| CATEGORII DOCUMENTE |
| Alimentatie nutritie | Asistenta sociala | Cosmetica frumusete | Logopedie | Retete culinare | Sport |
HIPERTENSIUNEA PULMONARA PRIMARA SI SECUNDARA (HTPP SI HTPS)
1852 Beutner: presiunea arteriala pulmonara (PAP) la caini cu torace deschis are valori mai mici decat cele din circulatia aorto-sistemica
1856 Chauvau observatii similare la cal
1941 Cournand & Ranges: primele cateterisme de atriu drept la om
1947 Bloomfield et al.: cateterismul de AP
1953 Fowler et al.: valorile presionale normale in artera pulmonara la omul sanatos sunt de 11-29 mm Hg pentru PAP sistolica, 4-13 mm Hg pentru PAP diastolica si 8-9 mm Hg pentru PAP medie
1976 Fishman: prima clasificare etiologica a HTP
Definitii
HTPP: boala de cauza neclara caracterizata printr-o presiune medie in artera pulmonara > 25 mm Hg in repaus si > 30 mm Hg la efort (NIH-PPH, 1993)
HTPP presiune sistolica in artera pulmonara (prin velocitatea de flux regurgitant tricuspidian la eco-Doppler de 3,0-3,5 m/s) > 40 mm Hg in repaus, fara cauza evidenta (OMS, 1998)
Date presionale aditionale: PCP < 15 mm Hg cu gradient transpulmonar (diferenta dintre presiunea arteriala pulmonara si cea venoasa postcapilara sau din AS; DTP = PAP - PVP) > 10 mm Hg; rezistenta vasculara pulmonara > 120 dyne/s/cm-5
Clasificarea OMS (1998) a HTP
Hipertensiune pulmonara arteriala
Hipertensiune pulmonara venoasa
Hipertensiune pulmonara asociata unor boli ale aparatului respirator si/sau hipoxemiei
Hipertensiune pulmonara datorata unor boli cronice trombotice sau embolizante
Hipertensiune pulmonara datorata unor boli ce afecteaza direct vascularizatia pulmonara
1. HTP arteriala
HTP primara: sporadica sau familiala
HTP legata (determinata) de:
boli de colagen: PR, LES, sclerodermie, vasculite sistemice, CREST (Calcinoza, fen. Raynaud, Esofag diskinetic, Sclerodactilie, Telangiectazii)
sunturi stanga-dreapta congenitale
hipertensiune portala (din ciroza hepatica)
infectia cu HIV
medicamente (fenfluramina, dexfenfluramina) sau substante toxice (cocaina, amfetamina, ulei toxic de rapita, L-triptofan, monocrotalina)
HTP persistenta a nou-nascutului
2. HTP venoasa
Afectiuni ale cordului stang determinind staza venoasa pulmonara retrograda in cadrul evolutiei spre insuficienta cardiaca: valvulare sau miocardice ventriculare (sau atriale)
Compresii extrinseci ale venelor pulmonare centrale:
mediastinita fibrozanta (post-radioterapica, prin histoplasmoza)
adenopatii/tumori mediastinale
Boala veno-ocluziva pulmonara
Alte boli
3. HTP din boli respiratorii - hipoxemie
Bronhopneumopatia obstructiva cronica (BPOC)
Boli pulmonare interstitiale cronice
Tulburari de control ventilator:
central: apneea de somn ('blestemul Ondinei')
periferic: apneea obstructiva
Boli cu hipoventilatie alveolara:
deformari severe ale custii toracice
boli restrictive ale pleurei (pahipleurite intinse)
afectiuni musculare generale
Expunerea cronica la mare altitudine
Boala pulmonara a nou-nascutului
Displazia alveolo-capilara
4. HTP din boala tromboembolica
Obstructia tromboembolica proximala a arterelor pulmonare (vasele mari) determinata de:
trombi voluminosi
tumori endoluminale (rar)
Obstructia tromboembolica distala a arterelor pulmonare (vasele mici) determinata de:
embolismul pulmonar cronic (trombi, tumori, paraziti si oua de paraziti, materiale straine: talc, solutii perfuzabile lipidice)
