Scrigroup - Documente si articole

     

HomeDocumenteUploadResurseAlte limbi doc
AnimaleArta culturaDivertismentFilmJurnalismMuzicaPescuit
PicturaVersuri

Chirurgie veterinara

DIAGNOSTIC, SUPRAVEGHERE SI COMBATERE IN LEUCOZA ENZOOTICǍ BOVINǍ

Animale



+ Font mai mare | - Font mai mic





 

DIAGNOSTIC, SUPRAVEGHERE SI COMBATERE IN LEUCOZA ENZOOTICǍ BOVINǍ

Introducere

Leucoza enzootica bovina este o boala infectioasa, neoplazica, maligna caracterizata printr-o proliferare continua si necontrolata a mezenchimului activ, leziunea fundamentala fiind hiperplazia si metaplazia sistemului reticulo-endotelial.      Boala este cunoscuta de aproape 130 de ani, prima descriere fiind facuta de Siedamgrotzki in 1878 in Germania. Dupa 1900 boala este descrisa din punct de vedere clinic de catre Knuth si colaboratorii sai, introducand ca element de diagnostic depistarea celulelor limfoide din sangele circulant. Termenul de "leucoza" este utilizat pentru prima data pentru descrierea bolii la pasari, iar in 1932 Dobberstein propune ca acelasi termen sa fie folosit pentru limfosarcom, leucemie, limfomatoza, la taurine. Notiunea de "leucoza enzootica" a fost formulata de catre Goetze si colaboratorii in 1954, definind leucoza enzootica ca " o boala infectioasa de natura virala, tumorigena, care evolueaza insidios in ferme". In anii urmatori se identifica virusul in lapte (1966, Duther), se identifica agentul etiologic la microscopul electronic in culturi de limfocite provenite de la vaci cu limfocitoza (1969, Miller si col). In anul 1976, Miller pune la punct metoda de diagnostic serologic prin reactia de imunoduzie, iar in 1989 Pelerin introduce metoda de diagnostic prin amplificare genica (PCR). In Romania leucoza a fost diagnosticata pentru prima data de Suteanu in 1954, la un taur de de rasa Rosie daneza, ulterior fiind semnalate alte focare de boala in special la animalele importate sau cele venite in contact cu acestea. Leucoza enzootica bovina este cunoscuta in aproape toate tarile si are tendinta de extindere. Cele mai numeroase cazuri de leucoza s-au semnalat in tarile baltice: Danemarca, Suedia, Germania, Finlanda, Rusia, Polonia, etc. Prezenta bolii este pusa pe seama importului de taurine din tari cunoscute ca "leagane ale leucozei bovine". Importanta economica este data de pagubele provocate de afectarea dezvoltarii normale a animalelor, scaderea productiei de carne si lapte. Eliminarea exemplarelor cu valoare zootehnica ridicata de la procesul de selectie si reproductie este un alt efect major pe plan economic. Leucoza enzootica bovina continua sa fie o problema majora pentru efectivele de bovine din Romania. In acelasi timp constituie un risc potential de infectie pentru om fiind cunoscuta capacitatea virusului leucozei enzootice bovine de a activa oncogene celulare implicate in cancerogeneza. Desi programul de programul de eradicare a leucozei enzootice bovine, prin sacrificarea bovinelor infectate si despagubirea proprietarilor este in plina desfasurare, numarul cazurilor este in continua crestere. Folosirea la monta a animalelor infectate, mentinerea in viata ca urmare a intarzierii sacrificarii, pastrarea descendentilor proveniti de la animalele pozitive si lipsa controlului circulatiei animalelor reprezinta cauzele principale ale incidentei bolii. Procesul de integrare europeana si de aliniere a legislatiei romanesti cu cea europeana in domeniul leucozei enzootice bovine trebuie abordat in mod unitar chiar daca din punct de vedere epidemiologic incidenta cazurilor pozitive este diferita de la o zona la alta. In lucrarea de fata ne-am propus sa efectuam o serie de investigatii privind actiunile de diagnostic, supraveghere si combatere in leucoza enzootica bovina pe o perioada determinata, studiind evolutia cazurilor de boala, particularitatile si similitudinile, ultimele metode de diagnostic, realizand statistici si grafice concludente.

Capitolul I

Date bibliografice privind Leucoza enzootica bovina

Etiologie

Leucoza enzootica bovina a fost atribuita initial unor tulburari metabolice si hormonale, carente in diferite substante, actiunii unor radiatii ionizante (factori de mediu) sau actiunii unor substantte leucozogene formate in organism. Leucoza enzootica bovina este atribuita actual unor factori infectiosi iar transmisibilitatea acesteia a fost dovedita experimental. Dependenta naturii bolii de virus a fost aratata prima data de Miller si col in 1969, demonstrand ca particule asemanatoare virusului de tip C (Retrovirusuri tip C mamifer), sunt prezente in culturile de limfocite stimulate cu fito-hemaglutinine, provenite de la vaci cu leucoza. Acelasi Miller si colaboratorii sai reusesc sa transmita boala la vitei si miei prin inocularea de material ce continea virusul. Virusul leucozei bovine ( Bovine Leukaemia virus- BLV) este taxonomic incadrat in familia Retroviridae, genul Delatretrovirus, tipul C bovin. La examenul electronomicroscopic virionii au aspectul unor compusi sferici cu diametrul de 130 nm si cu tendinta de grupare in rozete (Carp Carare M., 2001) Virionii sunt constituiti dintr-o nucleocapsida helicala, ce constituie "inima virusului" si un invelis peplos lipoproteic; genomul este format dintr-o singura molecula de ARN monocatenar. In celula gazda informatia genetica este transcrisa de ARN viral intr-o dubla catena de ADN previral de neoformatie printr-un fenomen de transcriere inversa cu ajutorul enzimei reverstranscriptaza, ADN-ul previral integrat in genomul celulei gazda este responsabil de efectul oncogen; maturarea si eliberarea virionilor din celula gazda se face prin inmugurire. Gena "gag"codifica o proteina structurala cu efect imunogen (p24), gena "pol" determina sinteza revers transcriptazei , iar gena"env" sinteza glicoproteinelor.

Fig. nr.1 Structura virusului L.E.B. (www.nyschap.vet)

Virusul are afinitate pentru limfocitele B (cu marker CD3) si intr-o mai mica masura pentru limfocitele T.Virusul a fost adaptat pe celule renale de fetus ovin in cultura continua, iar fitohemaglutinina ii accelereaza replicarea. S-au folosit si alte linii celulare , cum sunt: FLK, D 12, NP 2-10, etc. Pe baza experientelor de transmitere si a studiilor epizootologice facute pe efective de animale, virusul leucozei bovine este considerat drept agentul cauzal a doua boli inrudite, dar total diferite, ale bovinelor: Forma adulta de limfosarcom - este probabil cea mai frecventa boala neoplazica a taurinelor. Limfocitoza persistenta - este o afectiune limfoproliferativa benigna, observata frecvent la bovinele clinic normale, din efective cu o incidenta mare de limfosarcoame, ea precede evolutia leucozei bovine in circa 60 % din cazuri, insa majoritatea acestor animale nu vor face limfosarcom, cu toate ca virusul leucozei este agentul cauzal al amandurora (Ferner, 1979).

Caractere epizootologice     

Leucoza enzootica bovina, cu formele sale, limfocitoza persistenta si limfosarcomul (forma adulta a bolii), are tendinta de focalizare in anumite zone geografice si in anumite efective (Perianu, 2005). Receptivitate - sunt receptive bovinele de toate varstele, frecventa maxima fiind insa la varsta de 4-8 ani. Rasele mai frecvent afectate sunt Rosie daneza, Rosie estona, Rosie letona, in general rasele de lapte (Barna I,1989). Sursele de infectie - sunt reprezentate de animalele bolnave cu semne clinice si cele inaparente, iar infectia se transmite vertical si orizontal. Mod de contaminare: Transmiterea verticala se face transplacentar (4 -8% din fetusii animalelor bolnave sunt infectati), prin colostrul matern, limfocitele infectate patrunzand prin epiteliul mucoasei intestinale foarte permeabil in primele ore; totusi anticorpii colostrali au un efect protector, conform studiilor fetusii la care acestia lipsesc sunt de trei ori mai susceptibili la infectie. Transmiterea orizontala este cea mai frecventa si se realizeaza prin contactul direct sau cu secretiile si excretiile contaminate cu limfocite infectate, frecvent prin iatropatii- interventii sangeroase (ecornare, tatuare), instrumente obstreticale, echipament de muls, seringi, ace contaminate si refolosite la animalele sanatoase. Un rol important il au insectele hematofage, mai ales in zonele cu clima umeda, realizand prin sangele supt transferul limfocitelor infectate de la un animal la altul (Barna I, 1985). Bovinele se infecteaza mai frecvent in sezonul cald (vara), datorita aglomerarilor de animale si aparitiei insectelor hematofage. Absenta fazei de viremie face ca transmiterea orizontala sa fie de mare importanta. Faptul ca virusul nu a fost detectat in materialul seminal nu exclude o posibila contaminare; se pare ca exista un factor spermatic inactivant ceea ce explica dificultatea izolarii virusului. S-a reusit infectarea experimental a vacilor prin introducerea de limfocite infectate in uterul acestora (Barna ,1976) Alte posibilitati de transmitere sunt prin transfuzii sangvine, tuberculinare, administrarea de vaccinuri care contin sange. Riscul mare de infectie in perioada de dupa parturitie indica faptul ca secretiile vaginale, excretiile si placenta precum si instrumentele obstreticale infectate reprezinta modalitati de transmitere orizontala a bolii.

