| CATEGORII DOCUMENTE |
| Alimentatie nutritie | Asistenta sociala | Cosmetica frumusete | Logopedie | Retete culinare | Sport |
INVESTIGAREA STARII DE BINE FETALE
1. Comportamentul fetal
Poate fi studiat prin ecografie si o multitudine de observatii pot ajuta in diagnosticul "starii de bine " fetale.
Miscarile fetale
In 1982 de Vries si colab. au descris miscarile fetale
saritura, tresarirea: brusca flexie si/sau extensie a ambelor brate si picioare in acelasi timp. Amplitudinea miscarii este de obicei mare, dar poate fi si mica
aparitia miscarii, in functie de varsta gestationala.
|
Tipul miscarii |
Saptamana |
|
Activitate cardiaca | |
|
Miscari fetale clar vizibile | |
|
Saritura | |
|
Miscari generale | |
|
Extensia intregului corp | |
|
Rotatii | |
|
Miscari izolate ale mainii, piciorului | |
|
Deschiderea gurii | |
|
Supt si inghitit | |
|
Cascat | |
|
Miscari respiratorii | |
|
Sughitul | |
|
Miscari ale ochilor - incete - rapide |
Tabel XI Tipul miscarii embrionare,respectiv fetale si varsta gestationala la care apare ( adaptat dupa de Vries [23] si Merz [16 ] )
Pe masura ce fatul creste, secventa miscarilor prelungite, linistite creste.
Starile comportamentale fetale vor fi descrise in cadrul capitolului de cardiotocografie.
2. Profilul biofizic
In 1980 Manning si colaboratorii [15] au descris acest profil pentru aprecierea starii fetale de bine. Profilul consta in observarea a 5 fenomene fetale pe parcursul a 30 de minute. Fiecare fenomen este notat de la 0 la 2, cu scorul maxim de 10 puncte.
|
Criteriul |
2 puncte |
0 puncte |
|
Miscari fetale |
3 sau mai multe miscari ale trunchiului si membrelor, impreuna sau separat in 30 min. |
maxim 2 episoade in 30 min |
|
Tonus fetal |
Unul sau mai multe episoade de extensie - flexie ale membrelor, sau prezenta deschiderii si inchiderii mainii |
Doar o extensie usoara urmata de o flexie partiala, abesnta miscarilor |
|
Miscarile respiratorii |
Unul sau mai multe episoade de miscare toracica si a peretelui abdominal de minim 30 sec. |
Fara miscare respiratorie sau mai mica de 30 sec in 30 min. |
|
Ritmul cardiac fetal, apreciat prin cardiotocografie |
Doua episoade minim de acceleratie cardiaca de peste 15 bpm si peste 15 sec (in 20 min) |
Mai putin de doua episoade de acceleratie sau acceleratie sub 15 bpm (in 20 min) |
|
Lichidul amniotic |
Mai mult de un buzunaras" de 1 cm in 2 planuri perpendiculare |
Cantitatea de lichid amniotic mai mica de 1 cm in 2 planuri perpendiculare |
Tabel XII Profilul biofizic fetal [15]
Fatul in conditii bune este la un scor de 8 - 10. Asfixia fetala este suspicionata sub 6.
3. CARDIOTOCOGRAFIA
Monitorizarea electronica a ritmului cardiac fetal are certe avantaje in urmarirea travaliului, fata de ascultatia cordului fetal, in special acolo unde riscul de suferinta fetala este crescut.
Indicatiile monitorizarii fetale [7,9]:
I. Conditii materne antenatale:
HTA, preeclampsie
boli vasculare, trombofilie
diabet zaharat
boli renale
boli cardiace
anemie severa
hipertiroidism
infectii
accidente, loviri
postmaturitate
pierderi de sange pe cale vaginala
II. Conditii fetale antenatale:
travaliu prematur
retard de crestere intrauterina
oligohidramnios
indici Doppler fetali anormali in artera ombilicala.
Izoimunizare
Sarcina multipla
Oprirea brusca a miscarilor active fetale percepute de mama
III. Conditii intrapartum:
travaliu prelungit
sangerare pe cale vaginala
lichid meconial
travaliu indus sau dirijat prin ocitocice
orice suspiciune de ritm cardiac fetal anormal la inceputul travaliului
infectii
Cardiotocografia - CTG consta in inregistrarea simultana a ritmului cardiac fetal (RCF) si a activitatii uterine (UA).
Caracterele si termenii folositi in interpretarea traseelor CTG se pot grupa in:
|
I.Ritmul cardiac de baza RCFB(linia de baza) |
II.Frecventa contractiilor |
|
Variabilitate |
amplitudinea contractiilor |
|
Acceleratii |
tonusul bazal uterin |
|
Bradicardie |
intarzierea relaxarii uterine |
|
Tahicardie |
polisistolia |
|
deceleratii: precoce, tardive sau variabile |
tachisistolia |
|
Schimbarea liniei de baza a RCF |
hipertonia |
|
Aritmie |
bigeminismul |
|
traseu saltatoric | |
|
Traseu sinusoidal |
Tabel XIII Caracterele traseelor cardiotocografice
Caracterele RCF
RCF de baza (RCFB), se exprima in batai pe minut (bpm) si variaza intre 5 si 15 bpm in afara travaliului si 5 - 25 bpm in travaliu.

Fig. nr.292 RCFB normal
Inainte de 32 saptamani, de obicei fetii sunt cu RCFB usor mai crescut, apoi RCFB este intre 120 - 160 bpm,( se accepta si 110 - 150 bpm ) ca dupa 42 saptamani sa scada la 100 - 110 bpm.
Variabilitatea RCF este data de influenta simpaticului si a parasimpaticului.
Cel mai usor de demonstrat, este incadrarea RCFB intre doua benzi orizontale, la limita inferioara si superioara a traseului, cu masurarea distantei intre aceste doua linii. Variabilitatea normala este intre 5 si 15 bpm in timpul sarcinii , creste la 5 - 25 bpm in travaliu. Variabilitatea apare dupa 26 - 28 saptamani , odata cu maturarea centrilor nervosi si creste cu varsta gestationala.