micro sau macrotromboze in situ
siclemie (sicle cell disease) si alte hemoglobinopatii
5. HTP prin afectare directa a vaselor
Inflamatorii: schistosomiaza, sarcoidoza vasculite pulmonare izolate, alte boli.
Displazice: hemangiomatoza capilara pulmonara, stenoze arteriale pulmonare periferice multiple, alte displazii.
Epidemiologia HTP
HTPS este forma cea mai frecventa de HTP (>90%)
Cauza cea mai frecventa de HTPS este BPOC, urmata de afectiunile cordului stang (boli miocardice - ischemice si non-ischemice, valvulopatii mitrale si aortice, hipertensiune arteriala) si de TEP cronic
HTPP este o forma rara de HTP, mai frecventa la femei, cu prevalenta de 1-2 cazuri la un milion
Sindroame cvasiidentice cu HTPP s-au intilnit dupa medicamente anorexigene (scoase din uz - risc de HTP = 6,3-20) si se mai observa dupa AINS si unele chimioterapice precum si dupa consumul cronic de ceai ce contine Crotalaria (ceai de 'tufe') sau dupa inhalarea unor droguri (crank, cocaina)
Mecanismele generale ale HTP
Obliterare sau reducere de pat vascular pulmonar (prin distructie sau trombembolism cronic)
Crestere a volumului sanguin din fata VD (prin staza retrograda din AS sau sunturi stanga-dreapta)
Vasoconstrictie determinata de diversi factori endogeni (locali ori generali) sau exogeni
Alterari morfologice ale arterelor pulmonare (prin hipertrofie a FMN vasculare, muscularizare a unor vase non-musculare, inflamatie cronica, proliferare a intimei, fibroza excentrica intra- si peri-arteriala)
Microtromboze in situ
Restrictie determinata de boli ale custii toracice
Cauze toracice de hipoventilatie alveolara
Boli neuromusculare: distrofii musculare, scleroza laterala amiotrofica, sindroame post-poliomielita.
Diformitati ale custii toracice:
cifoscolioza deformanta
deformari toracice post-chirurgicale
fracturi costale vindecate vicios
Retractii pleurale:
pahipleurite intinse de diverse etiologii
scleroze fibroase pleuro-pulmonare post-TBC
Patogenia HTP primare
Vasoconstrictie, determinata de un factor neclar local sau circulant (NE, 5-HT, tromboxani, ET-1)
Arteriopatie pulmonara cu remodelare a peretilor arteriali pulmonari avind trei subtipuri:
hipertrofie simpla a mediei arteriale (forma general prezenta, precoce si potential reversibila)
arteriopatie pulmonara plexogenica cu hipertrofie a mediei, fibroza intimala si leziuni ale intregului perete arterial (forma avansata si ireversibila)
arteriopatie pulmonara trombotica cu hipertrofie a mediei si fibroza excentrica nonlaminara a intimei (determinata secundar de trombozele locale)
Microtromboze in situ
Origini posibile ale HTPP
Forma familiala constituie 6-10% din cazuri; gena implicata este localizata pe cromozomul 2, locusul 2q33, si este conectata cu functia BMPR2 (bone morphogenetic protein receptor 2) care apartine superfamiliei TGF-β; BMPR2 produce apoptoza in unele tipuri de celule si se presupune ca alterarea semnalizarii in sistem conduce la cresteri anormale ale endoteliului si proliferarii ca raspuns la diverse injurii sau contacte cu substante exogene
Formele sporadice au si ele mutatii in gena BMPR2 (diverse) dar posibil si in alte gene neidentificate
Linking genetic HTPP cu telangiectazia hemoragica ereditara (defecte pe cromozomii 9 si 12)
Patogenia (probabila) a HTP primara

