilor de relaxare neuropsihica din cadrul secventei de incheiere a programului de recuperare functionala;
saltele de gimnastica;
spaliere;
bastoane;
cercuri.
II.4.2. Durata si etapele cercetarii
Cercetarea pe care am efectuat-o s-a desfasurat pe o perioada de opt luni, incepand din 1 Octombrie 2008 si terminand in 4 Mai 2009.
Cercetarea s-a desfasurat astfel:
1 - Etapa documentarii: 1 Octombrie 2008 - 30 Noiembrie 2008
Aceasta etapa a corespuns perioadei de documentare teoretica. In acest scop am intocmit listele si am studiat sursele bibliografice (compendii, tratate, reviste, surse electronice etc.) in legatura cu tema aleasa, pentru a determina nivelul la care se afla cercetarea in domeniu si pentru a afla alte date care sa ofere o imagine de ansamblu a problematicii abordate. Am solicitat opinia despre procesul de recuperare functionala pentru pacientii cardiovasculari unor cadre de specialitate: medici cardiologi, kinetoterapeuti, cadre medii, care mi-au oferit sugestii privind conceperea prezentei cercetari. Am elaborat in cele din urma o strategie proprie de cercetare, in urma integrarii informatiilor obtinute din aceste surse.
2 - Desfasurarea propriu-zisa a experimentului: 1 Decembrie 2008 - 31 Martie 2009
In aceasta etapa s-a efectuat constituirea lotului de cercetare, organizarea grupelor de cercetare prin distribuirea aleatorie a subiectilor, evaluarea subiectilor, instituirea mijloacelor kinetoterapeutice in scopul recuperarii functionale la subiectii din grupa experimentala, precum si evaluarea finala a acestora.
3 - Redactarea lucrarii: 1 Aprilie 2009 - 31 Mai 2009
In cadrul acestei etape s-au consemnat datele cercetarii, s-au interpretat rezultatele si s-au formulat concluziile. De asemenea, s-a redactat sectiunea teoretica referitoare la contextul stiintific in baza caruia prezenta cercetare a fost conceputa si sustinuta.
II.4.3. Esantionul de subiecti cuprinsi in cercetare
Lotul de subiecti a fost constituit din patru subiecti, repartizati in:
v Grupa experimentala (Grupa A), cuprinzand doi subiecti la care s-a efectuat procesul de evaluare (initiala si finala) si s-a aplicat si mijloacele si metodele de tratament kinetoterapeutic.
v Grupa de control (Grupa B), cuprinzand de asemenea doi subiecti la care s-a efectuat doar procesul de evaluare (initiala si finala).
|
Nr. crt. |
Nume si prenume |
Sex |
Varsta |
Profesia |
Diagnostic |
|
C. V. |
M |
sudor |
Cardiopatie ischemica nedureroasa |
||
|
J. L-G. |
F |
pensionara de boala |
Cardiopatie ischemica nedureroasa |
||
|
J. V. |
M |
fierar |
Cardiopatie ischemica nedureroasa |
||
|
D. S. |
M |
vanzator |
Cardiopatie ischemica nedureroasa |
|
Politica de confidentialitate | Termeni si conditii de utilizare |
Vizualizari: 3207
Importanta: ![]()
Termeni si conditii de utilizare | Contact
© SCRIGROUP 2025 . All rights reserved