| CATEGORII DOCUMENTE |
| Alimentatie nutritie | Asistenta sociala | Cosmetica frumusete | Logopedie | Retete culinare | Sport |
ALCOOLISMUL CRONIC SI PSORIAZISUL
Psoriazisul, eczema discoida si infectiile superficiale sunt mult mai frecvente la marii bautori (Higgins Em.,1992). Datorita observatiei ca exista o prevalenta a abuzului de alcool la persoanele cu psoriazis, in special barbati, alcoolul a fost raportat ca factor de risc in psoriazis.
Nu s-a observat o corelatie semnificativa intre consumul de alcool si severitatea psoriazisului.
Cele mai amanuntite studii gasesc o relate intre consumul mediu zilnic de etanol si rezultatele tratamentului la bolnavii cu psoriazis moderat sau sever.
In studiul realizat de Gupta M.A., Schork NJ.(1993), pacientii au primit un tratament standard cu corticosteroizi topici, UVB etc.
Severitatea psoriazisului s-a stabilit prin masurarea procentului de suprafata corporala afectata ('dupa regula lui 9'). Rezultatele tratamentului s-au apreciat astfel: rezultat slab = o scadere a suprafetei afectate cu mai putin de 10% din suprafata corporala sau o scadere cu mai putin de 50% din suprafata afectata inainte de tratament.
Pragul stabiiit pentru consumul mare de alcool a fost 80 g alcool pur/zi.
Rezultatul tratamentului = procentajul pretratament - procentajul posttratament.
Concluziile studiului sunt ca printre barbati, dar nu si printre femeile psoriatice, un consum zilnic mediu mai mare de 80 g alcool pur a fost mai frecvent asocial cu un raspuns mai putin favorabil la tratament. Este posibil sa existe un raspuns gradat la tratament in functie de nivelul consumului de alcool. Abuzul de etanol pare sa fie predictiv pentru rezultatul tratamentului psoriazisului la barbati, fara a avea legatura cu severitatea psoriazisului inainte de tratament.
Veriga intermediara a relatiei alcool - tratament in psoriazis este ficalul alcoolic (Higgins Em.,2002).
O metaanaliza a 15 studii realizata de O'Keefe (2001) examineaza relatia intre administrarea in doze mici (7-15 mg/saptamina), pe termen lung, a Metotrexatului si gradul fibrozei hepatice evidentiat pe piese de biopsie. Biopsiile au fost clasificate dupa scala lui Roenigk (1982):
Gradul I = biopsie normala
Gradul II = degenerescenta grasa hepatica cu anizonucleoza, inflamatie portala, necroza hepatocelulara moderata sau severa 'in spoturi'
Gradul III A = fibroza portala redusa, cu sau fara septuri de fibroza
Gradul III B = 'piece-meal necrosis', 'bridging fibrosis' ce leaga spatiile porte sau centrul lobulului cu spatiile portale
Gradul IV = ciroza (fibroza, pierderea arhitecturii normale, regenerare nodulara).
Stadii avansate sunt gradele III B si IV.
Progresia leziunilor hepatice inseamna ca dupa tratament biopsia sa arate cel putin un grad in plus. Aceasta progresie s-a constatat la 26,3% dintre consumatorii mici si moderati (sub 100 g alcool pur/zi) si la 73,3% dintre consumaturii mari (peste 100 g alcool pur/zi). in acelasi studiu s-a constatat ca dintre diversele variabile examinate (doza medie cumulativa, doza medie saptamanala, doza maxima saptamanala, durata medie a consumului de Metotrexat), doar doza medie cumulativa de Metotrexat se asociaza semnificativ cu progresia histologica.
Metotrexatul este un hepatotoxic, de aceea este importanta monitorizarea afectarii hepatice, singura cale corecta de monitorizare fiind biopsia hepatica (recomandata de unii a fi efectuata dupa fiecare 1,5-2,5 mg de Metotrexat). Dupa 3 g de Metotrexat (4 ani de tratament), un pacient are 20% sanse de a progresa cel putin un grad histologic, 1 pacient din 35 va avea modificari avansate. Rata progresiei se asociaza strans cu consumul mare de alcool (rate de 2,5 - 5 ori mai mari). Nu s-a putut determina daca riscul dezvoltarii afectarii hepatice creste linear cu cantitatea de alcool consumata sau daca exista un prag al toxicitatii.
Recomandarea diversilor autori este ca marii consumatori de alcool sa nu primeasca Metotrexat pe termen lung.
Exista studii care nu gasesc curelatii intre gradul fibrozei hepatice, consumul de Metotrexat si consumul de alcool. Ar exista numai niste modificari hepatice asociate psoriazisului (colagen hepatic crescut de cel putin 10 ori) (Nohlgard C., Rubio CA.,2001).
Acitretinul a fost introdus pentru a inlocui etretinatul in tratamentul psoriazisului sever, datorita unui timp de injumatatire mai scurt. Consumul de alcool pare sa fie un factor important ce contribuie la formarea etretinatului din acitretin 'in vivo' (Larsen F.G., Jakobsen P.,1993). Observatia este importanta pentru ca prezenta etretinatului in organismul femeii fertile impune o perioada anticonceptiva.
PARTEA SPECIALA
Introducere
Studiul de fata urmareste demonstrarea ideii ca 'boala alcoolismului cronic' (marele mim al medicinii moderne) se intalneste frecvent si in serviciile de dermatologie si ca pentru a fi tratata corespunzator trebuie diagnosticata prin mijloace clinice si paradinice.
Scopul diagnosticului alcoolismului cronic are mai multe aspecte:
Terapia bolii de fond ascunsa sub boala dermatologica (hepatopatia, malabsortia, etc.). Daca acest deziderat nu se realizeaza, evolutia bolii dermatologice este nefavorabila (vindecare dificila, agravare, recaderi frecvente, reintemari).
Terapia sevrajului. Un bolnav alcoolic cronic, indiferent de boala dermatologica pentru care se interneaza, dezvolta cu mare probabilitate in spital un sindrom de intrerupere, datorita sistarii bruste a consumului.
Descoperirea activa a unor complicatii grave si probabile, cum ar fi hepatomul malign in porfiria cutanata tardiva.
Terapia bolii dermatologice.
Un bolnav alcoolic cronic poate avea in spital un comportament necorespunzator (parasirea salonului, a spitalului, comportament rebel sau agresiv); nemultumirile bolnavului (care este un bolnav 'dificil') sunt declansate in special de interdictia consumului de bauturi alcoolice pe perioada internarii.
Posibile interactiuni medicamentoase. De exemplu, Metronidazolul utilizal in terapia tricomoniazelor, poate dezvolta un efect Disulfiram-like daca se administreaza concomitent cu alcoolul.
Diagnosticul alcoolismului cronic trebuie lamurit in doua situatii:
a) cand anamneza si examenul fizic sunt sugestive
b) cand boala dermatologica are legatura cu consumul de alcool din punct de vedere etiologic (PCT, pelagra, mal perforant plantar), terapeutic (psoriazis, boli transmise sexual), epidemiologic (boli transmise sexual).
Diagnosticul se pune pe baza foii de observatie cu anumite particularitati, diagnosticul de certitudine se pune pe baza analizelor de laborator si a chestionarului.
Material si metoda
Material. Studiul de fata a urmarit un lot de bolnavi etilici cronici, in numar de 670, cu una sau mai multe din urmatoarele boli dermatologice: porfirie cutanata tardiva (PCT), pelagra (orice forma clinic manifesta), sindrom Bureau-Barriere (SBB).
Lotul s-a constituit din:
347 bolnavi studiati pe baza foilor de observatie in perioada 01.01.2001 - 31.12.2003;
323 bolnavi studiati pe baza foilor de observatie sau personal in perioada 01.01.1999 - 31.12.2000.
Obsevatii mai amanuntite si un diagnostic de certitudine al 'bolii alcoolismului cronic' s-au putut realiza, in special cu ajutorul chestionarului, la bolnavii studiati personal, la care am aplicat urmatoarea metoda de lucru:
Metoda de lucru. Am realizat foaia de observatie dermatologica in care am introdus particularitatile legate de observatie specifice alcoolismului cronic prezentate pe larg in capitolele teoretice. Am urmarit indeosebi urmatoarele etape ale foii de observatie:
Anamneza
Examenul fizic
Investigatii specifice de laborator
Chestionarul
Anamneza a urmarit obtinerea istoricului detaliat al consumului de alcool si a datelor despre antecedentele heredo-colaterale de alcoolism. Istoricul detaliat al consumului a urmarit stabilirea:
cantitatii medii zilnice consumate, durata si frecventa consumului (zil-nic sau ocazional, la sfarsit de saptamana, dupa conflicte familiale, profesionale, etc). Am transformat datele in grame de alcool pur pe zi.
evolutia stilului de consum de-a lungul anilor.
frecventa si circumstantele intoxicatiilor etilice acute.
asocierea consumului de alcool cu fumatul sau cu abuzul de medicamente.
descoperirea simptomelor de dependenta (toleranta crescuta, stil de consum stereotip, intoxicatii acute etanolice in antecedente, constientizarea viciului, incercari esuate de abstinenta, preocupari legate de alcool, consum precoce matinal).
