| CATEGORII DOCUMENTE |
| Alimentatie nutritie | Asistenta sociala | Cosmetica frumusete | Logopedie | Retete culinare | Sport |
ANEVRISM SACCIFORM DE CROSA AORTICA LA UN PACIENT ASIMPTOMATIC SI PROBLEMELE DE CONDUITA TERAPEUTICA
Definitie: Anevrismul de aorta reprezinta dilatarea aortei de peste 1,5 ori diametrul aortei corespunzator segmentului respectiv. Anevrismul sacciform reprezinta dilatarea localizata, asimetrica la nivelul unei portiuni bine delimitate a aortei .
Prezentarea cazului: Bolnav in varsta de 77 ani, de profesie medic veterinar, se interneaza pentru investigarea unui anevrism sacciform la nivelul crosei aortice descoperit intamplator cu ocazia unui consult medical pentru o infectie respiratorie acuta care survine pe fondul unei afectiuni pulmonare preexistente (BPOC). Examenul radiologic cord pulmon a evidentiazat opacitati neomogene in bazele ambelor campuri pulmonare (Fig.1) pentru care se decide explorare computer tomografica care deceleaza anevrism sacciform de crosa aortica. Mentionam ca pacientul este diagnosticat cu cardiomiopatie dilatativa de 5 ani cu disfunctie sistolica severa de VS ( FEVS-30%) probabil tahiaritmica tinand cont de faptul ca prezinta fibrilatie atriala persistenta cu alura ventriculara rapida, in absenta unei medicatii optime. Dintre factorii de risc cardiovascular mentionam dislipidemia, diabetul zaharat tip II si obezitatea .
Examenul fizic releva pacient cu stare generala buna, afebril la internare, obezitate gradul II, cu raluri bronsice difuze in ambele campuri pulmonare. Cardiovascular: tensiunea arteriala 150/90 mm Hg, AV 130 aritmic, fara sufluri cardiace.
Datele biologice Glicemie=136.2 mg/dl, dislipidemie mixta, colesterol=234 mg/dl, HDLC=42.1 mg/dl, LDL=164.2 mg/dl, trigliceride=175 mg/dl , HCT=49.2 %, HGB=16.7 g/dl (BPOC) .
EKG (Fig.2) : Flutter atrial (FiA) cu conducere variabila, 114 b/min. Axa QRS +60 0 cu modificari secundare de repolarizare.
Ecocardiografie : evidentiaza ventricul stang cu dimensiuni la limita superioara a normalului cu disfunctie sistolica severa de ventricul stang (FEVS 30%), prezentand hipokinezie difuza pe peretii VS, dilatare usoara de Ao asc ( 44mm), hipertensiune pulmonara moderata- PAP sistolica 55 mmHg.(Fig. 3, 4,5).
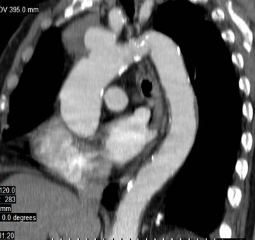
Computer tomografia : a evidentiat anevrism sacciform de crosa aortica, cu dimensiuni de 3/3,5 cm, situat la emergenta trunchiului arterial brahiocefalic, coletul anevrismal incluzand emergenta acestuia, tapetat de tromb parietal cu grosime de 3 cm, tromboze si calcificari parietale la nivelul aortei toracice si abdominale (Fig.6).
Diagnostic Anevrism sacciform de crosa aortica partial trombozat. Cardiomiopatie dilatativa posibil tahiaritmica. Insuficienta cardiaca clasa a III NYHA. Fibrilatie atriala cu AV rapida. Flutter atrial. Regurgitare mitrala moderata. Hipertensiune pulmonara usoara. Insuficienta tricuspidiana moderata. Hipertensiune arteriala stadiul III grup de risc foarte inalt. BPOC acuitzat. Diabet Zaharat tip II .
Tratament Avand in vedere ca pacientul este asimptomatic si prezinta comorbiditatii multiple: cardiomiopatie dilatativa cu disfunctie sistolica severa de VS, BPOC cat si de calitatea peretelui aortic ( multiple placi de aterom trombozate cu trombi supraiacenti), se opteaza pentru tratament medicamentos, cel interventional (implantare de stent) si chirurgical (protezare de aorta ascendenta cu reimplantarea ramurilor arteriale) fiind asociate cu risc crescut perioperator.
DISCUTII
Anevrismele sacciforme de aorta sunt dilatari bine localizate, asimetrice ale aortei cu incidenta scazuta, locul de electie fiind la nivelul marginii concave a aortei, uneori prezentand trombi intra saculari. Factorii predispozanti sunt varsta, sexul masculin si dislipidemia. Cauzele anevrismelor sacciforme sunt ateroscleroza, traumatismele, sindromul Marfan, arterita infectioasa (sifilisul, bruceloza, etc), arterita cu celule gigante.2 Traumatismele la nivelul toracelui pot induce aparitia unor anevrisme (10% din numarul total de anevrisme) cu localizare predilecta la nivelul zonei de legatura intre crosa aortica si artera descendenta toracica,adiacent emergentei arterei subclavii stangi3, 4.
Anevrismele sacciforme sunt frecvent asimptomatice (40%) fiind descoperite cu totul intamplator. Simptomatologia, care este functie de tipul, localizarea si dimensiunea anevrismului, include: fenomene de insuficienta ventriculara stanga (datorita rezistentei opuse ventriculului stang de o aorta cu elasticitate scazuta), insuficienta aortica (asociata mai frecvent anevrismelor de aorta ascendenta) cat si efecte de masa. Efectele de masa apar prin compresie asupra structurilor invecinate: sindrom de vena cava superioara, compresia traheei sau bronhiilor mari (dispnee, tuse, hemotizii, pneumonie recurenta), compresia pe esofag poate induce disfagie iar tractiunea de laringeu recurent -laringo fonie. Durerea apare in torace (37%) sau in spate (21%) prin fenomene de compresie sau eroziune a organelor sau ale peretelui toracic.
Tratamentul anevrismului de aorta poate fi chirurgical ( de electie) , interventional sau medicamentos. S-au descris si tehnici de inginerie genetica care par a influenta degradarea matriceala a mediei aortei si astfel se poate reduce progresia dilatarii aortei. 5
Tratamentul chirurgical este recomandat pacientilor cu risc operator mare la un diametru al anevrismului de 6-7 cm. In caz de sindrom Marfan se indica interventia la o dimensiune de aproximativ 5,5 cm2. Tratamentul consta in implantarea unui graft de dacron de dimensiuni corespunzatoare si reimplantarea arterlor cu emergenta din arcul aortic.
Tratamentul interventional : implantarea de stenturi endovasculare este rezervata aortei descendente toracice dar a fost adaptata si pentru interventii la nivelul crosei6 . Desi salveaza pacientul de o interventie chirurgicala cu torace deschis si circulatie extracoroporeala tehnica intampina cateva dificultati majore inerente morfologiei aortei la acest nivel cum ar fi: dimensiunile mari ale vasului, curbura si tortuozitatea aortei, pulsatia aortei toate acestrea fiind conditii favorizante pentru fracturarea stenturilor. Nu in ultimul rand la nivelul crosei exista riscul de a obtura emergenta vaselor mari ce se desprind din crosa. Aparitia stenturilor fenestrate si perfectionarea acestora poate rezolva in timp acest neajuns. In plus migrarea stentului si ruptura vasului pot complica acest tip de interventii. Subsetul de pacienti cu anevrism de aorta descendenta si boala pulmonara obstructiva severa beneficiaza in mod special de implantarea de stenturi endovasculare fiind evitata in acest fel toracotomia anterioara asociata cu riscuri operatorii foarte mari la pacientii cu BPOC.
Tratamentul medicamentos vizeaza scaderea valorilor tensiunii arteriale si corectarea dislipidemiei. In sindromul Marfan este citata ameliorarea supravietuirii tratati cu beta blocante (propranolol)2. Alte date indica ineficienta tratamentului cu betablocante in profilaxia complicatiilor majore ( ruptura) 7.
Prognosticul bolii este rezervat supravieturirea la 1 an fiind de 65% iar la 5 ani de numai 20%.
PARTICULARITATIILE CAZULUI: Pacientul asimptomatic din punct de vedere cardiovascular a fost descoperit intamplator la un examen CT toracic cu anevrism sacciform de aorta. Diagnosticul a fost o surpriza imagistica, motivul prezentarii pacientului fiind reprezentat de patologia respiratorie. Riscurile tratamentului chirurgical al anevrismului la un pacient cu multiple comorbiditati (disfunctia sistolica severa de VS, si BPOC), fibrilatia atriala, hipertensiunea arteriala ne au obligat la adoptarea unei atitudini conservatoare.