Fig . nr. 293 Exemplu de masurare a variabilitatii RCF , intre doua linii,trecerea din starea de somn linistit, in cea de somn activ
Acceleratiile reprezinta cresterea RCF cu mai mult de 15 bpm si in durata peste de peste 15 sec.
La prematuri amplitudinea acceleratiei este mai mica, se accepta si 10 bpm in mod normal.
Acceleratiile sunt in general simultane cu miscarile grosiere fetale, la feti in stare buna.

Fig.nr.294 .Acceleratiile la RCF. Se observa cresterea RCF (influenta simpaticului ) care este mai lunga decat revenirea la linia de baza ( influenta parasimpaticului ) iar intervalul dintre acceleratii este variabil.
Deceleratiile reprezinta scaderea RCF cu mai mult de 15 bpm si pentru minimum 10 secunde, sunt precoce, tardive si variabile.
Tahicardia este cresterea RCFB peste 160 bpm cu o durata peste 10 minute in general prin dominatia simpaticului.

Fig. nr 295 Tachicardie fetala
Bradicardia reprezinta scaderea RCF la circa 100 bpm sau sub pentru minimum 5 minute.

Fig. nr. 296 Bradicardie in timpul hipertoniei si hiperkineziei uterine
Schimbarea ritmului cardiac de baza se defineste prin modificarea RCFB cu 20-40 bpm .

Fig . nr. 297 Schimbarea RCFB
Aritmia - forme variate de modificari neregulate de ritm cardiac.
Traseul saltatoric - variatii ale RCF ce depasesc 25 bpm si se asociaza cu deceleratii variabile, in special in faza de acceleratie a dilatatiei din cadrul travaliului.

Fig. nr. 298. Traseu saltatoric, oscilatiile variabilitatii depasesc 25 bpm, apare de obicei in expulzie, in timpul deceleratiilor ce urmeaza dupa impins.
Traseul sinusoidal: oscilatii regulate in jurul frecventei de baza cu 2 - 5 cicli pe minut si amplitudinea 5 - 15 bpm. Variabilitatea este diminuata sau absenta. Trebuie diferentiat de traseul pseudosinusoidal ce apare pentru scurta vreme in momentul miscarilor fetale de supt.

Fig. nr. 299 RCF sinusoidal
CARACTERELE ACTIVITATII CONTRACTILE UTERINE
Frecventa contractiilor, se numara in unitatea de timp de 10 minute.
Amplitudinea reprezinta maximul intensitatii contractiilor, poate fi apreciata corect doar prin monitorizarea intrauterina. Se calculeaza ca maximul presiunii intrauterine in timpul contractiei, minus tonusul bazal uterin si se exprima in mmHg.
Tonusul bazal uterin reprezinta presiunea din uter dintre contractii. Reprezinta diferenta intre presiunea din cavitatea uterina si presiunea atmosferica. Nu ar trebui sa depaseasca 20 mmHg, in caz contrar se pot ocluziona arteriolele spiralate uterine.

Fig. nr. 300 Trasee anormale ale contractiilor uterine (adaptat dupa Freeman si Garite 1981[8] )
Intarzierea relaxarii uterine dupa contractie sau contractia prelungita se defineste daca durata contractiei depaseste 90 sec.
Hipertonia se defineste cand tonusul uterin bazal ramane peste 20 mmHg pentru o perioada prelungita. Este data de obicei de ocitocice sau prostaglandine sau de dezlipirea de placenta normal inserata sau chiar de pasajul meconiului proaspat in spatiul amniotic. Duce la acidoza fetala.
Polisistolia - aparitia unei noi contractii uterine, inainte de completa relaxare creeaza proaste conditii pentru fat.
Bigeminismul - contractii pereche dupa care o noua pereche apare sub 60 de secunde. Daca apar ocazional nu au importanta.
Tahisistolia ( hiperkinezia ) - peste 5 contractii la 10 minute. De obicei in travaliu stimulat cu ocitocice si nesupravegheat suficient.
Contractia tetanica - frecventa foarte ridicata si tonusul uterin bazal ridicat, indica suspiciunea de dezlipire prematura de placenta.
In concluzie, un RCFB intre 120 si 160 bpm, o variabilitate intre 5 si 15 (25) bpm, prezenta unor acceleratii periodice indica conditii fetale normale.