Fig. nr. 2 Transmiterea verticala si orizontala a L.E.B

Boala evolueaza sporadic sau sub forma de enzootii stationare, fara tendinta de difuzare in afara focarului, atingand mai multe generatii de taurine. Introducerea bolii in efectivele indemne se face obisnuit prin animale infectate, din alte zone (Velescu E, 2002). Evolutia enzootica a bolii este favorizata de iatropatii, nerespectarea masurilor sanitar veterinare impuse in cazul depistarii si declararii bolii.

Patogeneza

Dupa patrunderea in organism, virusul leucozei bovine modifica tabloul anatomoclinic si lezional, in functie de cantitatea de virus, patogenitate, precum si de rezistenta organismului si actiunea factorilor de stres. Contactul virusului cu organismul determina trei categorii de modificari. Modificari ale structurii si functiei virusului- prin pasaje pe grupe mari de bovine a crescut patogenitatea si s-a stabilizat genetic. Virusul nu are gena "onc", patogenitatea sa fiind data de activitatea genelor "tax" si "rex,"care activeaza leuconogeneza limfocitelor. Modificari ale imunitatii mediate umoral si celular- p24 si gp58 determina sinteza de anticorpi (IgM, IgG, IgA), pentru care placenta vacilor gestante are efect de bariera; schimba raportul limfocite T/limfocite B de la 2,61 la 0,7 in leucoza. Modificari asupra "supravegherii imune"- declanseaza o reactie tip "grefa contra gazda". In mod normal organismul recunoaste celulele cancerizate, aparute ca urmare a mutatiilor sau infectiei cu retrovirusuri oncogene. In cazul leucozei bovine "supravegherea imuna" este eficienta numai daca antigenele virale apar pe suprafata limfocitelor predestinate sa le recunoasca, ca antigene asociate (Perianu, 2005). Virusul patruns in organism ramane mult timp in stare de latenta, in echilibru cu organismul gazda. Determina o infectie persistenta a limfocitelor B, prin integrarea ADN-ului proviral in ADN-ul celulei gazda. La interventia unor factori favorizanti, virusul oncogen determina multiplicarea celulelor in care se gaseste, declansand proliferarea maligna (Miclea, 1976). Patrunderea virusului in limfocitele B, fuzionarea virus-celula sunt mediate de proteina anvelopei virale GP-51 si unitatea sa transmembranara GP-30. Activarea limfocitelor B si proliferarea depinde de stimuli imuni, citokine, autoantigeni. Genomul viral contine o regiune a genei env- regiunea X , care codeaza o proteina virala regulatoare (tax), care creste rata transcriptiei virale activand LTR, un sustinator al regiunii provirale a genomului. Exprimarea proteinei virale "tax"de catre un "tax transactivator" determina intrarea intr-un ciclu celular, furnizand o proliferare selectiva, in avantajul celulelor infectate. Alte procese pot determina o expresie virala silentioasa intr-o celula fiica, determinata de factori inhibitori (HTLV p30, HBZ). Se pare ca exprimarea virusului este in continua desfasurare "in vivo", deoarece transcriptia virala este detectata la o incubare 37C.

Fig. nr. 3 Mecanismul replicarii virusului LEB (www.retrovirology.com)

Mecanismele patogenezei sunt incomplet cunoscute, probabil fiind reprezentate de alterarea structurii citomorfologice a citoplasmei, nucleului limfocitelor, modificari citochimice, citoenzimatice, bioenergetice. Organismul elaboreaza anticorpi contra proteinei virale din invelis, apoi a polipetidului intern, numarul lor crescand mereu.

Tabloul clinic

Durata perioadei de incubatie in leucoza enzootica bovina este foarte lunga, variind de la cateva luni la 4-5 ani. Clinic, la animalele adulte, boala evolueaza cronic, rar subacut,acut la vitei. Simptomele sunt nespecifice, foarte variate, iar animalele au totdeauna un sfarsit letal; uneori boala se remite temporar, aparitia simptomelor denota ca animalul este in stadiul terminal al bolii. In evolutia bolii se disting 4 stadii: Tabel nr.1 Stadializarea clinica a leucozei bovine (Barna, 1994)

Stadiul

Extensia leziunilor

Durata

1.Purtator asimptomatic de virus

Leucocitoza, limfocitoza, eozinofilie, monocitoza pasagera, anticorpi, precipitanti antivirali

3-6 luni

2.Limfadenopatie

Hipertrofia unilaterala sau bilaterala a limfonodurilor palpabili

1-2 ani

3.Leucemie

Alterarea tabloului sangvin, dominant pe seria limfoida

3-6 luni

4.Limfosarcom generalizat

Tumori sarcomatoase dominante in tesuturi si organe

2-3 luni

Stadiul I al bolii nu se exprima clinic, apar insa modificari ale elementelor sangvine, ale leucocitelor. Apare leucocitoza (peste 180000/ ) si creste numarul limfocitelor ( peste 75%) de durata, uneori remisiuni pasagere, atipii celulare frecvente afectand atat nucleul cat si citoplasma (apar in samgele periferic prolimfoblastii. limfoblastii, celulele Rieder de iritatie medulara). La 3-6 saptamani de la infectie apar anticorpi precipitanti fata de antigenele virale care dovedesc ca animalul este infectat. Stadiul II al bolii ( limfadenopatie persistenta), evolueaza cu hipertrofiii ganglionare, adenopatii ca urmare a proliferarii in exces a limfocitelor maligne. Boala are un debut insidios (initial sunt afectati limfonodulii portali si precrurali); animalul prezinta semne generale: apatie, anemie, lipsa apetitului, ce se accentueaza progresiv. Boala afecteaza mai frecvent rasele de lapte, mai putin cele de carne, iar incidenta creste odata cu varsta (Baies, 1971).

Fig.nr.4 Hipertrofia limfonodurilor (www.vetmed.ucdavis.edu)

Semnele clinice specifice apar in urma dezvoltarii procesului tumoral in zonele si organele abordabile prin metode clinice; cele mai frecvente semne sunt hiperplazia limfonodurilor prescapulari, precrurali, poplitei, retromamari ,cervicali, iliaci. Acestia sunt afectati simetric, sunt duri la palpare (in reticulosarcom), sau de consistenta scazuta (in limfosarcom), mobili, nedurerosi, izolati de tesuturile vecine. Localizarea in plexul retrobulbar determina exoftalmie, strabism, cheratita. Apar anticorpii precipitanti, ce pot ramane in platou, fiind decelati prin examene. Obisnuit evolutia este cronica; limfonodurile superficiale se maresc in volum cu 75-90%. Sunt marite si limfonodurile viscerale, ce pot fi palpate prin exploratie rectala. Tesuturile afectate frecvent sunt inima, splina, rinichii, uterul, tesutul retrobulbar, reteaua. Limfomatoza neurala poate duce la o paralizie graduala posterioara. Frecvent apare pierderea in greutate, hiperplazia limfonodala, depresie, febra, tahicardie, pareza posterioara, congestia cardiaca, semnele presiunii pe organele interne sunt mai rare. Moartea se produce in 2-8 saptamani (Hagiu, 1993). Stadiul III- se caracterizeaza prin modificari calitative si cantitative ale leucocitelor si limfocitelor, ce au stat la baza intocmirii cheilor de diagnostic (Goetze, Toile, Rademacher). Leucozele sunt astfel clasificate in leucoze leucemice (insotite de modificari ale sangelui circulant) si aleucemice (fara modificari). Leucoza leucemica poate fi acuta (cu celule stem, hemocitoblastica, paralimfoblastica, limfoblastica), sau cronica (monocitara, limfocitara, plasmocitara). Leucoza aleucemica este reprezentata de limfosarcom, reticulosarcom, limfom, mielom multiplu. Anticorpii apar la 70% din animale. Stadiul IV (limfom malign limfocitar), se caracterizeaza prin generalizarea leziunilor tumorale, localizandu-se in viscere. Celulele alterate neoplazic se localizeaza in diverse tesuturi si organe. Astfel apar disfunctii la nivelul aparatului digestiv (ocluzie esofagiana manifestata prin tulburari de deglutitie si meteorism), circulator (insuficienta cardiaca, ectazierea venelor, oboseala), genital (anestru, sterilitate, calduri anovulatorii), respirator (emfizem pulmonar, jena respiratorie), nervos (paralizii partiale sau totale) si excretor (insuficienta renala). In cele din urma animalul moare fie brusc, ca urmare a rupturii splinei sau a accidentelor cardiace, sau dupa o perioada lunga de timp ca urmare a slabirii accentuate. Animalele infectate cu virusul leucozei nu manifesta in peste 95% din cazuri simptome clinice. Limfocitoza persistenta este considerata o manifestare subclinica a infectiei virale, care in 5% din cazuri poate progresa intr-o limfoproliferare B oligo sau monoclonala la cativa ani dupa infectie. Lipsa manifestarilor clinice pana in stadiul terminal impiedica descoperirea animalelor infectate in absenta testelor serologice (Barna 1994).