Figura 1. Radiografie cord-pulmon incidenta postero-anterioara: opacitati pulmonare bazal bilateral, arc aortic dilatat.

Figura 2. EKG Flutter atrial cu conducere variabila.

Fig. 3 Sectiune apicala doua camere, hipokinezie pereti VS anterior si inferior. Fisier hera 32 movie

Fig. 4 Sectiune apicala 3 camere -hipokinezie sept anterior si perete infero-lateral fisier HERA 35 movie

Fig. 5 Hipokinezie sept inferior si perete lateral. 9 fisier HERA 9 movie.

Fig.6 Tomografie computerizata: anevrism sacciform de crosa aortica, partial trombozat.
Taams M A, Gussenhoven W J, Bos E and Roelandt J -CHEST -Saccular aneurysm of the transverse thoracic detected by transesophageal echocardiography. Chest 1988 ;436-437 DOI 10.1378/chest.93.2.436
2. Eric M., Isselbacher, Kim A. Eagle, Roman W Disanctis, Diseases of the Aorta, Brunwald Heart disease 5th edition, 1546-1554, 1997
Crawford M., Di Marco J.P., Paulus W.J. Cardiology 2 nd ed., Mosby; 2004; 141 -152
4. Svensson Lars G., MD, PhD, Kouchoukos Nicholas T., MD, and Craig D. Miller, MD Expert Consensus Document on the Treatment of Descending Thoracic Aortic Disease Using Endovascular Stent-Grafts
5. Hiduki Nakashima., Matakuri Aoki et al. Inhibition of experiemental Abdominal Aortic Aneurism in the Rat by Use of Decoy Oligodeoxynucleotides Suppresing Activity of Nuclear Factor K13 and ets Transcription Factors.
6. Melissano G.,* Civilini E., Bertoglio L., Setacci F. and Chiesa R. Department of Vascular Surgery, Vita-Salute University, Scientific Institute H. San Raffaele, Milan, Italy, Endovascular Treatment of Aortic Arch Aneurysms - Eur J Vasc Endovasc Surg 29, 131-138 (2005)
7. Simniceanu Corina, Teodorescu Andreea, Popescu B.A., Calin C., Dragomir, Georgescu S., Platon P., Iliescu V., Ginghina Carmen, Apetrei Eduard-Anevrism sacciform de aorta -posibil postraumatic - diagnosticat tardiv , Cazuri comentate si ilustrate de cardiologie, Editura Medicala 2004
|
Politica de confidentialitate | Termeni si conditii de utilizare |
Vizualizari: 3607
Importanta: ![]()
Termeni si conditii de utilizare | Contact
© SCRIGROUP 2025 . All rights reserved