| CATEGORII DOCUMENTE |
| Alimentatie nutritie | Asistenta sociala | Cosmetica frumusete | Logopedie | Retete culinare | Sport |
DEFECTUL SEPTAL INTERATRIAL
A.Prevalenta:
5%-10% din MCC ca defect izolat
M/F =1/2
30%-50% ca parte a unui defect complex
B.Patologie:
3 tipuri principale de DSA:
-OS,cel mai frecvent,50 %-70% din DSA-uri.Se gaseste la nivelul fossei ovalis.
-OP,aproximativ in 30 % din DSA-uri,ca parte a canalului atrioventricular comun si 15 % ca defect izolat
-tip sinus venos, 10 % din DSA-uri,cel mai localizat la nivelul de varsare al VCS in AD ,mai rar la varsarea VCI.Frecvent asociate cu anomalie de intoarcere pulmonara venoasa (VPD in AD).
-foarte rar tip sinus coronar
In 20 % din cazuri se pot insoti de PVM
C.Fiziopatologie
-magnitudinea suntului depinde
1. de marimea defectului (mic<3,moderat 3-8,mare>8)
2.complianta ventriculara (VD este mai compliant decat VS)
-apare dilatarea cavitatilor drepte si nu stangi,deoarece desi returul venos pulmonar este mare ,sangele nu sta in AS ci este suntat.
-Dilatarea AD ,prelungeste timpul de depolarizare al AD,determinand pe ECG ,BRD (rSR').
-suflul sistolic nu este produs de suntul interatrial (diferenta de presiune de-a lungul ciclului cardiac este mica intre atrii si suntul atrial este silentios),ci de stenoza relativa a orificiului pulmonar care primeste o cantitate mai mare de sange pt acelasi orificiu.Un sunt larg determina si o stenoza relativa a VT .producand un suflu diastolic.
-ICC este rara deoarece teritoriul pulmonar poate primi debitul suplimentat de sange,deoarece nu exista transmisie directa de presiune sistemica (ca de ex. In DSV),ICC fiind caracteristica decadei 3,4 de viata.


C.Manifestari clinice
Sugarii si copiii cu DSA sunt de obicei asimptomatici.
a.Examinare fizica :
1.o usoara hipotrofie staturo-ponderala poate fi intalnita.
2.ZII dedublat larg sau fix
Suflu sistolic gr 2-3/6
In defectele largi suflu diastolic rezultat din stenoza tricuspida relative.

b.ECG
Deviere la dreapta a axului ,semen de HVD cu pattern de rsR'
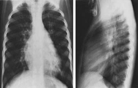
c.RX.
-cardiomegalie cu largirea AD si VD
-Bonbarea arcului AP
-semne de circ pulmonara crescuta

d.Eco cord.
M,2D,Doppler
Se evidentiaza pozitia,marimea,dimensiunea cavitatilor drepte,semne de http.
La copiii mai mari sau adolescenti poate fi utilizat eco transesofagian.De asemenea eco de contrast

e.Cateterismul cardiac nu este uzual.
D.Istorie naturala
1.pacientii cu DSA <3mm au o rata de inchidere spontana de 100 % pana la 1a1/2 ani.
3-8 mm -ii- 80%
>8 mm rareori se inchide spontan
Se accepta ca pana la 4 ani rata de inchidere spontana este intre 15-55 %
2.sunt asimptomatici,rareori dezvolta ICC in perioada de sugari.
3.un DSA larg netratat dezvolta http si ICC in decada 2-3.
4.cu sauf ara chirurgie pot apare aritmii ca adult (flutter,fibrilatie)
5.EB nu apare la bolnavii cu DSA,de aceea la pacientii cu DSA izolat nu este necesara profilaxia EB.
5.Pot apare emolizari paradoxale si accident cerebrovascular ,complicatie f.rara.
E.Management
1.Medical
-nu este necesara restrictie fizica
--daca in perioada de sugar dezvolta ICC,trat. ICC este necesar .
2.Inchidere nonchirurgicala:
-sunt folosite diverse device-uri (Amplatzer,,Angel Wings)
-nu se poate aplica pentru:-dimenisuni mari ale dsa >20 mm
-DSA cu margini sub 3 mm
-DSA multiplu
-pot exista accidente periinterventionale
3.Inchidere chirurgicala
-timing-ul este in jurul varstei de 4 ani (datorita posibilitatii de inchidere spontana).Poate fi efectuata la sugari daca apare ICC si aceasta nu raspunde la tratament
--mortalitate<1%
4.Evolutie postoperatorie
-largirea cavitatilor drepte se poate mentine 1-2 ani
-pot apare aritmii atriale sa nodale
DEFECTUL SEPTAL INTERVENTRICULAR
A.Prevalenta
Este cea mai frecventa MCC (cu exceptia bicuspidiei aortice),15-20% din MCC (ca defect izolat)
B.Patologie