Tabloul anatomopatologic

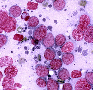
Principalele leziuni consta in aparitia unor focare de hiperplazie tumorala, de culoare cenusie albicioasa, cu aspect slaninos, de dimensiuni variabile (Paul, 1996) .Tumorile sunt diseminate in toate regiunile corporale, dar mai frecvent sunt afectate limfonodurile (90%), splina, rinichii, cordul. Limfonodurii sunt mariti in volum (de zeci de ori) si pe sectiune au un aspect suculent sau slaninos, uneori cu strii hemoragice, necroze si hemoragii pana la o masa hemoragico-necrotica inchisa in capsula organului (Oprean, 1998) Dintre organe, splina este mult marita in volum ( de 5-20 de ori, foliculii limfoizi sunt hiperplaziati, inconjurati de pulpa rosie care are aspect de magma purpurie). Fig.nr.5 Leziuni cardiace(www.vet.uga.edu) Fig nr.6Aspirat limfonodal(www.vet.uga.edu) Histopatologic, se produc proliferari si infiltratii masive cu elemente limfoide reticulohistiocitare care determina necrobioza celulelor din tesutul lezat. Histologic in faza de LP apar celule mari cu citoplasma bazofila, nucleu veziculos si membrana neregulata (celule blastice sau blastizate). Leucoza enzootica bovina este o leucoza limfoida, ce se clasifica dupa modul de diferentiere a celulelor tumorale in patru tipuri: tipul cu celule nediferentiate, tipul histiocitar, timpul limfoblastic, tipul prolimfocitar-limfocitar.      In cord masele tumorale afecteaza mai frecvent atriul drept dar si miocardul si pericardul. O categorie aparte o constituie leucozele aleucemice, care in functie de tipul celular afectat prezinta mai multe forme: reticulosarcom, limfosarcom, reticulolimfosarcom, mielom multiplu, limfom giganto-celular, boala Hodgkin (Cotofan O,1992).

1.6 Diagnostic

Pentru diagnosticul leucozei bovine se foloseste un complex de metode ce include examene epizootologice, clinice, serologice, hematologice, citomorfologice, anatomo- si histopatologice (Catoi C, 2003). Examenul epizootologic- consta in verificarea antecedentelor, care pot indruma spre o posibila contaminare a animalelor. Examenul clinic individual urmareste simptomele bolii: hiperplazia limfonodurilor, slabirea, casexia. Examenul histologic- consta in stabilirea cantitativa si calitativa a elementelor figurate (leucocite). Leucocitoza si limfocitoza preced aparitia semnelor clinice, in functie de varsta. Pentru diagnostic se utilizeaza "cheile de diagnostic" ce reprezinta valorile normale si patologice ale limfocitelor si leucocitelor. Eficienta cheilor de diagnostic este scazuta deoarece nu se poate distinge limfocitoza persistenta produsa de virusul leucozic, de limfocitozele trecatoare din alte cauze, precum si purtatorii latenti de virus. De asemenea multe animale nu prezinta limfocitoza desi sunt infectate (Pop, 1981). In acest stadiu se modifica raportul dintre limfocitele B si T (cresc limfocitele B), iar raportul Bo-CD-4/Bo-CD-8 se modifica de la 2,1 (stare de sanatate) la 1,4 (limfoleucoza persistenta), chiar 1,5. Celulele sufera si o serie de modificari calitative, ce se pun in evidenta prin examen citomorfologic pe frotiuri sau din leucoconcentrat in cazul formelor aleucemice sau subleucemice Prezenta de celule imature, modificarea raportului dintre liniile celulare sangvine, prezenta limfocitelor binucleate (5-10%), proliferarea unei singure categorii celulare au valoare de diagnostic. Examenul hematologic se realizeaza cu sange recoltat pe EDTA si consta in numararea leucocitelor. Din probele cu valori intre 4000 si 9000 leucocite/ se executa frotiuri pentru determinarea procentului de limfocite si a atipiilor. In toate formele se poate recurge la examenul organelor hematoformatoare, medulograma si adenograma. Se fac frotiuri din aspirate medulare sau limfonodare prin punctii, iar la animalele sacrificate amprente din limfonoduri si splina. Se stabileste raportul procentual al elementelor celulare (indice mitotic crescut, indice de maturatie scazut, atipii nucleare). Procedeele serologice de diagnostic au capatat in ultima perioada o importanta deosebita fiind eficiente, rapide, practice, specifice si mult mai ieftine. Cele mai utilizate metode sunt testul de imunodifuzie in gel de agar (ID) si testul imunoenzimatic ELISA (Perianu, 2005). Imunodifuzia are o specificitatede 99,8% si o sensibilitate de 98,5%. Testul ELISA este un test rapid, ce este utilizat si pe probe de lapte (de amestec sau individual), fiind mai sensibil decat imunodifuzia. Este util in supravegherea efectivelor indemne din ferme si gospodariile populatiei, precum si pentru detectarea animalelor infectate.Toate metodele vizeaza detectarea anticorpilor contra virusului leucozei dar numai ELISA, ID si testul radioimunologic permit depistarea la scurt timp dupa infectie. Viteii care au ingerat colostru de la vaci seropozitive au anticorpi maternali. Reactia PCR este necesara pentru a diferentia viteii infectati viral de cei neinfectati. Testul PCR (reactia lantului polimerazic) este util pentru identificarea ADN-ului proviral in limfocitele periferice, diferentiind nou-nascutii cu anticorpi colostrali de viteii infectati cu VLB. Izolarea virusului se poate face pe animalul viu, identificarea particulelor virale prin microscopie electronica, testul ELISA, ID. Pentru izolarea virusului se folosesc mediile Eagle MEM, Dulbeco MEM cu adaos de ser fetal, alantoina.. iar ca material patologic se foloseste sange integral, limfocite. Diagnosticul diferential -se face fata de stari inflamatorii ce determina leucocitoza (mamite, metrite, nefrite, abcese, flegmoane), de unele boli parazitare (fascioloza, babesioza). Leucoza bovina se distinge de inflamatiile limfohistiocitare si cele granulomatoase in care apare polimorfismul celular ( celule gigante in centru,celule epiteloide, eozinocite, plasmocite).Se diferentiaza de tumori neleucozice (sarcoame, carcinoame, adenoame).

Profilaxie     

Luand in considerare faptul ca nu s-a gasit un tratament sau un vaccin contra leucozei bovine, masurile de profilaxie trebuie sa fie primordiale. Masurile generale- vizeaza prevenirea introducerii bolii in tara prin animalele de import si depistarea animalelor bolnave. Efectivul din care provin animalele si taurii folositi la reproductie trebuie sa fie indemni de leucoza sau de suspiciune in ultimii 5 ani. Examinarea serologica si clinica se face cu 30 de zile inainte de imbarcare, iar carantina profilactica este obligatorie (60 zile). In aceasta perioada se fac examene complete de laborator (Pop, 1988). Daca in perioada de carantina nu se constata cazuri de leucoza lotul se mentine sub supraveghere conform planului strategic anual. Efectivul de bovine de peste 6 luni se examineaza serologic odata pe an, iar taurii de reproductie de doua ori pe an prin imunodifuzie si ELISA. Un alt obiectiv il constituie depistarea leucozei bovine si prevenirea difuzarii acesteia. Pentru aceasta se efectueaza examene clinice periodice la toate taurinele din ferme, examene necropsice la toate animalele sacrificate sau moarte indiferent de loc. Masurile de sterilizare a instrumentarului folosit la interventii sunt de asemenea necesare. Transmiterea la viteii nou nascuti poate fi redusa prin evitarea expunerii la sangele matern pe parcursul parturitiei. Taurii de reproductie se testeaza de doua ori pe an prin ELISA si se confirma prin imunodifuzie, iar bovinele de peste 24 de luni odata pe an (Program strategic ANSVSA, 2008). Decornarea viteilor prin electrocauterizare inainte de primele 2 luni de viata poate reduce prevalenta infectiei comparativ cu ecornarea clasica, care permite transferul sangelui infectat intre vitei. Folosirea acelor de unica folosinta pentru vaccinari, tratamente, recoltari de sange, precum si folosirea manusilor transrectale individuale pot reduce numarul de cazuri.

Combatere     

In unitatile in care s-a confirmat leucoza bovina prin examen de laborator se instituie masuri de carantina si de asanare in functie de gradul de infectare a efectivului. Programul de masuri consta in examinare serologica repetata la interval de minim 4 luni, administrarea la vitei numai a laptelui de la vacile sanatoase sau sterilizarea prin fierbere, curatenia riguroasa si dezinfectia locului unde au fost cazate animalele ( trei dezinfectii consecutive la interval de 15 zile), sterilizarea si dezinfectarea instrumentarului chirurgical si obstretical. Animalele sunt sacrificate la abator iar daca nu exista leziuni macroscopice sunt transformate in fainuri sau produse dupa tratarea termica. Se identifica, izoleaza si se elimina animalele depistate pozitiv in functie de numarul lor prin extractie sau depopulare totala (Parvu, 1988). Asanarea prin extractie - se va aplica in unitatile cu pana la 15% infectie. Se examineaza serologic din 3 in 3 luni efectivul sanatos cu eliminarea reagentilor in termen de 3 zile si sacrificarea la abator. Se recolteaza probe pentru examenul de laborator (limfonoduri, ficat, rinichi, cord, pulmon, tumori, amprente si frotiuri). Unitatea se considera asanata cand toate animalele au reactionat negativ la trei controale serologice succesive la interval de 3 luni. Asanarea prin depopulare totala - se aplica in unitatile cu peste 15% infectie. Se opresc montele cu mai mult de 1 an si jumatate inainte de lichidarea efectivului. Se depopuleaza in functie de starea fiziologica si de intretinere a animalelor. Lunar se identifica animalele cu forme clinice si se trimit la abator. Gospodariile populatiei in care sunt animale reactionate pozitiv intra in regim de asanare prin extractie si se elimina in cel mai scurt timp. Bovinele ramase in curtea respectiva se controleaza serologic din 3 in 3 luni iar reagentii se elimina. Supravegherea pasiva consta in investigarea oricarei tumori obserate la examenul clinic in cursul inspectiei carnurilor in abator sau la necropsie.

Capitolul II

Contributii personale

Cunoscuta si sub numele de "leucemie", leucoza enzootica bovina este o boala infectioasa caracterizata prin proliferarea continua si necontrolata a mezenchimului activ, leziunea principala fiind hiperplazia si metaplazia sistemului reticulo-endotelial.