Observatie: datele legate de anamneza au putut in multe cazuri sa clasifice deja problemele legate de alcool (probleme izolate de consum, consum cu riscuri incipient sau avansat, dependenta alcoolica incipienta sau avansata). Dupa L. Bieder, anamneza poate fi suficienta pentru diagnostic in unele cazuri. Daca bolnavul nu poate fi caracterizat din punct de vedere al consumului, se fac urmatorii pasi ai algoritmului.
Examenul fizic general. A ridicat frecvent suspiciunea de alcoolism cronic 'la prima vedere', bolnavul prezentind tremor, facies alcoolic (teleangiectazii, edeme perioculare, prurit conjunctival), stare de subnutritie, transpiratii, semne de iritabilitate, vorbire neclara, contractura Dupuytren, halena alcoolica.
Examenul fizic pe aparate si sisteme. A aratat frecvent modificari la nivelul urmatoarelor aparate si sisteme: piele si mucoase, ficat, sistem neuromuscular. Am efectuat urmatorul algoritm de examinare fizica:
i. Masurarea tensiunii arteriale si a pulsului; alcoolicii au frecvent hipotensiune arteriala posturala, datorita dereglarilor sistemului autonom.
ii. Aprecierea statusului mental (memorie, ideatie).
iii. Respiratia poate avea un miros ce sugereaza consum recent de etanol, insuficienta hepatica sau modificari metabolice.
iv. Marimea tiroidei apeciata palpator; o hipertiroidie poate mima un sindrom sever de intrerupere.
v. Examen clinic neurologic, cu atentie speciala acordata miscarilor globilor oculari, marimii pupilei, evidentierii unor traumatisme craniene, frecvente la alcoolici prin accidentari diverse.
vi. Examenul pielii si a mucoaselor (conform foii de observatie dermatologice).
vii. Semne de afectare cronica hepatica. Am cautat: mariea si consis-tenta ficatului, existernta asterixului, a ascitei, a icterului, a circulafiei colaterale pe flancurile abdominale, a semnelor de insuficienta hepatocelulara, etc.
Deoarece nu exista un marker biologic ideal pentru detectarea si monitorizarea alcoolismului, se utilizeaza o 'baterie de teste' biochimice, enzimatice, hematologice, imunologice, care detecteaza mai ales modificarile functiei hepatice:
GGT (gama - glutamil - transpeptidaza)
VEM (volumul eritrocitar mediu)
3. GPT si alte enzime serice si diverse rapoarte GPT/GOT, GPTmitocondrial / GPTtotal, glutamat dehidrogenaza.
FAL (fosfataza alcalina)
GOT/FA
Ig A/transferina
7. cresterea:
raportului acid alfa-amino-N-butiric/leucina
lipoproteinelor serice
HDL
apoproteinei A II
8. alcoolemia
9. osmolaritatea serica
concentratia alcoolului in aerul expirat
In studiul de fata am utilizat pentru screeningul alcoolicilor, o baterie de examinari conform ghidului pentru combaterea alcoolismului OMS (2003):
teste de laborator: GPT, GGT, VEM
date despre antecedentele traumatologice osoase
date clinice: tremorul mainilor, injectarea conjuctivelor, vascularizatia anormala a pielii (mai ales in zona faciala), tremorul limbii, hepatomegalia.
Deoarece sensibilitatea examenului clinic si a testelor de laborator nu este de 100%, diagnosticul de certitudine a fost pus pe baza chestionarului. Am folosit trei tipuri de chestionare: MAST, CAGE si ELURA.
Prelucrarea datelor
Structura lotului de etilici cronici, in functie de boala dermatologica a fost urmatoarea:
426 bolnavi cu PCT, dintre care 398 barbati si 28 femei
142 bolnavi cu eritem pelagroid sau pelagra, din care 98 barbati si 46 femei
102 bolnavi cu SBB, din care 99 barbati si 3 femei.
Total: 670 bolnavi.
Distributia celor trei boli dermatologice in lot este:
63,58% bolnavi cu PCT
21,19% bolnavi cu eritem pelagroid sau pelagra
15,23% bolnavi cu SBB
Distributia celor 3 boli dermatologice este:
Distributia pe sexe in lotul studiat este de 595 barbati (80,8%) si de 75 femei (19,2%)
Rezultatele sunt similare celor obfinute de T.Banciu, care obtine raportul pe sexe in populatia de mari consumatori de etanol: barbati/femei= 9/1, fata de un raport barbati/femei= 2/1 in populatia de consumatori ocazionali de etanol.
Distributia numarului de bolnavi pe
ani in lotul studiat arata o alura ascendenta a graficului. Cresterea
numarului de bolnavi etilici cronici internati in serviciile de
dermatologie reflecta, pe de o parte, cresterea generala a
alcoolismului in
Proportia femeilor in lotul de bolnavi studiat pe ani arata o scadere in 2002 fata de perioada anterioara:
Distributia pe grupe de virsta si pe boli dermatologice a aratat:
Din 426 bolnavi cu PCT:
16 bolnavi intre 20-29 ani (3,75 %)
64 bolnavi intre 30-39 ani (15,02 %)
122 bolnavi intre 40-49 ani (28,63 %)
156 bolnavi intre 50-59 ani (36,61 %)
61 bolnavi intre 60-69 ani (14,31 %)
7 bolnavi intre 70-79 ani (0,16 %)
Numarul maxim de cazuri de etilici cronici cu PCT se inregistreaza in decada de virsta 50-59 de ani. Peste 60% din cazuri au virsta intre 40 si 59 de ani.
Din 142 bolnavi cu eritem pelagroid-pelagra,
15 bolnavi intre 30-39 ani (10,56 %)
49 bolnavi intre 40-49 ani (34,50 %)
41 bolnavi intre 50-59 ani (28,87 %)
27 bolnavi intre 60-69 ani (19,01 %)
10 bolnavi intre 70-79 ani (7,06 %}
Numarul maxim de cazuri se inregistreaza in decada de virsta 40-49 de ani. Peste 60% din cazuri au intre 40 si 59 de ani.
Din 102 bolnavi cu SBB:
8 bolnavi intre 30-39 ani (7,84 %)
30 bolnavi intre 40-49 ani (29,41 %)
34 bolnavi intre 50-59 ani (33,33 %)
28 bolnavi intre 60-69 ani (27,45 %)
2 bolnavi intre 70-79 ani (1,97 %)
Numarul maxim de cazuri de SBB se inregistreaza in decada de virsta 50-59 de ani.
|
|
Numarul maxim de cazuri de porfirie cutanata tardiva, eritem pelagroid si sindrom Bureau Barriere se inregistreaza intre 40 si 69 ani, perioada de deplina activitate sociala.
Caracteristici de consum in lotul studiat
Pentru descrierea statistica a lotului am notat cateva date generale de consum: preferinte fata de bauturile alcoolice, durata consumului in ani si cantitatea aproximativa medie cotidiana recunoscuta. Am cautat aceste date generale la cei 146 bolnavi etilici cronici internati in 2003.
In timp ce bautorii 'incepatori' au o preferinta nediferentiata fata de tipurile de bauturi alcoolice, tulburarea de foarte lunga durata a comportamentului consumului duce la o 'specializare' pe categorii de bauturi. Am constatat ca procentul cel mai ridicat il dau consumatorii de vinuri, apoi de bauturi distilate si apoi cei fara preferinte.
|
Prefera distilate dar bea si altele |
Prefera vin dar bea si altele |
Bea orice fara preferinte |
Total |
|
|
Nr. de cazuri | ||||
|
Procent nr. cazuri |
Studiul cantitatii medii zilnice de bautura alcoolica afirmate de bolnav arata ca majoritatea bolnavilor consuma sub 1L pe zi. in cazul bauturilor spirtoase (tuica), chiar 0,5 L reprezinta o cantitate ce depaseste limita fiziologica a capacitatii de metabolizare a etanolului.
|
Cantitatea de bautura zilnica medie |
0,5 L |
1L |
2L |
3L |
Total |
|
Nr. de cazuri | |||||
|
Procent nr. cazuri |
Studiul duratei consumului (in ani) a aratat urmatoarea distributie:
|
Durata consumului |
< 5 ani |
5-10 ani |
10-15 ani |
> 15 ani |
Total |
|
Nr. de cazuri | |||||
|
Procent nr. cazuri |
Majoritatea componentilor lotului au un istoric de consum cronic de alcool ce depaseste 15 ani.