Fig. nr. 301 Acceleratiile RCF se contopesc in tachicardie , in timpul activitatii fetale ( jogging fetal dupa Van Geijn )
Inregistrarea activitatii contractile uterine prin cardiotocografie externa (tocodinamometrie)
Uterul isi schimba forma si pozitia in cursul contractiei uterine, care va fi semnalata de mama si palpata de examinator. Pacienta relateaza in functie de propria sensibilitate contractia, cea mai obiectiva analiza se face totusi prin tocografie intrauterina.
CTG externa este noninvaziva si cea mai folosita metoda din lume. Un transductor (tocodinamometru) se plaseaza pe abdomenul matern la cativa cm de fundul uterin si se fixeaza cu o banda elastica in jurul pacientei, care sa nu fie nici prea laxa, nici prea stransa. Calitatea inregistrarii depinde de factori ca grosimea peretelui abdominal sau pozitia materna, de activitatea musculaturii abdominale materne, de miscare, respiratie, vorbit, vomitat, impins. Inregistrarea este influentata de miscarile fetale.
Informatia obtinuta este semnificativa, se refera la frecventa contractiilor si nu la intensitatea, durata acestora, respectiv tonusul uterin bazal, ce sunt mai putin fidel redate la tocodinamometrie externa.
Fig. nr. 302. Schema inregistrarii RCF simultana cu miscarile active fetale, si traseul tocografic cu respiratia materna, vomismentele si screamatul matern din efortul expulziv. (adaptat dupa Van Geijn[9] )
Tocodinamometria externa poate fi aplicata oricand in sarcina, travaliu sau expulzie. Cateodata in expulzie unele paciente accepta mai greu monitorizarea, dar este important ca exact in aceasta perioada de posibila aparitie a hipoxiei sa se faca o monitorizare.
Hartia folosita este inscriptionata de la 0 la 100 mmHg pe o scala verticala, dar intensitatea contractiei nu este masurata prin tocodinamometrie externa.
Activitatea contractila uterina variaza, cea mai adecvata presupune 3 - 5 contractii la 10 minute, cu amplitudine peste 50 mmHg, regulate si cu tonus uterin bazal sub 20 mmHg.
O activitate uterina excesiva poate fi data de:
hiperstimulare cu ocitocina sau prostaglandine,
trecerea meconiului in lichidul amniotic
dezlipirea de placenta normal inserata
chorioamnionita
Lipsa de progresiune a travaliului se poate datora la 3 factori:
insuficienta frecventa si intensitate a contractiilor (distocia de dinamica uterina),
deformari ale canalului de nastere a bazinului (distocia osoasa)
volum mare fetal sau pozitie fetala nefavorabila (disproportie cefalo-pelvina, deflexii ale craniului, etc)
Inregistrarea RCF necesita urmatoarea secventa:
recunoasterea batailor cardiace fetale
procesarea semnalului RCF
calcularea timpului dintre bataile cardiace
asezarea in grafic a RCF in functie de timp
In practica, recunoasterea batailor cardiace fetale se face prin doua metode:
Ultrasunetul - prin efect Doppler, folosit la CTG externa, un cristal piezoelectric emite o frecventa ce este modificata de miscarea cordului fetal (valve si pereti)
ECG fetal - se obtine doar direct prin aplicarea pe scalp a unui electrod in cadrul unei inregistrari intrauterine.
Mai putin folosite sunt fonocardiografia, prin plasarea de microfon extern si EKG fetal extern.
Pasii in inregistrarea RCF sunt:
plasarea transductorului de ultrasunet
inregistrarea prin efect Doppler
procesarea traseului cu batai cardiace
autocorelarea
procesarea intervalului
calculul RCF si afisare grafica
RCF calculat este afisat grafic pe un ax vertical, intre 50 si 210 bpm.
Axul orizontal este determinat de viteza hartiei utilizata: 1,2 sau 3 cm/min. In foarte multe tari europene viteza folosita este 1 cm/1 min, desi exista avantaje si dezavantaje.
Artefacte in inregistrarea RCF
Pierderea semnalului se datoreaza:
v pozitiei incorecte a transductorului,
v miscari fetale
v miscari materne
v polihidramniosului
v obezitatii
v sarcinei multiple
v contractiei uterime
Lipsa inregistrarii intervalului dintre bataile cardiace, apare de obicei la CTG cu aparate mai vechi, fara procesare prin autocorelare.
Inregistrarea ritmului cardiac matern, prin verificarea pulsului matern la artera brahiala, se face usor diagnosticul diferential. In cazul dubiului de moarte fetala in utero se va utiliza ecograful.
Injumatatitrea semnalului - apare la un RCF foarte mare, cand unele batai cardiace cad in perioada refractara a aparatului si doar jumatate sunt inregistrate.
Dublarea apare ocazional, cand RCF scade succesiv in timpul deceleratiei si semnalul de la valvele tricuspida/mitrala, respectiv valve aortica/pulmonara sunt contabilizate separat.
Lipsa inregistrarii aritmiei - la CTG externa nu poate fi determinata, doar la metodele interne cu program "logic-off".
Influentele asupra ritmului cardiac fetal
Ritmul cardiac fetal este influentat continuu de schimbarile in balanta simpatic - parasimpatic.
![]()
![]()
![]()
Miscari respiratorii Schimbari
ale presiunii
intratoracice
Schimbari
ale gazelor
Chemoreflex
Centru respirator Centru cardiovasc
Creier INIMA
Termoreglare
Sistemul
renina angiotensina
Tabel XIII. Mecanismele responsabile de fluctuatiile ritmului cardiac fetal (adaptat dupa Van Ravenswaay-Arts 1993[18])
Influenta fiziologica asupra RCF:
Varsta gestationala - RCFB 70 - 80 bpm la 7 sapt., creste la 180 bpm la 10 sapt si scade cu varsta, dupa 32 sapt. intre 120 si 160 bpm.
Ritmul circadian - in functie de asocierea cu miscarile majore fetale, acceleratiile, RCF si variabilitatea cresc intre orele 23.00 si 2.00. Ele sunt in acord cu nivelul plasmatic de cortizol matern.
Starile fetale de comportament
Ø 1F - RCF tip A, stare de somn linistit. In 80% din feti apar miscari ale gurii la termen, asociate cu oscilatii tipice ale RCF
Ø 2F - RCF tip B, stari de somn activ, acceleratii simultane cu miscarile generale fetale
Ø 3F - RCF tip A, dar cu prezenta miscarilor de respiratie fetale
Ø 4F - RCF tip D, stare activa, de fuga, fatul se misca continuu, rezultand o serie de accelerari ce ocazional se contopesc intr-o tahicardie .