Observatii privind diagnosticul supravegherea si combaterea in leucoza enzootica bovina

Scopul lucrarii

Leucoza enzootica bovina este o boala virala a bovinelor adulte caracterizata prin neoplazia limfocitelor si a limfonodurilor. Cunoscuta de aproape 130 de ani, boala are o raspandire mondiala cu tendinta de extindere. Cele mai numeroase cazuri de leucoza bovina sunt inregistrate in tarile baltice: Danemarca, Suedia, Finlanda, Rusia, Polonia, etc. Prezenta leucozei este pusa pe seama importului de taurine din tari cunoscute ca "leagane ale leucozei bovine", iar in interiorul tarilor prin miscarile de animale bolnave, in special transmiterea orizontala a bolii, mai putin cea verticala. In Romania leucoza a fost diagnosticata pentru prima data de Suteanu in 1954, la un taur de de rasa Rosie daneza, ulterior cuprinzand toate regiunile tarii, cu o mai mare raspandire dupa 1990 odata cu desfiintarea fermelor de stat. Supravegherea dificila a micilor exploatatii si a miscarii animalelor bolnave au dus la o crestere alarmanta a numarului de cazuri intre anii 2001-2003. In acelasi timp constituie un risc potential de infectie pentru om fiind cunoscuta capacitatea virusului leucozei enzootice bovine de a activa oncogene celulare implicate in cancerogeneza. Importanta economica este data de evolutia cronica si incurabila a bolii cu scaderea in greutate, scaderea productiei de lapte, afectarea dezvoltarii normale a animalelor. Eliminarea exemplarelor cu valoare zootehnica ridicata de la procesul de selectie si reproductie este un alt efect major pe plan economic. Cheltuielile cu masurile de supraveghere serologica, asanare prin extractie a focarelor, dezinfectie, sunt de asemenea majore. In cazul fermierilor pierderile sunt date de masurile de carantina cu imposibilitatea comercializarii laptelui si a subproduselor lactate de la animalele bolnave si dirijarea spre abator a animalelor diagnosticate pozitiv cu plata unor despagubiri. De asemenea se recomanda si sacrificarea viteilor proveniti de la mamele testate pozitiv. In lucrarea de fata ne-am propus sa facem investigatii in doua localitati din judetul Suceava privind diagnosticul clinic, anatomopatologic si de laborator al leucozei enzootice bovine, in perioada 2001-2007. Lucrarea are scopul de a prezenta evolutia in dinamica a leucozei enzoootice bovine, stabilirea incidentei si a prevalentei bolii cu aspecte de ordin epidemiologic si statistic concludente.

2.2 Materiale si metode

Investigatiile s-au efectuat pe o perioada de sapte ani (2001-2007), in doua localitati (notate A si B) din judetul Suceava, pe un efectiv total de 2979 bovine, din care 2251 vaci si junici. De asemenea s-au efectuat investigatii generale privind intregul efectiv al judetului Suceava (178.217 bovine), in scop comparativ. Investigatiile clinice au constat in examinarea clinica a doua animale testate pozitiv ( in anul 2007), cu efectuarea de foi de observatie. Investigatiile epidemiologice au constat in efectuarea statisticilor si reprezentarilor grafice privind structura efectivelor din cele doua localitati, pe categorii de varsta, sex; evolutia efectivului de bovine intre anii 2001-2007. De asemenea s-au efectuat statistici privind numarul de probe recoltate, numarul de cazuri pozitive in aceasi perioada de timp. S-au efectuat cercetari privind incidenta leucozei in perioada data, in functie de varsta, durata masurilor de asanare a focarelor, sursele de infectie, ancheta epizootologica, dinamica evolutiei L.E.B. In scop comparativ s-au efectuat si statistici pe intreg judetul Suceava cu privire la incidenta bolii, dinamica evolutiei in perioada 2001-2007. Cercetarile s-au efectuat pe baza evidentelor existente la circumscriptiile sanitar veterinare din cele doua localitati, precum si la Directia Sanitar Veterinara si pentru Siguranta Alimentelor Suceava. In cele doua localitati bovinele au fost examinate serologic prin testul E.L.I.S.A. si I.D. in gel de agar, urmarindu-se cele reactionate pozitiv si confirmate ca bolnave de leucoza enzootica bovina, cu scopul de a fi izolate, examinate clinic si apoi dirijate spre sacrificare in abatoarele autorizate pentru aceasta actiune. S-au recoltat probe de sange in vederea examinarii serologice de la toate bovinele in varsta de peste 24 de luni din efectivele celor doua localitati ( gospodariile populatiei si microferme), odata pe an, primavara, la un interval mai mic de 24 de luni de la ultima recoltare. De asemenea s-au recoltat probe de la toate bovinele din gospodariile supuse asanarii prin extractie, de doua ori pe an, la interval de 4 luni. De la taurii de reproductie s-au recoltat probe de doua ori pe an pentru a fi testati prin E.L.I.S.A si confirmati prin ID.Probele recoltate au fost trimise la LSVSA din cadrul DSVSA Suceava pentru examinare serologica. S-au utilizat testele E.L.I.S.A. si I.D. in gel de agar. Principiul testului E.L.I.S.A. consta in fixarea antigenului pe fundul godeurilor microplacilor; serurile de testat se dilueaza 1/20 sau 1/50, si se incubeaza in godeuri; daca serul de testat contine anticorpi anti-BLV se formeaza complexe imune BLV-anticorp, deci anticorpii se fixeaza pe fundul godeurilor microplacilor. Dupa spalare o imunoglobulina antianticorp bovin cuplata cu o enzima se incubeaza in microplaci; acest conjugat se fixeaza pe complexele imune. Dupa o noua spalare, un substrat enzimatic (TMB) pune in evidenta prezenta enzimei, prin aparitia culorii bleu care vireaza in galben dupa adaugarea solutiei stop. Intensitatea culorii este in functie de titrul anticorpilor din serul de testat. Limita de pozitivitate a kit-ului este definita de un ser limita (ser de referinta pozitiv) care corespunde standardului european (ser dinn septele indemne). Acest ser este introdus in fiecare microplaca de reactie. Se realizeaza amestecuri de 10 seruri de la animale de testat, astfel cu un kit se testeaza 940 bovine. Amestecurile gasite pozitive sunt reluate si se testeaza individual. Comparatia se realizeza cu 10 martori pozitivi si negativi (seruri de referinta). Citirea placilor se face la o densitate optica de 450 nm (serul de referinta pozitiv da valoarea 0,350). Se calculeaza la fiecare proba %E/P=DO 450 a probei/DO 450 a serului de referinta pozitiv x100. Orice proba a carui %E/P este mai mare de 100% va fi considerata ca provenind de la o bovina sau grup de bovine care a fost in contact cu virusul BLV. Animalele testate pozitiv prin testul E.L.I.S.A. s-au retestat pentru confirmare prin imunodifuzie in gel de agar. In cazul neconcordantei dintre E.L.I.S.A si I.D este prevazuta retestarea prin I.D la 30 de zile de la prima recoltare. Testul PCR este utilizat rar, in caz de litigii. Testul de imunodifuzie in gel de agar evidentiaza anticorpii seroprecipitanti de la animalele infectate cu virusul leucozei enzootice bovine. Testul se executa in gel de agar cu 8,5% NaCl, repartizat 15 ml in placile Petri. Se executa godeuri in agar - unul central si 6 periferice. In godeul central se pune antigenul rehidratat in diluant, in goderile 1,3,5 serul pozitiv rehidratat, in godeurile 2,4,6 serurile de testat. Citirea reactiei se face la 24, 48, 72 de ore, intensitatea reactiei variind in functie de titrul anticorpilor. Reactia pozitiva - linia de precipitare cu proba de testat este clara, neta si echidistanta fata de godeurile cu reactanti. Linia de precipitare de control se uneste cu linia data de serul de testat si antigenul din set formand o linie continua. Gospodariile cu bovine depistate pozitiv prin E.L.I.S.A si confirmate prin I.D au fost supuse carantinei de gradul II si asanarii prin extractie sau depopulare totala. S-a aplicat planul de masuri conform legislatiei sanitar veterinare in vigoare. Animalele bolnave au fost dirijate spre abatorizare. In abator s-au efectuat examenue anatomopatologice si s-au recoltat probe pentru efectuarea examenului histopatologic de confirmare a leucozei enzootice bovine (limfogangliuoni retrofaringieni, bronsici, prescapulari, precrurali, mezenterici, portiuni de ficat, inima, rinichi, splina, portiuni din intestin cu ganglioni mezenterici).

2.3 Rezultate si discutii

Investigatiile s-au efectuat pe o perioada de sapte ani (2001-2007), in doua localitati (notate A si B) din judetul Suceava, pe un efectiv total de 2979 bovine, din care 2251 vaci si junici. Localitatile luate in studiu (A si B) fac parte din judetul Suceava, una dintre ele la periferie, iar cealalta la o distanta de 25 km, fiecare cu cate un numar de sase sate. Studiile s-au efectuat pe efectivele de animale existente in cele doua localitati si s-au folosit si evidentele statistice existente in circumscriptiile respective, sau furnizate de DSVSA Suceava. Tabel nr.2 Structura efectivelor pe grupe de varsta in local. A si B

2-12 LUNI

12-24 LUNI

PESTE 24 LUNI

TOTAL

LOCALITATEA A

LOCALITATEA B

In localitatea A efectivul era de 1559 bovine in anul 2006 si de 1420 in anul 2007, iar in localitatea B de 1893 bovine in anul 2006, respectiv 1559 in anul 2007. In cele doua localitati predomina bovinele de peste 24 luni (peste 65%), iar tineretul intre 2-12 luni reprezinta 12-15% din efectiv, fiind mai numeroase in localitatea B (fig.nr.8). Graficul si tabelul alaturat arata faptul ca tineretul taurin este crescut pentru prasila proprie fiind mai rare achizitiile de prasila din fermele specializate. Mai frecvent sunt achizitionate bovine din aceeasi localitate si din localitatile invecinate.