Observatii asupra unui lot de bolnavi etilici cronici cu PCT internati in clinica de dermato-venerologie Colentina in perioada 01.01.1999-01.01.2003
Am efectuat studiul asupra unui lot de bolnavi cu PCT internati in clinica de dermato-venerologie Colentina in perioada 01.01.1999-01.01.2003. Lotul a fost constituit din 426 de bolnavi, cu urmatoarea distributie pe ani:
|
Anul |
Total |
|||||
|
Nr. cazuri PCT |
Bolnavii internati in anii 1999, 2000, 2001 au fost studiati pe baza foii de observatie (179 bolnavi). Bolnavii internal in anii 2002, 2003 au fost studiati pe baza foii de observatie sau personal (chestionarele de consum).
Structura lotului de bolnavi din punct de vedere etiologic este urmatoarea:
386 bolnavi alcoolici cronici, reprezentind 90,61% din totalul bolnavilor
38 bolnavi cu PCT in etiologia careia nu este implicat consumul cronic de etanol, adica 9,39%.
Rezultatul confirma ponderea foarte mare a alcoolismului cronic in etiologia PCT (aproape 91%). Structura lotului format din cei 386 bolnavi etilici cronici, pe anii studiati este urmatoarea:
|
Anul |
Total |
|||||
|
Nr. cazuri PCT | ||||||
|
Nr. cazuri PCT alcoolice | ||||||
|
% cazuri PCT alcolice din total |
Analiza procentelor pe care le reprezinta etiologia alcoolica, pe ani, arata ca ponderea etiologiei alcoolice s-a mentinut aproximativ constanta de-a lungul anilor, valorile fiind cuprinse in intervalul 90,36%-92,85%, media aritmetica pe 5 ani fiind 90,61%.
Studiile lotului de 386 alcoolici cronici cu PCT, pe sexe, arata ca s-au internat:
365 barbati, adica 94,56%
21 femei, adica 5,44%
Boala predomina la barbati net.
Structura pe sexe si pe ani a lotului celor 316 bolnavi:
Studiul lotului pe sexe si pe ani arata variatii ale ponderii sexului feminin cuprinse intre 3,33% si 6,55%, cu o medie aritmetica pe 5 ani de 4,42%. Desi ponderea femeilor este dubla in 2000 fata de 1999, nu putem desprinde concluzii pertinente asupra tendintelor de participare feminina la lotul de PCT, deoarece variatiile ponderii sunt in plus sau in minus, si deoarece numarul de paciente este foarte mic comparativ cu al barbatilor (2-4 internari pe an la femeile cu PCT alcoolice).
In ceea ce priveste evolutia bolii dermatologice la alcoolicii cronici, analiza internarilor si reinternarilor in anii 2002 si 2003 arata:
Dintre cei 172 bolnavi internal in 2002:
19 bolnavi (11,04%) au fost reinternati in cursul aceluiasi an inca o data,
4 bolnavi (2,32%) au fost reinternati inca de doua ori,
adica recidivele au fost frecvente si foarte frecvente in 13,36% din cazuri
Dintre cei 146 bolnavi internati in 2003:
23 bolnavi(15,75%) au fost reintemati in cursul aceluiasi an inca o data,
7 bolnavi (4,79%) au fost reinternati inca de doua ori,
adica recidivele au fost frecvente si foarte frecvente in 20,54% din cazuri.
Recidivele frecvente si foarte frecvente sunt in 2003 la un nivel mai mare fata de 2002 (cu aproximativ 7%)
Dintre cei 172 internati in 2002, 32 bolnavi (18,60%) s-au reinternat in anul 2003; acesti 32 bolnavi reprezinta 21,91 % din bolnavii internati in 2003.
Dintre cei 32 bolnavi reinternati in 2003:
17 bolnavi s-au reintemat o data in 2003
11 bolnavi s-au reinternat de 2 ori in 2003
4 bolnav s-a reinternat de 3 ori in 2003
14 bolnavi s-au mai reinternat o data in 2002.
Pe perioada 2002-2003, din cei 32 bolnavi:
3 bolnav a avut: 3 internan 2002 si 1 internare 2003
18 bolnavi au avut: 1 internare 2002 si 1 internare 2003
8 bolnavi au avut: 2 internan 2002 si 2 internari 2003
3 bolnavi au avut: 2 internari 2002 si 3 internan 2003
Cei 32 bolnavi se impart in:
18 bolnavi cu 2 internari
11 bolnavi cu 4 internari
3 bolnavi cu 5 internari
Acest lot format din bolnavi cu recaderi frecvente si foarte frecvente, necesitind 2-5 reinternari in doi ani consecutivi, este reprezentativ pentru caracterul pe care continuarea consumului de alcool la nivele mari dupa externare (confirmata anamnestic la cei 32 bolnavi) il imprima evolutiei bolii dermatologice.
Relatia intre consumul de alcool si evolutia bolii dermatologice este mediata de afectarea hepatica. Se admite in literarura ca alcoolicii cronici au cvasiconstant steatoza hepatica ( forma cea mai blanda de afectare hepatica), dar consumul mare pe perioade lungi predispune la evolutia steatozei spre steatofibroza, hepatita alcoolica, ciroza hepatica, hepatom malign.
Evolutia nefavorabila a bolii dermatologice sugereaza o afectiune hepatica intretinuta, daca nu agravata, de nerenuntarea la alcool. Substratul hepatic trebuie tratat concomitent cu boala dermatologica, in mod adecvat, intens si diferentiat in functie de stadiul lezarii hepatice. Recidivele frecvente sustin ideea ca tratamentul hepatoprotector clasic ( aplicat in mod prea putin diferentiat bolnavilor cu PCT si constind in solutii de aminoacizi, vitamine, medicamente hepatotrofice), este adesea ineficient pe termen lung. El este eficient in formele blande de steatoza hepatica, cu precizarea ca factorul cel mai important pentru vindecarea sau ameliorarea leziunii hepatice cere un tratament adecvat, mai agresiv. Pentru selectarea acestor cazuri cu stadii avansate de afectare hepatica sunt necesare doua conditil:
Observatie: una dintre cele mai importante situatii de investigat este asocierea PCT-etilism cronic, deoarece hepatomul malign este o complicate grava si frecventa.
Pentru depistarea stadiului de afectare hepatica examenele clinic si de laborator sunt insuficiente si nespecifice.
Astfel, la cei 318 bolnavi etilici cronici cu PCT intemati in perioada 2002-2003, examenul clinic a gasit hepatomegalie sau alte semne de afectare hepatica (consistenta mai crescuta sau mai scazuta, icter, semne de hipertensiune portala, etc), deci clinica sugestiva pentru hepatopatie alcoolica, la 271 bolnavi, ceea ce reprezinta 85,22%.
Testele de laborator nu sunt foarte sensibile in detectarea hepatopatiei alcoolice in functie de stadiu (de exemplu GGT).
Diagnosticul de certitudine al stadiului hepatopatiei alcoolice se face morfologic, dar punctia-biopsie hepatica nu este o metoda care se poate aplica de rutina in serviciul de dermatologie.
Cele mai abordabile metode, desi inferioare ca performanta in cazul hepatopatiilor difuze (cum este cea alcoolica), sunt ecografia, mai putin scintigrafia hepatica si tomografia computerizata. Aceste metode imagistice ofera elemente cu caracter orientativ.
Am investigat lotul de 32 bolnavi cu PCT si internari multiple. Concluziile ecografice au fost:
ficat normal: 0 cazuri, 0%
steatoza, steatofibroza: 13 cazuri, 40,62%
hepatita cronica activa: 7 cazuri, 21,87%
ciroza hepatica: 12 cazuri, 37,51%.
Cazuri clinice de PCT alcoolica
# Bolnavul TA., 57 ani, 3 internari in 2002-2003
Motivele internarii:
- leziuni buloerozivocrustoase pe tegumentele expuse la soare
- scadere punderala semnificativa (8kg in aproximaiiv 9 luni)
- dureri in hipocondrul drept scaune diareice
Istoricul bolii:
In 1998 apare la nivelul tegumentelor expuse la soare o fragilitate deosebita la microtraumatisme si apar leziuni buloase ce lasa prin vindecare leziuni atrofocicatriciale.
Ulterior apar macule si placi depigmentate la nivelul fetei dorsale a miinilor si picioarelor.
Antecedente personale patologice:
HAV cu virus B, Icter mecanic operat, Hepatita cronica persistenta (diagnosticata in 1990), PCT (diagnosticata in 1998).
Conditii de viata si munca:
Consumalor cronic de etanol (2L bauturi tari de peste 20 de ani), expunere la pesticide.