Transductia de semnal in familia TGF-β
Alterari ale echilibrului vasoactiv
Hipoxemie alveolara (Motley 1947; Fishman et al., 1952: O2 10% produce o crestere semnificativa a PAP) - mecanism de aparare privind raportul V/P
Hipercapnie si acidoza (ambele vasoconstrictoare)
Anomalii in productia si reglarea NO, induse de inhibitia NO-sintazei cel mai probabil prin hipoxemie
Anomalii ale canalelor de K+ canale K reglate de voltaj (Kv) alterari in gena subunitatii α a Kv 1.5
Eliberare locala de vasoconstrictoare din trombii generati in situ (NE, tromboxani, 5-HT)
Hiperproductie endoteliala de ET-1 si proliferare de receptori ETA vasoconstrictori (stimul ?)
Vasoconstrictoare exogene (pe fond predispus ?).
Cauze de vasoconstrictie pulmonara
Contributia ET-1 la vasoconstrictie

Consecinte ale vasoconstrictiei cronice

Mecanismele HTP din restrictia toracica

Mecanismele HTP din infectia cu HIV

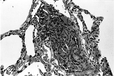
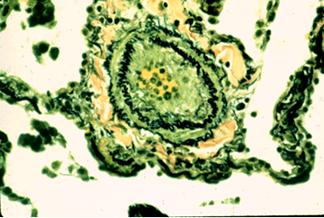
Aspect histologic arteriolar de HTP primara Leziuni plexiforme intr-un caz de HTP primara

Manifestari clinice ale HTP primare
Dispnee de efort; primul simptom, prezent cu 2-5 ani inaintea diagnosticului de HTPP; la bolnavii cu BPOC severa poate aparea ortopnee din cauza nevoii de participare la respiratie a muschilor auxiliari si din cauza hiperinflatiei pulmonare
Dureri toracice, deseori greu de diferentiat de angina pectorala (posibila si certa insa in circa 8-9% din cazuri in primul rand din cauza hipoxemiei)
Sincope sau lipotimii de efort (din cauza imposibilitatii de crestere adaptativa a debitului cardiac)
Fenomene Raynaud; semn de prognostic nefavorabil (apare mai ales in formele avansate de HTPP)
Edeme perimaleolare (la aparitia insuficientei VD)
Manifestari clinice ale HTP secundare
Simptomatologie mascata de boala cauzala: acuzele subiective apar deseori dupa decompensarea VD
Chei diagnostice specifice instalarii HTP la un bolnav cu suferinta clara de cord stang sau cu o cardiopatie congenitala cu sunt stanga-dreapta:
microhemoptizii (rar: hemoptizii importante)
astenie, anterior inexistenta
aparitia unor crize de durere toracica (AP ?)
sincope de efort
raguseala (prin compresia nervului laringeu stang data de artera pulmonara dilatata)
Fenomene congestive drepte: turgescenta jugulara, hepatomegalie pulsatila, edeme perimaleolare
Date de examen obiectiv in HTP
Cianoza a buzelor si patului ungheal
Hipocratism digital (dupa multi ani de evolutie)
Galop S3 de ventricul drept
Accentuare a componentei pulmonare a Z2 in spatiul II intercostal stang, uneori cu dedublare de Z2
Suflu holosistolic in spatiul IV parasternal drept prin regurgitare tricuspidiana (direct corelata cu gradul HTP); suflul se accentueaza in inspir (caracteristic)
Puls sistolic paraxifoidian (semnul Harzer) dat de contractiile unui ventricul drept suprasolicitat
Turgescenta jugulara grad III-IV cu puls sistolic
Hepatomegalie pulsatila - la aparitia insuficientei VD
Date paraclinice in HTP
ECG: semne de suprasolicitare AD (P 'pulmonar') si VD (unde R ample in V1 cu R/S > 1)
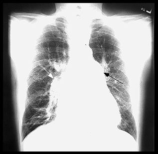
Rx cord-pulmon: circulatie pulmonara 'incarcata' cu ramurile AP dilatate in hiluri si extremitati 'retezate' avind periferie mult mai clara decat normal, bombare a conului arterei pulmonare, semne de hipertrofie VD
Ecocardiograma: marire a cavitatilor drepte (VD si AD), miscare paradoxala a septului interventricular (cu 'protruzie' a acestuia spre cavitatea VS mai ales in formele severe), regurgitare tricuspidiana cu jet de minimum 3,0 m/s la ex. Doppler, uneori regurgitare pulmonara (insuficienta pulmonara); in forme severe de HTP pot aparea semne de debit transmitral mic.
ECG in HTP primara
ECG in HTP primara

Modul de formare a undei P

HVD izolata intr-un caz de HTP primara
HVD izolata intr-un caz de HTP primara

ECG in HTP secundara (stenoza mitrala)

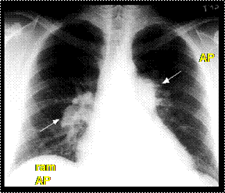
Imagine radiologica de HTP primara

Imagine radiologica de HTPS (DVPA) Imagine radiologica de HTPS (stenoza mitrala)

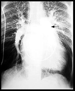
HTP secundara incipienta (DSA) HTPS severa (DSA Eisenmengerizat)

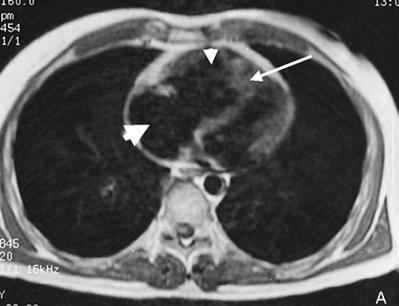
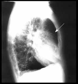
Imagine Rx. de profil cu HVD Aspect CT de HTP primara