In ambele localitati se cresc bovine MBR (metis Baltata Romaneasca), cu productii de lapte medii rezistente la conditiile de mediu si mai putin alte rase ( Holstein, Baltata cu Negru Romaneasca).

Fig. nr.8 Structura efectivelor pe grupe de varsta

In ceea ce priveste varsta bovinelor, acestea sunt tinute in general pana la 10-11 ani, chiar 12-14 ani. Investigatiile au cuprins si structura pe sexe a taurinelor din cele doua localitati. In localitatea A efectivul de bovine este format in majoritate din femele de peste 24 de luni (900 capete), crescute pentru productia de lapte si un singur taur de peste 24 de luni autorizat pentru reproductie (graficul nr.9). Fig.nr.9 Structura efectivului in functie de sex in localitatea A

Intre 12-24 luni sunt 169 masculi crescuti pentru productia de carne (abatorizare) si 163 femele, prasila proprie. Tabel nr.3 Structura efectivului in functie de sex in localitatea A

MASCULI

FEMELE

TOTAL

2-12 LUNI

12-24 LUNI

PESTE 24 LUNI

Tineretul de 2-12 luni este constituit din 81 masculi si 80 femele, provenite de la femelele proprii. Taurinele sunt crescute in exploatatii mici de maxim 4-5 capete (vaci producatoare de lapte), intr-un mod dispersat si neorganizat. Pe raza localitatii exista o singura microferma cu 50 de capete. Achizitiile de bovine se fac in special din aceeasi localitate dar si din targurile si oboarele din localitatile invecinate. Astfel se pot introduce animale bolnave in efectivul existent sau se pot contamina prin contactul direct sau indirect cu animalele din alte localitati. In localitatea B structura efectivului este asemanatoare cu cea din localitatea A, cu un numar de 992 femele de peste 24 de luni. Tabel nr.4 Structura efectivului in functie de sex in localitatea B

MASCULI

FEMELE

TOTAL

2-12 LUNI

12-24 LUNI

PESTE 24 LUNI

Tineretul este format in proportii sensibil egale din masculi si femele, in total 208 capete cu varste intre 2-12 luni, respectiv 392 cu varste intre 12-24 luni(fig nr.10). Cresterea bovinelor se face in exploatatii private cu un numar mic de animale, in general pentru productia de lapte si mai putin tauri pentru ingrasat din cauza rentabilitatii scazute. Pozitia mai izolata a localitatii permite protejarea fata de eventualele contaminari de la bovine infectate din localitatile vecine sau cu ocazia targurilor si oboarelor.

Fig nr.10 Structura efectivului in functie de sex in localitatea B

Investigatiile epidemiologice au urmarit efectuarea actiunilor de supraveghere activa conform planului strategic de supraveghere si combatere a leucozei enzootice bovine emis de ANSVSA in colaborare cu DSVSA, pentru anii 2006 si 2007 privind recoltarea de probe de sange si analiza lor la LSVJ. Tabel nr.5 Planul de supraveghere a LEB pe anul 2006 in local. A si B

Localitatea A

Localitatea B

TOTAL BOVINE

MATCA (VACI si      JUNICI)

PROBE RECOLTATE

Astfel in anul 2006 din efectivul total de 1559 de capete din localitatea A, cu un efectiv matca (vaci si junici) s-au recoltat un numar de 700 de probe de sange in perioada aprilie-mai trimise catre DSVSA, respectiv LSVJ Suceava (fig.nr.11). Fig nr.11 Planul de supraveghere a LEB pe anul 2006 in local. A si B

Probele au fost recoltate in eprubete individuale cu vacuum cu ace individuale pentru a preveni transmiterea leucozei de la un animal la altul. Numarul de probe ce s-au recoltat s-a stabilit in functie de numarul de vaci si junici de peste 24 de luni. Dupa recoltare probele au fost tinute in conditii corespunzatoare de temperatura pentru a nu se deprecia fiind trimise cat mai repede la laboratorul sanitar veterinar judetean.

In localitatea B care avea un efectiv total de 1893 capete din care 1001 vaci si junici (matca) s-au recoltat 1001 probe de sange in vederea supravegherii serologice active si depistarii anticorpilor anti-BLV, din ser prin testele rapide E.L.I.S.A. Si I.D. in gel de agar. Recoltarea s-a facut de la femelele de peste 24 de luni, iar taurii autorizati pentru monta s-au testat de doua ori pe an. Examenele s-au efectuat pe aceleasi probe care s-au recoltat pentru bruceloza. In focarele supuse asanarii prin extractie s-au recoltat probe si de la taurinele de peste 12 luni de doua ori pe an la interval de 4 luni. Planul de supraveghere a fost elaborat de A.N.S.V.S.A. si DSVSA iar punerea lui in aplicare s-a facut de catre medicul veterinar imputernicit din cadrul CSV impreuna cu medicul veterinar zonal. Expertiza de diagnostic s-a efectuat la LNR din cadrul IDSA. Tabel nr.6 Planul de supraveghere a LEB pe anul 2007

Localitatea A

Localitatea B

TOTAL BOVINE

MATCA (VACI si JUNICI)

PROBE RECOLTATE

In anul 2007 s-a constatat scaderea efectivelor de bovine din cele doua localitati cu 10 respectiv 20 %. Astfel in anul 2007 conform planului de supraveghere activa a efectivelor de taurine, in localitatea A din totalul de 1420 de bovine din care un efectiv matca de 895 vaci si junici, s-au recoltat un numar de 700 de probe de sange. In localitatea B in acelasi an din efectivul total de 1595 capete taurine, din care 1001 vaci si junici s-au recoltat un numar de 895 probe de sange. S-a constatat ca fata de anul 2006 a scazut efectivul matca si deci si numarul de probe recoltate (fig.nr.12).

Figc nr.12 Planul de supraveghere a LEB pe anul 2007 in local. A si B In anul 2007 datorita aparitiei a doua focare de leucoza bovina s-au recoltat probe de la toate taurinele din exploatatiile respective, inclusiv tineret. Supravegherea pasiva - monitorizarea datelor despre boala s-a facut de catre medicul veterinar oficial din cadrul DSVSA prin intocmirea unui raport trimestrial transmis la ANSVSA de catre DSVSA. S-au efectuat investigatii epidemiologice in cele doua localitati pe o perioada de 7 ani, intre 2001-2007, pe baza evidentelor CSV din cele doua localitati si conform datelor centralizate de DSVSA Suceava. Depistarea s-a facut prin teste serologice rapide ELISA si ID in gel de agar Tabel nr.7 Incidenta LEB in judetul Suceava intre anii 2001-2007

ANI

CAZURI POZITIVE

PROBE EXAMINATE

Fig nr.13 Evolutia incidentei LEB in jud Suceava

In perioada analizata se constata un varf al incidentei bolii in anul 2001, cu un numar de 264 animale testate pozitiv prin examenele serologice. In perioada 2002-2004 incidenta bolii se mentine la un nivel ridicat dar in scadere evidenta fata de anul precedent (fig. nr.13). In urma aplicarii masurilor de asanare a focarelor si astfel de evitare a difuzarii bolii in efective in anii 2005 si 2006 s-a redus simtitor numarul de cazuri pozitive (39, respectiv 24). De asemenea prevalenta bolii s-a redus prin eliminarea din efectiv in acelasi an a animalelor confirmate cu LEB. In anul 2007 s-au depistat doar 4 cazuri pozitive, dintre care doua in localitatea A, iar in anul 2008 pana in prezent jud Suceva este indemn de LEB. In aceeasi perioada de timp in cele doua localitati supuse studiului epidemiologic s-au inregistrat focare de LEB. Tabel nr.8 Incidenta LEB in perioada 2001-2007 in local A si B

NUMAR DE CAZURI POZITIVE

ANI

LOCALITATEA A

LOCALITATEA B

Localitatea A a fost indemna de leucoza bovina pana in anul 2001 cand s-a semnalat primul caz de boala intr-o exploatatie. In anul 2002 a crescut incidenta bolii depistandu-se 5 animale infectate. Dupa aplicarea masurilor de asanare si stingerea focarelor de boala in anii 2004 si 2006 nu s-au inregistrat cazuri de boala in efectiv (fig. nr.14).      In anul 2005 s-a depistat pozitiv serologic un singur animal, iar ultimele cazuri au fost in anul 2007, animalele fiind achizitionate din alte judete unde au si fost depistate initial. Reprezentarea grafica a incidentei LEB arata caracterul enzootic al bolii, stationar cu un numar scazut de cazuri si cu o evolutie cronica, insidioasa (fara semne clinice) in focare mici cu o difuzibilitate scazuta inafara focarului

