| CATEGORII DOCUMENTE |
| Alimentatie nutritie | Asistenta sociala | Cosmetica frumusete | Logopedie | Retete culinare | Sport |
Hidropsul fetal
1.Hidropsul fetal si incompatibilitatea de factor Rhesus
Definitie - este cea mai severa evolutie a bolii fetale hemolitice. Anemia hemolitica este determinata de anticorpii IgG care s-au format ca raspuns la incompatibilitatea de grup sanguin feto-matern (incompatibilitate Rh, incompatibilitate Kell sau alte forme mai putin comune).
Hidropsul fetal apare la scaderea Htc la 15% si a Hgb sub 5 g/dl (in mod normal Htc = 34 - 42%, iar Hb = 11,5 - 14,4 g/dl). Rezultatul este anemia, cu fluidul in exces ce se acumuleaza subcutanat (edem subcutanat generalizat), cavitate peritoneala (ascita), cavitate pleurala (lichid pleural) si/sau in pericard. Urmeaza cardiomegalia, spleno si hepatomegalia.
Netratat, fatul cu hidrops moare sau se naste cu anemie hemolitica, hipoxie si acidoza.
Incidenta in Europa centrala este de cca 1 la 1000 de sarcini.[7]
Etiologie si patogeneza
Sensibilitatea sistemului imun matern este data de antigenele fetale ce sunt eritrocite. Acestea ajung in circulatia materna la delivrenta, prin microtransfuzii. Introducerea imunoprofilaxiei cu imunoglobulina antiD, de peste 30 de ani a scazut imunizarea in sistem Rh, ea mai apare totusi daca se omite administrarea sau doza e prea mica sau in cazul avorturilor, sarcinilor ectopice, molare. Astazi sunt mai comune reactii non-D antigenice. (Kell, Duffy, Kidd, etc).
Mecanismele compensatorii. Imunoglobulinele anti D si anti Kell IgG materne traverseaza placenta si distrug eritrocitele antigenice fetale. Initial anemia fetala e compensata prin cresterea eritropoezei in ficat si splina, rezultand eritrocite imature - reticulocite, ce au hemoglobina tip F ce retine O2 si creste secundar PCO2. Cand hematocritul scade cu 50%, anemia duce la hipoxie tisulara si acidoza. Rezultatul este centralizarea circulatiei, ce sustine organele vitale ca SNC, miocardul, rinichiul si glandele suprarenale, scazand fluxul periferic. Hipoxia tisulara modifica integritatea endoteliului si fluidul se extravazeaza in cavitatea abdominala, edemele cutanate generalizate se dezvolta; in final lichidul pleural si pericardic se asociaza in hidropsul generalizat. Rezultatul este insuficienta cardiaca, hipoxie, acidoza si moarte fetala intrauterina.[1,7,8]
Semnele ecografice [2,3,7]
- cresterea volumului hepatic
- ingrosarea placentara (edem placentar)
- cardiomegalie (creste diametrul biventricular)
Aceste semne apar la un mic numar de feti inaintea dezvoltarii hidropsului.
- viteza maxima in fluxul sanguin fetal creste: aorta, artera cerebrala medie, ductus venosus.
Nu se poate evalua decat orientativ gradul de anemie prin doppler.Viteza maxima sistolica in arteracerebrala medie, trebuie sa nu depaseasca , grosier, dublul varstei gestationale in saptamani, a sarcinii, in caz contrar e vorba de o anemie fetala severa.
Semnele hidropsului fetal:
edeme cutanate
ascita
lichid pleural
lichid pericardic
hepatosplenomegalie
cardiomegalie
Diagnostic diferential [4,7]
Hidropsul imun este cauzat de incompatibilitate in sistemul de grup sanguin Rhesus D, C, E, c, e sau Kell, mai rar de catre alte grupuri de antigene, cum ar fi JKa (Kidd), Fya (Duffy), Kpa,b, K, S, Doa, Dia,b, Fyb, Huch, Jkb, Lua, m, N, S, U, Yta.