Examen obiectiv general:
Stare generala afectata, astenie fizica si psihica, casectic, subicter scleral, abdomen sensibil la palpare in hipocondrul drept, hepatomegalie (ficat cu marginea superioara in spatiul V i.c. drept si marginea inferioara la 3 cm sub rebordul costal), consistenta hepatica dura, splenomegalie.
Examen local:
Pe dosul miinilor si pe fata eruptie polimorfa alcatuita din bule cu continut seros, eroziuni si ulceratii acoperite cu cruste brune serohematice, cicatrici atrofice, microchiste cornoase; Hipertricoza temporomalara; Hiperpigmentare reticulata facial (zigomatic); Leziuni sclerodermiforme la nivelul miinilor, modificari ale tesutului facial (ridare) si occipital. Simetric pe fata dorsala a miinilor si picioarelor, placi acromice alb cretoase (diametrui de 0,5-1cm.), cu halou hiperpigmentat.
Examene de laborator modificate:
Hb = 10,l mg/100ml
VSH = 100 mm/lora
Sideremie = 205gama/100ml
Proteinemie = 6,5g/100ml
Gamaglobuline = 22,1%
GPT = 70u.i.,
Tymol = 6u.ML,
Sulfat de zinc = 9uML
FAL = 208u.i.
Uroporfirine urinare = 450gama/L
Coproporfirine urinare = 380gama/L
PBG(porfobilinogen)urinar = 1mg/L
Acid delta-amino-levulinic urinar = 2,3mg/L
Examene paraclinice:
Ecografie abdominala, CT hepatica: tumora hepatica
Examen histopatologic al leziuniior acromice confirma diagnosticul de vitiligo Chestionarul: 10 puncte la testul MAST.
Diagnosticul pozitiv:
1. Porfirie cutanata tardiva.
2. Vitiligo.
3. Adenocarcinom hepatic
Evolutie si tratament:
Pentru ieziunile cutanate, bolnavul este tratat cu topice cortizoce si antiseptice. Este oriental catre I.O.B. in vederea tratamentului de specialitate.
Particularitatea cazulul:
Pe primul plan sta afectiunea
hepatica ficatul fiind agresionat sinergic viral, toxic (etanolic si noxe
profesionale). Bolnavul prezinta asocierea PCT cu adenocarcinom hepatic,
asociere cu incidenta crescuta in literatura de specialitate.
Numitorul comun ar fi anemia (
# Bolnavul SA., 48 ani, 3 internari in 2002-2003
Motivele internarii:
- leziuni buloerozivocrustoase si atrofocicatriciale pe tegumentele expuse la soare
- hipertricoze malare
- urini hipercrome
- astenie, fatigabilitate
Istoricul bolii:
De aproximativ 2 ani apar pe tegumentele expuse la soare leziuni buloase in urma microtraumatismelor. Dupa vindecare, lasa cicatrici atrofice. Antecedente personale patologiee: PCT (2001), Polinevrita toxicocarentiala, Apendicectomie (la 20 de ani) Conditii de viata si de munca:
Consum cronic de alcool ( peste 1L vin sau/si bere zilnic, peste 20 de ani)
Examen obiectiv general:
Bolnav subponderal, cu hipopilozitate axilara, stelute vasculare, circulatie colaterala pe flancurile abdominale, abdomen meteorizat, ficat cu marginea superioara in spatiul V i.c. drept si marginea inferioara la 3 cm sub rebord cu consistenta usor crescuta, margine anterioara ascutita, hipoestezie digitala la membrele inferioare 'in soseta'
Examen local:
Fata dorsala a mainilor si regiunile fetei sunt sediul unor leziuni buloerozivocrustoase si atrofocicatriciale.
Examene de laborator modificate:
Hb = 12 mg/100ml
Ht = 38 %
VSH = 32 mm/ora
Sideremia = 200gama/ 100ml ser
Proteine = 6,5g/100ml
Gama-globuline = 24,25%
GPT = 29u.i.
FAL = 140u.i.
Gama-glutamiltranspeptidaza = 68 mu/ml
Coproporfirine urinare = 395gama/L
Urorfirine urinare = 600gama/L
PBG urinar = 1,2mg/L
Examene paraclinice:
Ecografie hepatica-ciroza hepatica
Examen neurologic-polinevrita toxicocarentiala
Chestionar: 3 puncte CAGE
Diagnostic pozitiv:
1. PCT
2. Polinevrita toxicocarenfiala
3. Etilism cronic
4. Ciroza hepatica
Evolutie si tratament:
Bolnavul a primit tratament general cu sedative (Diazepam), vitamine (PP, Bl, B6, A), hepatotrofe (LIV, Hepatobil), chelatori de porfirine (Hidroxiclorochina asociata cu bicarbonat de Na), chelatori de Fe (Desferoxamina), tratament topic cu cortizoni si antiseptice. Leziunile cutanate au avut o evolutie favorabila sub tratament.
Particularitatea cazului:
Bolnavul prezinta afectare hepatica (ciroza) prin consum cronic de etanol. Bolnavul asociaza PCT cu ciroza hepatica, polinevrita toxicocarentiala si sindrom anemic.
# BolnavuJ D.S. 57 ani, 2 internari in 2003
Motivele internarii:
- leziuni buloveziculocrustoase si atrofocicatriciale pe fefele dorsale ale mainilor
- hiperpigmentare difuza a tegumentelor fetei si hipertricoza malara
- urini hipercrome
Istoricul bolii:
Bolnavul este in evidenta clinicii de dermatologie de aproximativ 2 ani. Anul acesta fiind internal de doua ori.
Antecedente personale patologice:
PCT (1992), Colecistectomie (1991, litiaza biliara), HTA stadiul I
Conditii de viata si de munca:
Consum cronic de etanol, aproximativ 1L de tuica zilnic, de aproape 10 ani.
Examen obiectiv general:
Abdomen meteorizat, nedureros la palpare, ficat cu marginea superioara in spatial V i.c. drept si limita infcrioara la rebord
Examen local:
1. spatiile interdigitoplantare prezinta eritem, scuame, fisuri.
2. fetele dorsale ale mainilor sunt sediul unor leziuni buloerozivocrustoase si atrofocicatriciale; hiperpigmentare difuza la nivelul fetei, riduri adanci periorbitar si peribucal; Hipertricoza malara
Examene de laborator modificate:
VSH = 30mm/ora
Sideremie = 215gama/100ml
Proteine = 6,2g/L
Gama-globuline = 22,98%
GPT = 20ui
Tymol = 7uML
Sulfat de zinc = 10u.ML
Gama-glutamiltranspeptidaza = 165mu/ml
Coproporfirine urinare = 350gama/L
Urorfirine urinare = 430gama/L
PBG urinar = 1mg/L
Acid delta-amino-levulinic urinar = 1,2mg/L
Examene paraclinice:
Ecografie hepatica - ficat cu dimensiuni normale, ecodensitate crescuta, intensa, neomogena, aspect pestrit
Examen micologic - filamente miceliene interdigitoplantare
Chestionar: 7 puncte ELURA
Diagnostic pozitiv:
1. PCT
2. Epidermofitie interdigitoplantara
3. Etilism cronic
4. Hepatita cronica persistenta
Evolutie si tratament:
Bolnavul a primit tratament general cu sedative (Diazepam), vitamine (PP, Bl, B6, A), hepatotrofe (LIV, Hepatobil), chelatori de porfirine (Hidroxiclorochina asociata cu bicarbonat de Na), chelatori de Fe (Desferoxamina), tratament topic cu cortizoni si antiseptice. Leziunile cutanate au avut o evolutie favorabila sub tratament.
Particularitatea cazului:
Bolnavul cunoscut cu PCT care nu respecta recomandarea intreruperii consumului de alcool, se interneaza de repetate ori pentru pusee de porfirie si hepatita cronica persistenta. Aceasta asociere este frecventa si poate fi sugerata de ecografia hepatica atunci cand clinica este slab sugestiva.
Observatii asupra unui lot de bolnavi etilici cronici cu pelagra internati in clinica de dermato-venerologie Colentina in perioada 01.01.1999-01.01.2003
Am efectuat studiul asupra unui lot de bolnavi cu pelagra sau eritem pelagroid internati in clinica de dermato-venerologie Colentina in perioada 01.01.1999-01.01.2003. Lotul a fost constituit din 111 de bolnavi, cu urmatoarea distributie pe ani:
|
Anul |
Total |
|||||
|
Nr. cazuri P/EP |
Din reprezentarea grafica se observa o crestere continua a numarului de cazuri de pelagra sau eritem pelagroid in ultimii 5 ani.
Aceasta crestere poate avea doua explicatii: cresterea incidentei alcoolismului cronic dupa 1999 (alcoolismul conduce, prin lipsa alimentatiei de calitate, la aparitia deficientelor proteice, vitaminice si in oligoelemente).