Fig. nr. 303. RCF cu trasee tip A,B, C, D ce apar in functie de starile comportamentale 1F pana la 4 F (adaptat dupa Van Woerden 1994 [24])
Miscarile fetale de respiratie - in stadiul IF sunt regulate si cauzeaza aritmia sinusala
Miscarile fetale de supt sunt asociate cu RCF asemanator sinusoidal
Sughitul fetal se asociaza cu cresterea RCFB [25]
In timpul starii comportamentale 2F, miscarile capului, corpului si membrelor sunt acompaniate de acceleratii si sunt simultane cu acestea.
Durata obisnuita a tipului comportamental 1F (RCF tipA) este 15 - 25 minute si foarte rar peste 45 minute, iar durata tipului comportamental 2F (RCF tip B) este mai lunga si variaza foarte mult. Ciclicitatea celor 2 tipuri de RCF A si B indica o stare buna a functionarii SNC si sistemului nervos periferic.
Efectele administrarii medicatiei asupra RCF
|
Medicamente |
Efecte |
|
Sedativele |
Scad variabilitatea |
|
Anestezicele |
Pierderea variabilitatii |
|
Betamimeticele |
Creste RCFB Scade variabilitatea |
|
Corticosteroizi |
Scad acceleratiile Scad variabilitatea |
|
MgSO4 |
Scade variabilitatea |
|
Antihipertensivele |
Efecte variate: scade variabilitatea creste RCFB tahicardie bradicardie fara efect |
Tabel XIV Efectele medicatiei asupra ritmului cardiac fetal ( adaptat dupa Van Geijn[9])
Traseul normal al RCF
ritmul cardiac fetal de baza 110 - 150 bpm (se accepta 120 - 160 bpm)
acceleratii periodice
variabilitate normala intre 5 si 25 bpm
acceleratii prezente, deceleratii absente.
Traseu Anormal al RCF
linia de baza (RCFB) > 160 sau < 100
linia de baza obscura, greu de stabilit, deplasata, serpuita
absenta acceleratiilor peste 45 de minute
reducerea sau absenta variabilitatii
cresterea variabilitatii (traseu saltatoric)
deceleratii variabile, tardive
traseu sinusoidal
traseu monoton
aritmii cardiace
Linia de baza a ritmului cardiac fetal (RCFB) este de fapt o linie imaginara, ce da calculul frecventei cardiace si fata de care au loc acceleratii si deceleratii.
RCFB peste 150 - 160 bpm se numeste tahicardie si sub 100 - 110 bpm bradicardie.
Cauze de bradicardie
antihipertensive
hipotensiune/soc matern
convulsii materne
hipotermie materna
ruperea artificiala a membranelor ( amniotomia ) precoce
compresiune pe cordonul ombilical
dezlipire de placenta normal inserata
activitate uterina contractila excesiva (hiperkinezie) - cea mai frecventa cauza
postmaturitatea
aritmii cardiace fetale, blocul atrioventricular
inregistrarea ritmului cardiac matern sau "injumatatirea" la inregistrare a RCF
Tahicardia in absenta acceleratiilor sau la reducere variabilitatii, poate fi un semn serios de hipoxie fetala; este mai periculoasa daca se asociaza cu deceleratiile tardive tipice sau cu cele variabile.
Cauze de tahicardie
febra materna
chorioamniotita
anxietate materna
tireotoxicoza materna
anemie fetala
infectie, sepsis fetal
hipoxie fetala
starea activa fetala
dupa deceleratii tardive
dupa anestezie epidurala
tahicardia paroxistica atriala
flutter atrial
dublarea RCF
Modificari ale liniei de baza
Deplasarea liniei de baza
in sus : infectie intrauterina, hipoxie prin compresiune de cordon ombilical
in jos
Ambele se asociaza cu scaderea pH-ului in cordonul ombilical, daca sunt la un fat in travaliu.
Linia de baza serpuita : RCF scade sub 80 bpm, variabilitatea scazuta sau absenta
Cauzele sunt: ocluzia cordonului ombilical, dezlipirea de placenta normal inserata, ruptura uterina, hiperkinezia uterina, convulsii sau soc matern.

Fig. nr. 304. Bradicardie cu pierderea si serpuirea liniei de baza
Linia de baza obscura - rareori, nu se poate stabili linia de baza : serii de acceleratii, traseu saltatoric RCF, variabile deceleratii, repetitive sau aritmia cardiaca

Fig, nr.305. Traseu saltatoric cu linie de baza obscura
Acceleratiile reprezinta caracteristica RCF reactiv (in cadrul NON STRESS TEST reactiv 2 acceleratii la 10 minute sau 3 acceleratii la 20 minute simultane cu miscarile active fetale). Ele survin in asociere cu miscarile grosiere corporale fetale, sunt tipice pentru starile fetale 2 F sau 4 F.

Fig. nr. 306 Acceleratiile RCF
Absenta acceleratiilor pentru mai mult de 45 minute in absenta oricaror complicatii (medicatie materna, anomalie congenitala fetala, aritmie cardiaca, pierderea semnalului) trebuie privita ca o suspiciune de suferinta fetala.
Foarte rar acceleratiile succesive pot fuza intr-o aparenta tahicardie, altadata o serie de acceleratii ritmice pot mima traseul sinusoidal.
Pe masura cresterii sarcinii si maturizarii SNC, numarul acceleratiilor RCF in asociere cu miscari active fetale (MAF) creste.
Conditiile care influenteaza variabilitatea RCF
|
Scad variabilitatea |
Cresc variabilitatea |
|
sedativele |
Efedrina |
|
somnul fetal |
cresterea activitatii fetale |
|
prematuritatea |
compresia cordonului |
|
hipoxia |
Hiperkinezia |
|
leziuni ale creierului |
Postmaturitatea |
|
hidropsul fetal |
aspiratia de meconiu |
|
deceleratii tardive sau variabile asociate |
bradicardia bazala |
|
bradiaritmie |
dupa deceleratii variabile |
|
tahicardie | |
|
boli ale nodului sinusal |
Tabel XV Conditiile care influenteaza variabilitatea ritmului cardiac fetal( adaptat dupa Van Geijn[6,9])
Scaderea variabilitatii RCF inaintea mortii fetale in uter este consecinta hipoxiei si acidozei.
Cresterea variabilitatii RCF intre contractiile uterine indica cresterea pCO2, se datoreaza deseori unor compresii pe cordonul ombilical .
Deceleratiile: Hon 1968 [11] le-a clasificat astfel:
precoce: atribuite compresiei pe craniu
tardive: atribuite insuficientei utero-placentare
variabile: atribuite compresiei pe cordonul ombilical
Deceleratiile precoce: apar repetitiv, uniform si simetrice, simultan cu contractiile uterine, au forma de "U" si RCF nu scade sub 100 bpm.
Fig. nr. 307. Deceleratii tipice precoce.
Deceleratiile variabile : sunt predominante in cursul travaliului si nasterii. Sunt ca forma, durata si amplitudine diferita.
Fig. nr. 308. Deceleratii variabile simultane cu contractiile uterine
Fig. nr. 309. Deceleratiile tardive in asociere cu tachicardie
Caracterele nefavorabile pentru fat a deceleratiilor variabile sunt :
pierderea acceleratiei initiale
revenirea lenta la RCFB
pierderea cresterii secundare a RCF
prelungirea cresterii secundare a RCF
decelerarea bifazica
pierderea variabilitatii in timpul deceleratiei
continuarea RCFB la un nivel mai mare sau mai mic