SIV poate fi impartit in 2 portiuni
a. portiunea membranoasa mica se afla imediat sub valva aortica.Implica tes.muscular adiacent septului membranos ( perimembranos).Deci prin extensie putem avea DSV pb,inlet,outlet,trabecular
b.portiunea musculara poate fi impartita in 3 zone :inlet, trabecular si outlet.
-defectele variaza in marime,de la defecte mici fara importanta hemodinamica la defecte largi insotite de ICC si http
-Fasciculul Hiss se afle in relatie cu cadrantul posteroinferior al defectului perimembranos si cadrantul superoinferior al defectelor musculare tip inlet.Este important pt corectia chirurgicala.
C.Fiziopatologie

-suntul in DSV acianotic este stanga-dreapta
-Magnitudinea suntului este determinata de :
1.marimea defectului
2.de nivelul rezistentei pulmonare sistemice
3.nu este influentat de locatie
-primele semne hemodinamice de sunt sunt dilatarea cavitatilor stangi.
=suntul se realizeaza in sistola cand VP este deschisa,deci VD nu face un efort suplimentar pt a ejecta vol VD+ vol SUNT in AP.Returul venos suprasolicita in schimb cavitatile stg.
-sunturile mici sunt dpdv hemodinamic neglijabile.
-sunturile mari daca nu sunt corectate la timp determina modificari ireversibile la nivelul arteriolelor pulmonare.Boala vasculara pulmonara (Sd.Eisenmenger) necesita ani de evolutie pana la instalare,cu semne specifice atat pe ECG cat si pe RX.La acest moment,rezistenta vasculara este semnificativ crescuta (atinge nivele sistemice),magnitudinea suntului scade.Ca urmare scade suprasarcina cordului stang.(nu mai exista supraincarcare diastolica).Cavitatile stangi revin la normal,iar semnele ECG de HVS dispar.,ramanand semne de HVD datorita HTP.Deoarece magnitudinea suntului scade,intensitatea suflului scade ,chiar dispare (atentie,in evolutie,un suflu care a disparut,dar insotit de semne de cianoza,inlocuirea semnelor de HVS cu HVD sau HBV,nu inseamna inchiderea suntului.)
D.Manifestari clinice
1.Istoric
a.DSV mici-pacientul este asimptomatic,cu o dezvoltare staturala si ponderala normala
-DSV moderat-larg ,apare o intarziere a cresterii si dezvoltarii,scade toleranta la effort,prezinta infectii respiratorii repetate,ICC este relativ frecventa in perioada de sugar.
-Semnele de HTP constau in aparitia cianozei
2.Examinare fizica
-se apreciaza dezvoltarea staturo-ponderala,semne de cianoza.
-auscultatie


3.ECG
-pentru defectele mici,ECG este normal
-pentru defecte moderate,HVS
-pentru defectele largi ECG arata HBV
-daca s-a instalat boala vasculara obstructiva,ECG arata doar HVD
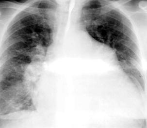
4.RX
: 
Cardiomegalie implicand in special AS,VS,rareori VD.Circulatie pulmonara incarcata.Gradul cardiomegaliei si cresterea circulatiei pulmonare sunt direct relationate cu magnitudinea suntului.
In BPVO AP si ramurile sunt f.dilatate,dar periferia pulmonara este ischemica.
5.ECO:M,2D,Doppler
Identifica numarul,marimea si localizarea .estimeaza presiunea pulmonara;identifica defectele associate;se estimeaza magnitudinea suntului