Hidropsul nonimun poate fi:
idiopatic
prin anemie fara izoimunizare (ex α talasemie)
prin infectii intrauterine: parvovirus B19, CMV, HSV, sifilis, toxoplasma, etc.
cardiovascular: defecte congenitale (tetralogia Fallot, canal atrioventricular, boala Ebstein), tulburari de ritm, tumori intracardiace, miocardite, etc.
pulmonar: malformatii adenomatoide, hernie diafragmatica, chiste bronhogenice, sechestre pulmonare, chilo sau hidrotorax congenital.
renal: sindrom Prune Belly, foarte rar obstructie de tract urinar,
hepatic: hepatite congenitale, atrezie de cai biliare, etc.
aneuploidii: trisomii, sindrom Turner
sarcina multipla cu sindrom transfuzor-transfuzat,
cystic higroma
teratomul sacrococcigian
peritonita meconiala
Proceduri invazive de diagnostic
Ideal ar fi ca in incompatibilitatile Rh, anemia fetala sa fie diagnosticata si tratata inaintea instalarii hipoxiei. Semne indirecte pot fi utilizate pentru prognosticul anemiei:
semne ecografice (descrise mai sus)
eco Doppler - centralizarea circulatiei
anticorpi maternali anti Rh cu crestere progresiva au importanta doar in prezenta semnelor ecografice manifeste de incompatibilitate si daca nu au fost foarte mari inca de la inceputul sarcinii.
Cordocenteza este singura care furnizeaza tipul de grup sanguin fetal, evalueaza precis anemia si poate asigura tratament prin transfuzie intrauterina.
Indicatii absolute de cordocenteza la 18 - 19 saptamani:
in prezenta antecedentelor cu incompatibilitate Rh cu anemie fetala si atc ridicati anti Rh.
semne ecografice de hidrops fetal sau de cardiomegalie sau ascita in crestere cu atc Rh prezenti.
cresterea rapida a atc anti Rh sau titru de peste 1:16 in trim II sau 1:32 in trim III.
Dupa 34 de saptamani, o pacienta cu titru ridicat de anticorpi sau antecedente de anemie fetala hemolitica, va beneficia mai degraba de inducerea travaliului si de terminarea sarcinii decat de cordocenteza.
Tehnica cordocentezei. Pe cale abdominala cu anestezie locala, sub ghidaj ecografic, aproape de insertia in placenta a cordonului ombilical, se punctioneaza vena si se aspira 1-2 ml sange fetal. Daca Htc este sub 30%, se poate continua procedura diagnostica cu una terapeutica, de administrare a sangelui pentru corectarea anemiei.
In cazul in care partenerul este heterozigot pentru antigenul in cauza, sau exista indicatii suplimentare pentru cariotip , sau antecedente de izoimunizare agresiva, se poate practica punctia de vilozitati choriale sau amniocenteza, cu determinarea prin analiza genelor - PCR din ADN, daca genele D alele sunt prezente sau absente. Riscul de pasaj a hematiilor fetale in circulatia materna exista in acest caz, in special in punctia - biopsie de vilozitati choriale.[7]
Prognosticul incompatibilitatii Rh
foarte bun doar daca anemia fetala fara hidrops poate fi tratata;
prost daca hidropsul fetal a aparut, mai ales sub 24 de saptamani.
Evaluarea riscului
prin antecedentele materne
prin atc anti Rh si evolutia acestora
homo si heterozigotismul paternal (heterozigotismul implica 50% sanse ca fatul sa nu aiba antigenul)
ecografia Doppler si cardiotocografia fara cordocenteza nu sunt suficiente, deoarece nu apar modificari chiar inainte sau in timpul instalarii hidropsului.[7]
Riscul de recurenta
foarte mare daca atg parental homozigot este prezent
in general, boala hemolitica este tot mai severa cu fiecare sarcina care urmeaza, de aceea sarcinile urmatoare vor beneficia de o cordocenteza cat mai timpurie posibila si transfuzie in utero.
Profilaxia izoimunizarii
screeningul trimestrului I de sarcina include determinarea grupului sanguin matern si Rh
screeningul atc (test Coombs indirect) anti D
Daca nu s-au gasit atc iregulari de grup se recomanda reevaluarea la 1-2 luni pana la termen.
in unele tari pacientele gravide fara atc antiD cu Rh negativ primesc imunoprofilaxia antiD in sapt 28 cu 250 - 300 μg imunoglobulina sau cu 2 doze de 100 μg la 28 si respectiv 34 saptamani.
dupa nastere mama Rh negativa cu nou nascut Rh pozitiv va primi o doza de 300 μg imunoglobulina antiD in primele 72 ore preferabil postpartum
urmarirea anticorpilor iregulari de grup sanguin, la titru de 1/16, va conduce pacienta la un centru prenatal bine dotat si va necesita ecografie seriata saptamanala pentru a cauta semnele de hidrops fetal in paralel cu dozarea serica de atc.