Fig. nr.310. Deceleratii variabile de durata , cu timp lung al revenirii la RCFB
Deceleratiile tardive sunt repetitive, uniforme, cu o intoarcere inceata la RCFB, ele apar dupa Hon la peste 30 sec dupa inceputul contractiei. Asocierea deceleratiilor tardive cu scaderea variabilitatii si absenta acceleratiilor reprezinta un semn tardiv de deteriorare fetala.
Ele se asociaza cu retard de crestere intrauterina, scaderea cantitatii de lichid amniotic si Doppler anormal pe artera ombilicala.
Deceleratiile tardive se asociaza cu scaderea oxigenarii fetale la nivelul creierului.
Caracterele deceleratiilor dupa HON - 1968[11]
|
Caracter |
precoce |
variabile |
Tardive |
|
Uniformitate |
uniforma |
neuniforma |
uniforma |
|
RCFB |
normal |
normal sau mai mic |
crescut sau tahicardic |
|
marimea deceleratiilor |
140 - 100 bpm |
140 - 50/60 bpm |
severa 120 - 60 |
|
Durata |
sub 90 sec |
secunde pana la minute |
sub 90 sec |
|
echilibrul acido bazic |
normal |
acidoza frecventa si prelungita |
acidoza persistenta si severa |
Tabel XVI Caracterele deceleratiilor ( adaptat dupa Hon [11])
Timpul de revenire la RCFB dupa deceleratii este predictiv pentru dezvoltarea acidozei, cu cat e mai lung cu atat mai sigur fatul va dezvolta o acidoza.
Traseul sinusoidal si
pseudosinusoidal
Fig nr. 311 Traseu tipic sinusoidal
Criteriile pentru traseu sinusoidal :
RCFB stabil si normal
oscilatii regulate
amplitudinea 5 - 15 bpm, rar mai mari
frecventa de 2-5 cicli/min
variabilitate foarte slaba si fixa
oscilatii deasupra si dedesubtul liniei de baza
fara variabilitate si fara acceleratii
Traseul pseudosinusoidal este dat de predominanta temporara a simpaticului, cu rapida revenire la interventia parasimpaticului. In general trasee variabile ale RCF se regasesc la aceeasi inregistrare cu traseu pseudosinusoidal.
Conditii cu traseu sinusoidal si pseudosinusoidal
|
Sinusoidal |
Pseudosinusoidal |
|
anemie fetala |
supt fetal |
|
acidoza fetala |
miscari regulate ale gurii |
|
Sedative |
acceleratii ritmice |
|
agenti narcotici |
deceleratii variabile ritmice |
|
Anencefalie |
Tabel XVII Conditii cu traseu sinusoidal si pseudosinusoidal ( adaptat dupa Van Geijn [9])
Monotonia
Cand interpretam traseele CTG, este foarte important sa gasim relatia dintre contractiile uterine si RCF, cu acceleratii si deceleratii. Un numar de deceleratii variabile pot da cresterea RCF cu mimarea unor "acceleratii", pe ocluzia venei ombilicale. Traseul tipic contine relatia de unu la unu cu contractia uterina succesiv, o forma rotunda de "acceleratie" si un traseu foarte monoton fetal. Acest traseu este foarte usor de neglijat, cu urmari catastrofale.
Fig nr. 312. Traseu monoton al RCF in travaliu, tradeaza o hipoxie grava, nereversibila
Metode adjuvante pentru monitorizarea fetala intrapartum
Prelevare de esantion de sange din partea fetala prezentata (Saling 1966 si 1994) cu interpretarea pH-ului (normal 7,25 - 7,30).[20,21]
Combinatia intre CTG si electrocardiografia fetala. Monitorizarea STAN asociaza analiza raportului T/QRS si stabilitatea segmentului S-T, alcatuind electrocardiograma fetala ECGF.
Analiza computerizata a CTG.
Trasee CTG la travalii declansate sau dirijate cu ocitocina sau prostaglandine
Travaliul declansat si/sau dirijat cu prostaglandine , respectiv ocitocina, prezinta particularitatea riscului hiperstimularii uterine cu hipertonie si hiperkinezie. Sindromul de suprastimulare se defineste ca aparitia tahisistoliei sau a hipertoniei asociata cu tahicardie fetala, deceleratii lungi sau pierderea variabilitatii bataie cu bataie. Aceste efecte secundare ale medicatiei utilizate pentru declansarea si dirijarea travaliului, creeaza conditii defavorabile intrauterine, prin scaderea fluxului placentar, cu posibilitatea aparitiei suferintei fetale .In continuare sunt prezentate cinci trasee cardiotocografice ale unor travalii declansate cu prostaglandine .
Fig. nr. 313. Pacienta M.M. - hiperkinezie la dilatatia de 5 cm, nastere pe cale vaginala, nou-nascut prematur, 2350 gr., Apgar 8/1' ( 1 cm / min )

Fig. nr. 314. Pacienta C.A., hiperkinezie uterina, nastere pe cale vaginala, nou-nascut 3600 gr, Apgar 9/1' (1 cm / min)

Fig.nr.315. Pacienta A.G. - hiperkinezie la dilatatia de 3 cm, nastere pe cale vagi-nala, nou-nascut de 3600 gr., Apgar 10/1', pH din cordonul ombilical 7,209 (1 cm / min)

Fig. nr. . Pacienta U.M. - hiperkinezie la dilatatie de 4 cm, nastere pe cale vaginala, nou-nascut de 2900 gr., Apgar 9/1', pH din cordonul ombilical 7,209.( 1 cm / min)

