| CATEGORII DOCUMENTE |
| Alimentatie nutritie | Asistenta sociala | Cosmetica frumusete | Logopedie | Retete culinare | Sport |
ASPECTE ECOGRAFICE IN LAUZIE
Involutia uterina poate fi urmarita si ecografic.
Complicatiile lauziei ca febra si sangerarile pot avea imagini ecografice specifice. Datorita marimii uterului in lauzie, ecografia abdominala nu necesita vezica urinara plina.
Involutia uterina postpartum este un proces continuu si cu variatii individuale. Lungimea si axul corpului uterin fata de canalul cervical, se pot aprecia mult mai bine ecografic decat clinic, prin palparea abdominala.
Factorii ce afecteaza involutia:
prima saptamana este cu cea mai mare involutie uterina postpartum;
la 28 zile postpartum, marimea uterului este la dimensiunea superioara a normalului pentru uterul negravid [1];
la pacientele cu mai multe nasteri in antecedente, uterul a fost mai mare in primele 4 saptamani [5].
operatia cezariana induce o aparenta subinvolutie pentru primele 7 zile postpartum [4]. Acest lucru se datoreaza deformarii regiunii istmice uterine cu suturi.
Complicatiile lauziei cele mai frecvente sunt: retentie de membrane sau placenta [2,3,4];
membranele apar hiperecogene
resturile placentare apar neregulate, dense cu inomogenitati. In general se poate obtine aproape aceeasi imagine ecografica a resturilor placentare ca si aspectul de placenta in cursul sarcinii
retentia de lohii se prezinta ecografic printr-o pronuntata separare a peretilor cavitatii uterine, intre care are apare o colectie fluida in general anecogena sau cu aspect de "fagure de miere". De fapt asocierea de sange proaspat, lohii si cheaguri expansioneaza cavitatea. Evaluarea in sectiune sagitala a cavitatii uterine si colului uterin indica prezenta lohiometriei si lipsa unui calibru suficient de larg a canalului cervical. Prezenta unor astfel de imagini necesita uterotone, antibioticoterapie si urmarirea la 24 - 48 de ore cu eventuala aspiratie si chiuretaj uterin.
Urmarirea uterelor cicatriceale postpartum
daca pacienta a nascut pe cale vaginala dupa o nastere anterioara prin cezariana, controlul manual al cicatricei uterine se practica astazi in sala de nastere. Asocierea utilizarii ecografiei pentru evaluarea liniei de sutura, poate aduce date noi in suspiciunea de ruptura uterina postpartum.[4]
Durerea crescuta in primele zile postoperatie cezariana trebuie investigata si ecografic.
Astfel se vor exclude hematoamele liniei de sutura uterina sau hematoamele de perete abdominal.
Ecografia transvaginala poate fi de ajutor uneori in diagnosticul hematoamelor de sutura uterina.
Atonia vezicala - aproximativ 1 la 1000 de nasteri sunt urmate de glob vezical persistent. Evaluarea ecografica a reziduului urinar, poate aprecia functia de golire a vezicii si cateodata diagnosticul diferential cu subinvolutia uterina.
Volumul rezidual urinar se poate calcula dupa formula:
V = lungime x latime x inaltime x 0,524 [6].
Volumul rezultat va fi in ml, daca dimensiunile vezicii urinare vor fi exprimate in cm.

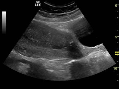
Fig. Nr. 332. Uterul postoperatie cezariana, ziua a IV a

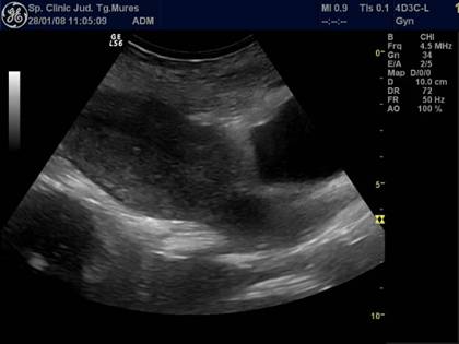
Fig. Nr.333. Lauzie ziua a XII a postoperatie cezariana

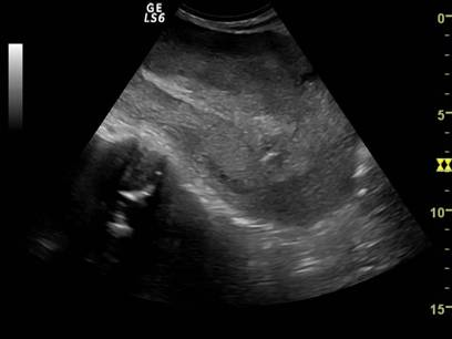
Fig, nr.334 Lauzie ziua a II a dupa nastere spontana la termen, cavitate uterina cu minim continut
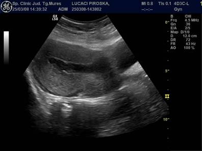
Fig. Nr 335 Lohiometrie in ziua a XXIII a postoperatie cezariana

Fig. Nr. 336 Pacienta la peste un an dupa a doua operatie cezariana, ecografie vaginala, cu linie imaginea anecogena indusa de cicatricea peretelui anterior istmic uterin
Bibliografie
Buisson P.,Tomikowski J., Santarelli J., Kapitaniak B.: Clinical and ultrasonographic study of uterine involution in postpartum physiology. Rev. Fr. Gynecol. Obstet. 88, 1993, pag. 12-18.
Callen P.W., Ultrasonography in Obstetrics and Gynecology , Fifth Edition , Saunders Elsevier 2008, pag 935-940.
Kurjak A., Chervenak F. A., Donaid School Textbook of Ultrasound in Obstetrics and Gynecology , Jaypee Brothers Medical Publisher, 2004, pag 439 - 449.
Merz E., Ultrasound in Obstetrics and Gynecology, second edition , Georg Thieme Verlag 2005 , vol 1, pag 443 Georg Thieme Verlag 2007 , vol 2, pag 72
Wachsberg R.H., Kurtz A.B., Levine L.D., Solomon P., Wapner R.J. : Real- time ultrasonographic analysis of the normal postpartum uterus: technique, variability and measurements. Ultrasound Med. 13, 1994, pag. 215-222.
Walz P. : Spezielle urologische Diagnostik: Restharnbestimmung. In : Braun B., Gnther R.,Schwerk W.B. : Ultraschalldiagnostik, Landsberg, Ecomed, 1984,Suppl.I ,III 1.9.1., citat de Merz E., Ultrasound in Obstetrics and Gynecology, second edition , Georg Thieme Verlag 2007 , vol 2, pag 72
|
Politica de confidentialitate | Termeni si conditii de utilizare |
Vizualizari: 3499
Importanta: ![]()
Termeni si conditii de utilizare | Contact
© SCRIGROUP 2025 . All rights reserved