Analizind dieta acestor bolnavi, am gasit urmatoarele relatii intre alcoolism si pelagra / eritem pelgroid:
|
Anul |
Total |
|||||
|
Nr. bolnavi cu pelagra/eritem pelagroid | ||||||
|
Nr. bolnavi cu pelagra/eritem pelagroid de etiologie nealcoolica | ||||||
|
Nr. bolnavi cu pelagra/eritem pelagroid de etiologie alcoolica | ||||||
|
% bolnavi cu etiologie alcoolica |
Dine cele 14 cazuri de pelagra / eritem pelagroid in care s-a exclus etiologia alcoolica (9,85 % din totalul cazurilor) 10 erau de sex feminin si 4 de sex masculin. Toate au fost cazuri usoare, oligosimptomatice si nici unul nu s-a incadrat in diagnosticul de pelagra - forma completa.
|
Anul |
Femei (toti anii) |
Barbati (toti anii) |
Total |
|
Etiologie nealcoolica | |||
|
Etiologie alcoolica | |||
|
TOTAL |
Pentru a evaluarea legaturii dintre etiologiea alcoolica a EP/P si sexul am efectuat o analiza χ2. Gradul de libertate pentru acest tabel este df = (2-1) x (2-1) = 1
Calculul frecventelor asteptate in ipoteza a unei non-relatii este urmatorul:
Etilogia alcoolica este prezenta la 90,14% din cazuri. Numarului de bolnavi cu antecedente de alcoolism cronic si pelagra (orice forma clinica) a crescut constant in ultimii 5 ani ceea ce sustine ideea ca numarul total de cazuri de pelagra este in corelatie cu cresterea alcoolismului cronic, asociat sau nu cu o dieta insuficienta calitativ sau cantitativ.
Dintre etilicii cronici (102), 32 de bolnavi au fost de sex feminin (31,37%) iar 70 de bolnavi au fost de sex masculin (68,63%)
|
Anul |
Total |
|||||||||||
|
Nr. bolnavi cu pelagra/eritem pelagroid de etiologie alcoolica | ||||||||||||
|
Segregare pe sexe (B/F) | ||||||||||||
Eritemul pelagroid - pelagra in care este implicata etiologia alcoolica este mai frecvent la barbati decat la femei dar tendinta este de egalizare a raportului deorece procentul de alcoolici cronici de sex feminin tinde sa il egalizeze pe cel de al alcoolicilor cronici de sex masculin.
Pelagra se poate manifesta clinic sub o forma incompleta (unul sau doua din sindroamele care o definesc: cutanat, digestiv sau neuropsihic), sau sub forma completa (diagnosticul de pelagra) sau poate fi inaparenta clinic.
Dat fiind profilul serviciului in care am realizat studiul (Dermatologie) nici unul din cei 102 de bolnavi nu a avut forma subclinica. Toti au prezentat cel putin sindromul dermatologic, constind in eritem pelagoid.
Sindroamele clinice au fost prezentate astfel:
sindrom cutanat la 102 bolnavi (100% din totalul bolnavilor)
sindrom digestiv (diaree) la 63 bolnavi (61,76% din totalul bolnavilor)
sindrom neurologic la 40 bolnavi (14,70% din totalul bolnavilor)
Formele clinice de pelagra sunt combinatii de 1, 2 sau 3 sindroame.
|
Nr. bolnavi | ||
|
Pelagra - forma completa | ||
|
Sd. cutanat + sd. digestiv | ||
|
Sd. cutanat + sd. neuropsihic | ||
|
Sd. cutanat |
Pina in 1999 se considera ca
pelagra, in forma sa completa, a disparut in
Cazuri clinice de pelagra forma completa sau forma incompleta
# Bolnavul A.O., 45 ani
Motivele internarii:
Placarde eritematoerozivocrustoase pe fata dorsala a mainilor
Istoricul bolii:
In urma cu un an dupa o expunere prelungita la scare, au aparut placarde asemanatoare care s-au remis. Acum 1 saptamana bolnavul face un nou puseu. in ultimele doua zile au o tendinta la suprainfectare si prurit.
Antecedente personale patologice:
Apendicectomie (la 14 ani), Gastritia cronica (1998)
Conditii de viata si de munca:
Consuma cronic etanol, 1L de vin/zi de peste 15 ani
Examen obiectiv general:
Bolnav subponderal, stare generala usor alterata, hipoestezie distala a membrelor inferioare 'in soseta', acuze parestezice, tremor postural al membrelor superioare. Examen local:
Fata dorsala a mainilor este sediul unor placarde eritematoerozivocrustoase si fisurate; cheileita a buzei inferioare.
Examene de laborator modificate:
Hb = 12mg/ 100ml
VSH = 90mm/lora
GPT = 20 u.i.
Examene paraclinice:
Examen micologic: s-au gasit filamente miceliene interdigitoplantar si unghial Examen neurologic: polineuropatie predominant senzitiva neurotoxica.
Examen psihiatric: sindrom psihoorganic cronic; delirum tremens
Diagnostic pozitiv:
1. Eritem pelagroid
2. Polinevrita toxicocarentiala
3. Etilism cronic si sindrom psihoorganic
4. Epidermofitie interdigitoplantara si unghiala
Evolutie si tratament:
Tratament general al sindromului de intrerupere si al manifestarilor neuropsihice cu vitamine Bl, B6, Haloperidol, Clordelazin, Diazepam, tratament cu complexe vitaminice (Polivitaminizant S, Multivitamin), tratament local al leziunilor cutanate cu corticoizi si antiseptice. Leziunile cutanate, sub tratament, incep sa se vindece, fisurile se epitelizeaza.
Particularitatea cazului:
Consumator cronic de etanol sub forma de bautura distilata, asociaza o forma unisimptomatica de pelagra (sindrom cutanat) cu modificari nervoase si psihice in cadrul etilismului cronic, precum si conditii frecvente in cadrul alcoolismului cronic: infectii localizate (foliculita) si modificari ale mucoaselor digestive (rinofaringita cronica). Modificarile digestive din antecedente si unele manifestari psihice puse pe seama sindromului de intrerupere ar putea completa o faza incipienta, subclinica, a unei pelage completa in devenire.
# Bolnavul JI., 63 ani
Motivate internarii:
- leziuni eritematoerozivocrustoase pe fata dorsalii a mainilor
- diare cronica
- eritem, edem, eroziuni sangerande ale buzei inferioare
- fatigabilitate, insomnie
Istoricul bolii:
Dupa expunere prelungita la soare apar leziunile cutanate si cheileita Antecedentele personale patologice:
Fara importanta
Conditii de viata si de munca:
Consum zilnic de etanol, 0,5L tuica peste 20 de ani
Examen local:
Buza inferioara edematiata, edematoasa, cu descuamari, presarata cu cruste melicerice si hematice, care, detasate, lasa fisuri si eroziuni adanci, sangerande; fata dorsala a mainilor este sediul unor leziuni eritematoase, cu eroziuni, cruste.
Examene de laborator modificate:
Hb = 11mg/ml
VSH = 30mm/2 ore
Glicemie = 65mg/100ml
Proteine = 5,5 g/100ml
Gama-globine = 22%
Examene paraclinice:
Ecografie abdominala = Steatoza hepatica
Examen neurologic = Polinevrita toxicocarenfiala
Examen psihiatric = Sindrom psihoorganic in cadrul pelagrei (insomnii, agitatie, fatigabilitate, iritabilitate); sindrom psihoorganic (se adauga dupa spitalizare si incetarea consumului o agitatie marcata, transpiratii ale palmelor si plantelor, crize depresive cu plans)
Chestionarul: 18 puncte la testul MAST
Diagnosticul pozitiv:
- Pelagra forma completa
- Etilism cronic ; Sindrom psihoorganic cronic
Tratament si evolutie:
- tratament general cu preparate polivitaminizante, cu Saprosan (oral),
- tratament local dermaiologic cu topice cu corticoizi si antiseptice,
- tratament general cu Mecopar, vitaminele PP si complex B,
- tratament de urgenta al sindromului de intrerupere cu: Diazepam, Haloperidol, Clordelazin, vitamina B6.
- in cursul spitalizarii bolnavul a facut manifestari de sindrom de intrerupere; se externeaza cu remisiune dermatologica, cu recomandarea intreruperii consumului de alcool, regim bogat in proteine si vitamine, evitarea expunerii la soare.
Particularitatea cazului:
Bolnavul prezinta o forma completa de pelagra (sindrom cutanat, digestiv, neuropsihic) care necesita si tratament de urgenta psihiatric; daca pana acum diagnosticul era aproape exclusiv de Eritem pelagroid, astazi putem intilni Pelagra ca boala exprimata in totalitatea manifestarilor sale.