cordocenteza, indicata intre 18 si 24 saptamani, conform indicatiilor mai sus mentionate va putea aduce date din sangele fetal (bilirubina, Hb libera, reticulocite, atc maternali anti Rh in sangele fetal, etc).
transfuzia de sange intrauterina prin cordocenteza cu sange Rh negativ grup O, ce are HTc 75-80% va conduce la scaderea eritropoiezei fetale. Pentu a continua oprirea eritrogenezei, intervalul dintre transfuzii este de cca 2 - 3 saptamani.
dupa nastere atc materni din sangele fetal persista inca 6 saptamani in nou- nascut, ceea ce conduce la o hemoliza ce necesita alte transfuzii.
profilaxia izoimunizarii trebuie facuta si dupa avorturi de prim trimestru, sarcini extrauterine, proceduri invazive de diagnostic si tratament in utero, de obicei cu doze mai mici de imunoglobulina anti D, de 50 - 100 micrograme.
2.Hidropsul fetal nonimun (NIHF )
Definitie: - acumulare de lichid in exces, in cavitatile fetale seroase si in tesuturile moi. Daca incompatibilitatea de grup sanguin nu este evidenta, hidropsul va fi denumit nonimun.
Incidenta intre 1: 2500 si 1: 3500 sarcini [5,6,7]
Semne ecografice:
|
Edem cutanat |
Acumulare de fluid subcutanat peste 5 mm, de obicei evident la nivelul capului sau gatului |
|
Efuzii pleurale sau hidrotorax |
De obicei acumulare bilaterala de lichid intratoracic, aparitia evidenta a plamanilor , mici, axul cordului este deviat |
|
Lichid pericardic |
Acumulare de lichid peste 2 mm in pericard |
|
Ascita |
Acumulare de lichid in abdomen supra si subhepatic, interileal |
|
Hidrops placentar |
Placenta adesea hiperecogena si cu f peste 5 cm |
|
Polihidramnios |
"buzunaras" de lichid amniotic peste 8 cm, AFI peste 18 (amniotic fluid index) |
Tabel VII Semne ecografice ale hidropsului fetal
Anomalii coexistente in hidropsul nonimun fetal (NIHF)
cystic higroma
anomalii cardiace
anomalii multiple
Mai putin frecvente ca asociere sunt:
anomalii placentare
tumori intratoracice sau intraabdominale fetale.
Explorarea ecografica va continua de aceea cu ecocardiografie si examen Doppler, in special pe sistemul venos fetal.
Patogenia NIHF se datoreaza a sase posibilitati
insuficienta cardiaca primara prin defecte congenitale de cord, aritmii, miocardite
insuficienta cardiaca secundara, prin anemie, sunturi arterio-venoase, tumori placentare sau sindromul de fat transfuzor transfuzat
scaderea presiunii oncotice, cauzata de exemplu prin cresterea productiei de proteine in ciroza sau hepatita congenitala (induse infectios) sau prin cresterea pierderii de proteine indusa prin nefropatia congenitala.
cresterea permeabilitatii capilare indusa de hipoxia severa, infectii, anemie severa, etc.
obstructia sau deficienta drenajului limfatic, ca in sindromul Turner, chylotorax, chyloperitoneu.
obstructia intoarcerii venoase, ca in defectele diafragmatice sau malformatia adenomatoida chistica congenitala.
Insuficienta cardiaca va duce la cresterea presiunii venoase, demonstrata Doppler prin scaderea fluxului distolic in ductus venosus si mai tarziu pulsatii ale venei ombilicale.[4,5,7]
Anomalii si boli asociate cu NIHF [5,6,7]
v cardiace: defecte congenitale, aritmii, tumori
v cromozomiale: sindrom Turner, trisomia 21, triploidii, trisomia 13, 18
v anemii: α- thalasemia, deficienta de G 6 PD, hemoragii feto-materne
v infectii: citomegalovirus, parvovirus, sifilis, herpex simplex tip 1, coxackie
v sarcina gemelara: in special monochorionica - sdr. transfuzor-transfuzat
v boli in regiunea gatului fetal - cystic higroma, atrezii laringiene, etc.
v boli toracice: malformatie adenomatoida chistica congenitala, hernia diafragmatica, sechestrul pulmonar, tumori
v boli renale: rinichi polichistic, prune belly sindrom, etc.
v boli gastrointestinale: ciroza, fibroza sau necroza hepatica, hemangiom hepatic, atrezia biliara
v boli metabolice: mucopolizaharidoze, boala Niemann-Pick, boala Gaucher, etc.
v displazia scheletala: acondroplazia, osteogenesis imperfecta, artrogripoza, etc.
v neoplazii: teratoame, neuroblastoame, leucemie congenitala
v anomalii placentare sau ombilicale: chorioangioame, endovasculite, tromboza venei ombilicale, anevrism de artera ombilicala, noduri de cordon,
v boli materne: anemii, lupus, droguri (indometacin, agenti tocolitici, antiaritmice), diabetul zaharat
Prognosticul NIHF - mai bun daca hidropsul s-a instalat dupa 24 saptamani gestationale, dar pe termen lung depinde de boala care l-a cauzat si de insuficienta cardiaca.