Fig nr. nr.14 Evolutia incidentei LEB in local. A si B In localitatea B luata in studiu, pana in anul 2001 s-a semnalat un singur caz de leucoza bovina. In perioada 2001-2004 incidenta LEB a crescut foarte mult (de la 3 cazuri in 2001 la 6 cazuri in 2003, respectiv 5 in anul 2004). Din figura de mai sus reiese ca in perioada 2001-2004 au fost un numar de 16 animale ce au reactionat pozitiv la testele serologice. Numarul mare de cazuri a fost determinat de transmiterea orizontala a bolii in efectiv prin contact direct, indirect; de asemenea intarzierea sacrificarii animalelor a contribuit la mentinerea virusului leucozei bovine in efectiv si contaminarea altor animale. In urma asanarii focarelor si efectuarii dezinfectiei finale localitatea a devenit indemna din anul 2005. Comparativ incidenta leucozei bovine a fost mai mare in localitatea B fata de localitatea A insa in cea din urma au continuat sa fie depistate cazuri pana in prezent. Un rol important in mentinerea focarelor de boala in localitatea A l-a avut localizarea acesteia in apropierea targurilor de animale si intrarile si iesirile frecvente de animale din efectiv. Astfel 1,5% din totalul de bovine pozitive din jud Suceava s-au depistat in localitatea A, iar 2,4% in localitatea B.. S-au efectuat cercetari statistice privind varsta la care animalele au fost depistate pozitiv prin testele serologice. S-au impartit animalele in urmatoarele categorii de varsta: 0-3 ani, 4-8 ani, 9-12 ani, peste 12 ani (fig. nr.15). Tabel nr.9 Incidenta LEB in local A si B in functie de varsta

LOCALITATEA A

LOCALITATEA B

0-3 ANI

4-8 ANI

9-12 ANI

PESTE 12 ANI

In localitatea A cele mai multe dintre taurinele depistate pozitiv fac parte din grupa de varsta 4-8 ani (sapte), celelalte au varste cuprinse intre 9 si 12 ani; nu s-au semnalat cazuri de leucoza la cele mai mici de 3 ani sau peste 12 ani. In localitatea B incidenta leucozei in functie de varsta este asemanatoare cu cea din localitatea A. Astfel, 11 taurine pozitive au varste cuprinse intre 4 si 8 ani, doua sunt in categoria 9-12 ani iar trei dintre ele intre 0-3 ani (2 ani). Din statisticile realizate si prezentate in graficul de mai jos reiese ca o concluzie faptul ca leucoza enzootica bovina este o boala care afecteaza in special bovinele mature, mai frecvent intre 4 si 8 ani dar si cele de 9-12 ani. Cazurile de imbolnavire la tineretul sub 3 ani si la bovinele de peste 12 ani sunt rare. La tineret este mai dificila depistarea lor deoarece nu se recolteaza probe de sange pana la 24 luni decat din focarele supuse asanarii prin extractie. .

Fig nr.15 Incidenta LEB in functie de varsta In ceea ce priveste sexul animalelor imbolnavite, acestea au fost reprezentate in totalitate de femele. In cadrul investigatiilor epidemiologice in cele doua localitati s-au cercetat originile si caile de introducere a bolii (fig. nr.16) Pe baza anchetelor epidemiologice s-a stabilit ca principala sursa de contaminare a bovinelor depistate pozitiv l-a reprezentat contactul cu bovine cu infectie inaparenta din cadrul efectivului localitatii, posibil la pasune (5 cazuri in localitatea A, respectiv 10 in localitatea B).

Tabel nr.10 Originea si caile de introducere a bolii

LOCALITATEA A

LOCALITATEA B

CONTACTUL CU BOVINE BOLNAVE DIN EFECTIV

CONTACTUL CU BOVINE BOLNAVE DIN TARGURI SI OBOARE

ACHIZITIA CLANDESTINA

In ceea ce priveste sexul animalelor imbolnavite, acestea au fost in toate cazurile femele. Fig nr.16 Originea si caile de introducere a bolii in local A si B O alta cale de introducere a leucozei in efectiv a reprezentat-o contactul cu bovine provenite din alte localitati cu ocazia targurilor si oboarelor precum si contactul cu bovine infectate ce au tranzitat localitatile A si B (trei bovine in localitatea A si acelasi numar in localitatea B). De asemenea achizitia clandestina de bovine deja bolnave din alte localitati a constituit o sursa importanta (doua, respectiv trei animale fiind achizitionate in acest mod), precum si utilizarea de ace si instrumentar nesterile. Pe baza numarului de cazuri nou aparute in fiecare dintre anii din perioada 2001-2007 s-a calculat incidenta leucozei in fiecare localitate si in judetul Suceava (tabel nr.11). Tabel nr.11 Incidenta LEB in perioada 2001-2007 in jud. Suceava si local. A si B

INCIDENTA LEUCOZEI %

ANI

LOCALITATEA A

LOCALITATEA B

JUD SUCEAVA

O,416

Din fugura de mai jos se constata ca in toti cei sapte ani incidenta leucozei enzootice bovine a fost mai mare decat media pe judetul Suceava. Cea mai mare incidenta a bolii s-a inregistrat in anul 2002 in localitatea A, respectiv 2004 in localitatea B. Numarul mare de exploatatii contaminate (una pentru fiecare animal depistat pozitiv) a favorizat extinderea bolii in efectivele localitatilor si a ingreunat aplicarea masurilor de asanare. Rata incidentei s-a mentinut la un nivel relativ constant, fara variatii mari, cu un caracter enzootic. Anchetele epidemiologice efectuate au fost de tip transversal, aratand raspandirea leucozei in efective la un moment dat, fara a cunoaste numarul de animale ce se vor infecta pana la urmatoarea determinare. In concluzie prevalenta leucozei a fost mai mare decat incidenta acesteia (prevalenta reprezentand numarul total de cazuri existente in efectiv pe perioada unui an, incluzand cazurile din anul precedent care nu au fost inca scoase din efectiv precum si cazurile de boala nou aparute). Fig nr.17 Dinamica evolutiei L.E.B. in local. A si B Din figura de mai sus reiese caracterul enzootic al evolutiei in timp a leucozei in cadrul celor doua localitati luate in studiu. Curbele de nivel indica dinamica evolutiei bolii in functie de timp pe abcisa si de rata incidentei (exprimata procentual) pe ordonata. Evolutia in timp este similara in localitatile A si B cu nivele crescute in anii 2002-2004 si scazute in 2005-2006. Intre anii 2005-2008 localitatea B a avut o rata a incidentei zero iar localitatea B a oscilat cu valori mici. In concluzie gradul de variatie a bolii a fost scazut in perioada data, chiar daca numarul cazurilor depistate a fost mare. S-a comparat dinamica bolii in cele doua localitati (media incidentei in perioada 2001-2007) cu cea a judetului Suceava (fig nr.17).

Fig nr.17 Dinamica comparativa a evolutiei LEB In judetul Suceava in perioada 2001-2007 evolutia bolii a fost in continua scadere, fara oscilatii majore, tinzand spre eradicarea leucozei si indemnizarea efectivului de bovine. Evolutia LEB din cele doua localitati a urmarit evolutia medie din judet cu tendinta de eradicare totala din efective. In urma efectuarii actiunilor de supraveghere in perioada 2001-2007 s-au depistat prin examene serologice (ELISA si ID) un numar de 26 bovine infectate cu virusul leucozei bovine in diferite faze de evolutie. S-au facut investigatii in anul 2007 cand au aparut doua focare de leucoza bovina in localitatea A. Directia sanitar veterinara a emis buletine de analiza cu rezultatele examenelor serologice (probe negative si probe pozitive) catre CSV de origine. Pe baza buletinelor de analiza care au confirmat depistarea unor animale reactionate pozitiv (doua animale) la testele serologice, medicul veterinar concesionar impreuna cu medicul zonal a emis actul sanitar veterinar de declarare a bolii B 108 (leucoza enzootica bovina). Actul sanitar veterinar a cuprins localizarea bolii (curtile sau locurile contaminate, numele proprietarilor, adresa), efectivele de animale existente in locurile contaminate (specia, categoria, numarul lor), originea bolii, daca au fost animale moarte, taiate de necesitate. Pe baza actului sanitar-veterinar de declarare a bolii primarul localitatii a emis dispozitia de declarare a bolii ( leucoza bovina) in localitate si de instituire a masurilor de carantina de gradul III, a aprobat programul de combatere a bolii acordand sprijinul necesar pentru aplicarea programului de masuri. De asemenea primarul a dispus activarea comandamentului antiepizootic local. Ancheta epidemiologica a fost realizata de catre medicul veterinar zonal. Aceasta a cuprins date referitoare la focar (numele bolii, proprietarul animalelor, localitatea, momentul aparitiei bolii, momentul primelor suspiciuni, varsta animalelor afectate, categoria (vaci de lapte) . S-au gasit doua animale depistate pozitiv din doua curti din localitatea A achizitionate recent de catre proprietari din judetele Iasi si Vaslui. In curtile respective mai existau doua bovine din prasila proprie. Investigatiile clinice s-au efectuat pe doua animale (bovine de 4 respectiv 6 ani, metisi Baltata Romaneasca), depistate pozitiv conform buletinelor de analiza prin testul E.L.I.S.A. si confirmate prin I.D. Animalele au fost depistate in localitatea A in anul 2007 in urma actiunilor de supraveghere. Bovinele depistate au fost achizitionate clandestin din judetul Iasi, respectiv Vaslui, unde au fost initial confirmate ca fiind pozitive. In urma examenului clinic s-au constatat semne generale: apatie, scaderea apetitului, scaderea productiei de lapte, slabire si o stare de intretinere necorespunzatoare (fig. nr.18); la examenul limfonodurilor prescapular, submandibular, retromamar nu s-au observat modificari de volum sau consistenta. Fig. nr.18 Bovina MBR depistata pozitiv cu VLB Slabirea animalului a fost o suspiciune de leucoza enzootica bovina, fiind insa posibila si prezenta altor afectiuni (parazitoze), urmand a se stabili diagnosticul cert prin examen de laborator. Conform anamnezei bovinele au fost achizitionate din judetele vecine fara aprobarea DSVSA, animalele aflandu-se in carantina, iar focarele supuse asanarii prin extractie (abatorizare in centrele autorizate). In urma examenelor clinice efectuate s-a stabilit ca nu sunt semne clinice specifice leucozei enzootice bovine ( animalele nu sunt intr-o faza avansata a bolii) si este necesara efectuarea examenelui macroscopic anatomopatologic dupa taiere in abator si recoltarea de probe pentru confirmarea prin examen histopatologic la LSVJ Suceava. Originea si caile de introducere a bolii - (posibil prin contactul cu animale bolnave), daca in efectiv a mai evoluat boala (da), daca in jurul focarului au existat si alte focare. S-a stabilit ca boala a fost introdusa prin animale nou achizitionate, care nu au fost tinute in carantina profilactica, nefiind introdusa pe cale indirecta (mijloace de transport, furaje, pasari, etc). Fig.nr.19 Bovina depistata pozitiv -slabire accentuata Nu s-a cunoscut cu ce animale s-a facut monta si care era starea de sanatate a acestora. S-a constatat ca a fost posibila difuzarea bolii in perioada de incubatie si difuzarea prin miscari de animale. S-a constatat ca starea de intretinere a animalelor era necorespunzatoare, la fel si conditiile de microclimat din adaposturi (neefectuarea curateniei mecnice si prezenta rozatoarelor).. S-au efectuat actiunile imunoprofilactice specifice bovinelor. Aparitia bolii nu s-a datorat unei neglijentei sau unei erori umane. Medicul veterinar concesionar impreuna cu medicul veterinar zonal au elaborat programul de masuri privind combaterea leucozei enzootice bovine. In localitatea A au fost declarate doua focare de LEB in baza buletinelor de analiza emise de LSVJ Suceava. In localitate bovinele sunt crescute in gospodariile populatiei, neexistand colectivitati de animale. Pentru combaterea bolii si prevenirea difuzarii ei s-au luat o serie de masuri. Planul de masuri aplicat in localitatile A si B:

Ø    bovinele reactionate serologic pozitiv pentru LEB vor fi dirijate la taiere sub control sanitar veterinar in cel mai scurt timp;

Ø    se interzice vanzarea instrainarea sau taierea animalelor;

Ø    se interzice consumul public al laptelui si a produselor lactate provenite de la animalele reactionate serologic pozitiv la LEB, consumul acestora se face doar in familie, numai dupa fierbere, interzicandu-se ecremarea laptelui;

Ø    se vor anunta in scris punctele de colectare a laptelui din comuna despre propietarii care detin animale serologic pozitive la LEB, interzicandu-se colectarea acestuia;

Ø    se anunta primaria pentru a se interzice eliberarea biletelor de proprietate la gospodariile cu bovine reactionate serologic pozitiv, pentru alte destinatii decat in abatoarele abilitate;

Ø    se interzice pasunatul acestor animale pe pasunele comunale;

Ø    gunoiul de grajd va fi sterilizat biotermic in platforma minim trei luni, dupa care va fi folosit;

Ø    se vor achizitiona bovine doar din zonele indemne de LEB, iar acestea vor fi insotite de acte care sa ateste starea de sanatate a acestora;

Ø    se va anunta medicul veterinar de circumscriptie si primaria in termen de 48 de ore de fiecare animal nou introdus in comuna;

Ø    se interzice practicarea activitatilor sanitar-veterinare de catre persoane neautorizate, care pot difuza prin instrumentarul nesterilizat boala la alte animale;

Ø    bovinele reactionate pozitiv se vor dirija catre abatoare in vederea sacrificarii, unde o comisie de medici veterinari din partea DSVSA Suceava si din partea abatorului vor recolta probe de ganglioni si portiuni de organe pentru examenul histopatologic;

Ø    dupa taierea animalelor in fiecare curte se va face o curatenie mecanica riguroasa si se vor face trei dezinfectii consecutive la interval de 15 zile, dupa care se vor recolta tampoane in vederea efectuarii testelor de sanitatie, daca testul este negativ se pot stinge focarele de boala si se poate face repopularea;

Ø    daca in curtile contaminate exista si alte taurine peste 6 luni care nu au reactionat pozitiv la LEB se vor preleva probe de sange din 3 in 3 luni pentru examene de laborator, pana cand timp de 9 luni nu va reactiona pozitiv nici una din taurinele ramase in gospodarie;

Ø    atestarea indemnitatii efectivului se va face de catre DSVSA Suceava.

Inainte de sacrificarea animalelor s-a stabilit valoarea de inlocuire a animalelor bolnave de LEB. Aceasta comisie a fost constituita din medicul veterinar zonal, primarul localitatii si reprezentanti de la ORSA si Oficiul de consultanta agricola. Acestia au stabilit prin metoda punctelor valoarea genetica, dezvoltarea corporala, conformatia si productia si in final suma de despagubire conforma cu valoarea de piata a animalelor. S-a aplicat programul de masuri de mai sus iar animalele au fost sacrificate intr-un abator autorizat. Dupa sacrificare in abator a animalelor s-au intocmit fise de taiere pentru fiecare animal. S-a facut examenul anatomopatologiv al animalelor dupa taiere. Nu s-au semnalat modificari macroscopice vizibile Destinatia carnii a fost pentru consum dupa prelucrare in regim termic. S-au recoltat probe pentru examenul de laborator: ganglioni, portiuni din organe, ganglioni mezenterici. Unitatea care a achizitionat animalele a intocmit un borderou de achizitii care specifica propriietarul animalelor, motivul pentru care se sacrifica (pozitive LEB, conform buletinelor de analiza) si suma care se platete pentru bovine. Decontul pentru stabilirea si plata despagubirilor ce se cuvin detinatorilor de animale a fost intocmit de aceeasi comisie. S-a stabilit suma recuperata prin sacrificarea in abator a animalelor si restul sumei ce trebuie platita pana la atingerea valorii de inlocuire. Aceasta suma s-a platit din fondul de combatere a epizootiilor. Dupa sacrificarea animalelor s-au efectuat trei dezinfectii succesive la interval de 15 zile cu Virkon S dupa o prealabila curatenie mecanica. S-au recoltat teste de sanitatie stafilococice dupa decontaminarea finala a adaposturilor si au fost trimise la LSVJ. S-a interzis popularea adaposturilor pana la primirea rezultatului testului stafilococic. Deoarece testele de sanitatie au fost negative, medicul veterinar concesionar a emis actul sanitar veterinar de inchidere a epizootiei cu situatia centralizata la sfarsitul evolutiei bolii (doua curti contaminate, doua animale imbolnavite, doua animale taiate de necesitate), insotit de un referat. Pe baza referatului medicului veterinar primarul localitatii a emis dispozitia de stingere a focarului de leucoza enzootica bovina de pe raza localitatii. Masurile de asanare a focarelor de leucoza bovina din cele doua localitati au avut o durata variabila asa cum este prezentat in figurile de mai jos : Fig nr.20 Durata asanarii focarelor de LEB in local A In localitatea A au fost semnalate trei enzootii de LEB intre anii 2001-2005, 2005-2006 si 2007-2008 (fig.nr 20). In perioada 2001-2007 in localitatea A s-au inregistrat mai multe focare de leucoza bovina la intervale scurte de timp. In aceste conditii a ramas permanenta starea de carantina pana la sacrificarea ultimului animal reactionat pozitiv si efectuarea deziinfectiilor finale cu prelevarea testelor de sanitatie. Asanarea focarelor a fost intarziata de refuzul si amanarea sacrificarii animalelor infectate de catre proprietarii nemultumiti. In total in perioada 2001-2005 au fost sacrificate un numar de 8 animalele reactionate pozitiv la testele serologice. Ultimele focare aparute au fost in anul 2007 (doua bovine), fiind sacrificate in acelasi an, la scurt timp de la depistare.

Fig nr.21 Durata asanarii focarelor de LEB in local. B In localitatea B leucoza enzootica bovina a evoluat in perioada 2001-2005 , boala fiind declarata si inchisa de doua ori, in total de 16 animale imbolnavite. Depistarea unui numar mare de animale serologic pozitive intre anii 2002-2005 a impiedicat declararea inchisa a bolii in localitate. Bovinele reactionate pozitiv la testele serologice au fost sacrificate intr-un abator specializat iar proprietarii au fost despagubiti . Dupa efectuarea a trei dezinfectii succesive la interval de 15 zile si raspunsul negativ la testele stafilococice de sanitatie s-a declarat inchisa enzootia de LEB din localitatea B. Dupa inchiderea enzootiei in anul 2005 nu s-au mai semnalat cazuri de leucoza pana in perioada actuala. Situatia centralizata la sfarsitul evolutiei leucozei enzootice bovine in cele doua localitati este prezentata in figura de mai jos (fig.nr.22). Tabel nr.12 Situatia centralizata la sfarsitul evolutiei bolii (anul 2007)

LOCALITATEA A

LOCALITATEA B

CURTI CONTAMINATE

ANIMALE IMBOLNAVITE

TAIATE DE NECESITATE

MOARTE

INSTRAINATE

Fig nr.22 Situatia centralizata la sfarsitul evolutiei LEB

In localitatea A au fost un numar de 10 curti contaminate (10 focare) si tot atatea animale imbolnavite si taiate de necesitate. Nu au fost animale moarte. In localitatea B au fost 14 curti contaminate (focare) cu 16 animale imbolnavite dintre care 15 taiate de necesitate, unul mort si doua instrainate in mod ilegal. In general focarele de leucoza bovina au fost de mici dimensiuni, cu un singur animal depistat pozitiv, doar unul cu doua animale depistate din aceeasi curte, ceea ce demonstreaza difuzibilitatea redusa a bolii. In majoritatea curtilor contaminate inafara animalului depistat pozitiv mai erau si alte bovine de diferite varste. Nu s-au constatat contaminarea acestora de la animalul bolnav. Viteii obtinuti de la mamele depistate pozitiv au fost si ei sacrificati in abator, iar celelalte bovine au fost examinate serologic din trei in trei luni pana ce timp de noua luni nu s-au depistat animale pozitive cu VLB. Sacrificarea bovinelor s-a facut intr-un abator autorizat in prezenta medicului de abator si a unui reprezentant al DSVSA Suceava. Tabel nr.13 Rezultatele examenului de abator

LOCALITATEA A

LOCALITATEA B

CU LEZIUNI MACROSCOPICE SPECIFICE L.E.B.