# Bolnavul A.C., 40 ani
Motivele internarii:
- leziuni eritematoedematoveziculocrustoase pe fata dorsala a mainilor
Istoricul bolii:
Aceste leziuni au aparut dupa o expunere prelungita la soare.
Antecedente personale patologice:
Fara importanta
Conditii de viata si munca:
Consumator cronic de alcool, 1L tuica/zi, de peste 20 de ani.
Examen obiectiv general:
Atrofia bilatrala a muschilor gambei, ficat cu marginea superioara in spatiul V i.e. drept si marginea inferioara la 2 cm sub rebordul costal, hipoestezie distala 'in pantof', dureri la compresia maselor musculare, R.O.T. vii bilateral. Babinski (-). Discret tremor postural al mainilor la proba bratelor intinse.
Examen local:
Leziuni edematoase, cu cateva leziuni buloerozivocrustoase pe fetele dorsale ale mainilor, regiunile palmare fiind sediul unor leziuni difuze scuamokeratozice, fisurate, moderat pruriginoase.
Tegumentele sunt macerate, fisurate, pruriginoase interdigitoplantar.
Examene de laborator modificate:
Hb = 10,9g/ml;
Proteinemie = 6g/100ml
Garna-globuline = 25%,
Gama-glutamil-transpeptidaza = 49mu/ml
Examene paraclinice:
Ecografie abdominala: hepatomegalie. Ecodensitate omogen crescuta cu reflectivitate crescuta.
Examen micologic: filamente miceliene palmar si plantar.
Examen psihiatric: sindrom psihoorganic cronic (forma usoara)
Chestionarul: 2 puncte CAGE
Diagnosticul pozitiv:
1. Eritem pelagroid
2. Tinea manum si tinea pedis
3. Polinevrita toxicocarentiala
4. Steatoza hepatica
5. Etilism cronic; Sindrom psihoorganic cronic.
Tratament:
Tratament general cu polivitamine (Polivitaminizant S, Viplex), hepatoprotectoare, local cu antiseptice si antiflogistice (creme cu corticoizi); tratament general al sindromului de intrerupere (Tioridazin, Diazepam, Clordelazin, Halopendol, Vitamina Bl, Vitamina B6)
Evolutie:
In timpul internarii bolnavul a facut sindrom de intrerupere; evolutia leziunilor cutanate a fost favorabila sub tratament; se estimeaza vindecat cutanat, cu recomandarea evitarii consumului de alcool, evitarea expunerii la soare si fotoprotectie, regim igienodietetic adecvat.
Particularltatea cazului:
Bolnav tanar, aflat la primul puseu al bolii dermatologice, cu leziuni exclusiv cutanate pe zone mici, de eritem pelagroid, la investigatii suplimentare este gasit cu modificari organice hepatice, nervoase si cu modificari psihice in cadrul alcoolismului cronic.
O oprire a consumului de alcool in acest stadiu precoce ar determina vindecarea pelagrei si ar preveni evolutia spre alte doua boli dermatologice majore: porfiria cutanata tardiva si mal perforant plantar.
Observatii asupra unui lot de bolnavi cu Sindrom Bureau-Barierre internati in perioada 01.10.1999-31.12.2003 in clinica de dermatovenerologie Colentina
SBB este o boala mutilanta, care poate transforma individul intr-un dependent social. Daca boala este depistata in stadiile incipiente si se reuseste abandonarea consumului de alcool, se poate ajunge la oprirea evolutiei bolii.
Lotul de bolnavi a fost constituit din 72 de bolnavi etilici cronici care au asociat neuropatie ulceromutilanta toxicocaremiala cu mal perforant plantar, internati in perioada 01.01.1999-31.12.2003.
Distribute numarului de bolnavi pe ani este urmatoarea:
|
Anul |
Total |
|||||
|
Nr. bolnavi cu SBB |
Diagnosticul etiologic al neuroacropatiilor se desfasoara in mai multe etape si presupune corelarea examenului clinic general si local (examen neurologic, dermatologic si ortopedic) cu un minimum de examene paraclinice.
In SBB, malul perforant plantar este expresia finala a modificarilor neurologice, care constau intr-o polineuropatie senzitiva predominant axonala. Trebuie facuta observatia ca etilismul poate fi in mod egal responsabil de o polineuropatie carentiala de tip demielinizant dar care nu determina evolutia spre mal perforant plantar. Daca polineuropatia demielinizanta se intrica cu cea de tip axonal, ea va modifica trasaturile clinice si electrofiziologiceale acesteia din urma.
In cazurile de SBB din lot examenele clinice si paraclinice au evidential polineuropatia senzitiva de tip axonal, numita si 'polineuropatie toxicocarentiala' in mod impropriu.
Anamneza bolnavilor din lot (cu SBB evoluat) a precizat anumite caracteristici ale debutului. Debutul bolii este reprezentat de o atingere cutanata situata intotdeauna la picioare si mai frecvent la haluce, pe fata lui ventrala, pe plante in zona metatarsiana, sau, mai rar, in regiunea calcaneeana. in cazul debutului la nivelul halucelui, bolnavii relatau aparitia unei flictene care se spargea si lasa loc unei ulceratii nedureroase, de mici dimensiuni (care ulterior crestea si incomoda mersul), fie mai rar aparitia unei ulceratii in centrul unei formatiuni hiperkeratozice preexistente. Uneori erau prezente la debut dureri la expunerea ia frig sau dupa perioade lungi de ortostatism.
Aspectul leziunilor se schimba in raport cu vechimea bolii. La bolnavii cu debut in urma cu cateva luni ulceratiile erau de mici dimensiuni, in timp ce la bolnavii cu evolutii de peste 1-2 ani erau prezente ulceratii mari de 3-4 cm diametru, eventual multiple, deformarea arhitecturii intregului picior, eventual amputatii ale degetelor sau traiecte fistuloase secretinde.
Evolutia mutilanta rapida a SBB din momentul aparitiei leziunilor de debut si faptul ca polineuropatia de tip axonal senzitiv reprezinta substratul SBB m-au determinat sa caut activ existenta polineuropatiei la un numar de bolnavi cu diferite boli dermatologice si care prezentau semne incipiente de SBB.
Criteriul de selectare a componentilor lotului de studiu a fost existenta unor simptome si semne clinice minore ce sugerau SBB incipient. Bolnavii prezentau concomitent boli dermatologice in etiologia carora intervenea sau nu alcoolul si toti erau consumatori cronici de etanol. Trei bolnavi nu au prezentat alte leziuni dermatologice cu exceptia celor sugestive pentru SBB.
Lotul a fost constituit din 15 bolnavi, care prezentau mai multe semne si simptome asociate: aspect neted, lucios al pielii piciorului, stare diskeratozica, uneori ihtioziforma a tegumentelor piciorului, onicodistrofie, tulburari sudorale (hiperhidroza plantara), hipertrofie tegumentara localizata la nivelul halucelui (aspect pseudogutos, infiltrare dura care nu lasa godeu, uneori cu aspect inflamator).
Lotul a fost constitut din 15 bolnavi:
5 bolnavi cu eritem pelagroid
4 bolnavi cu PCT
6 bolnavi cu semne de SBB incipiente
In toate cazurile examenul neurologic clinic si paraclinic a evidential o polineuropatie senzitiva de tip axonal sau o polineuropatie mixta (axonala si demielinizanta).
Datele statistice constatate arata o crestere mare a incidentei SBB in serviciul de dermatologie, corelata cel mai probabil cu cresterea incidentei alcoolismului cronic. Masurile de oprire a acestei cresteri sunt intensificarea educatiei sanitare pe linia combaterii alcoolismului, dar mai ales adoptarea unei atitudini interventioniste fata de primele manifestari ale polinevritei.
Importanta depistarii active a polinevritei toxicocarentiale consta in diagnosticarea precoce a SBB si in prevenirea producerii stadiilor avansate, grave, mutilante ale bolii.
Cazuri clinice de SBB forma incipienta sau avansata
# Bolnavul T.C., 40 ani
Motivele internarii:
- zone hiperkeratozice plantare bilateral
Istoricul bolii:
De aproximativ 2 luni, la nivelul plantei si pe fata plantara a degetelor III, IV si V, initial unilateral, apoi bilateral, apar zone hiperkeratozice circumscrise.
Antecedente personate patologice:
Rezectie gastrica tip Pean (2000, Ulcer gastric)
Conditii de viata si munca:
Consumator cronic de alcool (1/2L tuica de peste 20 ani)
Examen obiectiv general:
Status subponderal, teleangiectazii malare, ficat cu marginea superioara in spatiul V i.e. drept si marginea inferioara la 2cm sub rebordul costal; hipoestezie distala a membrelor inferiore; modificari neurovegetative (hipersudoratie ale palmelor si plantelor)
Examen local:
Zone hiperkeratozice cu diametru mic de aproximativ 0,5 cm pe zonele de sprijin si pe fata plantara a degetelor III, IV si V, bilateral.