Hipoxia poate antrena leziuni ireversibile ale creierului.
Diagnosticul si evaluarea NIHF ( adaptat dupa Merz [7])

Teste materne
![]()
![]()
Teste fetale
INVAZIVE Cordocenteza cariotip Hb,
pH grup
sanguin teste
Coombs directe autoimune specifice
Ig M Amniocenteza cariotip cultura
virala, PCR NONINVAZIVE Ecografie morfologie ecocardiografie M-mode Color
Doppler Doppler
vascular Cardiotocografie (CTG)
![]()
![]()
![]()
Decizia in functie
Tratament transfuzii
de sange administrare
de albumina digitalizare trat.
specific: atb., antiaritmice, etc. Terminarea nasterii
de varsta
gestationala

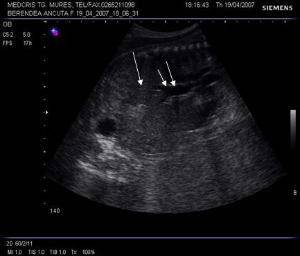
Fig. nr. 241. Fat cu hidrops nonimun , cu insuficienta cardiaca si bradicardie , la 28 sapt., se remarca hepatomegalia ( sageata ) si dilatatia venei cave inferioare
( doua sageti )

Fig. nr. 242. Aceeati sarcina ca in figura precedenta, se remarca lichidul pericardic si bilateral cel pleural, in sectiune transversala la nivel toracic fetal.
Fig. nr.243 Aparitia reverse flow in artera ombilicala , la sarcina de 28 sapt din figurile precedente, cu hidrops fetal. Se remarca bradicardia fetala si indicele mare de rezistenta in artera ombilicala

Fig . nr. 244 Higroma cystic la o sarcina cu anasarca , cu fat mort intrauterin, cu lungimea femurului corespunzatoare la 17 sapt. , sectiune longitudinala

Fig nr. 245. Higroma cystic, la aceeasi sarcina, sectiune transversala
Fig nr.246. Angularea coloanei vertebrale la fatul mort intrauterin , cu higroma cystic si hidrops

Fig. nr. 247 . Aceeasi sarcina ca in figurile precedente, se remarca atit ascita cat si edemul masiv subcutanat
Bibliografie
Badea R.I.,Dudea S. M., Mircea P. A.,Stamatian F.,Tratat de Ultrasonografie Clinica, Editura Medicala - Bucuresti 2000, pag 647-657.
Callen P.W., Ultrasonography in Obstetrics and Gynecology , Fifth Edition , Saunders Elsevier 2008, pag 676-697.
Carera J . M., Kurjak A. , Donald School Atlas of Clinical Application of Ultrasound in Obstetrics & Gynecology, Jaypee Brothers Medical Publishers 2006, pag.128-131.
Fatusi Z., Nonimmune Hydrops Fetalis,Donald School Journal of Ultrasound in Obstetrics and Gynecology vol .1, nr. 1, ( ian.-mar. 2007) pag. 105- 110.
Kurjak A., Chervenak F. A., Carera J . M., Donald School Atlas of Fetal Anomalies, , Jaypee Brothers Medical Publishers 2007,pag. 305-311.
Kurjak A., Chervenak F. A., Donaid School Textbook of Ultrasound in Obstetrics and Gynecology , Jaypee Brothers Medical Publisher, 2004, pag 372 - 385.
Merz E., Ultrasound in Obstetrics and Gynecology, second edition , Georg Thieme Verlag 2005 , vol 1, pag 184-199.
Rumack C. M. , Wilson S.R., Charboneau W., Johnson J.A.M.,Diagnostic Ultrasound, third edition , Elsevier Mosby vol 2 pag 1459
|
Politica de confidentialitate | Termeni si conditii de utilizare |
Vizualizari: 7981
Importanta: ![]()
Termeni si conditii de utilizare | Contact
© SCRIGROUP 2025 . All rights reserved