Fig. nr. 3 Pacienta S.B. - sindrom de hiperstimulare (hiperkinezie si deceleratii variabile prelungite ale ritmului cardiac fetal) la 4 cm dilatatie - operatie cezariana , nou nascut postmatur, 3750 gr., Apgar 9/1' si 10/5' (1 cm / min)
4.Examenul DOPPLER
Urechea umana aude frecvente intre 20 si 20000 Hz, ultrasunetele (US) sunt peste frecventa maxima auzibila.
In scop diagnostic, US se folosesc intre 2 si 10 MHz, rar 11-13 MHz.
Cand un fascicul de US traverseaza interfata dintre doua tesuturi umane diferite, caracterele acustice reflectate diferit sub forma de ecouri, se vor intoarce la sursa.
Acest fenomen fizic sta la baza ecografiei.
Aplicatia Doppler a ecografiei permite evidentierea deplasarii hematiilor in sistemul cardiovascular. Christian Doppler in 1842 a descris principiul fizic: daca o unda este reflectata de un obiect in miscare, frecventa undei reflectate e influentata de viteza reflectorului mobil.
Exista mai multe tehnici de examinare Doppler.[1,3,14,17]
Doppler cu emisie continua - se bazeaza pe receptia si penetrarea continua, simultana a US cu 2 cristale la acelasi transductor
Doppler cu emisie pulsata (P Doppler, PW) - emisia se face pulsator si US se receptioneaza alternativ.
Doppler pulsat cu frecventa mare de repetitie High PRF Doppler - este o varianta intermediara intre Doppler continuu si pulsat.
Ecografia bidimensionala Doppler codificata color (CD) sau Color Flow Map (CFM) asociaza la ecografia bidimensionala fluxul sanguin.
fluxul sanguin care se indreapta spre transductor este colorat in rosu
fluxul sanguin care se indeparteaza de transductor este colorat in albastru
zonele cu viteze medii variabile, cu turbulente, vor adauga verde la culoarea primara.
Ecografia Doppler cu codificarea color a puterii semnalului Doppler - power Doppler analizeaza doar intensitatea semnalului Doppler si informatia este monocroma.
In obstetrica se utilizeaza de obicei asocierea Doppler color (CD sau CFM) pentru orientarea in sistemul vascular, dupa care se introduce fereastra doppler pulsat (pDopp).
Indicii observati in cursul explorarii Doppler, care se utilizeaza cel mai frecvent sunt:
Indice de pulsatilitate IP = S - D /M (S - sistola, D - diastola, M = viteza medie in cursul ciclului cardiac).
Acest indice se utilizeaza in:
a. Ombilicala
aorta fetala
artera uterina
Indicele de rezistenta placentara Pourcelot (IR)
IR = S - D/S. Se utilizeaza in artera ombilicala si artera cerebrala medie.
Cele 3 situs-uri principale explorate in obstetrica cu ajutorul Doppler pentru velocimetrie sunt:
a. ombilicala
a. uterine
a. cerebrale
Indicatii ale examinarii Doppler
materne: HTA, diabet zaharat gestational, colagenoze, intoxicatii, droguri, boli hematologice, etc
fetale:
RCIU, antecedente de moarte fetala in utero
Sarcina multipla
Macrosomia
Izoimunizarea
anomalii ale sarcinii decelate ecografic: malformatii fetale, modificari ale placentei (grad II de maturare, grosimea anormala), modificari ale cordonului ombilical (cordon cu 2 vase, noduri de cordon, circulara, etc), patologia de lichid amniotic (oligo-hidramnios, suspiciune de meconiu)
urmarirea unor medicatii materne: tocolitice, hipotensoare, inhibitorii sintezei de prostaglandine, etc.
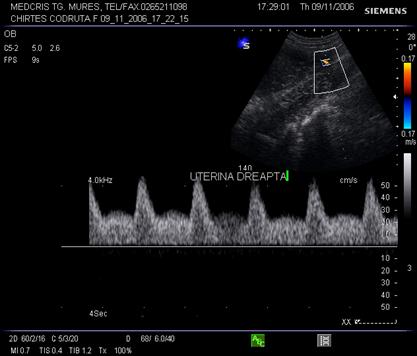
Doppler uterin
la nivelul arterei uterine, colonizare trofoblastica a arterelor uterospiralate, dupa cea de-a doua invazie, va duce la disparitia undei tip NOTCH dupa 26 saptamani.
Persistenta acestui "NOTCH" - incizura protodiastolica, are o valoare prognostica .[14,16,17,26] pe termen lung in trimestrul III de sarcina cu pericolul aparitiei de:
eclampsie/preeclampsie
RCIU
moarte fetala in utero
hematom retroplacentar
nastere prematura
HTA indusa de sarcina
diabet zaharat gestational
Ambele artere uterine, cu persistenta NOTCH - ului, au un prognostic si mai prost.
Fig. nr. 318. Doppler normal in artera uterina dupa 26 sapt.

Fig. nr. 319. Doppler cu notch prezent la 30 sapt. .Fat mic genetic pentru varsta gestationala.
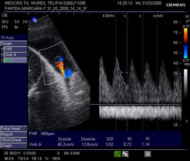
Doppler pe artera ombilicala
Daca fasciculul Doppler ("poarta") este bine centrat, sunetul este optim si spectrul este caracteristic pentru artera din cordonul ombilical. Linia de baza trebuie sa separe fluxul arterial de cel venos.
Derularea benzii cu spectrul Doppler va "curge" pana cand exista parametrii de calitate:
sunet caracteristic
minim 5 cicli consecutivi, identici, bine conturati, deasupra liniei de baza
fluxul venos continuu este sub linia de baza
Fig. nr. 320. Artera ombilicala, stanga indicele de pulsatilitate , dreapta indicele de rezistenta, valorile normale intre a 5 a si a 95 a percentila, scad cu cresterea fetala. ( adaptat dupa Merz [16] )

Fig. nr.321. Spectru Doppler normal pe artera ombilicala
Primele ecografii Doppler in sarcina cu antecedente patologice incep la 22 - 24 saptamani si se repeta la 28 - 32 sapt., sau chiar mai repede in cazul depistarii unor unde anormale.
Aspecte patologice anormale ale examenului Doppler ombilical
Daca rezistenta placentara creste, viteza reziduala in diastola se reduce, iar IR si IP cresc.
Aspectul IR este patologic peste percentila 90 din curba de referinta, daca frecventa cardiaca fetala este normala. De asemenea, daca doua examinari la 4 sapt. interval indica o stagnare a IR sau o scadere a fluxului diastolic, situatia este patologica.
In situatii de rezistenta placentara si mai crescuta, se poate ajunge la flux diastolic absent, sau componenta diastolica negativa (reverse flow) ceea ce indica o alterare grava a hemodinamicii fetoplacentare. [3,14,17]
Aparitia reverse flow in istmul aortic , la feti cu retard de crestere intrauterina, reprezinta un semn de prognostic infaust.[5]

Fig. nr. 322. Reverse flow la o sarcina cu insuficienta cardiaca si hidrotorax, 28 sapt.
Doppler in circulatia cerebrala
Creierul fetal primeste circa 40% din debitul cardiac total. Cele 3 scurtcircuite ale aparatului fetal cardio-vascular: canalul arterial, ductul venos si foramen ovale, permit devierea sangelui bine oxigenat spre creier, cord si suprarenale, in caz de hipoxie (teritorii privilegiate).
Daca cresterea tensiunii arteriale si a frecventei cardiace din cadrul hipoxiei fetale, sunt consumatoare mari de oxigen si autolimitate, redistribuirea fluxului de sange se face prin vasodilatatie compensatorie in "teritoriile privilegiate."
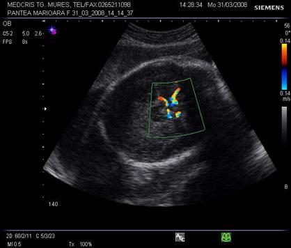
Poligonul Willis, sediul anastomozelor vasculare din principalele vase cerebrale, se identifica plecand de la sectiunea transversala a masurarii diametrului biparietal, prin baleierea sondei spre sectiunea bazei craniului.