Haluce stang rosu, edematiat, lucois cu aspect pseudogutos; interdigitoplantar tegumente macerate, eritematoase, cu fisuri si scuame.
Examene paraclinice:
Examenul micologic gaseste filamente miceliene interdigitoplantar.
Examenul neurologic gaseste semne ale polinevritei toxicocarentiale senzitivo-motorie.
Diagnistic pozitiv:
1. Sindrom Bureau-Barierre incipient (polinevrita toxicocarentiala cu modificari plantare tegumentare minime).
2. Etilism cronic.
3. Tinea pedis.
Evolutie si tratament:
Tratament general cu Ketoconazol, tratament local cu pomada Dubreuilh, alcool iodat 1%, coloranti. Astfel, urmeaza tratament de specialitate adresat epidermofitiei si tratament general adresat etilismului cronic: se externeaza ameliorat cu recomandarea opririi consumului de alcool.
Particularitate cazului:
Surprinderea sindromului Bureau-Barierre intr-o faza incipienta este foarte importanta pentru ca bolnavul poate fi avertizat asupra consecintelor viitoare grave (mal perfbrant plantar), daca nu sisteaza consumul.
# Bolnavul G.A., 45 ani
Motivele internarii:
- ulcerate calcaneana nedurerosa spontana, dureroasa la mers
- eruptie eritematoerozivocrustoasa pe fetele dorsale ale malnilor
Istoricul bolii:
Bolnavul este in evidenta clinicii dermatologice cu sindrom Bureau-Barierre si eritem pelagroid. De 1 luna apare ulcerata calcaneana intinsa, atona si dupa expunerea la soare apare eruptia pe fetele dorsale ale mainilor.
Antecedentele personale patologice:
Sindrom Bureau -Barierre; Eritem pelagroid; Lomhosciatica dreapta (1982). Conditii de viata si munca:
Consum cronic etanol zilnic (1/2L tuica, peste 10 ani), 1 pachet de tigari pe zi.
Examen obiectiv general:
Bolnav cu stare generala usor alterata, subponderal, cu atrofie musculara generalizata, ficat cu limita superioara in spatiul V i.c. drept si marginea inferioara la 2 cm sub rebordul costal; hipoestezie tactila si dureroasa 'in ciorap'.
Examene de laborator modificate:
Hb = 12g/100ml,
VSH = 90 mm/2h
Gama-glutamiltransferaza = 137mu/ml
Examene paraclinice:
Examen radiologic: radiografia de profil a calcaneului drept arata osteoporoza si osteita calcaneana.
Examen neurologic: polinevrita toxicocarentiala
Examen local:
Regiunea calcaneana dreapta este sediul unei ulcerati rotund-ovalare cu diametre 3/2 cm, margini proeminente, hiperkeratozice neregulate, fundul ulceratiei fiind relativ curat, cu tesut de granulatie, nedureroasa.
Chestionarul: 8 puncte la testul ELURA
Diagnostic pozitiv:
1. Sindrom Bureau-Barierre
2. Eritem pelagroid
3. Etilism cronic
Evolutie si tratament:
Tratament general cu hepatoprotectoare, Diazepam, si local cu antiseptice si cicatrizante; bolnavul este in evidenta clinicii de derrnatologie si se intemeaza pentru patologia cutanata recidivanta. in cursul internarii apar febra, inrautatirea starii generate, tuse cu expectorate mucopurulenta, raluri ronflante si sibilante la auscultatie, punandu-se diagnosticul de Pneumonic bacteriana.
Iese in stare ameliorata.
Particularitatea cazului:
Bolnavul, cu asocierea mai multor boli in care este implicat consumul cronic de alcool, dezvolta si o patologie respiratorie acuta pe fondul imunodeprimat; pneumoniile bacteriene sunt comlicatii frecvente si periculoase la alcoolici, ele reprezentind urgente absolute, datorita mortalitatii mari care grefeaza aceste compiicatii.
Desi bolnavul iese in stare ameliorata, viioarele reintemari cu simptome si semne agravate sunt probabile, in lipsa opririi consumului de alcool.
#Bolnavul C.G., 48 ani
Motivele internarii:
- leziuni eritematoveziculoase plantare si palmare pruriginoase.
Istoricul bolii:
Repetate internari in clinica dermatologica cu eczema dishidrozica palmoplantara.
Conditii de viata si munca:
A lucrat in conditii toxice (detergenti, uleiuri minerale); dupa schimbarea locului de munca eczemele au continuat sa apara predomiminant plantar. Consumator cronic de etanol, 100 g tuica pe zi (>15 ani).
Examen obiectiv general:
Atrofie si hipotonie a muschilor gambieri bilateral. Bolnav subponderal, dentitie cu lipsuri mari.
Examen local:
Fetele plantare ale picioarelor sunt sediul unor leziuni eritematoveziculocrustoase confluate in placarde relativ slab delimitate, prevalent in regiunea boltii plantare; mai ales in regiunea anterioara a plantei si calcaneana exista leziuni cheratozice si fisuri; palmele apar tumefiate, cu elemente rare veziculopustoase.
Examene paraclinice:
Examen bacteriologic din leziunile cutanate: stafilococus aureus hemolitic, bacili gram negativi;
Examen neurologic: polinevrita toxicocarentiala
Diagnostic pozitiv:
1. Exema cronica dishidrotica suprainfectata.
2. Polinevrita toxicocarentiala.
3. Etilism cronic.
Tratament si evolutie: tratamentul exemei: unguente cu corticoizi, unguente cu acid salicilic, atingeri cu coloranti, topice cu antibiotice: bolnavul a beneficial si de tratament general cu antihistaminice, antibiotice, sedative (Diazepam), vitamine; se externeaza ameliorat cu recomandarea opririi consumului de alcool (si mentinerea igienii locale, evitarea expunerii la praf, impuritati).
Particularitatea cazului: Exema cronica apare pe un teren care asociaza semnificativ alcoolismul cronic cu conditii favonzante toxice. Rolul alcoolismului cronic este evidential de persistenta patologiei dupa eliminarea mediului toxic.
CONCLUZII
Studiul de fata demonstreaza frecventa in crestere a bolii alcoolismului cronic in serviciul de dermatologie al clinicii Colentina, face aprecieri asupra caracteristicilor grupului de etilici cronici internati si releva necesitatea diagnosticului bolii alcoolismului cronic. In cadrul studiului am urmarit cateva loturi de bolnavi constituite dupa criterii diferite, in functie de ideea pe care am avut-o de demonstrat.
1. Pe un lot de etilici cronici format din 670 de bolnavi cu una sau mai multe din urmatoarele boli dermatologice: porfirie cutanata tardiva, pelagra sau SBB, am studiat impactul cresterii alcoolismului cronic ca fenomen general in Romania asupra internarilor in serviciul de dermatologie. Tabloul alcoolismului cronic in acest serviciu s-a dovedit a fi o reflectare destul de fidela a tabloului national si international. Astfel, distributia bolnavilor din lot pe ani arata o curba ascendenta ince-pind din 1999 pana in 2003, corespunzatoare cu cresterea generala a alcoolismului cronic in tara noastra si pe plan mondial. Raportul pe sexe al pacientilor din lot a fost 9:1 (barbati:femei), reflectand ponderea tot mai mare a consumuiui mare de etanol in randul populatiei feminine. Grupa de varsta cea mai afectata in grupul pacientilor cu PCT si al celor cu SBB este de 50-59 de ani, iar in grupul cu pelagra (orice forma clinica) este cea de 40-49 de ani. In ansamblu, numarul maxim de internari al etilicilor cronici in serviciul de dermatologie se inregistreaza la grupele de varsta intre 40 si 59 de ani, adica la o populate activa profesional. In afara cheltuielilor pentru spitalizare si tratament, societatea suporta deci costurile unor zile de munca neefectuate.
Am realizat si studiul catorva caracteristici de consum in lot. Cei mai multi pacienti consumau mai putin de 1L de bauturi alcoolice zilnic (90,47%), marea majoritate (56,19%) fiind consumatori de vin, consumatorii de bauturi distilate fiind si ei intr-o proportie foarte mare (33,33%). Cantitatile relativ mici induc in eroare, deoarece calitatea bauturii alcoolice, aratata de numarul de grame de alcool pur, incadreaza cei mai multi consumatori in categoria rnarilor bautori, cu atat mai mult cu cat durata consumului a fost cel mai frecvent (53,33%) de peste 15 ani.
2. Pe un lot de 426 bolnavi etilici cronici cu PCT (90,61% din totalul de orice PCT de orice etiologie - proportia medie pe 5 ani, cu variatii nesemnificative de-a lungul anilor), am gasit ca proportia femeilor este relativ mica (6,57% din bolnavii lotului) si ca ponderea femeilor nu a inregistrat modificari semnificative in timpul celor 5 ani studiati.