Algoritmul diagnostic de HTP



Hipertensiunea porto-pulmonara
Hipertensiunea portopulmonara (HTP-P) este o asociere patologica intalnita la bolnavii cu ciroza hepatica, descrisa de Mantz si Craige in 1951
Intr-o serie de 17.901 autopsii neselectionate s-au gasit prevalente de HTP de:
0,13% in intreaga serie
0,73% la cei cu ciroza hepatica (de 5,6 ori mai mare decat frecventa asteptata)
Frecventa in clinica a HTP-P este de 3,5-12,5% la bolnavii cu ciroza hepatica, fiind direct corelata cu gravitatea afectarii morfo-functionale hepatice.
Cauzele hipertensiunii porto-pulmonare
Cauza hipertensiunii porto-pulmonare este necunoscuta; explicatia cea mai larg acceptata consta in secretia in patul vascular splanhnic a unei substante vasoactive pulmonare care se inactiveaza fiziologic in ficat si care ajunge in plaman prin circulatia colaterala porto-sistemica
Substantele implicate, gasite cu niveluri serice mai mari decat normal in ciroza hepatica, sunt:
endotelina-1
serotonina
interleukina-1
glucagonul
secretina
VIP (vasoactive intestinal peptide)
Prezentarea clinica a hipertensiunii porto-pulmonare
Boli posibile ce se recunosc inaintea HTP-P (cu 2-15 ani mai devreme):
ciroza hepatica
tromboza de vena porta
scleroza venelor hepatice
anomalii congenitale ale circulatiei portale
fibroza peri-portala (fara ciroza hepatica)
Diagnosticul de HTP-P se bazeaza pe aceleasi date clinice ca in HTPP:
dispnee de efort, dureri toracice difuze, sincope
accentuare a componentei pulmonare a Z2, suflu sistolic de regurgitare tricuspidiana
ECG si radiologic: semnele obisnuite de HTP
Boala veno-ocluziva pulmonara
Boala veno-ocluziva pulmonara (BVOP) este o forma rara de HTP, greu de diagnosticat intra-vitam
Suspiciunea de BVOP poate fi sugerata de prezenta unei HTP severe cu presiuni normale in cavitatile stangi insotite de semne radiologice de congestie venoasa si de un aspect patat difuz al distributiei radiotrasorului pe scintigrama de ventilatie/perfuzie pulmonara
BVOP este singura forma de HTP cu presiune mare in capilarul pulmonar (masurata direct si nu estimata din presiunile cavitatilor stangi)
Diagnosticul de certitudine se poate pune numai prin examen histopatologic (post-transplant, post-mortem)
Aspecte anatomopatologice ale BVOP
Venele si venulele pulmonare prezinta leziuni ale intimei, fibroase si excentrice, cu obliterari ale lumenului vascular si cu canale sinusoidale care se intind pe segmente venoase de mare lungime (se coreleaza cu aspectul radiologic de benzi venoase)
Venele pulmonare se pot arterializa, cu formarea unui strat muscular medial distinct, prins strins de lamina interna si de cea externa
Capilarele pulmonare sunt intens congestionate (din cauza obliterarii venelor post-capilare) cu spatiul interstitial edematiat si vasele limfatice mult dilatate (leziuni care pot produce frecvent microhemoragii alveolare si/sau interstitiale)
Clase functionale de HTP primara (OMS 1998)
Clasificare clinica derivata din clasificarea NYHA a insuficientei cardiace cronice, bazata pe capacitatea de efort dupa stabilirea diagnosticului de HTP
Clasa I: fara afectare a capacitatii de efort; viata obisnuita nu produce nici un fel de simptome
Clasa II: usoara afectare a activitatii fizice; fara simptome in repaus dar cu dispnee, astenie si eventual ameteli (stari pre-lipotimice) la efort
Clasa III: limitare marcata a activitatii fizice; fara simptome in repaus dar cu dispnee, astenie, dureri toracice si sincope la cele mai mici eforturi
Clasa IV: imposibilitate a oricarei activitati fizice; semne clinice de insuficienta de cord drept
Evolutie
Evolutia si prognosticul HTPP sunt dependente de starea hemodinamica in momentul diagnosticului, de raspunsul la vasodilatatoare si de accesibilitatea la tratamentele moderne
In serii relativ mari de bolnavi din Franta si Anglia mediana supravietuirii de la momentul diagnosticului, in evolutie naturala, este de circa 3 ani iar in registrul NIH (SUA) aceasta este de 2,8 ani
Prognosticul depinde de valorile presionale din AP si de gradul de afectare a debitului cardiac (mortalitatea este de aproape 100% pe an la cei cu HTPP severa)
A.1. Tratamentul medicamentos al HTP primare
Anticoagulare orala cronica
acenocumarol 2-4 mg/zi sau warfarina 2-10 mg/zi
INR tinta = 2,0-2,5
Vasodilatatoare standard
epoprostenol (PGI2) in perfuzie i.v. 2-20 ng/kg/min (in tratamente acute) sau 100-150 ng/kg/min (in tratamente cronice)
adenozina in perfuzie i.v. 50-200 mg/kg/min
NO (oxid nitric) in inhalatii, concentratie 5-80 ppm
nifedipina 30-240 mg/zi (preferabil forme retard)
diltiazem 120-900 mg/zi
Oxigenoterapie (2-3 l/min pe sonda nazala - minimum 15 ore/zi) - numai la PaO2 < 55 mm Hg
Tratamente potentiale in HTP primara
Derivati de epoprostenol (prostaciclina, PGI2 - care este greu de administrat i.v. in terapie cronica): iloprost in inhalatii, beraprost oral
Antagoniste neselective ale receptorilor ET-1
bosentan 2 x 62,5-125 mg/zi - dovedit recent ca util in HTPP prin cresterea capacitatii de efort si a IC cu 1,0 l/min/m2, concomitent cu scaderea rezistentei pulmonare cu 223 dyn.s.cm-5
Inhibitoare de PDE 5 (care are frecvent niveluri serice mari la bolnavii cu HTPP):
sildenafil 50-100 mg/zi (testat pe serii mici cu efecte favorabile pe termen lung)
Alegerea tratamentului in HTPP