Fig. 323 . Schema poligonului Willis
Fig. 324 .Poligonul Willis la o sarcina de 36 sapt., la DOPPLER cu CFM
Artera cerebrala medie are directia inainte si in afara, primeste sange din carotide si arterele vertebrale. Planul de reperare este cel al pedunculilor cerebrali, lateral de poligonul Willis. Ea reprezinta sediul preferat pentru velocimetria cerebrala.
In sarcina normala, rezistenta crescuta cerebrala se traduce in velocimetria cerebrala prin diastola scazuta. Aspectul normal al velocimetriei cerebrale permite aprecierea unei stari de bine fetale pentru 2 saptamani [17].
In cazul unei patologii gestationale (HTA, RCIU) repetarea examenului se va face la 2 saptamani, iar pentru valori anormale la 24 - 72 ore.
Velocimetria cerebrala , singura, nu aduce informatii asupra hipoxiei din circulatie.
Indicele Arbeille (raport cerebro-placentar) = IR a. cerebrala medie/IR a. ombilicala este supraunitar in conditii de sarcina fiziologica.
In afara fenomenelor de redistribuire a fluxurilor vasculare fetale, amplitudinea vitezelor diastolice la arterele cerebrale ramane inferioara fata de artera ombilicala, deci valoarea indicelui cerebroplacentar este supraunitara. Vasodilatatia cerebrala din redistribuirea fluxurilor sanguine, din suferinta fetala cronica, va determina o scadere semnificativa a IR cerebrala, cu trecerea indicelui cerebroplacentar in valoare subunitara.

Fig. nr.325. Doppler normal pe a. cerebrala medie , la 27 sapt.

Fig. nr. 326. Doppler pe artera cerebrala medie cu diastola crescuta si inversarea indicilor de rezistenta ( indicele Arbeille subunitar ) la fat de 34 sapt cu retard major de crestere intrauterina si sdr genetic
Doppler venos
Vena ombilicala - fluxul vascular poate fi apreciat in cordonul ombilical sau in abdomenul fetal. De obicei spectrul este monofazic daca fatul este in repaus motor si respirator.
Aspecte patologice ale spectrului Doppler constau in pulsatii venoase. Acestea par fiziologice, in timpul miscarilor respiratorii, iar patologice in trim. II si III in anomalii cardiace, aritmii sau insuficiente cardiace. Daca sunt asociate cu absenta fluxului end - diastolic in artera ombilicala, e vorba de insuficienta placentara si mortalitate de 50 - 60% [10,12].

Fig. nr. 327. Doppler cu pulsatii in vena ombilicala, in RCIU marcat la 34 sapt.
Ductul venos
In sectiune sagitala ductul venos apare ca o continuare a venei ombilicale spre vena cava inferioara. Inclinatia creste de la 7 la 48 la locul de unire cu vena cava. Aspectul este de "trompeta" de la circa 17 saptamani.[14,17]

Fig.nr. 328. Schema ductului venos( cu doua sageti, sageata unica indica directia fluxului sangvin,adaptat dupa Mihu[17] )
Aspectul eco Doppler normal in ductul venos este de sistola ventriculara, diastola ventriculara, contractie atriala, deci aspect trifazic.
Ductul venos creaza o comunicare intre sistemul venos periferic ombilical si sistemul venos central al fatului. Gradientul presional in ductul venos se modifica in caz de suferinta fetala.
Daca are loc centralizarea circulatiei, prin scaderea presiunii venoase centrale, scade presiunea in ductul venos in timpul contractiei atriale, cu aparitia reverse - flow.( unda a negativa ) [19]

Fig. nr.329. Ductus venosus( sageata ) la o sarcina de 16 sapt,. sectiunea sagitala fetala