Evolutia bolii dermatologice, analizata pe baza nurnarului de reinternari, la bolnavii internati in 2002 si 2003, a fost defavorabila net la 11,58% dintre bolnavii intemati in 2002, deoarece acestia au avut recidiva rapida si foarte rapida, necesitand reinternare cel putin o data pe perioada 2002-2003. Au existat bolnavi cu 3 si 4 reinternari pe parcursul a 2 ani. In lotul cu recidive frecvente, constituit din 13 bolnavi, investigatiile ecografice, scintigrafice sau computer-tomograftce au diagnosticat stadii avansate de afectare hepatica: hepatita cronica (22%), ciroza hepatica (38%) si steatoza-steatofibroza (40%). Tratamentul afectarii hepatice a trecut pe primul plan la acesti pacienti, deoarece era evidenta legatura evolutiei defavorabile a bolii dermatologice cu evolutia severa a hepatopatiei. Rezultatele au demonstrat si ca monitorizarea ficatului prin ecografie la bolnavii cu PCT se impune, cel putin la pacientii cu reinternari frecvente, pentru a surprinde evolutia nefavorabila a hepatopatiei alcoolice de la steatoza spre hepatita, ciroza si hepatom.
3. Pe un lot format din 142 pacienti cu pelagra internati in 1999-2003, studiul a confirmat datele din literatura in ceea ce priveste raportul pe sexe (32,39% bolnavi de sex feminin si 67,61% de sex masculin) si ponderea etiologiei alcoolice in aparitia bolii (90,14%), ceea ce arata ca bolnavii cu pelagra se recruteaza in zilele de astazi aproape exclusiv din categoria alcoolicilor cronici.
Numarul de bolnavi cu pelagra (forma clinica completa sau incompleta) a crescut de la an la an in perioada 1999-2003, cu ascensiune evidenta in ultimii 2 ani (31 de bolnavi in 2002 si 34 in 2003), in relatie cu cresterea alcoolismului cronic si posibil cu scaderea nivelului de trai (dieta insuficienta cantitativ, calitativ) in anumite paturi sociale dupa 1991.
Pana in 1991 se considera ca forma
completa a pelagrei a disparut din
4. Pe un lot de 102 de bolnavi etilici cronici cu SBB forma evoluata (mal perforant plantar), am aratat ca in perioada 1999-2003 numarul de bolnavi a crescut fata de perioada de dinainte de 1991, in corelatie cu cresterea alcoolismului cronic, dar si cu dexteritatea diagnosticarii bolii. Cresterea numarului de internari de la an la an a fost lenta, iar maximul de internari s-a inregistrat in 2003.
Am selectat un lot format din 23 bolnavi internati in 2003 care prezentau simptome sau semne minore de SBB, pe langa alte boli dermatologice. Investigatiile neurologice efecuate au demonstrat existenta neuropatiei toxicocarentiale, ceea ce face ca acesti bolnavi sa fie candidati la aparitia malului perforant plantar in urmatoarele luni sau ani, daca nu vor sista consumul de alcool. Se releva importanta depislarii active a polinevritei atunci cand exista leziuni dermatologice minore ce sugereaza SBB, in vederea diagnosticarii precoce a bolii si preventiei stadiilor avansate, grave, mutilante.
Patologia psihiatrica dominanta in serviciul de dermatologie in anul 2003 a constat in sindromul de servaj (10 cazuri), sindrom nevrotiform (7 cazuri), sindrom depresiv-anxios (10 cazuri).
Probabilitatea aparitiei sindromului de servaj la bolnavii cu dependenta alcoolica este foarte mare. In general se administreaza sedative pe parcursul internarii, dar cele 10 cazuri de sindrom de sevraj demonstreaza ca uneori acest tratament nu este suficient si ca manifestarile sindromului pot surveni pe neasteptate daca diagnosticul de alcoolism cronic a fost neglijat.
Oricum, probabilitatea aparitiei sindromului de servraj in serviciul de dermatologie (ca si in alte servicii medicale) nu este de ignorat, pentru ca manifestarile pot fi periculoase, chiar soldate cu deces, atunci cand forma clinica este grava (Delirum
tremens) sau cand preexista complicatii medicale sau chirurgicale ale alcoolismului cronic. Necesitatea diagnosticarii bolii alcoolismului cronic se impune, pentru instituirea unui tratament preventiv al sindromului de intrerupere.
Rezultatele studiului, in ansamblu, aduc in lumina problemele esentiale legate de alcoolismul cronic cu care se confrunta astazi serviciul de dermatologie si atitudinea justa de adoptat in fata bolnavilor etilici cronici internati cu diferite boli dermatologice: diagnosticarea bolii alcoolismului cronic, tratamentul corespunzator preventiv al sindromului de intrerupere, investigarea si diagnosticarea unor afectiuni viscerale datorate consumului de alcool si care sunt verigi in patologia bolii cutanate. Un obiectiv important de atins de catre medicul dermatolog ar fi convingerea bolnavului sa sisteze consumul de alcool nu numai pe perioada spitalizarii, ci, pe cat posibil, pe termen lung, sau sa adopte modelul de consum ocazional (in functie de gravitatea afectiunilor viscerale, psihice).
Combaterea alcoolismului cronic, excesiv, nu poate fi insa apanajul medicilor dermatologi. Acest obiectiv, cel mai important, este improbabil de realizat in masura in care nu intervin convergent actiuni de stopare a flagelului alcoolismului cronic la nivel national (campanii de informare a populatiei asupra consecintelor dezastruoase ale abuzului de alcool, infiintarea de asociatii asemanatoare acelor 'Anonymous Associations' (AA) care sa-i ajute pe cei reconvertiti la abstinenta, crearea unui segment al retelei sanitare specializat pe problema alcoolismului, etc.).
Efortul se cere deci de la societate in ansamblul ei si trebuie sa fie unitar, sistematic si foarte insistent.
Iconografie
|
|
|
|
Foto 1. Eritem pelagroid, pacienta in virsta de 45 de ani, alcoolica de aproximativ 7 ani. |
Foto 2. PCT, pacient de 40 de ani, alcoolic de aproximativ 10 ani. |
|
|
Foto 3: Etilism cronic, Porfirie Cutanata Tardiva: examenul local arata leziuni bulo-erozivo-crustoase si atrofice pe fata dorsala a mainii. |
|
|
Foto 5: Etilism cronic, PCT: imagine de aproape a leziunii (bule, cicatrici, eritem) |
|
|
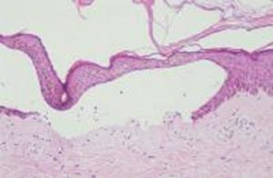
Foto 6 : PCT: Bula subepidermica, membrana bazala festonata, hialinizarea vaselor de sange, elastoza solara, corpusculi intracelulari "in senila". |
|
|
Foto 7 : Porfirie cutanata tardiva. Fluorescenta urinii la lampa Wood. |
|
|
Foto 8: Tromboza de vena porta si transformare cavernoasa a venei porte la un pacient cu ciroza hepatica de etilogie alcoolica (sageata lunga indica vena splenica la jonctiunea cu vena mezenterica superioara, imediat inferior de tromboza, sageata scurta indica spre o forma serpigionoasa care indica transformarea cavernoasa a venei porte). |
|
|
Foto 9: Carcinom hepatocelular grefat pe o ciroya hepatica de etiologie alcoolica, complicat cu tromboza de vena porta (sageata scurta trombul cu o intrerupere brusca a traiectului portei, sageata lunga indica dezvoltarea circulatiei compensatorii). |
|
|
Foto 7: Fasciita necrotizanta la un bolnav alcoolic care a fost gasit in stare ebrietate. Aspect postoperator. |
|
|
|
|
Foto 8: Ficat gras alcoolic. Biopsia arata steatoza macroveziculara. |
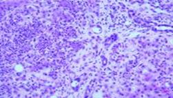
Foto 9: Hepatita alcoolica. Biopsia arata PMN tipice perivenulare. |
|
|
|
|
Foto 10. Pacient 25 de ani, internat pt etilism acut. La examenul fizic se evidentiaza onocomicoza incipenta dg. V ambe picioara si marci traumatice (hematoame subunghiale) la halucele drept si dg. III picior sting. Anamneza amanuntita si aplicarea chestionarelor incadreaza pacientul in clasa dependentilor cronici de alcool. |
|
|
|
Foto 10: Sindrom alcoolic fetal. |
|
Politica de confidentialitate | Termeni si conditii de utilizare |
Vizualizari: 3617
Importanta: ![]()
Termeni si conditii de utilizare | Contact
© SCRIGROUP 2025 . All rights reserved