A.2. Tratamente nemedicamentoase
Transplantul cord-pulmon: este indicat la bolnavii cu clase functionale III-IV (in unele cazuri se face transplant pulmonar unilateral) - risc de bronsiolita obliterativa; supravietuire la un an: 70-80%
Septostomia atriala cu balonas prin cateterism: creaza un sunt dreapta-stanga urmat de scaderea presiunilor din cavitatile drepte si reducerea HTP (risc de hipoxemie severa sau de EPAC)
Trombendarterectomia pulmonara: interventie terapeutica de electie pentru cazurile cu HTP prin trombi in arterele mari; mortalitate actuala < 5%
Insertia de filtre in vena cava inferioara: trebuie aplicata precoce la cei cu risc tromboembolic cronic
A.3. Tratamente tentante dar incorecte
Inhibitoare ale enzimei de conversie (in contrast cu efectele favorabile asupra hipertensiunii sistemice)
Digitalice (in absenta fibrilatiei atriale)
Nitrati organici (pentaeritritol tetranitrat, izosorbid dinitrat, izosorbid mononitrat) - cresc suntul pulmonar
Verapamil - bun vasodilatator arterial pulmonar dar cu cel mai puternic efect inotrop negativ dintre ACCa (risc de decompensare hemodinamica a VD)
β-blocante adrenergice in prezenta fenomenelor de insuficienta cardiaca (cord pulmonar cronic)
Imunosupresoare (cazuri istorice de HTP aparuta pe fondul unor boli de colagen - ignorate diagnostic).
B. Tratamentul HTPS
Conditie de baza: tratamentul bolii de fond
corectii anatomice (valve, sunturi, s.a.)
tratamentul corect al insuficientei cardiace
Gradul HTPS este factor determinant al indicatiei de corectie chirurgicala in valvulopatii (non-indicatie la valori ale PAP > 80% din PA sistemica) si in unele cardiopatii congenitale cu sunt stanga-dreapta
Tratamentul vasodilatator indicat in HTPP nu are nici un rol in terapia HTPS (sau este chiar contraindicat)
Evolutia HTPS urmeaza in paralel evolutia bolii de fond cauzale si este reversibila dupa controlul corect al acesteia cu exceptia HTP din bolile cu sunt (dar nu si daca PAP > 50-60 mm Hg)
|
Politica de confidentialitate | Termeni si conditii de utilizare |
Vizualizari: 6280
Importanta: ![]()
Termeni si conditii de utilizare | Contact
© SCRIGROUP 2025 . All rights reserved