Fig. nr. 330. Ductus venosus la doppler pulsat cu CFM , la o sarcina de 27 sapt. Se remarca aspectul normal trifazic al undei .
Fig. nr. 331. Ductus venosus la doppler pulsat si CFM , la 21 sapt, fat in sectiunea transversala a stomacului
Introducerea eco Doppler reprezinta o contributie importanta in evaluarea starii fetale de bine. La fatul imatur, traseele CTG neclare pot fi insotite de valori ale indicilor Doppler ce transeaza diagnosticul. In opinia lui Schmidt si a colaboratorilor sai [22], aparitia modificarilor Doppler, preced cu 12 zile modificarile in ritmul cardiac fetal, inregistrat prin CTG. Alti autori raporteaza intervale de 4 pana la 21 zile [2,4,13].
Bibliografie
Badea R.I.,Dudea S. M., Mircea P. A.,Stamatian F.,Tratat de Ultrasonografie Clinica, Editura Medicala - Bucuresti 2000, pag 612-614.
Bekedam D.J.,Visser G.H.A.,van der Zee A.G.J.,Snijders R.J.M.,Poelmann-Weesjes G. : Abnormal velocity waveforms of the umbilical artery in growth-retarded fetus : relationship to antepartum late heart deceleration and outcome. Early Hum. Dev. 24, 1990, pag. 79-89, in Merz E., Ultrasound in Obstetrics and Gynecology, second edition , Georg Thieme Verlag 2005 , vol 1, pag 481-514.
Callen P.W., Ultrasonography in Obstetrics and Gynecology , Fifth Edition , Saunders Elsevier 2008, pag 780-807.
Chaoui R., Hoffman H., Zienert A., Bollman R., Halle H., Grauel E.L.: Klinische Bedeutung und fetal outcome beim enddiastolische Flowverlust in der A. Umbilicalis und / oder fetale Aorta :analyse von 51 Fllen. Geburtsh. und Frauenheilkd. 51, 1991,pag. 532-539, in Merz E., Ultrasound in Obstetrics and Gynecology, second edition , Georg Thieme Verlag 2005 , vol 1, pag 481-514.
Del Rio M.,Martinez J.M., Figueras F., Bennasar M., Olivella A., Pallacio M., Coll O., Puerto B., Gratacs E.: Doppler asessment of the aortic isthmus and perinatal outcome in preterm fetuses with severe intrauterine growth restriction. Ultrasound Obstet Gynecol 2008; 31 : nr.1,pag 41-47.
Depp R. : Clinical Evaluation of Fetal Status , in Scott J.R., DiSaia Ph. J., Hammond C.B., Spellacy W. : Obstetrics and Gynecology , Danforth's sixth edition, J. B. Lippincottt Company,1990, pag. 315-334.
Diculescu D.: Monitorizarea ritmului cardiac fetal, Ed. Napoca Star, Cluj 2002, pag.14-103.
Freeman R.K.,Garite T.J., Fetal heart rate monitoring. Williams and Wilkins, Baltimore , 1981, Geijn H.P. van: Fetal Monitoring I, Modul 14, pag.1-64 in Postgraduate Training and Research in Reproductive Health , Cooperative Projekt of South East Asian Medical Faculties and the European University Women's Hospitals and Medical Schools of Freiburg, Amsterdam, Basel, Dsseldorf,Bonn and Berlin .
Geijn H.P. van: Fetal Monitoring I, Modul 14, pag.1-64 in Postgraduate Training and Research in Reproductive Health , Cooperative Projekt of South East Asian Medical Faculties and the European University Women's Hospitals and Medical Schools of Freiburg, Amsterdam, Basel, Dsseldorf,Bonn and Berlin .
Gudmundson S., Tulzer G., Hutha J.C.,Marsal K.: Venous Doppler in the fetus with absent end-diastolic flow in the umbilical artery. Ultrasound Obstet. Gynecol. 7 , 1996, pag. 262-267.
Hon E.H. : An Atlas of Fetal Heart Rate Patterns. Harty Press Incorporated , New Haven 1968. Depp R. : Clinical Evaluation of Fetal Status , in Scott J.R., DiSaia Ph. J., Hammond C.B., Spellacy W. : Obstetrics and Gynecology , Danforth's sixth edition, J. B. Lippincottt Company,1990, pag. 315-334.
Indik J., Chen V., Reed K.L.: Association of umbilical venous with inferior vena cava blood velocities . Obstet. Gynecol. 77, 1991, pqg. 551-557.
Joupilla P., Kirkinen P.: Noninvasive assessment of fetal aortic blood flow in normal and abnormal pregnancies. Clin. Obstet. Gynecol. 32 , 1989 , pag. 703-709.
Kurjak A., Chervenak F. A., Donaid School Textbook of Ultrasound in Obstetrics and Gynecology , Jaypee Brothers Medical Publisher, 2004, pag 395 - 438.
Manning F.A., Platt L.D., Sipos L.: Antepartum evalution: development of a fetal biophysical profile scoring. Amer. J. Obstet. Gynecol. 136, 1980, pag.787-795.
Merz E., Ultrasound in Obstetrics and Gynecology, second edition , Georg Thieme Verlag 2005 , vol 1, pag 168-174,481-514.
Mihu D.: Ecografia Doppler in obstetrica si ginecologie.Ed. Clusium, Cluj- Napoca, 2001.pag.17-214.
Ravenswaay-Arts C.M.A. van,Kollee L.A.A., Hopman J.C.W., Stoelinga G.B.A., Geijn H.P. van: Heart rate variability; clinical aplicability in adults. Annals of International Medicine 118, 1993, pag. 436-447.
Rumack C. M. , Wilson S.R., Charboneau W., Johnson J.A.M.,Diagnostic Ultrasound, third edition , Elsevier Mosby vol 2 pag 1513
Saling E.: Das Kind im Bereich der Gebursthilfe. Georg Thieme Verlag ,Stuttgart 1966 in Scott J.R., DiSaia Ph. J., Hammond C.B., Spellacy W. : Obstetrics and Gynecology , Danforth's sixth edition, J. B. Lippincottt Company,1990, pag. 315-334.
Salling E. : Internittent fetal blood analysis during labour. A Critical appraisal of Fetal Surveillance . Excerpta Medica, Elsevier, Amsterdam, 1994 , pag. 548-554,
Schmidt W., Rhle W., Ertan A.K.,Boos R.,Gnirs J.: Doppler-Sonographie-Perinatologische Daten bei Fllen mit enddiastolischem Block bzw. Reverse Flow. Geburtsh. und Frauenheilkd. 51, 1991,pag. 288-292, in Merz E., Ultrasound in Obstetrics and Gynecology, second edition , Georg Thieme Verlag 2005 , vol 1, pag 481-514.
Vries J.I.P. de,Visser G.H.A.,Prechtl H.F.R.: The emergence of fetal behavior. I . Qualitative aspects.Early Hum. Dev. 7, 1982,pag. 301-322.
Woerden E.E. van, Geijn H.P. van : Factor influencing the fetal heart rate, in Geijn H.P. van: Fetal Monitoring I, Modul 14, pag.1-64 in Postgraduate Training and Research in Reproductive Health , Cooperative Projekt of South East Asian Medical Faculties and the European University Women's Hospitals and Medical Schools of Freiburg, Amsterdam, Basel, Dsseldorf,Bonn and Berlin .
Woerden E.E. van, Geijn H.P. van : Heart rate patterns and fetal movements., in Geijn H.P. van: Fetal Monitoring I, Modul 14, pag.1-64 in Postgraduate Training and Research in Reproductive Health , Cooperative Projekt of South East Asian Medical Faculties and the European University Women's Hospitals and Medical Schools of Freiburg, Amsterdam, Basel, Dsseldorf,Bonn and Berlin .
Yu C.K.H.,Khouri O.,Onwudiwe N., Spiliopulos Y., Nicolaides K.H.: Prediction of pre-eclampsia by uterine artery Doppler imaging : relationship to gestational age at delivery and small-for-gestational age. Ultrasound Obstet Gynecol 2008; 31 : nr.3,pag 310-313.
|
Politica de confidentialitate | Termeni si conditii de utilizare |
Vizualizari: 14812
Importanta: ![]()
Termeni si conditii de utilizare | Contact
© SCRIGROUP 2025 . All rights reserved