E.Istorie naturala
-inchiderea spontana poate apare in 30-40% din pacientii cu DSV membranos si muscular in primele 6 l de viata.Frecvent pentru defectele mici.
-ICC apare la sugarii cu DSV larg,dar de obicei nu inainte de 6-8 s de viata.BVPO poate fi initiate de la 6-12 l la pacientii cu DSV larg dar inversarea suntului nu apare decat in adolescenta.
-poate coexista o stenoza infundibulara ,care descreste magnitudinea suntului (plaman protejat)
-EB apare rar
F.Management
1.Medical
a.tratamentul ICC : diuretic,tonicardiac,IEC;corectarea anemiei ,daca exista.
b.igiena dentara,profilaxia EB
2.Inchidere nonchirurgicala
-device-uri pentru defectele musculare unice
3.Inchidere chirurgicala:
-sugarii care au DSV larg si dezvolta ICC si stagnare ponderala ,se adm trat cu digoxin si diuretice.Daca nu se obtine o ameliorare a cresterii DSV trebuie operat in primele 6 l de viata
-dupa varsta de 1 an ,un sunt mai mare de Qp/Qs=2/1 necesita inchidere ,in functie de presiunea in AP
-daca sunt semne de http dar nu apare ICC sau falimentul cresterii,trebuie efectuat cateterism in 6-12l
-nu se inchid sunturiel mai micde Qp/Qs=1,5/1
-complicatii postop :BRD,BAV total,sunturi reziduale
PERSISTENTA DE CANAL ARTERIAL
A.Prevalenta
-5-10% din MCC.Este o problema frecventa la premature.
B.Patologie

Reprezinta persistenta unei structuri fetale intre AP stg si Ao desc.
C.Fiziopatologie-vezi DSV
D.Manifestari clinice
1.Istoric.
-daca ductul este mic pacientii sunt asmptomatici.
-un sunt larg determina infectii respiratorii frecvente,atelectazii,ICC (cu tahipnee si falimentul cresterii)
2.Examinare fizica :
-Sunturile largi determina tahicardie si dispnee.Daca s-a instalat BVPO apare sunt dreapta-stanga cu cianoza in jumatatea inf.a corpului.
-auscultatie: suflu continuu

3.ECG:
Asemanator ca la DSV,semne de HVS
4.Rx
-identic cu DSV
5.Ecocord :2D,doppler
-se vizulizeaza,se estimeaza magnitudinea suntului
D.Istorie naturala
-la copiii la termen nu mai are loc inchiderea spontana (spre deosebire de prematuri,,la copiii la termen CAP se datoreaza unei anomalii structurale a tes muscular neted din canal si nu scaderii raspunsului la oxigen al tes muscular.
-la sunturile largi-ICC si pneumonii recurente
-canalele largi pot determina BVPO daca nu sunt inchise la timp
-pot detemina aparitia EB
E.Management
1.Medical
-la copiii prematuri se poate administra indometacin,este fara eficienta la copiii la termen.
-trat ICC,al pneumoniilor recurente
2.Inchidere nonchirurgicala
-device-uri sau coils
3.Inchidere chirurgicala
-timing intre 6l si 2 a.La copiii cu ICC,http, inchiderea chirurgical se realizeaza de urgenta.
-mortalitate<1%
-complicatii :-injurie de nerv laringeal,voce ragusita
-injurie de nerv frenic stg,paralizia hemidiafragmului stg
-daca a fost facuta doar ligatura ,se poate recanaliza
|
Politica de confidentialitate | Termeni si conditii de utilizare |
Vizualizari: 2627
Importanta: ![]()
Termeni si conditii de utilizare | Contact
© SCRIGROUP 2025 . All rights reserved