FARA LEZIUNI MACROSCOPICE SPECIFICE L.E.B.

Dupa efectuarea examenului clinic animalele au fost sacrificate si s-a facut examenul de abator. Conform fiselor de taiere ale bovinelor pozitive la un numar de doua animale in localitatea A si patru in localitatea B s-au observat leziuni macroscopice specifice leucozei enzootice bovine (fig. nr.23). Cea mai frecventa leziune a fost marirea in volum a limfonodurilor. S-au recoltat probe pentru examenul de laborator (histologic pentru LEB). Probele au constat in limfoganglioni, portiuni din organe si organe (cord, splina, rinichi), portiuni din intestin cu ganglioni mezenterici. Fig nr.23 Rezultatele examenului de abator In concluzie, doar un numar mic de animale au prezentat leziuni macroscopice vizibile specifice leucozei enzootice bovine (10-20%). Prezenta sau absenta leziunilor a fost determinata de stadiul bolii in care se aflau animalele. In cazul celor cu stadii avansate (stadiile III-IV, de leucemie, respectiv limfom generalizat) s-a observat marirea bilaterala in volum a limfonodurilor si rar tumori sarcomatoase in organe. LSVJ Suceava a efectuat examenele histologice pentru leucoza bovina confirmand in toate cazurile diagnosticul de LEB. Frecvent leziunile constatate au fost hiperplazia foliculilor limfoizi(limfonod), infiltratie limfoblastica interstitiala (cord), hiperplazia foliculilor splenici.

2.4 Concluzii

Din rezultatele investigatiilor epidemiologice, serologice, clinice, de aplicare a masurilor de prevenire si combatere efectuate atat in scop de diagnostic a LEB cat si pentru supravegherea epizootologica a efectivelor in localitatile A si B s-au desprins urmatoarele concluzii si recomandari:

Ø     incidenta leucozei in localitatile A si B a avut valorile cele mai mari intre anii 2003-2005, diminuandu-se treptat pana in prezent;

Ø     incidenta leucozei enzootice bovine este influentata de varsta, sexul si tipul productiv al animalelor - leucoza afecteaza in special taurinele mature (de 4-8 ani), apoi cele de 9-12 ani, mai rar cele tinere si batrane, in special vacile de lapte;

Ø     sursele de infectie a bovinelor au fost contactul direct sau indirect cu purtatori asimptomatici din localitate sau localitatile invecinate (cu ocazia targurilor de animale), sau prin efectuarea de achizitii clandestine de bovine infectate;

Ø     dinamica evolutiei leucozei in cele doua localitati a avut un caracter enzootic, iar incidenta bolii a scazut in ultima perioada pana la disparitia totala, identica cu evolutia din judetul Suceava;

Ø     semnele clinice ale leucozei bovine sunt rare si apar doar in stadiul final al bolii;

Ø     durata masurilor de asanare a focarelor a fost mare din cauza intarzierii sacrificarii bovinelor si a incidentei crescute a bolii;

Ø     un numar redus de bovine au prezentat leziuni macroscopice specifice leucozei enzootice bovine, ca urmare a efectuarii examenului de abator;

Ø     principalele masuri care au determinat reducerea pana la disparitie a cazurilor de leucoza bovina au fost: identificarea prin crotaliere a bovinelor, utilizarea pentru recoltare a eprubetelor cu vacuum si a acelor individuale, utilizarea testelor ELISA pentru depistare imediata, sacrificarea in cel mai scurt timp a animalelor depistate.

Recomandari

Ø     este necesar un control mai strict al circulatiei animalelor, in special al achizitorilor clandestini, pentru a evita introducerea de animale bolnave in efectivele localitatilor; identificarea rapida a cazurilor de boala si eliminarea in timpul cel mai scurt din efectiv, astfel se reduce mult posibilitatea difuzarii leucozei la alte animale;

Ø     este necesara o mai buna informare a crescatorilor asupra riscurilor bolii si a efectului asupra intregului efectiv;

Ø     se recomanda sacrificarea tineretului provenit de la vacile depistate pozitive cu virusul leucozei bovine;

Ø     este necesara o mai mare atentie la folosirea instrumentelor chirurgicale utilizate pentru interventiile sangeroase, sterilizarea acestora dupa fiecare utilizare.

Bibliografie

Adamesteanu I. 1955- Patologia medicala a animalelor, vol I, Ed. Academiei, Bucuresti.

Adamesteanu I. si col. -1959- Semiologie medicala veterinara, Ed. Academiei, Bucuresti.

Anghelescu S., Barna I., Parvu, Nicolaescu Al. - 1976- Actualitati privind clasificarea si diagnosticul leucozei taurinelor.

Baba I. Diagnostic necropsic veterinar, Ed. Ceres Bucuresti

Barna I. - 1976- Despre etiologia virotica a leucozelor la mamifere Culegere de Medicina Veterinara, vol I, Bucuresti.

Barna I. - 1976- Profilaxia si combaterea leucozei bovine in Danemarca Culegere de Medicina Veterinara, vol I, Bucuresti.

Barna I. - 1976- Progrese recente in cunoasterea biologiei celulei canceroase, Sinteza, Culegere de Medicina Veterinara, vol I, Bucuresti.

Barna I. -1989- Leucoza enzootica bovina, epizootologie, diagnostic, profilaxie si combatere, buletin informativ, LCSVD Bucuresti.

Barna I. si col -1990- Sindromul de imunodeficienta dobandita la animale, Leucozele bovine, vol XVII, Cluj Napoca.

Barna I., Iuga C. -1995- Leucozele si bolile de imunosupresie la animale, Ed. Ceres.     

Baies I. si col. - 1971- Bolile infectioase ale animalelor domestice, Ed. Didactica si pedagogica Bucuresti.

Carp-Carare M. - 2001- Microbiologie veterinara, Virusulogie, Ed. Venus, Iasi.     

Catoi C. -2003- Diagnostic necropsic veterinar, Ed. Academic Press, Cluj-Napoca.

Coman I., Barbala M, Florescu I. -1997- Decontaminarea, Ed Satya Bucuresti, vol I.

Cotofan O. -1986- Diagnostic necropsic. Elemente de curs si lucrari practice, Centrul de multiplicari al institutului Agronomic Iasi.

Cotofan O. -1992 - Morfopatologie generala. Curs ,Centrul de multiplicari al institutului Agronomic Iasi.

Ghergariu S. -1995- Bazele patologiei medicale a animalelor, vol I si II, Ed. All, Bucuresti.

Hagiu N. -1993- Patologie medicala veterinara Curs, Centrul de multiplicari al institutului Agronomic Iasi.

Manolescu N., Bolte I. -1981- Oncologie veterinara, vol I si II, Ed. Ceres Bucuresti.

Miclea E., Barna I. Parvu Gh., Anghelescu S. -1976- Leucozele animalelor domestice, Ed. Ceres, Bucuresti.

Nicolae St., Nasta C. -1968- Virusuri si tumori, Ed. Academia Romana, Bucuresti.

Onet E.-1983- Virusuri si viroze la animale, vol I, Ed. Dacia, Cluj-Napoca.

Oprean O. Z.-1998- Morfopatologie generala veterinara, vol I, Ed. Evcont Consulting, Suceava.

Parvu Gh. -1976- Combaterea leucozei enzootice bovine, Culegere de medicina veterinara, vol I, Bucuresti.

Paul I. -1986- Morfologie generala si organologie, Institutul Agronomic Iasi.

Paul I. -1996- Etiomorfopatologie Veterinara, vol I, Ed. All, Bucuresti.

Perianu T., Nicolae St., Velescu E., Carp Carare, Alexandru N. -2005- Boli infectioase ale animalelor, vol II, Viroze, Casa de Editura Venus, Iasi.

Pop M., Vasiu C., -1981- Ghid de diagnostic in bolile infectioase ale animalelor, Ed. Ceres, Bucuresti.

Pop M., Vasiu C. -1988- Profilaxia si combaterea in bolile infectioase la animale, Ed Ceres, Bucuresti.

Savuta Gh. -2001- Epidemiologie veterinra generala, Ed. Ion Ionescu de la Brad, Iasi.

Velescu Elena -2002- Patologia bolilor infectioase la animale, Ed Terra nostra, Iasi.

Voiculescu M. -1990 - Boli infectioase, Ed. Medicala Bucuresti

www.oie.int - enzootic bovine leukosis.

www. nyschap.vet.edu - module leukosis.

www.merckvetmanual.com - leukosis.

www.retrovirology.com -Bovine Leukemia Virus

www.ansv.ro - programul actiunilor de supraveghere, prevenire si control al bolilor la animale, al celor transmisibile de la animale la om, protectia animalelor si protectia mediului pentru anul 2007- B108-leucoza enzooticaa bovina.



Politica de confidentialitate | Termeni si conditii de utilizare



DISTRIBUIE DOCUMENTUL

Comentarii


Vizualizari: 8976
Importanta: rank

Comenteaza documentul:

Te rugam sa te autentifici sau sa iti faci cont pentru a putea comenta

Creaza cont nou

Termeni si conditii de utilizare | Contact
© SCRIGROUP 2025 . All rights reserved